Please wait
true12/310001445283fasle01/01/2023trueFYKINETA, INC./DEfive yearhttp://fasb.org/us-gaap/2023#NonoperatingIncomeExpenseAugust 30, 205007-31-20240.00001445283ka:TwoThousandTwentyNotesMember2020-10-012020-10-310001445283srt:MaximumMemberus-gaap:WarrantMemberka:SecuritiesPurchaseAgreementMember2023-12-310001445283ka:TwoThousandTwentyTwoConvertibleNotesMember2022-12-012022-12-3100014452832022-08-312022-08-310001445283us-gaap:FairValueInputsLevel3Memberus-gaap:PrivatePlacementMember2023-01-012023-12-310001445283ka:TwoThousandTwentyConvertibleNotesMember2022-12-012022-12-310001445283ka:TwoThousandSeventeenWarrantsMember2023-01-012023-12-310001445283us-gaap:NoncontrollingInterestMember2022-01-012022-12-310001445283ka:TwoThousandTwentyConvertibleNotesMember2020-10-3100014452832021-12-310001445283srt:MaximumMemberka:MaturityDatesMemberka:TwoThousandTwentyTwoConvertibleNotesMember2022-12-310001445283ka:OptionAndLicenseAgreementMemberka:MerckNeuromuscularLicenseAgreementMember2023-01-012023-12-310001445283ka:TwoZeroTwoZeroNotesMember2022-08-312022-08-310001445283us-gaap:ComputerEquipmentMember2022-12-310001445283us-gaap:ConvertibleDebtMember2022-10-312022-10-310001445283ka:ImmediatelyFollowingMergerMemberka:PrivateKinetasShareholdersMember2022-12-160001445283ka:CollaborationRevenueMember2022-01-012022-12-310001445283ka:TwoThousandTwentyThreeWarrantsMembersrt:MinimumMember2023-12-310001445283ka:OtherNotesPayableMember2022-12-310001445283us-gaap:InvestorMemberus-gaap:PrivatePlacementMemberus-gaap:NonvotingCommonStockMember2022-10-310001445283ka:OtherNotesPayableMember2022-02-280001445283ka:NotesPayableMember2022-12-310001445283us-gaap:NoncontrollingInterestMember2021-12-310001445283us-gaap:CommonStockMember2023-01-012023-12-310001445283ka:TwoThousandTwentyConvertibleNotesMember2022-04-012022-04-300001445283us-gaap:CommonStockMember2023-12-310001445283ka:TwoThousandTwentyWarrantsMember2022-12-310001445283us-gaap:InvestorMemberus-gaap:PrivatePlacementMember2022-12-162022-12-160001445283ka:MergerAgreementMember2022-12-162022-12-160001445283ka:TwoThousandAndEightEquityIncentivePlanMember2023-01-012023-12-310001445283ka:OptionAndLicenseAgreementMember2022-01-012022-12-310001445283us-gaap:GeneralAndAdministrativeExpenseMember2023-01-012023-12-310001445283ka:TwoThousandTwentyTwoConvertibleNotesMemberus-gaap:NonvotingCommonStockMember2022-12-310001445283us-gaap:ParentMember2022-01-012022-12-310001445283ka:TwoThousandTwentyNotesMembersrt:MaximumMember2022-12-3100014452832023-10-012023-12-310001445283ka:LeaseAgreementMember2020-06-300001445283ka:WainwrightCoLlcMember2023-04-200001445283ka:LeaseAgreementMember2020-05-310001445283ka:TwoThousandTwentyTwoWarrantsMember2023-12-310001445283ka:TwoThousandTwentyConvertibleNotesMember2022-12-310001445283ka:TwoThousandTwentyWarrantsMember2023-01-012023-12-310001445283us-gaap:RetainedEarningsMember2022-01-012022-12-310001445283us-gaap:PrivatePlacementMember2023-10-032023-10-030001445283srt:DirectorMemberus-gaap:PrivatePlacementMember2022-12-012022-12-310001445283ka:NonrecoursePromissoryNoteMember2021-03-312021-03-310001445283us-gaap:GeneralAndAdministrativeExpenseMember2022-01-012022-12-310001445283ka:VestedRestrictedStockSubjectToRecallMember2022-01-012022-12-3100014452832022-01-012022-12-310001445283srt:MaximumMemberka:TwoThousandSeventeenWarrantsMember2023-12-310001445283ka:MerckCoIncMember2022-01-012022-12-310001445283ka:TwoThousandTwentyNotesMember2023-01-012023-12-310001445283ka:TwoThousandTwentyThreeWarrantsMember2023-01-012023-12-310001445283us-gaap:InvestorMemberka:SecuritiesPurchaseAgreementMember2023-10-030001445283us-gaap:PrivatePlacementMember2023-05-312023-05-310001445283ka:WainwrightCoLlcMemberus-gaap:PrivatePlacementMemberka:SecuritiesPurchaseAgreementMember2023-10-030001445283ka:StockBasedCompensationMember2022-01-012022-12-310001445283us-gaap:AccountingStandardsUpdate202104Member2023-12-310001445283us-gaap:InvestorMember2023-12-310001445283ka:OtherNotesPayableMember2022-06-300001445283us-gaap:GrantMember2022-01-012022-12-310001445283us-gaap:PrivatePlacementMemberka:SecuritiesPurchaseAgreementMember2023-04-200001445283srt:MinimumMemberka:TwoThousandTwentyTwoConvertibleNotesMemberus-gaap:MeasurementInputDiscountRateMember2022-12-310001445283us-gaap:CommonStockMember2021-12-310001445283ka:NationalInstitutesOfHealthMember2022-01-012022-12-310001445283ka:TwoThousandTwentyNotesMembersrt:MinimumMember2023-12-310001445283ka:ReverseMergerMember2022-01-012022-12-310001445283us-gaap:InvestorMemberka:SecuritiesPurchaseAgreementMember2023-04-202023-04-200001445283us-gaap:StockAppreciationRightsSARSMember2022-10-312022-10-310001445283ka:TwoThousandTwentyConvertibleNotesMemberka:MaturityDateOneMember2020-10-012020-10-310001445283ka:LeaseAgreementMember2023-12-310001445283ka:TwoThousandTwentyConvertibleNotesMemberka:MaturityDateMember2020-10-012020-10-310001445283ka:TwoThousandAndTwentyEquityIncentivePlanMember2020-01-012020-12-310001445283us-gaap:LicenseMember2023-01-012023-12-310001445283ka:SubleaseAgreementMember2023-01-012023-12-310001445283ka:NationalInstitutesOfHealthMember2023-01-012023-12-310001445283ka:TwoThousandAndTwentyEquityIncentivePlanMember2020-12-310001445283us-gaap:AdditionalPaidInCapitalMember2022-01-012022-12-310001445283srt:MaximumMemberka:TwoThousandTwentyThreeWarrantsMember2023-12-310001445283us-gaap:DomesticCountryMember2023-12-310001445283ka:TwoThousandSeventeenWarrantsMember2023-12-310001445283ka:TwoThousandTwentyTwoConvertibleNotesMemberus-gaap:MeasurementInputDiscountRateMember2022-12-310001445283srt:MinimumMemberka:TwoThousandTwentyTwoConvertibleNotesMember2022-12-310001445283ka:TwoZeroTwoZeroNotesMember2022-08-310001445283srt:MaximumMemberus-gaap:WarrantMember2022-12-310001445283ka:TwoThousandTwentyConvertibleNotesMember2022-02-012022-02-280001445283us-gaap:CommonStockMember2023-12-310001445283srt:MaximumMember2022-01-012022-12-310001445283us-gaap:PrivatePlacementMembersrt:ScenarioForecastMember2024-04-152024-04-150001445283ka:TwoThousandTwentyNotesMembersrt:MinimumMember2022-12-310001445283ka:SubleaseAgreementMember2017-12-310001445283ka:TwoThousandTwentyConvertibleNotesMembersrt:MinimumMemberka:RepaymentRangeMember2022-12-310001445283ka:DirectorsMemberus-gaap:RestrictedStockMemberus-gaap:CommonStockMember2023-12-310001445283us-gaap:ConvertibleDebtMember2022-09-302022-09-300001445283ka:TwoThousandTwentyTwoConvertibleNotesMember2022-04-300001445283ka:SmallBusinessAdministrationLoanMember2023-12-310001445283ka:GenentechIncMember2023-01-012023-12-310001445283us-gaap:RestrictedStockUnitsRSUMember2022-12-160001445283ka:MergerMemberka:TwoThousandTwentyTwoConvertibleNotesMember2023-12-310001445283ka:OtherNotesPayableMember2023-12-310001445283us-gaap:ComputerEquipmentMember2023-12-310001445283ka:DirectorsMemberus-gaap:RestrictedStockMember2023-12-310001445283ka:OtherNotesPayableMember2022-04-300001445283ka:TwoThousandTwentyTwoWarrantsMember2023-01-012023-12-310001445283ka:TwoThousandTwentyNotesMember2020-10-310001445283ka:DirectorsMember2023-01-012023-12-310001445283ka:TwoThousandTwentyNotesMembersrt:MaximumMember2023-12-310001445283ka:TwoThousandNineteenWarrantsMembersrt:MinimumMember2023-12-310001445283ka:YumanityWarrantHolderMemberka:MergerMember2022-01-012022-12-310001445283ka:TwoThousandTwentyConvertibleNotesMember2020-10-012020-10-310001445283us-gaap:PrivatePlacementMemberka:SecuritiesPurchaseAgreementMemberka:WainwrightCoLlcMember2023-04-200001445283us-gaap:AdditionalPaidInCapitalMember2022-12-310001445283ka:SecuritiesPurchaseAgreementMember2023-04-200001445283srt:MaximumMember2023-01-012023-12-310001445283us-gaap:PrivatePlacementMember2022-12-012022-12-310001445283ka:VestedRestrictedStockSubjectToRecallMember2023-01-012023-12-310001445283ka:TwoThousandThirteenWarrantsMember2023-01-012023-12-310001445283ka:TwoThousandTwentyNotesMember2021-08-310001445283us-gaap:PrivatePlacementMemberus-gaap:NonvotingCommonStockMember2022-01-012022-12-310001445283ka:SecuritiesPurchaseAgreementMember2023-10-030001445283us-gaap:AdditionalPaidInCapitalMember2021-12-310001445283srt:MaximumMemberka:TwoThousandNineteenWarrantsMember2023-12-310001445283us-gaap:InvestorMember2023-01-012023-12-310001445283ka:TwoThousandAndTenEquityIncentivePlanMember2010-12-310001445283us-gaap:ParentMember2021-12-310001445283us-gaap:CommonStockMember2023-01-012023-12-310001445283ka:PrivateKinetasShareholdersMember2022-12-160001445283us-gaap:FairValueInputsLevel3Memberus-gaap:PrivatePlacementMember2022-12-310001445283ka:TwoThousandTwentyNotesMember2022-08-312022-08-310001445283us-gaap:RetainedEarningsMember2021-12-310001445283ka:TwoThousandAndTwentyEquityIncentivePlanMemberka:VotingCommonStockMember2023-01-012023-12-310001445283ka:MerckCoIncMember2023-12-310001445283srt:MaximumMemberka:SecuritiesPurchaseAgreementMember2023-10-030001445283ka:LaboratoryEquipmentMember2022-12-310001445283ka:TwoThousandTwentyConvertibleNotesMemberka:FinancingRangeMembersrt:MinimumMember2022-12-310001445283us-gaap:EquitySecuritiesMember2023-12-310001445283ka:TwoThousandTwentyTwoConvertibleNotesMember2022-10-312022-10-310001445283ka:TwoThousandTwentyConvertibleNotesMembersrt:MaximumMemberka:RepaymentRangeMember2022-12-310001445283us-gaap:EquipmentMember2023-12-310001445283ka:TwoThousandTwentyTwoConvertibleNotesMember2022-12-310001445283ka:TwoThousandAndTenEquityIncentivePlanMemberus-gaap:StockAppreciationRightsSARSMember2022-10-012022-10-310001445283ka:DirectorsMember2022-01-012022-12-310001445283ka:WainwrightCoLlcMember2023-10-030001445283us-gaap:StateAndLocalJurisdictionMember2023-01-012023-12-310001445283ka:OptionAndLicenseAgreementMemberka:MerckNeuromuscularLicenseAgreementMember2022-01-012022-12-310001445283ka:TwoThousandTwentyConvertibleNotesMembersrt:MaximumMemberka:FinancingRangeMember2022-12-310001445283srt:MaximumMemberus-gaap:PrivatePlacementMember2023-01-012023-12-310001445283us-gaap:WarrantMemberka:SecuritiesPurchaseAgreementMembersrt:MinimumMember2023-12-310001445283us-gaap:StateAndLocalJurisdictionMember2023-12-310001445283srt:MaximumMemberka:TwoThousandTwentyTwoConvertibleNotesMember2022-12-310001445283ka:TwoThousandNineteenWarrantsMember2023-12-310001445283ka:TwoThousandNineteenWarrantsMember2023-01-012023-12-310001445283us-gaap:PrivatePlacementMemberus-gaap:NonvotingCommonStockMember2022-12-310001445283srt:MinimumMember2022-01-012022-12-310001445283us-gaap:PrivatePlacementMember2022-01-012022-12-310001445283ka:TwoThousandTwentyTwoWarrantsMembersrt:MinimumMember2023-12-310001445283ka:StockBasedCompensationMember2023-01-012023-12-310001445283us-gaap:InvestorMember2022-01-012022-12-3100014452832022-10-312022-10-310001445283ka:MergerAgreementMember2023-01-012023-12-310001445283ka:OtherNotesPayableMember2021-07-310001445283us-gaap:EmployeeStockOptionMember2022-01-012022-12-3100014452832020-10-012020-10-310001445283us-gaap:RetainedEarningsMember2023-01-012023-12-310001445283ka:TwoThousandTwentyTwoWarrantsMember2022-12-310001445283us-gaap:PrivatePlacementMember2022-12-162022-12-160001445283ka:OptionAndLicenseAgreementMember2023-01-012023-12-310001445283ka:LaboratoryEquipmentMember2023-12-310001445283ka:FinancingRangeMembersrt:MinimumMemberka:TwoThousandTwentyTwoConvertibleNotesMember2022-12-310001445283ka:TwoThousandAndTwentyEquityIncentivePlanMember2023-12-312023-12-310001445283ka:TwoThousandAndEightEquityIncentivePlanMember2008-12-310001445283srt:MaximumMemberka:SecuritiesPurchaseAgreementMember2023-04-200001445283ka:MerckNeuromuscularLicenseAgreementMember2022-01-012022-12-310001445283ka:GenentechIncMember2022-01-012022-12-310001445283ka:LeaseAgreementMember2022-01-012022-12-310001445283us-gaap:PrivatePlacementMember2022-12-310001445283srt:MaximumMember2023-12-3100014452832023-10-032023-10-030001445283ka:SecuritiesPurchaseAgreementMember2023-04-202023-04-200001445283us-gaap:LeaseholdImprovementsMember2023-12-310001445283srt:MinimumMember2023-01-012023-12-310001445283ka:NonrecoursePromissoryNoteMember2021-03-3100014452832022-12-310001445283us-gaap:ResearchAndDevelopmentExpenseMember2022-01-012022-12-310001445283ka:TwoThousandTwentyTwoConvertibleNotesMemberka:RepaymentScenarioMember2022-12-310001445283ka:TwoThousandAndTenEquityIncentivePlanMember2023-01-012023-12-310001445283ka:MergerMemberka:TwoThousandTwentyTwoConvertibleNotesMember2022-10-3100014452832024-03-180001445283ka:StockOptionsAndRestrictedStockUnitsMember2023-12-310001445283us-gaap:PrivatePlacementMember2023-04-202023-04-200001445283ka:LeaseAgreementMember2023-01-012023-12-310001445283ka:SmallBusinessAdministrationLoanMember2020-08-012020-08-310001445283ka:TwoThousandTwentyNotesMembersrt:MaximumMemberus-gaap:MeasurementInputDiscountRateMember2023-12-310001445283ka:TwoThousandTwentyTwoConvertibleNotesMemberka:AutomaticConversionScenarioMember2022-12-310001445283ka:MaturityDatesMembersrt:MinimumMemberka:TwoThousandTwentyTwoConvertibleNotesMember2022-12-310001445283us-gaap:InvestorMemberus-gaap:PrivatePlacementMemberus-gaap:NonvotingCommonStockMember2022-10-312022-10-310001445283ka:NationalInstitutesOfHealthMemberus-gaap:GrantMember2023-01-012023-12-310001445283us-gaap:WarrantMember2022-01-012022-12-310001445283ka:TwoThousandTwentyConvertibleNotesMember2022-04-300001445283ka:CollaborationRevenueMember2023-01-012023-12-310001445283ka:MergerMember2022-01-012022-12-310001445283us-gaap:ConvertibleDebtMember2022-01-012022-12-310001445283ka:TwoThousandTwentyNotesMemberus-gaap:NonvotingCommonStockMember2022-08-312022-08-310001445283us-gaap:NoncontrollingInterestMember2022-12-310001445283ka:TwoThousandTwentyConvertibleNotesMemberus-gaap:NonvotingCommonStockMember2022-12-310001445283ka:SecuritiesPurchaseAgreementMemberus-gaap:WarrantMember2023-01-012023-12-310001445283us-gaap:PrivatePlacementMembersrt:ManagementMember2022-12-012022-12-310001445283ka:SecuritiesPurchaseAgreementMemberus-gaap:PrivatePlacementMember2023-10-030001445283ka:GenentechIncMember2023-12-310001445283us-gaap:PrivatePlacementMember2022-12-160001445283ka:TwoThousandTwentyConvertibleNotesMembersrt:MaximumMember2022-12-310001445283us-gaap:ParentMember2023-01-012023-12-310001445283ka:TwoThousandNineteenWarrantsMember2022-12-310001445283ka:TwoThousandTwentyNotesMembersrt:MaximumMemberus-gaap:MeasurementInputDiscountRateMember2022-12-310001445283us-gaap:NoncontrollingInterestMember2023-12-310001445283us-gaap:CommonStockMember2022-12-160001445283ka:TwoThousandTwentyConvertibleNotesMembersrt:MinimumMember2022-12-3100014452832022-02-012022-02-280001445283us-gaap:CommonStockMember2022-01-012022-12-310001445283us-gaap:LicenseMember2022-01-012022-12-310001445283ka:TwoThousandTwentyNotesMemberus-gaap:NonvotingCommonStockMember2022-01-012022-12-310001445283srt:AffiliatedEntityMemberka:TwoThousandTwentyTwoConvertibleNotesMember2022-12-012022-12-310001445283us-gaap:FairValueInputsLevel3Memberus-gaap:PrivatePlacementMember2021-12-310001445283srt:MinimumMember2023-12-310001445283ka:GigagenIncMemberka:OptionAndLicenseAgreementMember2021-06-302021-06-3000014452832023-06-300001445283us-gaap:GrantMember2023-01-012023-12-310001445283srt:MaximumMemberka:TwoThousandTwentyTwoConvertibleNotesMemberus-gaap:MeasurementInputDiscountRateMember2022-12-310001445283ka:TwoThousandTwentyWarrantsMember2023-12-310001445283ka:TwoThousandTwentyNotesMember2020-08-100001445283ka:GigagenIncMemberka:OptionAndLicenseAgreementMember2020-08-012020-08-310001445283srt:MinimumMemberka:TwoThousandSeventeenWarrantsMember2023-12-310001445283ka:SmallBusinessAdministrationLoanMember2022-12-310001445283us-gaap:PrivatePlacementMember2023-01-012023-12-310001445283us-gaap:PrivatePlacementMember2023-12-310001445283us-gaap:SubsequentEventMember2024-02-290001445283ka:TwoThousandTwentyConvertibleNotesMemberka:MaturityDatesMembersrt:MinimumMember2022-12-310001445283us-gaap:InvestorMember2022-12-310001445283us-gaap:LeaseholdImprovementsMember2022-12-310001445283us-gaap:RetainedEarningsMember2023-12-310001445283ka:MerckNeuromuscularLicenseAgreementMember2023-01-012023-12-3100014452832023-01-012023-12-310001445283ka:MergerMember2023-12-310001445283ka:TwoThousandTwentyNotesMember2021-09-300001445283us-gaap:ParentMember2022-12-310001445283ka:SecuritiesPurchaseAgreementMember2023-10-032023-10-030001445283ka:TwoThousandAndTwentyEquityIncentivePlanMemberus-gaap:NonvotingCommonStockMember2023-01-012023-12-310001445283ka:MerckCoIncMember2022-12-310001445283ka:MerckCoIncMember2023-01-012023-12-310001445283ka:TwoThousandTwentyConvertibleNotesMembersrt:MaximumMemberka:MaturityDatesMember2022-12-310001445283us-gaap:NoncontrollingInterestMember2023-01-012023-12-310001445283us-gaap:CommonStockMember2022-12-310001445283us-gaap:InvestorMemberus-gaap:PrivatePlacementMember2022-12-310001445283ka:TwoThousandTwentyNotesMembersrt:MinimumMemberus-gaap:MeasurementInputDiscountRateMember2022-12-310001445283ka:PrivateKinetasShareholdersMember2023-01-012023-12-310001445283ka:TwoThousandSeventeenWarrantsMember2022-12-310001445283us-gaap:FairValueInputsLevel3Memberus-gaap:PrivatePlacementMember2022-01-012022-12-310001445283ka:MerckNeuromuscularLicenseAgreementMember2023-06-012023-06-300001445283srt:MaximumMemberka:FinancingRangeMemberka:TwoThousandTwentyTwoConvertibleNotesMember2022-12-310001445283ka:UnvestedRestrictedStockSubjectToRepurchaseMember2023-01-012023-12-310001445283ka:TwoThousandTwentyConvertibleNotesMember2023-01-012023-12-310001445283us-gaap:RetainedEarningsMember2022-12-3100014452832022-08-162022-08-160001445283ka:TwoThousandTwentyTwoConvertibleNotesMember2022-10-310001445283ka:SubleaseAgreementMember2022-01-012022-12-310001445283us-gaap:InvestorMemberka:SecuritiesPurchaseAgreementMember2023-10-032023-10-030001445283ka:WarrantsToPurchaseCommonStockMember2022-01-012022-12-310001445283ka:TwoThousandTwentyConvertibleNotesMembersrt:MinimumMemberus-gaap:MeasurementInputDiscountRateMember2022-12-310001445283us-gaap:EquipmentMember2022-12-310001445283us-gaap:RestrictedStockUnitsRSUMember2023-12-310001445283ka:YumanityTherapeuticsIncMember2023-12-310001445283us-gaap:ParentMember2023-12-310001445283ka:OtherNotesPayableMember2022-06-012022-06-300001445283srt:MaximumMemberus-gaap:InvestorMemberus-gaap:WarrantMember2023-12-3100014452832023-12-310001445283ka:OptionAndLicenseAgreementMemberka:MerckNeuromuscularLicenseAgreementMember2023-06-012023-06-300001445283ka:UnvestedRestrictedStockSubjectToRepurchaseMember2022-01-012022-12-310001445283ka:TwoThousandTwentyConvertibleNotesMembersrt:MaximumMemberus-gaap:MeasurementInputDiscountRateMember2022-12-310001445283us-gaap:ResearchAndDevelopmentExpenseMember2023-01-012023-12-310001445283us-gaap:FairValueInputsLevel3Memberus-gaap:PrivatePlacementMember2023-12-310001445283srt:MaximumMemberka:TwoThousandTwentyTwoWarrantsMember2023-12-310001445283ka:TwoThousandThirteenWarrantsMember2022-12-310001445283ka:SmallBusinessAdministrationLoanMember2020-08-310001445283us-gaap:PrivatePlacementMemberka:SecuritiesPurchaseAgreementMemberka:WainwrightCoLlcMember2023-10-032023-10-030001445283us-gaap:EmployeeStockOptionMember2023-01-012023-12-310001445283ka:TwoThousandTwentyNotesMember2022-01-012022-12-310001445283us-gaap:AdditionalPaidInCapitalMember2023-01-012023-12-310001445283ka:TwoThousandTwentyTwoEquityIncentivePlanMember2023-12-310001445283us-gaap:WarrantMembersrt:MinimumMember2022-12-310001445283us-gaap:PrivatePlacementMembersrt:MinimumMember2023-01-012023-12-310001445283ka:MergerMember2022-12-310001445283ka:NotesPayableMember2023-12-310001445283ka:PrivateKinetasShareholdersMember2022-12-162022-12-160001445283ka:WarrantsToPurchaseCommonStockMember2023-01-012023-12-310001445283ka:WainwrightCoLlcMemberus-gaap:PrivatePlacementMemberka:SecuritiesPurchaseAgreementMember2023-04-202023-04-200001445283ka:TwoThousandTwentyNotesMembersrt:MinimumMemberus-gaap:MeasurementInputDiscountRateMember2023-12-310001445283ka:OtherNotesPayableMember2020-10-012020-10-310001445283us-gaap:DomesticCountryMember2023-01-012023-12-310001445283us-gaap:WarrantMember2023-12-310001445283us-gaap:AdditionalPaidInCapitalMember2023-12-31iso4217:USDxbrli:sharesxbrli:pureka:Segmentutr:sqftxbrli:shareska:Employeeiso4217:USD

 

UNITED STATES

SECURITIES AND EXCHANGE COMMISSION

Washington, D.C. 20549

 

FORM 10-K

 

(Mark One)

ANNUAL REPORT PURSUANT TO SECTION 13 OR 15(d) OF THE SECURITIES EXCHANGE ACT OF 1934

For the fiscal year ended December 31, 2023

OR

TRANSITION REPORT PURSUANT TO SECTION 13 OR 15(d) OF THE SECURITIES EXCHANGE ACT OF 1934 FOR THE TRANSITION PERIOD FROM TO

Commission File Number 001-37695

 

KINETA, INC.

(Exact name of Registrant as specified in its Charter)

 

Delaware

20-8436652

(State or other jurisdiction of

incorporation or organization)

(I.R.S. Employer

Identification No.)

7683 SE 27th Street, Suite 481

Mercer Island, WA

98040

(Address of principal executive offices)

(Zip Code)

Registrant’s telephone number, including area code: (206) 378-0400

 

Securities registered pursuant to Section 12(b) of the Act:

 

Title of each class

 

Trading

Symbol(s)

 

Name of each exchange on which registered

Common Stock, par value $0.001 per share

 

KA

 

The Nasdaq Capital Market

Securities registered pursuant to Section 12(g) of the Act: None

Indicate by check mark if the Registrant is a well-known seasoned issuer, as defined in Rule 405 of the Securities Act. Yes No

Indicate by check mark if the Registrant is not required to file reports pursuant to Section 13 or 15(d) of the Act. Yes No

Indicate by check mark whether the Registrant: (1) has filed all reports required to be filed by Section 13 or 15(d) of the Securities Exchange Act of 1934 during the preceding 12 months (or for such shorter period that the Registrant was required to file such reports), and (2) has been subject to such filing requirements for the past 90 days. Yes No

Indicate by check mark whether the Registrant has submitted electronically every Interactive Data File required to be submitted pursuant to Rule 405 of Regulation S-T (§232.405 of this chapter) during the preceding 12 months (or for such shorter period that the Registrant was required to submit such files). Yes No

Indicate by check mark whether the registrant is a large accelerated filer, an accelerated filer, a non-accelerated filer, smaller reporting company, or an emerging growth company. See the definitions of “large accelerated filer,” “accelerated filer,” “smaller reporting company,” and “emerging growth company” in Rule 12b-2 of the Exchange Act.

 

Large accelerated filer

Accelerated filer

 

 

 

 

Non-accelerated filer

Smaller reporting company

 

 

 

 

 

 

 

Emerging growth company

 

 

 

 

 

 

If an emerging growth company, indicate by check mark if the registrant has elected not to use the extended transition period for complying with any new or revised financial accounting standards provided pursuant to Section 13(a) of the Exchange Act.

Indicate by check mark whether the registrant has filed a report on and attestation to its management’s assessment of the effectiveness of its internal control over financial reporting under Section 404(b) of the Sarbanes-Oxley Act (15 U.S.C. 7262(b)) by the registered public accounting firm that prepared or issued its audit report.

If securities are registered pursuant to Section 12(b) of the Act, indicate by check mark whether the financial statements of the registrant included in the filing reflect the correction of an error to previously issued financial statements.

Indicate by check mark whether any of those error corrections are restatements that required a recovery analysis of incentive-based compensation received by any of the registrant’s executive officers during the relevant recovery period pursuant to §240.10D-1(b).

Indicate by check mark whether the Registrant is a shell company (as defined in Rule 12b-2 of the Exchange Act). Yes No

The aggregate market value of the voting and non-voting common equity held by non-affiliates of the Registrant as of June 30, 2023 was $10.3 million, based on the closing price of the shares of common stock on The Nasdaq Capital Market on June 30, 2023.

The number of shares of Registrant’s Common Stock outstanding as of March 18, 2024 was 10,962,460.

DOCUMENTS INCORPORATED BY REFERENCE

Portions of the registrant’s Proxy Statement for its 2024 Annual Meeting of Stockholders, which the registrant intends to file with the Securities and Exchange Commission not later than 120 days after the registrant’s fiscal year ended December 31, 2023, are incorporated by reference into Part III of this Annual Report on Form 10-K.

 

 

 

 


 

Table of Contents

 

Page

 

Special Note Regarding Forward-Looking Statements

1

PART I

Item 1.

Business

4

Item 1A.

Risk Factors

41

Item 1B.

Unresolved Staff Comments

92

Item 1C.

Cybersecurity

92

Item 2.

Properties

94

Item 3.

Legal Proceedings

94

Item 4.

Mine Safety Disclosures

94

PART II

Item 5.

Market for Registrant’s Common Equity, Related Stockholder Matters and Issuer Purchases of Equity Securities

95

Item 6.

Reserved

95

Item 7.

Management’s Discussion and Analysis of Financial Condition and Results of Operations

96

Item 7A.

Quantitative and Qualitative Disclosures About Market Risk

109

Item 8.

Financial Statements and Supplementary Data

110

Item 9.

Changes in and Disagreements With Accountants on Accounting and Financial Disclosure

141

Item 9A.

Controls and Procedures

142

Item 9B.

Other Information

142

Item 9C.

Disclosure Regarding Foreign Jurisdictions that Prevent Inspections

142

PART III

Item 10.

Directors, Executive Officers and Corporate Governance

143

Item 11.

Executive Compensation

143

Item 12.

Security Ownership of Certain Beneficial Owners and Management and Related Stockholder Matters

143

Item 13.

Certain Relationships and Related Transactions, and Director Independence

143

Item 14.

Principal Accounting Fees and Services

143

PART IV

Item 15.

Exhibits, Financial Statement Schedules

144

Item 16.

Form 10-K Summary

144

 

 

i


 

EXPLANATORY NOTE

 

On December 16, 2022, Yumanity Therapeutics, Inc. (“Yumanity”) completed its previously announced merger transaction with Kineta Operating, Inc. (formerly Kineta, Inc.) (“Private Kineta”) in accordance with the terms of the Agreement and Plan of Merger, dated as of June 5, 2022, as amended on December 5, 2022 (the “Merger Agreement”), by and among Yumanity, Private Kineta and Yacht Merger Sub, Inc., a wholly-owned subsidiary of Yumanity (“Merger Sub”), pursuant to which Merger Sub merged with and into Private Kineta, with Private Kineta surviving such merger as a wholly-owned subsidiary of Yumanity (the “Merger”). The surviving corporation from the Merger subsequently merged with and into Kineta Operating, LLC, with Kineta Operating, LLC being the surviving corporation. On December 16, 2022, in connection with, and prior to the completion of, the Merger, Yumanity effected a 1-for-7 reverse stock split of its common stock (the “Reverse Stock Split”). Immediately following the Merger, Yumanity changed its name to “Kineta, Inc.”

 

Unless the context otherwise requires, references to the “Company,” “Kineta,” the “combined organization,” “we,” “our” or “us” in this Annual Report on Form 10-K refer to Private Kineta and its subsidiaries prior to completion of the Merger and to Kineta, Inc. and its subsidiaries after completion of the Merger. In addition, references to “Yumanity” refer to the registrant prior to the completion of the Merger.

 

The Merger has been accounted for as a reverse merger and asset acquisition in accordance with U.S. generally accepted accounting principles (“U.S. GAAP”). Under this method of accounting, Private Kineta was deemed to be the accounting acquirer for financial reporting purposes. Following the Merger, the business conducted by Private Kineta became the Company’s primary business.

 

Except as otherwise noted, references to “common stock” in this report refer to common stock, $0.001 par value per share, of the Company.

 

CAUTIONARY STATEMENT

 

In February 2024, the Company initiated a process to explore a range of strategic alternatives to maximize shareholder value. Potential strategic alternatives that may be evaluated include sale of assets of the Company, a sale of the Company, licensing of assets, a merger, liquidation or other strategic action. There is no set timetable for this process and there can be no assurance that this process will result in the Company pursuing a transaction or that any transaction, if pursued, will be completed on attractive terms. Additionally, there can be no assurances that any particular course of action, business arrangement or transaction, or series of transactions, will be pursued, successfully consummated, or lead to increased stockholder value. If the strategic process is unsuccessful, the Company’s Board of Directors (the “Board”) may decide to pursue a liquidation or obtain relief under the US Bankruptcy Code.

 

Kineta, Inc. cautions that trading in the Company’s securities is highly speculative and poses substantial risks. Trading prices for the Company’s securities may bear little or no relationship to the actual value realized, if any, by holders of the Company’s securities. Accordingly, the Company urges extreme caution with respect to existing and future investments in its securities.

 

SPECIAL NOTE REGARDING FORWARD-LOOKING STATEMENTS

 

This Annual Report on Form 10-K contains certain statements that constitute “forward-looking statements” within the meaning of Section 27A of the Securities Act of 1933, as amended, and Section 21E of the Securities Exchange Act of 1934, as amended (the “Exchange Act”), and the “safe harbor” provisions of the United States Private Securities Litigation Reform Act of 1995. In some cases, you can identify these forward-looking statements by the use of terms such as “expect,” “will,” “continue,” “believe,” “estimate,” “aim,” “project,” “intend,” “should,” “is to be,” or similar expressions, and variations or negatives of these words, but the absence of these words does not mean that a statement is not forward-looking. All statements other than statements of historical fact are statements that could be deemed forward-looking statements. These forward-looking statements are subject to known and unknown risks, uncertainties and other factors that may cause our actual results, levels of activity, performance, or achievements to differ materially from results expressed or implied in this Annual Report on Form 10-K. The following factors, among others, could cause actual results to differ materially from those described in these forward-looking statements:

plans and expectations for the outcome of strategic alternatives, expectations regarding our strategic alternative review process, and the timing and success of such process regarding a potential transaction;
beliefs about our available options and financial condition;
our ability to fund our planned operations for the next twelve months and our ability to continue as a going concern;
expectations that our cash will be sufficient to fund our operating expenses into the future;
estimates for our expenses and capital requirements;
the timing, progress and results of preclinical studies and clinical trials for our programs and product candidates, including statements regarding the timing of initiation and completion of studies or trials and related preparatory work, the period during which the results of the trials will become available and our research and development programs;
our ability to recruit and enroll suitable patients in our clinical trials;
the potential attributes and benefits of our product candidates;
our ability to develop and advance product candidates into, and successfully complete, clinical studies;

 

1


 

the timing, scope or likelihood of regulatory filings and approvals;
our ability to obtain and maintain regulatory approval for our product candidates, and any related restrictions, limitations or warnings in the label of an approved product candidate;
the implementation of our business model and our strategic plans for our business, product candidates, technology and our discovery engine;
our commercialization, marketing and manufacturing capabilities and strategy;
the pricing and reimbursement of our product candidates, if approved;
the rate and degree of market acceptance of our product candidates, if approved;
our ability to establish or maintain collaborations or strategic relationships or obtain additional funding;
our ability to contract with and rely on third parties to assist in conducting our clinical trials and manufacturing our product candidates;
the size and growth potential of the markets for our product candidates, and our ability to serve those markets, either alone or in partnership with others;
our ability to obtain funding for our operations, including funding necessary to complete further development, approval and, if approved, commercialization of our product candidates;
the period over which we anticipate our existing cash and cash equivalents will be sufficient to fund our operating expenses and capital expenditure requirements;
the potential for our business development efforts to maximize the potential value of our portfolio;
our ability to compete with other companies currently marketing or engaged in the development of treatments for the indications that we are pursuing for our product candidates;
our expectations regarding our ability to obtain and maintain intellectual property protection for our product candidates;
our financial performance;
our ability to retain the continued service of our key professionals and to identify, hire and retain additional qualified professionals;
any statements of the plans, strategies and objectives of management for future operations, including the execution of integration plans and the anticipated timing of filings;
our expectations related to the use of our cash reserves;
our estimates regarding expenses, future revenue, capital requirements and needs for additional financing;
our ability to remediate the material weaknesses in our internal control over financial reporting;
the impact of laws and regulations, including without limitation recently enacted tax reform legislation;
the impact of global economic and political developments on our business, including rising inflation and capital market disruptions, the current conflict in Ukraine and the conflict in Israel and the Gaza Strip, economic sanctions and economic slowdowns or recessions that may result from such developments, which could harm our research and development efforts as well as the value of our common stock and our ability to access capital markets;
the effect of COVID-19 on the foregoing; and
other risks and uncertainties, including those listed under the caption “Risk Factors” in Part I, Item 1A.

 

The forward-looking statements contained in this Annual Report on Form 10-K and the documents incorporated herein by reference are based on our current expectations and beliefs concerning future developments and their potential effects on our business. There can be no assurance that future developments affecting our business will be those that we have anticipated. These forward-looking statements involve a number of risks, uncertainties (some of which are beyond our control) or other assumptions that may cause actual results or performance to be materially different from those expressed or implied by these forward-looking statements. These risks and uncertainties include, but are not limited to, those factors described under the caption “Risk Factors” in Part I, Item 1A of this Annual Report on Form 10-K and under similar headings in the documents that are incorporated by reference herein.

 

 

2


 

Moreover, we operate in a very competitive and rapidly changing environment. New risks and uncertainties emerge from time to time and it is not possible for us to predict all such risk factors, nor can we assess the effect of all such risk factors on our business or the extent to which any factor or combination of factors may cause actual results to differ materially from those contained in any forward-looking statements. Should one or more of these risks or uncertainties materialize, or should any of the assumptions prove incorrect, actual results may vary in material respects from those projected in these forward-looking statements.

The forward-looking statements made by us in this Annual Report on Form 10-K and the documents incorporated herein by reference speak only as of the date of such statement. Except to the extent required under the federal securities laws and rules and regulations of the U.S. Securities and Exchange Commission (the “SEC”), we disclaim any obligation to update any forward-looking statement to reflect events or circumstances after the date on which the statement is made or to reflect the occurrence of unanticipated events. In light of these risks and uncertainties, there is no assurance that the events or results suggested by the forward-looking statements will in fact occur, and you should not place undue reliance on these forward-looking statements.

 

Although we undertake no obligation to revise or update any forward-looking statements, whether as a result of new information, future events or otherwise, except as required by law, you are advised to consult any additional disclosures we make in the documents that we file with the SEC.

 

3


 

PART I

Item 1. Business.

Overview

On February 29, 2024, Kineta announced that it had completed a review of its business, including the status of its programs, resources and

capabilities. Following this review, Kineta determined that it would implement a significant corporate restructuring to substantially reduce expenses and preserve cash. The restructuring includes a reduction in its workforce by approximately 64% and the termination of enrollment of new patients in its ongoing VISTA-101 Phase 1/2 clinical trial evaluating KVA12123 in patients with advanced solid tumors. Patients currently enrolled in the trial will be permitted to continue to participate. The Company made this decision, in part, because certain investors have indicated they will not be able to fulfill their contractual obligation to consummate the Private Placement (as defined below). Kineta has initiated a process to explore a range of strategic alternatives to maximize shareholder value. Potential strategic alternatives that may be evaluated include sale of assets of the Company, a sale of the Company, licensing of assets, a merger, liquidation or other strategic action. There is no set timetable for this process, and there can be no assurance that this strategic review process will result in the pursuit of any transaction or that any transaction, if pursued, will be completed. Additionally, there can be no assurances that any particular course of action, business arrangement or transaction, or series of transactions, will be pursued, successfully consummated, or lead to increased stockholder value. If the strategic process is unsuccessful, the Company's Board may decide to pursue a liquidation or obtain relief under the US Bankruptcy Code. In the event of such liquidation, bankruptcy case, or other wind-down event, holders of the Company's securities will likely suffer a total loss of their investment.

Kineta is a clinical-stage biotechnology company with a mission to develop next-generation immunotherapies that transform patients’ lives. Kineta has leveraged its expertise in innate immunity and is focused on discovering and developing potentially differentiated immunotherapies that address the mechanisms of cancer immune resistance:

Immunosuppression;
Exhausted T cells; and
Poor tumor immunogenicity.

Kineta’s pipeline of potentially next-generation immunotherapies includes (i) KVA12123, a monoclonal antibody (“mAb”), immunotherapy targeting VISTA (V-domain Ig suppressor of T cell activation) and (ii) an anti-CD27 agonist mAb immunotherapy. These novel immunotherapies have the potential to address disease areas with unmet medical needs and significant commercial potential.

KVA12123 is a VISTA blocking immunotherapy in development as an intravenous infusion dosed every two weeks. Kineta dosed the first patient in a Phase 1/2 clinical trial of KVA12123 in the United States in April 2023. The ongoing Phase 1/2 clinical study is designed to evaluate KVA12123 as a monotherapy and in combination with the immune checkpoint inhibitor pembrolizumab in patients with advanced solid tumors. Initial monotherapy safety, pharmacokinetic and biomarker data were presented at the Society for Immunotherapy of Cancer’s (SITC) annual meeting in November 2023. KVA12123 was designed to be a differentiated VISTA blocking immunotherapy to address the problem of immunosuppression in the tumor microenvironment (“TME”). It is a fully human engineered IgG1 monoclonal antibody that binds to VISTA through a unique epitope and across neutral and acidic pHs. KVA12123 may be an effective immunotherapy for many types of cancer, including non-small cell lung cancer (“NSCLC”), colorectal cancer (“CRC”), ovarian cancer (“OC”), renal cell carcinoma (“RCC”) and head and neck squamous cell carcinoma (“HNSCC”). These indications represent a significant unmet medical need with a large worldwide commercial opportunity for KVA12123.

Kineta is also developing an anti-CD27 agonist mAb immunotherapy to address the problem of exhausted T cells. The nominated lead candidate is a fully human mAb that demonstrates nanomolar (“nM”) binding affinity to CD27 in humans. In preclinical studies, Kineta’s lead anti-CD27 candidate demonstrated antitumor efficacy as a single agent and in combination with other immunotherapies in multiple solid and hematological preclinical tumor models. CD27 is a clinically validated target that may be an effective immunotherapy for advanced solid tumors including RCC, CRC and OC. Kineta continues to conduct preclinical studies to optimize its lead anti-CD27 agonist mAb clinical candidate and to evaluate it in combination with other checkpoint inhibitors.

According to Market Data Forecast, the immuno-oncology market generated sales of approximately $111 billion in 2023 and is forecast to reach $201 billion in 2028. If Kineta successfully completes the clinical trial program for KVA12123 and if Kineta subsequently obtains regulatory approval for KVA12123, Kineta will focus on initial target indications in NSCLC, CRC and OC. Initially the clinical development of KVA12123 will be as a second-line therapy in these indications. These three cancer therapy segments represent a forecasted $48 billion market opportunity in 2027 according to GlobalData.

Kineta is a leader in the field of innate immunity and is focused on developing potentially differentiated immunotherapies. With KVA12123 in clinical development and the lead anti-CD27 agonist mAb in preclinical development, Kineta believes it is positioned to achieve multiple value-driving catalysts. Kineta has assembled an experienced management team, a seasoned research and clinical team, an immuno-oncology focused scientific advisory board, and a leading intellectual property position to advance its pipeline of potential novel immunotherapies for cancer patients.

Kineta’s Strategy

 

Kineta’s immediate strategy is to continue its process to explore strategic alternatives.

 

 

4


 

Kineta has initiated a process to explore a range of strategic alternatives to maximize shareholder value. Potential strategic alternatives that may be evaluated include a sale or merger of the Company, the sale of all or a portion of the Company’s assets and/or intellectual property, or securing additional financing or partnerships that would enable further development of our programs. There can be no assurance that this strategic review process will result in the Company pursing any transaction or that any transaction, if pursed, will be completed. If the strategic process is unsuccessful, the Company's Board may decide to pursue a liquidation or obtain relief under the US Bankruptcy Code.

Kineta’s mission is to develop next-generation immunotherapies that transform patients’ lives. Kineta is focused on developing fully human antibodies that address the mechanisms of cancer immune resistance. Kineta is a leader in developing fully human antibody drugs directed against novel innate immune targets. Kineta’s focus on innate immunity differentiates it from other immuno-oncology companies that are primarily focused on adaptive immunity and T cell focused therapies.

The key element of Kineta’s strategy to achieve this mission is to advance the clinical development of Kineta’s lead product candidates. Kineta’s most advanced drug candidate, KVA12123, is a potentially differentiated VISTA blocking immunotherapy currently being tested in a Phase 1/2 clinical trial. Kineta’s IND application for KVA12123 was accepted by the U.S. Food and Drug Administration (the “FDA”) in November 2022. Kineta initiated a Phase 1 dose escalation study with KVA12123 as a monotherapy and in combination with pembrolizumab in patients with advanced solid tumors in the fourth quarter of 2022. Initial data from this clinical trial was released in the fourth quarter of 2023. Kineta is also conducting preclinical studies for its lead anti-CD27 agonist mAb immunotherapy.

 

Unmet medical needs for cancer patients

With improvements in screening and early diagnosis, cancer patient survival has increased considerably, since tumors that are detected and treated early with surgery, conventional chemotherapy or radiation therapy can often be cured. However, for patients who are diagnosed with more advanced or difficult to treat tumors, conventional therapies are often ineffective, and the chance of long-term survival is seriously reduced.

The discovery of novel immune checkpoint inhibitors (“CPIs”) targeting the B7/CD28 family of proteins, including programmed cell-death protein 1 (“PD1”), programmed death-ligand 1 (“PD-L1”) and cytotoxic T lymphocyte associated protein 4 (“CTLA4”) has completely revolutionized cancer treatment. These new immunotherapies provide hope for patients with advanced tumors to achieve long-term remission after treatment.

However promising the existing CPIs are in treating certain clinical indications, several key deficiencies of this approach have become apparent during clinical development and post-marketing use:

Complete response (“CR”) rates for most tumor types, either as a single agent or in combination with other drugs, are low and sometimes similar to conventional chemotherapy. CR is defined as the disappearance of all signs of cancer in response to treatment. There are very few instances where CR rates exceed 10%.
Most patients have no response or a partial response (“PR”). PR occurs when there is a decrease in the size of a tumor, or in the extent of cancer in the body, in response to treatment. Patients who have no response or PR do not achieve durable remission of disease. There are few or no options for subsequent immunotherapy treatment for these patients.
The FDA has only approved three CPI mechanisms (CTLA-4, PD(L)-1 and LAG-3), limiting combination therapy options.
CPIs are not labeled or show poor efficacy in the most frequent types of cancer, including breast cancer, prostate cancer, CRC, OC and pancreatic cancer.

Addressing the major challenges with current cancer therapy

There remains a significant unmet need to improve overall and long-term survival for cancer patients, especially those diagnosed with later stage cancers. New innovations and enhancements to the currently available therapies are urgently needed to address the treatment gaps.

Kineta is developing next-generation immunotherapies to address the major challenges with current cancer treatments. Kineta aims to improve outcomes for cancer patients by solving the major problems of cancer immune resistance.

Kineta’s development approach involves first exploring the main mechanisms of cancer resistance to existing therapies, including CPIs. Kineta focuses on the importance of the innate immune response to achieve a complete adaptive immune response. Kineta has identified that colder, less inflamed and more difficult to treat tumors have three characteristics that Kineta believes can be addressed by its pipeline. Figure 1 below represents the three major mechanisms of cancer immune resistance to therapies that Kineta’s pipeline is designed to address.

 

5


 

Figure 1. The major challenges with current cancer therapies

img147848277_0.jpg 

 

Kineta’s Product Candidate Pipeline

Kineta is devoted to the discovery and development of fully human monoclonal antibodies that target novel innate immune regulators. Kineta is developing two novel innate immune-targeted therapies that may address advanced solid tumors:

KVA12123, an anti-VISTA antagonist (VISTA blocking) mAb immunotherapy to address tumor immunosuppression; and
Anti-CD27 agonist mAb immunotherapy to address exhausted T cells.

Figure 2. Kineta’s pipeline

img147848277_1.jpg 

 

KVA12123: VISTA blocking immunotherapy

KVA12123 is designed to be a differentiated VISTA blocking immunotherapy to address the problem of immunosuppression in the TME. KVA12123 is a VISTA blocking immunotherapy in development as an infusion dosed every two weeks. The drug is being evaluated in an ongoing Phase 1/2 clinical trial as a monotherapy and in combination with pembrolizumab in patients with advanced solid tumors. Through the combination of unique epitope binding and an optimized IgG1 Fc region, KVA12123 demonstrates strong monotherapy tumor growth inhibition in preclinical models without evidence of cytokine release syndrome (CRS) in clinical trial participants. KVA12123 also exhibits an excellent safety profile in initial clinical trial cohorts. KVA12123 has been shown to de-risk the VISTA target and provides a novel approach to address the problem of immunosuppression in the TME with a mechanism of action that is differentiated and complementary to T cell focused therapies. KVA12123 may be an effective immunotherapy for many types of cancer including NSCLC, CRC, OC, RCC and HNSCC.

 

VISTA (V-domain Ig suppressor of T cell activation) is a negative immune checkpoint that suppresses T cell function in a variety of solid tumors. High VISTA expression in tumor correlates with poor survival in cancer patients and has been associated with a lack of response to other immune checkpoint inhibitors. Blocking VISTA induces an efficient polyfunctional immune response to address immunosuppression and drives anti-tumor responses.

There is a strong clinical rationale for targeting VISTA with an antibody immunotherapy. The innate immune target VISTA is highly expressed in

 

6


 

NSCLC, OC, colon cancer, melanoma, pancreatic cancer and gastric cancer and correlates with poor outcomes in cancer patients. VISTA is also up-regulated after CPI therapy (e.g., Keytruda®) and is associated with treatment failure (Figure 3).

Figure 3. VISTA expression is associated with poor overall survival and treatment failure with CPI

img147848277_2.jpg 

Sources: 1. Kuklinski et al. 2018; 2. Kakavand et al. 2017

Blocking VISTA drives an efficient polyfunctional immune response to turn cold tumors hot. VISTA is a novel immuno-oncology target due to its unique expression and activity. First, high VISTA expression on immunosuppressive myeloid cells (tumor associated macrophages and myeloid-derived suppressor cells (MDSCs)) is consistent across tumor types, making it a relevant target across multiple types of cancer. Re-programmed myeloid cells can drive tumor inflammation. VISTA-blockade decreases immune suppression and provides single agent tumor growth inhibition and also improves efficacy of T cell focused therapies like anti-PD(L)1 and anti-CTLA4.

Second, blocking VISTA induces activation of dendritic cells and natural killer (“NK”) cells and ultimately proliferation and infiltration of T cells into the tumor. The combination of myeloid, NK and T cell responses can reverse immunosuppression and drive anti-tumor activity. While many immuno-oncology targets address either T cell or myeloid functions, VISTA has the potential to regulate both.

 

KVA12123 has demonstrated activity on important innate and adaptive immune cells (Figure 4) present in the TME in preclinical assays (in vitro).

Figure 4. Blocking VISTA with KVA12123 activates both innate and adaptive immune cells

img147848277_3.jpg 

 

Additionally, KVA12123 drives an integrated innate and adaptive anti-tumor immune response in tumor models like MB49 bladder tumor (ex vivo).

 

Figure 5. Blocking VISTA with KVA12123 drives anti-tumor responses in MB49 model

 

 

7


 

img147848277_4.jpg 

 

In preclinical models, KVA12123 has been observed to show strong single agent tumor growth inhibition in poorly immunogenic “cold tumors” models and complementary tumor growth inhibition when dosed in combination with CPIs like PD-1 or CTLA-4 as shown in Figure 6 below. Studies in preclinical tumor models demonstrate the tumor growth inhibition of Kineta’s anti-VISTA antibody as a single agent in bladder cancer, T cell lymphoma and colon cancer models. In combination studies, Kineta’s anti-VISTA antibody acts synergistically in combination with anti-PD-1 therapy to inhibit tumor growth in preclinical colon cancer and bladder cancer models.

 

8


 

Figure 6. KVA12123 demonstrates single agent tumor growth inhibition and in combination with PD-1 in preclinical models

img147848277_5.jpg 

img147848277_6.jpg 

Source: Kineta data

Kineta has completed multiple, single and repeat-dose toxicology studies in non-human primates (“NHP”) with doses of KVA12123 up to 100 mg/kg (>100-fold safety margin over target human exposure). KVA12123 was observed to be well-tolerated in NHP toxicology studies with no mortality, no overt clinical signs or weight loss, no treatment-related findings and no change in CRS-associated cytokine levels (IL6 or TNFα). IL6 and TNFα are indicators of CRS.

 

9


 

KVA12123 Competitive Differentiation

The competitive landscape for VISTA blocking immunotherapies includes six primary companies (Kineta, Inc., Curis, Inc., Pierre Fabre Laboratories, Hummingbird Bioscience Pte. Ltd., PharmAbcine, Inc. and Sensei Biotherapeutics, Inc.) with assets in Phase 1 clinical development. Other discovery stage assets have been announced by Apexigen, Inc. and Five Prime Therapeutics (acquired by Amgen Inc.)/Bristol Myers Squibb Company (“BMS”). See Figure 7 below for more information on competitive products in development.

Kineta is developing a VISTA blocking immunotherapy that is designed to be differentiated from competitive products by the following:

Engineered IgG1 mAb that binds to a unique epitope
Binding at physiologic and acidic pH in the TME (See Figure 8)
Demonstrated single agent tumor growth inhibition as a monotherapy and in combination with PD-1 inhibitors (See Figure 6)
Well-tolerated with no CRS-associated cytokine release or neurotoxicity (See Figure 9)

Figure 7. KVA12123: Differentiated VISTA blocking immunotherapy

img147848277_7.jpg 

 

Other discovery stage programs: Apexigen and Five Prime Therapeutics/BMS. Empty cells indicate no public data available

* Curis announced 11/9/2022: “Concentrating its resources to focus on and accelerate emavusertib”, the company’s lead asset and “deprioritization of other programs” (CI-8993)

Kineta believes that KVA12123 may be differentiated as the only antibody in its class with strong single-agent tumor growth inhibition in the absence of cytokine-mediate toxicity.

Figure 8. KVA12123 binds at physiologic and acidic pH

img147848277_8.jpg 

 

Source: Kineta data

 

10


 

Figure 9. KVA12123: No CRS-associated cytokine release seen in preclinical models in NHP toxicology and in human whole blood studies

img147848277_9.jpg 

Source: Kineta data

Clinical rationale for KVA12123

Kineta is developing KVA12123 in large clinical and commercial indications where existing CPIs perform poorly, there is a high unmet medical need and VISTA expression in the TME is high. Clinical applications for KVA12123 are primarily focused on solid tumors with high levels of VISTA expression. KVA12123 may be an effective immunotherapy for many types of cancer, including NSCLC, CRC, OC, RCC and HNSCC and other “cold” difficult-to-treat solid tumors. The lead commercial and clinical indications for KVA12123 are NSCLC, CRC and OC based on the following clinical rationale.

Non-small cell lung cancer (NSCLC)

NSCLC is the leading cause of cancer-related mortality in the United States with more than 200,000 newly diagnosed cases each year. NSCLC accounts for about 85% of all diagnosed cases, and about 70% of newly diagnosed NSCLC is already locally advanced or metastatic. For NSCLC that has spread regionally, five-year relative survival rates are 35%. For NSCLC that has spread to distant locations in the body at the time of diagnosis, five-year survival rates are only 7%. More than half of all newly diagnosed NSCLC patients die within one year.

Current treatment options for advanced NSCLC include chemotherapy with cytotoxic combinations (cisplatin and carboplatin plus paclitaxel, gemcitabine, docetaxel, vinorelbine, irinotecan, protein-bound paclitaxel or pemetrexed), EGFR (epidermal growth factor receptor) tyrosine kinase inhibitors, monoclonal antibodies, and anaplastic lymphoma kinase (“ALK”) inhibitors for ALK-rearranged tumors. Targeted therapies overall show modest increases in progression-free survival (“PFS”) and overall survival (“OS”) relative to chemotherapy alone. Only 1 to 2% of lung adenocarcinomas are BRAF V600E positive, 1% of NSCLC have a ROS1 rearrangement, less than 0.5% have an nRTK (non-receptor tyrosine kinase) fusion and less than 2% have an RET fusion, making most of these additional approved targeted therapies of no benefit to most patients.

Keytruda®, Tecentriq®, Imfinzi® and Libtayo®, all targeting PD-(L)1, have been approved for first-line treatment of advanced NSCLC in combination with chemotherapy. The combination of Opdivo® and Yervoy® has also been approved in first line advanced indications. However, CR rates in this setting are low (less than 5%) and median PFS is increased by only two to seven months over conventional chemotherapy alone. In advanced NSCLC that has progressed following initial treatment, PFS and objective responses are even lower. Imfinzi® is also approved as consolidation therapy following chemoradiation therapy, Tecentriq® and Opdivo® are approved in the adjuvant setting, and Opdivo® is approved in the neoadjuvant setting.

Taken together, the above analysis shows that there is a large population of NSCLC patients globally with advanced, refractory disease that could benefit from novel immunotherapy.

The microenvironment in NSCLC is dominated by immunosuppressive innate immune cells, especially neutrophils and macrophages, making this colder tumor a candidate for treatment with KVA12123. Kineta has conducted immuno-histochemical analysis of VISTA expression on immune cell populations in NSCLC and found high levels in several NSCLC histologies (Figure 10).

 

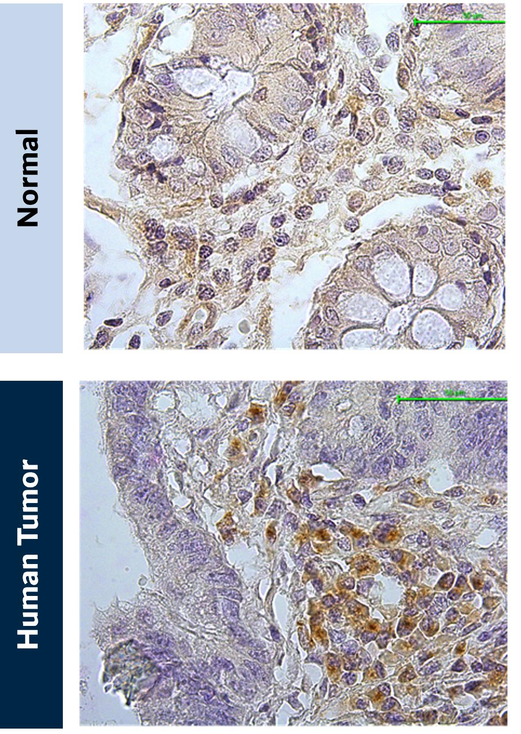
11


 

Figure 10. VISTA expression in NSCLC. (A) Normal lung tissue and (B) NSCLC lung cancer tissue stained for VISTA expression (brown)

img147848277_10.jpg 

Source: Kineta data

Colorectal cancer (CRC)

More than 150,000 patients in the U.S. each year are diagnosed with CRC, and more than 50,000 deaths are attributed to the disease. In advanced and metastatic CRC, five-year survival rates are only 14%. The mainstay of treatment for CRC that is detected early is surgical resection. However, patients diagnosed with locally or regionally advanced disease can benefit from adjuvant chemotherapy, in addition to surgical resection. About 22% of patients are initially diagnosed with advanced or metastatic disease. For these patients, and for patients with recurrent disease, chemotherapy and targeted therapy result in only very slight increases in PFS and OS. Radiation therapy has no proven benefit in CRC. Keytruda®, Yervoy® and Opdivo® are approved for the treatment of mismatch repair deficient or microsatellite unstable/microsatellite instability-high tumors, but this accounts for only 4% of CRC patients.

Like NSCLC, CRC is characterized by many VISTA positive innate immune cells and presents an excellent clinical indication for KVA12123 (Figure 11).

 

12


 

Figure 11. VISTA expression in CRC. (A) Normal colon tissue and (B) colorectal cancer tissue stained for VISTA expression (brown)

img147848277_11.jpg 

Source: Kineta data

Ovarian cancer (OC)

A small number of mostly gynecological cancers express VISTA on tumor cells and on infiltrating immune cells. One example is OC, where tumor cells express high levels of VISTA (Figure 12). More than 60% of OC cases are diagnosed at an advanced stage of disease, and five-year survival rates for these patients are less than 50%. Platinum/taxane combination chemotherapy is widely used in this indication, with modest improvements in PFS and OS. OC represents a third potential clinical indication for KVA12123.

 

 

13


 

Figure 12. VISTA expression in ovarian cancer. (A) Normal ovarian tissue and (B) ovarian cancer tissue stained for VISTA expression (brown)

img147848277_12.jpg 

Source: Kineta data

 

VISTA-101 Clinical Trial (VISTA-101)

 

Kineta announced dosing of the first patient with KVA12123 as a monotherapy in the VISTA-101 trial in April 2023. The ongoing Phase 1/2 clinical study of KVA12123 has continued to enroll monotherapy cohorts and dosed the first patient in combination with pembrolizumab in October 2023.

 

VISTA-101 is a first-in-human (FIH), Phase 1/2, open-label, multicenter, dose escalation, and dose expansion study designed to evaluate the safety, tolerability, pharmacokinetics (“PK”), immunogenicity, and tumor response of the investigational drug KVA12123 as a monotherapy and in combination with pembrolizumab in adults with relapsed or refractory advanced solid tumors.

 

The study is being conducted in 4 parts: Parts A, B, C and D. Parts A and B focus on dose escalation. Parts A (single-agent KVA12123) and B (KVA12123 + pembrolizumab) comprise up to 6 and 4 dose escalation cohorts, respectively, each treating 1-6 participants, to characterize the safety, tolerability, pharmacodynamics (“PD”), PK and preliminary tumor responses of study interventions.

 

Parts C and D will focus on dose expansion. Parts C (single-agent KVA12123) and D (KVA12123 + pembrolizumab) will comprise up to 7 disease-specific dose expansion cohorts (2 for Part C and 5 for Part D), which will commence at the recommended Phase 2 dose (RP2D) to further characterize the safety, tolerability, PD, PK, and preliminary tumor response of KVA12123 as a monotherapy and in combination with pembrolizumab. Part C and Part D will enroll patients with specific tumor types including NSCLC, SCCHN, OC, CRC and RCC as determined in Parts A and B.

 

14


 

Figure 13. KVA12123 Phase 1/Phase 2 dose escalation study design

img147848277_13.jpg 

 

VISTA-101 study objectives

 

VISTA-101 study objectives are outlined below:

 

Primary objectives

Safety and tolerability
Recommended Phase 2 dose or maximum tolerated dose of KVA12123

 

Secondary objectives

Pharmacokinetics
Immunogenicity
Tumor response in subjects with advanced solid tumors per iRECIST (ORR)

 

Exploratory Objectives

Biomarker and receptor occupancy

 

Clinical sites

 

Kineta has engaged seven well-known research sites to conduct the Phase 1 arm of VISTA-101 across the United States only (Figure 14). Three additional sites will be added as the study advances to the Phase 2 dose expansion cohorts.

 

 

 

15


 

Figure 14. VISTA-101 clinical trial sites

 

img147848277_14.jpg 

Clinical collaboration with Merck

Kineta has entered into a clinical trial collaboration and supply agreement with Merck (known as MSD outside the U.S. and Canada). Under this collaboration, Kineta will evaluate the safety, tolerability, PK and anti-tumor activity of KVA12123, its novel anti-VISTA monoclonal antibody, alone and in combination with KEYTRUDA® (pembrolizumab), Merck’s anti-PD-1 therapy, in patients with advanced solid tumors.

Kineta is conducting a Phase 1/2 clinical study evaluating KVA12123 as a single agent and in combination with KEYTRUDA® in patients with advanced solid tumors. The objectives of the study are to evaluate the safety, tolerability, PK and anti-tumor responses of KVA12123 as a monotherapy and in combination with KEYTRUDA® with initial clinical data released in the fourth quarter of 2023. Kineta is responsible for conducting this study.

 

Initial VISTA-101 Clinical Data

 

Kineta presented initial KVA12123 monotherapy clinical data from VISTA-101 at the Society for Immunotherapy of Cancer’s (SITC) 38th Annual Meeting in November 2023.

 

As of January 31, 2024, the Phase 1/2 VISTA-101 trial enrolled 15 patients with advanced solid tumors in the first four monotherapy dose-escalation cohorts, where subjects received either 3, 10, 30 or 100mg of KVA12123 by intravenous infusion every two weeks, and 3 patients in the first combination therapy cohort, where subjects received 30 mg of KVA12123 Q2W and 400 mg of pembrolizumab Q6W. Patients enrolled in VISTA-101 monotherapy arm ranged in gender, ethnicity and age (Figure 15). Patients were heavily pretreated with multiple prior lines of therapy including chemotherapy, radiation and immunotherapy.

 

Figure 15. VISTA-101 baseline patient characteristics

 

img147848277_15.jpg 

 

 

 

 

16


 

 

 

Safety

 

Evaluating the safety and tolerability of KVA12123 is one of the primary objectives of VISTA-101. As of January 31, 2024, 15 patients were dosed in the first four monotherapy cohorts. KVA12123 was well tolerated at all doses and no dose limiting toxicities (“DLT”) were observed. All KVA12123 treatment emergent adverse events were grades 1-2.

 

Figure 16: VISTA-101 KVA12123 was well tolerated in 3, 10, 30 and 100 mg monotherapy cohorts

 

img147848277_16.jpg 

 

Furthermore, no evidence of CRS or associated cytokines including IL-6, TNFα & IL-10 were detected at any of the dose levels.

 

 

 

 

17


 

Figure 17. VISTA-101 No CRS-related cytokine induction observed

 

img147848277_17.jpg 

 

Pharmacokinetics (PK) and Receptor Occupancy (RO)

 

PK is the study of how the body interacts with KVA12123 for the entire duration of exposure after administration. KVA12123 exhibited a greater than dose-proportional pharmacokinetic profile in drug exposure across all evaluated doses, consistent with target-mediated drug disposition at lower doses.

 

Figure 18. VISTA-101 KVA12123 Pharmacokinetics

 

img147848277_18.jpg 

 

To guide the recommended phase 2 dose decision, Kineta developed a proprietary assay to evaluate VISTA receptor occupancy (“RO”) on immune cells from patients treated with KVA12123. This is an important metric for evaluating how well KVA12123 is blocking the VISTA target. KVA12123 achieved a greater than 90% VISTA RO at the 30 mg dose indicating that KVA12123 may be approaching an optimal clinical dose.

 

 

18


 

Figure 19. VISTA-101 KVA12123 VISTA receptor occupancy

 

img147848277_19.jpg 

 

Biomarkers

 

In drug development and clinical trials, biomarkers may be useful to identify patient populations for a study, monitor therapeutic response and identify side effects. KVA12123 demonstrated dose-proportional on-target biomarker immune responses involved in anti-tumor activity. KVA12123 demonstrated significant efficacy-related, dose-dependent cytokine induction of CXCL10, CCL2 (MCP1), CCL3 (MIP1α) and CCL4 (MIP1β), which are involved in immune cell activation and recruitment to the TME (Figure 19). Additionally, increases in anti-tumor immune cell subpopulations including nonclassical monocytes, NK cells, CD4+ T cells and CD8+ T cells were observed during treatment (Figure 20).

 

 

 

19


 

Figure 20. VISTA-101 KVA12123 pro-inflammatory biomarkers

 

 

img147848277_20.jpg 

 

 

Figure 21. VISTA-101 KVA12123 immune cell responses

 

img147848277_21.jpg 

 

 

 

KVA12123 demonstrated induction of pro-inflammatory myeloid derived cytokines/chemokines involved in immune cell activation and recruitment in the TME. Changes in these key biomarkers and immune cell populations are indicative of the anti-tumor effects of blocking VISTA that is

 

20


 

consistent with data from preclinical models (NHP and KO mice). These data validate their use as potential biomarker of VISTA target engagement with KVA12123.

 

 

VISTA-101 Initial Monotherapy Data Summary

 

Safety

Cleared first four KVA12123 monotherapy cohorts (3, 10, 30, 100 mg KVA12123) and the first combination therapy cohort (30 mg KVA12123 plus 400 mg pembrolizumab) with 18 patients dosed
Well tolerated and no DLT were observed
No evidence of CRS-associated cytokines (IL-6, TNFα and IL-10) were detected

 

Pharmacokinetics (PK) and Receptor Occupancy (RO)

KVA12123 administration achieved >90% VISTA RO at doses greater than or equal to 30 mg
PK analyses demonstrated a greater than dose-proportional increase in drug exposure across all evaluated doses, consistent with target-mediated drug disposition at lower doses

Biomarkers

Demonstrated efficacy-related cytokine secretion of CXCL10, CCL2, CCL3 and CCL4
Significant changes in anti-tumor immune cell subpopulations were observed after treatment

Development timeline

 

The ongoing VISTA-101 clinical trial is currently enrolling patients in both monotherapy and combination therapy arms of the study. Initial monotherapy data was presented at SITC in November 2023. Additional monotherapy safety and efficacy data as well as initial combination therapy data are anticipated in the second quarter of 2024. The Company anticipates a meeting with the FDA at the end of Phase 1 and initiating the Phase 2 arms of VISTA-101 in the third quarter of 2024.

Potentially Large Commercial Opportunity for KVA12123

Based on the strong clinical rationale and commercial opportunity, Kineta has identified NSCLC, SCCHN, OC, CRC and RCC as potential initial indications for KVA12123. Data from the Phase 1 / 2 clinical trial will more fully inform the indications to initially pursue for regulatory approval.

 

The projected new annual patients worldwide for each of these initial indications in 2027 totals 984,000 for NSCLC, 243,000 for SCCHN, 142,000 for OC, 1.2 million for CRC and 372,000 for RCC, based on reports from GlobalData. In total, these five initial indications represent an estimated 2.9 million annual new patient opportunity (Figure 21). Improving survival for CPI non-responders remains a critical unmet need that affects ~70% of cancer patients representing 2.0 million patients annually who could be an ideal candidate for treatment with KVA12123.

If Kineta successfully completes the clinical trial program for KVA12123 and if Kineta subsequently obtains regulatory approval for KVA12123, Kineta will focus on initial target indications in NSCLC, CRC and OC as potential commercial opportunities with significant unmet needs. Clinical development of KVA12123 will be initially as a second-line therapy in these indications. The projected therapeutic market size in 2027 for each of these initial indications totals $31.8 billion for NSCLC, $10.3 billion for CRC and $5.9 billion for OC, based on reports from GlobalData. In total, these three initial cancer indications represent an estimated $48 billion market opportunity for KVA12123.

 

 

21


 

Figure 22. Large commercial opportunity in initial indications in solid tumors for KVA12123

img147848277_22.jpg 

 

Source: GlobalData: Global Drug Forecast and Market Analysis to 2028 (1. NSCLC, 2. SCCHN, 3. OC 4. CRC and 5. RCC)

Anti-CD27 agonist mAb immunotherapy

Kineta is developing an anti-CD27 agonist mAb immunotherapy to address the problem of exhausted T cells in the TME. It has been recently demonstrated that it is very difficult to reverse T cell exhaustion. As an alternative approach, Kineta is developing an agonist antibody to a receptor (CD27) present on naïve T cells circulating outside the tumor. Anti-CD27 monoclonal antibodies activate and induce the maturation and migration of naïve T cells. CD27 activation also drives the diversification of the T cell repertoire, lowering the activation threshold of T cells against low affinity tumor antigens. Recent data also suggests that an agonist anti-CD27 antibody can activate important innate immune cell populations like NK cells and inflammatory myeloid cells. These cells contribute to an effective anti-tumor response, especially in CPI-resistant patients.

Recent publications have also demonstrated that anti-CD27 agonist antibodies can drive tumor growth inhibition as a monotherapy and in combination with CPIs.

Figure 23. Activating CD27 demonstrates tumor growth inhibition as a monotherapy and in combination with CPIs

img147848277_23.jpg 

Source: 1. He et al. J. Immunol 2013 2. Turaj et al. Cancer Cell 20173. Buchan et al. Clin. Cancer Research 2018

Kineta has identified a lead candidate out of a diverse set of anti-CD27 agonist antibody sequences. The lead candidate is a fully human monoclonal antibody that has been observed to show nM binding affinity to CD27 in humans. Kineta plans to develop the drug as an intravenous infusion.

 

22


 

In in vitro studies, Kineta’s lead candidate antibodies demonstrate robust agonist activation of T cells and NK cells demonstrating the ability to potentiate new anti-tumor responses (Figure 23).

 

Figure 24. CD27 T cell and NK cell activation

img147848277_24.jpg 

 

Source: Kineta data

 

In preclinical tumor models, Kineta’s anti-CD27 agonist lead mAb has shown strong tumor growth inhibition as a monotherapy and in combination with other checkpoint inhibitors in preclinical tumor models.

 

Figure 25. Lead anti-CD27 agonist mAb demonstrates monotherapy and combination therapy growth inhibition in MC38 preclinical model

 

img147848277_25.jpg 

 

 

 

Source: Kineta data

Kineta is developing a novel anti-CD27 agonist mAb immunotherapy for advanced solid tumors including RCC, OC and CRC.

 

23


 

Strategic Partnerships

KVA12123

Kineta has entered into a clinical trial collaboration and supply agreement with Merck (known as MSD outside the U.S. and Canada). Under this collaboration, Kineta will evaluate the safety, tolerability, PK and anti-tumor activity of KVA12123, its novel anti-VISTA monoclonal antibody, as a monotherapy and in combination with KEYTRUDA® (pembrolizumab), Merck’s anti-PD-1 therapy, in patients with advanced solid tumors.

Effective October 14, 2022, Kineta entered into a Clinical Trial Collaboration and Supply Agreement (the “CTCSA”) with MSD International Business GmbH (“Merck”) to evaluate KVA12123 as a monotherapy and in combination KEYTRUDA® (pembrolizumab), Merck’s anti-PD-1 therapy, in patients with advanced solid tumors. Pursuant to the terms of the CTCSA, each party retains its intellectual property rights, but all joint clinical data and joint inventions shall be jointly owned by the parties. Each party shall bear its own costs related to manufacturing and supply of its compound, as well as be responsible for its own internal costs and expenses to support the clinical trial. During the term of the CTCSA and for a specified period thereafter, either party shall have the option to propose an amendment to the CTCSA or to negotiate a new agreement to conduct a subsequent study. The parties shall negotiate the terms of such amendment or new agreement in good faith.

Unless terminated earlier by either party, the CTCSA will continue in full force and effect until Kineta delivers Merck final versions of the study results memorandum and final report. Either party may terminate the CTCSA upon an uncured material breach by the other party, for reasons related to patient safety, in the event of certain regulatory actions or if development of such party’s compound is discontinued for certain reasons. If the CTCSA is terminated, Kineta is obligated to return or destroy the unused supply of pembrolizumab to Merck.

Kineta is conducting a Phase 1/2 clinical study evaluating KVA12123 as a single agent and in combination with KEYTRUDA® in patients with advanced solid tumors. The objectives of the study are to evaluate the safety, tolerability, pharmacokinetics and anti-tumor responses of KVA12123 as a monotherapy and in combination with KEYTRUDA® with initial clinical data presented in the fourth quarter of 2023. Kineta is responsible for conducting this study, which was initiated in the fourth quarter of 2022.

In-License Agreements

License Agreement with GigaGen, Inc.-VISTA

In August 2020, Kineta entered into an Option and License Agreement with GigaGen, Inc. (“GigaGen”), which was amended in November 2020 and May 2023 (such agreement, as amended, the “VISTA Agreement”) to in-license certain intellectual property and antibodies for the VISTA/KVA12123 drug program. Pursuant to the terms of the VISTA Agreement, GigaGen granted Kineta an exclusive (even as to GigaGen) world-wide license, with the right to grant sublicenses to research, develop, make, have made, use, have used, offer for sale, sell, have sold, distribute, import, have imported, export and have exported and otherwise exploit the licensed antibodies and licensed products. Upon Kineta’s exercise of the option, Kineta made an upfront payment of cash to GigaGen and issued Kineta equity to GigaGen. In December 2020, Kineta exercised its exclusive option to GigaGen’s intellectual property rights to develop, manufacture and commercialize six antibodies and derivatives identified by GigaGen that target VISTA and subsequently made a cash payment of $400,000 and issued 7,818 shares of common stock to GigaGen per the terms of the VISTA Agreement. In May 2023, Kineta achieved initiation of the Phase 1 clinical trial milestone and incurred $500,000 in fees to Gigagen per the terms of the VISTA Agreement. From inception of the VISTA Agreement through December 31, 2023, Kineta has incurred $1.3 million of expense to GigaGen for the license to certain antibodies and development antibodies.

Under the VISTA Agreement, GigaGen is eligible to receive approximately $20.4 million in development and regulatory milestone payments and up to $8.0 million in sales milestone payments. In addition, GigaGen is eligible to receive low single-digit royalty percentages based on net sales. Kineta is responsible (with input from GigaGen) for the preparation, filing, prosecution and maintenance of all patents and patent applications, and all associated costs.

The VISTA Agreement shall remain in effect on a licensed product-by-licensed product and country-by-country basis, until the expiration of the royalty term for a licensed product in a country, which, based on the expiration of the last-to-expire valid claim of the two current patent applications (without any patent term adjustment or extensions) would be February 2042 and March 2044, respectively. Kineta may terminate the VISTA Agreement with 30 days’ written notice to GigaGen. Either party has the right to terminate the VISTA Agreement upon a material breach of the other party that is not cured within 90 days after the breaching party receives written notice of such breach from the non-breaching party.

License Agreement with GigaGen, Inc.-CD27

In June 2021, Kineta entered into an Option and License Agreement with GigaGen, as amended in July 2022, December 2022, May 2023 and December 2023 (such agreement, as amended, the “CD27 Agreement”) to in-license certain intellectual property rights and antibodies for the CD27 drug program. Pursuant to the terms of the CD27 Agreement, GigaGen granted Kineta an exclusive (even as to GigaGen) world-wide license, with the right to grant sublicenses to research, develop, make, have made, use, have used, offer for sale, sell, have sold, distribute, import, have imported, export and have exported and otherwise exploit the licensed antibodies and licensed products. Upon Kineta’s exercise of the option, Kineta made an upfront payment of cash to GigaGen and issued shares of common stock to GigaGen. From inception of the CD27 Agreement through December 31, 2023, Kineta has incurred $80,000 of expense to GigaGen to maintain its rights to exercise its license to certain antibodies and development antibodies. In January 2024, Kineta exercised its exclusive option to GigaGen’s intellectual property rights to develop, manufacture and commercialize antibodies and derivatives identified by GigaGen that target CD27 and subsequently incurred license fees of $100,000 and issued 91,240 shares of common stock to GigaGen per the terms of the CD27 Agreement.

 

 

24


 

Under the CD27 Agreement, GigaGen is eligible to receive approximately $20.4 million in development and regulatory milestone payments and up to $11.0 million in sales milestone payments. In addition, GigaGen is eligible to receive low single-digit royalty percentages based on net sales. Kineta is responsible (with input from GigaGen) for the preparation, filing, prosecution and maintenance of all patents and patent applications, and all associated costs.

 

The CD27 Agreement shall remain in effect on a licensed product-by-licensed product and country-by-country basis, until the expiration of the royalty term for a licensed product in a country. Kineta may terminate the CD27 Agreement with 30 days’ written notice to GigaGen. Either party has the right to terminate the CD27 Agreement upon a material breach of the other party that is not cured within 90 days after the breaching party receives written notice of such breach from the non-breaching party.

 

 

Out-License Agreements

 

Merck & Co., Inc.

 

In connection with the Merger, Kineta became the successor in interest to an exclusive license and research collaboration agreement with Merck & Co., Inc. to support research, development and commercialization of products for treatment of amyotrophic lateral sclerosis and frontotemporal lobar dementia (the “Merck Neuromuscular License Agreement”).

 

On June 29, 2023, Kineta achieved a development milestone which triggered a $5.0 million payment. Merck will continue to advance the research program for the ALS pipeline, one of the two pipeline programs licensed under the Merck Neuromuscular License Agreement. As a result, the Company is eligible to receive up to an additional $255.0 million in development milestones and royalties on net sales. Following this milestone, Merck assumed sole responsibility for all future development and commercialization for the ALS program.

 

Genentech, Inc.

 

In connection with the Merger, Kineta became the successor in interest to an exclusive technology transfer and license agreement with Genentech, Inc. to support research, development and commercialization of a small molecule product with an undisclosed target (the “Genentech Small Molecule License Agreement”).

 

FAIR Therapeutics, B.V.

 

In connection with the Merger, Kineta became the successor in interest to an exclusive license agreement with FAIR Therapeutics, B.V. to support research, development and commercialization of products for the treatment of cystic fibrosis (the “FAIR License Agreement”) .

 

Merck, Genentech and Fair Therapeutics assumed sole responsibility for all future development and commercialization of the licensed products. These license agreements offer the potential for Kineta to receive up to ~$1.3 billion in potential milestone payments plus royalties on net sales for any products that make it to market. Kineta does not count potential revenues from these license agreements in the Company’s financial forecasts, but they do offer the potential for significant non-dilutive capital.

 

 

Clinical Trial Services Agreement

 

In January 2023, Kineta entered into a Master Services Agreement with PPD Development L.P. (“PPD”) to provide services and support to Kineta in connection with the development and execution of a Phase 1/Phase 2 clinical trial in immuno-oncology (the “PPD Agreement”). Under the PPD Agreement, PPD will assist Kineta with, among other things, identifying clinical sites to participate in the Phase 1/Phase 2 trial of KVA12123 in treating advanced solid tumor cancer patients, identifying potential clinical sites, initiating and opening clinical sites and monitoring and validating research at each site involved in the trial. In addition, PPD will also provide support in preparing and developing interim safety data reports for review and analysis by the independent safety monitoring committee. Pursuant to the terms of the PPD Agreement, Kineta will pay PPD on periodic basis and will pay the pass-through costs associated with the conduct of the Phase 1 clinical trial.

 

The PPD Agreement expires five years from the effective date of the PPD Agreement unless extended by mutual consent of the parties. Either party may terminate the PPD Agreement or a project addendum upon 30 days’ prior written notice (and 120 days’ prior written notice for medical information contact center services) and may terminate immediately in the case of insolvency.

 

Drug Manufacturing Organizations Agreements

Master Development Services Agreement with Samsung Biologics Co., Ltd.

In July 2021, Kineta entered into a Master Development Services Agreement (the “Samsung Agreement”) with Samsung Biologics Co., Ltd. (“Samsung”) to perform biologics development and manufacturing services for the VISTA program. Under the Samsung Agreement, Samsung will provide services pursuant to product-specific agreements, which specify the services to be provided, deliverables, payments due and timelines, in accordance with cGMP, where applicable. The services will be performed at Samsung’s facility and Samsung will maintain manufacturing documentation for the manufacturing process. Kineta will provide adequate materials for Samsung to carry out the services and will pay Samsung pre-negotiated fees for product-specific services related to VISTA.

 

25


 

The Samsung Agreement gives Kineta a worldwide, non-exclusive sublicensable, royalty-free license to any Samsung intellectual property or invention that is incorporated into the service deliverables to further develop, manufacture, make, use, sell, offer to sell, export and import certain clinical products. Pursuant to the terms of the Samsung Agreement, Kineta and Samsung will each continue to own their respective background intellectual property and any inventions derived from their respective intellectual property and confidential information.

The Samsung Agreement expires five years from the effective date of the Samsung Agreement and will automatically renew for successive two-year terms unless either party gives the other party written notice of termination at least six months prior to the end of the then-current Samsung Agreement term. Either party may terminate the Samsung Agreement or a product-specific agreement in the event of a material breach by the other party that is not cured within 30 days’ written notice or in the event of insolvency.

Intellectual Property

Kineta has established a broad intellectual property portfolio, including patent applications covering the composition of Kineta’s product candidates and related technology, and other inventions that are important to Kineta’s business. Kineta works with its outside patent counsel to employ various life-cycle management patent strategies, such as managing public disclosures prior to patent application filing, timing of filing the patent application, drafting clear claims language and filing follow-on patent applications for patents on new drug formulations and new indications (such as pediatrics or rare diseases), all of which optimize the value of the patent portfolio and can extend the product life cycle, giving Kineta an advantage for extended patent term and a broader scope of protection for novel technologies. Kineta seeks to maximizes patent term restoration and patent term adjustment opportunities. When appropriate, Kineta also takes advantage of the Patent Prosecution Highway (“PPH”), which is a framework that reduces duplication of effort of multiple patent offices. The PPH allows the patent office in a country of a second filing to take advantage of the work of the patent office in the country of first filing by allowing the country of a second filing to use the search results related to the allowed claims in the first country, accelerating the examination process, increasing the allowance rate of claims and reducing the number of office actions issued for an application.

As of January 31, 2024, Kineta’s patent portfolio as it pertains to its key product candidates included thirteen (13) national phase applications in the KVA-001 patent family related to VISTA. The countries are as follows: U.S., Australia, Brazil, Canada, China, Europe (European Patent Office (“EPO”)), Israel, India, Japan, Korea, Mexico, Russia, and Singapore. Its estimated expiration date without any patent term adjustment or extension is 20 years from filing, i.e., February 18, 2042. The portfolio also includes two (2) provisional applications. One is in the KVA-002 family related to VISTA and is scheduled for PCT filing in late March of 2024. The second is in the KA27-001 family related to anti-CD27 antibodies and is scheduled for PCT filing in September 2024. The estimated expiration dates for these provisional applications, without any patent term adjustment, are twenty years from filing, i.e. March 29, 2044 and September 29, 2044, respectively.

 

 

 

In addition to patents, Kineta may rely, in some circumstances, on trade secrets to protect its technology. Kineta seeks to protect its proprietary technology and processes, and obtain and maintain ownership of certain technologies, in part, by confidentiality and invention assignment agreements with its employees, consultants, scientific advisors and contractors. Kineta also seeks to preserve the integrity and confidentiality of its data and trade secrets by maintaining physical security of its premises and physical and electronic security of its information technology systems.

Kineta’s patent strategy focuses on securing market exclusivity through a portfolio of patents and claim sets to ensure broad based protection for Kineta’s innovative technologies. Geographically, Kineta files patents in those countries that account for 90% of the revenue of the global pharmaceutical market as well as several additional markets due to their strategic importance, including the U.S., EU, Japan, Korea, China, India, Singapore, Switzerland, Russia, Canada and Mexico.

Kineta’s patent strategy includes filing for multiple claim sets that include both specific patent claims as well as broader based claims. This approach helps to protect the innovative science at Kineta and to protect its intellectual property. Kineta’s filing strategy includes filing for patent claims for (i) composition of matter, (ii) picture claims and sequences, (iii) product uses and indications, (iv) manufacturing and (v) pharmaceutical properties and characteristics.

The table below summarizes the high-level filing strategy of Kineta’s existing patent portfolio:

 

 

 

 

VISTA
patents
(KVA12123)

 

VISTA
patents
(KVA12123)

 

Anti-CD27
patents

 

 

 

 

 

 

 

 

Patent Family

 

 

KVA-001

 

KVA-002

 

KA27-001

Composition of matter

 

 

Y

 

Y

 

Y

Methods of Manufacturing

 

 

Y

 

Y

 

Y

Sequences/Structure

 

 

Y

 

Y

 

Y

Indications

 

 

Y

 

Y

 

Y

Specification on use (mono or combo)

 

 

Y

 

Y

 

Y

Binding characteristics

 

 

Y

 

Y

 

Y

Immune cell regulation

 

 

Y

 

Y

 

Y

Physiologic properties

 

 

Y

 

Y

 

Y

Discovery Candidates

 

 

To be added on a rolling basis

 

To be added on a rolling basis

 

To be added on a rolling basis

 

 

26


 

 

Kineta strives to protect the proprietary technologies that it believes are important to its business, including by seeking, maintaining and defending patent rights, whether developed internally or in conjunction with or in-licensed from third parties. Kineta also relies on trade secrets relating to its monoclonal antibodies, know-how, continuing technological innovation and in-licensing opportunities to develop, strengthen and maintain its proprietary position in the field of innate immunity and fully human antibodies.

As more fully described above, as of January 31, 2024, Kineta’s patent portfolio included 13 U.S. and foreign applications, which entered national phase in 2023. The portfolio also included a provisional application in the KVA-002 family related to VISTA, scheduled for PCT filing early in 2024, and a provisional application in the KA27-001 family related to anti-CD27 antibodies, scheduled for PCT filing later in 2024.

Kineta also relies on trade secrets and careful monitoring of its proprietary information to protect aspects of its business that are not amenable to, or that Kineta does not consider appropriate for, patent protection.

Kineta’s success will depend significantly on its ability to:

Obtain and maintain patent and other proprietary protection for commercially important technology, inventions and know-how related to its business;
Defend and enforce its patents;
Maintain its licenses to use intellectual property owned by third parties; and
Preserve the confidentiality of its trade secrets and operate without infringing the valid and enforceable patents and other proprietary rights of third parties.

Although Kineta takes steps to protect its proprietary information and trade secrets, including through contractual means with its employees and consultants, third parties may independently develop substantially equivalent proprietary information and techniques or otherwise gain access to Kineta’s trade secrets or disclose its technology. Thus, Kineta may not be able to meaningfully protect its trade secrets.

In addition, a third party may hold intellectual property, including patent rights that are important or necessary to the development of Kineta’s products. It may be necessary for Kineta to use the patented or proprietary technology of third parties to commercialize its products, in which case Kineta would be required to obtain a license from these third parties on commercially reasonable terms, or Kineta’s business could be harmed, possibly materially. For example, certain of the methods for Kineta’s fully human antibodies are covered by patents held by third parties. Although Kineta has obtained exclusive licenses to these patents from these third parties on what Kineta believes are commercially reasonable terms, if Kineta were not able to obtain a license on similar technology, or were not able to obtain a license on commercially reasonable terms, its business could be harmed, possibly materially.

The patent positions of biopharmaceutical companies like Kineta are generally uncertain and involve complex legal, scientific and factual questions. In addition, the coverage claimed in a patent application can be significantly reduced before the patent is issued, and its scope can be reinterpreted after issuance. Consequently, Kineta does not know whether any of its product candidates will be protectable or remain protected by enforceable patents.

Kineta cannot predict whether the patent applications it is currently pursuing will issue as patents in any particular jurisdiction or whether the claims of any issued patents will provide sufficient proprietary protection from competitors. Any patents that Kineta holds may be challenged, circumvented or invalidated by third parties.

Because patent applications in the United States and certain other jurisdictions are maintained in secrecy for 18 months, and since publication of discoveries in the scientific or patent literature often lags behind actual discoveries, Kineta cannot be certain of the priority of inventions covered by pending patent applications. Moreover, Kineta may have to participate in interference proceedings declared by the United States Patent and Trademark Office (“USPTO”) or a foreign patent office to determine priority of invention or in post-grant challenge proceedings, such as oppositions, that challenge priority of invention or other features of patentability. Such proceedings could result in substantial cost, even if the eventual outcome is favorable to Kineta.

The term for individual patents depends upon the legal term for patents in the countries in which they are granted. In most countries, including the United States, the patent term is 20 years from the earliest claimed filing date of a non-provisional patent application in that country or the international filing date. In the United States, a patent’s term may, in certain cases, be lengthened by patent term adjustment, which compensates a patentee for administrative delays by the USPTO in examining and granting a patent, or may be shortened if a patent is terminally disclaimed over a commonly owned patent or a patent naming a common inventor and having an earlier expiration date.

The Drug Price Competition and Patent Term Restoration Act of 1984 permits a patent term extension of up to five years beyond the expiration date of a U.S. patent as partial compensation for the length of time the drug is under regulatory review while the patent is in force. A patent term extension cannot extend the remaining term of a patent beyond a total of 14 years from the date of product approval. Only one patent applicable to each regulatory review period may be extended and only those claims covering the approved drug, a method for using it or a method for manufacturing it

 

27


 

may be extended. Similar provisions are available in the EU and certain other foreign jurisdictions to extend the term of a patent that covers an approved drug.

In the future, to the extent Kineta’s product candidates, including KVA12123, receive approval by the FDA or foreign regulatory authorities, Kineta expects to apply for patent term extensions on issued patents covering those products, depending upon the length of the clinical trials for each drug and other factors.

Manufacturing

Kineta does not maintain manufacturing facilities or personnel. Kineta currently relies, and expects to continue to rely, on third parties for the manufacture of its product candidates for preclinical testing, clinical study evaluation and for commercial manufacture if its product candidates receive regulatory approval.

Kineta established a manufacturing agreement with Samsung in July 2021 to provide end-to-end contract development and manufacturing services, including cell line development, manufacturing process development, clinical drug substance and drug product manufacturing and IND filing support for KVA12123. Samsung has no commercial rights to KVA12123 or any other Kineta assets.

Commercialization

Kineta has not yet established a sales, marketing or product distribution infrastructure for its product candidates, which are still in preclinical or early clinical development. Kineta believes that it will be possible to access the United States oncology market through a focused, specialized sales force. Kineta has not yet developed a commercial strategy outside of the United States and will likely seek a strategic partner for these markets.

Subject to receiving marketing approvals, Kineta expects to commence commercialization activities by building a focused sales and marketing organization in the United States to sell its products. Kineta believes that such an organization will be able to address the community of oncologists who are the key specialists in treating cancer patients for which its product candidates are being developed.

Competition

Some of Kineta’s proposed products will face competition from approved therapeutics. Competition for Kineta’s pipeline products comes primarily from large, well-established pharmaceutical companies, who have greater financial resources and expertise in research and development, manufacturing, conducting clinical trials and marketing approved products. Mergers and acquisitions within the pharmaceutical and biotechnology industries may further concentrate competitors’ resources. Kineta is not only competing with these companies in terms of technology, but also in recruiting and retaining qualified scientists and management personnel, in establishing partnerships with clinical trial sites and in registering patients into clinical trials.

In addition to current standard of care for patients, clinical trials are being pursued by a number of parties in the field of immuno-oncology and in Kineta’s lead indications. These products in development may provide efficacy, safety, convenience and other benefits that are not provided by currently marketed therapies. As a result, they may provide significant competition for any of Kineta’s product candidates for which it obtains marketing approval. Based on publicly available information, the following are some of the products being developed by competitors in indications overlapping with those of Kineta’s programs.

Oncology landscape

For the last 150 years, cancer treatment was dominated by surgery, chemotherapy, radiation therapy and hormonal therapy. Before 1997, all available chemotherapy drugs for cancer were generic in their mechanism of action, designed to either kill rapidly dividing cells or deprive them of essential growth factors. Since 1997 the field has witnessed an emergence of many targeted agents for cancer, including in 2011, the first CPI for cancer, ipilimumab or Yervoy®.

Immunotherapies are unique in cancer treatment in that they do not kill cancer cells directly, but rather enhance the endogenous immune response to tumors. By enhancing the immune response, it is now possible to obtain dramatic and long-lasting tumor regressions, even in patients with advanced or otherwise incurable cancers. There exist today four broad categories of marketed immunotherapies:

Cell-based therapies (e.g., CAR T cells);
Vaccines (e.g., BCG);
Oncolytic viruses (e.g., T-Vec); and
Immunomodulators (e.g., CPIs).

Immune checkpoint inhibitors (CPIs)

 

28


 

The most widely prescribed and effective group of treatments are the CPIs. Since 2011, nine CPIs have been approved in the United States, primarily for the treatment of advanced or metastatic solid tumors. CPIs that have been approved by the FDA only have a few different mechanisms of action. They either block the interaction of PD1 with its ligands (PD-L1 or -L2), or they block the interaction of CTLA4 with its ligands (CD80 or CD86). Since both PD1 and CTLA4 serve as breaks on the T-cell-driven immune response, antibodies that block these interactions enhance the activation of effector T cells. Additionally, the first LAG-3 inhibitor was FDA approved in combination with a PD1 inhibitor in March 2022.

Because there is such a large population of advanced cancer patients for whom there are few available treatments, the CPIs have become widely used, and this is reflected in the commercial success of the group. However, despite more than a decade of development, existing CPIs still address only two distinct mechanisms of action and are effective in only a fraction of treated patients.

Several key CPI deficiencies have become apparent from the clinical data:

CR rates for most tumor types, either as a single agent or in combination with other drugs, are low and sometimes similar to conventional chemotherapy. There are very few instances where CR rates exceed 10%.
Most patients have no response or PR and do not achieve durable remission of disease. There are few or no options for subsequent immunotherapy treatment of these patients.
Only a few CPI mechanisms are FDA approved, limiting combination therapy options.
CPIs are not labeled or show poor efficacy in the most frequent types of cancer, including breast cancer, NSCLC, prostate cancer and CRC.

Because the key to successful cancer treatment often involves the use of complex combination therapies, the immuno-oncology field urgently needs additional immunotherapies that do not increase the burden of drug related toxicity. Kineta is developing novel immunotherapies that address the mechanisms of cancer resistance where current therapies fail.

KVA12123 (VISTA) Competition

There are currently no approved VISTA blocking immunotherapies on the market. The competitive landscape includes six primary companies with assets in Phase 1 clinical development (Figure 25). Other discovery stage assets have been announced by Apexigen, Inc. and Five Prime Therapeutics (acquired by Amgen Inc.)/BMS.

 

Figure 26. VISTA competitive landscape

 

img147848277_26.jpg 

 

 

Other discovery stage programs: Apexigen and Five Prime Therapeutics/BMS.

Anti-CD27 Agonist mAb Immunotherapy Competition

The competitive landscape for anti-CD27 agonist immunotherapies is led by Merck & Co., Inc. and Celldex Therapeutics, Inc. Merck is developing an anti-CD27 agonist immunotherapy that is in Phase 2 clinical trials. Celldex Therapeutics, Inc. was developing a bi-specific antibody with PD-L1 for patients with OC that is in Phase 1 clinical trials, but was recently discontinued. Other discovery stage assets have been announced by Apogenix AG, Ligand Pharmaceuticals Incorporated, Shanghai Henlius Biotech, Avacta Life Sciences and Boston Immune Technologies and Therapeutics, Inc.

 

29


 

Government Regulation

Government authorities in the U.S., at the federal, state and local levels, and other countries extensively regulate, among other things, the research, development, testing, manufacture, quality control, approval, labeling, packaging, storage, record-keeping, promotion, advertising, distribution, marketing and export and import of products such as those we are developing. A new drug must be approved by the FDA through the new drug application (“NDA”) process before it may be legally marketed in the U.S.

U.S. Drug Development Process

In the U.S., the FDA regulates drugs under the federal Food, Drug, and Cosmetic Act (the “FDCA”), and its implementing regulations. The process of obtaining regulatory approvals and the subsequent compliance with appropriate federal, state, local and foreign statutes and regulations require the expenditure of substantial time and financial resources. Failure to comply with the applicable U.S. requirements at any time during the product development process, approval process or after approval may subject an applicant to administrative or judicial sanctions. These sanctions could include the FDA’s refusal to approve pending applications, withdrawal of an approval, a clinical hold, warning letters, product recalls, product seizures, total or partial suspension of production or distribution, injunctions, fines, refusals of government contracts, restitution, disgorgement or civil or criminal penalties. Any agency or judicial enforcement action could have a material adverse effect on Kineta.

The process required by the FDA before a drug may be marketed in the U.S. generally involves the following:

completion of preclinical laboratory tests, animal studies and formulation studies in accordance with GLP regulations and other applicable regulations;
submission to the FDA of an IND, which must become effective before human clinical trials may begin;
approval by an independent institutional review board (“IRB”) at each clinical site before each trial may be initiated;
performance of adequate and well-controlled human clinical trials in accordance with Good Clinical Practice (“GCP”) regulations to establish the safety and efficacy of the proposed drug for its intended use;
submission to the FDA of an NDA or a biologics license application (“BLA”);
a determination by the FDA within 60 days of its receipt of an NDA or BLA to accept the filing for review;
satisfactory completion of an FDA advisory committee review, if applicable;
satisfactory completion of an FDA inspection of the manufacturing facility or facilities at which the drug is produced to assess compliance with current GMP (“cGMP”) requirements to assure that the facilities, methods and controls are adequate to preserve the drug’s identity, strength, quality and purity; and
satisfactory completion of other studies required by the FDA, including immunogenicity, carcinogenicity, genotoxicity and stability studies;
FDA review and approval of the NDA or BLA to permit commercial marketing and sales of the product for particular indications for use in the U.S.; and
compliance with any post-approval requirements, including the potential requirement to implement a risk evaluation and mitigation strategy (“REMS”) and the potential requirement to conduct post-approval studies.

Once a pharmaceutical candidate is identified for development, it enters the preclinical testing stage. Preclinical tests include laboratory evaluations of product chemistry, toxicity and formulation, as well as animal studies. An IND sponsor must submit the results of the preclinical tests, together with manufacturing information and analytical data, to the FDA as part of the IND. An IND is a request for authorization from the FDA to administer an investigational new drug product to humans. The sponsor will also include a protocol detailing, among other things, the objectives of the first phase of the clinical trial, the parameters to be used in monitoring safety and the effectiveness criteria to be evaluated, if the first phase lends itself to an efficacy evaluation. Some preclinical testing may continue even after the IND is submitted. The IND automatically becomes effective 30 days after receipt by the FDA, unless the FDA, within the 30-day time period, places the clinical trial on a clinical hold. In such a case, the IND sponsor and the FDA must resolve any outstanding concerns before the clinical trial can begin. Clinical holds also may be imposed by the FDA at any time before or during clinical trials due to safety concerns about on-going or proposed clinical trials or non-compliance with specific FDA requirements, and the trials may not begin or continue until the FDA notifies the sponsor that the hold has been lifted. Submission of an IND therefore may or may not result in FDA authorization to begin a clinical trial.

All clinical trials must be conducted under the supervision of one or more qualified investigators in accordance with GCP regulations, which include the requirement that all research subjects provide their informed consent in writing for their participation in any clinical trial. They must be conducted under protocols detailing, among other things, the objectives of the trial, dosing procedures, subject selection and exclusion criteria and the safety and effectiveness criteria to be evaluated. Each protocol must be submitted to the FDA as part of the IND as well as any subsequent protocol amendments, and timely safety reports must be submitted to the FDA and the investigators for serious and unexpected adverse events. An IRB at each institution participating in the clinical trial must review and approve each protocol before a clinical trial commences at that institution and must also approve the information regarding the trial and the consent form that must be provided to each trial subject or his or her legal representative,

 

30


 

monitor the study until completed and otherwise comply with IRB regulations.

Human clinical trials are typically conducted in three sequential phases that may overlap or be combined:

Phase 1: The product candidate is initially introduced into healthy human volunteers and tested for safety, dosage tolerance, absorption, metabolism, distribution and excretion and, if possible, to gain an early indication of its effectiveness. In the case of some products for severe or life-threatening diseases, such as cancer, especially when the product may be too inherently toxic to ethically administer to healthy volunteers, the initial human testing is often conducted in patients. Sponsors sometimes designate their Phase 1 clinical trials as Phase 1a or Phase 1b. Phase 1b clinical trials are typically aimed at confirming dosing, pharmacokinetics and safety in larger number of patients. Some Phase 1b studies evaluate biomarkers or surrogate markers that may be associated with efficacy in patients with specific types of diseases.
Phase 2: This phase involves clinical trials in a limited patient population to identify possible adverse effects and safety risks, to preliminarily evaluate the efficacy of the product for specific targeted diseases and to determine dosage tolerance and appropriate dosage.
Phase 3: Clinical trials are undertaken to further evaluate dosage, clinical efficacy and safety in an expanded patient population, generally at geographically dispersed clinical study sites. These clinical trials are intended to establish the overall risk-benefit ratio of the product candidate and provide, if appropriate, an adequate basis for product labeling.

Post-approval trials, sometimes referred to as Phase 4 studies, may be conducted after initial marketing approval. These trials are used to gain additional experience from the treatment of patients in the intended therapeutic indication. In certain instances, the FDA may mandate the performance of Phase 4 clinical trials as a condition of approval of an NDA.

The FDA or the sponsor may suspend a clinical trial at any time on various grounds, including a finding that the research subjects or patients are being exposed to an unacceptable health risk. Similarly, an IRB can suspend or terminate approval of a clinical trial at its institution if the clinical trial is not being conducted in accordance with the IRB’s requirements or if the drug has been associated with unexpected serious harm to patients. In addition, some clinical trials are overseen by an independent group of qualified experts organized by the sponsor, known as a data safety monitoring board or committee. Depending on its charter, this group may determine whether a trial may move forward at designated check points based on access to certain data from the trial.

During the development of a new drug, sponsors are given opportunities to meet with the FDA at certain points. These points may be prior to submission of an IND, at the end of Phase 2, and before an NDA or BLA is submitted. Meetings at other times may be requested. These meetings can provide an opportunity for the sponsor to share information about the data gathered to date, for the FDA to provide advice, and for the sponsor and the FDA to reach agreement on the next phase of development. Sponsors typically use the meetings at the end of the Phase 2 trial to discuss Phase 2 clinical results and present plans for the pivotal Phase 3 clinical trials that they believe will support approval of the new drug.

Concurrent with clinical trials, companies usually complete additional animal studies and must also develop additional information about the chemistry and physical characteristics of the drug and finalize a process for manufacturing the product in commercial quantities in accordance with cGMP requirements. The manufacturing process must be capable of consistently producing quality batches of the product candidate and, among other things, the manufacturer must develop methods for testing the identity, strength, quality and purity of the final drug. In addition, appropriate packaging must be selected and tested and stability studies must be conducted to demonstrate that the product candidate does not undergo unacceptable deterioration over its shelf life.

While the IND is active and before approval, progress reports summarizing the results of the clinical trials and nonclinical studies performed since the last progress report must be submitted at least annually to the FDA, and written IND safety reports must be submitted to the FDA and investigators for serious and unexpected suspected adverse events, findings from other studies suggesting a significant risk to humans exposed to the same or similar drugs, findings from animal or in vitro testing suggesting a significant risk to humans, and any clinically important increased incidence of a serious suspected adverse reaction compared to that listed in the protocol or investigator brochure.

There are also requirements governing the reporting of ongoing clinical trials and completed trial results to public registries. Sponsors of certain clinical trials of FDA-regulated products are required to register and disclose specified clinical trial information, which is publicly available at www.clinicaltrials.gov. Information related to the product, patient population, phase of investigation, trial sites and investigators and other aspects of the clinical trial is then made public as part of the registration. Sponsors are also obligated to discuss the results of their clinical trials after completion.

Disclosure of the results of these trials can be delayed until the new product or new indication being studied has been approved.

Kineta may be required to develop and implement additional clinical trial policies and procedures designed to help protect subjects from any future pandemic or public health crisis. For example, during the COVID-19 pandemic, the FDA issued a number of COVID-19 related guidance documents for manufacturers and clinical trial sponsors, many of which have expired or were withdrawn with the termination of the COVID-19 public health emergency declaration in May 2023, although some COVID-19 related guidance documents continue in effect. Depending on the severity and duration of any resurgence of COVID-19 and its variants, the FDA may issue additional guidance and policies that may materially impact our

 

31


 

business and clinical development timelines. The ultimate impact of the COVID-19 pandemic on our business operations and clinical development plans will depend on future developments, including the severity and duration of any resurgence of COVID-19 and its variants. If new guidance and policies are promulgated by the FDA that require changes in our clinical protocol or clinical development plans, our anticipated timelines and regulatory approval may be delayed or materially impacted.

NDA Review and Approval Process

The results of product development, preclinical and other non-clinical studies and clinical trials, along with descriptions of the manufacturing process, analytical tests conducted on the chemistry of the drug, proposed labeling and other relevant information are submitted to the FDA as part of an NDA or BLA requesting approval to market the product. The submission of an NDA or BLA is subject to the payment of substantial user fees; a waiver of such fees may be obtained under certain limited circumstances. The FDA reviews an NDA or BLA to determine, among other things, whether a product is safe and effective for its intended use and whether its manufacturing is cGMP-compliant to assure and preserve the product’s identity, strength, quality and purity. Under the Prescription Drug User Fee Act (“PDUFA”) guidelines that are currently in effect, the FDA has a goal of ten months from the date of “filing” of a standard NDA or BLA for a new molecular entity to review and act on the submission. This review typically takes 12 months from the date the NDA or BLA is submitted to the FDA because the FDA has approximately two months to make a “filing” decision after the application is submitted. The FDA conducts a preliminary review of all NDAs or BLAs within the first 60 days after submission, before accepting them for filing, to determine whether they are sufficiently complete to permit substantive review. The FDA may request additional information rather than accept an NDA or BLA for filing. In this event, the NDA or BLA must be resubmitted with the additional information. The resubmitted application also is subject to review before the FDA accepts it for filing.

The FDA may refer an application for a novel drug to an advisory committee. An advisory committee is a panel of independent experts, including clinicians and other scientific experts, that reviews, evaluates and provides a recommendation as to whether the application should be approved and under what conditions. The FDA is not bound by the recommendations of an advisory committee, but it considers such recommendations carefully when making decisions. Before approving an NDA or BLA, the FDA will inspect the facility or facilities where the product is manufactured. The FDA will not approve an application unless it determines that the manufacturing processes and facilities are in compliance with cGMP requirements and adequate to assure consistent production of the product within required specifications. Additionally, before approving an NDA or BLA, the FDA may inspect one or more clinical trial sites to assure compliance with GCP requirements.

After the FDA evaluates an NDA or BLA, it will issue an approval letter or a Complete Response Letter. An approval letter authorizes commercial marketing of the drug with prescribing information for specific indications. A Complete Response Letter indicates that the review cycle of the application is complete and the application will not be approved in its present form. A Complete Response Letter usually describes the specific deficiencies in the NDA or BLA identified by the FDA and may require additional clinical data, such as an additional pivotal Phase 3 trial or other significant and time-consuming requirements related to clinical trials, nonclinical studies or manufacturing. If a Complete Response Letter is issued, the sponsor must resubmit the NDA, addressing all of the deficiencies identified in the letter, or withdraw the application. Even if such data and information are submitted, the FDA may decide that the NDA or BLA does not satisfy the criteria for approval.

If a product receives regulatory approval, the approval may be significantly limited to specific diseases and dosages or the indications for use may otherwise be limited, which could restrict the commercial value of the product. In addition, the FDA may require a sponsor to conduct Phase 4 testing, which involves clinical trials designed to further assess a drug’s safety and effectiveness after NDA or BLA approval and may require testing and surveillance programs to monitor the safety of approved products which have been commercialized. The FDA may also place other conditions on approval including the requirement for a REMS to assure the safe use of the drug. If the FDA concludes a REMS is needed, the sponsor of the NDA or BLA must submit a proposed REMS. The FDA will not approve the NDA or BLA without an approved REMS, if required. A REMS could include medication guides, physician communication plans or elements to assure safe use, such as restricted distribution methods, patient registries and other risk minimization tools. Any of these limitations on approval or marketing could restrict the commercial promotion, distribution, prescription or dispensing of products. Marketing approval may be withdrawn for non-compliance with regulatory requirements or if problems occur following initial marketing. The Pediatric Research Equity Act (“PREA”) requires a sponsor to conduct pediatric clinical trials for most drugs, for a new active ingredient, new indication, new dosage form, new dosing regimen or new route of administration. Under PREA, original NDAs or BLAs and supplements must contain a pediatric assessment unless the sponsor has received a deferral or waiver. The required assessment must evaluate the safety and effectiveness of the product for the claimed indications in all relevant pediatric subpopulations and support dosing and administration for each pediatric subpopulation for which the product is safe and effective. The sponsor or FDA may request a deferral of pediatric clinical trials for some or all of the pediatric subpopulations. A deferral may be granted for several reasons, including a finding that the drug is ready for approval for use in adults before pediatric clinical trials are complete or that additional safety or effectiveness data needs to be collected before the pediatric clinical trials begin. The FDA must send a non-compliance letter to any sponsor that fails to submit the required assessment, keep a deferral current or fails to submit a request for approval of a pediatric formulation.

Expedited Development and Review Programs

Kineta plans to seek to accelerate regulatory approval in all major markets. The pathways outlined in Figure 26 below provide an overview of accelerated review and approval pathways with the FDA.

Kineta also plans to pursue “fast track” and “accelerated approval” for the KVA12123 and anti-CD27 mAb immunotherapy programs.

 

32


 

Figure 27. Accelerated Regulatory Approval by FDA

img147848277_27.jpg 

 

Fast track: A sponsor may seek approval of its product candidate under programs designed to accelerate the FDA’s review and approval of new drugs and biological products that meet certain criteria. The FDA has a fast-track designation program that is intended to expedite or facilitate the process for reviewing new drug products that meet certain criteria. Specifically, new drugs are eligible for fast-track designation if they are intended to treat a serious or life-threatening disease or condition and demonstrate the potential to address unmet medical needs for the disease or condition. Unique to a fast track product, the FDA may consider for review sections of the NDA or BLA on a rolling basis before the complete application is submitted, if the sponsor provides a schedule for the submission of the sections of the NDA or BLA, the FDA agrees to accept sections of the NDA or BLA and determines that the schedule is acceptable, and the sponsor pays any required user fees upon submission of the first section of the NDA or BLA.

Breakthrough therapy: A sponsor may seek FDA designation of a product candidate as a “breakthrough therapy” if the product is intended, alone or in combination with one or more other products, to treat a serious or life-threatening disease or condition and preliminary clinical evidence indicates that the product may demonstrate substantial improvement over existing therapies on one or more clinically significant endpoints, such as substantial treatment effects observed early in clinical development. If the FDA designates a breakthrough therapy, it may take actions appropriate to expedite the development and review of the application, which may include holding meetings with the sponsor and the review team throughout the development of the therapy; providing timely advice to, and interactive communication with, the sponsor regarding the development of the drug to ensure that the development program to gather the nonclinical and clinical data necessary for approval is as efficient as practicable; involving senior managers and experienced review staff, as appropriate, in a collaborative, cross-disciplinary review; assigning a cross-disciplinary project lead for the FDA review team to facilitate an efficient review of the development program and to serve as a scientific liaison between the review team and the sponsor; and considering alternative clinical trial designs when scientifically appropriate, which may result in smaller trials or more efficient trials that require less time to complete and may minimize the number of patients exposed to a potentially less efficacious treatment. The designation includes all of the fast-track program features, which means that the sponsor may file sections of the NDA or BLA for review on a rolling basis if certain conditions are satisfied, including an agreement with the FDA on the proposed schedule for submission of portions of the application and the payment of applicable user fees before the FDA may initiate a review. The breakthrough therapy designation is a distinct status from both accelerated approval and priority review, which can also be granted to the same drug if relevant criteria are met. If a product is designated as breakthrough therapy, the FDA will work to expedite the development and review of such drug.

Accelerated approval: In addition, a product may be eligible for accelerated approval. Drug products intended to treat serious or life-threatening diseases or conditions may be eligible for accelerated approval upon a determination that the product has an effect on a surrogate endpoint that is reasonably likely to predict clinical benefit, or on a clinical endpoint that can be measured earlier than irreversible morbidity or mortality, that is reasonably likely to predict an effect on irreversible morbidity or mortality or other clinical benefit, taking into account the severity, rarity or prevalence of the condition and the availability or lack of alternative treatments. As a condition of approval, the FDA may require that a sponsor of a drug receiving accelerated approval perform adequate and well-controlled post-marketing clinical trials. In addition, the FDA currently requires as a condition for accelerated approval pre-approval of promotional materials, which could adversely impact the timing of the commercial launch of the product. The FDA may withdraw approval of a drug or indication approved under accelerated approval if, for example, the confirmatory trial fails to verify the predicted clinical benefit of the product.

 

33


 

Priority review: Any product submitted to the FDA for approval, including a product with a fast-track designation, may also be eligible for other types of FDA programs intended to expedite development and review, such as priority review and accelerated approval. A product is eligible for priority review if it has the potential to provide safe and effective therapy where no satisfactory alternative therapy exists or a significant improvement in the safety or effectiveness of the treatment, diagnosis or prevention of a serious disease or condition. The FDA will attempt to direct additional resources to the evaluation of an application for a new drug designated for priority review in an effort to facilitate the review. The FDA endeavors to review applications with priority review designations within six months of the filing date as compared to 10 months for review of new molecular entity NDAs or BLAs under its current PDUFA review goals. Priority review designation does not change the scientific/medical standard for approval or the quality of evidence necessary to support approval.

Fast track designation, priority review and breakthrough therapy designation do not change the standards for approval but may expedite the development or approval process. Even if a product qualifies for one or more of these programs, the FDA may later decide that the product no longer meets the conditions for qualification or decide that the time period for FDA review or approval will not be shortened. Kineta may explore some of these opportunities for its product candidates as appropriate. Depending on other factors that impact clinical trial timelines and development, such as Kineta’s ability to identify and onboard clinical sites and rates of study participant enrollment and drop-out, Kineta may not realize all the benefits of these expedited or accelerated review programs.

Post-Approval Requirements

Once an approval is granted, the FDA may withdraw the approval if compliance with regulatory standards is not maintained or if problems occur after the product reaches the market. Later discovery of previously unknown problems with a product may result in restrictions on the product or even complete withdrawal of the product from the market. After approval, some types of changes to the approved product, such as adding new indications, certain manufacturing changes and additional labeling claims, are subject to further FDA review and approval. Drug manufacturers and other entities involved in the manufacture and distribution of approved drugs are required to register their establishments with the FDA and certain state agencies and are subject to periodic unannounced inspections by the FDA and certain state agencies for compliance with cGMP regulations and other laws and regulations. In addition, the FDA may impose a number of post-approval requirements as a condition of approval of an NDA. For example, the FDA may require post-marketing testing, including Phase 4 clinical trials, and surveillance to further assess and monitor the product’s safety and effectiveness after commercialization.

Any drug products manufactured or distributed by Kineta or its partners pursuant to FDA approvals will be subject to pervasive and continuing regulation by the FDA, including, among other things, record-keeping requirements, reporting of adverse experiences with the drug, providing the FDA with updated safety and efficacy information, drug sampling and distribution requirements, complying with certain electronic records and signature requirements and complying with FDA promotion and advertising requirements. The FDA strictly regulates labeling, advertising, promotion and other types of information on products that are placed on the market and imposes requirements and restrictions on drug manufacturers, such as those related to direct-to-consumer advertising, the prohibition on promoting products for uses or in patient populations that are not described in the product’s approved labeling (known as “off-label use”), industry-sponsored scientific and educational activities and promotional activities involving the internet.

Discovery of previously unknown problems or the failure to comply with the applicable regulatory requirements may result in restrictions on the marketing of a product or withdrawal of the product from the market as well as possible civil or criminal sanctions. Failure to comply with the applicable U.S. requirements at any time during the product development process, approval process or after approval, may subject an applicant or manufacturer to administrative or judicial civil or criminal sanctions and adverse publicity. FDA sanctions could include refusal to approve pending applications, withdrawal of an approval, clinical holds on post-approval clinical trials, warning or untitled letters, product recalls, product seizures, total or partial suspension of production or distribution, injunctions, fines, refusals of government contracts, mandated corrective advertising or communications with doctors, debarment, restitution, disgorgement of profits, or civil or criminal penalties.

NDA and BLA Marketing Exclusivity

Market exclusivity provisions under the FDCA can delay the submission or the approval of certain marketing applications. The FDCA provides a five-year period of non-patent marketing exclusivity within the U.S. to the first applicant to obtain approval of an NDA for a new chemical entity. A drug is a new chemical entity if the FDA has not previously approved any other new drug containing the same active moiety, which is the molecule or ion responsible for the action of the drug substance. During the exclusivity period, the FDA may not approve or even accept for review an abbreviated new drug application, or ANDA, or an NDA submitted under Section 505(b)(2), or 505(b)(2) NDA, submitted by another company for another drug based on the same active moiety, regardless of whether the drug is intended for the same indication as the original innovative drug or for another indication, where the applicant does not own or have a legal right of reference to all the data required for approval. However, an application may be submitted after four years if it contains a certification of patent invalidity or non-infringement to one of the patents listed with the FDA by the innovator NDA holder.

The FDCA alternatively provides three years of marketing exclusivity for an NDA, or supplement to an existing NDA if new clinical investigations, other than bioavailability studies, that were conducted or sponsored by the applicant are deemed by the FDA to be essential to the approval of the application, for example new indications, dosages or strengths of an existing drug. This three-year exclusivity covers only the modification for which the drug received approval on the basis of the new clinical investigations and does not prohibit the FDA from approving ANDAs or 505(b)(2) NDAs for drugs containing the active agent for the original indication or condition of use. Five-year and three-year exclusivity will not delay the submission

 

34


 

or approval of a full NDA. However, an applicant submitting a full NDA would be required to conduct or obtain a right of reference to all of the preclinical studies and adequate and well-controlled clinical trials necessary to demonstrate safety and effectiveness.

Under the FDCA, market exclusivity for biologics agents provides a 12-year period of market exclusivity within the U.S. for the first FDA approved compound.

Pediatric exclusivity is another type of marketing exclusivity available in the U.S. Pediatric exclusivity provides for an additional six months of marketing exclusivity attached to another period of exclusivity if a sponsor conducts clinical trials in children in response to a written request from the FDA. The issuance of a written request does not require the sponsor to undertake the described clinical trials. In addition, orphan drug exclusivity may offer a seven-year period of marketing exclusivity, except in certain circumstances.

U.S. Coverage and Reimbursement

Significant uncertainty exists as to the coverage and reimbursement status of any product candidate for which Kineta may seek regulatory approval. Sales in the U.S. will depend, in part, on the availability of sufficient coverage and adequate reimbursement from third-party payors, which include government health programs such as Medicare, Medicaid, TRICARE and the Veterans Administration, as well as managed care organizations and private health insurers. Prices at which Kineta or its customers seek reimbursement for our product candidates can be subject to challenge, reduction or denial by third-party payors.

The process for determining whether a third-party payor will provide coverage for a product is typically separate from the process for setting the reimbursement rate that the payor will pay for the product. A third-party payor’s decision to provide coverage for a product does not imply that an adequate reimbursement rate will be available. Additionally, in the U.S. there is no uniform policy among payors for coverage or reimbursement. Third-party payors often rely upon Medicare coverage policy and payment limitations in setting their own coverage and reimbursement policies, but also have their own methods and approval processes. Therefore, coverage and reimbursement for products can differ significantly from payor to payor. If coverage and adequate reimbursement are not available, or are available only at limited levels, successful commercialization of, and obtaining a satisfactory financial return on, any product Kineta develops may not be possible.

Third-party payors are increasingly challenging the price and examining the medical necessity and cost-effectiveness of medical products and services, in addition to their safety and efficacy. In order to obtain coverage and reimbursement for any product that might be approved for marketing, Kineta may need to conduct expensive studies in order to demonstrate the medical necessity and cost-effectiveness of any products, which would be in addition to the costs expended to obtain regulatory approvals. Third-party payors may not consider our product candidates to be medically necessary or cost-effective compared to other available therapies, or the rebate percentages required to secure favorable coverage may not yield an adequate margin over cost or may not enable Kineta to maintain price levels sufficient to realize an appropriate return on its investment in drug development.

U.S. Healthcare Reform

In the U.S., there has been, and continues to be, several legislative and regulatory changes and proposed changes regarding the healthcare system that could prevent or delay marketing approval of product candidates, restrict or regulate post-approval activities and affect the profitable sale of product candidates.

Among policy makers and payors in the U.S., there is significant interest in promoting changes in healthcare systems with the stated goals of containing healthcare costs, improving quality and/or expanding access. In the U.S., the pharmaceutical industry has been a particular focus of these efforts and has been significantly affected by major legislative initiatives. In March 2010, the Patient Protection and Affordable Care Act, as amended by the Health Care and Education Reconciliation Act (the “ACA”) was passed, which substantially changed the way healthcare is financed by both the government and private insurers, and significantly impacts the U.S. pharmaceutical industry. The ACA, among other things: (1) increased the minimum Medicaid rebates owed by manufacturers under the Medicaid Drug Rebate Program and extended the rebate program to individuals enrolled in Medicaid managed care organizations; (2) created a new methodology by which rebates owed by manufacturers under the Medicaid Drug Rebate Program are calculated for certain drugs and biologics that are inhaled, infused, instilled, implanted or injected; (3) established an annual, nondeductible fee on any entity that manufactures or imports certain specified branded prescription drugs and biologic agents apportioned among these entities according to their market share in certain government healthcare programs; (4) expanded the availability of lower pricing under the 340B drug pricing program by adding new entities to the program; (5) expanded the eligibility criteria for Medicaid programs; (6) created a new Patient-Centered Outcomes Research Institute to oversee, identify priorities in and conduct comparative clinical effectiveness research, along with funding for such research; (7) created a new Medicare Part D coverage gap discount program, in which manufacturers must agree to offer 50% (and 70% commencing January 1, 2019) point-of-sale discounts off negotiated prices of applicable brand drugs to eligible beneficiaries during their coverage gap period, as a condition for the manufacturer’s outpatient drugs to be covered under Medicare Part D; (8) established a new Patient-Centered Outcomes Research Institute to oversee, identify priorities in and conduct comparative clinical effectiveness research, along with funding for such research; and (9) established a Center for Medicare Innovation at the Centers for Medicare & Medicaid Services, or CMS, to test innovative payment and service delivery models to lower Medicare and Medicaid spending, potentially including prescription drugs.

 

35


 

Since its enactment, there have been executive, judicial and Congressional challenges to certain aspects of the ACA. For example, in June 2021 the U.S. Supreme Court held that Texas and other challengers had no legal standing to challenge the ACA, dismissing the case on procedural grounds without specifically ruling on the constitutionality of the ACA. Thus, the ACA will remain in effect in its current form. Further, prior to the U.S. Supreme Court ruling, on January 28, 2021, President Biden issued an executive order that initiated a special enrollment period in 2021 for purposes of obtaining health insurance coverage through the ACA marketplace, which began on February 15, 2021, and remained open through August 15, 2021. This executive order also instructs certain governmental agencies to review existing policies and rules that limit access to health insurance coverage through Medicaid or the ACA, among others. It is possible that the ACA will be subject to judicial or Congressional challenges in the future. It is unclear how any such challenges and healthcare measures promulgated by the Biden administration will impact the ACA, our business, financial condition and results of operations. Complying with any new legislation or reversing changes implemented under the ACA could be time-intensive and expensive, resulting in a material adverse effect on our business.

Other legislative changes have been proposed and adopted since the ACA was enacted. On August 2, 2011, the Budget Control Act of 2011 was signed into law, which, among other things, resulted in aggregate reductions of Medicare payments to providers of 2% per fiscal year, which went into effect in 2013 and will remain in effect through 2030, with the exception of a temporary suspension implemented under various COVID-19 relief legislation from May 1, 2020 through the end of 2021, unless additional Congressional action is taken. On January 2, 2013, the American Taxpayer Relief Act of 2012 was signed into law, which, among other things, reduced Medicare payments to several providers, including hospitals, and increased the statute of limitations period for the government to recover overpayments to providers from three to five years.

Moreover, there has recently been heightened governmental scrutiny over the manner in which manufacturers set prices for their marketed products, which has resulted in several Congressional inquiries and proposed and enacted federal and state legislation designed to, among other things, bring more transparency to product pricing, review the relationship between pricing and manufacturer patient programs and reform government program reimbursement methodologies for drug products. At the federal level, the Trump administration used several means to propose or implement drug pricing reform, including through federal budget proposals, executive orders and policy initiatives. For example, in 2020, the U.S. Department of Health and Human Services (“HHS”) and the CMS issued various rules that are expected to impact, among others, price reductions from pharmaceutical manufacturers to plan sponsors under Part D, fee arrangements between pharmacy benefit managers and manufacturers, manufacturer price reporting requirements under the Medicaid Drug Rebate Program, including regulations that affect manufacturer-sponsored patient assistance programs subject to pharmacy benefit manager accumulator programs and Best Price reporting related to certain value-based purchasing arrangements. Multiple lawsuits have been brought against the HHS challenging various aspects of the rules. Under the American Rescue Plan Act of 2021, effective January 1, 2024, the statutory cap on Medicaid Drug Rebate Program rebates that manufacturers pay to state Medicaid programs will be eliminated. Elimination of this cap may require pharmaceutical manufacturers to pay more in rebates than it receives on the sale of products, which could have a material impact on our business. Further, based on a recent executive order, the Biden administration expressed its intent to pursue certain policy initiatives to reduce drug prices. Any reduction in reimbursement from Medicare or other government programs may result in a reduction in payments from private payors. The impact of legislative, executive and administrative actions of the Biden administration on us and the pharmaceutical industry as a whole is unclear.

At the state level, legislatures have increasingly passed legislation and implemented regulations designed to control pharmaceutical product pricing, including price or patient reimbursement constraints, discounts, restrictions on certain product access and marketing cost disclosure and transparency measures, and, in some cases, designed to encourage importation from other countries and bulk purchasing. Kineta is unable to predict the future course of federal or state healthcare legislation in the U.S. directed at broadening the availability of healthcare and containing or lowering the cost of healthcare. Further, it is possible that additional governmental action will be taken in response to the COVID-19 pandemic. If Kineta or any third parties it may engage are slow or unable to adapt to changes in existing requirements or the adoption of new requirements or policies, or if Kineta or such third parties are not able to maintain regulatory compliance, Kineta’s products candidates may lose regulatory approval that may have been obtained and Kineta may not achieve or sustain profitability.

U.S. Healthcare Fraud and Abuse Laws and Compliance Requirements

Federal and state healthcare laws and regulations restrict business practices in the pharmaceutical industry. These laws include anti-kickback and false claims laws and regulations, data privacy and security and transparency laws and regulations.

The federal Anti-Kickback Statute prohibits, among other things, individuals or entities from knowingly and willfully offering, paying, soliciting or receiving remuneration, directly or indirectly, overtly or covertly, in cash or in kind to induce or in return for purchasing, leasing, ordering or arranging for or recommending the purchase, lease or order of any item or service reimbursable under Medicare, Medicaid or other federal healthcare programs. A person or entity does not need to have actual knowledge of this statute or specific intent to violate it in order to have committed a violation. In addition, the government may assert that a claim including items or services resulting from a violation of the federal Anti-Kickback Statute constitutes a false or fraudulent claim for purposes of the civil False Claims Act and the Civil Monetary Penalties Statute.

The federal civil and criminal false claims laws and civil monetary penalties laws, including the civil False Claims Act, prohibit, among other things, any individual or entity from knowingly presenting, or causing to be presented, a false claim for payment to the federal government or knowingly making, using or causing to be made or used a false record or statement material to a false or fraudulent claim to the federal government.

The federal Health Insurance Portability and Accountability Act of 1996 (“HIPAA”) created additional federal civil and criminal statutes that prohibit, among other things, knowingly and willfully executing a scheme to defraud any healthcare benefit program. In addition, HIPAA, as

 

36


 

amended by the Health Information Technology for Economic and Clinical Health Act, and their implementing regulations, imposes certain requirements relating to the privacy, security and transmission of protected health information on HIPAA covered entities, which include certain healthcare providers, health plans and healthcare clearinghouses, and their business associates who conduct certain activities for or on their behalf involving protected health information on their behalf as well as their covered subcontractors.

The federal Physician Payments Sunshine Act requires applicable group purchasing organizations and applicable manufacturers of covered drugs, devices, biologics and medical supplies for which payment is available under Medicare, Medicaid or the Children’s Health Insurance Program, with specific exceptions, to report annually to CMS information related to certain payments or other transfers of value made to covered recipients, including physicians licensed to practice in the U.S. (defined to include doctors of medicine and osteopathy, dentists, podiatrists, optometrists and licensed chiropractors), and teaching hospitals, in the previous year, including ownership and investment interests held by covered physicians and their immediate family members. Effective January 1, 2021, for data collected in 2021 and submitted to CMS in 2022, such reporting obligations with respect to covered recipients have been extended to include new provider types: physician assistants, nurse practitioners, clinical nurse specialists, certified registered nurse anesthetists and anesthesiologist assistants and certified nurse-midwives.

Similar state and local laws and regulations may also restrict business practices in the pharmaceutical industry, such as state anti-kickback and false claims laws, which may apply to business practices, including but not limited to, research, distribution, sales and marketing arrangements and claims involving healthcare items or services reimbursed by non-governmental third-party payors, including private insurers, or by patients themselves; state laws that require pharmaceutical companies to comply with the pharmaceutical industry’s voluntary compliance guidelines and the relevant compliance guidance promulgated by the federal government, or otherwise restrict payments or transfers of value that may be made to healthcare providers and other potential referral sources; state laws and regulations that require drug manufacturers to file reports relating to pricing and marketing information or which require tracking gifts and other remuneration and items of value provided to physicians, other healthcare providers and entities; state and local laws that require the registration of pharmaceutical sales representatives; and state and local laws governing the privacy and security of health information in some circumstances, many of which differ from each other in significant ways and often are not preempted by HIPAA, thus complicating compliance efforts.

Efforts to ensure compliance with applicable healthcare laws and regulations can involve substantial costs. Violations of healthcare laws can result in significant penalties, including the imposition of significant civil, criminal and administrative penalties, damages, monetary fines, disgorgement, individual imprisonment, possible exclusion from participation in Medicare, Medicaid and other U.S. healthcare programs, integrity oversight and reporting obligations, contractual damages, reputational harm, diminished profits and future earnings, and curtailment or restructuring of operations.

Foreign Regulation

In order to market any product outside of the U.S., Kineta would need to comply with numerous and varying regulatory requirements of other countries and jurisdictions regarding quality, safety and efficacy and governing, among other things, clinical trials, marketing authorization, commercial sales and distribution of Kineta’s products. Whether or not Kineta obtains FDA approval for a product, Kineta would need to obtain the necessary approvals by the comparable foreign regulatory authorities before Kineta can commence clinical trials or marketing of the product in foreign countries and jurisdictions.

Although many of the issues discussed above with respect to the U.S. apply similarly in the context of the EU, the approval process varies between countries and jurisdictions and can involve additional product testing and additional administrative review periods. The time required to obtain approval in other countries or jurisdictions might differ from and be longer than that required to obtain FDA approval. Regulatory approval in one country or jurisdiction does not ensure regulatory approval in another, but a failure or delay in obtaining regulatory approval in one country or jurisdiction may negatively impact the regulatory process in others.

To market a medicinal product in the European Economic Area (“EEA”) (which is comprised of the 27 Member States of the EU plus Norway, Iceland and Liechtenstein), Kineta must obtain a Marketing Authorization (“MA”). There are two types of marketing authorizations:

the Community MA, which is issued by the European Commission through the Centralized Procedure, based on the opinion of the Committee for Medicinal Products for Human Use of the European Medicines Agency (“EMA”) and which is valid throughout the entire territory of the EEA. The Centralized Procedure is mandatory for certain types of products, such as biotechnology medicinal products, orphan medicinal products, advanced therapy products and medicinal products containing a new active substance indicated for the treatment of certain diseases, such as AIDS, cancer, neurodegenerative disorders, diabetes, autoimmune and viral diseases. The Centralized Procedure is optional for products containing a new active substance not yet authorized in the EEA, or for products that constitute a significant therapeutic, scientific or technical innovation or which are in the interest of public health in the EU; and
National MAs, which are issued by the competent authorities of the Member States of the EEA and only cover their respective territory, are available for products not falling within the mandatory scope of the Centralized Procedure. Where a product has already been authorized for marketing in a Member State of the EEA, this National MA can be recognized in another Member State through the Mutual Recognition Procedure. If the product has not received a National MA in any Member State at the time of application, it can be approved simultaneously in various Member States through the Decentralized Procedure.

 

37


 

Under the above-described procedures, before granting the MA, the EMA or the competent authorities of the Member States of the EEA make an assessment of the risk-benefit balance of the product on the basis of scientific criteria concerning its quality, safety and efficacy.

Data and Marketing Exclusivity

In the EEA, new products authorized for marketing, or reference products, qualify for eight years of data exclusivity and an additional two years of market exclusivity upon marketing authorization. The data exclusivity period prevents generic or biosimilar applicants from relying on the preclinical and clinical trial data contained in the dossier of the reference product when applying for a generic or biosimilar marketing authorization in the EU during a period of eight years from the date on which the reference product was first authorized in the EU. The market exclusivity period prevents a successful generic or biosimilar applicant from commercializing its product in the EU until 10 years have elapsed from the initial authorization of the reference product in the EU. The 10-year market exclusivity period can be extended to a maximum of 11 years if, during the first eight years of those 10 years, the marketing authorization holder obtains an authorization for one or more new therapeutic indications which, during the scientific evaluation prior to their authorization, are held to bring a significant clinical benefit in comparison with existing therapies.

Pediatric Investigation Plan

In the EEA, marketing authorization applications for new medicinal products not previously authorized must include the results of studies conducted in the pediatric population, in compliance with a pediatric investigation plan (“PIP”) agreed with the EMA’s Pediatric Committee (“PDCO”). The PIP sets out the timing and measures proposed to generate data to support a pediatric indication of the drug for which marketing authorization is being sought. The PDCO can grant a deferral of the obligation to implement some or all of the measures of the PIP until there are sufficient data to demonstrate the efficacy and safety of the product in adults. Further, the obligation to provide pediatric clinical trial data can be waived by the PDCO when these data are not needed or appropriate because the product is likely to be ineffective or unsafe in children, the disease or condition for which the product is intended occurs only in adult populations, or when the product does not represent a significant therapeutic benefit over existing treatments for pediatric patients. Once the marketing authorization is obtained in all Member States of the EU and study results are included in the product information, even when negative, the product is eligible for six months’ supplementary protection certificate extension.

Clinical Trials

Clinical trials of medicinal products in the EU must be conducted in accordance with EU and national regulations and the International Conference on Harmonization guidelines on GCPs. Additional GCP guidelines from the European Commission, focusing in particular on traceability, apply to clinical trials of advanced therapy medicinal products. If the sponsor of the clinical trial is not established within the EU, it must appoint an entity within the EU to act as its legal representative. The sponsor must take out a clinical trial insurance policy, and in most EU countries, the sponsor is liable to provide ‘no fault’ compensation to any study subject injured in the clinical trial.

Prior to commencing a clinical trial, the sponsor must obtain a clinical trial authorization from the competent authority, and a positive opinion from an independent ethics committee. The application for a clinical trial authorization must include, among other things, a copy of the trial protocol and an investigational medicinal product dossier containing information about the manufacture and quality of the medicinal product under investigation.

Clinical trials in the EU are regulated under European Council Directive 2001/20/EC (“Clinical Trials Directive”) on the implementation of GCP in the conduct of clinical trials of medicinal products for human use. In April 2014, Regulation EU No 536/2014 (“Clinical Trials Regulation”) was adopted to replace the Clinical Trials Directive. The Clinical Trials Regulation is intended to simplify the rules for clinical trial authorization and standards of performance. The implementation of the Clinical Trials Regulation depends on confirmation of full functionality of the Clinical Trials Information System through an independent audit, which commenced in September 2020. The system went live in January 2022. The new clinical trial portal and database will be maintained by the EMA in collaboration with the European Commission and the EU Member States. The Clinical Trials Directive requires the sponsor of an investigational medicinal product to obtain a clinical trial authorization (“CTA”), much like an IND in the U.S., from the national competent authority of an EU Member State in which the clinical trial is to be conducted. The CTA application must be accompanied by an investigational medicinal product dossier with supporting information prescribed by the Council Directive and corresponding national laws of the Member States and further detailed in applicable guidance, including the European Commission Communication 2010/C 82/01. A clinical trial may only be commenced after an ethics committee has given its approval. Any substantial changes to the trial protocol or other information submitted with the clinical trial applications must be notified to or approved by the relevant competent authorities and ethics committees. Medicines used in clinical trials must be manufactured in accordance with cGMP. Other national and EU-wide regulatory requirements also apply.

Privacy and Data Protection Laws

Kineta is also subject to laws and regulations in non-U.S. countries covering data privacy and the protection of health-related and other personal information. EU Member States and other jurisdictions have adopted data protection laws and regulations, which impose significant compliance obligations. Laws and regulations in these jurisdictions apply broadly to the collection, use, storage, disclosure, processing and security of personal information that identifies or may be used to identify an individual, such as names, contact information and sensitive personal data such as health data. These laws and regulations are subject to frequent revisions and differing interpretations and have generally become more stringent over time.

 

38


 

As of May 25, 2018, Regulation 2016/676, known as the General Data Protection Regulation (“GDPR”) replaced the Data Protection Directive with respect to the processing of personal data in the EU. The GDPR imposes many requirements for controllers and processors of personal data, including, for example, higher standards for obtaining consent from individuals to process their personal data, more robust disclosures to individuals and a strengthened individual data rights regime, shortened timelines for data breach notifications, limitations on retention and secondary use of information, increased requirements pertaining to health data and pseudonymized (i.e., key-coded) data and additional obligations when we contract third-party processors in connection with the processing of the personal data. The GDPR allows EU Member States to make additional laws and regulations further limiting the processing of genetic, biometric or health data. Failure to comply with the requirements of GDPR and the applicable national data protection laws of the EU member states could subject Kineta to regulatory sanctions, delays in clinical trials, criminal prosecution and/or civil fines or penalties. Changes to the GDPR and applicable national data privacy laws, including with respect to how these laws should be applied in the context of clinical trials or other transactions from which Kineta may gain access to personal data, could increase our compliance costs and exposure to potential liability.

Employees and Human Capital Resources

As of December 31, 2023, Kineta had 11 full-time employees, including three employees with Ph.D. degrees and one with an M.D. degree. Of these full-time employees, three are engaged in research and development activities and eight are engaged in general and administrative activities. None of Kineta’s employees are represented by a labor union or covered by a collective bargaining agreement. Kineta considers its relationship with its employees to be good. In addition, Kineta also had two part-time research and development consultants engaged as a clinician and a medical monitor.

In February 2024, and in connection with the Company’s decision to explore strategic alternatives, the Company implemented a workforce reduction of the Company’s workforce by seven full-time employees, or approximately 64% of the Company’s then-current employee base. The workforce reduction included Kineta’s Chief Executive Officer, Shawn Iadonato, Ph.D., who will continue to serve on the Company’s Board of Directors, and Kineta’s General Counsel and Secretary, Pauline Kenny.

Kineta’s human capital resources objectives include, as applicable, identifying, recruiting, retaining, incentivizing and integrating Kineta’s existing and additional employees. Kineta is committed to diversity, equity and inclusion across all aspects of its organization, including in Kineta’s recruitment, advancement and development practices. Each year, Kineta reviews employee demographic information to evaluate its diversity efforts across all functions and levels of the Company. Kineta conducts annual performance and development reviews for each of its employees to discuss the individual’s strengths and development opportunities, career development goals and performance goals. Kineta also regularly surveys employees to assess employee engagement and satisfaction. The principal purposes of Kineta’s equity incentive plans are to attract, retain and motivate selected employees, consultants and directors through the granting of equity awards. Kineta values its employees and regularly benchmarks total rewards Kineta provides, such as short and long-term compensation, 401(k) contributions, health, welfare and quality of life benefits, paid time off and personal leave, against Kineta’s industry peers to ensure Kineta remains competitive and attractive to potential new hires.

Properties and Facilities

Kineta occupies approximately 14,870 square feet of office and laboratory space (1,850 square feet of which is subleased to another biotech company) in Seattle, Washington under a lease that expires in July 2024. Kineta has an option to renew for two additional five-year terms. Kineta believes that its current facilities are adequate for its current needs and that suitable additional or substitute space at commercially reasonable terms will be available as needed to accommodate any future expansion of Kineta’s operations.

Legal Proceedings

On March 20, 2024, Kineta filed a complaint in the Court of Chancery of the State of Delaware against Growth & Value Development Inc. (“GVDI”), alleging breach of contract in connection with GVDI’s recent repudiation of its obligation to provide a substantial tranche of funding for Kineta as required under the Securities Purchase Agreement. The complaint provides that Kineta will seek specific performance of GVDI’s obligations under the Securities Purchase Agreement and damages equal to the amount of the unpaid funding and any damages resulting from GVDI’s breach.

Except as disclosed in the preceding paragraph, Kineta is currently not a party to any other material legal proceedings. From time to time, however, Kineta may be a party to litigation or subject to claims incident to the ordinary course of business. Although the results of litigation and claims cannot be predicted with certainty, Kineta currently believes that the final outcome of these ordinary course matters will not have a material adverse effect on Kineta’s business. Regardless of the outcome, litigation can have an adverse impact on Kineta because of defense and settlement costs, diversion of management resources and other factors.

 

Corporate Information

 

We were incorporated in Delaware on December 13, 2006 under the name Proteoguard, Inc. and subsequently changed our name to Proteostasis Therapeutics, Inc. on September 17, 2007. On December 22, 2020, we effected a reverse merger, pursuant to which a wholly-owned subsidiary of ours merged with and into Yumanity, Inc. (formerly Yumanity Therapeutics, Inc.) (“Yumanity”) with Yumanity surviving as a wholly-owned subsidiary of ours. On December 22, 2020, we changed our name from “Proteostasis Therapeutics, Inc.” to “Yumanity Therapeutics, Inc.” On December 16, 2022, we effected a reverse merger, pursuant to which a wholly-owned subsidiary of ours merged with and into Private Kineta with

 

39


 

Private Kineta surviving as a wholly-owned subsidiary of ours. Private Kineta subsequently merged with and into Kineta Operating, LLC, with Kineta Operating, LLC being the surviving corporation. On December 16, 2022, we changed our name from “Yumanity Therapeutics, Inc.” to “Kineta, Inc.” Our principal executive offices are located at 7683 SE 27th Street, Suite 481, Mercer Island, Washington 98040. Our telephone number is (206) 378-0400. Our website address is https://kinetabio.com.

Available Information

Our Annual Reports on Form 10-K, Quarterly Reports on Form 10-Q, Current Reports on Form 8-K, including exhibits, proxy and information statements and amendments to those reports filed or furnished pursuant to Sections 13(a) and 15(d) of the Exchange Act, are available through the “Investors” portion of our website at https://kinetabio.com free of charge as soon as reasonably practicable after we electronically file such material with, or furnish it to, the SEC. Information on our website is not part of, or incorporated by reference into, this Annual Report on Form 10-K or any other report we file with, or furnish to, the SEC. In addition, our filings with the SEC may be accessed through the SEC’s Electronic Data Gathering, Analysis and Retrieval system at http://www.sec.gov.

 

 

40


 

Item 1A. Risk Factors.

Investing in the securities of Kineta, Inc. (“Kineta”) involves significant risks and uncertainties. Before making an investment decision, you should carefully consider the risks and uncertainties described below, together with any subsequent updates described in Kineta’s Annual Reports on Form 10-K, Quarterly Reports on Form 10-Q and Current Reports on Form 8-K.

Kineta could be materially and adversely affected by any or all of these risks or by additional risks and uncertainties not presently known to Kineta or that Kineta currently deems immaterial that may adversely affect Kineta.

Summary of the Material Risks Associated with Kineta’s Business

 

Risks relating to its Strategic Alternative Process, Potential Strategic Transaction, and Financial Position include:

Kineta has decided to seek a strategic transaction, and there is no guarantee that this strategic path will be successful.
If Kineta is unable to successfully complete a strategic transaction, Kineta may be forced to cease operations altogether or file for bankruptcy protection.
Kineta may not realize any additional value in a strategic transaction.
If Kineta is successful in completing a strategic transaction, it may be exposed to other operational and financial risks.
Kineta may not fully realize the expected cost savings and/or operating efficiencies from its restructuring activities and its ability to consummate a strategic transaction depends on its ability to retain its employees required to consummate such transaction.
Kineta may become involved in securities litigation that could divert management’s attention and harm the Company’s business, and insurance coverage may not be sufficient to cover all costs and damages.
Kineta identified conditions and events that raise substantial doubt about its ability to continue as a going concern, Kineta needs substantial funding, and if Kineta is unable to raise capital when needed or on favorable terms, its business, financial condition, and results of operation could be materially and adversely affected.

Kineta is also subject to various risks associated with its businesses and its industries. These risks include, but are not limited to, the following:

Kineta has a limited operating history, has incurred net losses since its inception, and anticipates that it will continue to incur significant losses for the foreseeable future. Kineta may never generate any revenue or become profitable or, if Kineta achieves profitability, may not be able to sustain it.
Kineta will need to obtain substantial additional funding to complete the development and commercialization of its product candidates. If Kineta is unable to raise this capital when needed, Kineta may be forced to delay, reduce or eliminate its product development programs or other operations.
Kineta has identified material weaknesses in its internal control over financial reporting. If Kineta is unable to remedy its material weaknesses in the future, or if Kineta fails to establish and maintain effective internal controls, Kineta may be unable to produce timely and accurate financial statements. Kineta has concluded that its internal control over financial reporting is ineffective as of December 31, 2023, which could adversely impact Kineta’s investors’ confidence and Kineta’s stock price.
Kineta’s development efforts are in the early stages. All of Kineta’s product candidates are in clinical development or in preclinical development. If Kineta is unable to advance its product candidates through clinical development, obtain regulatory approval and ultimately commercialize its product candidates, or experience significant delays in doing so, Kineta’s business will be materially harmed.
Kineta’s immuno-oncology product candidates are based on novel technologies that target the tumor microenvironment (“TME”), which makes it difficult to predict the results, timing and cost of product candidate development and likelihood of obtaining regulatory approval.
Kineta may experience delays or difficulties in the enrollment and/or retention of patients in clinical trials, which could delay or prevent Kineta’s receipt of necessary regulatory approvals.
The regulatory approval processes of the U.S. Food and Drug Administration (the “FDA”), European Commission (based on recommendation from the European Medicines Agency (the “EMA”)), and comparable foreign authorities are lengthy, time consuming and inherently unpredictable. If Kineta is not able to obtain required regulatory approval for its product candidates, Kineta’s business will be substantially harmed.
Kineta’s preclinical studies and clinical trials may fail to demonstrate the safety and efficacy of its product candidates, or serious adverse or unacceptable side effects may be identified during the development of Kineta’s product candidates, which could prevent, delay or limit the scope of regulatory approval of its product candidates, limit their commercialization, increase Kineta’s costs or necessitate the abandonment or limitation of the development of some of Kineta’s product candidates.
Some data for product candidates may come from clinical trials conducted outside the United States, the European Union (the “EU”)

 

41


 

and the United Kingdom (the “UK”), and the FDA, EMA or comparable foreign regulatory authorities may not accept data from such trials.
Kineta anticipates that some of its current product candidates and any future product candidates may be used in combination with third-party drugs or biologics, some of which are still in development, and Kineta has limited or no control over the supply, regulatory status or regulatory approval of such drugs or biologics.
If Kineta decides to seek Orphan Drug Designation for any of its current or future product candidates, Kineta may be unsuccessful or may be unable to maintain the benefits associated with Orphan Drug Designation, including the potential for supplemental market exclusivity.
The manufacture of Kineta’s product candidates is complex and Kineta may encounter difficulties in production, particularly with respect to process development or scaling-out of Kineta’s manufacturing capabilities. If Kineta encounters such difficulties, Kineta’s ability to provide supply of its product candidates for clinical trials or its products for patients, if approved, could be delayed or stopped.
Even if any of Kineta’s product candidates receives marketing approval, it may fail to achieve the degree of market acceptance by physicians, patients, third-party payors and others in the medical community necessary for commercial success.
Regulatory approval by the FDA, European Commission (based on recommendation from the EMA) or comparable foreign regulatory authorities is limited to those specific indications and conditions for which approval has been granted, and Kineta may be subject to substantial fines, criminal penalties, injunctions or other enforcement actions if Kineta is determined to be promoting the use of its products for unapproved or “off-label” uses or in a manner inconsistent with the approved labeling, resulting in damage to Kineta’s reputation and business.
Kineta relies on third parties to conduct, supervise and monitor its clinical trials and perform some of its research and preclinical studies. If these third parties do not satisfactorily carry out their contractual duties or fail to meet expected deadlines, Kineta’s development programs may be delayed or subject to increased costs, each of which may have an adverse effect on Kineta’s business and prospects.
Kineta has already entered into collaborations with third parties for the research, development and commercialization of certain of the product candidates Kineta may develop. Kineta may form or seek additional collaborations or strategic alliances or enter into additional licensing arrangements in the future. If any of these collaborations, strategic alliances or additional licensing arrangements are not successful, Kineta may not be able to capitalize on the market potential of those product candidates.
Disruptions at the FDA, EMA, the U.S. Securities and Exchange Commission (the “SEC”) and other government agencies and regulatory authorities caused by funding shortages or global health concerns could hinder their ability to hire and retain key leadership and other personnel, prevent new products and services from being developed or commercialized in a timely manner or otherwise prevent those agencies from performing normal governmental functions on which the operation of Kineta’s business may rely, which could negatively impact Kineta’s business.
Kineta has net operating losses (“NOL”) to be carried forward, which may become devalued if Kineta does not generate sufficient future taxable income, applicable corporate tax rates are reduced or if Kineta experiences an ownership change.
If Kineta is unable to obtain and maintain sufficient intellectual property protection for its platform technologies and product candidates, or if the scope of the intellectual property protection is not sufficiently broad, Kineta’s competitors could develop and commercialize products similar or identical to Kineta’s, and Kineta’s ability to successfully commercialize its products may be adversely affected.
If Kineta’s trademarks and trade names are not adequately protected, then Kineta may not be able to build name recognition in Kineta’s markets of interest and its business may be adversely affected.
Kineta will incur significantly increased costs as a result of operating as a public company, and its management will be required to devote substantial time to new compliance initiatives.
Failure to build Kineta’s finance infrastructure and improve its accounting systems and controls could impair Kineta’s ability to comply with the financial reporting and internal controls requirements for publicly traded companies.
The price of Kineta’s common stock may be volatile or may decline regardless of its operating performance.

 

Risks Related to Strategic Alternative Process, Potential Strategic Transaction, and Financial Position

 

Kineta has decided to seek a strategic transaction, and there is no guarantee that this strategic path will be successful.

 

Kineta is exploring strategic alternatives. The alternatives to be considered may include, but are not limited to, sale of assets of the Company, a sale of the Company, licensing of assets, a merger, liquidation or other strategic action. Kineta has and expects to continue to devote substantial time and resources to exploring such strategic alternatives; however, there is no set time frame and there can be no assurance that such activities will result in any agreements or transactions that will enhance stockholder value. Evaluating a strategic alternative may divert the attention of the Company’s management from ordinary operating matters. The identification, negotiation, and completion of any such transaction may also require more time and cash resources than Kineta anticipates. In addition, potential strategic alternatives that require stockholder approval may not be approved by Kineta’s stockholders.

 

42


 

There can be no assurance that Kineta’s process to identify and evaluate potential strategic alternatives will result in any definitive offer to consummate a strategic transaction, or if made that the terms thereof will be acceptable to Kineta. If any definitive offer to consummate a strategic transaction is received, there can be no assurance that a definitive agreement will be executed or that, if a definitive agreement is executed, the transaction will be consummated. In addition, there can be no assurance that any transaction, involving the Company and/or its assets, that is consummated would enhance stockholder value.

 

If Kineta is successful in completing a strategic transaction, it may be exposed to other operational and financial risks, including increased near-term or long-term expenditures, exposure to unknown liabilities, incurrence of substantial debt, higher-than-expected acquisition and integration costs, write-downs of assets or impairment charges, increased amortization expenses, difficulty and cost in combining the operations and personnel of any merged businesses with Kineta’s operations and personnel, impairment of relationships with key suppliers or customers of any acquired businesses due to changes in management and ownership, and inability to retain key employees of the Company or any acquired businesses. If a strategic transaction is not completed, Kineta may be subject to a number of material risks or suffer a number of consequences that may adversely affect its business, financial results, and operations.

 

If Kineta is unable to successfully complete a strategic transaction, Kineta may be forced to cease operations altogether or file for bankruptcy protection.

 

There can be no assurance that any of Kineta’s plans will be successful or that additional capital will be available to Kineta on reasonable terms, or at all, when needed or that Kineta will successfully complete a strategic transaction. If Kineta does not obtain governmental approval for its products, or if, subject to receiving marketing approvals, it is unsuccessful in its commercial efforts to sell its products, Kineta’s business would experience significant harm. If Kineta is unable to obtain sufficient additional capital or to conclude a successful strategic transaction, Kineta may be forced to defer, reduce or eliminate significant planned expenditures, dispose of technology or assets including intangible assets, conclude a strategic transaction that is unfavorable to stockholders, enter into arrangements that may require Kineta to relinquish rights to certain of its products or product candidates, technologies or potential markets, delay or stop ongoing clinical trials, cease operations altogether or file for bankruptcy protection.

 

The Board remains dedicated to diligently deliberating upon and making informed decisions that the directors believe are in the best interests of the Company and its stockholders. There can be no assurance, however, that the Company’s current strategic direction, or the Board’s evaluation of strategic alternatives, will result in any initiatives, agreements, transactions or plans that will further enhance stockholder value.

 

In addition, given the current restructuring of Kineta’s operations and recent reduction in force, it may be difficult to evaluate the Company’s current business and future prospects on the basis of historical operating performance.

 

Kineta may not realize any additional value in a strategic transaction.

 

Potential counterparties in a strategic transaction involving Kineta may place minimal or no value on the Company’s assets. Further, the development and any potential commercialization of Kineta’s product candidates will require substantial additional cash to fund the costs associated with conducting the necessary preclinical and clinical testing and obtaining regulatory approval. Consequently, any potential counterparty in a strategic transaction involving the Company may choose not to spend additional resources for the development of Kineta’s product candidates and may attribute little or no value, in such a transaction, to those product candidates.

 

If Kineta is successful in completing a strategic transaction, it may be exposed to other operational and financial risks.

 

Although there can be no assurance that a strategic transaction will result from the process Kineta has undertaken to identify and evaluate strategic alternatives, the negotiation and consummation of any such transaction will require significant time on the part of the Company’s management, and the diversion of management’s attention may disrupt the Company’s business. The negotiation and consummation of any such transaction may also require more time or greater cash resources than Kineta anticipates and expose the Company to other operational and financial risks, including:

o
inability to retain key employees of the Company or any merged business;
o
increased near-term and long-term expenditures;
o
exposure to unknown liabilities;
o
higher than expected acquisition or integration costs;
o
incurrence of substantial debt or dilutive issuances of equity securities to fund future operations;
o
write-downs of assets or incurrence of non-recurring, impairment or other charges;
o
increased amortization expenses;
o
difficulty and cost in combining the operations and personnel of any acquired business with its operations and personnel;
o
impairment of relationships with key suppliers or customers of any acquired business due to changes in management and ownership; and
o
possibility of future litigation.

 

Any of the foregoing risks could have a material adverse effect on Kineta’s business, financial condition and prospects.

 

43


 

Kineta may not fully realize the expected cost savings and/or operating efficiencies from its restructuring activities and its ability to consummate a strategic transaction depends on its ability to retain its employees required to consummate such transaction.

 

On February 29, 2024, Kineta announced that it had completed a review of its business, including the status of its programs, resources and capabilities. Following this review, Kineta determined that it would implement a significant corporate restructuring to substantially reduce expenses and preserve cash. The restructuring includes a reduction in its workforce by approximately 64% and the termination of enrollment of new patients in its ongoing VISTA-101 Phase 1/2 clinical trial evaluating KVA12123 in patients with advanced solid tumors. Patients currently enrolled in the trial will be permitted to continue to participate. The Company made this decision, in part, because certain investors have indicated they will not be able to fulfill their contractual obligation to consummate the Private Placement (as defined below).

 

The Company believes these changes were needed to streamline its organization and reallocate its resources to better align with its current strategic goals, including its current focus on pursuing strategic alternatives. However, these expense reduction measures have and may continue to yield unintended consequences and costs, such as the loss of institutional knowledge and expertise, attrition beyond the Company’s intended reductions in workforce, a reduction in morale among its remaining employees, and the risk that the Company may not achieve the anticipated benefits, all of which may have an adverse effect on the Company’s results of operations or financial condition.

 

Kineta’s ability to consummate a strategic transaction depends upon its ability to retain its employees required to consummate such a transaction, the loss of whose services may adversely impact the ability to consummate such transaction. There is no set timetable for the process Kineta has initiated to explore strategic alternatives and there can be no assurance that this process will result in the Company pursuing a transaction or that any transaction, if pursued, will be completed on attractive terms. If the Company is unable to complete a transaction, it may be required to seek a reorganization, liquidation or other restructuring. In addition, Kineta’s cash conservation activities, as well as the announcement that the Company is seeking strategic alternatives, may yield unintended consequences, such as attrition beyond its planned reductions in workforce that took place during the first quarter of 2024 and reduced employee morale, which may cause remaining employees to seek alternative employment. Kineta’s ability to successfully complete a strategic transaction depends in large part on its ability to retain certain of its remaining personnel. If the Company is unable to successfully retain its remaining personnel, it is at risk of a disruption to its exploration and consummation of a strategic alternative as well as business operations.

 

Kineta may become involved in securities litigation that could divert management’s attention and harm the Company’s business, and insurance coverage may not be sufficient to cover all costs and damages.

 

In the past, securities litigation has often followed certain significant business transactions, such as the sale of a company or announcement of any other strategic transaction. The Company may be exposed to such litigation even if no wrongdoing occurred. Litigation is usually expensive and diverts management’s attention and resources, which could adversely affect Kineta’s business and cash resources and Kineta’s ability to consummate a potential strategic transaction or the ultimate value its stockholders receive in any such transaction.

 

Kineta identified conditions and events that raise substantial doubt about its ability to continue as a going concern, Kineta needs substantial additional funding, and if Kineta is unable to raise capital when needed or on favorable terms, its business, financial condition, and results of operation could be materially and adversely affected.

 

Kineta may be forced to wind-down its operations if it is unable to consummate a strategic transaction and/or obtain sufficient funding.

 

As of December 31, 2023, Kineta had $5.8 million in cash, and there is substantial doubt about its ability to continue as a going concern. Based on Kineta’s current operating plans, Kineta does not have sufficient cash and cash equivalents to fund its operating expenses and capital expenditures for at least the next 12 months from the filing date of this Annual Report on Form 10-K.

 

Kineta is exploring strategic alternatives that may include, but are not limited to, sale of assets of the Company, a sale of the Company, licensing of assets, a merger, liquidation or other strategic action.

 

Kineta may seek additional funds through equity or debt financings or through collaborations, licensing transactions or other sources that may be identified through the Company’s strategic process. However, there can be no assurance that Kineta will be able to complete any such transactions on acceptable terms or otherwise. The failure to obtain sufficient funds on commercially acceptable terms when needed would have a material adverse effect on Kineta’s business, results of operations, and financial condition. These factors raise substantial doubt about Kineta’s ability to continue as a going concern.

 

Kineta does not currently have any commitments for future funding or additional capital other than the Private Placement. However, as noted above, certain investors have indicated they will not be able to fulfill their contractual obligation to consummate the Private Placement. As such, Kineta has paused or significantly scaled back the development or commercialization of its future product candidates or other research and development initiatives. If Kineta is unable to complete a strategic transaction or raise additional capital in sufficient amounts, Kineta will not be able to continue its business and the Company may need to file for bankruptcy protection.

Risks Related to Kineta’s Limited Operating History, Financial Position and Capital Requirements

Kineta has a limited operating history, has incurred net losses since its inception, and anticipates that it will continue to incur significant losses for the foreseeable future. Kineta may never generate any revenue or become profitable or, if Kineta achieves profitability, may not be able to sustain it.

 

44


 

Kineta is a clinical-stage biotechnology company with a limited operating history that may make it difficult to evaluate the success of Kineta’s business to date and to assess its future viability. Kineta’s operations to date have been limited to organizing and staffing its company, business planning, raising capital, developing and optimizing its technology platform, identifying potential product candidates, undertaking research, preclinical studies and clinical trials for its product candidates, establishing and enhancing its intellectual property portfolio, and providing general and administrative support for these operations. Kineta’s KVA12123, KCP506 and LHF535 programs are in early clinical development, and Kineta’s CD27 program is in preclinical development. None of Kineta’s product candidates have been approved for commercial sale. Kineta has never generated any revenue from product sales and has incurred net losses each year since Kineta commenced operations. Kineta’s net losses were $14.1 million for the year ended December 31, 2023 and $63.5 million for the year ended December 31, 2022. Kineta expects that it will be several years, if ever, before it has a product candidate ready for regulatory approval and commercialization. Kineta expects to incur increasing levels of operating losses over the next several years and for the foreseeable future as Kineta advances its product candidates through clinical development. Kineta’s prior losses, combined with expected future losses, have had and will continue to have an adverse effect on Kineta’s stockholders’ equity and working capital.

To become and remain profitable, Kineta must develop and eventually commercialize a product or products with significant market potential. This will require Kineta to be successful in a range of challenging activities, including completing preclinical studies and clinical trials of its product candidates, obtaining marketing approval for these product candidates, manufacturing, marketing and selling those products for which Kineta may obtain marketing approval and satisfying any post-marketing requirements. Kineta may never succeed in these activities and, even if Kineta succeeds in commercializing one or more of its product candidates, Kineta may never generate revenue that is significant or large enough to achieve profitability. In addition, as a young business, Kineta may encounter unforeseen expenses, difficulties, complications, delays and other known and unknown challenges. If Kineta does achieve profitability, it may not be able to sustain or increase profitability on a quarterly or annual basis and Kineta will continue to incur substantial research and development and other expenditures to develop and market additional product candidates. Kineta’s failure to become and remain profitable would decrease the value of its company and could impair its ability to raise capital, maintain its research and development efforts, expand its business or continue its operations. A decline in the value of the Company could also cause Kineta’s stockholders to lose all or part of their investment.

Kineta has incurred recurring net losses and negative cash flows from operations since inception and, as of December 31, 2023, had an accumulated deficit of $165.8 million. The net loss attributable to Kineta was $14.1 million for the year ended December 31, 2023. As of December 31, 2023, Kineta had unrestricted cash of $5.8 million, and there is substantial doubt about its ability to continue as a going concern. For more information, see the risk factor above entitled, “Kineta identified conditions and events that raise substantial doubt about its ability to continue as a going concern, Kineta needs substantial additional funding, and if Kineta is unable to raise capital when needed or on favorable terms, its business, financial condition, and results of operation could be materially and adversely affected.”

Kineta’s limited operating history may make it difficult for you to evaluate the success of its business to date and to assess Kineta’s future viability.

Kineta has a limited operating history, and its operations to date have been limited to organizing and staffing the Company, business planning, raising capital, conducting discovery and research activities, engaging third parties for initiating manufacturing of drug product and preparing for preclinical toxicology studies, conducting clinical trials, filing patent applications and identifying and obtaining rights to potential product candidates. Kineta has not yet demonstrated an ability to successfully obtain marketing licenses, manufacture a commercial scale product directly or through a third party or conduct sales, marketing and distribution activities necessary for successful product commercialization. Consequently, any predictions you make about Kineta’s future success or viability may not be as accurate as they could be if Kineta had a longer operating history or if Kineta had already successfully completed some or all of these types of activities.

In addition, as a clinical-stage biotechnology company, Kineta may encounter unforeseen expenses, difficulties, complications, delays and other known and unknown challenges. Kineta will need to transition at some point from a company with a research and development focus to a company capable of supporting commercial activities and it may not be successful in making that transition.

Kineta expects its financial condition and operating results to continue to fluctuate significantly from quarter to quarter and year to year due to a variety of factors, many of which are beyond Kineta’s control. Accordingly, you should not rely upon the results of any quarterly or annual periods as indications of future operating performance.

Kineta’s ability to generate revenue and achieve profitability depends significantly on its ability to achieve its objectives relating to the discovery, development and commercialization of Kineta’s product candidates.

Kineta relies on its team’s expertise in drug discovery, translational research and patient-driven precision medicine to develop its product candidates. Kineta’s business depends significantly on the success of this engine and the development and commercialization of the product candidates that Kineta discovers with this engine. Kineta has no products approved for commercial sale and does not anticipate generating any revenue from product sales in the near term, if ever. Kineta’s ability to generate revenue and achieve profitability depends significantly on its ability to achieve several objectives, including:

successful and timely completion of preclinical and clinical development of Kineta’s next generation immunotherapies, other research programs from Kineta’s development platform, and any other future programs;
establishing and maintaining relationships with contract research organizations (“CROs”) and clinical sites for the clinical development of our product candidates and our future product candidates;

 

45


 

timely receipt of marketing approvals from applicable regulatory authorities for any product candidates for which Kineta successfully completes clinical development;
transferring Kineta’s manufacturing process to a commercial contract development and manufacturing company, including obtaining finished products that are appropriately packaged for sale;
establishing and maintaining commercially viable supply and manufacturing relationships with third parties that can provide adequate, in both amount and quality, products and services to support clinical development and meet the market demand for Kineta’s product candidates, if approved;
meeting milestones for licensed programs;
successful commercial launch following any marketing approval, including the development of a commercial infrastructure, whether in-house or with one or more collaborators;
a continued acceptable safety profile following any marketing approval of Kineta’s product candidates;
commercial acceptance of Kineta’s product candidates by patients, the medical community and third-party payors;
satisfying any required post-marketing approval commitments to applicable regulatory authorities;
identifying, assessing and developing new product candidates from Kineta’s development platform;
obtaining, maintaining and expanding patent protection, trade secret protection and regulatory exclusivity, both in the United States and internationally;
defending against third-party interference or infringement claims, if any;
entering into, on favorable terms, any collaboration, licensing or other arrangements that may be necessary or desirable to develop, manufacture or commercialize Kineta’s product candidates;
obtaining coverage and adequate reimbursement by third-party payors for Kineta’s product candidates;
addressing any competing therapies and technological and market developments; and
attracting, hiring and retaining qualified personnel.

Kineta may never be successful in achieving its objectives and, even if it does, may never generate revenue that is significant or large enough to achieve profitability. If Kineta does achieve profitability, it may not be able to sustain or increase profitability on a quarterly or annual basis. Kineta’s failure to become and remain profitable would decrease the value of the Company and could impair its ability to maintain or further its research and development efforts, raise additional necessary capital, grow its business and continue its operations.

 

The second closing of the Private Placement will not close on the expected timeline.

 

Kineta entered into a financing agreement, dated as of June 5, 2022, as amended on December 5, 2022, March 29, 2023, May 1, 2023, July 21, 2023 and October 13, 2023 (such financing agreement, as amended, the “Securities Purchase Agreement”) with certain investors to sell shares of its common stock in a private placement (the “Private Placement”). The first closing of the Private Placement occurred on December 16, 2022 and Kineta issued 649,346 shares of its common stock and received net proceeds of $7.4 million. The second closing of the Private Placement for an aggregate purchase price of $22.5 million is scheduled to occur on April 15, 2024. Kineta may further amend the Private Placement to close at a later date based on its funding needs. In February 2024, Kineta was informed by certain investors that they would not be able to consummate the second closing of the Private Placement, resulting in Kineta’s decision to seek strategic alternatives as discussed elsewhere in this Annual Report on Form 10-K.

Kineta will need to obtain substantial additional funding to complete the development and commercialization of its product candidates. If Kineta is unable to raise this capital when needed, Kineta may be forced to delay, reduce or eliminate its product development programs or other operations.

Since its inception, Kineta has used substantial amounts of cash to fund its operations and expects its expenses to increase substantially during the next few years. The development of biopharmaceutical product candidates, especially immuno-oncology product candidates, is capital intensive. As Kineta’s product candidates enter and advance through preclinical studies and clinical trials, Kineta will need substantial additional funds to expand its clinical, regulatory, quality and manufacturing capabilities. In addition, if Kineta obtains marketing approval for any of its product candidates, Kineta expects to incur significant commercialization expenses related to marketing, sales, manufacturing and distribution. Furthermore, Kineta expects to incur additional costs associated with operating as a public company.

As of December 31, 2023, Kineta had $5.8 million in cash, and there is substantial doubt about its ability to continue as a going concern. For more information, see the risk factor above entitled, “Kineta identified conditions and events that raise substantial doubt about its ability to continue as a going concern, Kineta needs substantial additional funding, and if Kineta is unable to raise capital when needed or on favorable terms, its business, financial condition, and results of operation could be materially and adversely affected.”

Kineta has based these estimates on assumptions that may prove to be incorrect or require adjustment as a result of business decisions, and Kineta

 

46


 

could utilize its available capital resources sooner than it currently expects. Kineta’s future capital requirements will depend on many factors, some of which are outside of its control, including:

the initiation, design, progress, timing, costs and results of drug discovery, preclinical studies and clinical trials of Kineta’s product candidates;
the number and characteristics of product candidates that Kineta pursues;
the number of clinical trials needed for regulatory approvals from the FDA, the European Commission (based on recommendation from the EMA), and any other regulatory authority;
the length of Kineta’s clinical trials, including, among other things, as a result of delays in enrollment, difficulties enrolling sufficient subjects or delays or difficulties in clinical trial site initiations;
increased costs associated with conducting Kineta’s clinical trials;
successfully complete ongoing pre-clinical studies and clinical trials;
the outcome, timing and costs of seeking regulatory approvals from the FDA, the European Commission, and any other regulatory authority;
the costs of manufacturing Kineta’s product candidates, in particular for clinical trials in preparation for marketing approval and in preparation for commercialization;
the costs of any third-party products used in Kineta’s combination clinical trials that are not covered by such third party or other sources;
the costs associated with hiring additional personnel and consultants as Kineta’s preclinical, manufacturing and clinical activities increase;
the receipt of marketing approval and revenue received from any commercial sales of any of Kineta’s product candidates, if approved;
the cost of commercialization activities for any of Kineta’s product candidates, if approved, including marketing, sales and distribution costs;
the emergence of competing therapies and other adverse market developments;
the ability to establish and maintain strategic collaboration, licensing or other arrangements and the financial terms of such agreements;
the extent to which Kineta in-licenses or acquires other products and technologies;
the amount and timing of any payments Kineta may be required to make pursuant to its current or future license agreements;
the costs involved in preparing, filing, prosecuting, maintaining, expanding, defending and enforcing patent claims, including litigation costs and the outcome of such litigation;
Kineta’s need and ability to retain key management and hire scientific, technical and business personnel;
Kineta’s implementation of additional internal systems and infrastructure, including operational, financial and management information systems;
Kineta’s costs associated with expanding its facilities or building out its laboratory space;
the effects of the disruptions to and volatility in the credit and financial markets in the United States and worldwide from the COVID-19 pandemic and the conflict between Russia and Ukraine and the conflict in Israel and the Gaza Strip; and
the costs of operating as a public company.

Kineta will require additional capital to achieve its business objectives. Additional funds may not be available on a timely basis, on favorable terms, or at all, and such funds, if raised, may not be sufficient to enable Kineta to continue to implement its long-term business strategy. Further, Kineta’s ability to raise additional capital may be adversely impacted by potential worsening global economic conditions and the disruptions to and volatility in the credit and financial markets in the United States and worldwide resulting from inflation, changes in interest rates, geopolitical instability and pandemics or other public health crises. If Kineta is unable to raise sufficient additional capital, Kineta could be forced to curtail its planned operations and the pursuit of its growth strategy.

Raising additional capital may cause dilution to Kineta’s stockholders, restrict its operations or require Kineta to relinquish rights to its technologies or product candidates.

Until such time, if ever, as Kineta can generate substantial product revenue, Kineta expects to finance its operations through equity offerings, debt financings or other capital sources, including potentially grants, collaborations, licenses or other similar arrangements. To the extent that Kineta raises additional capital through the sale of equity or convertible debt securities, Kineta’s stockholders’ ownership interest will be diluted, and the terms of these securities may include liquidation or other preferences that adversely affect the rights of holders of Kineta’s common stock. Additional debt financing, if available, may involve agreements that include covenants further limiting or restricting Kineta’s ability to take specific actions,

 

47


 

such as further limitations on Kineta’s ability to incur additional debt, make capital expenditures or declare dividends.

If Kineta raises funds through collaborations or licensing arrangements with third parties, Kineta may have to relinquish valuable rights to its technologies, future revenue streams, research programs or product candidates or grant licenses on terms that may not be favorable to Kineta. If Kineta is unable to raise additional funds when needed, Kineta may be required to delay, limit, reduce or terminate its product development or future commercialization efforts or grant rights to develop and market product candidates that Kineta would otherwise prefer to develop and market itself.

 

SEC regulations limit the amount of funds that Kineta can raise during any 12-month period pursuant to its shelf registration statement on Form S-3.

 

SEC regulations limit the amount that companies with a public float of less than $75 million may raise during any 12-month period pursuant to a shelf registration statement on Form S-3. As of the filing of this Annual Report on Form 10-K, Kineta is subject to General Instruction I.B.6 to Form S-3, referred to as the baby shelf rules. Under these regulations, the amount of funds Kineta can raise through primary public offerings of securities in any 12-month period using its registration statement on Form S-3 is limited to one-third of the aggregate market value of the shares of its common stock held by non-affiliates of the Company. Therefore, Kineta will be limited in the amount of proceeds it is able to raise by selling shares of its common stock using its Form S-3 until such time as its public float exceeds $75 million. Furthermore, if Kineta is required to file a new registration statement on another form, it may incur additional costs and be subject to delays due to review by the SEC staff.

Kineta has identified material weaknesses in its internal control over financial reporting. If Kineta is unable to remedy its material weaknesses in the future, or if Kineta fails to establish and maintain effective internal controls, Kineta may be unable to produce timely and accurate financial statements. Kineta has concluded that its internal control over financial reporting is ineffective as of December 31, 2023, which could adversely impact Kineta’s investors’ confidence and Kineta’s stock price.

Prior to completion of the Merger, Kineta was a private company and had limited accounting and financial reporting personnel and other resources with which to address its internal controls and related procedures. In connection with the audit of Kineta’s financial statements for the years ended December 31, 2023 and 2022, Kineta and its independent registered public accounting firm identified material weaknesses in Kineta’s internal control over financial reporting. A material weakness is a deficiency, or a combination of deficiencies, in internal control over financial reporting as defined under the Exchange Act and by the Public Company Accounting Oversight Board (United States), such that there is a reasonable possibility that a material misstatement of Kineta’s annual or interim financial statements will not be prevented or detected on a timely basis. The material weaknesses for the year ended December 31, 2023 relates to accounting for complex financial instruments related to the derivative asset and for accounting for allocated facilities costs. The material weakness for the year ended December 31, 2022 relates to accounting for complex financial instruments related to warrants issued to certain existing stockholders.

Kineta is in the process of implementing measures designed to improve its internal control over financial reporting to remediate these material weaknesses. For example, Kineta began to address the material weaknesses by implementing certain Sarbanes-Oxley controls during the first half of 2022. In October 2022, Kineta hired a Chief Financial Officer to enhance internal controls and address the material weaknesses and other control deficiencies identified during the audit of the financial statements. Kineta has designed and implemented improved processes and internal controls, including ongoing senior management review and audit committee oversight. Additionally, Kineta has implemented and upgraded accounting and reporting systems to improve accounting and financial reporting processes and has enhanced, developed and implemented formal policies, processes and documentation procedures relating to financial reporting, including the oversight of third-party service providers. The actions that Kineta has taken are subject to ongoing executive management review and will also be subject to audit committee oversight. Kineta expects to incur additional costs to remediate these material weaknesses. Kineta cannot assure you that the measures it has taken to date, together with any measures it may take in the future, will be sufficient to remediate the control deficiency that led to the material weaknesses in Kineta’s internal control over financial reporting or to avoid potential future material weaknesses. If Kineta is unable to successfully remediate its existing or any future material weakness in Kineta’s internal control over financial reporting, or if Kineta identifies any additional material weakness, the accuracy and timing of Kineta’s financial reporting may be adversely affected, Kineta may be unable to maintain compliance with securities law requirements regarding timely filing of periodic reports in addition to applicable stock exchange listing requirements, investors may lose confidence in Kineta’s financial reporting, and Kineta’s stock price may decline as a result. Kineta also could become subject to investigations by The Nasdaq Stock Market, LLC (“Nasdaq”), the SEC, or other regulatory authorities.

Risks Related to the Discovery, Development and Regulatory Approval of Kineta’s Product Candidates

Kineta’s development efforts are in the early stages. All of Kineta’s product candidates are in clinical development or in preclinical development. If Kineta is unable to advance its product candidates through clinical development, obtain regulatory approval and ultimately commercialize its product candidates, or experience significant delays in doing so, Kineta’s business will be materially harmed.

There is no assurance that clinical trials of Kineta’s product candidates, or any other future clinical trials of Kineta’s product candidates, will be successful or will generate positive clinical data and Kineta may not receive marketing approval from the FDA, European Commission, or other regulatory authorities for any of its product candidates. Kineta has limited experience submitting Investigational New Drug Applications (the “INDs”) to the FDA. KVA12123, KCP506 and LHF535 are in clinical development. There can be no assurance that the FDA will permit any of Kineta’s future INDs, including any IND for CD27, to go into effect in a timely manner or at all. Without an IND for a product candidate, Kineta will not be permitted to conduct clinical trials in the United States of such product candidate.

Biopharmaceutical development is a difficult, long, time-consuming, expensive and uncertain process, and delay or failure can occur at any stage of any of Kineta’s clinical trials. Failure to obtain regulatory approval for Kineta’s product candidates will prevent it from commercializing and

 

48


 

marketing its product candidates. The success in the development of Kineta’s product candidates will depend on many factors, including:

timely and successful completion of preclinical studies;
sufficiency of Kineta’s financial and other resources to complete the necessary preclinical studies and clinical trials;
obtaining and maintaining patent, trademark and trade secret protection and regulator exclusivity for Kineta’s product candidates and otherwise protecting its rights in its intellectual property portfolio;
submission of INDs and Clinical Trial Applications for and receipt of allowance to proceed with Kineta’s planned clinical trials or other future clinical trials;
initiating, enrolling, and successfully completing clinical trials;
obtaining positive results from Kineta’s preclinical studies and clinical trials that support a demonstration of efficacy, safety, and durability of effect for its product candidates;
receiving approvals for commercialization of Kineta’s product candidates from applicable regulatory authorities;
the outcome, timing and cost of meeting regulatory requirements established by the FDA, European Commission (based on recommendation from the EMA), and other regulatory authorities;
establishing sales, marketing and distribution capabilities and successfully launching commercial sales of Kineta’s products, if and when approved, whether alone or in collaboration with others;
maintaining a continued acceptable safety, tolerability and efficacy profile of any approved products;
setting acceptable prices for Kineta’s product and obtaining coverage and adequate reimbursement from third-party payors;
acceptance of Kineta’s products, if and when approved, by patients, the medical community and third-party payors;
manufacturing Kineta’s product candidates at an acceptable cost; and
maintaining and growing an organization of scientists, medical and clinical professionals and business people who can develop and commercialize Kineta’s products and technology.

Many of these factors are beyond Kineta’s control, including the time needed to adequately complete clinical testing, the regulatory submission process and potential threats to Kineta’s intellectual property rights. It is possible that none of Kineta’s product candidates will ever obtain regulatory approval, even if Kineta expends substantial time and resources seeking such approval. If Kineta does not achieve one or more of these factors in a timely manner or at all, or any other factors impacting the successful development of biopharmaceutical products, Kineta could experience significant delays or an inability to successfully develop its product candidates, which would materially harm Kineta’s business.

The results of preclinical studies and early clinical trials are not always predictive of future results. Any product candidate that Kineta advances in clinical trials may not achieve favorable results in later clinical trials, if any, or receive marketing approval.

The research and development of drugs and biological products is extremely risky. Only a small percentage of product candidates that enter the development process ever receive marketing approval. Before obtaining marketing approval from regulatory authorities for the sale of Kineta’s product candidates, Kineta must conduct extensive clinical trials to demonstrate the safety and efficacy of the product candidates in humans. The outcome of clinical testing is uncertain. Kineta may face unforeseen challenges in its product candidate development strategy, and Kineta can provide no assurances that it will ultimately be successful in its current and future clinical trials or that Kineta’s product candidates will be able to receive regulatory approval. The results of preclinical studies and early clinical trials of Kineta’s product candidates may not be predictive of the results of later-stage clinical trials. For example, it is not uncommon for product candidates to exhibit unforeseen safety or efficacy issues when tested in humans despite promising results in preclinical animal models. Future results of preclinical and clinical testing of Kineta’s product candidates are also less certain due to the novel and relatively untested nature of the approach of Kineta’s development platform. In general, clinical trial failure may result from a multitude of factors including flaws in study design, dose selection, patient enrollment criteria and failure to demonstrate favorable safety or efficacy traits. As such, failure in clinical trials can occur at any stage of testing. A number of companies in the biopharmaceutical industry, including immuno-oncology companies, have suffered setbacks in the advancement of clinical trials due to lack of efficacy or adverse safety profiles, notwithstanding promising results in earlier trials.

Interim, “topline,” and preliminary data from Kineta’s clinical trials that are announced or published from time to time may change as more patient data become available and are subject to audit and verification procedures that could result in material changes in the final data.

From time to time, Kineta may publicly disclose preliminary or topline data from its clinical trials, which are based on a preliminary analysis of then-available data, and the results and related findings and conclusions are subject to change following a more comprehensive review of the data related to the particular trial. Kineta also makes assumptions, estimations, calculations and conclusions as part of its analyses of data, and Kineta may not have received or had the opportunity to fully evaluate all data. As a result, the topline or preliminary results that Kineta reports may differ from future results of the same studies, or different conclusions or considerations may qualify such results, once additional data has been received and fully evaluated. Topline data also remain subject to audit and verification procedures that may result in the final data being materially different from the preliminary data Kineta previously published. As a result, topline data should be viewed with caution until the final data are available. From time to time, Kineta may also disclose interim data from its clinical trials. Interim data from clinical trials that Kineta may complete is subject to the risk that

 

49


 

one or more of the clinical outcomes may materially change as patient enrollment continues and more patient data become available or as patients from Kineta’s clinical trials continue other treatments for their disease. Adverse differences between preliminary or interim data and final data could significantly harm Kineta’s business prospects.

In addition, the information Kineta chooses to publicly disclose regarding a particular clinical trial is based on what is typically extensive information, and you or others may not agree with what Kineta determines is material or otherwise appropriate information to include in its disclosure.

If the interim, topline, or preliminary data that Kineta reports differs from actual or final results, or if others, including regulatory authorities, disagree with the conclusions reached, Kineta’s ability to obtain approval for, and commercialize, its product candidates may be harmed, which could harm Kineta’s business, operating results, prospects or financial condition.

Kineta’s immuno-oncology product candidates are based on novel technologies that target the TME, which makes it difficult to predict the results, timing and cost of product candidate development and likelihood of obtaining regulatory approval.

Kineta has concentrated its research and development efforts on immuno-oncology product candidates using its development platform, and Kineta’s future success depends on the successful development of this approach. Kineta’s product candidates target the TME which is highly immunosuppressive. Kineta has not yet succeeded and may not succeed in demonstrating efficacy and safety for any product candidates based on its platform technologies in clinical trials or in obtaining marketing approval thereafter, and use of Kineta’s platform technologies may not ever result in marketable products. Kineta may also experience delays in developing a sustainable, reproducible and scalable manufacturing process or transferring that process to commercial partners or establishing its own commercial manufacturing capabilities, which may prevent Kineta from completing its clinical trials or commercializing any products on a timely or profitable basis, if at all.

In addition, the clinical trial requirements of the FDA and other regulatory authorities and the criteria these regulators use to determine the safety and efficacy of a product candidate vary substantially according to the type, complexity, novelty and intended use and market of the potential products. The regulatory approval process for novel product candidates such as Kineta’s can be less predictable, more expensive and longer than for other, better known or extensively studied pharmaceutical or other product candidates.

There is no assurance that the approaches offered by Kineta’s products will gain broad acceptance among doctors or patients or that governmental agencies or third-party medical insurers will be willing to provide reimbursement coverage for proposed product candidates. Since Kineta’s current product candidates and any future product candidates will represent novel approaches to treating various conditions, it may be difficult, in any event, to accurately estimate the potential revenues from these product candidates. Accordingly, Kineta may spend significant capital trying to obtain approval for product candidates that have an uncertain commercial market. The market for any products that Kineta successfully develops will also depend on the cost of the product. Kineta does not yet have sufficient information to reliably estimate what it will cost to commercially manufacture its current product candidates, and the actual cost to manufacture these products could materially and adversely affect the commercial viability of these products. If Kineta does not successfully develop and commercialize products based upon its approach or find suitable and economical sources for materials used in the production of its products, Kineta will not become profitable, which would materially and adversely affect the value of Kineta’s common stock.

The immuno-oncology industry is also rapidly developing, and Kineta’s competitors may introduce new technologies improving the immune response to cancer that render Kineta’s technologies obsolete or less attractive. New technology could emerge at any point in the development cycle of Kineta’s product candidates.

Kineta has initiated or plans to initiate clinical trials with its immuno-oncology products, KVA12123 and CD27. If these product candidates do not show any functionality in the TME, Kineta’s development plans, financial position, results of operations and prospects may be materially adversely affected.

While Kineta plans to develop product candidates for use in solid tumors, including KVA12123 and CD27, Kineta’s immuno-oncology product candidates may not show any functionality in the TME. The cellular environment in which solid tumor cells thrive is generally hostile to T cells due to factors such as the presence of immunosuppressive cells, humoral factors and limited access to nutrients. Kineta’s product candidates may not be able to access the solid tumor, and even if they do, they may not be able to exert anti-tumor effects in a hostile TME. In addition, the safety profile of Kineta’s product candidates may differ in a solid tumor setting. As a result, Kineta’s product candidates may not demonstrate efficacy in solid tumors. If Kineta is unable to make its immuno-oncology product candidates function in tumors, Kineta’s development plans, financial position, results of operations and prospects may be materially adversely affected.

Kineta has initiated clinical trials with KVA12123, KCP506 and LHF535. If these product candidates do not show any functionality in cancer, chronic pain or anti-viral applications, Kineta’s development plans, financial position, results of operations and prospects may be materially adversely affected. If Kineta’s drugs fail to demonstrate clinically relevant activity in patients, Kineta’s development plans, financial position, results of operations and prospects may be materially adversely affected.

 

KVA12123 is in early stage clinical trials and may not show any functionality in cancer. If KVA121123 does not show any such functionality, Kineta’s development plans, financial position, results of operations and prospects may be materially adversely affected. LHF535, a drug candidate held by Kineta’s subsidiary, KVHF, is used in the treatment of Arenaviruses, which are very rare in developed markets. Adequate investment may not be available to advance this program, and if the drug does obtain regulatory approval, it may be difficult to find payors willing to pay for this

 

50


 

drug. On December 27, 2022, KCP received written notice from Genentech, Inc. of its termination of the Exclusive Option and License Agreement (“Genentech KCP506 License Agreement”) for KCP506. As a result of the termination of the Genentech KCP506 License Agreement, KCP may not have adequate funding to continue the development of this program.

Kineta may experience delays or difficulties in the enrollment and/or retention of patients in clinical trials, which could delay or prevent Kineta’s receipt of necessary regulatory approvals.

Successful and timely completion of clinical trials will require that Kineta enrolls a sufficient number of patients. Patient enrollment, which is an important factor in the timing of clinical trials, is affected by many factors, including the size and nature of the patient population and competition for patients eligible for Kineta’s clinical trials with competitors which may have ongoing clinical trials for product candidates that are under development to treat the same indications as one or more of Kineta’s product candidates, or approved products for the conditions for which Kineta is developing its product candidates.

Trials may be subject to delays as a result of patient enrollment taking longer than anticipated or patient withdrawal. Kineta may not be able to initiate or continue clinical trials for its product candidates if Kineta is unable to locate and enroll a sufficient number of eligible patients to participate in these trials as required by the FDA, EMA or comparable foreign regulatory authorities. Kineta cannot predict how successful it will be at enrolling subjects in future clinical trials. Subject enrollment is affected by other factors including:

the severity and difficulty of diagnosing the disease under investigation;
the eligibility and exclusion criteria for the trial in question;
the size of the patient population and process for identifying patients;
Kineta’s ability to recruit clinical trial investigators with the appropriate competencies and experience;
the design of the trial protocol;
the perceived risks and benefits of the product candidate in the trial;
the availability of competing commercially available therapies and other competing therapeutic candidates’ clinical trials for the disease or condition under investigation;
the willingness of patients to be enrolled in Kineta’s clinical trials;
the efforts to facilitate timely enrollment in clinical trials;
potential disruptions caused by pandemics or other public health crises, including difficulties in initiating clinical sites, enrolling and retaining participants, diversion of healthcare resources away from clinical trials, travel or quarantine policies that may be implemented, and other factors;
the patient referral practices of physicians;
the ability to monitor patients adequately during and after treatment; and
the proximity and availability of clinical trial sites for prospective patients.

Kineta’s inability to enroll a sufficient number of patients for clinical trials would result in significant delays and could require Kineta to abandon one or more clinical trials altogether. Enrollment delays in these clinical trials may result in increased development costs for Kineta’s product candidates, which would cause the value of the Company to decline and limit Kineta’s ability to obtain additional financing. Furthermore, Kineta expects to rely on Contract Research Organizations (CROs) and clinical trial sites to ensure the proper and timely conduct of its clinical trials and Kineta will have limited influence over their performance.

Kineta may not be able to submit INDs to commence additional clinical trials on the timelines Kineta expects and, even if Kineta is able to, the FDA may not permit Kineta to proceed.

Kineta plans to submit an IND for CD27 in the second half of 2024, but Kineta may not be able to submit this planned IND on the timeline it expects. For example, Kineta may experience manufacturing delays or other delays with IND-enabling studies. Moreover, Kineta cannot be sure that submission of an IND will result in the FDA allowing it to commence clinical trials or that, once begun, issues will not arise that lead to the suspension or termination of Kineta’s clinical trials. Additionally, even if the applicable regulatory authorities agree with the design and implementation of the clinical trials set forth in Kineta’s INDs, Kineta cannot guarantee that those regulatory authorities will not change their requirements in the future, or that circumstances will not arise under which FDA or other regulatory authorities may place Kineta’s clinical trials on partial or full clinical hold. These considerations apply to the INDs described above and also to new clinical trials Kineta may submit as amendments to existing INDs or as part of new INDs in the future. Any failure to submit INDs on the timelines Kineta expects or to obtain authorization to proceed with its trials may prevent Kineta from completing its clinical trials or commercializing its products on a timely basis, if at all.

The regulatory approval processes of the FDA, European Commission (based on recommendation from the EMA), and comparable foreign authorities are lengthy, time consuming and inherently unpredictable. If Kineta is not able to obtain required regulatory approval for its product candidates, Kineta’s business will be substantially harmed.

 

51


 

The time required to obtain approval or other marketing authorizations by the FDA, European Commission (based on recommendation from the EMA) and comparable foreign regulatory authorities is unpredictable, and it typically takes many years following the commencement of clinical trials and depends upon numerous factors, including the substantial discretion of the regulatory authorities. In addition, approval policies, regulations and the type and amount of clinical data necessary to gain approval may change during the course of a product candidate’s clinical development and may vary among jurisdictions. Kineta has not obtained regulatory approval for any product candidate, and it is possible that Kineta may never obtain regulatory approval for any product candidates it may seek to develop in the future. Neither Kineta nor any current or future collaborator is permitted to market any drug product candidates in the United States until Kineta receives regulatory approval of a biologics license application (“BLA”) or an NDA from the FDA, and Kineta cannot market it in the EU until Kineta receives a marketing authorization approval from the European Commission (based on recommendation from the EMA), or in the UK until Kineta receives regulatory approval from the Medicines and Healthcare products Regulatory Agency (MHRA) or other required regulatory approval in other countries. To date, Kineta has had only limited discussions with the FDA and European Commission (based on recommendation from the EMA) regarding clinical development programs or regulatory approval for any product candidate within the United States and EU, respectively. In addition, Kineta has had no discussions with other comparable foreign authorities regarding clinical development programs or regulatory approval for any product candidate outside of those jurisdictions.

Prior to obtaining approval to commercialize any drug product candidate in the United States or abroad, Kineta must demonstrate with evidence from well-controlled clinical trials, and to the satisfaction of the FDA, European Commission (based on recommendation from the EMA) or other foreign regulatory authorities, that such product candidates are safe and effective for their intended uses. Results from preclinical studies and clinical trials can be interpreted in different ways. Even if Kineta believes the preclinical or clinical data for its product candidates are promising, such data may not be sufficient to support approval by the FDA, the European Commission (based on recommendation of the EMA) and other comparable foreign regulatory authorities. The FDA or European Commission (based on recommendation from the EMA) may also require Kineta to conduct additional preclinical studies or clinical trials for its product candidates either prior to or after approval, or it may object to elements of Kineta’s clinical development programs.

Kineta’s product candidates could fail to receive regulatory approval for many reasons, including the following:

the FDA, EMA or comparable foreign regulatory authorities may disagree with the design or implementation of Kineta’s clinical trials, or with Kineta’s interpretation of clinical trial results;
Kineta may be unable to demonstrate to the satisfaction of the FDA, EMA, or comparable foreign regulatory authorities that a product candidate is safe and effective for its proposed indication;
the results of clinical trials may not meet the level of statistical significance required by the FDA, European Commission (based on recommendation from the EMA) or comparable foreign regulatory authorities for approval;
Kineta may be unable to demonstrate that a product candidate’s clinical and other benefits outweigh its safety risks;
the FDA, European Commission (based on recommendation from the EMA) or comparable foreign regulatory authorities may fail to approve the manufacturing processes or facilities of third-party manufacturers with which Kineta contracts for clinical and commercial supplies; and
the approval policies or regulations of the FDA, European Commission (based on recommendation from the EMA) or comparable foreign authorities may significantly change in a manner rendering Kineta’s clinical data insufficient for approval.

Of the large number of products in development, only a small percentage successfully complete the FDA, European Commission (based on recommendation from the EMA) or comparable foreign regulatory approval processes and are commercialized. The lengthy approval and marketing authorization process as well as the unpredictability of future clinical trial results may result in Kineta’s failure to obtain regulatory approval and marketing authorization to market its product candidates, which would significantly harm Kineta’s business, financial condition, results of operations and prospects.

Kineta has invested a significant portion of its time and financial resources in the development of its clinical and preclinical product candidates. Kineta’s business is dependent on its ability (or its partners’ or licensees’ ability) to successfully complete preclinical and clinical development of, obtain regulatory approval for, and, if approved, successfully commercialize KCP506, LHF535, KVA12123, CD27 and any future product candidates in a timely manner.

Even if Kineta (or its partners or licensees) eventually complete clinical testing and receive approval of an NDA or a BLA or other comparable foreign marketing application for KCP506, LHF535, KVA12123, CD27 or any future product candidates, the FDA, European Commission (based on recommendation from the EMA) or other comparable foreign regulatory authorities may grant approval or other marketing authorization contingent on the performance of costly additional clinical trials, including post-marketing clinical trials. The FDA, European Commission (based on recommendation from the EMA) or other comparable foreign regulatory authorities may also approve or authorize for marketing a product candidate for a more limited indication or patient population than Kineta originally requests, and the FDA, European Commission (based on recommendation from the EMA) or other comparable foreign regulatory authorities may not approve or authorize the labeling that Kineta believes is necessary or desirable for the successful commercialization of a product candidate. Any delay in obtaining, or inability to obtain, applicable regulatory approval or other marketing authorization would delay or prevent commercialization of that product candidate and would materially adversely impact Kineta’s business and prospects.

In addition, the FDA, European Commission (based on recommendation from the EMA) or other comparable foreign regulatory authorities and regulatory review committees described above may change their policies, issue additional regulations or revise existing regulations, or take other

 

52


 

actions, which may prevent or delay approval of Kineta’s future products under development on a timely basis. Such policy or regulatory changes could impose additional requirements upon Kineta that could delay its ability to obtain approvals, increase the costs of compliance or restrict Kineta’s ability to maintain any marketing authorizations it may have obtained.

 

Failure to obtain marketing approval in foreign jurisdictions would prevent Kineta’s product candidates from being marketed abroad. Any approval Kineta may be granted for its product candidates in the United States would not assure approval of its product candidates in foreign jurisdictions and any of its product candidates that may be approved for marketing in a foreign jurisdiction will be subject to risks associated with foreign operations.

 

In order to market and sell its products in the EU and other foreign jurisdictions, Kineta must obtain separate marketing approvals and comply with numerous and varying regulatory requirements. The approval procedure varies among countries and can involve additional testing. The time required to obtain approval may differ substantially from that required to obtain FDA approval. The marketing approval process outside the United States generally includes all of the risks associated with obtaining FDA approval. Kineta may not obtain approvals from regulatory authorities outside the United States on a timely basis, if at all. Approval by the FDA does not ensure approval by regulatory authorities in other countries or jurisdictions, and approval by one regulatory authority outside the United States does not ensure approval by regulatory authorities in other countries or jurisdictions or by the FDA. Kineta may file for marketing approvals but not receive necessary approvals to commercialize its products in any market.

 

In many countries outside the United States, a product candidate must be approved for reimbursement before it can be approved for sale in that country. In some cases, the price that Kineta intends to charge for its products, if approved, is also subject to approval. Obtaining non-U.S. regulatory approvals and compliance with non-U.S. regulatory requirements could result in significant delays, difficulties and costs for Kineta and could delay or prevent the introduction of its product candidates in certain countries. In addition, if Kineta fails to obtain the non-U.S. approvals required to market its product candidates outside the United States or if Kineta fails to comply with applicable non-U.S. regulatory requirements, Kineta’s target markets will be reduced and its ability to realize the full market potential of its product candidates will be harmed and its business, financial condition, results of operations and prospects may be adversely affected.

 

Additionally, Kineta could face heightened risks with respect to seeking marketing approval in the United Kingdom as a result of the withdrawal of the United Kingdom from the EU, commonly referred to as Brexit. As of January 1, 2021, the MHRA became responsible for supervising medicines and medical devices in Great Britain, comprising England, Scotland and Wales under domestic law, whereas Northern Ireland will continue to be subject to EU rules under the Northern Ireland Protocol. The MHRA will rely on the Human Medicines Regulations 2012 (SI 2012/1916) (as amended) (HMR) as the basis for regulating medicines. The HMR has incorporated into the domestic law of the body of EU law instruments governing medicinal products that pre-existed prior to the UK’s withdrawal from the EU.

 

Any delay in obtaining, or an inability to obtain, any marketing approvals, as a result of Brexit or otherwise, would prevent Kineta from or delay Kineta commercializing its product candidates in the United Kingdom and/or the EEA and restrict Kineta’s ability to generate revenue and achieve and sustain profitability. Kineta also expects that it will be subject to additional risks in commercializing any of its product candidates that receive marketing approval outside the United States, including tariffs, trade barriers and regulatory requirements; economic weakness, including inflation, or political instability in particular foreign economies and markets; compliance with tax, employment, immigration and labor laws for employees living or traveling abroad; foreign currency fluctuations, which could result in increased operating expenses and reduced revenue, and other obligations incident to doing business in another country; and workforce uncertainty in countries where labor unrest is more common than in the United States.

 

Kineta’s preclinical studies and clinical trials may fail to demonstrate the safety and efficacy of its product candidates, or serious adverse or unacceptable side effects may be identified during the development of Kineta’s product candidates, which could prevent, delay or limit the scope of regulatory approval of its product candidates, limit their commercialization, increase Kineta’s costs or necessitate the abandonment or limitation of the development of some of Kineta’s product candidates.

To obtain the requisite regulatory approvals for the commercial sale of Kineta’s product candidates, Kineta must demonstrate through lengthy, complex and expensive preclinical testing and clinical trials that its product candidates are safe and effective for use in each target indication. These trials are expensive and time consuming, and their outcomes are inherently uncertain. Failures can occur at any time during the development process. Preclinical studies and clinical trials often fail to demonstrate safety or efficacy of the product candidate studied for the target indication, and most product candidates that begin clinical trials are never approved.

Kineta may fail to demonstrate with evidence from adequate and well-controlled trials, and to the satisfaction of the FDA, European Commission (based on recommendation from the EMA) or comparable foreign regulatory authorities, that its product candidates are safe and effective for their intended uses.

Possible adverse reactions and adverse side effects that could occur with immuno-oncology treatments can be severe, for example, cytokine CRS. Depending on an evaluation of the available data, Kineta may decide or be required to perform additional preclinical studies or to halt or delay further clinical development of its product candidates or to limit their development to more narrow uses or subpopulations in which the undesirable side effects or other characteristics are less prevalent, less severe, or more acceptable from a risk-benefit perspective, which may limit the commercial expectations for the product candidate, if approved.

Kineta’s clinical trials could also be suspended or terminated and the FDA, EMA or comparable foreign regulatory authorities could order Kineta to cease further development of, or deny approval of, its product candidates for any or all targeted indications. Even if this does not occur, reports of serious reactions could affect patient recruitment or the ability of enrolled patients to complete the trial. Moreover, if Kineta elects, or is required, to

 

53


 

not initiate, delay, suspend or terminate any future clinical trial of any of Kineta’s product candidates, the commercial prospects of such product candidates may be harmed, and Kineta’s ability to generate product revenues from any of these product candidates may be delayed or eliminated. Any of these occurrences may harm Kineta’s ability to develop other product candidates, and may harm Kineta’s business, financial condition and prospects significantly.

If Kineta’s product candidates are associated with side effects in clinical trials or have characteristics that are unexpected, Kineta may need to abandon their development or limit development to more narrow uses in which the side effects or other characteristics are less prevalent, less severe or more acceptable from a risk-benefit perspective. The FDA, EMA, an institutional review board (“IRB”) or ethics committee (“EC”), which are local institutional boards or committees, as applicable, that review, approve and oversee basic and clinical research conducted as the institution participating in the clinical trial, or comparable foreign regulatory authorities, may also require that Kineta suspend, discontinue or limit its clinical trials based on safety information, or that Kineta conducts additional animal or human studies regarding the safety and efficacy of its product candidates which Kineta has not planned or anticipated. Such findings could further result in regulatory authorities failing to provide marketing authorization for Kineta’s product candidates or limiting the scope of the approved indication, if approved. Many product candidates that initially showed promise in early-stage testing have later been found to cause side effects that prevented further development of the product candidate.

Preclinical development is uncertain. Kineta’s preclinical programs may experience delays or may never advance to clinical trials, which would adversely affect Kineta’s ability to obtain regulatory approvals or commercialize these programs on a timely basis or at all, which would have an adverse effect on Kineta’s business.

In the third quarter of 2020, the requisite authorities in the Netherlands authorized Kineta to initiate an initial clinical trial in healthy volunteers to demonstrate safety and tolerability of KCP506. Kineta completed this Phase 1 trial in healthy volunteers in 2022.

The FDA has requested additional pre-clinical data related to Kineta’s IND for LHF535. Kineta completed the Phase 1 trial in healthy volunteers in Australia in June 2020.

In the fourth quarter of 2022, Kineta was authorized by the FDA to begin a clinical trial of KVA12123 in the United States. In April 2023, the first patient was dosed in the Phase 1/2 clinical study evaluating KVA12123 alone and in combination with the immune checkpoint inhibitor pembrolizumab in patients with advanced solid tumors, and in October 2023, the first patient was dosed in combination with KEYTRUDA® (pembrolizumab) in the clinical trial. All of Kineta’s product candidates, including KVA12123, KCP506 and LHF535, are still in the preclinical or early clinical stage, and their risk of failure is high. Before Kineta can commence clinical trials for a product candidate, it must complete extensive preclinical testing and studies that support Kineta’s planned INDs in the United States, or similar applications in other jurisdictions. Kineta cannot be certain of the timely completion or outcome of its preclinical testing and studies and cannot predict if the FDA or other regulatory authorities will accept Kineta’s proposed clinical programs or if the outcome of Kineta’s preclinical or clinical testing and studies will ultimately support the further development of its programs. As a result, Kineta cannot be sure that it will be able to submit INDs or similar applications for its preclinical programs beyond KVA12123, KCP506 and LHF535 on the timelines Kineta expects, if at all, and Kineta cannot be sure that submission of INDs or similar applications will result in the FDA or other regulatory authorities allowing clinical trials to begin.

Kineta may encounter substantial delays in the commencement or completion, or termination or suspension, of its clinical trials, which could result in increased costs to Kineta and delay or limit its ability to generate revenue and adversely affect Kineta’s commercial prospects.

Before obtaining marketing approval from regulatory authorities for the sale of its product candidates, Kineta must conduct extensive clinical trials to demonstrate the safety and efficacy of the product candidate for its intended indications. Kineta cannot guarantee that any clinical trials will be conducted as planned or completed on schedule, if at all. Kineta may experience numerous unforeseen events during or as a result of clinical trials that could delay or prevent its ability to receive marketing approval or commercialize Kineta’s product candidates, including:

Kineta may be unable to generate sufficient preclinical, toxicology or other in vivo or in vitro data to obtain regulatory authorizations to commence a clinical trial;
Kineta may experience issues in reaching a consensus with regulatory authorities on trial design;
regulators or IRBs or ECs may not authorize Kineta or its investigators to commence a clinical trial or conduct a clinical trial at a prospective trial site;
Kineta may experience delays in reaching, or fail to reach, agreement on acceptable terms with prospective trial sites and prospective CROs, the terms of which can be subject to extensive negotiation and may vary significantly among different CROs and trial sites;
clinical trial sites may deviate from a trial protocol or drop out of a trial or fail to conduct the trial in accordance with regulatory requirements;
the number of subjects required for clinical trials of Kineta’s product candidates may be larger than Kineta anticipates or subjects may fail to enroll or remain in clinical trials at the rate Kineta expects;
subjects that enroll in Kineta’s studies may misrepresent their eligibility or may otherwise not comply with the clinical trial protocol, resulting in the need to drop the subject from the trial, increase the needed enrollment size for the clinical trial or extend its duration;
subjects may choose an alternative treatment for the indication for which Kineta is developing its product candidates, or participate in competing clinical trials;
subjects may experience severe or unexpected drug-related adverse effects;

 

54


 

clinical trials of Kineta’s product candidates may produce unfavorable, inconclusive or clinically insignificant results;
Kineta may decide to, or regulators or IRBs or ECs may require Kineta to, make changes to a clinical trial protocol or conduct additional preclinical studies or clinical trials, or Kineta may decide to abandon product development programs;
Kineta may need to add new or additional clinical trial sites;
Kineta’s third-party contractors, including those manufacturing its product candidates or conducting clinical trials on its behalf, may fail to comply with regulatory requirements or meet their contractual obligations to Kineta in a timely manner, or at all;
Kineta may experience manufacturing delays, and any changes to manufacturing processes or third-party contractors that may be necessary or desired could result in other delays;
Kineta may experience import delays of its product candidates manufactured abroad;
Kineta or its third-party contractors may experience delays due to complications associated with pandemics or other health crises;
the cost of preclinical testing and studies and clinical trials of any product candidates may be greater than Kineta anticipates or greater than Kineta’s available financial resources;
the supply or quality of Kineta’s product candidates or other materials necessary to conduct clinical trials of its product candidates may be insufficient or inadequate or Kineta may not be able to obtain sufficient quantities of combination therapies for use in clinical trials;
reports may arise from preclinical or clinical testing of other cancer therapies that raise safety or efficacy concerns about Kineta’s product candidates; and
regulators may revise the requirements for approving Kineta’s product candidates, or such requirements may not be as Kineta anticipates.

If Kineta is required to conduct additional clinical trials or other testing of its product candidates beyond the clinical trials and testing that Kineta contemplates, if Kineta is unable to successfully complete clinical trials or other testing of its product candidates, if the results of these clinical trials or tests are unfavorable or are only modestly favorable, or if there are safety concerns associated with any of product candidates, Kineta may:

incur additional unplanned costs;
be required to suspend or terminate ongoing clinical trials;
be delayed in obtaining marketing approval, if at all;
obtain approval for indications or patient populations that are not as broad as intended or desired;
obtain approval with labeling that includes significant use or distribution restrictions or safety warnings or be subject to the addition of labeling statements, such as warnings or contraindications;
be subject to additional post-marketing testing or other requirements;
be required to perform additional clinical trials to support approval;
have regulatory authorities withdraw or suspend their approval of the drug or impose restrictions on its distribution in the form of a modified risk evaluation and mitigation strategy (“REMS”);
have the product removed from the market after obtaining marketing approval;
be subject to lawsuits; or
experience damage to Kineta’s reputation.

Conducting clinical trials in foreign countries, as Kineta may do for its product candidates, presents additional risks that may delay completion of Kineta’s clinical trials. These risks include the failure of enrolled patients in foreign countries to adhere to clinical protocols as a result of differences in healthcare services or cultural customs, managing additional administrative burdens associated with foreign regulatory schemes, as well as political and economic risks relevant to such foreign countries.

Moreover, principal investigators for Kineta’s clinical trials may serve as scientific advisors or consultants to Kineta from time to time and receive compensation in connection with such services. Under certain circumstances, Kineta may be required to report some of these relationships to the FDA or comparable foreign regulatory authorities. The FDA or comparable foreign regulatory authority may conclude that a financial relationship between Kineta and a principal investigator has created a conflict of interest or otherwise affected interpretation of the trial. The FDA or comparable foreign regulatory authority may therefore question the integrity of the data generated at the applicable clinical trial site and the utility of the clinical trial itself may be jeopardized. This could result in a delay in approval, or rejection, of Kineta’s marketing applications by the FDA or comparable foreign regulatory authorities, as the case may be, and may ultimately lead to the denial of marketing approval of one or more of Kineta’s product candidates.

In addition to the factors above, Kineta may make formulation or manufacturing changes to its product candidates, in which case Kineta may need to conduct additional preclinical studies or clinical trials to bridge its modified product candidates to earlier versions, which may be costly, time

 

55


 

consuming and may not be successful at all.

Kineta’s failure to successfully initiate and complete clinical trials of its product candidates and to demonstrate the efficacy and safety necessary to obtain regulatory approval to market any of its product candidates would significantly harm Kineta’s business. Kineta cannot guarantee that its clinical trials will begin as planned or be completed on schedule, if at all, or that Kineta will not need to restructure its clinical trials. Significant preclinical study or clinical trial delays could also shorten any periods during which Kineta may have the exclusive right to commercialize its product candidates or allow its competitors to bring products to market before Kineta does and impair Kineta’s ability to successfully commercialize its product candidates, which may harm Kineta’s business and results of operations. In addition, many of the factors that cause, or lead to, delays of clinical trials may ultimately lead to the denial of regulatory approval of Kineta’s product candidates.

As an organization, Kineta has never conducted pivotal clinical trials, and Kineta may be unable to do so for any product candidates it may develop.

Kineta will need to successfully complete clinical trials meeting requirements for approval of the FDA or comparable foreign regulatory authorities, known as pivotal trials, to market its drugs, or any future product candidate. Carrying out pivotal clinical trials is a complicated process. As an organization, Kineta has not previously conducted any later-stage or pivotal clinical trials. In order to do so, Kineta will need to expand its clinical development and regulatory capabilities, and it may be unable to recruit and train qualified personnel. Kineta also expects to continue to rely on third parties to conduct its pivotal clinical trials. Consequently, Kineta may be unable to successfully and efficiently execute and complete necessary clinical trials in a way that leads to NDA or BLA submission and approval of Kineta’s drugs, or future product candidates. Kineta may require more time and incur greater costs than its competitors and may not succeed in obtaining regulatory approvals of product candidates that Kineta develops. Failure to commence or complete, or delays in, Kineta’s planned clinical trials could prevent Kineta from or delay Kineta in commercializing its product candidates.

Some data for product candidates comes from clinical trials conducted outside the United States, EU and the UK, and the FDA, EMA or comparable foreign regulatory authorities may not accept data from such trials.

The acceptance of data from clinical trials conducted outside the United States or another jurisdiction by the FDA may be subject to certain conditions or may not be accepted at all. Similarly, the EMA and other equivalent foreign regulatory authorities may not accept data from trials conducted outside their jurisdiction. In cases where data from foreign clinical trials are intended to serve as the basis for marketing approval in the United States, the FDA will generally not approve the application on the basis of foreign data alone unless (i) the data are applicable to the U.S. population and U.S. medical practice; and (ii) the trials were performed by clinical investigators of recognized competence and pursuant to good clinical practice (“GCP”) regulations. In general, the patient population for any clinical trials conducted outside the United States must be representative of the population for whom Kineta intends to label the product candidate in the United States. Additionally, the FDA’s clinical trial requirements, including sufficient size of patient populations and statistical powering, must be met. Many foreign regulatory authorities have similar approval requirements for clinical trials. In addition, such trials would be subject to the applicable local laws of the foreign jurisdictions where the trials are conducted. There can be no assurance that the FDA, EMA or any comparable foreign regulatory authority will accept data from trials conducted outside of the applicable jurisdiction. If the FDA, EMA or any comparable foreign regulatory authority does not accept such data, it would result in the need for additional trials, which could be costly and time-consuming, and which may result in product candidates that Kineta may develop not receiving approval for commercialization in the applicable jurisdiction.

Breakthrough therapy designation by the FDA for any product candidate may not lead to a faster development or regulatory review or approval process, and it does not increase the likelihood that the product candidate will receive marketing approval.

Kineta may seek breakthrough therapy designation for its product candidates or programs. A breakthrough therapy is defined as a product candidate that is intended, as a monotherapy or in combination with one or more other drugs, to treat a serious or life-threatening disease or condition, and preliminary clinical evidence indicates that the product candidate may demonstrate substantial improvement over existing therapies on one or more clinically significant endpoints, such as substantial treatment effects observed early in clinical development. For product candidates that have been designated as breakthrough therapies, interaction and communication between the FDA and the sponsor of the trial can help to identify the most efficient path for clinical development while minimizing the number of patients placed in ineffective control regimens. Product candidates designated as breakthrough therapies by the FDA are also eligible for priority review if supported by clinical data at the time of the submission of the NDA or BLA.

Designation as a breakthrough therapy is within the discretion of the FDA. Accordingly, even if Kineta believes that one of its product candidates meets the criteria for designation as a breakthrough therapy, the FDA may disagree and instead determine not to make such designation. In any event, the receipt of a breakthrough therapy designation for a product candidate may not result in a faster development process, review or approval compared to product candidates considered for approval under conventional FDA procedures and it would not assure ultimate approval by the FDA. In addition, even after a product candidate qualifies as a breakthrough therapy, the FDA may later decide that the product candidate no longer meets the conditions for qualification or it may decide that the time period for FDA review or approval will not be shortened.

A Fast Track designation by the FDA, even if granted for other current or future product candidates, may not lead to a faster development or regulatory review or licensure process and does not increase the likelihood that Kineta’s product candidates will receive marketing licensure.

Kineta may seek Fast Track designation for one or more of its future product candidates. If a drug or biological product is intended for the treatment of a serious or life-threatening disease or condition and it demonstrates the potential to address unmet medical needs for such a disease or condition,

 

56


 

the drug sponsor may apply for FDA Fast Track designation for a particular indication. Kineta may seek Fast Track designation for its product candidates, but there is no assurance that the FDA will grant this designation to any of Kineta’s proposed product candidates. Marketing applications submitted by sponsors of products in Fast Track development may qualify for priority review under the policies and procedures offered by the FDA, but the Fast Track designation does not assure any such qualification or ultimate marketing licensure by the FDA. The FDA has broad discretion whether or not to grant Fast Track designation, so even if Kineta believes a particular product candidate is eligible for this designation, there can be no assurance that the FDA would decide to grant it. Even if Kineta does receive Fast Track designation, Kineta may not experience a faster development process, review or licensure compared to conventional FDA procedures or pathways, and receiving a Fast Track designation does not provide assurance of ultimate FDA licensure. In addition, the FDA may withdraw Fast Track designation if it believes that the designation is no longer supported by data from Kineta’s clinical development program. In addition, the FDA may withdraw any Fast Track designation at any time.

Accelerated approval by the FDA, even if granted for Kineta’s current or any other future product candidates, may not lead to a faster development or regulatory review or approval process and it does not increase the likelihood that Kineta’s product candidates will receive regulatory approval.

Kineta may seek accelerated approval of its current or future product candidates using the FDA’s accelerated approval pathway. A product may be eligible for accelerated approval if it treats a serious or life-threatening condition and generally provides a meaningful advantage over available therapies. In addition, it must demonstrate an effect on a surrogate endpoint that is reasonably likely to predict clinical benefit or on a clinical endpoint that can be measured earlier than irreversible morbidity or mortality (“IMM”) that is reasonably likely to predict an effect on IMM or other clinical benefit. As a condition of approval, the FDA requires that a sponsor of a drug or biologic receiving accelerated approval perform adequate and well-controlled post-marketing clinical trials. These confirmatory trials must be completed with due diligence. In addition, the FDA currently requires, unless otherwise informed by the agency, pre-approval of promotional materials for products receiving accelerated approval, which could adversely impact the timing of the commercial launch of the product. Even if Kineta does receive accelerated approval, Kineta may not experience a faster development or regulatory review or approval process, and receiving accelerated approval does not provide assurance of ultimate FDA approval.

Even if Kineta receives regulatory approval for any of its product candidates, Kineta will be subject to ongoing regulatory obligations and continued regulatory review, which may result in significant additional expense. Additionally, Kineta’s product candidates, if approved, could be subject to post-market study requirements, marketing and labeling restrictions, and even recall or market withdrawal if unanticipated safety issues are discovered following approval. In addition, Kineta may be subject to penalties or other enforcement action if Kineta fails to comply with regulatory requirements.

If the FDA, the European Commission (based on recommendation from the EMA) or a comparable foreign regulatory authority approves any of Kineta’s product candidates, the manufacturing processes, labeling, packaging, distribution, storage, advertising, promotion, import, export, recordkeeping, monitoring and reporting for Kineta’s product will be subject to extensive and ongoing regulatory requirements. These requirements include submissions of safety and other post-marketing information and reports, establishment registration and listing, as well as continued compliance with current Good Manufacturing Practice requirements (“cGMPs”) and GCP requirements for any clinical trials that Kineta conducts post-approval. Any regulatory approvals that Kineta receives for its product candidates may also be subject to limitations on the approved indicated uses for which the product may be marketed or to the conditions of approval, or contain requirements for potentially costly post-marketing studies, including Phase 4 clinical trials, and surveillance to monitor the safety and efficacy of the product.

The FDA may require a REMS in order to approve Kineta’s product candidates, which could entail requirements for a medication guide, physician communication plans or additional elements to ensure safe use, such as restricted distribution methods, patient registries and other risk minimization tools. Later discovery of previously unknown problems with a product, including adverse events of unanticipated severity or frequency, or with Kineta’s third-party manufacturers or manufacturing processes, or failure to comply with regulatory requirements, may result in, among other things:

restrictions on the marketing or manufacturing of the product, withdrawal of the product from the market, or voluntary or mandatory product recalls;
revision to the labeling, including limitations on approved uses or the addition of additional warnings, contraindications or other safety information, including boxed warnings;
imposition of a REMS, which may include distribution or use restrictions;
requirements to conduct additional post-market clinical trials to assess the safety of the product;
fines, warning letters or other regulatory enforcement action;
refusal by the FDA to approve pending applications or supplements to approved applications filed by Kineta;
product seizure or detention, or refusal to permit the import or export of products; and
injunctions or the imposition of civil or criminal penalties.

In the EU, the European Commission (based on recommendation from the EMA) may require an equivalent risk management plan. The FDA’s, European Commission’s, EMA’s and other comparable foreign regulatory authorities’ policies may change and additional government regulations may be enacted that could prevent, limit or delay regulatory approval of Kineta’s product candidates. If Kineta is slow or unable to adapt to changes in existing requirements or the adoption of new requirements or policies, or if Kineta is not able to maintain regulatory compliance, Kineta may lose any marketing approval that it may have obtained, which would adversely affect Kineta’s business, prospects and ability to achieve or sustain

 

57


 

profitability.

Kineta anticipates that some of its current product candidates and any future product candidates may be used in combination with third-party drugs or biologics, some of which are still in development, and Kineta has limited or no control over the supply, regulatory status or regulatory approval of such drugs or biologics.

Kineta’s immuno-oncology drugs target both immune suppressive host and tumor cells in the TME initiating a dynamic process of activating the host immune system, which response can be further exploited by concurrent or subsequent therapies including checkpoint inhibitors such as the dominant PD-1 monoclonal antibodies, pembrolizumab and nivolumab. Accordingly, it is expected that Kineta’s product candidates, if approved, would be used in combination with third-party drugs or biologics. Kineta’s ability to develop and ultimately commercialize its current product candidates and any future product candidates used in combination with other therapies, including for example, pembrolizumab, nivolumab, or any other checkpoint inhibitor immunotherapies, will depend on Kineta’s ability to access such drugs or biologics on commercially reasonable terms for the clinical trials and their availability for use with the commercialized product, if approved. Kineta cannot be certain that current or potential future commercial relationships will provide it with a steady supply of such drugs or biologics on commercially reasonable terms or at all.

Any failure to maintain or enter into new successful commercial relationships, or the expense of purchasing checkpoint inhibitor immunotherapies or other comparator therapies in the market, may delay Kineta’s development timelines, increase Kineta’s costs and jeopardize Kineta’s ability to develop its current product candidates and any future product candidates as commercially viable therapies. If any of these occur, Kineta’s business, financial condition, results of operations, stock price and prospects may be materially harmed.

Moreover, the development of product candidates for use in combination with another product or product candidate may present challenges that are not faced for single agent product candidates. Kineta is currently developing immuno-oncology drugs for use in monotherapy and in combination with checkpoint inhibitors, targeted therapies and chemotherapeutics. The FDA, EMA or comparable foreign regulatory authorities may require Kineta to use more complex clinical trial designs in order to evaluate the contribution of each product and product candidate to any observed effects. It is possible that the results of such trials could show that any positive previous trial results are attributable to the combination therapy and not Kineta’s current product candidates and any future product candidates. It is also possible that trial results for Kineta’s product candidates may differ significantly if Kineta’s product candidates are investigated with different combination therapies in different trials. Moreover, following product approval, the FDA, EMA or comparable foreign regulatory authorities may require that products used in conjunction with each other be cross labeled for combined use. To the extent that Kineta does not have rights to the other product, this may require Kineta to work with a third party to satisfy such a requirement. Moreover, developments related to the other product may impact Kineta’s clinical trials for the combination as well as Kineta’s commercial prospects should Kineta receive marketing approval. Such developments may include changes to the other product’s safety or efficacy profile, changes to the availability of the approved product, quality, manufacturing and supply issues and changes to the standard of care.

In the event that any of Kineta’s collaborators or suppliers cannot continue to supply their products on commercially reasonable terms, Kineta would need to identify alternatives for accessing such checkpoint inhibitor immunotherapies. Additionally, should the supply of products from any collaborator or supplier be interrupted, delayed or otherwise be unavailable to Kineta, Kineta’s clinical trials may be delayed. In the event Kineta is unable to source an alternative supply, or is unable to do so on commercially reasonable terms, Kineta’s business, financial condition, results of operations, stock price and prospects may be materially harmed.

Kineta may expend its limited resources to pursue a particular product candidate or indication and fail to capitalize on product candidates or indications that may be more profitable or for which there is a greater likelihood of success.

Because Kineta has limited financial and managerial resources, Kineta must prioritize its research programs and will need to focus its discovery and development on select product candidates and indications. Correctly prioritizing Kineta’s research and development activities is particularly important for Kineta due to the breadth of potential product candidates and indications that it believes could be pursued using Kineta’s platform technologies. As a result, Kineta may forego or delay pursuit of opportunities with other product candidates or for other indications that later prove to have greater commercial potential. Kineta’s resource allocation decisions may cause it to fail to capitalize on viable commercial products or profitable market opportunities. Kineta’s spending on current and future research and development programs and product candidates for specific indications may not yield any commercially viable products. If Kineta does not accurately evaluate the commercial potential or target market for a particular product candidate, Kineta may also relinquish valuable rights to that product candidate through collaboration, licensing or other royalty arrangements in cases in which it would have been more advantageous for Kineta to retain sole development and commercialization rights to such product candidate.

If Kineta does not achieve its projected development goals in the timeframes it announces and expects, the commercialization of its products may be delayed and, as a result, Kineta’s stock price may decline.

From time to time, Kineta estimates the timing of the anticipated accomplishment of various scientific, clinical, regulatory and other product development goals, which Kineta sometimes refers to as milestones. These milestones may include the commencement or completion of preclinical studies and clinical trials and the submission of regulatory filings and may be associated with payments from collaborators. From time to time, Kineta may publicly announce the expected timing of some of these milestones. All of these milestones are and will be based on numerous assumptions. The actual timing of these milestones may vary dramatically compared to Kineta’s estimates, in some cases for reasons beyond Kineta’s control. If Kineta does not meet these milestones as publicly announced, or at all, its revenue may be lower than expected, the commercialization of its products may be delayed or never achieved and, as a result, Kineta’s stock price may decline.

 

58


 

If Kineta decides to seek Orphan Drug Designation for any of its current or future product candidates, Kineta may be unsuccessful or may be unable to maintain the benefits associated with Orphan Drug Designation, including the potential for supplemental market exclusivity.

Kineta may seek Orphan Drug Designation for one or more of its current or future product candidates. Regulatory authorities in some jurisdictions, including the United States and Europe, may designate drugs or biological products for relatively small patient populations as orphan drugs. Under the Orphan Drug Act, the FDA may grant orphan designation to a drug or biological product intended to treat a rare disease or condition, defined as a disease or condition with a patient population of fewer than 200,000 in the United States, or a patient population greater than 200,000 in the United States when there is no reasonable expectation that the cost of developing and making available the drug in the United States will be recovered from sales in the United States for that drug or biological product. In the United States, Orphan Drug Designation entitles a party to financial incentives such as opportunities for grant funding towards clinical trial costs, tax advantages and user-fee waivers. After the FDA grants Orphan Drug Designation, the identity of the drug or biological product and its potential orphan use are disclosed publicly by the FDA. Orphan Drug Designation does not convey any advantage in, or shorten the duration of, the regulatory review and licensure process.

If a product that has Orphan Drug Designation subsequently receives the first FDA approval or licensure for a particular active ingredient for the disease for which it has such designation, the product is entitled to orphan product exclusivity, which means that the FDA may not approve any other applications, including an NDA or BLA, to market the same drug or biological product for the same indication for seven years, except in limited circumstances such as a showing of clinical superiority to the product with orphan drug exclusivity or if the FDA finds that the holder of the orphan drug exclusivity has not shown that it can assure the availability of sufficient quantities of the orphan drug to meet the needs of patients with the disease or condition for which the biological product was designated. As a result, even if one of Kineta’s product candidates receives orphan exclusivity, the FDA can still approve or license other drugs or biological products that have a different active ingredient for use in treating the same indication or disease. Further, the FDA can waive orphan exclusivity if Kineta is unable to manufacture sufficient supply of its product.

Kineta may seek Orphan Drug Designation for its product candidates in additional orphan indications in which there is a medically plausible basis for the use of these product candidates. Even when Kineta obtains Orphan Drug Designation, exclusive marketing rights in the United States may be limited if Kineta seeks licensure for an indication broader than the orphan designated indication and may be lost if the FDA later determines that the request for designation was materially defective or if Kineta, through its manufacturer, is unable to assure sufficient quantities of the product to meet the needs of patients with the rare disease or condition. In addition, although Kineta intends to seek Orphan Drug Designation for other product candidates, Kineta may never receive these designations.

If Kineta fails to develop additional product candidates, its commercial opportunity could be limited.

Kineta expects initially to focus on the development of KVA12123, its lead immuno-oncology drug candidate. A key part of Kineta’s strategy, however, is to continue to pursue clinical development of additional product candidates utilizing its development platform or in-licensed from third parties. Developing, obtaining marketing approval for, and commercializing any future product candidates will require substantial additional funding and will be subject to the risks of failure inherent in drug product development. Kineta cannot assure you that it will be able to successfully advance any future product candidates through the development process.

Even if Kineta obtains approval from the FDA, European Commission (based on recommendation from the EMA) or comparable foreign regulatory authorities to market any future product candidates for the treatment of tumors, Kineta cannot assure that any such product candidates will be successfully commercialized, widely accepted in the marketplace, or more effective than other commercially available alternatives. If Kineta is unable to successfully develop and commercialize additional product candidates, its commercial opportunity may be limited and Kineta’s business, financial condition, results of operations, stock price and prospects may be materially harmed.

Difficulty in enrolling patients could delay or prevent clinical trials of Kineta’s current product candidates and any future product candidates. Kineta may find it difficult to enroll patients in its ongoing clinical trials or any subsequent trials it may conduct and Kineta’s receipt of necessary regulatory approvals could be delayed or prevented.

Identifying and qualifying patients to participate in clinical studies of Kineta’s current product candidates and any future product candidates is critical to Kineta’s success. The timing of completion of Kineta’s clinical trials depends in part on the speed at which Kineta can recruit patients to participate in testing its current product candidates and any future product candidates, and Kineta may experience delays in its clinical trials if it encounters difficulties in enrollment or patient retention due to other unforeseen factors. Kineta may not be able to initiate or continue clinical trials for its current product candidates and any future product candidates if Kineta is unable to locate and enroll and retain a sufficient number of eligible patients to participate in these trials as required by the FDA, EMA or comparable foreign regulatory authorities outside the United States. For example, the COVID-19 pandemic in the past has impacted, and in the future may impact, Kineta’s ability to initiate clinical sites and recruit, enroll and retain patients or may divert healthcare resources away from clinical trials. In addition, some of Kineta’s competitors have ongoing clinical trials for product candidates that treat the same indications as Kineta’s current product candidates, and patients who would otherwise be eligible for Kineta’s clinical trials may instead enroll in clinical trials of Kineta’s competitors’ product candidates or future product candidates.

In addition to the competitive trial environment, the eligibility criteria of Kineta’s planned clinical trials will further limit the pool of available study participants as Kineta will require that patients have specific characteristics that it can measure to assure their cancer is either severe enough or not too advanced to include them in a study. Additionally, the process of finding patients may prove costly. Kineta also may not be able to identify, recruit and enroll a sufficient number of patients to complete Kineta’s clinical studies because of the perceived risks and benefits of the product candidates under study, the availability and efficacy of competing therapies and clinical trials, the proximity and availability of clinical trial sites for prospective patients, and the patient referral practices of physicians. If patients are unwilling to participate in Kineta’s studies for any reason, the timeline for recruiting patients, conducting studies and obtaining regulatory approval of potential products may be delayed.

 

59


 

The enrollment of patients further depends on many factors, including:

the size of the patient population and process for identifying patients;
the eligibility criteria for the clinical trial in question;
the availability of an appropriate screening test, as necessary;
the perceived risks and benefits of the product candidate under study;
the efforts to facilitate timely enrollment in clinical trials;
the proximity and availability of clinical trial sites for prospective patients;
the design of the clinical trial;
Kineta’s ability to recruit clinical trial investigators with the appropriate competencies and experience;
Kineta’s ability to obtain and maintain patient consents;
reporting of the preliminary results of any of Kineta’s clinical trials; and
the risk that patients enrolled in clinical trials will drop out of the clinical trials before clinical trial completion.

In addition, Kineta’s clinical trials will compete with other clinical trials for product candidates that are in the same therapeutic areas as Kineta’s current product candidates and any future product candidates, and this competition will reduce the number and types of patients available to Kineta because some patients who might have opted to enroll in Kineta’s clinical trials may instead opt to enroll in a clinical trial being conducted by one of Kineta’s competitors. Since the number of qualified clinical investigators is limited, Kineta expects to conduct some of its clinical trials at the same clinical trial sites that some of Kineta’s competitors use, which will reduce the number of patients who are available for Kineta’s clinical trials at such clinical trial sites. Furthermore, even if Kineta is able to enroll a sufficient number of patients for its clinical trials, Kineta may have difficulty maintaining enrollment of such patients in its clinical trials.

If Kineta experiences delays in the completion of, or termination of, any clinical trial of its current product candidates and any future product candidates, the commercial prospects of Kineta’s current product candidates and any future product candidates will be harmed, and Kineta’s ability to generate product revenue from such product candidates could be delayed or prevented.

Kineta’s future growth depends, in part, on its ability to penetrate multiple markets in which Kineta would be subject to additional regulatory burdens and other risks and uncertainties.

Kineta’s future profitability will depend, in part, on its ability to commercialize its product candidates, if approved, in markets in the United States, Europe, the UK and other countries where Kineta maintains commercialization rights. As Kineta begins to commercialize its product candidates, if approved, in multiple markets, Kineta is subject to additional risks and uncertainties, including:

foreign currency exchange rate fluctuations and currency controls;
economic weakness, including inflation, or political instability in particular economies and markets;
potentially adverse and/or unexpected tax consequences, including penalties due to the failure of tax planning or due to the challenge by tax authorities on the basis of transfer pricing and liabilities imposed from inconsistent enforcement;
the burden of complying with complex and changing regulatory, tax, accounting and legal requirements, many of which vary between countries;
different medical practices and customs in multiple countries affecting acceptance of drugs in the marketplace;
differing payor reimbursement regimes, governmental payors or patient self-pay systems and price controls;
tariffs, trade barriers, import or export licensing requirements or other restrictive actions;
compliance with tax, employment, immigration and labor laws for employees living or traveling abroad;
workforce uncertainty in countries where labor unrest is common;
reduced or loss of protection of intellectual property rights in some foreign countries, and related prevalence of generic alternatives to therapeutics; and
becoming subject to the different, complex and changing laws, regulations and court systems of multiple jurisdictions and compliance with a wide variety of foreign laws, treaties and regulations.

These and other risks associated with international operations may adversely affect Kineta’s ability to attain or maintain profitable operations. Future sales of Kineta’s products or its product candidates, if they are approved, will be dependent on purchasing decisions of and reimbursement from government health administration authorities, distributors and other organizations. As a result of adverse conditions affecting the global economy and credit and financial markets, including disruptions due to political instability or otherwise, these organizations may defer purchases, may be unable to

 

60


 

satisfy their purchasing or reimbursement obligations, or may affect milestone payments or royalties for Kineta’s products or any of its product candidates that are approved for commercialization in the future. Should any of these risks materialize, this could have a material adverse effect on Kineta’s business, prospects, financial condition and results of operations.

Risks Related to Manufacturing and Commercialization

The manufacture of Kineta’s product candidates is complex and Kineta may encounter difficulties in production, particularly with respect to process development or scaling-out of Kineta’s manufacturing capabilities. If Kineta encounters such difficulties, Kineta’s ability to provide supply of its product candidates for clinical trials or its products for patients, if approved, could be delayed or stopped.

Kineta has not yet manufactured or processed its product candidates on a commercial scale and may not be able to do so for any of its product candidates. Kineta may encounter difficulties in production, particularly in scaling up or out, validating the production process, and assuring high reliability of the manufacturing process. These problems include delays or break-downs in logistics and shipping, difficulties with production costs and yields, failure to maintain adequate quality control, product testing issues, operator error and lack of availability of qualified personnel, as well as failure to comply with strictly enforced federal, state and foreign regulations.

Furthermore, if contaminations are discovered in Kineta’s supply of product candidates or in the manufacturing facilities, such manufacturing facilities may need to be closed for an extended period of time to investigate and remedy the contamination. Kineta cannot assure you that any of these or other issues relating to the manufacture of its product candidates will not occur in the future. Any delay or interruption in the supply of clinical trial supplies could delay the completion of clinical trials, increase the costs associated with maintaining clinical trial programs and, depending upon the period of delay, require Kineta to begin new clinical trials at additional expense or terminate clinical trials completely.

Manufacturing facilities also require commissioning and validation activities to demonstrate that they operate as designed, and are subject to government inspections by the FDA, EU Member States, coordinated by the EMA, and other comparable foreign regulatory authorities. If Kineta is unable to reliably produce products to specifications acceptable to the regulatory authorities, Kineta may not obtain or maintain the approvals it needs to manufacture its products. Further, manufacturing facilities may fail to pass government inspections prior to or after the commercial launch of Kineta’s product candidates, which would cause significant delays and additional costs required to remediate any deficiencies identified by the regulatory authorities. Any of these challenges could delay completion of clinical trials, require bridging clinical trials or the repetition of one or more clinical trials, increase clinical trial costs, delay approval of Kineta’s product candidate, impair commercialization efforts, increase Kineta’s cost of goods and have an adverse effect on Kineta’s business, financial condition, results of operations and growth prospects.

Changes in product candidate manufacturing or formulation may result in additional costs or delay.

As product candidates are developed through preclinical studies to later-stage clinical trials towards approval and commercialization, it is common that various aspects of the development program, such as manufacturing methods and formulation, are altered along the way in an effort to optimize processes and results. Any of these changes could cause Kineta’s current product candidates or any future product candidates to perform differently and affect the results of planned clinical trials or other future clinical trials conducted with the altered materials. Such changes may also require additional testing, or notification to, or approval by the FDA, European Commission, EMA or a comparable foreign regulatory authority. This could delay completion of clinical trials, require the conduct of bridging clinical trials or studies, require the repetition of one or more clinical trials, increase clinical trial costs, delay approval of Kineta’s current product candidates and any future product candidates and/or jeopardize Kineta’s ability to commence product sales and generate revenue.

Even if any of Kineta’s product candidates receives marketing approval, it may fail to achieve the degree of market acceptance by physicians, patients, third-party payors and others in the medical community necessary for commercial success.

Even if Kineta obtains marketing approvals from the FDA, the European Commission (based on recommendation from the EMA) or other comparable foreign regulatory agencies and is able to initiate commercialization of Kineta’s clinical-stage product candidates or any other product candidates Kineta develops, the product candidate may not achieve market acceptance among physicians, patients, hospitals, including pharmacy directors, and third-party payors and, ultimately, may not be commercially successful. The degree of market acceptance of Kineta’s product candidates, if approved for commercial sale, will depend on a number of factors, including:

the clinical indications for which Kineta’s product candidates are approved;
physicians, hospitals, cancer treatment centers and patients considering Kineta’s product candidates as a safe and effective treatment;
the potential and perceived advantages of Kineta’s product candidates over alternative treatments;
the prevalence and severity of any side effects;
product labeling or product insert requirements of the FDA, European Commission, EMA or other comparable foreign regulatory authorities;
limitations or warnings contained in the labeling approved by the FDA, European Commission, EMA or other comparable foreign regulatory authorities;
the timing of market introduction of Kineta’s product candidates as well as competitive products;
the cost of treatment in relation to alternative treatments;

 

61


 

the amount of upfront costs or training required for physicians to administer Kineta’s product candidates;
the availability of coverage, adequate reimbursement from, and Kineta’s ability to negotiate pricing with, third-party payors and government authorities;
the willingness of patients to pay out-of-pocket in the absence of comprehensive coverage and reimbursement by third-party payors and government authorities;
relative convenience and ease of administration, including as compared to alternative treatments and competitive therapies; and
the effectiveness of Kineta’s sales and marketing efforts and distribution support.

Kineta’s efforts to educate physicians, patients, third-party payors and others in the medical community on the benefits of Kineta’s product candidates, if approved, may require significant resources and may never be successful.

Such efforts may require more resources than are typically required due to the complexity and uniqueness of Kineta’s product candidates. Because Kineta expects sales of its product candidates, if approved, to generate substantially all of Kineta’s product revenue for the foreseeable future, the failure of Kineta’s product candidates to find market acceptance would harm Kineta’s business and could require Kineta to seek additional financing. Even if Kineta’s product candidates, if approved, achieve market acceptance, Kineta may not be able to maintain that market acceptance over time if new products or technologies are introduced that are more favorably received than Kineta’s products, are more cost effective or render Kineta’s products obsolete.

Kineta may not be able to successfully commercialize its product candidates, if approved, due to unfavorable pricing regulations or third-party coverage and reimbursement policies, which could make it difficult for Kineta to sell its product candidates profitably.

Obtaining coverage and reimbursement approval for a product from a government or other third-party payor is a time-consuming and costly process, with uncertain results, that could require Kineta to provide supporting scientific, clinical and cost effectiveness data for the use of Kineta products to the payor. There may be significant delays in obtaining such coverage and reimbursement for newly approved products, and coverage may not be available, or may be more limited than the purposes for which the product is approved by the FDA or other comparable foreign regulatory authorities. Moreover, eligibility for coverage and reimbursement does not imply that a product will be paid for in all cases or at a rate that covers Kineta’s costs, including research, development, intellectual property, manufacture, sale and distribution expenses. Interim reimbursement levels for new products, if applicable, may also not be sufficient to cover Kineta’s costs and may not be made permanent. Reimbursement rates may vary according to the use of the product and the clinical setting in which it is used, may be based on reimbursement levels already set for lower cost products and may be incorporated into existing payments for other services. Net prices for products may be reduced by mandatory discounts or rebates required by government healthcare programs or private payors, by any future laws limiting drug prices and by any future relaxation of laws that presently restrict imports of products from countries where they may be sold at lower prices than in the United States.

There is significant uncertainty related to the insurance coverage and reimbursement of newly approved products. In the United States, there is no uniform policy among third-party payors for coverage and reimbursement. Third-party payors often rely upon Medicare coverage policy and payment limitations in setting reimbursement policies, but also have their own methods and approval process apart from Medicare coverage and reimbursement determinations. Therefore, one third-party payor’s determination to provide coverage for a product does not assure that other payors will also provide coverage for the product.

Coverage and reimbursement by a third-party payor may depend upon a number of factors, including the third-party payor’s determination that use of a product is:

a covered benefit under its health plan;
safe, effective and medically necessary;
appropriate for the specific patient;
cost-effective; and
neither experimental nor investigational.

Kineta cannot be sure that reimbursement will be available for any product that it commercializes and, if coverage and reimbursement are available, what the level of reimbursement will be. Kineta’s inability to promptly obtain coverage and adequate reimbursement rates from both government-funded and private payors for any approved products that Kineta develops could have a material adverse effect on Kineta’s operating results, Kineta’s ability to raise capital needed to commercialize products and Kineta’s overall financial condition.

Reimbursement may impact the demand for, and the price of, any product for which Kineta obtains marketing approval. Even if Kineta obtains coverage for a given product by a third-party payor, the resulting reimbursement payment rates may not be adequate or may require co-payments that patients find unacceptably high. Patients who are prescribed medications for the treatment of their conditions, and their prescribing physicians, generally rely on third-party payors to reimburse all or part of the costs associated with those medications. Patients are unlikely to use Kineta’s products unless coverage is provided and reimbursement is adequate to cover all or a significant portion of the cost of Kineta’s products. Therefore, coverage and adequate reimbursement are critical to a new product’s acceptance. Coverage decisions may depend upon clinical and economic standards that disfavor new products when more established or lower cost therapeutic alternatives are already available or subsequently become

 

62


 

available.

For products administered under the supervision of a physician, obtaining coverage and adequate reimbursement may be particularly difficult because of the higher prices often associated with such drugs. Additionally, separate reimbursement for the product itself may or may not be available. Instead, the hospital or administering physician may be reimbursed only for providing the treatment or procedure in which Kineta’s product is used. Further, from time to time, the Centers for Medicare & Medicaid Services (“CMS”), the federal agency responsible for administering the Medicare program, revises the reimbursement amounts paid to health care providers, including the Medicare Physician Fee Schedule and Hospital Outpatient Prospective Payment System, which may result in reduced Medicare payments.

Kineta expects to experience pricing pressures in connection with the sale of any of its product candidates due to the trend toward managed healthcare, the increasing influence of health maintenance organizations and additional legislative changes. The downward pressure on healthcare costs in general, particularly prescription medicines, medical devices and surgical procedures and other treatments, has become very intense. As a result, increasingly high barriers are being erected to the successful commercialization of new products. Further, the adoption and implementation of any future governmental cost containment or other health reform initiative may result in additional downward pressure on the price that Kineta may receive for any approved product.

Outside of the United States, many countries require approval of the sale price of a product before it can be marketed, and the pricing review period only begins after marketing or product licensing approval is granted. To obtain reimbursement or pricing approval in some of these countries, Kineta may be required to conduct a clinical trial that compares the cost-effectiveness of Kineta’s product candidate to other available therapies. In some foreign markets, prescription pharmaceutical pricing remains subject to continuing governmental control even after initial approval is granted. As a result, Kineta might obtain marketing approval for a product candidate in a particular country, but then be subject to price regulations that delay its commercial launch of the product, possibly for lengthy time periods, and negatively impact the revenue, if any, Kineta is able to generate from the sale of the product in that country. Adverse pricing limitations may hinder Kineta’s ability to recoup its investment in one or more product candidates, even if such product candidates obtain marketing approval.

Reimbursement and healthcare payment systems vary significantly by country outside the U.S., and many countries have instituted price ceilings on specific products and therapies. In the EU and the UK, similar political, economic and regulatory developments may affect Kineta’s ability to profitably commercialize its product candidates, if approved. In addition to continuing pressure on prices and cost containment measures, legislative developments at the EU, UK or at an EU Member State level may result in significant additional requirements or obstacles that may increase Kineta’s operating costs. The delivery of healthcare in the EU and the UK, including the establishment and operation of health services and the pricing and reimbursement of medicines, is almost exclusively a matter for national, rather than EU, law and policy. National governments and health service providers have different priorities and approaches to the delivery of health care and the pricing and reimbursement of products in that context. In general, however, the healthcare budgetary constraints in most EU Member States and the UK have resulted in restrictions on the pricing and reimbursement of medicines by relevant health service providers. Coupled with ever-increasing EU and national regulatory burdens on those wishing to develop and market products in these countries, this could prevent or delay marketing approval of Kineta’s product candidates, restrict or regulate post-approval activities and affect Kineta’s ability to commercialize its product candidates, if approved.

Kineta cannot predict the likelihood, nature or extent of government regulation that may arise from future legislation or administrative action in the U.S., the EU, UK or any other jurisdiction. If Kineta, or any third parties Kineta may engage, are slow or unable to adapt to changes in existing requirements or the adoption of new requirements or policies, or if Kineta or such third parties are not able to maintain regulatory compliance, Kineta’s product candidates may lose any regulatory approval that may have been obtained and Kineta may not achieve or sustain profitability.

If the regulatory authorities in such jurisdictions set prices or make reimbursement criteria that are not commercially attractive for Kineta or its collaborators, Kineta’s revenues and the potential profitability of Kineta’s products in those countries would be negatively affected.

If approved, Kineta’s product candidates that are licensed and regulated as biological products, or biologics, may face competition from biosimilars approved through an abbreviated regulatory pathway.

The Biologics Price Competition and Innovation Act of 2009 (the “BPCIA”) was enacted as part of the Patient Protection and Affordable Care Act, as amended by the Health Care and Education Reconciliation Act of 2010 (collectively, the “ACA”), to establish an abbreviated pathway for the approval of biosimilar and interchangeable with an FDA-licensed reference biologic product. The regulatory pathway establishes legal authority for the FDA to review and approve biosimilar biologics, including the possible designation of a biosimilar as “interchangeable” based on its similarity to an approved biologic. Under the BPCIA, reference biological product is granted 12 years of non-patent data exclusivity from the time of first licensure of the product, and the FDA will not accept an application for a biosimilar or interchangeable product based on the reference biological product until four years after the date of first licensure of the reference product. In addition, the approval of a biosimilar product may not be made effective by the FDA until 12 years from the date on which the reference product was first licensed. During this 12-year period of exclusivity, another company may still develop and receive approval of a competing biologic, so long as their BLA does not rely on the reference product or sponsor’s data or submit the application as a biosimilar application. The law is complex and is still being interpreted and implemented by the FDA. As a result, its ultimate impact, implementation and meaning are subject to uncertainty, and any new policies or processes adopted by the FDA could have a material adverse effect on the future commercial prospects for Kineta’s biological products.

Kineta believes that any of the product candidates it develops that is approved in the United States as a biological product under a BLA should qualify for the 12-year period of exclusivity. However, there is a risk that this exclusivity could be shortened due to congressional action or otherwise, or that the FDA will not consider the subject product candidate to be a reference product for competing products, potentially creating the

 

63


 

opportunity for biosimilar competition sooner than anticipated. Moreover, the extent to which a biosimilar, once approved, will be substituted for any one of the reference products in a way that is similar to traditional generic substitution for non-biological products is not yet clear, and will depend on a number of marketplace and regulatory factors that are still developing. The approval of a biosimilar of Kineta’s product candidates could have a material adverse impact on Kineta’s business due to increased competition and pricing pressure.

If competitors are able to obtain regulatory approval for biosimilars referencing Kineta’s product candidates, Kineta’s product candidates may become subject to competition from such biosimilars, with the attendant competitive pressure and consequences.

If the market opportunities for any of Kineta’s product candidates are smaller than it believes they are, Kineta’s revenue may be adversely affected, and Kineta’s business may suffer.

Kineta is focused on the development of treatments for cancer. Kineta’s projections of addressable patient populations that have the potential to benefit from treatment with Kineta’s product candidates are based on estimates, including estimated incidence rates of specific forms of cancer. If any of Kineta’s estimates are inaccurate, the market opportunities for any of Kineta’s product candidates could be significantly diminished and have an adverse material impact on Kineta’s business.

If any of Kineta’s product candidates are approved for marketing and commercialization and Kineta is unable to establish sales and marketing capabilities or enter into agreements with third parties to sell and market its product candidates, Kineta will be unable to successfully commercialize its product candidates if and when they are approved.

Kineta has no sales, marketing or distribution capabilities or experience. To achieve commercial success for any approved product for which Kineta retains sales and marketing responsibilities, Kineta must either develop a sales and marketing organization, which would be expensive and time consuming, or outsource these functions to other third parties. In the future, Kineta may choose to build a focused sales and marketing infrastructure to sell, or participate in sales activities with its collaborators for, some of Kineta’s product candidates if and when they are approved.

There are risks involved with both establishing Kineta’s own sales and marketing capabilities and entering into arrangements with third parties to perform these services. For example, recruiting and training a sales force is expensive and time consuming and could delay any product launch. If the commercial launch of a product candidate for which Kineta recruits a sales force and establishes marketing capabilities is delayed or does not occur for any reason, Kineta would have prematurely or unnecessarily incurred these commercialization expenses. This may be costly, and Kineta’s investment would be lost if it cannot retain or reposition its sales and marketing personnel. Factors that may inhibit Kineta’s efforts to commercialize future products on its own include:

Kineta’s inability to recruit and retain adequate numbers of effective sales and marketing personnel;
the inability of sales personnel to compliantly obtain access to physicians or educate adequate numbers of physicians on the benefits of prescribing any future products;
the lack of complementary products to be offered by sales personnel, which may put Kineta at a competitive disadvantage relative to companies with more extensive product portfolios; and
unforeseen costs and expenses associated with creating an independent sales and marketing organization.

If Kineta enters into arrangements with third parties to perform sales, marketing and distribution services, Kineta’s product revenue or the profitability of these product revenue to Kineta are likely to be lower than if Kineta were to market and sell any products that it develops itself. In addition, Kineta may not be successful in entering into arrangements with third parties to sell and market its product candidates or may be unable to do so on terms that are favorable to Kineta. In entering into third-party marketing or distribution arrangements, any revenue Kineta receives will depend upon the efforts of the third parties and Kineta cannot assure you that such third parties will establish adequate sales and distribution capabilities or devote the necessary resources and attention to sell and market any future products effectively. If Kineta does not establish sales and marketing capabilities successfully, either on its own or in collaboration with third parties, Kineta will not be successful in commercializing its product candidates.

Regulatory approval by the FDA, European Commission (based on recommendation from the EMA) or comparable foreign regulatory authorities is limited to those specific indications and conditions for which approval has been granted, and Kineta may be subject to substantial fines, criminal penalties, injunctions or other enforcement actions if Kineta is determined to be promoting the use of its products for unapproved or “off-label” uses or in a manner inconsistent with the approved labeling, resulting in damage to Kineta’s reputation and business.

Kineta must comply with requirements concerning advertising and promotion for any product candidates for which Kineta obtains marketing approval. Promotional communications with respect to therapeutics are subject to a variety of legal and regulatory restrictions and continuing review by the FDA or comparable foreign regulatory and governmental authorities, Department of Justice, Department of Health and Human Services’ (“HHS”) Office of Inspector General, state attorneys general, members of Congress and the public. When the FDA or comparable foreign regulatory authorities issue regulatory approval for a product candidate, the regulatory approval is limited to those specific uses and indications for which a product is approved. If Kineta is not able to obtain FDA or comparable foreign regulatory authority approval for desired uses or indications for its current product candidates and any future product candidates, Kineta may not market or promote them for those indications and uses, referred to as off-label uses, and Kineta’s business, financial condition, results of operations, stock price and prospects will be materially harmed. Kineta also must sufficiently substantiate any claims that it makes for its products, including claims comparing Kineta’s products to other companies’ products, and must abide by the FDA or a comparable foreign regulatory or governmental authority’s strict requirements regarding the content of promotion and

 

64


 

advertising.

While physicians may choose to prescribe products for uses that are not described in the product’s labeling and for uses that differ from those tested in clinical trials and approved by the regulatory authorities, Kineta and any third parties engaged on its behalf are prohibited from marketing and promoting the products for indications and uses that are not specifically approved by the FDA or comparable foreign regulatory authorities. Regulatory authorities in the United States generally do not restrict or regulate the behavior of physicians in their choice of treatment within the practice of medicine. Regulatory authorities do, however, restrict communications by biopharmaceutical companies concerning off-label use.

If Kineta is found to have impermissibly promoted any of its current product candidates and any future product candidates, Kineta may become subject to significant liability and government fines. The FDA and other agencies actively enforce the laws and regulations regarding product promotion, particularly those prohibiting the promotion of off-label uses, and a company that is found to have improperly promoted a product may be subject to significant sanctions. The federal government has levied large civil and criminal fines against companies for alleged improper promotion and has enjoined several companies from engaging in off-label promotion. The FDA has also requested that companies enter into consent decrees or permanent injunctions under which specified promotional conduct is changed or curtailed.

In the United States, engaging in the impermissible promotion of Kineta’s products, following approval, for off-label uses can also subject Kineta to false claims and other litigation under federal and state statutes. These include fraud and abuse and consumer protection laws, which can lead to civil and criminal penalties and fines and agreements with governmental authorities that materially restrict the manner in which Kineta promotes or distributes therapeutic products and conducts its business. These restrictions could include corporate integrity agreements, suspension or exclusion from participation in federal and state healthcare programs, and suspension and debarment from government contracts and refusal of orders under existing government contracts. These False Claims Act lawsuits against manufacturers of drugs and biologics have increased significantly in volume and breadth, leading to several substantial civil and criminal settlements pertaining to certain sales practices and promoting off-label uses. In addition, False Claims Act lawsuits may expose manufacturers to follow-on claims by private payors based on fraudulent marketing practices. This growth in litigation has increased the risk that a biopharmaceutical company will have to defend a false claim action, pay settlement fines or restitution, as well as criminal and civil penalties, agree to comply with burdensome reporting and compliance obligations and be excluded from Medicare, Medicaid or other federal and state healthcare programs. If Kineta does not lawfully promote its approved products, if any, Kineta may become subject to such litigation and, if Kineta does not successfully defend against such actions, those actions may have a material adverse effect on Kineta’s business, financial condition, results of operations, stock price and prospects.

In the United States, the promotion of biopharmaceutical products is subject to additional FDA requirements and restrictions on promotional statements. If after one or more of Kineta’s current or future product candidates obtains marketing approval the FDA determines that Kineta’s promotional activities violate its regulations and policies pertaining to product promotion, it could request that Kineta modify its promotional materials or subject Kineta to regulatory or other enforcement actions, including issuance of warning letters or untitled letters, suspension or withdrawal of an approved product from the market, requests for recalls, payment of civil fines, disgorgement of money, imposition of operating restrictions, injunctions or criminal prosecution and other enforcement actions. Similarly, industry codes in foreign jurisdictions may prohibit companies from engaging in certain promotional activities and regulatory agencies in various countries may enforce violations of such codes with civil penalties. If Kineta becomes subject to regulatory and enforcement actions, Kineta’s business, financial condition, results of operations, stock price and prospects will be materially harmed.

Furthermore, the use of Kineta’s products for indications other than those approved by the FDA or comparable foreign regulatory authorities may not effectively treat such conditions. Any such off-label use of Kineta’s product candidates could harm Kineta’s reputation in the marketplace among physicians and patients. There may also be increased risk of injury to patients if physicians attempt to use Kineta’s products for these uses for which they are not approved, which could lead to product liability suits that might require significant financial and management resources and that could harm Kineta’s reputation.

Even if Kineta obtains FDA or European Commission (based on recommendation of the EMA) approval any of its product candidates in the United States or EU, Kineta may never obtain approval for or commercialize any of them in any other jurisdiction, which would limit Kineta’s ability to realize their full market potential.

In order to market any products in any particular jurisdiction, Kineta must establish and comply with numerous and varying regulatory requirements on a country-by-country basis regarding safety and efficacy.

Approval by the FDA in the United States or the European Commission (based on recommendation of the EMA) in the EU does not ensure approval by regulatory authorities in other countries or jurisdictions. However, the failure to obtain approval in one jurisdiction may negatively impact Kineta’s ability to obtain approval elsewhere. In addition, clinical trials conducted in one country may not be accepted by regulatory authorities in other countries, and regulatory approval in one country does not guarantee regulatory approval in any other country.

Approval processes vary among countries and can involve additional product testing and validation and additional administrative review periods. Seeking foreign regulatory approval could result in difficulties and increased costs for Kineta and require additional preclinical studies or clinical trials which could be costly and time consuming. Regulatory requirements can vary widely from country to country and could delay or prevent the introduction of Kineta’s products in those countries. Kineta does not have any product candidates approved for sale in any jurisdiction, including in international markets, and Kineta does not have experience in obtaining regulatory approval in international markets. If Kineta fails to comply with regulatory requirements in international markets or to obtain and maintain required approvals, or if regulatory approvals in international markets are delayed, Kineta’s target market will be reduced and its ability to realize the full market potential of any product it develops will be unrealized.

 

65


 

Risks Related to Kineta’s Reliance on Third Parties

Some of Kineta’s product candidates may be studied in clinical trials sponsored by organizations or agencies other than Kineta, or in investigator-initiated clinical trials, which means Kineta will have minimal or no control over the conduct of such trials.

Kineta has and may continue to supply and otherwise support third party research, including investigator-initiated clinical trials. Investigator-initiated clinical trials pose similar risks as those set forth elsewhere in this “Risk Factor” section relating to Kineta’s internally-sponsored clinical trials, but because Kineta may not be the sponsors of these trials, Kineta has less control over the protocols, administration or conduct of these trials, including follow-up with patients and ongoing collection of data after treatment. The conduct or findings of these trials may have a negative impact on Kineta’s development programs notwithstanding that Kineta has little involvement or control over these trials. As a result, Kineta is subject to additional risks associated with the way investigator-initiated trials are conducted. In particular, Kineta may be named in lawsuits that would lead to increased costs associated with legal defense. Additional risks include difficulties or delays in communicating with investigators or administrators, procedural delays and other timing issues and difficulties or differences in interpreting data. Third-party investigators may design clinical trials with clinical endpoints that are more difficult to achieve, or in other ways that increase the risk of negative clinical trial results compared to clinical trials that Kineta may design on its own. Negative results in investigator-initiated clinical trials could have a material adverse effect on Kineta’s efforts to obtain regulatory approval for Kineta’s product candidates and the public perception of Kineta’s product candidates. As a result, Kineta’s lack of control over the conduct and timing of and communications with the FDA and other regulatory authorities regarding investigator-sponsored trials may expose Kineta to additional risks and uncertainties, many of which are outside Kineta’s control, and the occurrence of which could adversely affect the commercial prospects for Kineta’s product candidates.

Kineta relies on third parties to conduct, supervise and monitor its clinical trials and perform some of its research and preclinical studies. If these third parties do not satisfactorily carry out their contractual duties or fail to meet expected deadlines, Kineta’s development programs may be delayed or subject to increased costs, each of which may have an adverse effect on Kineta’s business and prospects.

Kineta does not have the ability to conduct all aspects of its preclinical testing or clinical trials itself. As a result, Kineta is and expects to remain dependent on third parties to conduct its current and future preclinical studies and clinical trials. CROs that manage Kineta’s preclinical studies and clinical trials as well as clinical investigators, including in investigator-initiated clinical trials, and consultants play a significant role in the conduct of Kineta’s preclinical studies and clinical trials and the subsequent collection and analysis of data. The timing of the initiation and completion of these studies and trials will therefore be partially controlled by such third parties and may result in delays to Kineta’s development programs. Nevertheless, Kineta is responsible for ensuring that each of its preclinical studies and clinical trials is conducted in accordance with the applicable protocol, legal requirements and scientific standards, and Kineta’s reliance on the CROs and other third parties does not relieve Kineta of its regulatory responsibilities. Kineta and its CROs are required to comply with Good Laboratory Practice (“GLP”) and GCP requirements, which are regulations and guidelines enforced by the FDA, the EMA and comparable foreign regulatory authorities for all of Kineta’s product candidates in clinical development. Regulatory authorities enforce these GLP and GCP requirements through periodic inspections of preclinical study sites, trial sponsors, clinical trial investigators and clinical trial sites. If Kineta or any of its CROs or clinical trial sites, including clinical trial sites in investigator-initiated clinical trials, fail to comply with applicable GLP or GCP requirements, the data generated in Kineta’s preclinical studies and clinical trials may be deemed unreliable, and the FDA, EMA or comparable foreign regulatory authorities may require Kineta to perform additional preclinical or clinical trials before approving Kineta’s marketing applications. In addition, Kineta’s clinical trials must be conducted with products produced under cGMP regulations. Kineta’s failure to comply with these regulations may require Kineta to stop and/or repeat clinical trials, which would delay the marketing approval process.

There is no guarantee that any such CROs, clinical trial investigators or other third parties on which Kineta relies will devote adequate time and resources to Kineta’s development activities or perform as contractually required. If any of these third parties fail to meet expected deadlines, adhere to Kineta’s clinical protocols or meet regulatory requirements, otherwise performs in a substandard manner, or terminates its engagement with Kineta, the timelines for Kineta’s development programs may be extended or delayed or Kineta’s development activities may be suspended or terminated. If any of Kineta’s clinical trial sites terminates for any reason, Kineta may experience the loss of follow-up information on subjects enrolled in such clinical trials unless Kineta is able to transfer those subjects to another qualified clinical trial site, which may be difficult or impossible. In addition, clinical trial investigators for Kineta’s clinical trials or investigator-initiated clinical trials may serve as scientific advisors or consultants to Kineta from time to time and may receive cash or equity compensation in connection with such services. If these relationships and any related compensation result in perceived or actual conflicts of interest, or the FDA or any comparable foreign regulatory authority concludes that the financial relationship may have affected the interpretation of the trial, the integrity of the data generated at the applicable clinical trial site may be questioned and the utility of the clinical trial itself may be jeopardized, which could result in the delay or rejection of any marketing application Kineta submits by the FDA or any comparable foreign regulatory authority. Any such delay or rejection could prevent Kineta from commercializing its product candidates.

Furthermore, these third parties may also have relationships with other entities, some of which may be Kineta’s competitors. If these third parties do not successfully carry out their contractual duties, meet expected deadlines or conduct Kineta’s clinical trials in accordance with regulatory requirements or Kineta’s stated protocols, Kineta will not be able to obtain, or may be delayed in obtaining, marketing approvals for its product candidates and will not be able to, or may be delayed in its efforts to, successfully commercialize its products.

Kineta relies on third parties to manufacture its product candidates, and Kineta expects to continue to rely on third parties for the clinical as well as any future commercial supply of its product candidates and other future product candidates. The development of Kineta’s current and future product candidates, and the commercialization of any approved products, could be stopped, delayed or made less profitable if any such third party fails to provide Kineta with sufficient clinical or commercial quantities of such product candidates or products, fails to do so at acceptable quality levels or prices or fails to achieve or maintain satisfactory regulatory compliance.

 

66


 

Kineta does not currently have, and Kineta does not plan to build, the infrastructure or capability internally to manufacture current product candidates or any future product candidates for use in the conduct of its clinical trials or, if approved, for commercial supply. Kineta relies on, and expects to continue to rely on, contract manufacturing organizations (“CMOs”). Reliance on third-party providers may expose Kineta to more risk than if it were to manufacture its product candidates itself. Kineta does not control the manufacturing processes of the CMOs it contracts with and is dependent on those third parties for the production of its product candidates in accordance with relevant applicable regulations such as cGMP, which includes, among other things, quality control, quality assurance and the maintenance of records and documentation.

In complying with the manufacturing regulations of the FDA and other comparable foreign regulatory authorities, Kineta and its third-party suppliers must spend significant time, money and effort in the areas of design and development, testing, production, record-keeping and quality control to assure that the products meet applicable specifications and other regulatory requirements. The failure to comply with these requirements could result in an enforcement action against Kineta, including the seizure of products and shutting down of production. Kineta and any of these third-party suppliers may also be subject to inspections by the FDA, EU Member States, coordinated by the EMA, or comparable foreign regulatory authorities. If any of Kineta’s third-party suppliers fail to comply with cGMP or other applicable manufacturing regulations, Kineta’s ability to develop and commercialize its product candidates could suffer significant interruptions.

Kineta’s failure, or the failure of Kineta’s third-party manufacturers, to comply with applicable regulations could result in sanctions being imposed on Kineta, including clinical holds, fines, injunctions, civil penalties, delays, suspension or withdrawal of approvals, license revocation, seizures or recalls of product candidates or drugs, operating restrictions and criminal prosecutions, any of which could significantly and adversely affect supplies of Kineta’s products.

Any disruption, such as a fire, natural hazards or vandalism at Kineta’s CMOs, or any impacts on Kineta’s CMOs due to pandemics or other public health crises, could significantly interrupt Kineta’s manufacturing capability. Kineta currently does not have alternative production plans in place or disaster-recovery facilities available. In case of a disruption, Kineta will have to establish alternative manufacturing sources. This would require substantial capital on Kineta’s part, which it may not be able to obtain on commercially acceptable terms or at all. Additionally, Kineta would likely experience months of manufacturing delays as Kineta builds facilities or locates alternative suppliers and seeks and obtains necessary regulatory approvals. If this occurs, Kineta will be unable to satisfy manufacturing needs on a timely basis, if at all. If changes to CMOs occur, then there also may be changes to manufacturing processes inherent in the setup of new operations for Kineta’s product candidates and any products that may obtain approval in the future. Any such changes could require the conduct of bridging studies before Kineta can use any materials produced at new facilities or under new processes in clinical trials or, for any products reaching approval, in Kineta’s commercial supply. Further, business interruption insurance may not adequately compensate Kineta for any losses that may occur and Kineta would have to bear the additional cost of any disruption. For these reasons, a significant disruptive event of any CMOs could have drastic consequences, including placing Kineta’s financial stability at risk.

Kineta’s product candidates and any drugs that Kineta may develop may compete with other product candidates and drugs for access to manufacturing facilities. There are no assurances Kineta would be able to enter into similar commercial arrangements with other manufacturers that operate under cGMP regulations and that might be capable of manufacturing for Kineta. Any performance failure on the part of Kineta’s existing or future manufacturers could delay clinical development or marketing approval.

If Kineta were to experience an unexpected loss of supply of or if any supplier were unable to meet Kineta’s clinical or commercial demand for any of Kineta’s product candidates, Kineta could experience delays in its planned clinical studies or commercialization. For example, the extent to which the COVID-19 pandemic may impact Kineta’s ability to procure sufficient supplies for the development of Kineta’s current and future product candidates, and the extent of such impacts will depend on future developments, including the severity and duration of any resurgence of COVID-19 and its variants. Kineta could be unable to find alternative suppliers of acceptable quality and experience that can produce and supply appropriate volumes at an acceptable cost or on favorable terms. Moreover, Kineta’s suppliers are often subject to strict manufacturing requirements and rigorous testing requirements, which could limit or delay production. The long transition periods necessary to switch manufacturers and suppliers, if necessary, would significantly delay Kineta’s clinical trials and, for any product candidates that reach approval, the commercialization of Kineta’s products, which would materially adversely affect Kineta’s business, financial condition and results of operation.

Kineta depends on third-party suppliers for materials that are necessary for the conduct of preclinical studies and manufacture of Kineta’s product candidates for clinical trials, and the loss of these third-party suppliers or their inability to supply Kineta with sufficient quantities of adequate materials, or to do so at acceptable quality levels and on a timely basis, could harm Kineta’s business.

Manufacturing Kineta’s product candidates requires many reagents, which are substances used in Kineta’s manufacturing processes to bring about chemical or biological reactions, and other specialty materials and equipment, some of which are manufactured or supplied by small companies with limited resources and experience to support commercial biologics production. Kineta currently depends on a limited number of vendors for certain materials and equipment used in the manufacture of its product candidates. For example, Kineta currently uses facilities and equipment at external CMOs, as well as supply sources internal to the collaboration for vector supply. Kineta’s use of CMOs increases the risk of delays in production or insufficient supplies as Kineta transfers its manufacturing technology to these CMOs and as they gain experience with Kineta’s supply requirements. Some of these suppliers may not have the capacity to support clinical trials and commercial products manufactured under cGMP by biopharmaceutical firms or may otherwise be ill-equipped to support Kineta’s needs. Kineta also does not have supply contracts with many of these suppliers and may not be able to obtain supply contracts with them on acceptable terms or at all. Accordingly, Kineta may experience delays in receiving key materials and equipment to support clinical or commercial manufacturing.

For some of these reagents, equipment and materials, Kineta relies and may in the future rely on sole source vendors or a limited number of vendors. The supply of the reagents and other specialty materials and equipment that are necessary to produce Kineta’s product candidates could be reduced or interrupted at any time. In such case, identifying and engaging an alternative supplier or manufacturer could result in delay, and Kineta may not be

 

67


 

able to find other acceptable suppliers or manufacturers on acceptable terms, or at all. Switching suppliers or manufacturers may involve substantial costs and is likely to result in a delay in Kineta’s desired clinical and commercial timelines. If Kineta changes suppliers or manufacturers for commercial production, applicable regulatory agencies may require Kineta to conduct additional studies or trials. If key suppliers or manufacturers are lost, or if the supply of the materials is diminished or discontinued, Kineta may not be able to develop, manufacture and market its product candidates in a timely and competitive manner, or at all. An inability to continue to source product from any of these suppliers, which could be due to a number of issues, including regulatory actions or requirements affecting the supplier, adverse financial or other strategic developments experienced by a supplier, labor disputes or shortages, unexpected demands or quality issues, could adversely affect Kineta’s ability to satisfy demand for its product candidates, which could adversely and materially affect Kineta’s product sales and operating results or Kineta’s ability to conduct clinical trials, either of which could significantly harm Kineta’s business.

As Kineta continues to develop and scale its manufacturing process, Kineta expects that it will need to obtain rights to and supplies of certain materials and equipment to be used as part of that process. Kineta may not be able to obtain rights to such materials on commercially reasonable terms, or at all, and if Kineta is unable to alter its process in a commercially viable manner to avoid the use of such materials or find a suitable substitute, it would have a material adverse effect on Kineta’s business. Even if Kineta is able to alter its process so as to use other materials or equipment, such a change may lead to a delay in Kineta’s clinical development and/or commercialization plans. If such a change occurs for a product candidate that is already in clinical testing, the change may require Kineta to perform both ex vivo comparability studies and to collect additional data from patients prior to undertaking more advanced clinical trials. These factors could cause the delay of studies or trials, regulatory submissions, required approvals or commercialization of product candidates that Kineta develops, cause Kineta to incur higher costs and prevent Kineta from commercializing its product candidates successfully.

If Kineta is unable to obtain sufficient raw and intermediate materials on a timely basis or if Kineta experiences other manufacturing or supply difficulties, Kineta’s business may be adversely affected.

The manufacture of certain of Kineta’s product candidates requires the timely delivery of sufficient amounts of raw and intermediate materials. Kineta works closely with its suppliers to ensure the continuity of supply but cannot guarantee these efforts will always be successful. Further, while efforts are made to diversify Kineta’s sources of raw and intermediate materials, in certain instances Kineta acquires raw and intermediate materials from a sole supplier. While Kineta believes that alternative sources of supply exist where it relies on sole supplier relationships, there can be no assurance that Kineta will be able to quickly establish additional or replacement sources for some materials. A reduction or interruption in supply, and an inability to develop alternative sources for such supply, could adversely affect Kineta’s ability to manufacture its product candidates in a timely or cost-effective manner.

Kineta’s reliance on third parties requires Kineta to share its trade secrets, which increases the possibility that a competitor will discover them or that Kineta’s trade secrets will be misappropriated or disclosed.

Because Kineta relies on third parties to research and develop and to manufacture Kineta’s product candidates, Kineta must share trade secrets with them. Kineta seeks to protect its proprietary technology in part by entering into confidentiality agreements and, if applicable, material transfer agreements, consulting agreements or other similar agreements with Kineta’s advisors, employees, third-party contractors and consultants prior to beginning research or disclosing proprietary information. These agreements typically limit the rights of the third parties to use or disclose Kineta’s confidential information, including Kineta’s trade secrets. Despite the contractual provisions employed when working with third parties, the need to share trade secrets and other confidential information increases the risk that such trade secrets become known by Kineta’s competitors, are inadvertently incorporated into the technology of others, or are disclosed or used in violation of these agreements. Given that Kineta’s proprietary position is based, in part, on Kineta’s know-how and trade secrets, a competitor’s independent discovery of Kineta’s trade secrets or other unauthorized use or disclosure would impair Kineta’s competitive position and may have a material adverse effect on Kineta’s business.

In addition, these agreements typically restrict the ability of Kineta’s advisors, employees, third-party contractors and consultants to publish data potentially relating to Kineta’s trade secrets, although Kineta’s agreements may contain certain limited publication rights. For example, any academic institution that Kineta may collaborate with will likely expect to be granted rights to publish data arising out of such collaboration and any joint research and development programs may require Kineta to share trade secrets under the terms of its research and development or similar agreements. Despite Kineta’s efforts to protect its trade secrets, Kineta’s competitors may discover Kineta’s trade secrets, either through breach of Kineta’s agreements with third parties, independent development or publication of information by any of Kineta’s third-party collaborators. A competitor’s discovery of Kineta’s trade secrets would impair Kineta’s competitive position and have an adverse impact on Kineta’s business.

Kineta has already entered into collaborations with third parties for the research, development and commercialization of certain of the product candidates Kineta may develop. Kineta may form or seek additional collaborations or strategic alliances or enter into additional licensing arrangements in the future. If any of these collaborations, strategic alliances or additional licensing arrangements are not successful, Kineta may not be able to capitalize on the market potential of those product candidates.

Kineta has already entered into licenses and collaborations with third parties and may seek other third-party collaborators for the research, development and commercialization of Kineta’s current or future product candidates. The collaboration with drug discovery vendors and any other collaboration agreements Kineta enters into will likely limit Kineta’s control over the amount and timing of resources that its collaborators dedicate to the development or commercialization of any product candidates Kineta may seek to develop with them. Kineta’s ability to generate revenues from these arrangements will depend on Kineta’s collaborators’ abilities to successfully perform the functions assigned to them in these arrangements. Kineta cannot predict the success of any collaboration in which Kineta has entered or may enter.

 

68


 

Kineta may in the future form or seek strategic alliances, create joint ventures or collaborations or enter into additional licensing arrangements with third parties that Kineta believes will complement or augment its development and commercialization efforts with respect to Kineta’s product candidates and any future product candidates that Kineta may develop. Any of these relationships may require Kineta to incur non-recurring and other charges, increase Kineta’s near and long-term expenditures, issue securities that dilute Kineta’s existing stockholders or disrupt Kineta’s management and business.

In addition, Kineta faces significant competition in seeking appropriate strategic partners and the negotiation process for these sorts of transactions is time-consuming, complex and expensive. Moreover, Kineta may not be successful in its efforts to establish a strategic partnership or other alternative arrangements for Kineta’s product candidates because they may be deemed to be at too early of a stage of development for collaborative effort and third parties may not view Kineta’s product candidates as having the requisite potential to demonstrate safety, potency, purity and efficacy and obtain marketing approval. Additionally, Kineta’s existing partners may decide to acquire or partner with other companies developing oncology therapeutics, which may have an adverse impact on Kineta’s business prospects, financial condition and results of operations.

As a result, if Kineta enters into additional collaboration agreements and strategic partnerships or licenses its product candidates, Kineta may not be able to realize the benefit of those transactions if Kineta is unable to successfully integrate them with Kineta’s existing operations and company culture, which could delay Kineta’s timelines or otherwise adversely affect Kineta’s business prospects, financial condition and results of operations. Kineta also cannot be certain that, following a strategic transaction or license, it will achieve the revenue or specific net income that justifies the entry into the transaction in the first place. Any delays in entering into new collaborations or strategic partnership agreements related to Kineta’s product candidates could delay the development and commercialization of Kineta’s product candidates in certain geographies for certain indications, which would harm Kineta’s business prospects, financial condition and results of operations.

Risks Related to Kineta’s Industry and Business Operations

Public health crises, including the COVID-19 pandemic, could have a material adverse impact on Kineta’s business, financial condition and results of operations, including through disruption to Kineta’s planned clinical trials, supply chains, business operations and commercialization efforts, or through delay in the FDA’s approval of Kineta’s product candidates.

The COVID-19 pandemic and government measures taken in response to the pandemic in the past have had a significant impact, both direct and indirect, on businesses and commerce, as worker shortages have occurred, supply chains have been disrupted, facilities and production have been suspended, and demand for certain goods and services, such as medical services and supplies, has spiked, while demand for other goods and services, such as travel, has fallen. The extent to which COVID-19 impacts Kineta’s business and operating results will depend on future developments, including the severity and duration of any resurgence of COVID-19 and its variants. For example, ineffective or uncoordinated vaccine deployment in the future or other responses to COVID-19, the emergence of more virulent or infectious variants of the virus or limitations on vaccine availability could risk increasing the duration and severity of the pandemic, which could have various negative impacts on Kineta’s business, the extent of which Kineta cannot fully predict.

If there is a resurgence of COVID-19 or its variants, site initiation, participant recruitment and enrollment, participant dosing, distribution of clinical trial materials, study monitoring and data analysis for Kineta’s planned clinical trials may be delayed due to changes in hospital or university policies, federal, state or local regulations, prioritization of hospital resources toward pandemic efforts, or other reasons related to the pandemic. Additionally, some participants and clinical investigators may not be able to comply with clinical trial protocols. For example, quarantines or other travel limitations (whether voluntary or required) may impede participant movement, affect sponsor access to study sites, or interrupt healthcare services, and Kineta may be unable to conduct its planned clinical trials. Any delays to Kineta’s planned clinical trials for its current product candidates and any future clinical trials as a result of a resurgence of COVID-19 or its variants could impact the use and sufficiency of Kineta’s existing cash reserves, and Kineta may be required to raise additional capital earlier than it had previously planned. Kineta may be unable to raise additional capital if and when needed, which may result in further delays or suspension of Kineta’s development plans.

Further, as a result of a resurgence of COVID-19 or its variants, Kineta may be required in the future to develop and implement additional clinical trial policies and procedures based on new guidance and regulatory requirements promulgated by the FDA or other regulatory authorities.

Kineta currently utilizes third parties to, among other things, manufacture raw materials and Kineta’s product candidates, components, parts and consumables, and to perform quality control and testing. If either Kineta or any third-party in the supply chain for materials used in the production of Kineta’s product candidates are adversely impacted by restrictions resulting from a resurgence of COVID-19 or its variants, Kineta’s supply chain may be disrupted, limiting Kineta’s ability to manufacture product candidates for its clinical trials.

The ultimate impact of the COVID-19 pandemic, or any other health epidemic, will depend on future developments that cannot be predicted with confidence. Kineta cannot be certain what the overall impact of a resurgence of COVID-19 or its variants or future pandemics or other health crises will be on its business.

Disruptions at the FDA, EMA, SEC and other government agencies and regulatory authorities caused by funding shortages or global health concerns could hinder their ability to hire and retain key leadership and other personnel, prevent new products and services from being developed or commercialized in a timely manner or otherwise prevent those agencies from performing normal governmental functions on which the operation of Kineta’s business may rely, which could negatively impact Kineta’s business.

The ability of the FDA, EMA and other comparable foreign regulatory authorities to review and approve new products can be affected by a variety of factors, including government budget and funding levels, the ability to hire and retain key personnel and accept the payment of user fees, and

 

69


 

statutory, regulatory and policy changes. Average review times at regulatory authorities and government agencies have fluctuated in recent years as a result. In addition, government funding of the SEC and other government agencies on which Kineta’s operations may rely, including those that fund research and development activities, is subject to the political process, which is inherently fluid and unpredictable.

Disruptions at the FDA and other agencies such as the EMA following its post-Brexit relocation and resulting staff changes may also slow the time necessary for new products to be reviewed and/or approved by necessary government agencies, which would adversely affect Kineta’s business. For example, in recent years, including in 2018 and 2019, the U.S. government shut down several times and certain regulatory agencies, such as the FDA and the SEC, had to furlough critical employees and stop critical activities. If a prolonged government shutdown occurs, it could significantly impact the ability of the FDA to review and process Kineta’s regulatory submissions, which could have a material adverse effect on Kineta’s business. Further, in Kineta’s operations as a public company, future government shutdowns could impact Kineta’s ability to access the public markets and obtain necessary capital in order to properly capitalize and continue Kineta’s operations.

Separately, in response to the COVID-19 pandemic, the FDA postponed most inspections of domestic and foreign manufacturing facilities at various points. Even though the FDA has resumed standard inspection operations of domestic facilities where feasible, the FDA has continued to monitor and implement changes to its inspectional activities to ensure the safety of its employees and those of the firms it regulates as it adapts to the evolving COVID-19 pandemic and any resurgence of the virus or emergence of new variants may lead to further inspectional delays. Regulatory authorities outside the United States have adopted similar restrictions or other policy measures in response to the COVID-19 pandemic. If a prolonged government shutdown occurs, or if global health concerns continue to prevent the FDA or other regulatory authorities from conducting their regular inspections, reviews or other regulatory activities, it could significantly impact the ability of the FDA or other regulatory authorities to timely review and process Kineta’s regulatory submissions, which could have a material adverse effect on Kineta’s business.

Kineta may be exposed to significant foreign exchange risk.

Kineta conducts research and business activities in foreign countries and it incurs portions of its expenses, and may in the future derive revenues, in a variety of currencies. As a result, Kineta is exposed to foreign currency exchange risk as its results of operations and cash flows are subject to fluctuations in foreign currency exchange rates. Fluctuations in currency exchange rates have had, and will continue to have, an impact on Kineta’s results as expressed in U.S. dollars. Kineta currently does not engage in hedging transactions to protect against uncertainty in future exchange rates between particular foreign currencies and the U.S. dollar. Kineta cannot predict the impact of foreign currency fluctuations, and foreign currency fluctuations in the future may adversely affect Kineta’s financial condition, results of operations and cash flows.

Kineta’s employees, principal investigators, consultants and commercial partners may engage in misconduct or other improper activities, including non-compliance with regulatory standards and requirements and insider trading.

Kineta is exposed to the risk of fraud or other misconduct by its employees, principal investigators, consultants and commercial partners. Misconduct by these parties could include intentional failures to comply with the regulations of the FDA and other comparable foreign regulatory authorities, provide accurate information to the FDA and other comparable foreign regulatory authorities, comply with healthcare fraud and abuse laws and regulations in the United States, EU, UK and in other jurisdictions, report financial information or data accurately or disclose unauthorized activities to Kineta. In particular, sales, marketing and business arrangements in the healthcare industry are subject to extensive laws and regulations intended to prevent fraud, misconduct, kickbacks, self-dealing and other abusive practices. These laws and regulations may restrict or prohibit a wide range of pricing, discounting, marketing and promotion, sales commission, customer incentive programs and other business arrangements. Such misconduct could also involve the improper use of information obtained in the course of clinical trials, which could result in regulatory sanctions and cause serious harm to Kineta’s reputation. It is not always possible to identify and deter employee misconduct, and the precautions Kineta takes to detect and prevent this activity may not be effective in controlling unknown or unmanaged risks or losses or in protecting Kineta from governmental investigations or other actions or lawsuits stemming from a failure to comply with these laws or regulations. If any such actions are instituted against Kineta, those actions could have a significant impact on Kineta’s business, including the imposition of significant civil, criminal and administrative penalties, damages, fines, disgorgement, imprisonment, exclusion from government funded healthcare programs, such as Medicare and Medicaid, contractual damages, reputational harm, diminished profits and future earnings, additional reporting obligations and oversight if subject to a corporate integrity agreement or other agreement to resolve allegations of non-compliance with these laws, and the curtailment or restructuring of Kineta’s operations.

Kineta faces potential product liability, and, if successful claims are brought against it, Kineta may incur substantial liability and costs. If the use of Kineta’s product candidates harms patients or is perceived to harm patients even when such harm is unrelated to Kineta’s product candidates, Kineta’s regulatory approvals could be revoked or otherwise negatively impacted and Kineta could be subject to costly and damaging product liability claims.

The use of Kineta’s product candidates in clinical trials and the sale of any products for which Kineta obtains marketing approval exposes Kineta to the risk of product liability claims. Product liability claims might be brought against Kineta by consumers, healthcare providers, pharmaceutical companies or others selling or otherwise coming into contact with Kineta’s products. There is a risk that Kineta’s product candidates may induce adverse events. If Kineta cannot successfully defend against product liability claims, Kineta could incur substantial liability and costs. In addition, regardless of merit or eventual outcome, product liability claims may result in:

impairment of Kineta’s business reputation;
withdrawal of clinical trial participants;
costs due to related litigation;

 

70


 

distraction of management’s attention from Kineta’s primary business;
substantial monetary awards to patients or other claimants;
the inability to commercialize Kineta’s product candidates; and
decreased demand for Kineta’s product candidates, if approved for commercial sale.

Kineta believes its product liability insurance coverage is sufficient in light of its current clinical programs; however, Kineta may not be able to maintain insurance coverage at a reasonable cost or in sufficient amounts to protect Kineta against losses due to liability. If and when Kineta obtains marketing approval for product candidates, Kineta intends to expand its insurance coverage to include the sale of commercial products; however, Kineta may be unable to obtain product liability insurance on commercially reasonable terms or in adequate amounts. On occasion, large judgments have been awarded in class action lawsuits based on drugs or medical treatments that had unanticipated adverse effects. A successful product liability claim, or series of claims brought against Kineta, could cause Kineta’s stock price to decline and, if judgments exceed Kineta’s insurance coverage, could adversely affect Kineta’s results of operations and business.

Patients with cancer and other diseases targeted by Kineta’s product candidates are often already in severe and advanced stages of disease and have both known and unknown significant pre-existing and potentially life-threatening health risks. During the course of treatment, patients may suffer adverse events, including death, for reasons that may be related to Kineta’s product candidates. Such events could subject Kineta to costly litigation, require Kineta to pay substantial amounts of money to injured patients, delay, negatively impact or end Kineta’s opportunity to receive or maintain regulatory approval to market Kineta’s products, or require Kineta to suspend or abandon its commercialization efforts. Even in a circumstance in which Kineta does not believe that an adverse event is related to its products, the investigation into the circumstance may be time-consuming or inconclusive. These investigations may divide the attention of Kineta’s management team, interrupt Kineta’s sales efforts, delay Kineta’s regulatory approval process in other countries or impact and limit the type of regulatory approvals Kineta’s product candidates receive or maintain. As a result of these factors, a product liability claim, even if successfully defended, could have a material adverse effect on Kineta’s business, financial condition or results of operations.

Kineta’s future success depends on its ability to retain key members of senior management and to attract, retain and motivate qualified personnel.

Kineta’s ability to compete in the highly competitive biopharmaceutical industry depends upon its ability to attract and retain highly qualified management, research and development, clinical, financial and business development personnel. Kineta is highly dependent on its management, scientific and medical personnel, including Shawn Iadonato, Ph.D., Kineta’s Chief Executive Officer, Craig Philips, Kineta’s President, Keith Baker, Kineta’s Chief Financial Officer, Pauline Kenny, Kineta’s General Counsel, Thierry Guillaudeux, Ph.D., Kineta’s Chief Scientific Officer and Jacques Bouchy, Kineta’s EVP Investor Relations & Business Development. Kineta’s senior management may terminate their employment with Kineta at any time. Kineta does not maintain “key person” insurance for any of its employees.

Recruiting and retaining qualified scientific and clinical personnel and, if Kineta progresses the development of any of its product candidates, commercialization, manufacturing and sales and marketing personnel, will be critical to Kineta’s success. The loss of the services of members of Kineta’s senior management or other key employees could impede the achievement of Kineta’s research, development and commercialization objectives and seriously harm Kineta’s ability to successfully implement its business strategy. Furthermore, replacing members of Kineta’s senior management and key employees may be difficult and may take an extended period of time because of the limited number of individuals in Kineta’s industry with the breadth of skills and experience required to successfully develop, gain regulatory approval of and commercialize Kineta’s product candidates. Kineta’s success also depends on its ability to continue to attract, retain and motivate highly skilled junior, mid-level and senior managers, as well as junior, mid-level and senior scientific and medical personnel. Competition to hire from this limited candidate pool is intense, and Kineta may be unable to hire, train, retain or motivate these key personnel on acceptable terms given the competition among numerous pharmaceutical and biotechnology companies for similar personnel. Kineta also experiences competition for the hiring of scientific and clinical personnel from universities and research institutions. In addition, Kineta relies on consultants and advisors, including scientific and clinical advisors, to assist Kineta in formulating its research and development and commercialization strategy. Kineta’s consultants and advisors may have commitments under consulting or advisory contracts with other entities that may limit their availability to Kineta. If Kineta is unable to continue to attract and retain high-quality personnel, Kineta’s ability to pursue its growth strategy will be limited.

Kineta expects to expand its clinical development and regulatory capabilities and potentially implement sales, marketing and distribution capabilities, and as a result, Kineta may encounter difficulties in managing its growth, which could disrupt Kineta’s operations.

As of December 31, 2023, Kineta had 11 full-time employees. As Kineta’s development progresses, Kineta expects to experience growth in the number of its employees and the scope of its operations, particularly in the areas of clinical product development, regulatory affairs, manufacturing and, if any of Kineta’s product candidates receives marketing approval, sales, marketing and distribution. To manage Kineta’s anticipated future growth, Kineta must continue to implement and improve its managerial, operational and financial systems, expand its facilities and continue to recruit and train additional qualified personnel. Due to Kineta’s limited financial resources and the limited experience of Kineta’s management team in managing a company with such anticipated growth, Kineta may not be able to effectively manage the expansion of its operations or recruit and train additional qualified personnel. The expansion of Kineta’s operations may lead to significant costs and may divert its management and business development resources. Any inability to manage growth could delay the execution of Kineta’s business plans or disrupt Kineta’s operations.

Kineta faces substantial competition, which may result in others discovering, developing or commercializing products more quickly or marketing them more successfully than Kineta.

 

71


 

The development and commercialization of new products is highly competitive. Kineta expects to compete in the segments of the pharmaceutical, biotechnology and other related markets that pursue immuno-oncology treatments. Kineta’s commercial opportunity could be reduced or eliminated if its competitors develop and commercialize products that are safer, more effective, have fewer or less severe side effects, are more convenient, or are less expensive than any products that Kineta may develop. Kineta’s competitors also may obtain regulatory approval from the FDA or other comparable foreign regulatory authorities for their products more rapidly than Kineta may obtain approval for its products, if ever, which could result in Kineta’s competitors establishing a strong market position before Kineta is able to enter the market or make Kineta’s development more complicated. Moreover, with the proliferation of new drugs and therapies into oncology, Kineta expects to face increasingly intense competition as new technologies become available. If Kineta fails to stay at the forefront of technological change, it may be unable to compete effectively. Any product candidates that Kineta successfully develops and commercializes will compete with existing therapies and new therapies that may become available in the future. The highly competitive nature of and rapid technological changes in the biotechnology and pharmaceutical industries could render Kineta’s product candidates or its technology obsolete, less competitive or uneconomical.

Other products in a similar class as some of Kineta’s product candidates have already been approved and other products in the same class are further along in development. As more product candidates within a particular class of biopharmaceutical products proceed through clinical development to regulatory review and approval, the amount and type of clinical data that may be required by regulatory authorities may increase or change. Consequently, the results of Kineta’s clinical trials for product candidates in those classes will likely need to show a risk benefit profile that is competitive with or more favorable than those products and product candidates in order to obtain marketing approval or, if approved, a product label that is favorable for commercialization. If the risk benefit profile is not competitive with those products or product candidates, Kineta may have developed a product that is not commercially viable, that Kineta is not able to sell profitably or that is unable to achieve favorable pricing or reimbursement. In such circumstances, Kineta’s future product revenue and financial condition would be materially and adversely affected.

Specifically, there are many companies that have commercialized or are developing immuno-oncology treatments for cancer including large pharmaceutical and biotechnology companies such as Amgen Inc., AstraZeneca plc and its subsidiary, MedImmune, LLC, Bristol-Myers Squibb Company (“BMS”), Merck, Novartis AG, Pfizer Inc., Curis, Inc., Hummingbird Bioscience, Pte. Ltd., and Roche, and its subsidiary Genentech. Kineta is also aware of several companies testing their compounds in combination with nivolumab or pembrolizumab. Select programs in late-stage development include lymphocyte activation gene-3 (“LAG-3”) assets from BMS (relatlimab) and modified interleukin-2 (“IL-2”) assets from Nektar Therapeutics bempegaldesleukin). In earlier stage development there are also BioNTech SE with NEO-PV-01 and Karyopharm Therapeutics, Inc. with selinexor.

In addition, there are large pharmaceutical and biotech companies developing therapeutics for the treatment of chronic pain and viral diseases.

Many of Kineta’s competitors, either alone or with their collaboration partners, have significantly greater financial resources and expertise in research and development, preclinical testing, clinical trials, manufacturing and marketing than Kineta does. Future collaborations and mergers and acquisitions may result in further resource concentration among a smaller number of competitors. Smaller or early-stage companies may also prove to be significant competitors, particularly through collaborative arrangements with large and established companies. These competitors will also compete with Kineta in recruiting and retaining qualified scientific and management personnel and establishing clinical trial sites and subject registration for clinical trials, as well as in acquiring technologies complementary to, or that maybe necessary for, Kineta’s programs.

The key competitive factors affecting the success of all of Kineta’s programs are likely to be efficacy, safety, convenience, price, the level of generic competition and the availability of reimbursement from government and other third-party payors. If Kineta is not successful in developing, commercializing and achieving higher levels of reimbursement than its competitors, Kineta will not be able to compete against them and Kineta’s business would be materially harmed.

Kineta has net operating losses (“NOL”) to be carried forward, which may become devalued if Kineta does not generate sufficient future taxable income, applicable corporate tax rates are reduced or if Kineta experiences an ownership change.

Kineta’s total gross deferred tax assets as of December 31, 2023 were $174.8 million. Utilization of most deferred tax assets is dependent on generating sufficient future taxable income in the appropriate jurisdiction and/or entity. Kineta has provided a valuation allowance of $174.6 million on its net deferred tax assets as of December 31, 2023. Based on all available evidence, it is considered more likely than not that all the recorded deferred tax assets will not be realized in a future period. Accordingly, in the event of a reduction of any such corporate income tax rates, the carrying value of certain of Kineta’s deferred tax assets would decrease. Moreover, Kineta’s ability to use its NOL and other deferred tax assets to offset future taxable income may be limited if Kineta experiences an ownership change. Kineta may experience ownership changes in the future as a result of subsequent shifts in its stock ownership, some of which are outside Kineta’s control.

For U.S. federal income tax purposes, an ownership change will generally occur when the percentage of Kineta’s stock (by value) owned by one or more “5% shareholders” (as defined in the U.S. Internal Revenue Code of 1986, as amended (the “Code”)) has increased by more than 50% over the lowest percentage owned by such shareholders at any time during the prior three years (calculated on a rolling basis). Kineta anticipates that it will incur losses in the United States in the foreseeable future related to Kineta’s research and development activities. Due to potential ownership changes under Section 382 of the Code, Kineta may be limited in its ability to realize a tax benefit from the use of such losses, whether or not Kineta attains profitability in future years.

In addition, Kineta’s ability to utilize any future NOL may be limited by Pub. L. 115-97, enacted in 2017 and commonly known as the Tax Cuts and Jobs Act of 2017 (the “TCJA”). Under the TCJA, the amount of Kineta’s NOL that Kineta is permitted to deduct in any taxable year is limited to 80% of its taxable income in such year, where taxable income is determined without regard to the NOL deduction itself, while allowing unused NOL

 

72


 

to be carried forward indefinitely.

For these reasons, a material devaluation in Kineta’s deferred tax assets due to insufficient taxable income, lower corporate income tax rates or ownership change would have an adverse effect on Kineta’s results of operations and financial condition.

Foreign subsidiaries may directly become subject to U.S. federal income tax and be subject to a branch profits tax in the United States, which could reduce Kineta’s after-tax returns and the value of Kineta’s shares.

Kineta currently intends to conduct substantially all of its businesses and operations in a manner such that any foreign subsidiaries, if applicable, will not be treated as engaged in a trade or business in the United States and will not be subject to additional U.S. income tax or branch profits tax. However, it is not entirely clear when a foreign subsidiary is treated as being engaged in a trade or business in the United States for U.S. federal income tax purposes. Accordingly, Kineta cannot assure you that the Internal Revenue Service (the “IRS”) will not contend, perhaps successfully, that Kineta’s foreign subsidiaries were engaged in a trade or business in the United States or are subject to more U.S. income tax than they currently incur. A foreign corporation deemed to be so engaged would be subject to U.S. federal income tax on its income that is treated as effectively connected with the conduct of that trade or business, as well as to branch profits tax on its “dividend equivalent amount,” unless the corporation is entitled to relief under an applicable tax treaty, which is determined on an annual basis.

Kineta’s business operations and current and future relationships with investigators, health care professionals, consultants, third-party payors and customers are subject, directly or indirectly, to federal and state healthcare fraud and abuse laws, transparency laws and other healthcare laws and regulations. If Kineta is unable to comply, or has not fully complied, with such laws, Kineta could face substantial penalties.

Healthcare providers and others play a primary role in the recommendation and prescription of any products for which Kineta obtains marketing approval. Although Kineta does not currently have any products on the market, Kineta’s operations and current and future arrangements with investigators, healthcare professionals, customers and third-party payors may be subject to various U.S. federal and state healthcare laws and regulations, including, without limitation, the U.S. federal Anti-Kickback Statute, the U.S. federal civil and criminal false claims laws and the Physician Payments Sunshine Act and regulations. These laws may impact, among other things, Kineta’s current business operations, including its clinical research activities and proposed sales, marketing and education programs and constrain the business of financial arrangements and relationships with healthcare providers and other parties through which Kineta may market, sell and distribute its products for which Kineta obtains marketing approval. In addition, Kineta may be subject to additional healthcare, statutory and regulatory requirements and enforcement by foreign regulatory authorities in jurisdictions in which Kineta conducts its business. The laws that may affect Kineta’s ability to operate include:

the U.S. federal Anti-Kickback Statute, a criminal law which prohibits, among other things, persons or entities from knowingly and willfully soliciting, offering, receiving or paying any remuneration (including any kickback, bribe or certain rebates), directly or indirectly, overtly or covertly, in cash or in kind, to induce or reward either the referral of an individual for, or the purchase, lease, order or recommendation of, any good, facility, item or service, for which payment may be made, in whole or in part, under U.S. federal and state healthcare programs such as Medicare and Medicaid. A person or entity does not need to have actual knowledge of the statute or specific intent to violate it in order to have committed a violation;
the U.S. federal civil False Claims Act, which can be enforced through whistleblower actions, and which, among other things, imposes significant civil penalties, treble damages, and potential exclusion from federal healthcare programs against individuals or entities for knowingly presenting, or causing to be presented, to the U.S. federal government, claims for payment or approval that are false or fraudulent, knowingly making, using or causing to be made or used, a false record or statement material to a false or fraudulent claim, or from knowingly making a false statement to avoid, decrease or conceal an obligation to pay money to the U.S. federal government. In addition, the government may assert that a claim resulting from a violation of the U.S. federal Anti-Kickback Statute, U.S. Federal Food, Drug and Cosmetic Act (the “FDCA”) or other law constitutes a false or fraudulent claim for purposes of the civil False Claims Act. There is also the federal criminal False Claims Act, which is similar to the federal civil False Claims Act and imposes criminal liability on those that make or present a false, fictitious or fraudulent claim to the federal government;
the U.S. federal Civil Monetary Penalties Law, which authorizes the imposition of substantial civil monetary penalties against any person or entity that engages in activities including, among others (1) knowingly presenting, or causing to be presented, a claim for services not provided as claimed or that is otherwise false or fraudulent in any way; (2) arranging for or contracting with an individual or entity that is excluded from participation in federal healthcare programs to provide items or services reimbursable by a federal healthcare program; (3) violations of the federal Anti-Kickback Statute; (4) failing to report and return a known overpayment; or (5) offering or transferring any remuneration to a Medicare or Medicaid beneficiary if the person knows or should know it is likely to influence the beneficiary’s selection of a particular provider, practitioner, or supplier of items or services reimbursable by Medicare or Medicaid, unless an exception applies;
the U.S. federal Health Insurance Portability and Accountability Act of 1996 (“HIPAA”) which imposes criminal and civil liability for, among other things, knowingly and willfully executing, or attempting to execute, a scheme to defraud any healthcare benefit program, or knowingly and willfully falsifying, concealing or covering up a material fact or making any materially false statement, in connection with the delivery of, or payment for, healthcare benefits, items or services; similar to the U.S. federal Anti-Kickback Statute, a person or entity does not need to have actual knowledge of the statute or specific intent to violate it in order to have committed a violation;
the FDCA, which prohibits, among other things, the adulteration or misbranding of drugs, biologics and medical devices;
the U.S. federal Physician Payments Sunshine Act, enacted as part of the Affordable Care Act, and its implementing regulations, which requires certain manufacturers of drugs, devices, biologics and medical supplies that are reimbursable under Medicare, Medicaid or the

 

73


 

Children’s Health Insurance Program to track and report annually to CMS information related to certain payments and other transfers of value provided to U.S.-licensed physicians (defined to include doctors, dentists, optometrists, podiatrists and chiropractors) and teaching hospitals, as well as ownership and investment interests held by the physicians described above and their immediate family members. Since January 1, 2022, such obligations include the reporting of payments and other transfers of value provided in the previous year to certain other healthcare professionals, including physician assistants, nurse practitioners, clinical nurse specialists, certified nurse anesthetists, anesthesiology assistants and certified nurse midwives;
analogous state laws and regulations, including: state anti-kickback and false claims laws, which may apply to Kineta’s business practices, including, but not limited to, research, distribution, sales and marketing arrangements and claims involving healthcare items or services reimbursed by any third-party payor, including private insurers; state laws that require pharmaceutical companies to comply with the pharmaceutical industry’s voluntary compliance guidelines and the relevant compliance guidance promulgated by the U.S. federal government, or otherwise restrict payments that may be made to healthcare providers and other potential referral sources; state laws and regulations that require drug manufacturers to file reports relating to pricing and marketing information, including information pertaining to and justifying price increases; state laws and regulations that prohibit various marketing-related activities, such as the provision of certain kinds of gifts or meals, or require the tracking and reporting of gifts and other remuneration and items of value provided to healthcare professionals and entities; and state and local laws requiring the registration of pharmaceutical sales representatives; and
European and other foreign law equivalents of each of the laws, including reporting requirements detailing interactions with and payments to healthcare providers.

Ensuring that Kineta’s internal operations and future business arrangements with third parties comply with applicable healthcare laws and regulations will involve substantial costs. It is possible that governmental authorities will conclude that Kineta’s business practices, including certain arrangements with physicians who receive stock, warrants or stock options as compensation for services provided to Kineta, do not comply with current or future statutes, regulations, agency guidance or case law involving applicable fraud and abuse or other healthcare laws and regulations. If Kineta’s operations are found to be in violation of any of the laws described above or any other governmental laws and regulations that may apply to Kineta, Kineta may be subject to significant penalties, including civil, criminal and administrative penalties, damages, fines, exclusion from U.S. government funded healthcare programs, such as Medicare and Medicaid, or similar programs in other countries or jurisdictions, disgorgement, imprisonment, contractual damages, reputational harm, diminished profits, additional reporting requirements and oversight if Kineta becomes subject to a corporate integrity agreement or similar agreement to resolve allegations of non-compliance with these laws and the delay, reduction, termination or restructuring of Kineta’s operations. Further, defending against any such actions can be costly and time-consuming, and may require significant financial and personnel resources. Therefore, even if Kineta is successful in defending against any such actions that may be brought against it, Kineta’s business may be impaired. If any of the physicians or other providers or entities with whom Kineta expects to do business is found to not be in compliance with applicable laws, they may be subject to significant criminal, civil or administrative sanctions, including exclusions from government funded healthcare programs and imprisonment. If any of the above occur, it could adversely affect Kineta’s ability to operate its business and its results of operations.

Healthcare legislative reform measures may have a material adverse effect on Kineta’s business and results of operations.

The United States and many foreign jurisdictions have enacted or proposed legislative and regulatory changes affecting the healthcare system that could prevent or delay marketing approval of Kineta’s current product candidates and any future product candidates, restrict or regulate post-approval activities and affect Kineta’s ability to profitably sell a product for which it obtains marketing approval. Changes in regulations, statutes or the interpretation of existing regulations could impact Kineta’s business in the future by requiring, for example: (i) changes to Kineta’s manufacturing arrangements; (ii) additions or modifications to product labeling; (iii) the recall or discontinuation of Kineta’s products; or (iv) additional record-keeping requirements. If any such changes were to be imposed, they could adversely affect the operation of Kineta’s business.

In the United States, there have been and continue to be a number of legislative initiatives to contain healthcare costs. For example, in March 2010, the ACA was passed, which substantially changed the way healthcare is financed by both governmental and private insurers, and significantly impacted the U.S. pharmaceutical industry. The ACA, among other things, subjected biological products to potential competition by lower-cost biosimilars, addressed a new methodology by which rebates owed by manufacturers under the Medicaid Drug Rebate Program are calculated for drugs and biologics that are inhaled, infused, instilled, implanted or injected, increased the minimum Medicaid rebates owed by manufacturers under the Medicaid Drug Rebate Program and extended the rebate program to individuals enrolled in Medicaid managed care organizations, established annual fees and taxes on manufacturers of certain branded prescription drugs and biologics, and created a new Medicare Part D coverage gap discount program, in which manufacturers must agree to offer 70% (increased from 50% pursuant to the Bipartisan Budget Act of 2018) point-of-sale discounts off negotiated prices of applicable brand drugs and biologics to eligible beneficiaries during their coverage gap period, as a condition for the manufacturer’s outpatient drugs or biologics to be covered under Medicare Part D.

Since its enactment, there have been judicial, executive and Congressional challenges to certain aspects of the ACA. On June 17, 2021, the U.S. Supreme Court dismissed the most recent judicial challenge to the ACA brought by several states without specifically ruling on the constitutionality of the ACA. Prior to the Supreme Court’s decision, President Biden issued an executive order to initiate a special enrollment period from February 15, 2021 through August 15, 2021 for purposes of obtaining health insurance coverage through the ACA marketplace. The executive order also instructed certain governmental agencies to review and reconsider their existing policies and rules that limit access to healthcare, including among others, re-examining Medicaid demonstration projects and waiver programs that include work requirements, and policies that create unnecessary barriers to obtaining access to health insurance coverage through Medicaid or the ACA. It is unclear how other healthcare reform measures of the Biden administration or other efforts, if any, to challenge, repeal or replace the ACA will impact the ACA or Kineta’s business.

 

74


 

In addition, other legislative changes have been proposed and adopted since the ACA was enacted. On August 2, 2011, the Budget Control Act of 2011 was signed into law, which, among other things, resulted in reductions to Medicare payments to providers of 2% per fiscal year, which went into effect on April 1, 2013 and, due to subsequent legislative amendments to the statute, will remain in effect through 2030, with the exception of a temporary suspension from May 1, 2020 through December 31, 2021, unless additional Congressional action is taken. On January 2, 2013, the American Taxpayer Relief Act of 2012 was signed into law, which, among other things, reduced Medicare payments to several providers, including hospitals, and increased the statute of limitations period for the government to recover overpayments to providers from three to five years.

Further, there has been heightened governmental scrutiny in the United States of pharmaceutical pricing practices in light of the rising cost of prescription drugs. Such scrutiny has resulted in several recent congressional inquiries and proposed and enacted federal and state legislation designed to, among other things, bring more transparency to product pricing, review the relationship between pricing and manufacturer patient programs, and reform government program reimbursement methodologies for products. Although a number of these and other measures may require additional authorization to become effective, Congress and the current U.S. administration have each indicated that it will continue to seek new legislative and/or administrative measures to control drug costs. Any reduction in reimbursement from Medicare and other government programs may result in a similar reduction in payments from private payors.

At the state level, legislatures have increasingly passed legislation and implemented regulations designed to control pharmaceutical and biological product pricing, including price or patient reimbursement constraints, discounts, restrictions on certain product access and marketing cost disclosure and transparency measures, and, in some cases, designed to encourage importation from other countries and bulk purchasing. Legally mandated price controls on payment amounts by third-party payors or other restrictions could harm Kineta’s business, results of operations, financial condition and prospects. In addition, regional healthcare authorities and individual hospitals are increasingly using bidding procedures to determine what pharmaceutical products and which suppliers will be included in their prescription drug and other healthcare programs. This could reduce the ultimate demand for Kineta’s product candidates, if approved, or put pressure on Kineta’s product pricing, which could negatively affect Kineta’s business, results of operations, financial condition and prospects.

Kineta expects that the ACA, these new laws, and other healthcare reform measures that may be adopted in the future may result in additional reductions in Medicare and other healthcare funding, more rigorous coverage criteria, new payment methodologies and additional downward pressure on the price that Kineta receives for any approved product. The implementation of cost containment measures or other healthcare reforms may prevent Kineta from being able to generate revenue, attain profitability or commercialize its product candidates, if approved.

Current and future legislative efforts may limit the prices for Kineta’s products, if and when they are licensed for marketing, and that could materially impact Kineta’s ability to generate revenues.

The prices of prescription pharmaceuticals have also been the subject of considerable discussion in the United States. There have been several recent U.S. congressional inquiries, as well as proposed and enacted state and federal legislation designed to, among other things, bring more transparency to pharmaceutical pricing, review the relationship between pricing and manufacturer patient programs and reduce the costs of pharmaceuticals under Medicare and Medicaid. In 2020, President Trump issued several executive orders intended to lower the costs of prescription products and certain provisions in these orders have been incorporated into regulations. These regulations include an interim final rule implementing a most favored nation model for prices that would tie Medicare Part B payments for certain physician-administered pharmaceuticals to the lowest price paid in other economically advanced countries, effective January 1, 2021. That rule, however, has been subject to a nationwide preliminary injunction and, on December 29, 2021, CMS issued a final rule to rescind it. With issuance of this rule, CMS stated that it will explore all options to incorporate value into payments for Medicare Part B pharmaceuticals and improve beneficiaries’ access to evidence-based care.

In addition, in October 2020, HHS and the FDA published a final rule allowing states and other entities to develop a Section 804 Importation Program (“SIP”) to import certain prescription drugs from Canada into the United States. The final rule is currently the subject of ongoing litigation, but at least six states (Vermont, Colorado, Florida, Maine, New Mexico and New Hampshire) have passed laws allowing for the importation of drugs from Canada with the intent of developing SIPs for review and approval by the FDA. Further, on November 20, 2020, HHS finalized a regulation removing safe harbor protection for price reductions from pharmaceutical manufacturers to plan sponsors under Part D, either directly or through pharmacy benefit managers, unless the price reduction is required by law. The final rule would eliminate the current safe harbor for Medicare drug rebates and create new safe harbors for beneficiary point-of-sale discounts and pharmacy benefit manager service fees. It originally was set to go into effect on January 1, 2023, but with passage of the Inflation Reduction Act has been delayed by Congress to January 1, 2032.

On July 9, 2021, President Biden signed Executive Order 14063, which focuses on, among other things, the price of pharmaceuticals. The Order directs HHS to create a plan within 45 days to combat “excessive pricing of prescription pharmaceuticals and enhance domestic pharmaceutical supply chains, to reduce the prices paid by the federal government for such pharmaceuticals, and to address the recurrent problem of price gouging.” On September 9, 2021, HHS released its plan to reduce pharmaceutical prices. The key features of that plan are to: (a) make pharmaceutical prices more affordable and equitable for all consumers and throughout the health care system by supporting pharmaceutical price negotiations with manufacturers; (b) improve and promote competition throughout the prescription pharmaceutical industry by supporting market changes that strengthen supply chains, promote biosimilars and generic drugs, and increase transparency; and (c) foster scientific innovation to promote better healthcare and improve health by supporting public and private research and making sure that market incentives promote discovery of valuable and accessible new treatments.

At the state level, individual states are increasingly aggressive in passing legislation and implementing regulations designed to control pharmaceutical and biological product pricing, including price or patient reimbursement constraints, discounts, restrictions on certain product access and marketing cost disclosure and transparency measures, and, in some cases, designed to encourage importation from other countries and bulk purchasing. In addition, regional healthcare organizations and individual hospitals are increasingly using bidding procedures to determine what

 

75


 

pharmaceutical products and which suppliers will be included in their prescription drug and other healthcare programs. These measures could reduce the ultimate demand for Kineta’s products, once approved, or put pressure on Kineta’s product pricing. Kineta expects that additional state and federal healthcare reform measures will be adopted in the future, any of which could limit the amounts that federal and state governments will pay for healthcare products and services, which could result in reduced demand for Kineta’s product candidates or additional pricing pressures.

Finally, outside the United States, in some nations, including those of the EU, the pricing of prescription pharmaceuticals is subject to governmental control and access. In these countries, pricing negotiations with governmental authorities can take considerable time after the receipt of marketing approval for a product. To obtain reimbursement or pricing approval in some countries, Kineta or its collaborators may be required to conduct a clinical trial that compares the cost-effectiveness of Kineta’s product to other available therapies. If reimbursement of Kineta’s products is unavailable or limited in scope or amount, or if pricing is set at unsatisfactory levels, Kineta’s business could be materially harmed.

Kineta is subject to a variety of privacy and data security laws, and Kineta’s failure to comply with them could harm Kineta’s business.

Kineta maintains a large quantity of sensitive information, including confidential business and personal information in connection with the conduct of Kineta’s clinical trials and related to Kineta’s employees, and Kineta is subject to laws and regulations governing the privacy and security of such information. In the United States, there are numerous federal and state privacy and data security laws and regulations governing the collection, use, disclosure and protection of personal information, including federal and state health information privacy laws, federal and state security breach notification laws, and federal and state consumer protection laws. The legislative and regulatory landscape for privacy and data protection continues to evolve, and there has been an increasing focus on privacy and data protection issues, including with respect to regulatory enforcement and private litigation, which may affect Kineta’s business and is expected to increase its compliance costs and exposure to liability. In the United States, numerous federal and state laws and regulations could apply to Kineta’s operations or the operations of Kineta’s partners, including state data breach notification laws, state health information privacy laws and federal and state consumer protection laws and regulations (e.g., Section 5 of the FTC Act), that govern the collection, use, disclosure and protection of health-related and other personal information. In addition, Kineta may obtain health information from third parties (including research institutions from which Kineta obtains clinical trial data) that are subject to privacy and security requirements under HIPAA, as amended by HITECH and regulations promulgated thereunder. Depending on the facts and circumstances, Kineta could be subject to significant penalties if Kineta obtains, uses or discloses, or is subject to an actual or alleged data breach regarding, individually identifiable health information in a manner that is not authorized or permitted by HIPAA.

In the EEA, Kineta is subject to the EU General Data Protection Regulation (the “EU GDPR”), which took effect in May 2018. The EU GDPR governs the collection, use, disclosure, transfer or other processing of personal data (i.e., data which identifies an individual or from which an individual is identifiable), including clinical trial data, and grants individuals various data protection rights (e.g., the right to erasure of personal data). The EU GDPR imposes a number of obligations on companies, including inter alia: (i) accountability and transparency requirements, and enhanced requirements for obtaining valid consent; (ii) obligations to consider data protection as any new products or services are developed and to limit the amount of personal data processed; and (iii) obligations to implement appropriate technical and organizational measures to safeguard personal data and to report certain personal data breaches to the supervisory authority without undue delay (and no later than 72 hours where feasible). In addition, the EU GDPR prohibits the transfer of personal data from the EEA to the United States and other jurisdictions that the European Commission does not recognize as having “adequate” data protection laws unless a data transfer mechanism has been put in place. In July 2020, the Court of Justice of the EU (the “CJEU”) limited how organizations could lawfully transfer personal data from the EEA to the United States by invalidating the EU-US Privacy Shield for purposes of international transfers and imposing further restrictions on use of the standard contractual clauses (the “SCCs”), including a requirement for companies to carry out a transfer privacy impact assessment, which, among other things, assesses laws governing access to personal data in the recipient country and considers whether supplementary measures that provide privacy protections additional to those provided under SCCs will need to be implemented to ensure an essentially equivalent level of data protection to that afforded in the EEA. The European Commission subsequently issued new SCCs in June 2021 to account for the decision of the CJEU and recommendations made by the European Data Protection Board and which are in turn relatively more onerous. The EU GDPR imposes substantial fines for breaches and violations (up to the greater of €20 million or 4% of consolidated annual worldwide gross revenue), and confers a private right of action on data subjects and consumer associations to lodge complaints with supervisory authorities, seek judicial remedies and obtain compensation for damages resulting from violations of the EU GDPR. Relatedly, following the United Kingdom’s withdrawal from the EU (i.e., Brexit), and the expiry of the Brexit transition period, which ended on December 31, 2020, the EU GDPR has been implemented in the United Kingdom (as the “UK GDPR”). The UK GDPR sits alongside the UK Data Protection Act 2018 which implements certain derogations in the EU GDPR into UK law. Under the UK GDPR, companies not established in the UK but who process personal data in relation to the offering of goods or services to individuals in the UK, or to monitor their behavior will be subject to the UK GDPR, the requirements of which are (at this time) largely aligned with those under the EU GDPR and as such, may lead to similar compliance and operational costs with potential fines of up to the greater of £17.5 million or 4% of global turnover.

Compliance with these and any other applicable privacy and data security laws and regulations is a rigorous and time-intensive process, and Kineta may be required to put in place additional mechanisms ensuring compliance with the new data protection rules. Furthermore, the laws are not consistent, and compliance in the event of a widespread data breach is costly. In addition, states are constantly adopting new laws or amending existing laws, requiring attention to frequently changing regulatory requirements. For example, California enacted the California Consumer Privacy Act (the “CCPA”), which took effect on January 1, 2020, became enforceable by the California Attorney General on July 1, 2020, and has been dubbed the first “GDPR-like” law in the United States. The CCPA gives California residents expanded rights to access and delete their personal information, opt out of certain personal information sharing and receive detailed information about how their personal information is used by requiring covered companies to provide new disclosures to California consumers (as that term is broadly defined) and provide such consumers new ways to opt-out of certain sales of personal information. The CCPA provides for civil penalties for violations, as well as a private right of action for data breaches that is expected to increase data breach litigation. Further, the California Privacy Rights Act (the “CPRA”) recently passed in California. The CPRA will impose additional data protection obligations on companies doing business in California, including additional consumer rights processes, limitations on data uses, new audit requirements for higher risk data and opt outs for certain uses of sensitive data. It will also create a new California data protection agency authorized to issue substantive regulations and could result in increased privacy and information security

 

76


 

enforcement. The majority of the provisions will go into effect on January 1, 2023, and additional compliance investment and potential business process changes may be required. Although the CCPA currently exempts certain health-related information, including clinical trial data, the CCPA and the CPRA may increase Kineta’s compliance costs and potential liability. Similar laws have been adopted in other states (for example Nevada, Virginia and Colorado) or proposed in other states and at the federal level, and if passed, such laws may have potentially conflicting requirements that would make compliance challenging.

Any actual or perceived failure by Kineta to comply with applicable privacy and data security laws and regulations could result in regulatory investigations, reputational damage, orders to cease/change Kineta’s processing of its data, enforcement notices and/or assessment notices (for a compulsory audit). Kineta may also face civil claims including representative actions and other class action type litigation (where individuals have suffered harm), potentially amounting to significant compensation or damages liabilities, as well as associated costs, diversion of internal resources and reputational harm.

Any future acquisitions, in-licensing or strategic partnerships may increase Kineta’s capital requirements, dilute Kineta’s stockholders, divert Kineta’s management’s attention, cause Kineta to incur debt or assume contingent liabilities and subject Kineta to other risks.

Kineta may engage in various acquisitions and strategic partnerships in the future, including licensing or acquiring complementary products, intellectual property rights, technologies or businesses. Any acquisition or strategic partnership may entail numerous risks, including:

increased operating expenses and cash requirements;
the assumption of indebtedness or contingent liabilities;
the issuance of Kineta’s equity securities which would result in dilution to Kineta’s stockholders;
assimilation of operations, intellectual property, products and product candidates of an acquired company, including difficulties associated with integrating new personnel;
the diversion of Kineta’s management’s attention from Kineta’s existing product candidates and initiatives in pursuing such an acquisition or strategic partnership;
spend substantial operational, financial and management resources in integrating new businesses, technologies and products;
retention of key employees, the loss of key personnel and uncertainties in Kineta’s ability to maintain key business relationships;
risks and uncertainties associated with the other party to such a transaction, including the prospects of that party and their existing products or product candidates and regulatory approvals; and
Kineta’s inability to generate revenue from acquired intellectual property, technology and/or products sufficient to meet Kineta’s objectives or even to offset the associated transaction and maintenance costs.

In addition, if Kineta undertakes such a transaction, Kineta may incur large one-time expenses and acquire intangible assets that could result in significant future amortization expense.

Risks Related to Intellectual Property

If Kineta is unable to obtain and maintain sufficient intellectual property protection for its platform technologies and product candidates, or if the scope of the intellectual property protection is not sufficiently broad, Kineta’s competitors could develop and commercialize products similar or identical to Kineta’s, and Kineta’s ability to successfully commercialize its products may be adversely affected.

Kineta relies upon a combination of patents, know-how and confidentiality agreements to protect the intellectual property related to Kineta’s products and technologies and to prevent third parties from copying and surpassing Kineta’s achievements, thus eroding Kineta’s competitive position in Kineta’s market.

Kineta’s success depends in large part on its ability to obtain and maintain patent protection, know-how and trade secrets for its development platform, product candidates and their uses, as well as Kineta’s ability to operate without infringing the proprietary rights of others. Kineta seeks to protect its proprietary position by filing patent applications in the United States and abroad related to Kineta’s novel discoveries and technologies that are important to Kineta’s business. Kineta cannot guarantee that its pending and future patent applications will result in patents being issued or that issued patents will afford sufficient protection of Kineta’s product candidates or their intended uses against competitors, nor can there be any assurance that the patents issued will not be infringed, designed around, invalidated by third parties, or will effectively prevent others from commercializing competitive technologies, products or product candidates.

Obtaining and enforcing patents is expensive and time-consuming, and Kineta may not be able to file and prosecute all necessary or desirable patent applications or maintain and/or enforce patents that may issue based on Kineta’s patent applications, at a reasonable cost or in a timely manner, including delays as a result of pandemics or other health crises impacting Kineta’s or its licensors’ operations. It is also possible that Kineta will fail to identify patentable aspects of Kineta’s research and development results before it is too late to obtain patent protection. Although Kineta enters into non-disclosure and confidentiality agreements with parties who have access to patentable aspects of Kineta’s research and development output, such as Kineta’s employees, corporate collaborators, outside scientific collaborators, contract research organizations, contract manufacturers, consultants, advisors and other third parties, any of these parties may breach these agreements and disclose such results before a patent application is

 

77


 

filed, thereby jeopardizing Kineta’s ability to seek patent protection.

Composition of matter patents for biological and pharmaceutical product candidates often provides a strong form of intellectual property protection for those types of products, as such patents provide protection without regard to any method of use. However, Kineta cannot be certain that the claims in its pending patent applications directed to composition of matter of Kineta’s product candidates will be considered patentable by the United States Patent and Trademark Office (the “USPTO”) or by patent offices in foreign countries, or that the claims in any of Kineta’s issued patents will be considered valid and enforceable by courts in the United States or foreign countries. Method of use patents protect the use of a product for the specified method. This type of patent does not prevent a competitor from making and marketing a product that is identical to Kineta’s product for an indication that is outside the scope of the patented method. Moreover, even if competitors do not actively promote their product for Kineta’s targeted indications, physicians may prescribe these products “off-label.” Although off-label prescriptions may infringe or contribute to the infringement of method of use patents, the practice is common and such infringement is difficult to prevent or prosecute.

The patent position of biotechnology and biopharmaceutical companies generally is highly uncertain, involves complex legal, scientific and factual questions and has in recent years been the subject of much litigation, resulting in court decisions, including Supreme Court decisions, which have increased uncertainties as to the ability to enforce patent rights in the future. The standards that the USPTO and its foreign counterparts use to grant patents are not always applied predictably or uniformly. In addition, the laws of foreign countries may not protect Kineta’s rights to the same extent as the laws of the United States, or vice versa.

The patent application process is subject to numerous risks and uncertainties, and there can be no assurance that Kineta or any of its potential future collaborators will be successful in protecting Kineta’s product candidates by obtaining and defending patents. For example, Kineta may not be aware of all third-party intellectual property rights potentially relating to Kineta’s product candidates or their intended uses, and as a result the impact of such third-party intellectual property rights upon the patentability of Kineta’s own patents and patent applications, as well as the impact of such third-party intellectual property upon Kineta’s freedom to operate, is highly uncertain. Patent applications in the United States and other jurisdictions are typically not published until 18 months after filing or, in some cases, not at all. Therefore, Kineta cannot know with certainty whether Kineta was the first to make the inventions claimed in its patents or pending patent applications, or that Kineta was the first to file for patent protection of such inventions. As a result, the issuance, inventorship, scope, validity, enforceability and commercial value of Kineta’s patent rights are highly uncertain. Kineta’s pending patent applications may be challenged in patent offices in the United States and abroad. The issuance of a patent is not conclusive as to its inventorship, ownership, scope, validity or enforceability. Even issued patents may later be found invalid or unenforceable or may be modified or revoked in proceedings instituted by third parties before various patent offices or in courts. For example, Kineta’s pending patent applications may be subject to third-party pre-issuance submissions of prior art to the USPTO or Kineta’s issued patents may be subject to post-grant review proceedings, oppositions, derivations, reexaminations, interference or inter partes review proceedings, in the United States or elsewhere, challenging Kineta’s patent rights or the patent rights of others. An adverse determination in any such challenges may result in loss of exclusivity or in patent claims being narrowed, invalidated, or held unenforceable, in whole or in part, which could limit Kineta’s ability to stop others from using or commercializing similar or identical technology and products, or limit the duration of the patent protection of Kineta’s technology and products. In addition, given the amount of time required for the development, testing and regulatory review of new product candidates, patents protecting such candidates might expire before or shortly after such candidates are commercialized. The degree of future protection for Kineta’s proprietary rights is uncertain. Only limited protection may be available and may not adequately protect Kineta’s rights or permit Kineta to gain or keep any competitive advantage. Any failure to obtain or maintain patent protection with respect to Kineta’s product candidates or their uses could have a material adverse effect on Kineta’s business, financial condition, results of operations and prospects.

In addition to the protection afforded by patents, Kineta relies on trade secret protection and confidentiality agreements to protect proprietary know-how that is not patentable, processes for which patents are difficult to enforce and any other elements of Kineta’s discovery and development processes that involve proprietary know-how, information or technology that is not covered by patents. Kineta may also rely on trade secret protection as temporary protection for concepts that may be included in a future patent filing. However, trade secret protection will not protect Kineta from innovations that a competitor develops independently of Kineta’s proprietary know how. If a competitor independently develops a technology that Kineta protects as a trade secret and files a patent application on that technology, then Kineta may not be able to patent that technology in the future, may require a license from the competitor to use Kineta’s own know-how, and if the license is not available on commercially viable terms, then Kineta may not be able to launch its product. Although Kineta requires all of its employees to assign their inventions to Kineta, and requires all of its employees, consultants, advisors and any third parties who have access to Kineta’s proprietary know-how, information or technology to enter into confidentiality agreements, Kineta cannot be certain that its trade secrets and other confidential proprietary information will not be disclosed or that competitors will not otherwise gain access to Kineta’s trade secrets or independently develop substantially equivalent information and techniques. Furthermore, the laws of some foreign countries do not protect proprietary rights to the same extent or in the same manner as the laws of the United States. As a result, Kineta may encounter significant problems in protecting and defending its intellectual property both in the United States and abroad. If Kineta is unable to prevent unauthorized material disclosure of its intellectual property to third parties, Kineta will not be able to establish or maintain a competitive advantage in Kineta’s market, and this scenario could materially adversely affect Kineta’s business, financial condition and results of operations.

Intellectual property rights do not necessarily address all potential threats to Kineta’s competitive advantage.

The degree of future protection afforded by Kineta’s intellectual property rights is uncertain because intellectual property rights have limitations and may not adequately protect Kineta’s business or permit Kineta to maintain its competitive advantage. For example:

others may be able to make product candidates that are the same as or similar to Kineta’s but that are not covered by the claims of the patents that Kineta owns or has exclusively licensed;
Kineta or its licensors or future collaborators might not have been the first to make the inventions covered by the issued patent or

 

78


 

pending patent application that Kineta owns or has exclusively licensed;
Kineta or its licensors or future collaborators might not have been the first to file patent applications covering certain of Kineta’s inventions;
others may independently develop similar or alternative technologies or duplicate any of Kineta’s technologies without infringing Kineta’s intellectual property rights;
it is possible that noncompliance with the USPTO and foreign governmental patent agencies requirement for a number of procedural, documentary, fee payment and other provisions during the patent process can result in abandonment or lapse of a patent or patent application, and partial or complete loss of patent rights in the relevant jurisdiction;
it is possible that Kineta’s pending patent applications will not lead to issued patents;
issued patents that Kineta owns or has exclusively licensed may be revoked, modified or held invalid or unenforceable, as a result of legal challenges by Kineta’s competitors;
Kineta’s competitors might conduct research and development activities in countries where Kineta does not have patent rights and then use the information learned from such activities to develop competitive products for sale in Kineta’s major commercial markets;
Kineta may not develop additional proprietary technologies that are patentable;
Kineta cannot predict the scope of protection of any patent issuing based on Kineta’s patent applications, including whether the patent applications that Kineta owns or in-licenses will result in issued patents with claims directed to Kineta’s product candidates or uses thereof in the United States or in other foreign countries;
there may be significant pressure on the U.S. government and international governmental bodies to limit the scope of patent protection both inside and outside the United States for disease treatments that prove successful, as a matter of public policy regarding worldwide health concerns;
countries other than the United States may have patent laws less favorable to patentees than those upheld by U.S. courts, allowing foreign competitors a better opportunity to create, develop and market competing product candidates;
the claims of any patent issuing based on Kineta’s patent applications may not provide protection against competitors or any competitive advantages, or may be challenged by third parties;
if enforced, a court may not hold that Kineta’s patents are valid, enforceable and infringed;
Kineta may need to initiate litigation or administrative proceedings to enforce and/or defend its patent rights which will be costly whether Kineta wins or loses;
Kineta may choose not to file a patent application in order to maintain certain trade secrets or know-how, and a third party may subsequently file a patent application covering such intellectual property;
Kineta may fail to adequately protect and police Kineta’s trademarks and trade secrets; and
the patents of others may have an adverse effect on Kineta’s business, including if others obtain patents claiming subject matter similar to or improving that covered by Kineta’s patents and patent applications.

Should any of these or similar events occur, they could significantly harm Kineta’s business, results of operations and prospects.

If Kineta fails to comply with its obligations imposed by any intellectual property licenses with third parties that Kineta may need in the future, Kineta could lose rights that are important to its business.

Kineta may in the future require licenses to third-party technology and materials. Such licenses may not be available in the future or may not be available on commercially reasonable terms, or at all, which could have a material adverse effect on Kineta’s business and financial condition. Kineta may rely on third parties from whom it licenses proprietary technology to file and prosecute patent applications and maintain patents and otherwise protect the intellectual property Kineta licenses from them. Kineta may have limited control over these activities or any other intellectual property that may be related to Kineta’s in-licensed intellectual property. For example, Kineta cannot be certain that such activities by these licensors will be conducted in compliance with applicable laws and regulations or will result in valid and enforceable patents and other intellectual property rights. Kineta may have limited control over the manner in which its licensors initiate an infringement proceeding against a third-party infringer of the intellectual property rights, or defend certain of the intellectual property that may be licensed to Kineta. It is possible that the licensors’ infringement proceeding or defense activities may be less vigorous than if Kineta conducts them itself. Even if Kineta acquires the right to control the prosecution, maintenance and enforcement of the licensed and sublicensed intellectual property relating to Kineta’s product candidates, Kineta may require the cooperation of its licensors and any upstream licensor, which may not be forthcoming. Therefore, Kineta cannot be certain that the prosecution, maintenance and enforcement of these patent rights will be in a manner consistent with the best interests of Kineta’s business. If Kineta or its licensor fails to maintain such patents, or if Kineta or its licensor loses rights to those patents or patent applications, the rights Kineta has licensed may be reduced or eliminated and Kineta’s right to develop and commercialize any of its product candidates that are the subject of such licensed rights could be adversely affected. In addition to the foregoing, the risks associated with patent rights that Kineta licenses from third parties will also apply to patent rights Kineta may own in the future. Further, if Kineta fails to comply with its diligence, development and commercialization timelines, milestone payments, royalties, insurance and other obligations under its license agreements, Kineta may lose its patent rights with respect to such

 

79


 

agreement, which would affect Kineta’s patent rights worldwide.

Termination of Kineta’s current or any future license agreements would reduce or eliminate Kineta’s rights under these agreements and may result in Kineta having to negotiate new or reinstated agreements with less favorable terms or cause Kineta to lose its rights under these agreements, including Kineta’s rights to important intellectual property or technology. Any of the foregoing could prevent Kineta from commercializing its other product candidates, which could have a material adverse effect on Kineta’s operating results and overall financial condition.

In addition, intellectual property rights that Kineta may in-license in the future may be sublicenses under intellectual property owned by third parties, in some cases through multiple tiers. The actions of Kineta’s licensors may therefore affect Kineta’s rights to use its sublicensed intellectual property, even if Kineta is in compliance with all of the obligations under its license agreements. Should Kineta’s licensors or any of the upstream licensors fail to comply with their obligations under the agreements pursuant to which they obtain the rights that are sublicensed to Kineta, or should such agreements be terminated or amended, Kineta’s ability to develop and commercialize its product candidates may be materially harmed.

Licensing of intellectual property is of critical importance to Kineta’s business and involves complex legal, business and scientific issues. If Kineta breaches its in-license agreements or any of the other agreements under which Kineta acquired, or will acquire, intellectual property rights covering Kineta’s product candidates, Kineta could lose the ability to continue the development and commercialization of the related product.

The licensing of intellectual property is of critical importance to Kineta’s business and to Kineta’s current and future product candidates, and Kineta expects to enter into additional such agreements in the future.

In particular, certain rights to the intellectual property covering Kineta’s product candidates are in-licensed from third parties. Kineta may acquire the rights to the intellectual property covering future product candidates from other third-party licensors.

If Kineta fails to meet its obligations under any of its in-license agreements, then the licensor may terminate the license agreement. If one of Kineta’s material in-license agreements is terminated, Kineta will lose the right to continue to develop and commercialize the product candidate(s) covered by such in-license agreement. While Kineta would expect to exercise all rights and remedies available to it, including seeking to cure any breach by Kineta, and otherwise seek to preserve Kineta’s rights under its in-license agreements, Kineta may not be able to do so in a timely manner, at an acceptable cost or at all.

In the future, Kineta may need to obtain additional licenses of third-party technology that may not be available to it or are available only on commercially unreasonable terms, and which may cause Kineta to operate its business in a more costly or otherwise adverse manner that was not anticipated.

Kineta currently owns or has the exclusive or non-exclusive rights to intellectual property directed to Kineta’s product candidates and other proprietary technologies, including Kineta’s development platform. Other pharmaceutical companies and academic institutions may also have filed or are planning to file patent applications potentially relevant to Kineta’s business. From time to time, in order to avoid infringing these third-party patents, Kineta may be required to license technology from additional third parties to further develop or commercialize Kineta’s product candidates. Should Kineta be required to obtain licenses to any third-party technology, including any such patents required to manufacture, use or sell Kineta’s product candidates, such licenses may not be available to Kineta on commercially reasonable terms, or at all. The inability to obtain any third-party license required to develop or commercialize any of Kineta’s product candidates could cause Kineta to abandon any related efforts, which could seriously harm Kineta’s business and operations.

The licensing or acquisition of third-party intellectual property rights is a competitive area, and several more established companies may pursue strategies to license or acquire third-party intellectual property rights Kineta may consider attractive or necessary. These established companies may have a competitive advantage over Kineta due to their size, capital resources and greater clinical development and commercialization capabilities. In addition, companies that perceive Kineta to be a competitor may be unwilling to assign or license rights to Kineta. Even if Kineta is able to obtain a license under such intellectual property rights, any such license may be non-exclusive, which may allow Kineta’s competitors to access the same technologies licensed to Kineta.

Moreover, some of Kineta’s owned and in-licensed patents or patent applications or future patents may be co-owned with third parties. If Kineta is unable to obtain an exclusive license to any such third-party co-owners’ interest in such patents or patent applications, such co-owners may be able to license their rights to other third parties, including Kineta’s competitors, and Kineta’s competitors could market competing products and technology. In addition, Kineta may need the cooperation of any such co-owners of Kineta’s patents in order to enforce such patents against third parties, and such cooperation may not be provided to Kineta. Furthermore, Kineta’s owned and in-licensed patents may be subject to a reservation of rights by one or more third parties. Any of the foregoing could have a material adverse effect on Kineta’s competitive position, business, financial conditions, results of operations and prospects.

If Kineta is sued for infringing intellectual property rights of third parties, such litigation could be costly and time consuming and could prevent or delay Kineta from developing or commercializing its product candidates.

Kineta’s commercial success depends, in part, on Kineta’s ability to develop, manufacture, market and sell its product candidates without infringing the intellectual property and other proprietary rights of third parties. Third parties may allege that Kineta has infringed, misappropriated or otherwise violated their intellectual property. Litigation or other legal proceedings relating to intellectual property claims, with or without merit, is

 

80


 

unpredictable and generally expensive and time consuming and, even if resolved in Kineta’s favor, is likely to divert significant resources from Kineta’s core business, including distracting Kineta’s technical and management personnel from their normal responsibilities. In addition, there could be public announcements of the results of hearings, motions or other interim proceedings or developments and if securities analysts or investors perceive these results to be negative, it could have a substantial adverse effect on the market price of Kineta’s common stock. Such litigation or proceedings could substantially increase Kineta’s operating losses and reduce the resources available for development activities or any future sales, marketing or distribution activities. Kineta may not have sufficient financial or other resources to adequately conduct such litigation or proceedings. Some of Kineta’s competitors may be able to sustain the costs of such litigation or proceedings more effectively than Kineta can because of their greater financial resources and more mature and developed intellectual property portfolios. Uncertainties resulting from the initiation and continuation of patent litigation or other proceedings could have a material adverse effect on Kineta’s ability to compete in the marketplace. In addition, patent holding companies that focus solely on extracting royalties and settlements by enforcing patent rights may target Kineta.

There is a substantial amount of intellectual property litigation in the biotechnology and pharmaceutical industries, and Kineta may become party to, or threatened with, litigation or other adversarial proceedings regarding intellectual property rights with respect to Kineta’s product candidates. Kineta cannot be certain that its product candidates and other proprietary technologies it may develop will not infringe existing or future patents owned by third parties. Third parties may assert infringement claims against Kineta based on existing or future intellectual property rights. If Kineta is found to infringe a third party’s intellectual property rights, Kineta could be forced, including by court order, to cease developing, manufacturing or commercializing the infringing candidate product or product. Alternatively, Kineta may be required to obtain a license from such third party in order to use the infringing technology and continue developing, manufacturing or marketing the infringing candidate product or product. However, Kineta may not be able to obtain any required license on commercially reasonable terms or at all. Even if Kineta were able to obtain a license, it could be non-exclusive, thereby giving Kineta’s competitors access to the same technologies licensed to Kineta. In addition, Kineta could be found liable for monetary damages, including treble damages and attorneys’ fees if Kineta is found to have willfully infringed a patent. A finding of infringement could prevent Kineta from commercializing its investigational products or force Kineta to cease some of its business operations, which could materially harm Kineta’s business. Claims that Kineta has misappropriated the confidential information or trade secrets of third parties could have a similar negative impact on Kineta’s business.

Kineta cannot guarantee that any of its or its licensors’ patent searches or analyses, including but not limited to the identification of relevant patents, analysis of the scope of relevant patent claims or determination of the expiration of relevant patents, are complete or thorough. Kineta may not be aware of patents that have already been issued and that a third party, for example, a competitor in the fields in which Kineta is developing its product candidates, might assert are infringed by Kineta’s current or future product candidates, including claims to compositions, formulations, methods of manufacture or methods of use or treatment that cover Kineta’s product candidates. It is also possible that patents owned by third parties of which Kineta is aware, but which Kineta does not believe are relevant to Kineta’s product candidates and other proprietary technologies Kineta may develop, could be found to be infringed by Kineta’s product candidate. In addition, because patent applications can take many years to issue, there may be currently pending patent applications that may later result in issued patents that Kineta’s product candidates may infringe. Additionally, pending patent applications that have been published can, subject to certain limitations, be later amended in a manner that could cover Kineta’s product candidates or the use of Kineta’s product candidates. Kineta’s determination of the expiration date of any patent in the United States, Europe or elsewhere that Kineta considers relevant may be incorrect, which may negatively impact Kineta’s ability to develop and market its product candidates.

Kineta’s competitors in both the United States and abroad, many of which have substantially greater resources and have made substantial investments in patent portfolios and competing technologies, may have applied for or obtained or may in the future apply for and obtain, patents that will prevent, limit or otherwise interfere with Kineta’s ability to make, use and sell Kineta’s product candidates. The pharmaceutical and biotechnology industries have produced a considerable number of patents, and it may not always be clear to industry participants, including Kineta, which patents cover various types of products or methods of use. The coverage of patents is subject to interpretation by the courts, and the interpretation is not always uniform. If Kineta were sued for patent infringement, it would need to demonstrate that its product candidates, products or methods either do not infringe the patent claims of the relevant patent or that the patent claims are invalid or unenforceable, and Kineta may not be able to do this. Proving invalidity may be difficult. For example, in the United States, proving invalidity in court requires a showing of clear and convincing evidence to overcome the presumption of validity enjoyed by issued patents, and there is no assurance that a court of competent jurisdiction would invalidate the claims of any such U.S. patent. Even if Kineta were successful in these proceedings, it may incur substantial costs and the time and attention of its management and scientific personnel could be diverted in pursuing these proceedings, which could have a material adverse effect on Kineta’s business and operations. Furthermore, because of the substantial amount of discovery required in connection with intellectual property litigation, there is a risk that some of Kineta’s confidential information could be compromised by disclosure during litigation. In addition, Kineta may not have sufficient resources to bring these actions to a successful conclusion.

Kineta may choose to challenge the enforceability or validity of claims in a third party’s U.S. patent by requesting that the USPTO review the patent claims in an ex-parte re-exam, inter partes review or post-grant review proceedings. These proceedings are expensive and may consume Kineta’s time or other resources. Kineta may choose to challenge a third party’s patent in patent opposition proceedings in the European Patent Office (the “EPO”), or other foreign patent office. The costs of these opposition proceedings could be substantial, and may consume Kineta’s time or other resources. If Kineta fails to obtain a favorable result at the USPTO, the EPO or other patent office then Kineta may be exposed to litigation by a third party alleging that the patent may be infringed by Kineta’s product candidates or proprietary technologies.

Kineta may become involved in lawsuits to protect or enforce its patents or other intellectual property, which could be expensive, time consuming and unsuccessful.

Competitors or other third parties may infringe Kineta’s patents, trademarks or other intellectual property. To counter infringement or unauthorized use, Kineta may be required to file infringement claims, which can be expensive and time consuming and divert the time and attention of Kineta’s

 

81


 

management and scientific personnel. Kineta’s pending patent applications cannot be enforced against third parties practicing the technology claimed in such applications unless and until a patent issues from such applications. Any claims Kineta asserts against perceived infringers could provoke these parties to assert counterclaims against Kineta alleging that Kineta infringes their patents, in addition to counterclaims asserting that Kineta’s patents are invalid or unenforceable, or both. In patent litigation in the United States, defendant counterclaims alleging invalidity or unenforceability are commonplace. Grounds for a validity challenge could be an alleged failure to meet any of several statutory requirements, including lack of novelty, obviousness, non-enablement or insufficient written description. Grounds for an unenforceability assertion could be an allegation that someone connected with prosecution of the patent withheld relevant information from the USPTO or made a misleading statement during prosecution. The outcome following legal assertions of invalidity and unenforceability is unpredictable. In any patent infringement proceeding, there is a risk that a court will decide that a patent of Kineta’s is invalid or unenforceable, in whole or in part, and that Kineta does not have the right to stop the other party from using the invention at issue. There is also a risk that, even if the validity of such patents is upheld, the court will construe the patent’s claims narrowly or decide that Kineta does not have the right to stop the other party from using the invention at issue on the grounds that Kineta’s patent claims do not cover the invention, or decide that the other party’s use of Kineta’s patented technology falls under the safe harbor to patent infringement under 35 U.S.C. §271(e)(1). An adverse outcome in a litigation or proceeding involving Kineta’s patents could limit Kineta’s ability to assert its patents against those parties or other competitors and may curtail or preclude Kineta’s ability to exclude third parties from making and selling similar or competitive products. Any of these occurrences could adversely affect Kineta’s competitive business position, business prospects and financial condition. Similarly, if Kineta asserts trademark infringement claims, a court may determine that the marks Kineta has asserted are invalid or unenforceable, or that the party against whom Kineta has asserted trademark infringement has superior rights to the marks in question. In this case, Kineta could ultimately be forced to cease use of such trademarks.

Even if Kineta establishes infringement, the court may decide not to grant an injunction against further infringing activity and instead award only monetary damages, which may or may not be an adequate remedy. Furthermore, because of the substantial amount of discovery required in connection with intellectual property litigation, there is a risk that some of Kineta’s confidential information could be compromised by disclosure during litigation. There could also be public announcements of the results of hearings, motions or other interim proceedings or developments. If securities analysts or investors perceive these results to be negative, it could have a material adverse effect on the price of shares of Kineta’s common stock. Moreover, Kineta cannot assure you that it will have sufficient financial or other resources to file and pursue such infringement claims, which typically last for years before they are concluded. Even if Kineta ultimately prevails in such claims, the monetary cost of such litigation and the diversion of the attention of Kineta’s management and scientific personnel could outweigh any benefit Kineta receives as a result of the proceedings.

Because of the expense and uncertainty of litigation, Kineta may not be in a position to enforce its intellectual property rights against third parties.

Because of the expense and uncertainty of litigation, Kineta may conclude that even if a third party is infringing Kineta’s issued patent, any patents that may be issued as a result of Kineta’s pending or future patent applications or other intellectual property rights, the risk-adjusted cost of bringing and enforcing such a claim or action may be too high or not in the best interest of Kineta or its stockholders. In such cases, Kineta may decide that the more prudent course of action is to simply monitor the situation or initiate or seek some other non-litigious action or solution.

Kineta may be subject to claims that its employees, consultants or independent contractors have wrongfully used or disclosed confidential information of third parties.

Kineta employs and may employ individuals who were previously employed at other biotechnology or pharmaceutical companies, including Kineta’s competitors or potential competitors. Although Kineta tries to ensure that its employees, consultants and advisors do not use the proprietary information or know-how of others in their work for Kineta, Kineta may be subject to claims that it or its employees, consultants or independent contractors have inadvertently or otherwise used or disclosed confidential information of Kineta’s employees’ former employers or other third parties. Kineta may also be subject to claims that former employers or other third parties have an ownership interest in Kineta’s future patents. Litigation may be necessary to defend against these claims. If Kineta fails in defending any such claims, in addition to paying monetary damages, Kineta may lose valuable intellectual property rights or personnel. There is no guarantee of success in defending these claims, and even if Kineta is successful, litigation could result in substantial cost and be a distraction to Kineta’s management and other employees.

 

82


 

Changes in patent law in the United States and other jurisdictions could diminish the value of patents in general, thereby impairing Kineta’s ability to protect its product candidates.

As is the case with other biopharmaceutical companies, Kineta’s success is heavily dependent on intellectual property, particularly patents. Obtaining and enforcing patents in the biopharmaceutical industry involves both technological and legal complexity and is therefore costly, time consuming and inherently uncertain. Changes in either the patent laws or interpretation of the patent laws in the United States could increase the uncertainties and costs, and may diminish Kineta’s ability to protect its inventions, obtain, maintain and enforce its intellectual property rights and, more generally, could affect the value of its intellectual property or narrow the scope of Kineta’s owned and licensed patents. Patent reform legislation in the United States and other countries, including the Leahy-Smith America Invents Act (the “Leahy-Smith Act”), signed into law on September 16, 2011, could increase those uncertainties and costs surrounding the prosecution of Kineta’s patent applications and the enforcement or defense of Kineta’s issued patents. The Leahy-Smith Act includes a number of significant changes to U.S. patent law. These include provisions that affect the way patent applications are prosecuted, redefine prior art and provide more efficient and cost-effective avenues for competitors to challenge the validity of patents. These include allowing third-party submission of prior art to the USPTO during patent prosecution and additional procedures to attack the validity of a patent by USPTO administered post-grant proceedings, including post-grant review, inter partes review and derivation proceedings. Further, because of a lower evidentiary standard in these USPTO post-grant proceedings compared to the evidentiary standard in United States federal courts necessary to invalidate a patent claim, a third party could potentially provide evidence in a USPTO proceeding sufficient for the USPTO to hold a claim invalid even though the same evidence would be insufficient to invalidate the claim if first presented in a district court action. Accordingly, a third party may attempt to use the USPTO procedures to invalidate Kineta’s patent claims that would not have been invalidated if first challenged by the third party as a defendant in a district court action. Thus, the Leahy-Smith Act and its implementation could increase the uncertainties and costs surrounding the prosecution of Kineta’s patent applications and the enforcement or defense of Kineta’s issued patents, all of which could have a material adverse effect on Kineta’s business, financial condition, results of operations and prospects.

After March 2013, under the Leahy-Smith Act, the United States transitioned to a first inventor to file system in which, assuming that the other statutory requirements are met, the first inventor to file a patent application will be entitled to the patent on an invention regardless of whether a third-party was the first to invent the claimed invention. A third party that files a patent application in the USPTO after March 2013, but before Kineta files an application covering the same invention, could therefore be awarded a patent covering an invention of Kineta’s even if Kineta had made the invention before it was made by such third party. This will require Kineta to be cognizant going forward of the time from invention to filing of a patent application, but circumstances could prevent Kineta from promptly filing patent applications on its inventions. Since patent applications in the United States and most other countries are confidential for a period of time after filing or until issuance, Kineta cannot be certain that it or its licensors were the first to either (i) file any patent application related to Kineta’s product candidates and other proprietary technologies Kineta may develop or (ii) invent any of the inventions claimed in Kineta’s or its licensor’s patents or patent applications. Even where Kineta has a valid and enforceable patent, Kineta may not be able to exclude others from practicing the claimed invention where the other party can show that they used the invention in commerce before Kineta’s filing date. Thus the Leahy-Smith Act and its implementation could increase the uncertainties and costs surrounding the prosecution of Kineta’s patent applications and the enforcement or defense of Kineta’s issued patents, all of which could have a material adverse effect on Kineta’s business, financial condition, results of operations and prospects.

In addition, the patent positions of companies in the development and commercialization of biologics and pharmaceuticals are particularly uncertain. The U.S. Supreme Court has ruled on several patent cases in recent years, either narrowing the scope of patent protection available in certain circumstances or weakening the rights of patent owners in certain situations. Depending on future actions by the U.S. Congress, the U.S. courts, the USPTO and the relevant law-making bodies in other countries, the laws and regulations governing patents could change in unpredictable ways that would weaken Kineta’s ability to obtain new patents or to enforce Kineta’s existing patents and patents that Kineta might obtain in the future. For example, in the 2013 case Assoc. for Molecular Pathology v. Myriad Genetics, Inc., the U.S. Supreme Court held that certain claims to DNA molecules are not patentable. While Kineta does not believe that any of the patents owned or licensed by it will be found invalid based on this decision, Kineta cannot predict how future decisions by the courts, the U.S. Congress or the USPTO may impact the value of Kineta’s patents.

Obtaining and maintaining patent protection depends on compliance with various procedural, document submissions, fee payment and other requirements imposed by governmental patent agencies, and Kineta’s patent protection could be reduced or eliminated for non-compliance with these requirements.

Periodic maintenance fees, renewal fees, annuities fees and various other governmental fees on patents and/or patent applications are due to be paid to the USPTO and foreign patent agencies in several stages over the lifetime of the patent and/or patent application. The USPTO and various foreign governmental patent agencies also require compliance with a number of procedural, documentary, fee payment and other similar provisions during the patent application process. While an inadvertent lapse, including due to the effect of a pandemic or other public health crises on Kineta or its patent maintenance vendors, can in many cases be cured by payment of a late fee or by other means in accordance with the applicable rules, there are situations in which noncompliance can result in abandonment or lapse of the patent or patent application, resulting in partial or complete loss of patent rights in the relevant jurisdiction. Non-compliance events that could result in abandonment or lapse of a patent or patent application include, but are not limited to, failure to respond to official actions within prescribed time limits, non-payment of fees and failure to properly legalize and submit formal documents. If Kineta fails to maintain the patents and patent applications covering its product candidates, Kineta’s competitive position would be adversely affected.

Patent terms may be inadequate to protect Kineta’s competitive position on its product candidates for an adequate amount of time.

The term of any individual patent depends on applicable law in the country where the patent is granted. In the United States, provided all maintenance fees are timely paid, a patent generally has a term of 20 years from its application filing date or earliest claimed non-provisional filing date. Extensions may be available under certain circumstances, but the life of a patent and, correspondingly, the protection it affords is limited. Even

 

83


 

if Kineta or its licensors obtain patents covering Kineta’s product candidates, when the terms of all patents covering a product expire, Kineta’s business may become subject to competition from competitive medications, including generic medications. Given the amount of time required for the development, testing and regulatory review and approval of new product candidates, patents protecting such candidates may expire before or shortly after such candidates are commercialized. As a result, Kineta’s owned and licensed patent portfolio may not provide Kineta with sufficient rights to exclude others from commercializing products similar or identical to Kineta’s.

If Kineta does not obtain patent term extension in the United States under the Drug Price Competition and Patent Term Restoration Act of 1984 (the “Hatch-Waxman Act”) and in foreign countries under similar legislation, thereby potentially extending the term of marketing exclusivity for its product candidates, Kineta’s business may be harmed.

In the United States, a patent that covers an FDA-approved drug or biologic may be eligible for a term extension designed to restore the period of the patent term that is lost during the premarket regulatory review process conducted by the FDA. Depending upon the timing, duration and conditions of FDA marketing approval of Kineta’s product candidates, one or more of Kineta’s U.S. patents may be eligible for limited patent term extension under the Hatch-Waxman Act, which permits a patent term extension of up to five years for a patent covering an approved product as compensation for effective patent term lost during product development and the FDA regulatory review process. A patent term extension cannot extend the remaining term of a patent beyond a total of 14 years from the date of product approval, and only claims covering such approved drug product, a method for using it or a method for manufacturing it may be extended. In Europe, Kineta’s product candidates may be eligible for term extensions based on similar legislation. In either jurisdiction, however, Kineta may not receive an extension if it fails to apply within applicable deadlines, fails to apply prior to expiration of relevant patents or otherwise fails to satisfy applicable requirements. Even if Kineta is granted such extension, the duration of such extension may be less than Kineta’s request. If Kineta is unable to obtain a patent term extension, or if the term of any such extension is less than Kineta’s request, the period during which Kineta can enforce its patent rights for that product will be in effect shortened and Kineta’s competitors may obtain approval to market competing products sooner. The resulting reduction of years of revenue from applicable products could be substantial.

Kineta enjoys only limited geographical protection with respect to certain patents and Kineta may not be able to protect its intellectual property rights throughout the world.

Filing, prosecuting and defending patents covering Kineta’s product candidates in all countries throughout the world would be prohibitively expensive, and even in countries where Kineta has sought protection for its intellectual property, such protection can be less extensive than those in the United States. The requirements for patentability may differ in certain countries, particularly developing countries, and the breadth of patent claims allowed can be inconsistent. In addition, the laws of some foreign countries do not protect intellectual property rights to the same extent as federal and state laws in the United States. In-licensing patents covering Kineta’s product candidates in all countries throughout the world may similarly be prohibitively expensive, if such opportunities are available at all. And in-licensing or filing, prosecuting and defending patents even in only those jurisdictions in which Kineta develops or commercializes its product candidates may be prohibitively expensive or impractical. Competitors may use Kineta’s and its licensors’ technologies in jurisdictions where Kineta has not obtained patent protection or licensed patents to develop their own products and, further, may export otherwise infringing products to territories where Kineta and its licensors have patent protection, but where enforcement is not as strong as that in the United States or Europe. These products may compete with Kineta’s product candidates, and Kineta or its licensors’ patents or other intellectual property rights may not be effective or sufficient to prevent them from competing.

The laws of some jurisdictions do not protect intellectual property rights to the same extent as the laws or regulations in the United States and Europe, and many companies have encountered significant difficulties in protecting and defending proprietary rights in such jurisdictions. Moreover, the legal systems of certain countries, particularly certain developing countries, do not favor the enforcement of patents, trade secrets or other forms of intellectual property, particularly those relating to biotechnology products, which could make it difficult for Kineta to prevent competitors in some jurisdictions from marketing competing products in violation of Kineta’s proprietary rights generally. Proceedings to enforce Kineta’s patent rights in foreign jurisdictions, whether or not successful, are likely to result in substantial costs and divert Kineta’s efforts and attention from other aspects of its business, and additionally could put at risk Kineta’s or its licensors’ patents of being invalidated or interpreted narrowly, could increase the risk of Kineta’s or its licensors’ patent applications not issuing, or could provoke third parties to assert claims against Kineta. Kineta may not prevail in any lawsuits that it initiates, while damages or other remedies may be awarded to the adverse party, which may be commercially significant. If Kineta prevails, damages or other remedies awarded to Kineta, if any, may not be commercially meaningful. Accordingly, Kineta’s efforts to enforce its intellectual property rights around the world may be inadequate to obtain a significant commercial advantage from the intellectual property that Kineta develops or licenses. Furthermore, while Kineta intends to protect its intellectual property rights in its expected significant markets, Kineta cannot ensure that it will be able to initiate or maintain similar efforts in all jurisdictions in which Kineta may wish to market its product candidates. Accordingly, Kineta’s efforts to protect its intellectual property rights in such countries may be inadequate, which may have an adverse effect on Kineta’s ability to successfully commercialize its product candidates in all of its expected significant foreign markets. If Kineta or its licensors encounter difficulties in protecting, or are otherwise precluded from effectively protecting, the intellectual property rights important for Kineta’s business in such jurisdictions, the value of these rights may be diminished and Kineta may face additional competition in those jurisdictions.

In some jurisdictions including European countries, compulsory licensing laws compel patent owners to grant licenses to third parties. In addition, some countries limit the enforceability of patents against government agencies or government contractors. In these countries, the patent owner may have limited remedies, which could materially diminish the value of such patent. If Kineta or any of its licensors are forced to grant a license to third parties under patents relevant to Kineta’s business, or if Kineta or its licensors are prevented from enforcing patent rights against third parties, Kineta’s competitive position may be substantially impaired in such jurisdictions.

 

84


 

Kineta may rely on trade secret and proprietary know-how which can be difficult to trace and enforce and, if Kineta is unable to protect the confidentiality of its trade secrets, its business and competitive position would be harmed.

In addition to seeking patents for some of its technology and current product candidates or any future product candidates, Kineta may also rely on trade secrets, including unpatented know-how, technology and other proprietary information, to maintain its competitive position. Elements of Kineta’s current product candidates or any future product candidates, including processes for their preparation and manufacture, as well as Kineta’s development platform, may involve proprietary know-how, information or technology that is not covered by patents, and thus for these aspects Kineta may consider trade secrets and know-how to be its primary intellectual property. Any disclosure, either intentional or unintentional, by Kineta’s employees, the employees of third parties with whom Kineta shares its facilities or third party consultants and vendors that Kineta engages to perform research, clinical trials or manufacturing activities, or misappropriation by third parties (such as through a cybersecurity breach) of Kineta’s trade secrets or proprietary information could enable competitors to duplicate or surpass Kineta’s technological achievements, thus eroding Kineta’s competitive position in its market.

Trade secrets and know-how can be difficult to protect. Kineta requires its employees to enter into written employment agreements containing provisions of confidentiality and obligations to assign to Kineta any inventions generated in the course of their employment. Kineta enters into written agreements that include confidentiality and intellectual property obligations to protect each party’s property, potential trade secrets, proprietary know-how and information. Kineta further seeks to protect its potential trade secrets, proprietary know-how and information in part by entering into non-disclosure and confidentiality agreements with parties who are given access to them, such as Kineta’s corporate collaborators, outside scientific collaborators, CROs, CMOs, consultants, advisors and other third parties. With Kineta’s consultants, contractors, and outside scientific collaborators, these agreements typically include invention assignment obligations. Despite these efforts, any of these parties may breach the agreements and disclose

Kineta’s proprietary information, including Kineta’s trade secrets, and Kineta may not be able to obtain adequate remedies for such breaches. Enforcing a claim that a party illegally disclosed or misappropriated a trade secret is difficult, expensive and time-consuming, and the outcome is unpredictable. In addition, some courts inside and outside the United States are less willing or unwilling to protect trade secrets. If any of Kineta’s trade secrets were to be lawfully obtained or independently developed by a competitor or other third party, Kineta would have no right to prevent them from using that technology or information to compete with Kineta. If any of Kineta’s trade secrets were to be disclosed to or independently developed by a competitor or other third party, Kineta’s competitive position would be harmed.

Kineta may become subject to claims challenging the inventorship or ownership of its patents and other intellectual property.

Kineta may be subject to claims that former employees, collaborators or other third parties have an interest in Kineta’s patents or other intellectual property as an inventor or co-inventor. The failure to name the proper inventors on a patent application can result in the patents issuing thereon being unenforceable. Inventorship disputes may arise from conflicting views regarding the contributions of different individuals named as inventors, the effects of foreign laws where foreign nationals are involved in the development of the subject matter of the patent, conflicting obligations of third parties involved in developing Kineta’s product candidates or as a result of questions regarding co-ownership of potential joint inventions. Litigation may be necessary to resolve these and other claims challenging inventorship and/or ownership. Alternatively, or additionally, Kineta may enter into agreements to clarify the scope of its rights in such intellectual property. If Kineta fails in defending any such claims, in addition to paying monetary damages, Kineta may lose valuable intellectual property rights, such as exclusive ownership of, or right to use, valuable intellectual property. Such an outcome could have a material adverse effect on Kineta’s business. Even if Kineta is successful in defending against such claims, litigation could result in substantial costs and be a distraction to management and other employees.

Kineta’s licensors may have relied on third-party consultants or collaborators or on funds from third parties, such as the U.S. government, such that Kineta’s licensors are not the sole and exclusive owners of the patents Kineta may in-license in the future. If other third parties have ownership rights or other rights to Kineta’s in-licensed patents, they may be able to license such patents to Kineta’s competitors, and Kineta’s competitors could market competing products and technology. This could have a material adverse effect on Kineta’s competitive position, business, financial conditions, results of operations and prospects.

In addition, while it is Kineta’s policy to require its employees and contractors who may be involved in the conception or development of intellectual property to execute agreements assigning such intellectual property to Kineta, Kineta may be unsuccessful in executing such an agreement with each party who, in fact, conceives or develops intellectual property that Kineta regards as its own. The assignment of intellectual property rights may not be self-executing, or the assignment agreements may be breached, and Kineta may be forced to bring claims against third parties, or defend claims that they may bring against Kineta, to determine the ownership of what Kineta regards as its intellectual property. Such claims could have a material adverse effect on Kineta’s business, financial condition, results of operations and prospects.

If Kineta’s trademarks and trade names are not adequately protected, then Kineta may not be able to build name recognition in Kineta’s markets of interest and its business may be adversely affected.

Kineta’s current or future trademarks or trade names may be challenged, infringed, circumvented or declared generic or descriptive or determined to be infringing on other marks. Kineta may not be able to protect its rights to these trademarks and trade names or may be forced to stop using these names, which Kineta needs for name recognition by potential partners or customers in Kineta’s markets of interest. During trademark registration proceedings, Kineta may receive rejections of its applications by the USPTO or in other foreign jurisdictions.

Although Kineta would be given an opportunity to respond to those rejections, Kineta may be unable to overcome such rejections. In addition, in the USPTO and in comparable agencies in many foreign jurisdictions, third parties are given an opportunity to oppose pending trademark applications

 

85


 

and to seek to cancel registered trademarks. Opposition or cancellation proceedings may be filed against Kineta’s trademarks, and Kineta’s trademarks may not survive such proceedings. If Kineta is unable to establish name recognition based on its trademarks and trade names, Kineta may not be able to compete effectively and Kineta’s business may be adversely affected. Kineta may license its trademarks and trade names to third parties, such as distributors. Although these license agreements may provide guidelines for how Kineta’s trademarks and trade names may be used, a breach of these agreements or misuse of Kineta’s trademarks and trade names by Kineta’s licensees may jeopardize Kineta’s rights in or diminish the goodwill associated with Kineta’s trademarks and trade names.

Moreover, any name Kineta has proposed to use with its product candidate in the United States must be approved by the FDA, regardless of whether Kineta has registered it, or applied to register it, as a trademark. Similar requirements exist in Europe. The FDA typically conducts a review of proposed product names, including an evaluation of potential for confusion with other product names. If the FDA (or an equivalent administrative body in a foreign jurisdiction) objects to any of Kineta’s proposed proprietary product names, Kineta may be required to expend significant additional resources in an effort to identify a suitable substitute name that would qualify under applicable trademark laws, not infringe the existing rights of third parties and be acceptable to the FDA. Furthermore, in many countries, owning and maintaining a trademark registration may not provide an adequate defense against a subsequent infringement claim asserted by the owner of a senior trademark. At times, competitors or other third parties may adopt trade names or trademarks similar to Kineta’s, thereby impeding Kineta’s ability to build brand identity and possibly leading to market confusion. In addition, there could be potential trade name or trademark infringement claims brought by owners of other registered trademarks or trademarks that incorporate variations of Kineta’s registered or unregistered trademarks or trade names. If Kineta asserts trademark infringement claims, a court may determine that the marks Kineta has asserted are invalid or unenforceable, or that the party against whom Kineta has asserted trademark infringement has superior rights to the marks in question. In this case, Kineta could ultimately be forced to cease use of such trademarks.

Numerous factors may limit any potential competitive advantage provided by Kineta’s intellectual property rights.

The degree of future protection afforded by Kineta’s intellectual property rights, whether owned or in-licensed, is uncertain because intellectual property rights have limitations and may not adequately protect Kineta’s business, provide a barrier to entry against Kineta’s competitors or potential competitors or permit Kineta to maintain its competitive advantage. Moreover, if a third party has intellectual property rights that cover the practice of Kineta’s technology, Kineta may not be able to fully exercise or extract value from Kineta’s intellectual property rights. The factors that may limit any potential competitive advantage provided by Kineta’s intellectual property rights include:

pending patent applications that Kineta owns or licenses may not lead to issued patents;
patents, should they issue, that Kineta owns or licenses, may not provide Kineta with any competitive advantages, or may be challenged and held invalid or unenforceable;
others may be able to develop and/or practice technology that is similar to Kineta’s technology or aspects of Kineta’s technology but that is not covered by the claims of any of Kineta’s owned or in-licensed patents, should any such patents issue;
third parties may compete with Kineta in jurisdictions where Kineta does not pursue and obtain patent protection;
Kineta (or its licensors) might not have been the first to make the inventions covered by a pending patent application that Kineta owns or licenses;
Kineta (or its licensors) might not have been the first to file patent applications covering a particular invention;
others may independently develop similar or alternative technologies without infringing Kineta’s intellectual property rights;
Kineta may not be able to obtain and/or maintain necessary licenses on reasonable terms or at all;
third parties may assert an ownership interest in Kineta’s intellectual property and, if successful, such disputes may preclude Kineta from exercising exclusive rights, or any rights at all, over that intellectual property;
Kineta may not be able to maintain the confidentiality of its trade secrets or other proprietary information;
Kineta may not develop or in-license additional proprietary technologies that are patentable; and
the patents of others may have an adverse effect on Kineta’s business.

Should any of these events occur, they could significantly harm Kineta’s business and results of operation.

General Risk Factors Related to Kineta

Kineta will incur significantly increased costs as a result of operating as a public company, and its management will be required to devote substantial time to new compliance initiatives.

Kineta began operating as a public company as a result of the Merger. As a public company, Kineta will incur significant legal, accounting, compliance and other expenses that it did not incur as a private company. In addition, the Sarbanes-Oxley Act of 2002 (the “Sarbanes-Oxley Act”), as well as rules subsequently implemented by the SEC, and Nasdaq have imposed various requirements on public companies. In July 2010, the Dodd-Frank Wall Street Reform and Consumer Protection Act (the “Dodd-Frank Act”) was enacted. There are significant corporate governance and executive compensation related provisions in the Dodd-Frank Act that require the SEC to adopt additional rules and regulations in these areas such as “say on pay” and proxy access. Stockholder activism, the current political environment and the current high level of government intervention and

 

86


 

regulatory reform may lead to substantial new regulations and disclosure obligations, which may lead to additional compliance costs and impact the manner in which Kineta operate its business in ways Kineta cannot currently anticipate. Kineta’s management and other personnel will need to devote a substantial amount of time to these compliance initiatives. Moreover, these rules and regulations will increase Kineta’s legal and financial compliance costs and will make some activities more time-consuming and costlier. For example, Kineta expects these rules and regulations to make it more difficult and more expensive for Kineta to obtain director and officer liability insurance and Kineta may be required to incur substantial costs to maintain its current levels of such coverage.

Failure to build Kineta’s finance infrastructure and improve its accounting systems and controls could impair Kineta’s ability to comply with the financial reporting and internal controls requirements for publicly traded companies.

As a public company, Kineta operates in an increasingly demanding regulatory environment, which requires Kineta to comply with the Sarbanes-Oxley Act, the regulations of Nasdaq, the rules and regulations of the SEC, expanded disclosure requirements, accelerated reporting requirements and more complex accounting rules. Company responsibilities required by the Sarbanes-Oxley Act include establishing corporate oversight and adequate internal control over financial reporting and disclosure controls and procedures. Effective internal controls are necessary for Kineta to produce reliable financial reports and are important to help prevent financial fraud. Kineta performed testing of its internal controls over financial reporting for the year ended December 31, 2023, as required by Section 404 of the Sarbanes-Oxley Act. Management determined that as of December 31, 2023, Kineta’s internal controls over financial reporting were effective. However, due to the identification of a material weakness during quarterly review for the six months ended June 30, 3023 and for the audit for the year ended December 31, 2023, Kineta is not able to conclude that its internal controls over financial reporting was effective during the full year ended December 31, 2023. Further, in connection with the audit of Kineta’s financial statements for the years ended December 31, 2022 and 2021, Kineta and its independent registered public accounting firm identified material weaknesses in Kineta’s internal control over financial reporting.

Kineta anticipates that the process of remediating the before mentioned material weaknesses in its internal control over financial reporting and building its accounting and financial functions and infrastructure will require significant additional professional fees, internal costs and management efforts. Kineta expects that it will need to implement a new internal system to combine and streamline the management of its financial, accounting, human resources and other functions. However, such a system would likely require Kineta to complete many processes and procedures for the effective use of the system or to run its business using the system, which may result in substantial costs. Any disruptions or difficulties in implementing or using such a system could adversely affect Kineta’s controls and harm Kineta’s business. Moreover, such disruption or difficulties could result in unanticipated costs and diversion of management attention. In addition, Kineta may discover weaknesses in its system of internal financial and accounting controls and procedures that could result in a material misstatement of Kineta’s financial statements. Kineta’s internal control over financial reporting will not prevent or detect all errors and all fraud.

If Kineta is not able to comply with the requirements of Section 404 of the Sarbanes-Oxley Act in a timely manner, or if Kineta is unable to maintain proper and effective internal controls, Kineta may not be able to produce timely and accurate financial statements. If Kineta cannot provide reliable financial reports or prevent fraud, its business and results of operations could be harmed, investors could lose confidence in Kineta’s reported financial information and Kineta could be subject to sanctions or investigations by Nasdaq, the SEC or other regulatory authorities.

Kineta’s disclosure controls and procedures may not prevent or detect all errors or acts of fraud.

Upon the completion of the Merger, Kineta became subject to the periodic reporting requirements of the Exchange Act. Kineta designed its disclosure controls and procedures to reasonably assure that information Kineta must disclose in reports it files or submits under the Exchange Act is accumulated and communicated to management, and recorded, processed, summarized and reported within the time periods specified in the rules and forms of the SEC. Kineta believes that any disclosure controls and procedures or internal controls and procedures, no matter how well-conceived and operated, can provide only reasonable, not absolute, assurance that the objectives of the control system are met.

These inherent limitations include the realities that judgments in decision-making can be faulty, and that breakdowns can occur because of simple error or mistake. For example, Kineta’s directors or executive officers could inadvertently fail to disclose a new relationship or arrangement causing Kineta to fail to make any related party transaction disclosures. Additionally, controls can be circumvented by the individual acts of some persons, by collusion of two or more people or by an unauthorized override of the controls. Accordingly, because of the inherent limitations in Kineta’s control system, misstatements due to error or fraud may occur and not be detected.

Future changes in financial accounting standards or practices may cause adverse and unexpected revenue fluctuations and adversely affect Kineta’s reported results of operations.

Future changes in financial accounting standards may cause adverse, unexpected revenue fluctuations and affect Kineta’s reported financial position or results of operations. Financial accounting standards in the United States are constantly under review and new pronouncements and varying interpretations of pronouncements have occurred with frequency in the past and are expected to occur again in the future. As a result, Kineta may be required to make changes in its accounting policies. Those changes could affect Kineta’s financial condition and results of operations or the way in which such financial condition and results of operations are reported. Kineta intends to invest resources to comply with evolving standards, and this investment may result in increased general and administrative expenses and a diversion of management time and attention from business activities to compliance activities.

 

87


 

Changes in tax laws or regulations that are applied adversely to Kineta or its customers may have a material adverse effect on Kineta’s business, cash flow, financial condition or results of operations.

New income, sales, use or other tax laws, statutes, rules, regulations or ordinances could be enacted at any time, which could adversely affect Kineta’s business operations and financial performance. For instance, the recently enacted Inflation Reduction Act imposes, among other rules, a 15% minimum tax on the book income of certain large corporations for tax years beginning after December 31, 2022 and a 1% excise tax on certain corporate stock repurchases made after December 31, 2022. Further, existing tax laws, statutes, rules, regulations, or ordinances could be interpreted, changed, modified, or applied adversely to Kineta. For example, the TCJA enacted many significant changes to the U.S. tax laws. Future guidance from the IRS and other tax authorities with respect to the TCJA may affect Kineta, and certain aspects of the TCJA could be repealed or modified in future legislation. For example, the Coronavirus Aid, Relief, and Economic Security Act modified certain provisions of the TCJA. In addition, it is uncertain if and to what extent various states will conform to the TCJA or any newly enacted federal tax legislation. Changes in corporate tax rates, the realization of net deferred tax assets relating to Kineta’s operations, the taxation of foreign earnings, and the deductibility of expenses under the TCJA or future reform legislation could have a material impact on the value of Kineta’s deferred tax assets, could result in significant one-time charges, and could increase Kineta’s future U.S. tax expense.

In addition, the presidential and congressional elections in the United States could also result in significant changes in, and uncertainty with respect to, tax legislation, regulation and government policy directly affecting Kineta and its business. For example, the United States government may enact significant changes to the taxation of business entities including, among others, a permanent increase in the corporate income tax rate, an increase in the tax rate applicable to the global intangible low-taxed income and elimination of certain exemptions, and the imposition of minimum taxes or surtaxes on certain types of income. The likelihood of these changes being enacted or implemented is unclear.

Unstable market and economic conditions may have serious adverse consequences on Kineta’s business, financial condition and stock price.

As a result of the COVID-19 pandemic and actions taken to slow its spread, the global credit and financial markets have experienced extreme volatility and disruptions, including severely diminished liquidity and credit availability, declines in consumer confidence, declines in economic growth, increases in unemployment rates and uncertainty about economic stability. There can be no assurance that further deterioration in credit and financial markets and confidence in economic conditions will not occur. Kineta’s general business strategy may be adversely affected by any such economic downturn, volatile business environment or continued unpredictable and unstable market conditions. If the current equity and credit markets deteriorate, it may make any necessary debt or equity financing more difficult, more costly and more dilutive. Failure to secure any necessary financing in a timely manner and on favorable terms could have a material adverse effect on Kineta’s growth strategy, financial performance and stock price and could require Kineta to delay or abandon clinical development plans. In addition, there is a risk that one or more of Kineta’s current service providers, manufacturers and other partners may not survive an economic downturn, which could directly affect Kineta’s ability to attain its operating goals on schedule and on budget.

Geopolitical developments, such as the Russian invasion of Ukraine, the conflict in Israel and the Gaza Strip or deterioration in the bilateral relationship between the United States and China, may impact government spending, international trade and market stability, and cause weaker macro-economic conditions. The impact of these developments, including any resulting sanctions, export controls or other restrictive actions that may be imposed against governmental or other entities in, for example, Russia, have in the past contributed and may in the future contribute to disruption, instability and volatility in the global markets, which in turn could adversely impact Kineta’s operations and weaken its financial results. Certain political developments may also lead to uncertainty to regulations and rules that may materially affect Kineta’s business.

Kineta’s internal information technology systems, or those of Kineta’s third-party CROs or other contractors or consultants, may fail or suffer security breaches, loss or leakage of data and other disruptions, which could result in a material disruption of Kineta’s product candidates’ development programs, compromise sensitive information related to Kineta’s business or prevent Kineta from accessing critical information, potentially exposing Kineta to liability or otherwise adversely affecting Kineta’s business.

Kineta is increasingly dependent upon information technology systems, infrastructure and data to operate its business. In the ordinary course of business, Kineta collects, stores and transmits confidential information (including but not limited to intellectual property, proprietary business information and personal information). It is critical that Kineta does so in a secure manner to maintain the confidentiality and integrity of such confidential information. Kineta has also outsourced elements of its operations to third parties, and as a result Kineta manages a number of third-party contractors who have access to Kineta’s confidential information.

Despite the implementation of security measures, given their size and complexity and the increasing amounts of confidential information that they maintain, Kineta’s internal information technology systems and those of its third-party CROs and other contractors and consultants are potentially vulnerable to breakdown or other damage or interruption from service interruptions, system malfunction, natural disasters, terrorism, war and telecommunication and electrical failures, as well as security breaches from inadvertent or intentional actions by Kineta’s employees, contractors, consultants, business partners and/or other third parties, or from cyber-attacks by malicious third parties (including the deployment of harmful malware, ransomware, extortion, account takeover attacks, degradation of service attacks, denial-of-service attacks, “phishing,” or social engineering and other means to affect service reliability and threaten the confidentiality, integrity and availability of information), which may compromise Kineta’s system infrastructure or lead to data leakage. Kineta has technology security initiatives and disaster recovery plans in place to mitigate its risk to these vulnerabilities, but these measures may not be adequately designed or implemented to ensure that Kineta’s operations are not disrupted or that data security breaches do not occur. To the extent that any disruption or security breach were to result in a loss of, or damage to, Kineta’s data or applications, or inappropriate disclosure of confidential or proprietary information, Kineta could incur liability and reputational damage.

Hackers and data thieves are increasingly sophisticated and operate large-scale and complex automated attacks which may remain undetected until

 

88


 

after they occur. Kineta cannot assure you that its data protection efforts and its investment in information technology will prevent significant breakdowns, data leakages, breaches in Kineta’s systems or other cyber incidents that could have a material adverse effect upon Kineta’s reputation, business, operations or financial condition. For example, if such an event were to occur and cause interruptions in Kineta’s operations, it could result in a material disruption of Kineta’s programs and the development of its product candidates could be delayed. In addition, the loss of clinical trial data for Kineta’s product candidates could result in delays in Kineta’s marketing approval efforts and significantly increase Kineta’s costs to recover or reproduce the data. Furthermore, significant disruptions of Kineta’s internal information technology systems or security breaches could result in the loss, misappropriation and/or unauthorized access, use or disclosure of, or the prevention of access to, confidential information (including trade secrets or other intellectual property, proprietary business information and personal information), which could result in financial, legal, business and reputational harm to Kineta. Like all businesses, Kineta may be increasingly subject to ransomware or other malware that could significantly disrupt its business operations, or disable or interfere with necessary access to essential data or processes. Numerous recent attacks of this nature have also involved exfiltration and disclosure of sensitive or confidential personal or proprietary information, or intellectual property, when victim companies have not paid the cyber criminals substantial ransom payments. For example, any such event that leads to unauthorized access, use, disclosure, unavailability or compromised integrity of personal or other sensitive or essential information, including personal information regarding Kineta’s clinical trial subjects or employees, could harm Kineta’s reputation directly, compel Kineta to comply with federal and/or state breach notification laws and foreign law equivalents, subject Kineta to mandatory corrective action, increase the costs Kineta incurs to protect against such information security breaches, such as increased investment in technology, render key personnel unable to perform duties or communicate throughout the organization and otherwise subject Kineta to fines and other liability under laws and regulations that protect the privacy and security of personal information, which could result in significant legal and financial exposure and reputational damages that could potentially have an adverse effect on Kineta’s business.

The costs of mitigating cybersecurity risks are significant and are likely to increase in the future. These costs include, but are not limited to, retaining the services of cybersecurity providers; compliance costs arising out of existing and future cybersecurity, data protection and privacy laws and regulations; and costs related to maintaining redundant networks, data backups and other damage-mitigation measures. Kineta also cannot be certain that its existing insurance coverage will continue to be available on acceptable terms or in amounts sufficient to cover the potentially significant losses that may result from a security incident or breach or that the insurer will not deny coverage of any future claim.

Kineta’s operations as a global company subject it to various risks, and Kineta’s failure to manage these risks could adversely affect its business, results of operations, cash flows, financial condition and/or prospects.

Kineta faces significant operational risks as a result of doing business globally, such as:

fluctuations in currency exchange rates;
potentially adverse tax consequences, including the complexities of foreign value-added tax systems, tax inefficiencies related to Kineta’s corporate structure and potential restrictions on the repatriation of earnings;
export restrictions, trade regulations and foreign tax laws;
customs clearance and shipping delays;
the burdens of complying with a wide variety of foreign laws and different legal standards; and
increased financial accounting and reporting burdens and complexities.

If one or more of these risks are realized, it could have a material adverse effect on Kineta’s business, results of operations, cash flows, financial condition and/or prospects.

Kineta or the third parties upon whom it depends may be adversely affected by earthquakes, fires or other natural disasters and Kineta’s business continuity and disaster recovery plans may not adequately protect Kineta from a serious disaster.

If earthquakes, fires, other natural disasters, terrorism and similar unforeseen events beyond Kineta’s control prevent it from using all or a significant portion of its headquarters or other facilities, it may be difficult or, in certain cases, impossible for Kineta to continue its business for a substantial period of time. Kineta does not have a disaster recovery or business continuity plan in place and may incur substantial expenses as a result of the absence or limited nature of Kineta’s internal or third-party service provider disaster recovery and business continuity plans, which could have a material adverse effect on Kineta’s business. In addition, the long-term effects of climate change on general economic conditions and the pharmaceutical manufacturing and distribution industry in particular are unclear, and changes in the supply, demand or available sources of energy and the regulatory and other costs associated with energy production and delivery may affect the availability or cost of goods and services, including raw materials and other natural resources, necessary to run Kineta’s business. Furthermore, certain parties in Kineta’s supply chain are operating from single sites, increasing their vulnerability to natural disasters or other sudden, unforeseen and severe adverse events. If such an event were to affect Kineta’s supply chain, it could have a material adverse effect on Kineta’s ability to conduct its clinical trials, its development plans and business.

Kineta is subject to certain U.S. and foreign anti-corruption, anti-money laundering, export control, sanctions, and other trade laws and regulations. Kineta can face serious consequences for violations.

U.S. and foreign anti-corruption, anti-money laundering, export control, sanctions, and other trade laws and regulations (collectively, “Trade Laws”) prohibit, among other things, companies and their employees, agents, CROs, legal counsel, accountants, consultants, contractors and other partners

 

89


 

from authorizing, promising, offering, providing, soliciting, or receiving directly or indirectly, corrupt or improper payments or anything else of value to or from recipients in the public or private sector. Violations of Trade Laws can result in substantial criminal fines and civil penalties, imprisonment, the loss of trade privileges, debarment, tax reassessments, breach of contract and fraud litigation, reputational harm and other consequences. Kineta has direct or indirect interactions with officials and employees of government agencies or government-affiliated hospitals, universities and other organizations. Kineta also expects to continue its non-U.S. activities, which may increase over time. Kineta expects to rely on third parties for research, preclinical studies and clinical trials and/or to obtain necessary permits, licenses, patent registrations and other marketing approvals. Kineta can be held liable for the corrupt or other illegal activities of its personnel, agents, or partners, even if Kineta does not explicitly authorize or have prior knowledge of such activities.

If Kineta or any CMOs and suppliers Kineta engages fail to comply with environmental, health and safety laws and regulations, Kineta could become subject to fines or penalties or incur costs that could have a material adverse effect on the success of Kineta’s business.

Kineta and any CMOs and suppliers it engages are subject to numerous federal, state and local environmental, health and safety laws, regulations and permitting requirements, including those governing laboratory procedures; the generation, handling, use, storage, treatment and disposal of hazardous and regulated materials and wastes; the emission and discharge of hazardous materials into the ground, air and water; and employee health and safety. Kineta’s operations involve the use of hazardous and flammable materials, including chemicals and biological and radioactive materials. Kineta’s operations also produce hazardous waste. Kineta generally contracts with third parties for the disposal of these materials and wastes. Kineta cannot eliminate the risk of contamination or injury from these materials. In the event of contamination or injury resulting from Kineta’s use of hazardous materials, Kineta could be held liable for any resulting damages, and any liability could exceed Kineta’s resources. Under certain environmental laws, Kineta could be held responsible for costs relating to any contamination at third-party facilities. Kineta could also incur significant costs associated with civil or criminal fines and penalties.

Compliance with applicable environmental laws and regulations may be expensive, and current or future environmental laws and regulations may impair Kineta’s research and product development efforts. In addition, Kineta cannot entirely eliminate the risk of accidental injury or contamination from these materials or wastes. Although Kineta maintains workers’ compensation insurance to cover it for costs and expenses it may incur due to injuries to its employees resulting from the use of hazardous materials, this insurance may not provide adequate coverage against potential liabilities. Kineta does not carry specific biological or hazardous waste insurance coverage, and Kineta’s property, casualty and general liability insurance policies specifically exclude coverage for damages and fines arising from biological or hazardous waste exposure or contamination. Accordingly, in the event of contamination or injury, Kineta could be held liable for damages or be penalized with fines in an amount exceeding its resources, and Kineta’s clinical trials or regulatory approvals could be suspended, which could have a material adverse effect on Kineta’s business, financial condition, results of operations and prospects.

In addition, Kineta may incur substantial costs in order to comply with current or future environmental, health and safety laws, regulations and permitting requirements. These current or future laws, regulations and permitting requirements may impair Kineta’s research, development or production efforts. Failure to comply with these laws, regulations and permitting requirements also may result in substantial fines, penalties or other sanctions or business disruption, which could have a material adverse effect on Kineta’s business, financial condition, results of operations and prospects.

Any third-party CMOs and suppliers Kineta engages will also be subject to these and other environmental, health and safety laws and regulations. Liabilities they incur pursuant to these laws and regulations could result in significant costs or an interruption in operations, which could have a material adverse effect on Kineta’s business, financial condition, results of operations and prospects.

Risks Related to Kineta’s Common Stock

The price of Kineta’s common stock may be volatile or may decline regardless of its operating performance.

The trading price of the common stock will be volatile and could be subject to wide fluctuations in response to various factors, some of which are beyond Kineta’s control. These factors include:

actual or anticipated fluctuations in operating results;
failure to meet or exceed financial estimates and projections of the investment community or that Kineta provides to the public;
issuance of new or updated research or reports by securities analysts or changed recommendations for the industry in general;
announcements of significant acquisitions, strategic partnerships, joint ventures, collaborations or capital commitments;
operating and share price performance of other companies in the industry or related markets;
the timing and magnitude of investments in the growth of the business;
actual or anticipated changes in laws and regulations;
additions or departures of key management or other personnel;
increased labor costs;
disputes or other developments related to intellectual property or other proprietary rights, including litigation;

 

90


 

the ability to market new and enhanced solutions on a timely basis;
sales of substantial amounts of common stock by Kineta’s directors, executive officers or significant stockholders or the perception that such sales could occur;
changes in capital structure, including future issuances of securities or the incurrence of debt; and
general economic, political and market conditions.

In addition, the stock market in general, and the stock prices of bio-pharmaceutical and biotechnology companies in particular, have experienced extreme price and volume fluctuations that have often been unrelated or disproportionate to the operating performance of those companies. Broad market and industry factors may seriously affect the market price of common stock, regardless of actual operating performance. In addition, in the past, following periods of volatility in the overall market and the market price of a particular company’s securities, securities class action litigation has often been instituted against these companies. This litigation, if instituted, could result in substantial costs and a diversion of management’s attention and resources.

Kineta does not intend to pay cash dividends in the foreseeable future.

Kineta currently intends to retain any future earnings to fund the growth of its business. Any determination to pay dividends in the future will be at the discretion of the Board of Directors of Kineta (the “Board”) and will depend on Kineta’s financial condition, operating results, capital requirements, general business conditions and other factors that the Board may deem relevant. As a result, capital appreciation, if any, of Kineta’s common stock will be the sole source of gain for the foreseeable future.

Kineta’s amended and restated bylaws contain exclusive forum provisions, which may limit a stockholder’s ability to bring a claim in a judicial forum it finds favorable and may discourage lawsuits with respect to such claims.

Kineta’s fourth amended and restated bylaws provide that, unless Kineta consents in writing to an alternative forum, the Court of Chancery of the State of Delaware will be the sole and exclusive forum for the following types of actions or proceedings under Delaware statutory or common law: (1) any derivative action or proceeding brought on Kineta’s behalf; (2) any action or proceeding asserting a claim of breach of a fiduciary duty owed by any of Kineta’s current or former directors, officers or other employees to Kineta or its stockholders; (3) any action or proceeding asserting a claim against Kineta or any of its current or former directors, officers, employees arising out of or pursuant to any provision of the DGCL, Kineta’s amended and restated certificate of incorporation or Kineta’s amended and restated bylaws (each as may be amended from time to time); (4) any action or proceeding to interpret, apply, enforce or determine the validity of Kineta’s amended and restated certificate of incorporation or Kineta’s amended and restated bylaws (including any right, obligation, or remedy thereunder); (5) any action or proceeding as to which the DGCL confers jurisdiction to the Court of Chancery of the State of Delaware; and (6) any action or proceeding asserting a claim against Kineta or any director, officer or other employee, governed by the internal affairs doctrine (the “Delaware Forum Provision”). The Delaware Forum Provision will not apply to any causes of action arising under the Securities Act, the Exchange Act or for which the federal courts have exclusive jurisdiction.

Kineta’s fourth amended and restated bylaws further provide that, unless Kineta consents in writing to an alternative forum, the federal district courts of the United States of America will be the exclusive forum for resolving any complaint asserting a cause of action arising under the Securities Act (the “Federal Forum Provision”). In addition, Kineta’s fourth amended and restated bylaws provide that any person or entity holding, owning or otherwise acquiring any interest in shares of Kineta’s capital stock is deemed to have notice of and consented to the foregoing Delaware Forum Provision and the Federal Forum Provision.

The Delaware Forum Provision and the Federal Forum Provision may impose additional litigation costs on stockholders in pursuing the claims identified above, particularly if the stockholders do not reside in or near the State of Delaware. Additionally, the Delaware Forum Provision and the Federal Forum Provision may limit a stockholder’s ability to bring a claim in a judicial forum that it finds favorable for disputes with Kineta or its directors, officers or other employees, which may discourage such lawsuits against Kineta and its directors, officers and other employees. Alternatively, if a court were to find the Delaware Forum Provision and the Federal Forum Provision to be inapplicable or unenforceable in an action, Kineta may incur additional costs associated with resolving such action in other jurisdictions, which could adversely affect Kineta’s business and financial condition. The Court of Chancery of the State of Delaware may also reach different judgments or results than would other courts, including courts where a stockholder considering an action may be located or would otherwise choose to bring the action, and such judgments may be more or less favorable to Kineta than its stockholders.

Kineta may issue a substantial number of additional shares of common stock under an employee incentive plan. Any such issuances would dilute the interest of Kineta’s stockholders and likely present other risks.

Kineta may issue additional shares of common stock under an employee incentive plan. The issuance of additional common stock:

may significantly dilute the equity interests of Kineta’s investors;
could cause a change in control if a substantial number of shares of common stock are issued, which may affect, among other things, Kineta’s ability to use its NOL carry forwards, if any, and could result in the resignation or removal of Kineta’s present officers and directors; and
may adversely affect prevailing market prices for the common stock.

 

91


 

An active trading market for Kineta’s common stock may not be sustained.

Although Kineta’s common stock is listed on The Nasdaq Capital Market, an active trading market for Kineta’s shares may never be sustained. If an active market for Kineta’s common stock is not sustained, it may be difficult for you to sell shares you purchased without depressing the market price for the shares, or at all.

An inactive trading market may also impair Kineta’s ability to raise capital to continue to fund operations by selling additional shares and may impair Kineta’s ability to acquire other companies or technologies by using its shares as consideration.

Kineta’s failure to meet the continued listing requirements of Nasdaq could result in a delisting of its common stock.

 

On June 27, 2023, Kineta received written notice from the Listing Qualifications Department of Nasdaq stating that Kineta was not in compliance with Nasdaq Listing Rule 5550(b)(2) because Kineta did not maintain a minimum Market Value of Listed Securities of at least $35 million for the last 30 consecutive business days. On August 15, 2023, Kineta received written notice from the Listing Qualifications Department of Nasdaq notifying Kineta that, based on its Quarterly Report on Form 10-Q for the quarter ended June 30, 2023, Kineta had regained compliance with the alternative standard under Nasdaq Listing Rule 5550(b)(1).

If in the future Kineta fails to satisfy the continued listing requirements of Nasdaq, such as the corporate governance requirements, the market value standard or the minimum closing bid price requirement, Nasdaq may take steps to delist its common stock. Such a delisting would likely have a negative effect on the price of Kineta’s common stock and would impair Kineta’s stockholders’ ability to sell or purchase its common stock when they wish to do so. Delisting of Kineta’s common stock could depress Kineta’s stock price, substantially limit liquidity of Kineta’s common stock and materially adversely affect Kineta’s ability to raise capital on terms acceptable to Kineta, or at all. Further, delisting of the common stock would likely result in the common stock becoming a “penny stock” under the Exchange Act. In the event of non-compliance with the continued listing requirements or the delisting of Kineta’s common stock, Kineta can provide no assurance that any action taken by Kineta to restore compliance with listing requirements would allow its common stock to become listed again, stabilize the market price or improve the liquidity of its common stock, prevent its common stock from dropping below the Nasdaq minimum bid price requirement or prevent future non-compliance with Nasdaq’s listing requirements.

Future sales of shares by existing stockholders and future exercise of registration rights may adversely affect the market price of Kineta’s common stock.

Sales of a substantial number of shares of Kineta’s common stock in the public market, or the perception that such sales could occur, could adversely affect the market price of Kineta’s common stock and may make it more difficult for you to sell your shares of Kineta’s common stock at a time and price that you deem appropriate. Kineta is unable to predict what effect, if any, sales of its shares in the public market or the availability of shares for sale will have on the market price of its common stock. Moreover, as restrictions on resale end, the market price of Kineta’s shares of common stock could decline if the holders of currently restricted shares sell them or are perceived by the market as intending to sell them.

Kineta could be subject to securities class action litigation.

In the past, securities class action litigation has often been brought against a company following a decline in the market price of its securities. This risk is especially relevant for Kineta because biotechnology and pharmaceutical companies have experienced significant stock price volatility in recent years. If Kineta faces such litigation, it could result in substantial costs and a diversion of management’s attention and resources, which could harm Kineta’s business.

If securities or industry analysts do not publish or cease publishing research or reports about Kineta, its business or its market, or if they change their recommendations regarding the common stock adversely, the price and trading volume of the common stock could decline.

The trading market for the common stock will be influenced by the research and reports that industry or securities analysts may publish about Kineta, its business, its market or its competitors. If any of the analysts who may cover Kineta change their recommendation regarding the common stock adversely, or provide more favorable relative recommendations about its competitors, the price of the common stock would likely decline. If any analyst who may cover Kineta were to cease their coverage or fail to regularly publish reports on Kineta, we could lose visibility in the financial markets, which could cause the stock price or trading volume of Kineta securities to decline.

Item 1B. Unresolved Staff Comments.

None.

 

 

Item 1C. Cybersecurity.

 

Cybersecurity Risk Management and Strategy

 

We recognize the importance of assessing, identifying, and managing material risks associated with cybersecurity threats, as such term is defined in Item 106(a) of Regulation S-K. These risks include, among other things, operational risks; intellectual property theft; fraud; extortion; harm to

 

92


 

employees or customers; violation of privacy or security laws and other litigation and legal risk; and reputational risks. We have implemented several cybersecurity processes, technologies, and controls to aid in our efforts to assess, identify, and manage such material risks.

 

Our process for identifying and assessing material risks from cybersecurity threats operates alongside our broader overall risk assessment process, covering all company risks. As part of this process, appropriate disclosure personnel will collaborate with subject matter specialists, as necessary, to gather insights for identifying and assessing material cybersecurity threat risks, their severity, and potential mitigations.

 

We also have a cybersecurity specific risk assessment process, which helps identify our cybersecurity threat risks. As part of this process, and our processes to provide for the availability of critical data and systems, maintain regulatory compliance, identify and manage our risks from cybersecurity threats, and to protect against, detect, and respond to cybersecurity incidents, as such term is defined in Item 106(a) of Regulation S-K, we undertake the below listed activities, among others:

 

closely monitor emerging data protection laws and implement changes to our processes designed to comply;
undertake regular reviews of our consumer facing policies and statements related to cybersecurity;
proactively inform our customers of substantive changes related to customer data handling;
conduct annual customer data handling and use requirements training for all our employees;
conduct annual cybersecurity management and incident training for employees involved in our systems and processes that handle sensitive data;
conduct regular phishing email simulations for all employees and all contractors with access to corporate email systems to enhance awareness and responsiveness to such possible threats;
through policy, practice and contract (as applicable) require employees, as well as third parties who provide services on our behalf, to treat customer information and data with care;
conduct regular network monitoring, vulnerability assessments, and penetration testing to improve our information systems, as such term is defined in Item 106(a) of Regulation S-K);
carry information security risk insurance that provides protection against the potential losses arising from a cybersecurity incident; and
conduct annual training with all employees on our security standards and requirements.

 

In the event of a cybersecurity incident, we will coordinate with our third-party cybersecurity advisor to prepare for, detect, respond to and recover from cybersecurity incidents, which include processes to triage, assess severity for, escalate, contain, investigate, and remediate the incident, as well as to comply with potentially applicable legal obligations and mitigate brand and reputational damage.

 

As part of the above processes, we regularly engage with assessors, consultants, auditors, and other third parties, including by regularly having a third party review our cybersecurity program to help identify areas for continued focus, improvement and/or compliance.

 

Our internal processes also address cybersecurity threat risks associated with our use of third-party service providers, including those in our supply chain or who have access to our customer and employee data or our systems. We determine an overall risk assessment of potential cybersecurity issues with our third-party suppliers. In addition, cybersecurity considerations affect the selection and oversight of our third-party service providers. Additionally, if appropriate, we require those third parties that could introduce significant cybersecurity risk to us to agree by contract to manage their cybersecurity risks in specified ways, and to agree to be subject to cybersecurity audits, which we conduct as appropriate.

 

 

Cybersecurity Governance

 

Cybersecurity is an important part of our risk management processes and an area of increasing focus for our Board and management.

 

Our audit committee is responsible for the oversight of risks from cybersecurity threats. At least annually, the audit committee receives an overview from management of our cybersecurity threat risk management and strategy processes covering topics such as data security posture, results from third-party assessments, progress towards pre-determined risk-mitigation-related goals, our incident response plan, and material cybersecurity threat risks or incidents and developments, as well as the steps management has taken to respond to such risks. In such sessions, the audit committee generally receives materials including a cybersecurity scorecard and other materials indicating current and emerging material cybersecurity threat risks, and describing the Company’s ability to mitigate those risks, and discusses such matters with certain members of management, which include our CFO and President. Members of the audit committee are also encouraged to regularly engage in ad hoc conversations with management on cybersecurity-related news events and discuss any updates to our cybersecurity risk management and strategy programs. Material cybersecurity threat risks are also considered during separate Board meeting discussions of important matters like risk management, operational budgeting, business continuity planning, mergers and acquisitions, brand management, and other relevant matters.

 

Our cybersecurity risk management and strategy processes, which are discussed in greater detail above, are led by our President. Such individual completed a certificate program with Stanford University on Foundations of Information Security in the first quarter of 2024. In addition, he has over 20 years of executive responsibility for managing public company IT operations, including managing information security, developing cybersecurity

 

93


 

strategy, implementing effective information and cybersecurity programs and deployment of internal training and company technology standards. This member of management is informed about and monitors the prevention, mitigation, detection, and remediation of cybersecurity incidents through his management of, and participation in, the cybersecurity risk management and strategy processes described above, including the operation of our incident response plan.

 

As discussed above, this member of management reports to the audit committee about cybersecurity threat risks, among other cybersecurity related matters.

Item 2. Properties.

Kineta occupies approximately 14,870 square feet of office and laboratory space (1,850 square feet of which is subleased to another biotech company) in Seattle, Washington under a lease that expires in July 2024. Kineta has an option to renew for two additional five-year terms. Kineta believes that its current facilities are adequate for its current needs and that suitable additional or substitute space at commercially reasonable terms will be available as needed to accommodate any future expansion of Kineta’s operations.

On March 20, 2024, Kineta filed a complaint in the Court of Chancery of the State of Delaware against Growth & Value Development Inc. (“GVDI”), alleging breach of contract in connection with GVDI’s recent repudiation of its obligation to provide a substantial tranche of funding for Kineta as required under the Securities Purchase Agreement. The complaint provides that Kineta will seek specific performance of GVDI’s obligations under the Securities Purchase Agreement and damages equal to the amount of the unpaid funding and any damages resulting from GVDI’s breach.

 

Except as disclosed in the preceding paragraph, Kineta is currently not a party to any other material legal proceedings. From time to time, however, Kineta may be a party to litigation or subject to claims incident to the ordinary course of business. Although the results of litigation and claims cannot be predicted with certainty, Kineta currently believes that the final outcome of these ordinary course matters will not have a material adverse effect on Kineta’s business. Regardless of the outcome, litigation can have an adverse impact on Kineta because of defense and settlement costs, diversion of management resources and other factors.

Item 4. Mine Safety Disclosures

Not applicable.

 

94


 

PART II

Item 5. Market for Registrant’s Common Equity, Related Stockholder Matters and Issuer Purchases of Equity Securities.

 

Certain Information Regarding the Trading of Our Common Stock

Our common stock has traded on The Nasdaq Capital Market under the symbol “KA” since December 19, 2022. From December 23, 2020 to December 18, 2022, our common stock was listed on The Nasdaq Capital Market under the symbol “YMTX”. Prior to December 23, 2020, our common stock was listed on The Nasdaq Global Market under the symbol “PTI”.

Holders of Our Common Stock

As of March 18, 2024, there were 270 holders of record of shares of our common stock. This number does not include stockholders for whom shares are held in “nominee” or “street” name.

Dividends

On December 14, 2022, pursuant to the Asset Purchase Agreement (the “Asset Purchase Agreement”) by and between Yumanity and Janssen Pharmaceutica NV (“Janssen”), Yumanity sold to Janssen (such transaction, the “Asset Sale”) all of its rights, title and interest in and to clinical-stage product candidate YTX-7739 as well Yumanity’s unpartnered pre-clinical and discovery-stage product candidates and related intellectual property rights for a purchase price of $26.0 million in cash. In connection with the Asset Sale, on December 19, 2022, the Company distributed $15.5 million in remaining available cash proceeds from the Asset Sale, net of net cash requirements associated with the closing of the Merger and amounts retained for outstanding obligations, to stockholders of record as of the close of business on December 15, 2022, via a one-time dividend (the “Distribution”). Other than this Distribution, we anticipate that we will retain all of our future earnings to advance the clinical trials and preclinical studies for our products and to finance the operation of our business and do not anticipate declaring or paying any cash dividends on our capital stock in the foreseeable future. Any future determination to declare and pay cash dividends, if any, will be made at the discretion of our board of directors and will depend on a variety of factors, including applicable laws, our financial condition, results of operations, contractual restrictions, capital requirements, business prospects, general business or financial market conditions, and other factors our board of directors may deem relevant.

Securities Authorized for Issuance Under Equity Compensation Plans

The information required by Item 5 of Form 10-K regarding equity compensation plans is incorporated herein by reference to Item 12 of Part III of this Annual Report.

Recent Sales of Unregistered Securities

In connection and concurrently with the execution of the Merger Agreement, on June 5, 2022, we entered into a financing agreement, as amended on October 24, 2022, December 5, 2022, March 29, 2023, May 1, 2023, July 21, 2023 and October 13, 2023 (such financing agreement, as amended, the “Securities Purchase Agreement”), to sell shares of our common stock in a private placement (the “Private Placement”). The first closing of the Private Placement occurred on December 16, 2022 and we issued 649,346 shares of our common and received net proceeds of $7.4 million. The second closing of the Private Placement for an aggregate purchase price of $22.5 million was expected to occur on April 15, 2024. However, in February 2024, certain investors indicated they will not be able to consummate the second closing of the Private Placement.

Item 6. Reserved

 

 

 

95


 

Item 7. Management’s Discussion and Analysis of Financial Condition and Results of Operations.

 

The following discussion and analysis of our financial condition and results of operations should be read in conjunction with our consolidated financial statements and related notes appearing at the end of this Annual Report on Form 10-K. Some of the information contained in this discussion and analysis or set forth elsewhere in this Annual Report on Form 10-K, including information with respect to our plans and strategy for our business, includes forward-looking statements that involve risks and uncertainties. As a result of many factors, including those factors set forth in the “Risk Factors” section of this Annual Report on Form 10-K, our actual results could differ materially from the results described in, or implied by, the forward-looking statements contained in the following discussion and analysis.

Overview

 

On February 29, 2024, we announced that we had completed a review of our business, including the status of our programs, resources and

capabilities. Following this review, we determined that we would implement a significant corporate restructuring to substantially reduce expenses and preserve cash. The restructuring included a reduction in our workforce by approximately 64% and the termination of enrollment of new patients in our ongoing VISTA-101 Phase 1/2 clinical trial evaluating KVA12123 in patients with advanced solid tumors. Patients currently enrolled in the trial will be permitted to continue to participate. We have made this decision, in part, because certain investors have indicated they will not be able to fulfill their contractual obligation to consummate the Private Placement (as defined below).

 

Due to the fact that we are unable to consummate the Private Placement, management and the Board has determined that it was in the best interests of the stockholders to seek a strategic alternative so that we could continue to operate. If the strategic process is unsuccessful, the Board may decide to pursue a liquidation or obtain relief under the US Bankruptcy Code.

 

The Company cautions that trading in the Company’s securities is highly speculative and poses substantial risks. Trading prices for the Company’s securities may bear little or no relationship to the actual value realized, if any, by holders of the Company’s securities. In the event of liquidation, bankruptcy or other wind-down event, holders of our securities will likely suffer a total loss of their investment. Accordingly, the Company urges extreme caution with respect to existing and future investments in its securities.

 

We are a clinical-stage biotechnology company with a mission to develop next-generation immunotherapies that transform patients’ lives. We have leveraged our expertise in innate immunity and are focused on discovering and developing potentially differentiated immunotherapies that address the mechanisms of cancer immune resistance:

Immunosuppression;
Exhausted T cells; and
Poor tumor immunogenicity

Our pipeline of next-generation immunotherapies includes (i) KVA12123, a monoclonal antibody (“mAb”) immunotherapy targeting VISTA (V-domain Ig suppressor of T cell activation) and (ii) an anti-CD27 agonist mAb immunotherapy. These novel immunotherapies have the potential to address disease areas with unmet medical needs and significant commercial potential.

KVA12123 is a VISTA blocking immunotherapy in development as an intravenous infusion dosed every two weeks. We dosed the first patient in a Phase 1/2 clinical trial of KVA12123 in the United States in April 2023. The ongoing Phase 1/2 clinical study is designed to evaluate KVA12123 as a monotherapy and in combination with the immune checkpoint inhibitor pembrolizumab in patients with advanced solid tumors. Initial monotherapy safety, pharmacokinetic and biomarker data were presented at the Society for Immunotherapy of Cancer’s (SITC) annual meeting in November 2023. KVA12123 was designed to be a differentiated VISTA blocking immunotherapy to address the problem of immunosuppression in the TME. It is a fully human engineered IgG1 monoclonal antibody that binds to VISTA through a unique epitope and across neutral and acidic pHs. KVA12123 may be an effective immunotherapy for many types of cancer, including non-small cell lung cancer (“NSCLC”), colorectal cancer (“CRC”), ovarian cancer (“OC”), renal cell carcinoma (“RCC”) and head and neck squamous cell carcinoma (“HNSCC”). These indications represent a significant unmet medical need with a large worldwide commercial opportunity for KVA12123.

We are also developing an anti-CD27 agonist mAb immunotherapy to address the problem of exhausted T cells. The nominated lead candidate is a fully human mAb that demonstrates nanomolar (“nM”) binding affinity to CD27 in humans. In preclinical studies, our lead anti-CD27 candidate demonstrated antitumor efficacy as a single agent and in combination with other immunotherapies in multiple solid and hematological preclinical tumor models. CD27 is a clinically validated target that may be an effective immunotherapy for advanced solid tumors including RCC, CRC and OC. We continue to conduct preclinical studies to optimize its lead anti-CD27 agonist mAb clinical candidate and to evaluate it in combination with other checkpoint inhibitors.

 

According to Market Data Forecast, the immuno-oncology market generated sales of approximately $111 billion in 2023 and is forecast to reach $201 billion in 2028. If we successfully complete the clinical trial program for KVA12123 and if we subsequently obtain regulatory approval for KVA12123, we will focus on initial target indications in NSCLC, CRC and OC. Initially the clinical development of KVA12123 will be as a second-line therapy in these indications. These three cancer therapy segments represent a forecasted $48 billion market opportunity in 2027 according to GlobalData.

 

 

96


 

We are a leader in the field of innate immunity and are focused on developing potentially differentiated immunotherapies. With KVA12123 in clinical development and the lead anti-CD27 agonist mAb in preclinical development, we believe we are positioned to achieve multiple value-driving catalysts. We have assembled an experienced management team, a seasoned research and clinical team, an immuno-oncology focused scientific advisory board, and a leading intellectual property position to advance our pipeline of potential novel immunotherapies for cancer patients.

Since our inception in 2007, we have devoted substantially all of our resources to raising capital, licensing certain technology and intellectual property rights, identifying and developing potential product candidates, conducting research and development activities, including preclinical studies and clinical trials, organizing and staffing operations and providing general and administrative support for these operations.

We have no products approved for commercial sale and have not generated any revenue from product sales. To date, revenue has been generated from the out-licensing of certain rights to third parties, providing research services under licensing and collaboration agreements as well as revenue from government grants.

We have never been profitable and have incurred operating losses in each period since inception. Our net losses were $14.1 million for the year ended December 31, 2023 and $63.5 million for the year ended December 31, 2022. As of December 31, 2023, we had an accumulated deficit of $165.8 million.

We expect to incur significant expenses and continued operating losses for at least the next several years as we initiate and continue the clinical development of, and seek regulatory approval for, our product candidates and add personnel necessary to advance our pipeline of clinical-stage product candidates. In addition, operating as a publicly-traded company will involve the incurrence of substantial other costs associated with operating as a public company. We expect that our operating losses will fluctuate significantly from quarter to quarter and year to year due to timing of clinical development programs and efforts to achieve regulatory approval.

From inception to December 31, 2023, we have raised cash from sales and issuances of common stock and borrowings under notes payable. As of December 31, 2023, we had cash of $5.8 million, and there is substantial doubt about our ability to continue as a going concern. For more information, see the risk factor in Item 1A. of this Annual Report on Form 10-K entitled, “Kineta identified conditions and events that raise substantial doubt about its ability to continue as a going concern, Kineta needs substantial additional funding, and if Kineta is unable to raise capital when needed or on favorable terms, its business, financial condition, and results of operation could be materially and adversely affected.”

 

Private Placement

 

In connection and concurrently with the execution of the Merger Agreement, on June 5, 2022, we entered into a financing agreement (such financing agreement, as amended, the “Securities Purchase Agreement”), with certain investors to sell shares of our common stock to such investors in a private placement (the “Private Placement”). We and the investors entered into an amendment to the Securities Purchase Agreement on October 13, 2023 to, among other things, extend the date of the second closing from October 31, 2023 to April 15, 2024.

The first closing of the Private Placement occurred on December 16, 2022 and we issued 649,346 shares of our common stock and received net proceeds of $7.4 million. The second closing of the Private Placement for an aggregate purchase price of $22.5 million was expected to occur on April 15, 2024. However, in February 2024, certain investors indicated they will not be able to consummate the second closing of the Private Placement. The Company has the ability to unilaterally terminate the Securities Purchase Agreement until the date of the second closing.

 

License Agreement with Genentech

 

On December 27, 2022, we, through our subsidiary KCP, received written notice from Genentech, Inc. (“Genentech”) of its termination of the Exclusive Option and License Agreement entered into by and between KCP and Genentech dated April 11, 2018, as amended on November 27, 2019 and October 1, 2020 (as amended, the “Genentech KCP506 License Agreement”). Pursuant to the Genentech KCP506 License Agreement, KCP out-licensed certain intellectual property rights to Genentech for KCP’s KCP506 program. KCP506 is an α9α10 nicotinic acetylcholine receptor antagonist developed by KCP for the treatment of neuropathic pain and neurogenic inflammation. The termination of the Genentech KCP506 License Agreement does not affect the development of any of our core oncology products, and no revenue or expenses from the Genentech KCP506 License Agreement were expected for the years ending December 31, 2023 or 2024. We intend to evaluate strategic alternatives for the development of this program.

 

COVID-19

While we continue to monitor the impact of the COVID-19 pandemic on our business, the extent of the impact of the pandemic on our business, operations and clinical development timelines and plans will depend on future developments, including the severity and duration of any resurgence of COVID-19 and its variants. Clinical trial sites in many countries, including those in which we operate, in the past have incurred delays due to COVID-19. Certain of the sites in the KCP-506 Phase 1 clinical trial incurred delays due to COVID-19 that resulted in a delay in the results from that study.

The COVID-19 pandemic in the past has caused significant disruptions in the financial markets, and in the future may cause such disruptions, which could impact our ability to raise additional funds to support our operations.

 

97


 

Geopolitical Developments

Geopolitical developments, such as the Russian invasion of Ukraine, the conflict in Israel and the Gaza Strip or deterioration in the bilateral relationship between the United States and China, may impact government spending, international trade and market stability, and cause weaker macro-economic conditions. The impact of these developments, including any resulting sanctions, export controls or other restrictive actions that may be imposed against governmental or other entities in, for example, Russia, have in the past contributed and may in the future contribute to disruption, instability and volatility in the global markets, which in turn could adversely impact our operations and weaken our financial results. Certain political developments may also lead to uncertainty to regulations and rules that may materially affect our business.

 

At-the-Market Offering Program

 

In December 2021, we entered into a sales agreement (the “Prior Sales Agreement”) with Jefferies LLC (“Jefferies”) with respect to an at-the-market (“ATM”) offering program under which we issued and sold, from time to time at our sole discretion, shares of our common stock, in an aggregate offering amount of up to $60.0 million. In February 2023, we terminated the Prior Sales Agreement and entered into a new sales agreement with Jefferies with respect to an ATM offering under which we may issue and sell, from time to time and at our sole discretion, shares of our common stock, in an aggregate offering amount of up to $17.5 million (the “New Sales Agreement”), subject to the offering limits in General Instruction I.B.6 to Form S-3. Jefferies acts as our sales agent and will use commercially reasonable efforts to sell shares of common stock from time to time, based upon instruction from us. We will pay Jefferies 3.0% of the gross proceeds from the sales of any common stock sold pursuant to the New Sales Agreement.

 

On April 19, 2023, we delivered written notice to Jefferies that we were suspending and terminating the prospectus supplement (the “ATM Prospectus Supplement”) related to our common stock issuable pursuant to the New Sales Agreement. We will not make any sales of our securities pursuant to the New Sales Agreement, unless and until a new prospectus supplement is filed. Other than the termination and suspension of the ATM Prospectus Supplement, the New Sales Agreement remains in full force and effect.

 

We sold 30,905 shares of common stock under the Prior Sales Agreement during the twelve months ended December 31, 2022 for aggregate net proceeds to the Company of approximately $0.4 million.

 

During the year ended December 31, 2023, we sold 126,503 shares of our common stock to individual investors under the New Sales Agreement and received net proceeds of $600,000 in connection with the ATM equity offering program.

 

Registered Direct Offerings

 

April 2023

 

On April 20, 2023, we entered into a Securities Purchase Agreement (the “April 2023 Purchase Agreement”) with an institutional investor (the “April 2023 Investor”), pursuant to which we issued and sold, in a registered direct offering priced at-the-market under the rules of Nasdaq (such offering, the “April 2023 Registered Offering”), (i) an aggregate of 948,000 shares of our common stock, at a purchase price of $4.21 per share and (ii) pre-funded warrants exercisable for up to 477,179 shares of our common stock (the “April 2023 Pre-Funded Warrants”) to the April 2023 Investor at a purchase price of $4.209 per April 2023 Pre-Funded Warrant, for aggregate gross proceeds from the April 2023 Registered Offering (as defined below) of approximately $6.0 million before deducting the placement agent fee (as described in greater detail below) and related offering expenses.

 

Each April 2023 Pre-Funded Warrant represents the right to purchase one share of common stock at an exercise price of $0.001 per share. The April 2023 Pre-Funded Warrants are exercisable immediately and may be exercised at any time until the April 2023 Pre-Funded Warrants are exercised in full.

 

In a concurrent private placement (the “April 2023 Private Placement” and, together with the April 2023 Registered Offering, the “April 2023 Offering”), we issued to the April 2023 Investor warrants to purchase up to 1,425,179 shares of common stock (the “April 2023 Common Warrants”) at an exercise price of $4.08 per share. The April 2023 Common Warrants are exercisable immediately and will expire five and one-half years from the initial exercise date.

 

In connection with the April 2023 Offering, we entered into an engagement letter with H.C. Wainwright & Co., LLC (“Wainwright”), pursuant to which Wainwright agreed to serve as the exclusive placement agent for the issuance and sale of securities of the Company pursuant to the April 2023 Purchase Agreement. As compensation for such placement agent services, we paid Wainwright an aggregate cash fee equal to $420,000, a non-accountable expense of $35,000 and $50,000 for legal and other expenses as actually incurred. The total offering-related fees were approximately $520,000, which resulted in net proceeds to the Company of $5.5 million. On April 24, 2023, we also issued to Wainwright or its designees warrants to purchase 71,259 shares of common stock (the “April 2023 Wainwright Warrants”). The April 2023 Wainwright Warrants have a term of five years from the commencement of sales in the April 2023 Offering, and have an exercise price of $5.2625 per share.

 

October 2023

 

On October 3, 2023,we entered into a Securities Purchase Agreement (the “October 2023 Purchase Agreement”) with an institutional investor (the “October 2023 Investor”) pursuant to which the Company issued and sold, in a registered direct offering priced at-the-market under the rules of Nasdaq (such offering, the “October 2023 Registered Offering”), (i) an aggregate of 110,000 shares of our common stock, at a purchase price of $3.37 per share, and (ii) pre-funded warrants exercisable for up to 780,208 shares of our common stock (the “October 2023 Pre-Funded Warrants”) to

 

98


 

the October 2023 Investor at a purchase price of $3.369 per October 2023 Pre-Funded Warrant, for aggregate gross proceeds from the October 2023 Registered Offering of approximately $3.0 million before deducting the placement agent fee (as described in greater detail below) and related offering expenses.

 

Each October 2023 Pre-Funded Warrant represents the right to purchase one share of common stock at an exercise price of $0.001 per share. The October 2023 Pre-Funded Warrants are exercisable immediately and may be exercised at any time until the October 2023 Pre-Funded Warrants are exercised in full.

 

In a concurrent private placement (the “October 2023 Private Placement” and, together with the October 2023 Registered Offering, the “October 2023 Offering”), we issued to the October 2023 Investor warrants to purchase up to 890,208 shares of common stock (the “October 2023 Common Warrants”) at an exercise price of $3.25 per share. The October 2023 Common Warrants are exercisable immediately and will expire five and one-half years from the initial exercise date.

 

In connection with the October 2023 Offering, we entered into an engagement letter with Wainwright, pursuant to which Wainwright agreed to serve as the exclusive placement agent for the issuance and sale of securities of the Company pursuant to the October 2023 Purchase Agreement. As compensation for such placement agent services, the Company paid Wainwright an aggregate cash fee equal to $210,000, a non-accountable expense of $35,000 and $50,000 for legal and other expenses as actually incurred. The total offering-related fees were approximately $310,000, which resulted in net proceeds to the Company of $2.7 million. On October 5, 2023, the Company also issued to Wainwright or its designees warrants to purchase 44,510 shares of Common Stock (the “October 2023 Wainwright Warrants” and, together with the Pre-Funded Warrants and the Common Warrants, the “Warrants”). The October 2023 Wainwright Warrants have a term of five years from the commencement of sales in the October 2023 Offering, and have an exercise price of $4.2125 per share.

 

Nasdaq Compliance

 

On June 27, 2023, the Company received written notice from the Listing Qualifications Department of Nasdaq stating that the Company was not in compliance with Nasdaq Listing Rule 5550(b)(2) because the Company did not maintain a minimum Market Value of Listed Securities of at least $35 million for the last 30 consecutive business days.

 

On August 15, 2023, the Company received written notice from the Listing Qualifications Department of Nasdaq notifying the Company that, based on its Quarterly Report on Form 10-Q for the quarter ended June 30, 2023, the Company had regained compliance with the alternative standard under Nasdaq Listing Rule 5550(b)(1). Nasdaq considers the matter closed.

Financial Operations Overview

Revenues

To date, we have not generated any revenue from product sales and do not expect to generate any revenue from product sales in the near future. Our revenues have been primarily derived from our collaboration, research and license agreements as well as grants awarded by government agencies.

Licensing Revenues

Our license agreements may include the transfer of intellectual property rights in the form of licenses, promises to provide research and development services and promises to participate on certain development committees with the collaboration party. The terms of such agreements include payment to us of one or more of the following: nonrefundable upfront fees, payment for research and development services, development, regulatory and commercial milestone payments and sales-based milestones and royalties on net sales of licensed products.

Revenue associated with nonrefundable upfront license fees where the license fees and research and development activities cannot be accounted for as separate performance obligations is deferred and recognized as revenue over the expected period of performance based on a cost-based input method. Revenue from contingent development, regulatory and commercial milestones, when not deemed probable of significant reversal of cumulative revenue, is also recognized over the performance period based on a similar method. Where we have no remaining performance obligations, revenue from such milestones is recognized when the accomplishment of the milestones is deemed probable.

We expect that any revenue generated from our current collaboration, research and license agreements and any future collaboration partners will fluctuate from year to year as a result of the timing and number of milestones and other payments.

Collaboration Revenues

 

In connection with the Merger, we became the successor in interest to an exclusive license and research collaboration agreement (the “Merck Neuromuscular License Agreement”) with Merck (known as MSD outside the United States and Canada) to support research, development and commercialization of products for treatment of neuromuscular diseases, including amyotrophic lateral sclerosis. We recognize revenue using the cost-to-cost method, which we believe best depicts the transfer of control to the customer. Under the cost-to-cost method, the extent of progress towards completion is measured based on the ratio of actual costs incurred to the total estimated costs expected upon satisfying the identified performance obligation. Under this method, revenue is recognized as a percentage of actual cost incurred to the estimated costs to complete.

 

 

99


 

 

Grant Revenues

Under our grant arrangements with government-sponsored and charitable organizations, we receive payment for providing research and development services. Revenue associated with grant arrangements is based on a cost-based reimbursement model that recognizes revenue over time as we perform work under the grants and incur qualifying research and development costs. We do not have any active grant agreements and do not expect any grant revenue for the foreseeable future.

Operating Expenses

Research and Development Expenses

Research and development expenses represent costs incurred in connection with the discovery, research, preclinical and clinical development, and manufacture of our product candidates. We recognize all research and development costs as they are incurred. Research and development expenses consist primarily of the following:

salaries, bonuses, benefits, stock-based compensation, research and consulting arrangements and other related costs for individuals involved in research and development activities;
external research and development expenses incurred under agreements with contract research organizations, investigative sites and other scientific development services;
costs incurred under agreements with contracted research and manufacturing organizations for developing and manufacturing materials for preclinical studies, clinical trials and laboratory supplies;
licensing agreements and associated costs;
costs related to compliance with regulatory requirements;
facilities and other allocated expenses for rent and insurance; and
other expenses incurred to advance research and development activities including manufacturing costs associated with production, scale up, testing and optimization of methods associated with the production of materials.

The largest component of our operating expenses has historically been our investment in research and development activities. We expect our research and development expenses will increase in the future as we advance our product candidates into and through clinical trials and pursue regulatory approvals, which will require a significant investment in costs of clinical trials, regulatory support and contract manufacturing. In addition, we continue to evaluate opportunities to acquire or in-license other product candidates and technologies, which may result in higher research and development expenses due to license fee and/or milestone payments, as well as added clinical development costs.

As we are working on multiple research and development programs at any one time, we track our external expenses by the stage of program, clinical or preclinical. However, our internal expenses, including unallocated costs, personnel costs and infrastructure costs, are not directly related to any one program and are deployed across multiple programs. As such, we do not track internal expenses on a specific program basis.

The process of conducting clinical trials necessary to obtain regulatory approval is costly and time consuming. We may never succeed in timely developing and achieving regulatory approval for our product candidates. The probability of success of our product candidates may be affected by numerous factors, including clinical data, competition, manufacturing capability and commercial viability. As a result, we are unable to determine the duration and completion costs of our development projects or when and to what extent we will generate revenue from the commercialization and sale of any of our future product candidates.

General and Administrative Expenses

General and administrative expenses consist primarily of employee-related expenses, including salaries, benefits and noncash stock-based compensation for personnel in executive, finance and accounting, and other administrative functions, as well as fees paid for legal, accounting and tax services, consulting fees and facilities costs not otherwise included in research and development expenses. Legal costs include general corporate legal fees and patent costs. We expect to incur additional expenses as a result of operating as a public company, including expenses related to compliance with the rules and regulations of the SEC and Nasdaq, additional insurance, investor relations and other administrative expenses and professional services.

 

In-Process Research and Development Assets Acquired

We acquired in-process research and development assets in connection with the Merger. As the acquired in-process research and development assets were deemed to have no current or alternative future use, the entire amount was recognized as expense in the consolidated statements of operations for the year ended December 31, 2022.

Other (Expense) Income

 

100


 

Interest Income

Interest income consists of interest earned on short-term money market accounts.

 

Interest Expense

Interest expense consists of interest charged on outstanding invoices and outstanding borrowings associated with our debt arrangements primarily consisting of borrowings under several notes payable agreements.

Change in Fair Value Measurement of Rights from Private Placement

 

Change in fair value of other asset relates to the remeasurement of the rights from the Private Placement that we determined was a derivative, which requires the asset to be accounted for at fair value. Until settlement, this other asset is remeasured at fair value at each reporting period with the changes in fair value recorded in the statement of operations.

Change in Fair Value Measurement of Notes Payable

Change in fair value of notes payable relates to the remeasurement of the notes payable that we elected to account for under the fair value option. Until settlement, these notes payable are remeasured at fair value at each reporting period with the changes in fair value recorded through the statement of operations.

Gain on Extinguishments of Debt, Net

Gain on extinguishments of debt, net consists of the gain upon settlement of our notes payable.

Other (Expense) Income, Net

Other (expense) income, net consists of items that are of a non-recurring nature and primarily relate to items that are immaterial.

Net (Loss) Income Attributable to Noncontrolling Interest

Net (loss) income attributable to noncontrolling interest reflects investors’ share of net (loss) income in our majority owned subsidiary.

Results of Operations

Comparison of the Years Ended December 31, 2023 and 2022

The following table summarizes our results of operations for the periods presented:

 

 

101


 

 

 

Years Ended December 31,

 

 

 

 

 

 

2023

 

 

2022

 

 

Change

 

 

 

(in thousands)

 

Revenues:

 

 

 

 

 

 

 

 

 

Licensing revenues

 

$

5,000

 

 

$

1,041

 

 

$

3,959

 

Collaboration revenues

 

 

442

 

 

 

 

 

 

442

 

Grant revenues

 

 

 

 

 

912

 

 

 

(912

)

Total revenues

 

 

5,442

 

 

 

1,953

 

 

 

3,489

 

Operating expenses:

 

 

 

 

 

 

 

 

 

Research and development

 

 

9,023

 

 

 

15,928

 

 

 

(6,905

)

General and administrative

 

 

12,142

 

 

 

8,696

 

 

 

3,446

 

In-process research and development

 

 

 

 

 

18,860

 

 

 

(18,860

)

Total operating expenses

 

 

21,165

 

 

 

43,484

 

 

 

(22,319

)

Loss from operations

 

 

(15,723

)

 

 

(41,531

)

 

 

25,808

 

Other (expense) income:

 

 

 

 

 

 

 

 

 

Interest income

 

325

 

 

9

 

 

 

316

 

Interest expense

 

 

(337

)

 

 

(3,737

)

 

 

3,400

 

Change in fair value of rights from Private Placement

 

 

1,582

 

 

 

 

 

 

1,582

 

Change in fair value of measurement of notes payable

 

 

(22

)

 

 

(15,280

)

 

 

15,258

 

Warrant expense

 

 

 

 

 

(3,309

)

 

 

3,309

 

Gain on extinguishments of debt expense

 

 

 

 

 

341

 

 

 

(341

)

Other income (expense), net

 

 

99

 

 

 

54

 

 

 

45

 

Total other (expense) income, net

 

 

1,647

 

 

 

(21,922

)

 

 

23,569

 

Net loss

 

 

(14,076

)

 

 

(63,453

)

 

 

49,377

 

Net income (loss) attributable to noncontrolling interest

 

 

23

 

 

 

(45

)

 

 

68

 

Net loss attributable to Kineta, Inc.

 

$

(14,099

)

 

$

(63,408

)

 

$

49,309

 

 

Revenues

Licensing Revenues

Licensing revenues were $5.0 million for the year ended December 31, 2023 and $1.0 million for the year ended December 31, 2022. The licensing revenues in 2023 were due to the achievement of a development milestone pursuant to the Merck Neuromuscular License Agreement and the licensing revenues in 2022 were due to research and development services from the Genentech KCP506 License Agreement, which was terminated in December 2022. Under the Merck Neuromuscular License Agreement, we are eligible to receive up to an additional $255.0 million in development milestones, sales milestones and royalties on net sales. We do not expect to earn any revenue from this license in 2024 or 2025.

Collaboration Revenues

 

Collaboration revenues were $442,000 for the year ended December 31, 2023 and zero for the year ended December 31, 2022 as a result of research services provided under the Merck Neuromuscular License Agreement pursuant to which the Company became a successor in interest in connection with the Merger. Upon completion of the Merger, we had $442,000 in deferred revenue under the Merck Neuromuscular License Agreement. As of December 31, 2023, we have completed the project services and had zero in deferred revenue under the Merck Neuromuscular License Agreement. We do not expect to earn any revenue from this license in 2024 or 2025.

Grant Revenues

Grant revenues were zero for the year ended December 31, 2023 and $912,000 for the year ended December 31, 2022. The grant revenues in 2022 were due to services provided under a grant that was concluded in December 2022. We do not expect to earn any grant revenues in 2024.

 

102


 

Research and Development Expenses

The following table summarizes our research and development expenses by program and category for the periods presented:

 

 

 

Years Ended December 31,

 

 

 

 

 

 

2023

 

 

2022

 

 

Change

 

 

 

(in thousands)

 

Direct external program expenses:

 

 

 

 

 

 

 

 

 

KVA12123 program

 

$

6,157

 

 

$

7,567

 

 

$

(1,410

)

ALS target program

 

 

307

 

 

 

 

 

 

307

 

CD27 program

 

 

279

 

 

 

583

 

 

 

(304

)

KCP-506 program

 

 

39

 

 

 

344

 

 

 

(305

)

Other programs

 

 

 

 

 

402

 

 

 

(402

)

Internal and unallocated expenses:

 

 

 

 

 

 

 

 

 

Personnel-related costs

 

 

1,636

 

 

 

5,907

 

 

 

(4,271

)

Facilities and related costs

 

 

428

 

 

 

851

 

 

 

(423

)

Other costs

 

 

177

 

 

 

274

 

 

 

(97

)

Total research and development expenses

 

$

9,023

 

 

$

15,928

 

 

$

(6,905

)

 

Research and development expenses were $9.0 million for the year ended December 31, 2023 and $15.9 million for the year ended December 31, 2022 and decreased by $6.9 million, or 43%. The decrease in direct external program expenses of $2.1 million was primarily due to lower activities for KVA12123 as we began securing clinical trial sites in advance of enrolling the first patient in a Phase 1/2 clinical trial of KVA12123, which occurred in April 2023. We also incurred lower costs for CD27, KCP-506 and other programs as we prioritized efforts on KVA12123, our lead product candidate. These decreases in direct external program expenses were partially offset by ALS program expenses incurred to complete project services under the Merck Neuromuscular License Agreement. Subject to receiving adequate funding, we expect our direct external program expenses to increase during the next few years as we advance our clinical trials of KVA12123. The decrease in our internal and unallocated research and development expenses of $4.8 million was primarily due to lower personnel costs as a result of reducing research and development staff in December 2022 as we transitioned to clinical trials.

General and Administrative Expenses

General and administrative expenses were $12.1 million for the year ended December 31, 2023 and $8.7 million for the year ended December 31, 2022 and increased by $3.4 million, or 40%. The increase was primarily due to an increase in personnel costs of $2.3 million and insurance and other administrative expenses of $1.1 million. Personnel costs increased due to higher salaries and benefits of $1.2 million from increased headcount to support public company responsibilities and higher stock-based compensation of $1.0 million, which increased due to options granted during 2023. Insurance and other administrative expenses increased primarily due to public company directors and officers insurance premiums of $601,000 and board fees of $270,000.

 

In-process research and development expenses

In-process research and development expenses was $18.9 million for the year ended December 31, 2022 in connection with the Merger. As the acquired in-process research and development assets were deemed to have no current or alternative future use, the entire amount was recognized as expense in the consolidated statements of operations for the year ended December 31, 2022.

Interest Income

Interest income was $325,000 for the year ended December 31, 2023 and $9,000 for the year ended December 31, 2022 and increased by $316,000. Interest income increased due to higher balances in interest-bearing accounts in 2023 and higher interest rates.

 

Interest Expense

Interest expense was $337,000 for the year ended December 31, 2023 and $3.7 million for the year ended December 31, 2022. Interest expense decreased due to a significantly lower balance of notes in 2023 as the majority of notes were converted to equity in December 2022.

Change in Fair Value Measurement of Private Placement

Change in fair value of Private Placement was a gain of $1.6 million for the year ended December 31, 2023 and relates to the remeasurement of the rights from the Private Placement that we determined was a derivative, which requires the asset to be accounted for at fair value. We determined the rights from Private Placement to be a derivative asset when we added a minimum purchase price of $3.18 upon an amendment in 2023. There was no change in fair value of the rights from Private Placement during 2022.

Change in Fair Value Measurement of Notes Payable

 

103


 

Change in fair value of notes payable was a loss of $22,000 for the year ended December 31, 2023 and a loss of $15.3 million for the year ended December 31, 2022. The decrease in 2023 resulted as the majority of notes were converted to equity in December 2022.

Warrant Expense

Warrant expense was zero for the year ended December 31, 2023 and $3.3 million for the year ended December 31, 2022. Warrant expense in 2022 represents the fair value of warrants issued to current debt holders that converted their debt to equity in 2022.

Gain on Extinguishments of Debt

Gain on extinguishment of debt was zero for the year ended December 31, 2023 and $341,000 for the year ended December 31, 2022. There have been no settlement of notes payable during year ended December 31, 2023 as the majority of notes were converted to equity in December 2022. In 2022, the gains resulted primarily from the settlements of notes payable accounted for under the fair value election.

Going Concern and Capital Resources

 

Exploring Strategic Alternatives

We require substantial additional capital to sustain our operations and pursue our growth strategy, including the development of our product candidates. We are exploring strategic alternatives that may include, but are not limited to, sale of assets of the Company, a sale of the Company, licensing of assets, a merger, liquidation or other strategic action. If a strategic process is unsuccessful, the Board may decide to pursue a liquidation or obtain relief under the US Bankruptcy Code. These factors raise substantial doubt about our ability to continue as a going concern.

 

Sources of Liquidity

Since our inception through December 31, 2023, our operations have been financed primarily by net cash proceeds from the sale and issuance of our common stock and borrowings under notes payable. We have also received upfront payments from our license agreements. As of December 31, 2023, we had $5.8 million in cash and an accumulated deficit of $165.8 million. We expect that our research and development and general and administrative expenses will increase, and, as a result, anticipate that we will continue to incur increasing losses for the foreseeable future. Therefore, we will need to raise additional capital to fund our operations, which may be through the issuance of additional equity or through borrowings.

In December 2022, we received net cash of $7.8 million upon the close of the Merger and net proceeds of $7.4 million from the Private Placement. The second closing of the Private Placement for an aggregate purchase price of $22.5 million was expected to occur on April 15, 2024. However, in February 2024, certain investors indicated they will not be able to consummate the second closing of the Private Placement.

 

During the year ended December 31, 2023, we sold 126,503 shares of our common stock to individual investors under the New Sales Agreement and received net proceeds of $600,000 in connection with the ATM equity offering program.

 

During the year ended December 31, 2023, we sold 1,058,000 shares of our common stock and issued pre-funded warrants exercisable for up to 1,257,387 shares of our common stock in the April 2023 Registered Offering and October 2023 Registered Offering and received net proceeds of $8.0 million.

Future Funding Requirements

Our revenues to date have been primarily derived from our collaboration, research and license agreements as well as grants awarded by government agencies. We, however, have not generated any revenue from product sales, and do not know when, or if, we will generate any revenue from product sales. We do not expect to generate any revenue from product sales unless and until we obtain regulatory approval of and commercialize any of our product candidates. At the same time, we expect our expenses to increase in connection with our ongoing development activities, particularly as we continue the research, development and clinical trials of, and seeks regulatory approval for, our product candidates. In addition, subject to obtaining regulatory approval of any of our product candidates, we anticipate that we will need substantial additional funding in connection with our continuing operations. We plan to continue to fund our operations and capital requirements through equity and/or debt financing, but there are no assurances that we will be able to raise sufficient amounts of funding in the future on acceptable terms, or at all.

Our future funding requirements will depend on many factors, including:

the progress, timing, scope, results and costs of the clinical trials of VISTA and preclinical studies or clinical trials of other potential product candidates we may choose to pursue in the future, including the ability to enroll patients in a timely manner for our clinical trials;
the costs and timing of obtaining clinical and commercial supplies and validating the commercial manufacturing process for VISTA and any other product candidates we may identify and develop;
the cost, timing and outcomes of regulatory approvals;
the timing and amount of any milestone, royalty or other payments we are required to make pursuant to current or any future

 

104


 

collaboration or license agreements;
costs of acquiring or in-licensing other product candidates and technologies;
the terms and timing of establishing and maintaining collaborations, licenses and other similar arrangements;
the costs associated with attracting, hiring and retaining existing and additional qualified personnel as our business grows;
efforts to enhance operational systems and hire additional personnel to satisfy our obligations as a public company, including enhanced internal controls over financial reporting; and
the cost of preparing, filing, prosecuting, defending and enforcing any patent claims and other intellectual property rights.

As of December 31, 2023, we had cash of $5.8 million, and there is substantial doubt about our ability to continue as a going concern. Based on our current operating plans, we do not have sufficient cash and cash equivalents to fund our operating expenses and capital expenditures for at least the next 12 months from the filing date of this Annual Report on Form 10-K.

We are exploring strategic alternatives that may include, but are not limited to, sale of assets of the Company, a sale of the Company, licensing of assets, a merger, liquidation or other strategic action.

 

We may seek additional funds through equity or debt financings or through collaborations, licensing transactions or other sources that may be identified through our strategic process. However, there can be no assurance that we will be able to complete any such transactions on acceptable terms or otherwise. The failure to obtain sufficient funds on commercially acceptable terms when needed would have a material adverse effect on our business, results of operations, and financial condition. These factors raise substantial doubt about our ability to continue as a going concern.

We do not currently have any commitments for future funding or additional capital other than the Private Placement. However, as noted above, certain investors have indicated they will not be able to fulfill their contractual obligation to consummate the Private Placement. As such, we have paused or significantly scaled back the development or commercialization of its future product candidates or other research and development initiatives. If we are unable to complete a strategic transaction or raise additional capital in sufficient amounts, we will not be able to continue our business and we may need to file for bankruptcy protection.

Cash Flows

The following table summarizes our cash flows for the periods indicated:

 

 

 

Years Ended December 31,

 

 

 

2023

 

 

2022

 

 

 

(in thousands)

 

Net cash provided by (used in):

 

 

 

Operating activities

 

$

(16,209

)

 

$

(19,029

)

Investing activities

 

 

331

 

 

 

9,270

 

Financing activities

 

 

8,468

 

 

 

11,808

 

Net change in cash and cash equivalents

 

$

(7,410

)

 

$

2,049

 

 

Operating Activities

Cash used in operating activities for the year ended December 31, 2023 was $16.2 million, consisting of a net loss of $14.1 million, a change in other net operating assets and liabilities of $5.3 million, partially offset by noncash charges of $3.1 million. Our change in net operating assets and liabilities primarily resulted from a $4.3 million decrease in accounts payable and accrued expenses as we paid down Merger-related costs owed as of December 31, 2022, a $843,000 decrease in operating lease liability and a $442,000 decrease in deferred revenue due to completion of research and development services provided by us related to the Merck Neuromuscular License Agreement with Merck to support research, development and commercialization of products for treatment of neuromuscular diseases, partially offset by a $338,000 decrease in prepaid expenses. The noncash charges primarily consisted of $3.9 million in stock-based compensation and $739,000 noncash operating lease expense, partially offset by a $1.6 million gain on change in fair value of rights from the Private Placement.

 

Cash used in operating activities for the year ended December 31, 2022 was $19.0 million, consisting of a net loss of $63.5 million, partially offset by $18.9 million in-process research and development expenses acquired from the Merger, a change in other net operating assets and liabilities of $0.3 million and noncash charges of $25.8 million. Our change in net operating assets and liabilities primarily resulted from a $1.7 million increase in accounts payable and accrued expenses and other current liabilities mainly due to increased costs associated with our KVA12123 program and the Merger as well as the timing of payments, partially offset by a $108,000 increase in prepaid expenses, a $737,000 decrease in operating lease liability and a $1.0 million decrease in deferred revenue mainly due to completion of research and development services provided by us related to the Phase 1 clinical trial under the Genentech KCP506 License Agreement. The noncash charges primarily consisted of $15.3 million in change in fair value measurement of notes payable, $5.2 million in stock-based compensation, $3.3 million in warrant expense for warrants issued to current debt holders that converted their debt to equity in 2022, $1.6 million expense related to convertible notes payable that were converted to equity in connection with the Merger and $661,000 noncash operating lease expense, partially offset by a $341,000 gain on debt extinguishment driven by our settlement of notes payable accounted for under the fair value election.

 

105


 

Investing Activities

Cash provided by investing activities for the year ended December 31, 2023 was $331,000 from proceeds from sales of property and equipment,

Cash provided by investing activities for the year ended December 31, 2022 was $9.3 million, consisting primarily of cash acquired in connection with the Merger.

Financing Activities

Cash provided by financing activities for the year ended December 31, 2023 was $8.5 million, primarily related to $8.0 million in net proceeds from the Private Placement and $600,000 in proceeds from the issuance of our common stock, partially offset by $123,000 in repayments of finance lease obligations.

 

Cash provided by financing activities for the year ended December 31, 2022 was $11.8 million, primarily related to $7.4 million in net proceeds from the Private Placement, $6.7 million in proceeds from the issuance of notes payable and $1.6 million in proceeds from the issuance of our common stock, partially offset by $4.0 million in repayments of notes payable.

Debt Obligations

Notes Payable

As of December 31, 2023, we had outstanding notes payable in an aggregate principal amount of $779,000 at interest rates that range from 3.75% to 6%, of which $629,000 matures within the next 12 months. The principal amount of each note payable is due at a specified periodic repayment date and/or at maturity, with such dates ranging from June 2024 to on or after September 2050.

See Note 6 to our consolidated financial statements included in this Annual Report for additional information regarding our notes payable.

Other Contractual Obligations and Commitments

Our cash requirement greater than 12 months are related to other contractual obligations and commitments related to license agreements.

We have entered into a number of strategic license agreements pursuant to which we have acquired rights to specific assets, technology and intellectual property. In accordance with these agreements, we are obligated to pay, among other items, future contingent payments that are dependent upon future events such as our achievement of certain development, regulatory and commercial milestones royalties, and sublicensing revenue in the future, as applicable. As of December 31, 2023, the timing and likelihood of achieving the milestones and generating future product sales, and therefore payments that may become payable to these third parties, are uncertain.

We lease office and laboratory space for our corporate headquarters in Seattle, Washington under a lease agreement that expires in July 2024. As of December 31, 2023, undiscounted future minimum lease payments of $549,000 remain pursuant to the lease agreement.

We have entered into an engagement letter with an investment bank whereby we may be obligated to pay certain fees for financings and investment related transaction costs.

In addition, we enter into agreements in the normal course of business with various third parties for preclinical research studies, clinical trials, testing and other research and development services. Such agreements generally provide for termination upon notice, although obligate us to reimburse vendors for any time or costs incurred through the date of termination.

Critical Accounting Estimates

Our management’s discussion and analysis of financial condition and results of operations is based on our consolidated financial statements, which have been prepared in accordance with U.S. GAAP. The preparation of these consolidated financial statements requires us to make estimates and judgments that affect the reported amounts of assets, liabilities and expenses, and related disclosures. Our estimates are based on historical experience and on various assumptions that we believe to be reasonable under the circumstances, the results of which form the basis for making judgments about the carrying values of assets and liabilities and the recording of expenses that are not readily apparent from other sources. Actual results may differ materially from these estimates.

We believe that the accounting policies discussed below are critical to understanding our historical and future performance, as these policies relate to the more significant areas involving management’s judgments and estimates.

Revenue Recognition

License Revenues

We enter into license agreements under which we license certain intellectual property rights to our product candidates to third parties. The terms of

 

106


 

these arrangements typically include payment to us of one or more of the following: nonrefundable upfront fees, payment for research and development services provided by us under approved work plans, development, regulatory and commercial milestone payments, and sales-based milestones and royalties on net sales of licensed products. Each of these payments results in license revenues, except for revenues from royalties, which are classified as other revenues.

In determining the appropriate amount of revenue to be recognized as we fulfill our obligations under each of our agreements, we perform the following five steps: (i) identification of the contract(s) with a customer, (ii) determination of whether the promised goods or services are performance obligations, including whether they are distinct in the context of the contract, (iii) measurement of the transaction price, including the constraint on any variable consideration, (iv) allocation of the transaction price to the performance obligations in the contract, and (v) recognition of revenue when (or as) we satisfy each performance obligation.

As part of the accounting for these arrangements containing multiple performance obligations, we must develop assumptions that require judgment to determine the stand-alone selling price for each performance obligation identified in the contract. We use key assumptions to determine the stand-alone selling price, which may include forecasted revenues, development timelines, reimbursement rates for personnel costs, discount rates and probabilities of technical and regulatory success. We expect to recognize revenue for variable consideration being constrained when it is probable that a significant revenue reversal will not occur. For performance obligations satisfied over time, we estimate the efforts needed to complete the performance obligation and recognize revenue by measuring the progress towards complete satisfaction of the performance obligation using an input measure.

For arrangements that include development and regulatory milestones, we evaluate whether the milestones are considered probable of being reached and estimate the amount to be included in the transaction price using the most likely amount method. If it is probable that a significant revenue reversal would not occur, the associated milestone value is included in the transaction price. Milestone payments that are not within our control or the licensee’s control, such as regulatory approvals, are generally not considered probable of being achieved until those approvals are received.

Our management may be required to exercise considerable judgment in estimating revenue to be recognized. Judgment is required in identifying performance obligations, estimating the transaction price, estimating the standalone selling price of identified performance obligations, and estimating the progress towards satisfaction of performance obligations.

 

Collaboration Revenues

 

We recognize collaboration revenue using the cost-to-cost method, which we believe best depicts the transfer of control to the customer. Under the cost-to-cost method, the extent of progress towards completion is measured based on the ratio of actual costs incurred to the total estimated costs expected upon satisfying the identified performance obligation. Under this method, revenue is recognized as a percentage of actual cost incurred to the estimated costs to complete.

Accrued Research and Development Expenses

We record accrued expenses for estimated costs of our research and development activities conducted by third-party service providers, such as contract research organizations, contract manufacturing and other vendors, which include the conduct of preclinical studies, clinical trials and contract manufacturing activities. We record the estimated costs of research and development activities based upon the estimated amount of services provided but not yet invoiced and include these costs in accrued liabilities in the consolidated balance sheets and within research and development expenses in the consolidated statements of operations. These costs are a significant component of our research and development expenses. We record accrued expenses for these costs based on the estimated amount of work completed and in accordance with agreements established with these third parties, according to the progress of preclinical studies, clinical trials or related activities, and discussions with applicable personnel and service providers as to the progress or state of consummation of goods and services.

We make significant judgments and estimates in determining the accrued balance as of each reporting period. As actual costs become known, we adjust our accrued estimates based on the facts and circumstances known at that time. Although we do not expect our estimates to be materially different from amounts actually incurred, understanding the status and timing of services performed, including the level of patient enrollment, may vary from our estimates and could result in us reporting amounts that are overestimated or underestimated in any particular period. Our accrued research and development expenses are dependent, in part, upon the receipt of timely and accurate reporting from our third-party service providers. To date, there have been no material differences from our accrued expenses to our actual expenses.

 

Change in Fair Value of Rights from Private Placement

 

We determined that the rights from Private Placement is a derivative asset, which requires the asset to be accounted for at fair value. Until settlement, the rights from Private Placement are remeasured at fair value at each reporting period with the changes in fair value recorded in other income (expense) in the Statement of Operations. The fair value was determined using a Monte Carlo simulation based on the contractual funding date at the measurement date, minimum contractual purchase price of $3.18 and historical stock prices. We make significant judgments and estimates in determining the significant unobservable inputs used in the fair value measurement for volatility, risk-free interest rates and funding probability.

Notes Payables accounted for under the Fair Value Option

 

107


 

We have elected the fair value option to account for certain of our notes payable and record these notes payable at fair value with changes in fair value recorded as a component of other income (expense) in the consolidated statements of operations.

As a result of applying the fair value option, direct costs and fees related to the notes payable are expensed as incurred. For our convertible notes payable, the probability-adjusted model used in valuing the fair value of such convertible notes payable is based on significant unobservable inputs, including but not limited to, the timing and probability of a qualified financing event, discount rates and the fair value of the underlying common stock.

For our notes payable that are not convertible, the discounted cash-flow model used in valuing the fair value of such notes payable is based on significant unobservable inputs, including but not limited to, discount rates and expected payment dates.

See Note 6 to our consolidated financial statements for more details on the assumptions used. Increases or decreases in the fair value of the notes payable can result from updates to assumptions such as the expected timing or probability of a qualified financing event, or changes in discount rates. Judgment is used in determining these assumptions as of the initial valuation date and at each subsequent reporting period. Updates to assumptions could have a significant impact on our results of operations in any given period.

Stock-Based Compensation

We recognize noncash stock-based compensation related to stock-based awards to employees, non-employees, and directors, including stock options, based on the fair value on the grant date using the Black-Scholes option pricing model. The related stock-based compensation is recognized as expense on a straight line-basis over the employee’s, non-employee’s or director’s requisite service period (generally the vesting period). Noncash stock-based compensation is based on awards ultimately expected to vest and is reduced by an estimate for future forfeitures. Forfeitures are recorded as incurred.

In determining the fair value of stock options, we use the Black-Scholes option-pricing model and assumptions discussed below. Each of these inputs is subjective and generally requires significant judgment to determine.

Fair Value of Common Stock – The fair value of the shares of common stock underlying stock options has historically been determined by our board of directors. In order to determine the fair value of the common stock at the time of grant of the option, the board of directors considers, among other things, valuations performed by an independent third-party. Because there has been no public market for our common stock (prior to the closing of the Merger), the board of directors exercises reasonable judgment and considers a number of objective and subjective factors to determine the best estimate of the fair value of our common stock, including important developments in our operations, sales of common stock, actual operating results and financial performance, the conditions in the life sciences industry and the economy in general, the stock price performance and volatility of comparable public companies, and the lack of liquidity of our common stock, among other factors.

Expected Term – Our expected term represents the period that the stock-based awards are expected to be outstanding and is determined using the simplified method (based on the mid-point between the vesting date and the end of the contractual term) for employee options.

Expected Volatility – As we have only been a publicly-traded company for one year, the expected volatility is estimated based on the average volatility for a group of comparable publicly traded biotechnology companies over a period equal to the expected term of the stock option grants. The comparable companies were chosen based on their similar industry, size, or stage in the product development life cycle and financial leverage.

Risk-Free Interest Rate – The risk-free interest rate is based on the U.S. Treasury zero coupon issues in effect at the time of grant for periods corresponding with the expected term of option.

Expected Dividend – Other than the Distribution, we have never paid dividends on our common stock and have no plans to pay dividends on our common stock. Therefore, we use an expected dividend yield of zero.

Stock-based compensation was $3.9 million for the year ended December 31, 2023 and $5.2 million for the year ended December 31, 2022. As of December 31, 2023, we had $2.9 million of total unrecognized stock-based compensation related to stock options and RSUs, which we expect to recognize over a weighted-average period of 1.8 years.

 

108


 

Item 7A. Quantitative and Qualitative Disclosures About Market Risk.

We are a smaller reporting company, as defined in Rule 12b-2 under the Exchange Act, for this reporting period and are not required to provide the information required under this item.

 

109


 

Item 8. Financial Statements and Supplementary Data.

 

 

INDEX TO CONSOLIDATED FINANCIAL STATEMENTS

 

Report of Independent Registered Public Accounting Firm PCAOB ID 688

111

Consolidated Balance Sheets as of December 31, 2023 and 2022

112

Consolidated Statements of Operations for the Years ended December 31, 2023 and 2022

113

Consolidated Statements of Stockholders’ Equity (Deficit) for the Years ended December 31, 2023 and 2022

114

Consolidated Statements of Cash Flows for the Years ended December 31, 2023 and 2022

115

Notes to Consolidated Financial Statements

116

 

 

110


 

Report of Independent Registered Public Accounting Firm

 

To the Board of Directors and Stockholders of Kineta, Inc.

 

Opinion on the Financial Statements

 

We have audited the accompanying consolidated balance sheets of Kineta, Inc. (the “Company”) as of December 31, 2023 and 2022, the related consolidated statements of operations, stockholders’ equity (deficit) and cash flows for each of the two years in the period ended December 31, 2023, and the related notes (collectively referred to as the “financial statements”). In our opinion, the financial statements present fairly, in all material respects, the financial position of the Company as of December 31, 2023 and 2022, and the results of its operations and its cash flows for each of the two years in the period ended December 31, 2023, in conformity with accounting principles generally accepted in the United States of America.

 

Explanatory Paragraph – Going Concern

 

The accompanying consolidated financial statements have been prepared assuming that the Company will continue as a going concern. As more fully described in Note 1, the Company has a significant working capital deficiency, has incurred significant losses and needs to raise additional funds to meet its obligations and sustain its operations. These conditions raise substantial doubt about the Company's ability to continue as a going concern. Management's plans in regard to these matters are also described in Note 1. The consolidated financial statements do not include any adjustments that might result from the outcome of this uncertainty.

 

Basis for Opinion

 

These financial statements are the responsibility of the Company’s management. Our responsibility is to express an opinion on the Company’s financial statements based on our audits. We are a public accounting firm registered with the Public Company Accounting Oversight Board (United States) (“PCAOB”) and are required to be independent with respect to the Company in accordance with the U.S. federal securities laws and the applicable rules and regulations of the Securities and Exchange Commission and the PCAOB.

 

We conducted our audits in accordance with the standards of the PCAOB. Those standards require that we plan and perform the audits to obtain reasonable assurance about whether the financial statements are free of material misstatement, whether due to error or fraud. The Company is not required to have, nor were we engaged to perform, an audit of its internal control over financial reporting. As part of our audits we are required to obtain an understanding of internal control over financial reporting but not for the purpose of expressing an opinion on the effectiveness of the Company’s internal control over financial reporting. Accordingly, we express no such opinion.

 

Our audits included performing procedures to assess the risks of material misstatement of the financial statements, whether due to error or fraud, and performing procedures that respond to those risks. Such procedures included examining, on a test basis, evidence regarding the amounts and disclosures in the financial statements. Our audits also included evaluating the accounting principles used and significant estimates made by management, as well as evaluating the overall presentation of the financial statements. We believe that our audits provide a reasonable basis for our opinion.

 

Critical Audit Matter

 

Critical audit matters are matters arising from the current period audit of the financial statements that were communicated or required to be communicated to the audit committee and that: (1) relate to accounts or disclosures that are material to the financial statements and (2) involved our especially challenging, subjective, or complex judgments. We determined that there are no critical audit matters.

/s/ Marcum LLP

 

Marcum LLP

New York, New York

March 21, 2024

 

We have served as the Company’s auditor since 2022.

 

111


 

KINETA, INC.

Consolidated Balance Sheets

(in thousands)

 

 

 

December 31,

 

 

 

2023

 

 

2022

 

Assets

 

 

 

 

 

 

Current assets:

 

 

 

 

 

 

Cash

 

$

5,783

 

 

$

13,143

 

Restricted cash

 

 

75

 

 

 

 

Prepaid expenses and other current assets

 

 

119

 

 

 

457

 

Total current assets

 

 

5,977

 

 

 

13,600

 

Property and equipment, net

 

 

 

 

 

249

 

Operating right-of-use asset

 

 

472

 

 

 

1,211

 

Rights from Private Placement

 

 

3,832

 

 

 

2,250

 

Restricted cash

 

 

 

 

 

125

 

Total assets

 

$

10,281

 

 

$

17,435

 

Liabilities and Stockholders’ Equity

 

 

 

 

 

 

Current liabilities:

 

 

 

 

 

 

Accounts payable

 

$

3,694

 

 

$

6,635

 

Accrued expenses and other current liabilities

 

 

2,211

 

 

 

3,527

 

Deferred revenue

 

 

 

 

 

442

 

Notes payable, current portion

 

 

620

 

 

 

 

Operating lease liability, current portion

 

 

547

 

 

 

843

 

Finance lease liabilities, current portion

 

 

 

 

 

40

 

Total current liabilities

 

 

7,072

 

 

 

11,487

 

Notes payable, net of current portion

 

 

150

 

 

 

748

 

Operating lease liability, net of current portion

 

 

 

 

 

547

 

Finance lease liabilities, net of current portion

 

 

 

 

 

83

 

Total liabilities

 

 

7,222

 

 

 

12,865

 

Commitments and contingencies (Note 6)

 

 

 

 

 

 

Stockholders’ equity:

 

 

 

 

 

 

Common stock, $0.001 par value; 125,000 shares authorized as of December 31, 2023 and December 31, 2022; 10,397 and 8,318 shares issued and outstanding as of December 31, 2023 and December 31, 2022, respectively

 

 

10

 

 

 

8

 

Additional paid-in capital

 

 

168,669

 

 

 

156,106

 

Accumulated deficit

 

 

(165,789

)

 

 

(151,690

)

Total stockholders’ equity attributable to Kineta, Inc.

 

 

2,890

 

 

 

4,424

 

Noncontrolling interest

 

 

169

 

 

 

146

 

Total stockholders’ equity

 

 

3,059

 

 

 

4,570

 

Total liabilities and stockholders’ equity

 

$

10,281

 

 

$

17,435

 

 

See the accompanying notes to the consolidated financial statements.

 

112


 

KINETA, INC.

Consolidated Statements of Operations

(in thousands, except per share amounts)

 

 

 

 

Years Ended December 31,

 

 

 

 

2023

 

 

2022

 

Revenues:

 

 

 

 

 

 

 

Licensing revenues

 

 

$

5,000

 

 

$

1,041

 

Collaboration revenues

 

 

 

442

 

 

 

 

Grant revenues

 

 

 

 

 

 

912

 

Total revenues

 

 

 

5,442

 

 

 

1,953

 

Operating expenses:

 

 

 

 

 

 

 

Research and development

 

 

 

9,023

 

 

 

15,928

 

General and administrative

 

 

 

12,142

 

 

 

8,696

 

In-process research and development

 

 

 

 

 

 

18,860

 

Total operating expenses

 

 

 

21,165

 

 

 

43,484

 

Loss from operations

 

 

 

(15,723

)

 

 

(41,531

)

Other (expense) income:

 

 

 

 

 

 

 

Interest income

 

 

 

325

 

 

 

9

 

Interest expense (with related parties $0 for the year ended December 31, 2023 and $1,659 for the year ended December 31, 2022)

 

 

 

(337

)

 

 

(3,737

)

Change in fair value of rights from Private Placement

 

 

 

1,582

 

 

 

 

Change in fair value measurement of notes payable

 

 

 

(22

)

 

 

(15,280

)

Warrant expense

 

 

 

 

 

 

(3,309

)

Gain on extinguishments of debt, net

 

 

 

 

 

 

341

 

Other income, net

 

 

 

99

 

 

 

54

 

Total other (expense) income, net

 

 

 

1,647

 

 

 

(21,922

)

Net loss

 

 

$

(14,076

)

 

$

(63,453

)

Net (loss) income attributable to noncontrolling interest

 

 

 

23

 

 

 

(45

)

Net loss attributable to Kineta, Inc.

 

 

$

(14,099

)

 

$

(63,408

)

Net loss per share, basic and diluted

 

 

$

(1.28

)

 

$

(12.87

)

Weighted-average shares outstanding, basic and diluted

 

 

 

11,054

 

 

 

4,926

 

 

See the accompanying notes to the consolidated financial statements.

 

113


 

KINETA, INC.

Consolidated Statements of Stockholders’ Equity (Deficit)

(in thousands)

 

 

 

Common Stock

 

 

Additional Paid-In Capital

 

 

Accumulated

 

 

Total Stockholders’ Equity (Deficit) Attributable

 

 

Noncontrolling

 

 

Total Stockholders’

 

 

 

Shares

 

 

Amount

 

 

Amount

 

 

Deficit

 

 

to Kineta

 

 

Interest

 

 

Equity (Deficit)

 

Balance as of December 31, 2021

 

 

4,656

 

 

$

5

 

 

$

76,137

 

 

$

(88,282

)

 

$

(12,140

)

 

$

191

 

 

$

(11,949

)

Issuance of common stock upon
   extinguishment of notes payable and accrued interest

 

 

1,338

 

 

 

1

 

 

 

37,518

 

 

 

 

 

37,519

 

 

 

 

 

 

37,519

 

Issuance of common stock in connection with the Merger

 

 

1,553

 

 

 

1

 

 

 

20,550

 

 

 

 

 

20,551

 

 

 

 

 

 

20,551

 

Issuance of common stock in
  connection with Private Placement, net of transaction costs

 

 

649

 

 

 

1

 

 

 

7,406

 

 

 

 

 

 

7,407

 

 

 

 

 

 

7,407

 

Issuance of warrants to existing stockholders

 

 

 

 

 

 

 

 

3,309

 

 

 

 

 

 

3,309

 

 

 

 

 

 

3,309

 

Rights from Private Placement

 

 

 

 

 

 

 

 

2,250

 

 

 

 

 

 

2,250

 

 

 

 

 

 

2,250

 

Issuance of warrants in connection with convertible debt amendments

 

 

 

 

 

 

 

 

1,639

 

 

 

 

 

 

1,639

 

 

 

 

 

 

1,639

 

Issuance of common stock

 

 

58

 

 

 

 

 

 

1,581

 

 

 

 

 

 

1,581

 

 

 

 

 

 

1,581

 

Note conversion discount

 

 

 

 

 

 

 

 

414

 

 

 

 

 

 

414

 

 

 

 

 

 

414

 

Issuance of common stock upon
   exercise of warrants

 

 

53

 

 

 

 

 

 

71

 

 

 

 

 

 

71

 

 

 

 

 

 

71

 

Issuance of warrants for services

 

 

 

 

 

 

 

 

62

 

 

 

 

 

 

62

 

 

 

 

 

 

62

 

Issuance of common stock upon
   cashless exercise of stock options

 

 

11

 

 

 

 

 

 

 

 

 

 

 

 

 

 

 

 

 

 

 

Stock-based compensation

 

 

 

 

 

 

 

 

5,169

 

 

 

 

 

 

5,169

 

 

 

 

 

 

5,169

 

Net loss

 

 

 

 

 

 

 

 

 

 

 

(63,408

)

 

 

(63,408

)

 

 

(45

)

 

 

(63,453

)

Balance as of December 31, 2022

 

 

8,318

 

 

$

8

 

 

$

156,106

 

 

$

(151,690

)

 

$

4,424

 

 

$

146

 

 

$

4,570

 

Issuance of common stock and pre-funded warrants

 

 

1,185

 

 

 

2

 

 

 

8,559

 

 

 

 

 

8,561

 

 

 

 

 

 

8,561

 

Issuance of common stock for services

 

 

63

 

 

 

 

 

189

 

 

 

 

 

189

 

 

 

 

 

 

189

 

Issuance of common stock upon
   exercise of warrants

 

 

696

 

 

 

 

 

30

 

 

 

 

 

30

 

 

 

 

 

 

30

 

Issuance of common stock upon vesting of RSUs

 

 

135

 

 

 

 

 

(69

)

 

 

 

 

(69

)

 

 

 

 

 

(69

)

Stock-based compensation

 

 

 

 

 

 

 

 

3,854

 

 

 

 

 

3,854

 

 

 

 

 

 

3,854

 

Net loss

 

 

 

 

 

 

 

 

 

 

(14,099

)

 

 

(14,099

)

 

 

23

 

 

 

(14,076

)

Balance as of December 31, 2023

 

 

10,397

 

 

$

10

 

 

$

168,669

 

 

$

(165,789

)

 

$

2,890

 

 

$

169

 

 

$

3,059

 

 

 

 

See the accompanying notes to the consolidated financial statements.

 

114


 

KINETA, INC.

Consolidated Statements of Cash Flows

(in thousands)

 

 

 

Years Ended December 31,

 

 

 

2023

 

 

2022

 

Operating activities:

 

 

 

 

 

 

Net loss

 

$

(14,076

)

 

$

(63,453

)

Adjustments to reconcile net loss to net cash used in operating activities:

 

 

 

 

 

 

Acquired in process research and development

 

 

 

 

 

18,860

 

Change in fair value of rights from Private Placement

 

 

(1,582

)

 

 

 

Change in fair value of notes payable

 

 

22

 

 

 

15,280

 

Non-cash stock-based compensation

 

 

3,854

 

 

 

5,169

 

Warrant expense

 

 

 

 

 

3,309

 

Issuance of warrants in connection with convertible debt amendments

 

 

 

 

 

1,639

 

Non-cash operating lease expense

 

 

739

 

 

 

661

 

Depreciation and amortization

 

 

9

 

 

 

73

 

Common stock issued for services

 

 

189

 

 

 

62

 

Gain on extinguishments of debt, net

 

 

 

 

 

(341

)

Gain on disposal of asset

 

 

(91

)

 

 

(62

)

Changes in operating assets and liabilities:

 

 

 

 

 

 

Prepaid expenses and other current assets

 

 

338

 

 

 

(108

)

Accounts payable

 

 

(2,941

)

 

 

(34

)

Accrued expenses and other current liabilities

 

 

(1,385

)

 

 

1,694

 

Operating lease liability

 

 

(843

)

 

 

(737

)

Deferred revenue

 

 

(442

)

 

 

(1,041

)

Net cash used in operating activities

 

 

(16,209

)

 

 

(19,029

)

Investing activities:

 

 

 

 

 

 

Cash acquired in connection with reverse merger

 

 

 

 

 

9,276

 

Purchases of property and equipment

 

 

 

 

 

(71

)

Proceeds from sale of property and equipment

 

 

331

 

 

 

65

 

Net cash provided by investing activities

 

 

331

 

 

 

9,270

 

Financing activities:

 

 

 

 

 

 

Proceeds from private placement

 

 

 

 

 

7,407

 

Proceeds from notes payable

 

 

 

 

 

6,746

 

Proceeds from issuance of common stock and pre-funded warrants

 

 

8,561

 

 

 

1,581

 

Proceeds from exercise of warrants

 

 

30

 

 

 

71

 

Repayments of notes payable

 

 

 

 

 

(4,000

)

Repayments of finance lease liabilities

 

 

(123

)

 

 

3

 

Net cash provided by financing activities

 

 

8,468

 

 

 

11,808

 

Net change in cash and restricted cash

 

 

(7,410

)

 

 

2,049

 

Cash and restricted cash at beginning of year

 

 

13,268

 

 

 

11,219

 

Cash and restricted cash at end of year

 

$

5,858

 

 

$

13,268

 

Components of cash and restricted cash:

 

 

 

 

 

 

Cash

 

$

5,783

 

 

$

13,143

 

Restricted cash

 

 

75

 

 

 

125

 

Total cash and restricted cash

 

$

5,858

 

 

$

13,268

 

Supplemental disclosure of cash flow information:

 

 

 

 

 

 

Cash paid for interest

 

$

48

 

 

$

2,371

 

Supplemental disclosure of noncash investing and financing activities:

 

 

 

 

 

 

Issuance of common stock as non cash consideration for asset acquisition

 

$

 

 

$

20,551

 

Issuance of common stock upon extinguishment of notes payable and accrued interest

 

$

 

 

$

22,239

 

Net liabilities assumed in connection with asset acquisition

 

$

 

 

$

1,944

 

Withholding to cover taxes from RSU vesting

 

$

69

 

 

$

 

Rights from Private Placement

 

$

 

 

$

2,250

 

Finance lease liabilities arising from obtaining new right-of-use assets

 

$

 

 

$

40

 

 

See the accompanying notes to the consolidated financial statements.

 

115


 

1.
Organization and Liquidity

Description of Business

 

Kineta, Inc. (formerly Yumanity Therapeutics, Inc.) (together with its subsidiaries, the “Company”) is headquartered in Seattle, Washington.

 

The Company is a clinical stage biotechnology company with a mission to develop next-generation immunotherapies that transform patients’ lives. Kineta has leveraged its expertise in innate immunity and is focused on discovering and developing potentially differentiated immunotherapies that address the mechanisms of cancer immune resistance. Kineta Chronic Pain, LLC (“KCP”) was formed to develop new innovative therapies for pain management. Kineta Viral Hemorrhagic Fever, LLC (“KVHF”) was formed to develop a direct acting anti-viral therapy for the treatment of emerging diseases.

As of December 31, 2022, the Company owned a majority interest of the outstanding issued equity of KCP and all of the outstanding issued equity of KVHF. On November 30, 2023, the Company dissolved KVHF and assumed all of the outstanding issued equity. As of December 31, 2023, the Company owns a majority interest of the outstanding issued equity of KCP.

On February 29, 2024, Kineta announced that it had completed a review of its business, including the status of its programs, resources and capabilities. Following this review, Kineta determined that it would implement a significant corporate restructuring to substantially reduce expenses and preserve cash. The restructuring includes a reduction in its workforce by approximately 64% and the termination of enrollment of new patients in its ongoing VISTA-101 Phase 1/2 clinical trial evaluating KVA12123 in patients with advanced solid tumors. Patients currently enrolled in the trial will be permitted to continue to participate. The Company made this decision, in part, because certain investors have indicated they will not be able to fulfill their contractual obligation to consummate the Private Placement (as defined below). In February 2024, the Company initiated a process to explore a range of strategic alternatives to maximize shareholder value. Potential strategic alternatives that may be evaluated include sale of assets of the Company, a sale of the Company, licensing of assets, a merger, liquidation or other strategic action. There is no set timetable for this process and there can be no assurance that this process will result in the Company pursuing a transaction or that any transaction, if pursued, will be completed on attractive terms. Additionally, there can be no assurances that any particular course of action, business arrangement or transaction, or series of transactions, will be pursued, successfully consummated, or lead to increased stockholder value. If the strategic process is unsuccessful, our board of directors may decide to pursue a liquidation or obtain relief under the US Bankruptcy Code.

Reverse Merger and Private Placement

 

On December 16, 2022, Yumanity Therapeutics, Inc. (“Yumanity”) completed its previously announced merger transaction with Kineta Operating, Inc. (formerly Kineta, Inc.) (“Private Kineta”) in accordance with the terms of the Agreement and Plan of Merger dated June 5, 2022, as amended on December 5, 2022 (the “Merger Agreement”), pursuant to which Yacht Merger Sub, Inc., a wholly-owned subsidiary of Yumanity (“Merger Sub”), merged with and into Private Kineta, with Private Kineta surviving such merger as a wholly-owned subsidiary of Yumanity (the “Merger”). The surviving corporation from the Merger subsequently merged with and into Kineta Operating, LLC, with Kineta Operating, LLC being the surviving corporation. On December 16, 2022, in connection with, and prior to the completion of the Merger, Yumanity effected a 1-for-7 reverse stock split of its common stock (the “Reverse Stock Split”). Immediately following the Merger, Yumanity changed its name to “Kineta, Inc.” and the business conducted by Private Kineta became the primary business conducted by the Company.

 

At the effective time of the Merger, each outstanding share of Private Kineta common stock was converted into the right to receive 0.0688 (the “Exchange Ratio”) shares of common stock of the Company (after giving effect to the Reverse Stock Split). In addition, the Company also assumed all of Private Kineta’s outstanding stock options, warrants, and restricted stock at the Exchange Ratio. Unless otherwise noted herein, references to the Company’s common share and per-share amounts give retroactive effect to the Reverse Stock Split and Exchange Ratio. The Merger has been accounted for as a reverse merger and asset acquisition (see Note 3).

In connection and concurrently with the execution of the Merger Agreement, on June 5, 2022, the Company entered into a financing agreement, as amended on October 24, 2022, December 5, 2022, March 29, 2023, May 1, 2023, July 21, 2023 and October 13, 2023 (such financing agreement, as amended, the “Securities Purchase Agreement”), to sell shares of the Company’s common stock in a private placement (the “Private Placement”). The first closing of the Private Placement occurred on December 16, 2022, and the Company issued 649,346 shares of its common stock and received net proceeds of $7.4 million. The second closing of the Private Placement for an aggregate purchase price of $22.5 million was expected to occur on April 15, 2024 (see Notes 9 and 16). However, in February 2024, certain investors indicated they will not be able to consummate the second closing of the Private Placement.

Going Concern and Capital Resources

The Company has incurred recurring net losses and negative cash flows from operations since inception and, as of December 31, 2023, had an accumulated deficit of $165.8 million. The net loss attributable to the Company was $14.1 million for the year ended December 31, 2023. As of December 31, 2023, the Company had unrestricted cash of $5.8 million, and there is substantial doubt about its ability to continue as a going concern. Based on Kineta’s current operating plans, Kineta does not have sufficient cash and cash equivalents to fund its operating expenses and capital expenditures for at least the next 12 months from the filing date of this Annual Report on Form 10-K.

 

116


KINETA, INC.

Notes to Consolidated Financial Statements

 

Kineta is exploring strategic alternatives that may include, but are not limited to, sale of assets of the Company, a sale of the Company, licensing of assets, a merger, liquidation or other strategic action.

 

Kineta may seek additional funds through equity or debt financings or through collaborations, licensing transactions or other sources that may be identified through the Company’s strategic process. However, there can be no assurance that Kineta will be able to complete any such transactions on acceptable terms or otherwise. The failure to obtain sufficient funds on commercially acceptable terms when needed would have a material adverse effect on Kineta’s business, results of operations, and financial condition. These factors raise substantial doubt about Kineta’s ability to continue as a going concern.

 

Kineta does not currently have any commitments for future funding or additional capital other than the Private Placement. However, as noted above, certain investors have indicated they will not be able to fulfill their contractual obligation to consummate the Private Placement. As such, Kineta has paused or significantly scaled back the development or commercialization of its future product candidates or other research and development initiatives. If Kineta is unable to complete a strategic transaction or raise additional capital in sufficient amounts, Kineta will not be able to continue its business and the Company may need to file for bankruptcy protection.

COVID-19

While the Company continues to monitor the impact of the COVID-19 pandemic on its business, the extent of the impact of the pandemic on its business, operations and clinical development timelines and plans will depend on future developments, including the severity and duration of any resurgence of COVID-19 and its variants. Clinical trial sites in many countries, including those in which the Company operates, in the past have incurred delays due to COVID-19. Certain of the sites in the KCP-506 Phase 1 clinical trial incurred delays due to COVID-19 that resulted in a delay in the results from that study.

The pandemic in the past has caused significant disruptions in the financial markets, and in the future may cause such disruptions, which could impact the Company’s ability to raise additional funds to support its operations.

 

To date, the Company has not incurred impairment losses in the carrying values of its assets as a result of the pandemic and it is not aware of any specific related event or circumstance that would require it to revise its estimates reflected in these consolidated financial statements.

Geopolitical Developments

Geopolitical developments, such as the current conflict in Ukraine and the conflict in Israel and the Gaza Strip or deterioration in the bilateral relationship between the United States and China, may impact government spending, international trade and market stability, and cause weaker macro-economic conditions. The impact of these developments, including any resulting sanctions, export controls or other restrictive actions that may be imposed against governmental or other entities in, for example, Russia, have in the past contributed and may in the future contribute to disruption, instability and volatility in the global markets, which in turn could adversely impact the Company’s operations and weaken the Company’s financial results. Certain political developments may also lead to uncertainty to regulations and rules that may materially affect the Company’s business.

2.
Summary of Significant Accounting Policies

Basis of Presentation and Consolidation

The accompanying consolidated financial statements have been prepared in accordance with U.S. generally accepted accounting principles (“U.S. GAAP”) and applicable SEC rules regarding annual financial reporting. The consolidated financial statements include all accounts of the Company, its majority owned subsidiary KCP, and its wholly owned subsidiary, KVHF. On November 30, 2023, the Company dissolved KVHF and assumed all of the outstanding issued equity. All intercompany transactions and balances have been eliminated upon consolidation.

Noncontrolling interest in the accompanying consolidated financial statements represents the proportionate share of equity which is not held by the Company. Net income (loss) of the non wholly-owned consolidated subsidiary is allocated to the Company and the holder(s) of the noncontrolling interests in proportion to their percentage ownership considering any preferences specific to the form of equity of the subsidiaries.

Use of Estimates

The preparation of financial statements in conformity with U.S. GAAP requires management to make estimates and assumptions that affect the reported amounts in the consolidated financial statements and accompanying notes. These estimates form the basis for judgments the Company makes about the carrying values of assets and liabilities, the disclosure of contingent assets and liabilities at the date of the consolidated financial statements and the reported amounts of revenue and expense during the reporting periods. The Company bases its estimates and judgments on historical experience and on various other assumptions that the Company believes are reasonable under the circumstances. These estimates are based

 

117


KINETA, INC.

Notes to Consolidated Financial Statements

on management’s knowledge about current events and expectations about actions the Company may undertake in the future. These judgments, estimates and assumptions are used for, but not limited to, revenue recognition, accrued research and development expenses, the fair value of notes payable, the fair value of the Company’s common stock prior to the Merger, stock-based compensation, uncertain tax positions and the valuation allowance for net deferred tax assets. Actual results may differ from the Company’s estimates.

 

Foreign Currencies

 

The Company’s subsidiaries are all located in the U.S. with the U.S. dollar as the functional currency. Certain insignificant transactions during the years ended December 31, 2023 and 2022 were denominated in currencies other than the U.S. dollar. Gains and losses from foreign currency transactions, translated using the average exchange rates prevailing during the respective periods, were not material for all periods presented and are reflected in the consolidated statements of operations as a component of other (expense) income, net.

Segment Reporting

 

Operating segments are identified as components of an enterprise about which separate discrete financial information is available for evaluation by the chief operating decision maker (the “CODM”), or decision-making group, in making decisions on how to allocate resources and assess performance. The Company’s Chief Executive Officer and President collectively serve as the CODM. The Company views its operations and manages its business in one operating segment.

Risks and Uncertainties

The Company is subject to certain risks and uncertainties associated with companies at a similar stage of development, including, but not limited to: successfully develop, manufacture, and market any approved therapies and products, obtain regulatory approval from the U.S. Food and Drug Administration or foreign regulatory agencies prior to commercial sales, new technological innovations, dependence on key personnel, protection of intellectual property, compliance with governmental regulations, uncertainty of market acceptance of any approved therapies and products, competition from companies with greater financial and technical resources, and the need to obtain additional financing.

Cash and Restricted Cash

 

Cash includes cash deposited at several financial institutions in operating accounts. Restricted cash relates to a certificate of deposit with a financial institution to secure a letter of credit obtained for the Company’s leased premises. Restricted cash unavailable for a period longer than one year from the consolidated balance sheet date is classified as a noncurrent asset in the consolidated balance sheets.

Concentrations of Credit Risk

 

Financial instruments that potentially expose the Company to significant concentrations of credit risk consist primarily of cash deposited in accounts at several financial institutions that may exceed federally insured limits. The Company is exposed to credit risk in the event of a default by the financial institutions holding its cash to the extent recorded in the consolidated balance sheets. The Company believes it is not exposed to unusual credit risk beyond the normal credit risk associated with commercial banking relationships and has not incurred any such losses to date.

 

Fair Value of Financial Instruments

Fair value is defined as the price that would be received to sell an asset or paid to transfer a liability (an exit price) in the principal or most advantageous market for the asset or liability in an orderly transaction between market participants at the measurement date. The Company measures fair value by maximizing the use of observable inputs, where available, and minimizing the use of unobservable inputs when measuring fair value. Financial assets and liabilities recorded at fair value in the consolidated balance sheets are categorized in the fair value hierarchy based upon the lowest level of input that is significant to the fair value as follows:

Level 1 — Quoted prices in active markets for identical assets or liabilities.

Level 2 — Observable inputs (other than quoted prices included in Level 1), such as quoted prices in active markets for identical or similar assets or liabilities, quoted prices in markets that are not active for identical or similar assets of liabilities in markets, or other inputs that are observable or can be corroborated by observable market data.

Level 3 — Unobservable inputs that are supported by little or no market activity and that are significant to determining the fair value of the assets or liabilities.

 

To the extent that the valuation is based on models or inputs that are less observable or unobservable in the market, the determination of fair value requires more judgment. Accordingly, the degree of judgment exercised by the Company in determining fair value is greatest for instruments categorized in Level 3. A financial instrument’s level within the fair value hierarchy is based on the lowest level of any input that is significant to the fair value of the instrument.

 

118


KINETA, INC.

Notes to Consolidated Financial Statements

Rights from Private Placement

The Company determined that the rights from Private Placement is a derivative asset, which requires the asset to be accounted for and reported at fair value on the balance sheet. The fair value is determined using a Monte Carlo simulation based on the contractual funding date at the measurement date, minimum contractual purchase price and historical stock prices. The significant unobservable inputs used in the fair value measurement are volatility, risk-free interest rates and funding probability.

Property and Equipment, Net

 

Property and equipment, net is stated at cost less accumulated depreciation and amortization. Depreciation of property and equipment is computed using the straight-line method over the estimated useful lives of the assets, which is five to seven years. Costs of major additions and betterments are capitalized and depreciated on a straight-line basis over their estimated useful lives. Leasehold improvements are amortized using the straight-line method over the lesser of the estimated useful lives of the assets or the remaining term of the lease. Upon sale or retirement of the assets, the cost and related accumulated depreciation are removed from the consolidated balance sheets and the resulting gain or loss is recognized in the consolidated statements of operations. Expenditures for maintenance and repairs are expensed as incurred.

Impairment of Long-Lived Assets

 

The Company reviews the carrying amount of its long-lived assets, including property and equipment and right-of-use assets, for impairment whenever events or changes in business circumstances indicate that the carrying amount of the assets may not be fully recoverable. If indicators of impairment exist, an impairment loss is recognized when the estimated undiscounted future cash flows expected to result from the use of the asset and its eventual disposition are less than its carrying amount. The impairment charge is determined based upon the excess of the carrying value of the asset over its estimated fair value, with estimated fair value determined based upon an estimate of discounted future cash flows or other appropriate measures of estimated fair value. Estimating discounted cash flows requires the Company to make significant judgments and assumptions. Actual results may vary from the Company’s estimates as of the date of impairment testing and adjustments may occur in future periods. For the years ended December 31, 2023 and 2022, there were no impairments of long-lived assets.

Fair Value Option

The Company has elected the fair value option to account for certain of its notes payable (see Note 6). The Company concluded that it was appropriate to apply the fair value option to these certain notes payable because no component of the notes payable were required to be recognized as a component of stockholders’ equity. The Company recorded these notes payable at their estimated fair value with changes in estimated fair value recorded as a component of other (expense) income in the consolidated statement of operations. Under the fair value option, any direct costs and fees related to the notes payable are expensed as incurred.

 

Leases

 

The Company determines at the inception of a contract if such arrangement is or contains a lease by assessing whether it conveys the right to control the use of an identified asset for a period of time in exchange for consideration. If a lease is identified, classification is determined at lease commencement as an operating lease or finance lease. The Company recognizes a right-of-use (“ROU”) asset and a lease liability in the consolidated balance sheets for all leases with an initial term of greater than 12 months. Leases with an initial term of 12 months or less are not recognized in the consolidated balance sheets, with payments recognized as expense on a straight-line basis over the lease term.

 

Lease liabilities are recognized at the present value of the future lease payments at the lease commencement date. The present value of future lease payments is determined by using the implicit interest rate in the lease, if readily determinable, otherwise, the Company estimates its incremental borrowing rate at the inception of the lease to discount lease payments. The incremental borrowing rate reflects the estimated interest rate that the Company would have to pay to borrow on a collateralized basis an amount equal to the lease payments in a similar economic environment over a similar term. ROU assets are determined based on the corresponding lease liability adjusted for any lease payments made at or before commencement, initial direct costs, and lease incentives. The ROU asset also includes impairment charges if the Company determines the ROU asset is impaired. Lease expenses are recognized, and the ROU assets are amortized on a straight-line basis over the lease term. The Company has elected to not separate lease and non-lease components for its leased assets and accounts for all lease and non-lease components of its agreements as a single lease component. Variable costs are not included in the measurement of ROU assets and lease liabilities, which are expensed as incurred.

 

The Company considers a lease term to be the noncancelable period that it has the right to use the underlying asset, including any periods where it is reasonably assured the Company will exercise the option to extend the contract.

Warrants to Purchase Common Stock

 

 

119


KINETA, INC.

Notes to Consolidated Financial Statements

The Company has issued warrants to purchase the Company’s common stock in connection with the execution of certain equity and debt financings and other agreements. The fair value of warrants is determined using the Black- Scholes option-pricing model using assumptions regarding volatility of the Company’s common share price, remaining life of the warrant, and risk-free interest rates. The Company classifies warrants indexed to its own equity and meeting the criteria for equity classification within the consolidated statements of stockholders’ equity.

Asset Acquisitions

 

Acquisitions of assets or a group of assets that do not meet the definition of a business are accounted for as asset acquisitions, with a cost accumulation model used to determine the cost of the acquisition. Common stock issued as consideration in an acquisition of assets is generally measured based on the acquisition date fair value of the equity interests issued. Direct transaction costs are recognized as part of the cost of an acquisition of assets. Intangible assets that are acquired in an asset acquisition for use in research and development activities that have an alternative future use are capitalized as in-process research and development ("IPR&D"). Acquired IPR&D that has no alternative future use is expensed immediately in the consolidated statements of operations.

Revenue Recognition

 

Collaboration Revenues

 

The Company recognizes collaboration revenue using the cost-to-cost method, which it believes best depicts the transfer of control to the customer. Under the cost-to-cost method, the extent of progress towards completion is measured based on the ratio of actual costs incurred to the total estimated costs expected upon satisfying the identified performance obligation. Under this method, revenue is recognized as a percentage of actual cost incurred to the estimated costs to complete.

 

License Revenues

The Company enters into license agreements under which it licenses certain intellectual property rights to its product candidates to third parties. The terms of these arrangements typically include payment to the Company of one or more of the following: nonrefundable upfront fees, payment for research and development services provided by the Company under approved work plans, development, regulatory and commercial milestone payments, and sales-based milestones and royalties on net sales of licensed products. Each of these payments results in license revenues, except for revenues from royalties, which are classified as other revenues.

In determining the appropriate amount of revenue to be recognized as the Company fulfills its obligations under each of its agreements, the Company performs the following five steps: (i) identification of the contract(s) with a customer, (ii) determination of whether the promised goods or services are performance obligations, including whether they are distinct in the context of the contract, (iii) measurement of the transaction price, including the constraint on any variable consideration, (iv) allocation of the transaction price to the performance obligations in the contract, and (v) recognition of revenue when (or as) the Company satisfies each performance obligation.

As part of the accounting for arrangements containing multiple performance obligations, the Company develops assumptions that require judgment to determine the stand-alone selling price for each performance obligation identified in the contract. The Company uses key assumptions to determine the stand-alone selling price, which may include forecasted revenues, development timelines, reimbursement rates for personnel costs, discount rates and probabilities of technical and regulatory success. The Company expects to recognize revenue for variable consideration being constrained when it is probable that a significant revenue reversal will not occur. For performance obligations satisfied over time, the Company estimates the efforts needed to complete the performance obligation and recognizes revenue by measuring the progress towards complete satisfaction of the performance obligation using an input measure.

For arrangements that include development and regulatory milestones, the Company evaluates whether the milestones are considered probable of being reached and estimates the amount to be included in the transaction price using the most likely amount method. If it is probable that a significant revenue reversal would not occur, the associated milestone value is included in the transaction price. Milestone payments that are not within the Company’s control or the licensee’s control, such as regulatory approvals, are generally not considered probable of being achieved until those approvals are received.

For arrangements that include sales-based royalties, including commercial milestone payments based on pre-specified level of sales, the Company recognizes revenue at the later of (i) when the related sales occur, or (ii) when the performance obligation to which some or all of the royalty has been allocated has been satisfied. Achievement of these royalties and commercial milestones may solely depend upon the performance of the licensee.

Upfront payments are recorded as deferred revenue upon receipt or when due and may require deferral of revenue recognition to a future period until the Company performs its obligations under these arrangements. Amounts are recorded as accounts receivable when the Company’s right to consideration is unconditional. The Company does not assess whether a contract has a significant financing component if the expectation at contract inception is such that the period between payment by the customer and the transfer of the promised goods or services to the customer will be one year

 

120


KINETA, INC.

Notes to Consolidated Financial Statements

or less.

 

Grant Revenues

 

Grants received, including cost reimbursement agreements, are assessed to determine if the agreement should be accounted for as an exchange transaction or a contribution. An agreement is accounted for as a contribution if the resource provider does not receive commensurate value in return for the assets transferred. Contributions are recognized as grant revenue when all donor-imposed conditions have been met.

Research and Development Expenses

 

Research and development expenses represent costs incurred in connection with the discovery, research, preclinical and clinical development, and manufacture of our product candidates. Research and development costs are expensed as incurred and consist of salaries, benefits, and other personnel related costs, including stock-based compensation, fees paid to other entities to conduct certain research and development activities on the Company’s behalf, materials for preclinical studies, clinical studies and laboratory supplies, licensing agreements and associated costs as well as allocated facility and allocated expenses for rent, insurance and other related costs. Nonrefundable advance payments for goods or services that will be used or rendered for future research and development activities are deferred and capitalized as prepaid expenses until the related goods are delivered or services are performed.

Accrued Research and Development Expenses

The Company records accrued expenses for estimated costs of its research and development activities conducted by third-party service providers, such as contract research organizations, contract manufacturing and other vendors, which include the conduct of preclinical studies, clinical trials and contract manufacturing activities. The Company records the estimated costs of research and development activities based upon the estimated amount of services provided but not yet invoiced and includes these costs in accrued expenses and other current liabilities in the consolidated balance sheets and within research and development expenses in the consolidated statements of operations. The Company records accrued expenses for these costs based on the estimated amount of work completed and in accordance with agreements established with these third parties, according to the progress of preclinical studies, clinical trials or related activities, and discussions with applicable personnel and service providers as to the progress or state of consummation of goods and services.

The Company makes significant judgments and estimates in determining the accrued balance as of each reporting period. As actual costs become known, the Company adjusts its accrued estimates based on the facts and circumstances known at that time. The Company’s accrued research and development expenses are dependent, in part, upon the receipt of timely and accurate reporting from its third-party service providers. To date, there have been no material differences from the Company’s accrued expenses to its actual expenses.

 

 

General and Administrative Expenses

 

General and administrative expenses consist primarily of employee-related expenses, including salaries, benefits and noncash stock-based compensation for personnel in executive, finance and accounting, and other administrative functions, as well as fees paid for legal, accounting and tax services, consulting fees and facilities costs not otherwise included in research and development expenses. Legal costs include general corporate legal fees and patent costs. General and administrative expenses are expensed as incurred.

Stock-Based Compensation

The Company measures stock-based compensation related to stock-based awards granted to employees, non-employees and directors based on the estimated grant-date fair value of the awards and recognizes the related expense on a straight-line basis over the requisite service period (generally the vesting period). The Company uses the Black-Scholes option-pricing model to estimate the fair value of its stock options. The fair value of restricted stock units (“RSUs”) is estimated based on the fair value of the Company’s common stock at the grant date. For RSUs with performance vesting conditions, the Company evaluates the probability of achieving the performance condition at each reporting date and recognizes expense for such performance awards over the requisite service period using the accelerated attribution method. Forfeitures are recorded as incurred.

 

The Black-Scholes option pricing model requires the Company to make assumptions and judgments about the inputs used in the calculations as follows:

Expected Term – The Company’s expected term represents the period that the stock-based awards are expected to be outstanding and is determined using the simplified method (based on the mid-point between the vesting date and the end of the contractual term) for employee options.

 

Exercise Price – The Company grants stock-based awards using the current share price of its common stock on the date of the award.

 

Expected Volatility – As the Company has only been a publicly-traded company for one year, the expected volatility is estimated based on the average volatility for a group of comparable publicly traded biotechnology companies over a period equal to the expected term of the stock

 

121


KINETA, INC.

Notes to Consolidated Financial Statements

option grants. The comparable companies were chosen based on their similar industry, size, or stage in the product development life cycle and financial leverage.

 

Risk-Free Interest Rate – The risk-free interest rate is based on the U.S. Treasury zero coupon issues in effect at the time of grant for periods corresponding with the expected term of option.

 

Expected Dividend – Other than the Distribution, the Company has never paid dividends on its common stock and has no plans to pay dividends on its common stock. Therefore, it uses an expected dividend yield of zero.

 

Other (Expense) Income

 

Interest Income

Interest income consists of interest earned on short term money market accounts.

 

Interest Expense

Interest expense consists of interest charged on outstanding invoices and outstanding borrowings associated with the Company’s debt arrangements primarily consisting of borrowings under several notes payable agreements. Interest is expensed when incurred.

 

 

Change in Fair Value of Rights from Private Placement

The Company determined that the rights from Private Placement is a derivative asset, which requires the asset to be accounted for at fair value. Until settlement, the rights from Private Placement are remeasured at fair value at each reporting period with the changes in fair value recorded in other income (expense) in the Statement of Operations.

 

Change in Fair Value Measurement of Notes Payable

Change in fair value of notes payable relates to the remeasurement of the notes payable that the Company elected to account for under the fair value option. Until settlement, these notes payable are remeasured at fair value at each reporting period with the changes in fair value recorded in other income (expense) in the Statement of Operations.

 

Warrant expense

Warrant expense relates to warrants issued to current debt holders that converted their debt to equity in 2022. The expense was determined as the fair value of the warrants provided upon issuance.

Income Taxes

 

Income taxes are accounted for using the asset and liability method. Deferred tax assets and liabilities are recognized for the future tax consequences attributable to differences between the financial statement carrying amounts or existing assets and liabilities and their respective tax bases. Deferred tax assets and liabilities are measured using the enacted tax rates expected to apply to taxable income in the years in which those temporary differences are expected to be recovered or settled. The effect on deferred tax assets and liabilities of a change in tax rates is recognized in income in the period of enactment. The Company records a valuation allowance to reduce deferred tax assets to an amount expected to be realized.

 

The Company recognizes the tax benefit from an uncertain tax position if it is more likely than not that the tax position will be sustained upon examination by the tax authorities, based on the merits of the position. The Company’s policy is to recognize interest and penalties related to the underpayment of income taxes as a component of income tax expense or benefit. To date, there have been no interest or penalties charged in relation to the unrecognized tax benefits.

Net Loss Per Share

 

Basic net loss per share is calculated by dividing net loss attributable to the Company by the weighted-average number of shares of common stock outstanding during the period, without consideration for common stock equivalents. Diluted net loss per share is the same as basic net loss per share, since the effects of potentially dilutive securities are antidilutive given the net loss for each period presented. In computing basic net loss per share, nominal issuances of common stock, including warrants to purchase the Company’s common stock with exercise prices of $0.001 and $0.14 per share, are reflected in basic net loss per share for all periods, even if antidilutive.

Comprehensive Loss

 

Comprehensive loss represents the change in the Company’s stockholders’ equity from all sources other than investments by or distributions to stockholders. The Company has no items of other comprehensive loss, and as such, net loss is the same as comprehensive loss.

 

Accounting Pronouncements

 

122


KINETA, INC.

Notes to Consolidated Financial Statements

 

In December 2023, the Financial Accounting Standards Board issued Accounting Standards Update (“ASU”) No. 2023-09, Improvements to Income Tax Disclosures. This new guidance enhances income tax disclosures related to effective tax rates and cash income taxes paid and aims to enhance transparency and provide investors with better insights into income tax matters. ASU 2023-09 is effective for annual periods beginning after December 15, 2024 and can be applied prospectively or retrospectively. The Company has not adopted ASU 2023-09 yet and does not expect the adoption of this ASU to have a material impact on the Company’s consolidated financial statements.

 

3.
Reverse Merger

 

On December 16, 2022, the Company completed the Merger with Private Kineta (see Note 1). The transaction was determined to be a reverse merger primarily based on the fact that, immediately following the Merger: (i) Private Kineta’s shareholders own a majority (80%) of the common stock of the Company, (ii) Private Kineta designated a majority of the members of the initial board of directors of the combined organization and (iii) Private Kineta’s senior management hold all key positions in the senior management of the combined organization. At the closing of the Merger, all shares of Private Kineta common stock were exchanged for an aggregate of 6,115,000 shares the Company’s common stock. The reverse merger was accounted for as an acquisition of assets as substantially all of the fair value was concentrated in cash and IPR&D. In connection with the Merger, the authorized shares of common stock of the Company are 125,000,000 with par value of $0.001.

 

 

 

(in thousands)

 

Number of shares owned by Yumanity shareholders (1)

 

 

1,553

 

Multiplied by fair value per share of Yumanity common stock (2)

 

$

13.23

 

Fair value of shares of combined organization owned by Yumanity shareholders

 

 

20,551

 

Transaction costs (3)

 

 

5,641

 

Total purchase price

 

$

26,192

 

 

(1)
The number of shares represents 1,551,000 shares of Yumanity common stock outstanding as of December 16, 2022 and 2,000 shares of restricted stock units and reflects the impact of the Reverse Stock Split.
(2)
Based on the closing price of Yumanity common stock on the Nasdaq Capital Market on December 16, 2022, the closing date of the Merger and after giving effect to the Reverse Stock Split.
(3)
Transaction costs primarily relate to bank fees and professional fees associated with legal counsel.

The purchase price for the Merger was allocated to the assets acquired and liabilities on a relative fair value basis as follows

 

 

 

(in thousands)

 

Assets:

 

 

 

Cash and cash equivalents

 

$

9,226

 

Accounts receivable

 

 

100

 

Prepaid expenses and other current assets

 

 

176

 

Property and equipment, net

 

 

65

 

Restricted cash

 

 

50

 

In-process research and development

 

 

18,860

 

Liabilities:

 

 

 

Accounts payable

 

 

(296

)

Accrued expenses and other current liabilities

 

 

(1,547

)

Deferred revenue

 

 

(442

)

Total purchase price

 

$

26,192

 

 

The acquired in-process research and development assets relate to three product candidates. Due to the early stages of development of these assets at the date of acquisition, it was not probable that there was future economic benefit from the assets and there was no alternative future use associated with the assets. Accordingly, the acquired IPR&D was expensed in the consolidated statement of operations for the year ended December 31, 2022.

4.
Fair Value Measurements

The carrying amounts of the Company’s financial instruments, including cash, restricted cash, and accounts payable, approximate fair value due to the short-term nature of those instruments.

 

Rights from Private Placement

 

In connection and concurrently with the execution of the Merger Agreement, on June 5, 2022, the Company entered into a financing agreement, as amended on October 24, 2022, December 5, 2022 and March 29, 2023 May 1, 2023, July 21, 2023 and October 13, 2023 (such financing agreement,

 

123


KINETA, INC.

Notes to Consolidated Financial Statements

as amended, the “Securities Purchase Agreement”), to sell shares of the Company’s common stock in a private placement (the “Private Placement”). The first closing of the Private Placement closed on December 16, 2022, and the Company issued 649,346 shares of its common stock and received net proceeds of $7.4 million. The second closing of the Private Placement for an aggregate purchase price of $22.5 million was expected to occur on April 15, 2024. However, in February 2024, certain investors indicated they will not be able to consummate the second closing of the Private Placement. With respect to the second closing, the Company is obligated to sell and issue a number of shares of its common stock and the investors are obligated to buy such shares by the specified date and price equal to the volume-weighted average price of Company common stock for the five trading days prior to closing on April 15, 2024 (“VWAP”) plus 10% of the VWAP; provided, however, that the share purchase price shall be at least equal to the closing price of the Company’s common stock on March 29, 2023.

 

The Company determined that the rights from Private Placement is a derivative asset, which requires the asset to be accounted for at fair value. The fair value was determined using a Monte Carlo simulation based on the contractual funding date at the measurement date, minimum contractual purchase price of $3.18 and historical stock prices. The significant unobservable inputs used in the fair value measurement for the year ended December 31, 2023 were as follows: volatility ranging from of 76.0% to 114.0%, risk-free interest rates ranging from 4.7% to 5.5% and funding probability of 75%, which resulted in a gain in fair value of $1.6 million for the year ended December 31, 2023, which is recorded in other income (expense) in the Statement of Operations. The fair value measurement as of December 31, 2023 was approximately $3.8 million. The fair value measurement as of December 31, 2022 was approximately $2.3 million and there was no change in fair value for the year ended December 31, 2022.

 

The following table provides a summary of the changes in the fair value of the rights from Private Placement measured using Level 3 inputs:

 

 

 

Years Ended December 31,

 

 

 

2023

 

 

2022

 

 

 

(in thousands)

 

Balance at beginning of period

 

$

2,250

 

 

$

 

Increase from Private Placement

 

 

 

 

 

2,250

 

Change in fair value of rights from Private Placement

 

 

1,582

 

 

 

 

Balance at end of period

 

$

3,832

 

 

$

2,250

 

2022 & 2020 Notes Payable

The Company elected the fair value option to account for certain convertible notes payable and notes payable, referred to as the 2022 convertible notes, 2020 convertible notes and 2020 notes (see Note 6), respectively, and collectively the 2022 & 2020 notes payable. The 2020 convertible notes and 2020 notes are referred to as the 2020 notes payable. Upon the closing of the Merger in December 2022, the 2022 convertible notes and 2020 convertible notes were settled with shares of the Company’s common stock (see Note 6).

2022 Convertible Notes

February 2022 and April 2022 Convertible Notes

The 2022 convertible notes issued in February 2022 and April 2022 were valued using a scenario-based analysis and a discounted cash flow model. Two primary scenarios were considered: the qualified financing scenario and the automatic conversion scenario. The value of these 2022 convertible notes under each scenario was probability weighted to arrive at the estimated fair value for the notes. The qualified financing scenario considers the value impact of conversion at the stated discount to the issue price if the Company completes a qualifying financing event before the maturity date. The automatic conversion scenario estimates the timing of such conversion.

The significant unobservable inputs used in the fair value measurement of these 2022 convertible notes during 2022 prior to settlement in December 2022 were as follows: discount rate ranging from 33.6% to 41.2%, timing of the qualified financing ranging from 0.2 years to 0.6 years, timing of the automatic conversion scenario ranging from 0.4 years to 1.0 year, probability of a qualified financing ranging from 80% to 90% and probability of automatic conversion ranging from 10% to 20%, which resulted in a fair value of these 2022 convertible notes ranging from $4.8 million to $5.3 million.

August 2022, September 2022 and October 2022 Convertible Notes

The Company also issued 2022 convertible notes in August 2022, September 2022 and October 2022 that were issued and accounted for at fair value (see Note 6).

The significant unobservable inputs used in the fair value measurement of these 2022 convertible notes from inception prior to settlement in December 2022 were as follows: discount rate of 41.2%, timing of the repayment scenario based on contractual maturity date of 2.0 years and timing of the automatic conversion scenario of 0.2 years, which resulted in a fair value of these 2022 convertible notes of $0.8 million.

2020 Convertible Notes

 

124


KINETA, INC.

Notes to Consolidated Financial Statements

The 2020 convertible notes were valued using a scenario-based analysis and a discounted cash flow model. Two primary scenarios were considered: the qualified financing scenario and the repayment scenario. The value of the 2020 convertible notes under each scenario was probability weighted to arrive at the estimated fair value for the notes. The qualified financing scenario considers the value impact of conversion at the stated discount to the issue price if the Company completes a qualifying financing event before the maturity date. The repayment scenario considers payment of principal at the contractual maturity dates.

The significant unobservable inputs used in the fair value measurement of the 2020 convertible notes during 2022 prior to settlement in December 2022 were as follows: discount rates ranging from 13.0% to 41.2%, timing of the qualified financing ranging from 0.2 years to 0.75 years, timing of the repayment scenarios based on contractual maturity dates ranging from 0.25 years to 1.25 year, probability of a qualified financing ranging from 80% to 90% and probability of repayment ranging from 10% to 20%, which resulted in a fair value range for the 2020 convertible notes of $11.3 million to $16.2 million.

2020 Notes

The 2020 notes were valued using a discounted cash flow model based on the contractual payment dates, a discount rate and the contractual maturity date. The significant unobservable inputs used in the fair value measurement of the 2020 note for the year ended December 31, 2023 were as follows: discount rates ranging from 13.0% to 15.0% and contractual payment dates ranging from 0.6 years to 1.3 years, which resulted in a fair value range for the 2020 note of $225,000 to $241,000. The significant unobservable inputs used in the fair value measurement of the 2020 notes for the year ended December 31, 2022 were as follows: discount rate ranging from 13.0% to 41.2% and contractual payment dates ranging from 0.1 years to 1.8 years, which resulted in a fair value range for the 2020 notes of $0.2 million to $1.6 million.

The following table provides a summary of the changes in the fair value of the Company’s 2022 & 2020 notes payable measured using Level 3 inputs:

 

 

 

Years Ended December 31,

 

 

 

2023

 

 

2022

 

 

 

(in thousands)

 

Balance at beginning of period

 

$

219

 

 

$

17,830

 

Change in fair value of 2022 & 2020 notes payable

 

 

22

 

 

 

15,280

 

Issuance of 2022 convertible notes

 

 

 

 

 

6,746

 

Change in fair value of debt extinguishment

 

 

 

 

 

(673

)

Partial settlement of 2020 notes payable

 

 

 

 

 

(4,000

)

Settlement of 2022 & 2020 notes payable

 

 

 

 

 

(34,964

)

Balance at end of period

 

$

241

 

 

$

219

 

 

 

5.
Balance Sheet Components

Property and Equipment, Net

Property and equipment, net consisted of the following:

 

 

 

December 31,

 

 

 

2023

 

 

2022

 

 

 

(in thousands)

 

Laboratory equipment

 

$

 

 

$

779

 

Computer and software

 

 

 

 

 

73

 

Leasehold improvements

 

 

 

 

 

14

 

Total property and equipment

 

 

 

 

 

866

 

Less: Accumulated depreciation and amortization

 

 

 

 

 

617

 

Total property and equipment, net

 

$

 

 

$

249

 

 

Depreciation and amortization expense was $9,000 for the year ended December 31, 2023 and $73,000 for the year ended December 31, 2022. The Company has acquired certain laboratory equipment under agreements that are classified as finance leases. The carrying value of the equipment under finance leases included in the balance sheet as property and equipment was zero as of December 31, 2023 and $123,000 as of December 31, 2022, net of accumulated depreciation. During the year ended December 31, 2023, the Company disposed of assets with a net carrying value of $240,000 and received proceeds of $331,000. During the year ended December 31, 2022, the Company disposed of assets with a net carrying value of $3,000 and received proceeds of $65,000. The Company recorded a gain on disposal of fixed assets, which is recorded in other income (expense) in the Statement of Operations.

 

125


KINETA, INC.

Notes to Consolidated Financial Statements

 

Accrued Expenses and Other Current Liabilities

Accrued expenses and other current liabilities consisted of the following as of the periods presented:

 

 

 

December 31,

 

 

 

2023

 

 

2022

 

 

 

(in thousands)

 

Compensation and benefits

 

$

1,312

 

 

$

745

 

Accrued interest

 

 

417

 

 

 

132

 

Accrued clinical trial and preclinical costs

 

 

251

 

 

 

404

 

Professional services

 

 

97

 

 

 

2,176

 

Other

 

 

134

 

 

 

70

 

Total accrued expenses and other current liabilities

 

$

2,211

 

 

$

3,527

 

 

6.
Notes Payable

Notes payable outstanding consisted of the following as of the periods presented:

 

 

 

December 31, 2023

 

 

December 31, 2022

 

 

 

Principal

 

 

Fair Value

 

 

Principal

 

 

Fair Value

 

 

 

(in thousands)

 

Notes payable:

 

 

 

 

 

 

 

 

 

 

 

 

2020 notes

 

$

250

 

 

$

241

 

 

$

250

 

 

$

219

 

Other notes payable

 

 

379

 

 

 

379

 

 

 

379

 

 

 

379

 

Small Business Administration loan

 

 

150

 

 

 

150

 

 

 

150

 

 

 

150

 

Total notes payable

 

$

779

 

 

 

770

 

 

$

779

 

 

 

748

 

Less: current portion

 

 

 

 

 

620

 

 

 

 

 

 

 

Notes payable, net of current portion

 

 

 

 

$

150

 

 

 

 

 

$

748

 

 

The Company elected the fair value option for the 2020 notes (see Note 4). The other notes payable approximate their fair value because interest rates are at prevailing market rates.

Expected future minimum principal payments under the Company’s notes payables as of December 31, 2023 were as follows:

 

 

 

Total

 

 

(in thousands)

 

Years

 

 

 

2024

 

$

629

 

2025

 

 

 

2026

 

 

 

2027

 

 

2

 

2028

 

 

3

 

Thereafter

 

 

145

 

Total notes payable

 

$

779

 

Less: current portion

 

 

620

 

Notes payable, net of current portion

 

$

159

 

 

2022 Convertible Notes

 

In February 2022 and April 2022, the Company raised $4.8 million in total from two investors, including one investor that was previously a related party at the time of investment, pursuant to convertible notes purchase agreements (see Note 16). These 2022 convertible notes purchase agreements provided that the notes mature upon demand of the holder at any time 24 months after the date of issuance and pay a 6% interest. Additionally, these 2022 convertible notes automatically would convert into the Company’s non-voting common stock at 85% of the then current share price on the earlier of (i) the date that is 12 months from the date of issuance, or (ii) at a public market event such as an initial public offering or merger. These 2022 convertible notes also allowed for optional conversion at any time during the 12-month period after issuance and could be repaid at any time without penalty. The use of proceeds could be used to repay other debt obligations and for general corporate use.

 

In August 2022, September 2022 and October 2022, the Company raised $1.9 million in total from several investors, pursuant to convertible notes purchase agreements, which were issued at fair value. Three investors were also issued 5,000 warrants to purchase shares of the Company’s non-voting common stock (see Note 9) with a fair value of $146,000 upon issuance that qualified for equity classification and were accounted for as

 

126


KINETA, INC.

Notes to Consolidated Financial Statements

interest expense. These convertible notes purchase agreements provide that the 2022 convertible notes mature upon demand of the holder at any time 24 months after the date of issuance and pay a 6% interest. Additionally, these 2022 convertible notes would automatically convert into the Company’s non-voting common stock at the lesser of (a) $1.61 per share or (b) 85% of the then current share price on the earlier of (i) the date that is 12 months from the date of issuance, or (ii) a change of control event such as a merger, consolidation or other capital reorganization or business combination. These 2022 convertible notes also allowed for optional conversion at any time during the 12-month period after issuance and could be repaid at any time without penalty. The use of proceeds could be used to repay other debt obligations and for general corporate use.

 

In October 2022 and December 2022, the 2022 convertible notes were amended to provide (i) that the conversion price would be equal to the conversion amount divided by $0.995 upon automatic conversion and (ii) for the issuance of 55,000 warrants to purchase shares of the Company’s non-voting common stock (see Note 9), with exercise contingent upon the Merger closing, including to one investor that was previously a related party (see Note 16), with a fair value of $1.5 million upon issuance. The Company determined the contingent exercise provision was indexed to the Company’s operations and the warrants qualified for equity classification. As the 2022 convertible notes were accounted for under the fair value option, all lender fees, including the cost of the warrants, were expensed as incurred.

 

Upon the closing of the Merger, the outstanding principal and accrued interest under the 2022 convertible notes was $6.8 million, with a fair value of $13.0 million, and was settled by issuing 471,000 shares of the Company’s non-voting common stock. The 2022 convertible notes were fair valued immediately prior to settlement based on the Company’s market stock price of the shares issued on the date the Merger closed, such that there was no gain or loss recognized upon extinguishment.

 

2020 Convertible Notes

 

In October 2020, the Company refinanced certain convertible notes payable, or the 2020 convertible notes, with an aggregate principal amount of $13.8 million with various investors that are related parties (see Note 13). The interest rate was reduced on the 2020 convertible notes from 16.0% to 6.0% from October 2020 to until the earlier of (i) the Company raises at least $25.0 million in a single transaction or series of transactions after October 2020 and (ii) the original maturity date of December 31, 2021, after which the interest rate increases 16.0%. The outstanding principal is due upon demand of the majority of the lenders with respect to (i) 50% on or after nine months after the original maturity date, September 30, 2022, and (ii) 50% on or after fifteen months after the original maturity date, March 31, 2023. The Company may prepay the 2020 convertible notes at any time without penalty. Upon default the lenders may apply a default interest rate of 20% and accelerate all amounts due upon bankruptcy. Repayment of the principal amount is required on a pro rata basis should the Company receive excess proceeds from (i) commercial revenues exceeding $3.0 million in any 12-month period and (ii) the Company receives any funding proceeds from a capital financing transaction. The holders may at any time convert the 2020 convertible notes into shares of the Company’s non-voting common stock at a conversion price equal to 85% of the then-fair value of non-voting common stock but not less than $0.50 per share.

 

In February 2022, the Company made a $4.0 million cash payment of principal to one of its creditors that is a related party (see Note 15) as a partial repayment for a note issued pursuant to the 2020 convertible notes and recognized a $0.7 million gain on extinguishment.

 

In December 2022, the 2020 convertible notes were amended to provide for automatic conversion upon a merger at a conversion price equal to the conversion amount divided by $0.995. Upon the closing of the Merger, the outstanding principal and accrued interest under the 2020 convertible notes was $10.9 million, with a fair value of $21.8 million, and was settled by issuing 754,000 shares of the Company’s non-voting common stock, including with related parties (see Note 15). The 2020 convertible notes were fair valued immediately prior to settlement based on the Company’s market stock price of the shares issued on the date the Merger closed, such that there was no gain or loss recognized upon extinguishment.

2020 Notes

In October 2020, the Company refinanced certain notes payable (the “2020 notes”), with an aggregate principal amount of $3.0 million with various investors, including one investor that is a related party (see Note 13). The interest rate was reduced on the 2020 notes from 16.0% to 6.0% from October 2020 until the earlier of (i) the Company raises at least $25.0 million in a single transaction or series of transactions after October 2020 and (ii) the original maturity dates (that is, various dates in the first quarter of 2022), after which the interest rate increases to 16.0%. The outstanding principal is due upon demand of the majority of the lenders with respect to (i) 50% on or after nine months after the original maturity date (or on or after various dates in the fourth quarter of 2022) and (ii) 50% on or after fifteen months after the original maturity date (or on or after various dates in the second quarter of 2023). The Company may repay the 2020 notes at any time without penalty. Upon bankruptcy the lender can accelerate all amounts due immediately.

In August 2021 and September 2021, outstanding principal and accrued interest under the 2020 notes with a fair value of $0.9 million was settled by issuing 33,000 shares of the Company’s non-voting common stock at fair value (based on a recent valuation) to the holders. As the 2020 notes were valued pursuant to the fair value election, an immaterial gain was recognized upon extinguishment.

In August 2022, the Company settled $1.4 million in outstanding principal and accrued interest, including with a person that was a related party at the time of conversion (see Note 15) by issuing 59,000 shares of the Company’s non-voting common stock at a 15% discount, recognizing a $0.2 million loss upon extinguishment. The Company extended the maturity date for the remaining 2020 Notes with a principal balance of $0.25 million to July 31, 2024 and reduced the interest rate to 6%, which was accounted for as a modification.

 

127


KINETA, INC.

Notes to Consolidated Financial Statements

Other Notes Payable

The Company issued several other notes payable in 2019 and early 2020 at a 12.0% interest rate per annum, with the principal amounts due in full at maturity and interest due monthly or quarterly. The other notes payable were due to mature at various dates between December 2020 through early 2022.

The other notes payable were amended in October 2020 to increase the interest rate to 13.0% and extend the maturity date to be on demand by a majority of the holders on or after April 7, 2022, which resulted in a modification of the other notes payable. The Company may prepay the other notes payable at any time without penalty.

In June 2021 and July 2021, outstanding principal and accrued interest under the other notes payable of $1.4 million was settled by issuing 52,000 shares of the Company’s non-voting common stock at fair value (based on a recent valuation) to the holders. As the other notes payable approximated to their fair value, no gain or loss was recognized upon extinguishment.

In February 2022 and April 2022, outstanding principal and accrued interest under the other notes payable of $0.3 million was settled by issuing 2,400 shares of the Company’s voting common stock and 8,500 shares of the Company’s non-voting common stock at fair value (based on a recent valuation) to the holders. As the other notes payable approximated to their fair value, no gain or loss was recognized upon extinguishment. In June 2022, the Company settled $1.0 million in outstanding principal and accrued interest by issuing 43,000 shares of the Company’s non-voting common stock at a 15% discount, recognizing a $0.2 million loss on extinguishment. The Company extended the maturity date for the remaining other notes payable with a principal balance of $0.4 million to June 30, 2024 and decreased the interest rate to 6.0% interest, which was accounted for as a modification.

Small Business Administration Loan

In August 2020, the Company received a U.S. Small Business Administration (“SBA”) loan of $150,000 at a 3.75% interest rate and maturing in August 2050. Repayments of principal are due monthly beginning in June 2027 and interest is due monthly.

 

7.
Commitments and Contingencies

Leases

Operating Lease

 

The Company leases office and laboratory premises in Seattle, Washington pursuant to a lease agreement that commenced in April 2011 and expires in July 2024. The agreement requires monthly lease payments, is subject to annual rent escalations during the lease term, and contains two five-year options to extend the lease term. In June 2020, the Company amended the lease agreement to reduce the leased space for the premises from approximately 22,064 square feet to approximately 14,870 square feet, which was accounted for as a lease modification and partial termination of the lease.

 

Under the lease agreement, the Company is required to pay certain operating costs, in addition to rent, such as common area maintenance, taxes, and utilities. Such additional charges are considered variable lease costs and are recognized in the period in which they are incurred. Rent expense was $866,000 for the year ended December 31, 2023 and variable costs were $597,000. Rent expense was $889,000 for the year ended December 31, 2022 and variable costs were $511,000.

 

The Company’s operating leases include various covenants, indemnities, defaults, termination rights, security deposits and other provisions customary for lease transactions of this nature.

 

Future undiscounted payments due under the operating lease as of December 31, 2023 were as follows:

 

Years

 

(in thousands)

 

2024

 

$

561

 

Less: Imputed interest

 

 

(14

)

Operating lease liability

 

 

547

 

Less: Operating lease liability, current portion

 

 

(547

)

Operating lease liability, net of current portion

 

$

 

 

Supplemental information on the Company's operating leases was as follows:

 

 

128


KINETA, INC.

Notes to Consolidated Financial Statements

 

 

Years Ended December 31,

 

 

 

2023

 

 

2022

 

Cash paid for operating lease agreement (in thousands)

 

$

936

 

 

$

909

 

Remaining lease term (in years)

 

 

0.6

 

 

 

1.6

 

Incremental borrowing rate

 

 

10

%

 

 

10

%

 

The Company subleases portions of its premises in Seattle to third parties. Under the first sublease agreement, which commenced in December 2017, the Company subleases approximately 1,850 square feet. In October 2020 the sublease expiration date was extended from December 2020 to December 2022. In September 2022, the sublease expiration date was extended from December 2022 to December 2023. In December 2023, the sublease expiration date was extended from December 2023 to July 2024. Sublease income was $194,000 for the year ended December 31, 2023 and $188,000 for the year ended December 31, 2022 and was recorded within operating expenses. As of December 31, 2023, the total minimum rentals to be received under the remaining noncancelable sublease was $70,000.

 

Finance Leases

 

During the year ended December 31, 2023, the Company paid off the remaining finance leases and has no finance lease liabilities as of December 31, 2023.

 

Supplemental information on the Company’s financing leases was as follows (cash paid for finance lease agreements was not material):

 

 

 

December 31,

 

 

 

2023

 

 

2022

 

Weighted average remaining lease term (in years)

 

 

-

 

 

 

3.2

 

Incremental borrowing rate

 

 

0.0

%

 

 

9.3

%

 

Indemnification

In the ordinary course of business, the Company enters into agreements that may include indemnification provisions. Pursuant to such agreements, the Company may indemnify, hold harmless and defend an indemnified party for losses suffered or incurred by the indemnified party. Some of the provisions will limit losses to those arising from third-party actions. In some cases, the indemnification will continue after the termination of the agreement. The maximum potential amount of future payments the Company could be required to make under these provisions is not determinable. The Company has not incurred material costs to defend lawsuits or settle claims related to these indemnification provisions. The Company has also entered into indemnification agreements with its directors and officers that may require the Company to indemnify its directors and officers against liabilities that may arise by reason of their status or service as directors or officers to the fullest extent permitted under the Delaware General Corporation Law. The Company currently has directors’ and officers’ insurance.

Other Commitments

The Company has various manufacturing, clinical, research and other contracts with vendors in the conduct of the normal course of its business. Such contracts are generally terminable with advanced written notice and payment for any products or services received by the Company through the effective time of termination and any noncancelable and nonrefundable obligations incurred by the vendor at the effective time of the termination. In the case of terminating a clinical trial agreement at a particular site, the Company would also be obligated to provide continued support for appropriate medical procedures at that site until completion or termination.

Executive Employment Agreements

Effective September 20, 2022, the Company entered into an at-will employment agreement (“Baker Employment Agreement”) with Keith Baker, its Chief Financial Officer; and effective September 28, 2022, the Company entered into at-will employment agreements (together with the Baker Employment Agreement, the “Executive Employment Agreements”) with Shawn Iadonato, its Chief Executive Officer, Craig Philips, its President and Pauline Kenny, its General Counsel.

The Executive Employment Agreements provide that, if the executive’s employment is terminated without Cause (as defined in the Executive Employment Agreements) or the executive resigns for Good Reason (as defined in the Executive Employment Agreements), provided that the executive signs the Release (as defined in the Executive Employment Agreement), the executive will be entitled to (i) accrued compensation, (ii) 39 weeks of pay (52 weeks in the case of Chief Executive Officer) (currently estimated at approximately $1.3 million in the aggregate), (iii) nine (9) months of COBRA benefits (12 months in the case of Chief Executive Officer) for executive and eligible dependents, and (iv) three (3) additional months of vesting of unvested and outstanding equity awards. If executive’s employment is terminated without Cause or the executive resigns for Good Reason within the Change in Control Protection Period (as defined in the Executive Employment Agreements), then in addition to (i)-(iv) above, executive will receive current year pro-rated cash bonus.

 

129


KINETA, INC.

Notes to Consolidated Financial Statements

8.
Strategic License Agreements

Anti-VISTA Antibody Program In-License Agreement

In August 2020, Kineta entered into an Option and License Agreement with GigaGen, Inc. (“GigaGen”), which was amended in November 2020 and further amended in May 2023 (such agreement, as amended, the “VISTA Agreement”) to in-license certain intellectual property and antibodies for the VISTA/KVA12123 drug program. Pursuant to the terms of the VISTA Agreement, GigaGen granted Kineta an exclusive (even as to GigaGen) world-wide license, with the right to grant sublicenses to research, develop, make, have made, use, have used, offer for sale, sell, have sold, distribute, import, have imported, export and have exported and otherwise exploit the licensed antibodies and licensed products. License expenses for the VISTA Agreement were $250,000 for the year ended December 31, 2023 and $250,000 for the year ended December 31, 2022.

Under the VISTA Agreement, GigaGen is eligible to receive approximately $20.4 million in development and regulatory milestone payments and up to $11.0 million in sales milestone payments. In addition, GigaGen is eligible to receive low single-digit royalty percentages based on net sales. Kineta is responsible (with input from GigaGen) for the preparation, filing, prosecution and maintenance of all patents and patent applications, and all associated costs.

The VISTA Agreement shall remain in effect on a licensed product-by-licensed product and country-by-country basis, until the expiration of the royalty term for a licensed product in a country, which, based on the expiration of the last-to-expire valid claim of the two current patent applications (without any patent term adjustment or extensions) would be February 2042 and March 2044, respectively. Kineta may terminate the VISTA Agreement with 30 days’ written notice to GigaGen. Either party has the right to terminate the VISTA Agreement upon a material breach of the other party that is not cured within 90 days after the breaching party receives written notice of such breach from the non-breaching party.

Anti-CD27 Agonist Antibody Program In-License Agreement

In June 2021, Kineta entered into an Option and License Agreement with GigaGen, as amended in July 2022, December 2022, May 2023 and December 2023 (such agreement, as amended, the “CD27 Agreement”) to in-license certain intellectual property rights and antibodies for the CD27 drug program. Pursuant to the terms of the CD27 Agreement, GigaGen granted Kineta an exclusive (even as to GigaGen) world-wide license, with the right to grant sublicenses to research, develop, make, have made, use, have used, offer for sale, sell, have sold, distribute, import, have imported, export and have exported and otherwise exploit the licensed antibodies and licensed products. License expenses for the CD27 Agreement were zero for the year ended December 31, 2023 and zero for the year ended December 31, 2022.

 

Under the CD27 Agreement, GigaGen is eligible to receive approximately $20.4 million in development and regulatory milestone payments and up to $11.0 million in sales milestone payments. In addition, GigaGen is eligible to receive low single-digit royalty percentages based on net sales. Kineta is responsible (with input from GigaGen) for the preparation, filing, prosecution and maintenance of all patents and patent applications, and all associated costs.

 

The CD27 Agreement shall remain in effect on a licensed product-by-licensed product and country-by-country basis, until the expiration of the royalty term for a licensed product in a country, which, based on the expiration of the last-to-expire valid claim of the current provisional patent application (without any patent term adjustment or extensions) would be September 2044. Kineta may terminate the CD27 Agreement with 30 days’ written notice to GigaGen. Either party has the right to terminate the CD27 Agreement upon a material breach of the other party that is not cured within 90 days after the breaching party receives written notice of such breach from the non-breaching party.

 

 

Merck Neuromuscular License Agreement

 

In connection with the Merger, the Company became the successor in interest to an exclusive license and research collaboration agreement (the “Merck Neuromuscular License Agreement”) with Merck to support research, development and commercialization of products for treatment of neuromuscular diseases, including amyotrophic lateral sclerosis. In June 2023, the Company achieved a development milestone pursuant to the Merck Neuromuscular License Agreement, which triggered a $5.0 million payment. Merck will continue to advance the research program for the ALS pipeline, one of the two pipeline programs licensed under the Merck Neuromuscular License Agreement. Following this milestone, Merck will assume sole responsibility for all future development and commercialization for the ALS program. The Company recognized licensing revenues of $5.0 million for the year ended December 31, 2023 and zero for the year ended December 31, 2022 under the Merck Neuromuscular License Agreement and has no further obligations under the Merck Neuromuscular License Agreement.

 

 

Genentech

 

In connection with the Merger, Kineta became the successor in interest to an exclusive technology transfer and license agreement with Genentech, Inc. to support research, development and commercialization of a small molecule product with an undisclosed target (the “Genentech Small Molecule License Agreement). The Company did not earn revenues under the Genentech Small Molecule License Agreement for the years ended December 31, 2023 and 2022.

 

 

FAIR Therapeutics

 

130


KINETA, INC.

Notes to Consolidated Financial Statements

 

In connection with the Merger, Kineta became the successor in interest to an exclusive license agreement with FAIR Therapeutics, B.V. to support research, development and commercialization of products for the treatment of cystic fibrosis (the “FAIR License Agreement”). The Company did not earn revenues under the FAIR License Agreement for the years ended December 31, 2023 and 2022.

 

 

9.
Stockholders’ Equity

Warrants to Purchase Common Stock

As of December 31, 2023, the Company has issued and outstanding warrants to purchase shares of the Company’s common stock as follows, which all met the condition for equity classification (in thousands):

 

Year
Issued

 

Expiration
Date

 

Number Outstanding as of December 31, 2022

 

 

Issued

 

 

Exercised

 

 

Cancelled/Expired

 

 

Number Outstanding as of December 31, 2023

 

 

Range of
Exercise
Price

2013

 

 

 

 

12

 

 

 

 

 

 

 

 

 

(12

)

 

 

 

 

 

2017

 

March 2025 - June 2025

 

 

131

 

 

 

 

 

 

 

 

 

(5

)

 

 

126

 

 

$0.14 - $21.80

2019

 

March 2025 - April 2027

 

 

44

 

 

 

 

 

 

 

 

 

 

 

 

44

 

 

$0.14 - $21.80

2020

 

 

 

 

45

 

 

 

 

 

 

(41

)

 

 

(4

)

 

 

 

 

 

2022

 

August 2025 - December 2029

 

 

301

 

 

 

 

 

 

(178

)

 

 

 

 

 

123

 

 

$0.14 - $168.35

2023

 

April 2028 - October 2033

 

 

 

 

 

3,688

 

 

 

(477

)

 

 

 

 

 

3,211

 

 

$0.001 - $5.26

Total number of shares
   underlying warrants

 

 

 

 

533

 

 

 

3,688

 

 

 

(696

)

 

 

(21

)

 

 

3,504

 

 

 

 

Equity Raises - Registered Direct Offering

 

April 2023

 

On April 20, 2023, the Company entered into a Securities Purchase Agreement (the “April 2023 Purchase Agreement”) with an institutional investor (the “April 2023 Investor”), pursuant to which the Company issued and sold, in a registered direct offering priced at-the-market under the rules of The Nasdaq Stock Market LLC (“Nasdaq”) (such offering, the “April 2023 Registered Offering”), (i) an aggregate of 948,000 shares of its common stock, at a purchase price of $4.21 per share and (ii) pre-funded warrants exercisable for up to 477,179 shares of its common stock (the “April 2023 Pre-Funded Warrants”) to the April 2023 Investor at a purchase price of $4.209 per April 2023 Pre-Funded Warrant, for aggregate gross proceeds from the April 2023 Registered Offering of approximately $6.0 million before deducting the placement agent fee (as described in greater detail below) and related offering expenses.

 

Each April 2023 Pre-Funded Warrant represents the right to purchase one share of common stock at an exercise price of $0.001 per share. The April 2023 Pre-Funded Warrants are exercisable immediately and may be exercised at any time until the April 2023 Pre-Funded Warrants are exercised in full.

 

In a concurrent private placement (the “April 2023 Private Placement” and, together with the April 2023 Registered Offering, the “April 2023 Offering”), the Company issued to the April 2023 Investor warrants to purchase up to 1,425,179 shares of common stock (the “April 2023 Common Warrants”) at an exercise price of $4.08 per share. The April 2023 Common Warrants are exercisable immediately and will expire five and one-half years from the initial exercise date.

 

In connection with the April 2023 Offering, the Company entered into an engagement letter with H.C. Wainwright & Co., LLC (“Wainwright”), pursuant to which Wainwright agreed to serve as the exclusive placement agent for the issuance and sale of securities of the Company pursuant to the April 2023 Purchase Agreement. As compensation for such placement agent services, the Company paid Wainwright an aggregate cash fee equal to $420,000, a non-accountable expense of $35,000 and $50,000 for legal and other expenses as actually incurred. The total offering-related fees were approximately $520,000, which resulted in net proceeds to the Company of $5.5 million. On April 24, 2023, the Company also issued to Wainwright or its designees warrants to purchase 71,259 shares of common stock (the “April 2023 Wainwright Warrants”). The April 2023 Wainwright Warrants have a term of five years from the commencement of sales in the April 2023 Offering, and have an exercise price of $5.2625 per share.

 

October 2023

 

131


KINETA, INC.

Notes to Consolidated Financial Statements

 

On October 3, 2023, the Company, entered into a Securities Purchase Agreement (the “October 2023 Purchase Agreement”) with an institutional investor (the “October 2023 Investor”) pursuant to which the Company issued and sold, in a registered direct offering priced at-the-market under the rules of Nasdaq (such offering, the “October 2023 Registered Offering”), (i) an aggregate of 110,000 shares of its common stock, at a purchase price of $3.37 per share, and (ii) pre-funded warrants exercisable for up to 780,208 shares of its common stock (the “October 2023 Pre-Funded Warrants”) to the October 2023 Investor at a purchase price of $3.369 per October 2023 Pre-Funded Warrant, for aggregate gross proceeds from the October 2023 Registered Offering of approximately $3.0 million before deducting the placement agent fee (as described in greater detail below) and related offering expenses.

 

Each October 2023 Pre-Funded Warrant represents the right to purchase one share of common stock at an exercise price of $0.001 per share. The October 2023 Pre-Funded Warrants are exercisable immediately and may be exercised at any time until the October 2023 Pre-Funded Warrants are exercised in full.

 

In a concurrent private placement (the “October 2023 Private Placement” and, together with the October 2023 Registered Offering, the “October 2023 Offering”), the Company issued to the October 2023 Investor warrants to purchase up to 890,208 shares of common stock (the “October 2023 Common Warrants”) at an exercise price of $3.25 per share. The October 2023 Common Warrants are exercisable immediately and will expire five and one-half years from the initial exercise date.

 

In connection with the October 2023 Offering, the Company entered into an engagement letter with Wainwright, pursuant to which Wainwright agreed to serve as the exclusive placement agent for the issuance and sale of securities of the Company pursuant to the October 2023 Purchase Agreement. As compensation for such placement agent services, the Company paid Wainwright an aggregate cash fee equal to $210,000, a non-accountable expense of $35,000 and $50,000 for legal and other expenses as actually incurred. The total offering-related fees were approximately $310,000, which resulted in net proceeds to the Company of $2.7 million. On October 5, 2023, the Company also issued to Wainwright or its designees warrants to purchase 44,510 shares of common stock (the “October 2023 Wainwright Warrants”). The October 2023 Wainwright Warrants have a term of five years from the commencement of sales in the October 2023 Offering, and have an exercise price of $4.2125 per share.

 

Warrant Exercises

 

During the year ended December 31, 2023, the Company issued 696,000 shares of its common stock upon exercise of warrants and received proceeds of $30,000. The exercise price of all shares exercised during the year ended December 31, 2023 ranged from $0.001 to $0.14.

 

In August 2022, the Company issued 2,000 warrants with a fair value of $62,000 to purchase share of its common stock for professional services that was recorded as compensation within general and administrative expense.

 

In September 2022 and October 2022, the Company issued 5,000 warrants to purchase shares of its common stock in connection with the issuance of its 2022 convertible notes and in October 2022 and December 2022, the Company issued 55,000 warrants to purchase shares of its common stock in connection with amendments to its 2022 convertible notes (see Note 6). The Company recorded non cash interest expense of $1.6 million on the statement of operations.

 

In October 2022, the Company issued 415,000 warrants to purchase shares of the Company’s non-voting common stock to investors in the Private Placement, each at an exercise price of $0.14, with exercise contingent upon the Merger closing and exercisable following the first closing of the Private Placement. These warrants were subsequently cancelled in December 2022 upon amendment of the Securities Purchase Agreement.

 

In December 2022, the Company issued 121,000 warrants to purchase shares of its common stock to existing stockholders, each at an exercise price of $0.14, with exercise contingent upon the Merger closing. The Company determined that the contingent exercise provision was indexed to the Company’s operations and the warrants qualified for equity classification. As the warrants issued to the certain existing stockholders results in value being transferred, the Company recorded warrant expense of $3.3 million within other income and (expense) on the statement of operations.

In December 2022, the Company issued 104,000 warrants to purchase shares of its common stock in connection with the Private Placement (see below).

 

Upon completion of the Merger in December 2022, the Company issued 14,000 warrants to purchase shares of its common stock to former Yumanity warrant holders.

 

During the year ended December 31, 2022, the Company issued 53,000 shares of its common stock upon exercise of warrants and received proceeds of $71,000. The exercise price of all shares exercised during the year ended December 31, 2022 ranged from $0.14 to $26.88.

 

Common Stock

 

132


KINETA, INC.

Notes to Consolidated Financial Statements

Upon completion of the Merger in December 2022, the number of authorized shares of common stock of the Company was adjusted to 125,000,000 with a par value of $0.001 and all non-voting shares became voting shares. As of December 31, 2023, there were 10,396,614 shares issued and outstanding.

Common stock reserved for future issuance consisted of the following as the period presented:

 

 

 

December 31,
2023

 

 

 

(in thousands)

 

Shares reserved for stock options and restricted stock units to purchase
   common stock under equity incentive plans

 

 

1,983

 

Shares reserved for future issuance of equity awards

 

 

932

 

Shares reserved for exercise of warrants

 

 

3,504

 

Total

 

 

6,419

 

 

For the year ended December 31, 2023, the Company issued 1.2 million shares of its common stock and issued pre-funded warrants exercisable for up to 1,257,387 shares of our common stock to institutional and individual investors, raising net proceeds of $8.6 million. For the year ended December 31, 2022, the Company issued 58,000 shares of its common stock to individual investors, raising net proceeds of $1.6 million, excluding the Private Placement (see below).

Private Placement

 

The Private Placement (see Note 1) provides for the issuance of shares of the Company’s common stock in two closings, one of which occurred immediately following the closing of the Merger and one of which was expected to occur on April 15, 2024. However, in February 2024, certain investors indicated they will not be able to consummate the second closing of the Private Placement. The first closing of the Private Placement occurred on December 16, 2022 and the Company issued 649,346 shares of its common stock and received net proceeds of $7.4 million to investors that are related parties (see Note 16).

 

In connection with the Private Placement in December 2022, the Company issued 104,000 warrants to purchase shares of the Company’s non-voting common stock to investors in the Private Placement, each at an exercise price of $0.14, with exercise contingent upon the Merger closing and exercisable following the first closing of the Private Placement. The Company determined the contingent exercise provisions were indexed to the Company’s operations and the warrants qualified for equity classification.

 

The second closing of the Private Placement was expected to occur on April 15, 2024. However, in February 2024, certain investors indicated they will not be able to consummate the second closing of the Private Placement. If the second closing of the Private Placement were to occur, the Company would be obligated to issue a number of shares of its common stock based on the aggregate purchase price of $22.5 million divided by the purchase price equal to (a) the volume-weighted average price of Company common stock for the five trading days prior to April 15, 2024 (“VWAP”), plus (b) 10% of the VWAP; provided, however, that the share purchase price shall be at least equal to the closing price of the Company’s common stock on March 29, 2023. The Company determined that its obligation to issue additional shares of its common stock in the second closing at a premium to the VWAP was a freestanding financial instrument and a future right, which is subject to fair value. Accordingly, at inception the future right was recorded as an other asset in the Company’s consolidated balance sheet at its fair value equal to 10% of the second closing amount, or $2.3 million. The remaining proceeds from the first closing were allocated to the shares of common stock issued in the first closing and to the warrants as such instruments are equity-classified. The future right is subject to remeasurement at each reporting date, however, as the fair value will always equal 10% of the value of the future second closing until settlement, no changes in fair value are expected to be recorded in the Company’s consolidated statements of operations. The Company incurred insignificant issuance costs related to the Private Placement.

10.
Grant Agreements

National Institutes of Health

The Company was awarded a cost-reimbursable grant from the National Institutes of Health (the “NIH”), a federal medical research agency supporting scientific studies, to support the Company’s research studies for arenavirus hemorrhagic fever. This award was based on budgeted direct and indirect costs and may only be used for budgeted costs as allowable under certain government regulations and NIH’s policy and compliance requirements, subject to government audit. This award was $1.1 million for the budget period January 2021 to December 2021, which was later extended to December 31, 2022.

The Company recognized grant revenue from this grant of zero for the year ended December 31, 2023, and $912,000 for the year ended December 31, 2022.

 

133


KINETA, INC.

Notes to Consolidated Financial Statements

11.
Licensing Revenue Agreement

The following table shows the activity for the Company’s licensing revenue agreements and deferred revenue (in thousands):

 

 

 

December 31,

 

 

 

2023

 

 

2022

 

 

 

(in thousands)

 

Balance as of beginning of period

 

$

 

 

$

1,041

 

Decrease for provision of research services

 

 

 

 

 

(1,041

)

Balance as of end of period

 

$

 

 

$

 

 

Merck

 

In June 2023, the Company achieved a development milestone pursuant to the Merck Neuromuscular License Agreement, which triggered a $5.0 million payment. This collaboration focused on the discovery and development of novel candidates for the treatment of ALS. Merck will continue to advance the research program for the ALS pipeline, one of the two pipeline programs licensed under the Merck Neuromuscular License Agreement. As a result, the Company is eligible to receive up to an additional $255.0 million in development milestones, sales milestones and royalties on net sales. Following this milestone, Merck will assume sole responsibility for all future development and commercialization for the ALS program. The Company recognized one-time licensing revenue of $5.0 million for the year ended December 31, 2023 and zero or the year ended December 31, 2022 under the Merck Neuromuscular License Agreement.

 

Genentech, Inc.

In April 2018, the Company entered into an exclusive option and license agreement with Genentech, as amended in November 2019 and October 2020 (such agreement, as amended, the “Genentech KCP506 License Agreement”), to develop the Company’s α9/α10 nicotinic acetylcholine receptor (“nAChR”) antagonists for the treatment of chronic pain. On December 27, 2022, the Company through its subsidiary KCP, received written notice from Genentech of its termination of the Genentech KCP506 License Agreement.

 

The Company recognized license revenue of zero for the year ended December 31, 2023 and $1.0 million for the year ended December 31, 2022. There was no deferred revenue related to this license as of December 31, 2023 as the Genentech KCP506 License Agreement was terminated in December 2022.

 

12.
Collaboration Agreement

The following table shows the activity for the Company’s collaboration revenue agreement and deferred revenue (in thousands):

 

 

 

December 31,

 

 

 

2023

 

 

2022

 

 

 

(in thousands)

 

Balance as of beginning of period

 

$

442

 

 

$

 

Increase due to acquisition

 

 

 

 

 

442

 

Decrease for provision of research services

 

 

(442

)

 

 

 

Balance as of end of period

 

$

 

 

$

442

 

 

Merck

 

In connection with the Merger, the Company became the successor in interest to the Merck Neuromuscular License Agreement with Merck to support research, development and commercialization of products for treatment of neuromuscular diseases, including amyotrophic lateral sclerosis (“ALS”). As of December 31, 2022, the Company had $442,000 in deferred revenue under the Merck Neuromuscular License Agreement. The Company recognized collaboration revenue of $442,000 for the year ended December 31, 2023, due to completion of research and development services provided by us, and zero for the year ended December 31, 2022. As of December 31, 2023, the Company had zero in deferred revenue under the Merck Neuromuscular License Agreement.

13.
Stock-Based Compensation

 

2008 Equity Incentive Plan

 

The Company’s 2008 Equity Incentive Plan (the “2008 Plan”) provided for the grant of incentive stock options, non-statutory stock options, restricted stock awards and restricted stock units to employees and non-employee service providers of the Company. Under the 2008 Plan, the exercise price of stock options granted were at 100% of the estimated fair market value of the Company’s common stock on the date of grant and the

 

134


KINETA, INC.

Notes to Consolidated Financial Statements

contractual term of stock options granted were between five and ten years. Options become vested and, if applicable, exercisable based on terms determined by the Company’s board of directors or other plan administrator on the date of grant, which is continued employment or service as defined in each option agreement.

 

In 2018, the 2008 Plan expired and 209,000 stock options granted prior to the 2008 Plan expiration remain outstanding as of December 31, 2023.

2010 Equity Incentive Plan

 

The Company’s 2010 Equity Incentive Plan (the “2010 Plan”) provided for the grant of incentive stock option, non-statutory stock options, stock appreciation rights, restricted stock awards and restricted stock unit awards to employees and non-employee service providers of the Company. Under the 2010 Plan, the exercise price of stock options granted were at 100% of the estimated fair market value of the Company’s common stock on the date of grant and the contractual term of stock options granted did not exceed ten years. Options become vested and, if applicable, exercisable based on terms determined by the Company’s board of directors or other plan administrator on the date of grant, which is continued employment or service as defined in each option agreement. Stock appreciation rights (“SARs”) provide a participant with the right to receive the aggregate appreciation in stock price over the market price of the Company’s common stock at the date of grant, payable in cash. The rights granted have varying vesting terms, including SARs that vest immediately on the grant date and upon satisfaction of the service-based requirement, typically three to five years. The maximum fair value is limited to four times the exercise price.

 

During October 2022, three employees exercised 5,000 SARs and received cash payments of $47,000. In February 2020, the 2010 Plan expired and 181,000 stock options granted prior to the expiration remain outstanding as of December 31, 2023.

 

2020 Equity Incentive Plan

 

The Company’s 2020 Equity Incentive Plan (the “2020 Plan”) authorizes the grant of equity awards for up to 206,000 shares of the Company’s voting common stock and 206,000 of the Company’s non-voting common stock.

 

The 2020 Plan provides for the grant of incentive stock options, non-statutory stock options and restricted stock to employees and non-employee service providers. Under the 2020 Plan, the contractual term of stock options shall not exceed ten years and the exercise price of stock options granted shall not be less than 100% of the estimated fair market value of the Company’s common stock on the date of grant. However, the exercise price of incentive stock options granted to a 10% stockholder shall not be less than 110% of the fair market value of the common stock on the date of grant and the contractual term shall not exceed ten years. Options become vested and, if applicable, exercisable based on terms determined by the Company’s board of directors or other plan administrator on the date of grant, which is continued employment or service as defined in each option agreement. Restricted stock has vesting terms that vest immediately on the grant date or upon satisfaction of the service-based requirement, typically four years or the performance-based requirement. The Company has a repurchase right exercisable upon termination of continuous service with respect to restricted stock for any shares that are issued and unvested.

 

In December 2022, the 2020 Plan expired and 201,000 stock options granted prior to the 2020 Plan expiration remain outstanding as of December 31, 2023.

 

2022 Equity Incentive Plan

 

In December 2022, the Company approved the 2022 Equity Incentive Plan (the “2022 Plan”). The 2022 Plan provides for the grant of incentive stock option, non-statutory stock options, restricted stock, restricted stock units, stock appreciation rights (“SARs”), performance units and performance shares to employees, directors and independent contractors of the Company. Under the 2022 Plan, the exercise price of stock options grants shall be at 100% fair market value of the Company’s common stock on the date of grant and the contractual term of stock options granted shall not exceed ten years. Options become vested and, if applicable, exercisable based on terms determined by the Company’s board of directors or other plan administrator on the date of grant, which is continued employment or service as defined in each option agreement. SARs provide a participant with the right to receive the aggregate appreciation in stock price over the market price of the Company’s common stock at the date of grant, payable in cash or in shares of equivalent value.

 

135


KINETA, INC.

Notes to Consolidated Financial Statements

Stock Option Activity

The following table summarizes stock option activity under the Company’s equity incentive plans:

 

 

 

Outstanding Stock Options

 

 

Weighted-Average Exercise Price Per Share

 

 

Weighted-Average Remaining Contractual Term (years)

 

 

Aggregate Intrinsic Value

 

 

 

(in thousands, except per share amounts and years)

 

December 31, 2022

 

 

734

 

 

$

22.67

 

 

 

5.4

 

 

$

 

Granted

 

 

1,383

 

 

$

3.19

 

 

 

 

 

 

 

Exercised

 

 

 

 

$

 

 

 

 

 

 

 

Forfeited

 

 

(99

)

 

$

25.82

 

 

 

 

 

 

 

Expired

 

 

(43

)

 

$

16.54

 

 

 

 

 

 

 

Outstanding as of December 31, 2023

 

 

1,975

 

 

$

9.00

 

 

 

7.6

 

 

$

604

 

Exercisable as of December 31, 2023

 

 

1,072

 

 

$

12.80

 

 

 

6.5

 

 

$

186

 

 

Nonrecourse Promissory Notes for Stock Options Exercised

In March 2021, an employee exercised 56,000 vested stock options and entered into a nonrecourse promissory note in the amount of $0.4 million with the Company. The promissory note provides for a fixed interest rate of 2.0% and payment is required upon the earlier of (i) the sale of the Company, (ii) the borrower’s sale of any of the shares, (iii) five years from the date the promissory note agreement was executed, and (iv) material breach by borrower of any written agreements with the Company, including but not limited to the employment agreement and Company policies. Payment may also be triggered in other specified circumstances. The promissory note remains outstanding as of December 31, 2023.

Fair Value of Stock Options

The fair value of stock options granted for employee and non-employee awards was estimated at the grant date using the Black-Scholes option pricing model based on the following assumptions:

 

 

 

Years Ended December 31,

 

 

2023

 

2022

Expected volatility

 

111.1% - 113.1%

 

84.2% - 86.0%

Expected term (years)

 

5.35 - 6.08

 

3.0 - 7.0

Risk-free interest rate

 

3.4% - 4.4%

 

1.6% - 2.9%

Expected dividend yield

 

0% - 0%

 

0% - 0%

 

Restricted Stock

The Company has granted RSUs under its equity incentive plans with both service-based and performance-based vesting conditions. As of December 31, 2023, the Company’s outstanding RSUs all related to RSUs with service-based conditions that vest over time, with a grant date fair value of $204,000.

The following table summarizes the Company’s restricted stock activity consisting of RSUs:

 

 

 

Number of Restricted Stock (RSUs)

 

 

Weighted-Average Grant Date Fair Value Per Share

 

 

 

(in thousands, excepts per share amounts)

 

Outstanding and unvested as of December 31, 2022

 

 

175

 

 

$

26.89

 

Exercised/Released

 

 

(159

)

 

$

26.90

 

Cancelled/Forfeited

 

 

(8

)

 

$

26.48

 

Outstanding and unvested as of December 31, 2023

 

 

8

 

 

$

27.14

 

 

 

136


KINETA, INC.

Notes to Consolidated Financial Statements

Stock-Based Compensation

The following table summarizes total stock-based compensation included in the Company’s consolidated statements of operations:

 

 

 

Years Ended December 31,

 

 

 

2023

 

 

2022

 

 

 

(in thousands)

 

Research and development

 

$

608

 

 

$

2,957

 

General and administrative

 

 

3,246

 

 

 

2,231

 

Total stock-based compensation

 

$

3,854

 

 

$

5,188

 

 

In October 2022, three employees exercised 5,000 SARs and the Company paid $19,000 in cash to the employees and recognized cash-based stock compensation expense.

 

As of December 31, 2023, there was $2.9 million of unrecognized stock-based compensation related to stock options outstanding, which is expected to be recognized over a weighted-average remaining service period of 1.8 years.

14.
Income Taxes
 

The Company had no income tax expense for the years ended December 31, 2023 and 2022 due to its history of operating losses. The components of income tax expense (benefit) are as follows:

 

 

 

Years Ended December 31,

 

 

 

2023

 

 

2022

 

 

 

(in thousands)

 

Deferred

 

$

(2,000

)

 

$

(6,923

)

Change in valuation allowance

 

 

2,000

 

 

 

6,923

 

Total

 

$

 

 

$

 

 

A reconciliation of the Company’s federal income tax rate and effective income tax rate is as follows:

 

 

Years Ended December 31,

 

 

 

2023

 

 

2022

 

Federal income taxes

 

 

21.0

%

 

 

21.0

%

Research and development tax credits

 

 

2.7

%

 

 

0.8

%

Debt fair value adjustment

 

 

2.3

%

 

 

(4.9

)%

Change in valuation allowance

 

 

(14.2

)%

 

 

(10.9

)%

Stock based compensation

 

 

(6.7

)%

 

 

(0.1

)%

Deferred reconciliation adjustments

 

 

(2.4

)%

 

 

1.5

%

Expiration of capital loss carryforward

 

 

(2.1

)%

 

 

0.0

%

Transaction costs

 

 

(0.4

)%

 

 

(1.9

)%

In-process research and development

 

 

0.0

%

 

 

(4.4

)%

Other, net

 

 

(0.2

)%

 

 

(1.1

)%

Effective income tax rate

 

 

0.0

%

 

 

0.0

%

 

 

 

137


KINETA, INC.

Notes to Consolidated Financial Statements

Deferred tax assets and liabilities reflect the net tax effects of net operating loss and tax credit carryforwards and temporary differences between the carrying amount of assets and liabilities for financial reporting and the amounts used for tax purposes. Significant components of the Company’s deferred tax assets and liabilities are summarized as follows:

 

 

Years Ended December 31,

 

 

 

2023

 

 

2022

 

 

 

(in thousand)

 

Deferred tax assets:

 

 

 

 

 

 

Net operating losses

 

$

145,232

 

 

$

144,729

 

Research and development credits

 

 

22,899

 

 

 

22,384

 

Capitalized research and development expenses

 

 

4,409

 

 

 

3,586

 

Stock-based compensation

 

 

1,807

 

 

 

1,353

 

Operating lease liability

 

 

115

 

 

 

318

 

Capital loss carryforward

 

 

19

 

 

 

316

 

Accrued expenses

 

 

214

 

 

 

103

 

Intangibles

 

 

57

 

 

 

61

 

Total deferred tax assets

 

 

174,752

 

 

 

172,850

 

Less: Valuation allowance

 

 

(174,637

)

 

 

(172,637

)

Total deferred tax assets less valuation allowance

 

 

115

 

 

 

213

 

Deferred tax liabilities:

 

 

 

 

 

 

Partnership basis deferred

 

 

(15

)

 

 

85

 

Right-of-use asset

 

 

(100

)

 

 

(280

)

Fixed assets

 

 

 

 

 

(18

)

Total deferred tax liabilities

 

 

(115

)

 

 

(213

)

Net deferred tax assets

 

$

 

 

$

 

 

The Company determines its valuation allowance on deferred tax assets by considering both positive and negative evidence in order to ascertain whether it is more likely than not that deferred tax assets will be realized. Realization of deferred tax assets is dependent upon the generation of future taxable income, if any, the timing and amount of which are uncertain. Due to the Company’s recent history of operating losses, the Company believes that recognition of the deferred tax assets arising from the above-mentioned future tax benefits is currently not likely to be realized and, accordingly, has provided a valuation allowance on its deferred tax assets. The valuation allowance increased by $2.0 million for the year ended December 31, 2023 and $158.5 million for the year ended December 31, 2022. During the year ended December 31, 2022, $151.6 million of the increase in valuation allowance relates to the Merger.

 

As of December 31, 2023, the Company has federal net operating loss carryforwards of approximately $549.6 million of which approximately $304.2 million begins to expire in 2027. The remaining balance can be carried forward indefinitely with utilization limited to 80% of future taxable income. The Company has general business credit carryforwards of $23.9 million as of December 31, 2023, which will begin to expire in 2027. As of December 31, 2023, the Company has state net operating loss carryforwards of $489.9 million, which will begin to expire in 2030.

 

Utilization of U.S. federal and state net operating loss carryforwards and research and development tax credit carryforwards may be subject to a substantial annual limitation under Section 382 of the Internal Revenue Code of 1986 ("Section 382"), and corresponding provisions of state law, due to ownership changes that may have occurred previously or that could occur in the future. These ownership changes may limit the amount of carryforwards that can be utilized annually to offset future taxable income. The Company continues to evaluate whether a change of control has occurred for previous mergers and other shareholder events. We have recorded a full valuation allowance against our net deferred tax assets at each balance sheet date.

 

The Tax Cuts and Jobs Act contained a provision which requires the capitalization of Section 174 costs incurred in years beginning on or after January 1, 2022. Section 174 costs are expenditures which represent research and development costs that are incident to the development or improvement of a product, process, formula, invention, computer software, or technique. This provision changes the treatment of Section 174 costs such that the expenditures are no longer allowed as an immediate deduction but rather must be capitalized and amortized. The Company has included the impact of this provision, which results in a deferred tax asset of approximately $4.4 million as of December 31, 2023 and approximately $3.6 million as of December 31, 2022.

 

On August 16, 2022, the Inflation Reduction Act ("IRA") was enacted into US law. Effective for tax years beginning after December 31, 2022, the IRA imposes a 15% corporate minimum tax, a 1% excise tax on share repurchases, and creates and extends certain tax-related energy incentives. Management does not expect the tax-related provisions of the IRA to have a material impact on the Company's consolidated financial statements.

Unrecognized Tax Benefits

 

 

138


KINETA, INC.

Notes to Consolidated Financial Statements

The unrecognized tax benefits, if recognized, would not have an impact on the Company’s effective tax rate assuming the Company continues to maintain a full valuation allowance position. As of December 31, 2023, no significant increases or decreases are expected to the Company’s uncertain tax positions within the next twelve months.

 

 

Years Ended December 31,

 

 

 

2023

 

 

2022

 

 

 

(in thousands)

 

Beginning balance of unrecognized tax benefits

 

$

828

 

 

$

630

 

Gross increases based on tax positions related to current year

 

 

172

 

 

 

198

 

Ending balance of unrecognized tax benefits

 

$

1,000

 

 

$

828

 

 

Interest and penalties related to the Company’s unrecognized tax benefits accrued as of December 31, 2023 were not material. The Company does not expect its uncertain tax positions to have material impact on its consolidated financial statements within the next twelve months. All of the unrecognized tax benefits as of December 31, 2023 are accounted for as a reduction in the Company’s deferred tax assets.

 

The Company files federal and state income tax returns subject to varying statutes of limitations. Due to net operating loss carryforwards, the Company’s income tax returns generally remain subject to examination by federal and state tax authorities.

15.
Net Loss Per Share

The following table summarizes the computation of basic and diluted net loss per share:

 

 

 

Years Ended December 31,

 

 

 

2023

 

 

2022

 

 

(in thousands, excepts per share amounts)

 

Numerator:

 

 

 

 

 

 

Net loss attributable to Kineta, Inc.

 

$

(14,099

)

 

$

(63,408

)

Denominator:

 

 

 

 

 

 

Weighted-average common shares outstanding, basic and diluted(1)

 

 

11,054

 

 

 

4,926

 

Net loss per share, basic and diluted

 

$

(1.28

)

 

$

(12.87

)

 

1. Included in the denominator for the years ended December 31, 2023 and 2022, were 628,000 and 260,000 weighted-average shares of common stock warrants, respectively, with exercise prices of $0.001 and $0.14 issued for nominal consideration.

The following outstanding potentially dilutive common stock equivalents were excluded from the computation of diluted net loss per share as of the periods presented because including them would have been antidilutive:

 

 

 

Years Ended December 31,

 

 

 

2023

 

 

2022

 

 

 

(in thousands)

 

Warrants to purchase common stock

 

 

2,560

 

 

 

533

 

Common stock options

 

 

1,975

 

 

 

733

 

Vested restricted stock subject to recall

 

 

56

 

 

 

56

 

Unvested restricted stock subject to repurchase

 

 

8

 

 

 

175

 

Total

 

 

4,599

 

 

 

1,497

 

 

 

 

Defined Contribution Plan

 

The Company sponsors a 401(k) Plan whereby all employees are eligible to participate in the 401(k) Plan after meeting certain eligibility requirements. Participants may elect to have a portion of their salary deferred and contributed to the 401(k) plan, subject to certain limitations. The Company provided matching contributions of $115,000 for the year ended December 31, 2023 and $129,000 for the year ended December 31, 2022.

16.
Related Party Transactions

 

Stock Purchases

 

During the year ended December 31, 2023, five members of the Company’s executive management purchased 43,000 shares of the Company’s common stock on the open market and one director of the Company purchased 5,000 shares of the Company’s common stock on the open market.

 

 

139


KINETA, INC.

Notes to Consolidated Financial Statements

RSU Vesting

 

During the year ended December 31, 2023, the Company issued 123,000 shares of its common stock to members of the Company’s executive management and 10,000 shares to directors of the Company, upon vesting of restricted stock units.

 

Warrant Exercises

 

During the year ended December 31, 2023, the Company issued 3,000 shares of its common stock to members of the Company’s executive management and 64,000 shares to a director of the Company, upon exercise of outstanding warrants. During the year ended December 31, 2022, the Company issued 43,000 shares of its common stock to a director of the Company, upon exercise of outstanding warrants.

 

Private Placement

 

In December 2022, the Company issued 415,000 shares of its common stock for an aggregate purchase price of $4.8 million to four related parties and issued 66,000 warrants to purchase shares of the Company’s non-voting common stock to the same related parties in connection with such Private Placement (see Note 9). Two of the related parties are members of the Company’s board of directors and two are members of the Company’s senior management team.

 

2022 Convertible Notes

 

In December 2022, upon the closing of the Merger, the Company settled $4.8 million in outstanding principal and accrued interest, held by three entities affiliated with a previous member of the Company’s board of directors, by issuing 335,000 shares of the Company’s non-voting common stock at the conversion price of $0.995 (see Note 6). As of December 31, 2023 and 2022, the Company had no outstanding principal for its 2022 convertible notes with related parties.

2020 Convertible Notes

 

In December 2022, upon the closing of the Merger, the Company settled $2.0 million in outstanding principal and accrued interest, held by two members of the Company’s board of directors, by issuing 139,000 shares of the Company’s non-voting common stock at the conversion price of $0.995 (see Note 6). As of December 31, 2023 and 2022, the Company had no outstanding principal for its 2020 convertible notes with related parties.

2020 Notes

In August 2022, the Company settled $0.5 million in outstanding principal and accrued interest with the related party by issuing 23,000 shares of the Company’s non-voting common stock at a 15% discount, recognizing a $0.1 million loss upon extinguishment (see Note 6). As of December 31, 2023 and 2022, the Company had no outstanding principal for its 2020 notes with related parties.

17.
Subsequent Events

The Company evaluated subsequent events through the date these consolidated financial statements were issued to determine if they must be reported. The management of the Company determined there were no reportable subsequent events other than as described below.

 

As described above, the Company initiated a process to explore a range of strategic alternatives to maximize stockholder value and has engaged professional advisors. Management can make no assurances that any particular course of action, business arrangement or transaction, or series of transactions, will be pursued, successfully consummated or lead to increased stockholder value. If the strategic process is unsuccessful, the Company’s board of directors may decide to pursue a liquidation or obtain relief under the US Bankruptcy Code.

 

In connection with the Company’s decision to explore strategic alternatives, the Company implemented a workforce reduction of the Company’s workforce by seven full-time employees, or approximately 64% of the Company’s then-current employee base. The workforce reduction includes Kineta’s Chief Executive Officer, Shawn Iadonato, Ph.D., who will continue to serve on the Company’s Board of Directors, and Kineta’s General Counsel and Secretary, Pauline Kenny. Each of Dr. Iadonato and Ms. Kenny will continue to support the Company in a consulting capacity until December 31, 2024. In connection with this workforce reduction, the affected employees will be provided severance benefits, including cash severance payments. Each affected employee’s eligibility for these severance benefits is contingent upon such employee’s entering into an effective separation agreement, which includes a general release of claims against the Company. The reduction of workforce is expected to result in approximately $246,000 in severance costs. The incremental costs are expected to be incurred in the first quarter of 2024.

 

 

 

140


Item 9. Changes in and Disagreements With Accountants on Accounting and Financial Disclosure.

None.

 

141


 

Item 9A. Controls and Procedures.

 

Evaluation of Disclosure Controls and Procedures

Prior to completion of the Merger, we were a private company and had limited accounting and financial reporting personnel and other resources with which to address our internal controls and related procedures. In connection with the audit of our financial statements for the years ended December 31, 2022 and in connection with the review of our financial statements for the six months ended June 30, 2023, our management and our independent registered public accounting firm identified material weaknesses in our internal control over financial reporting. A material weakness is a deficiency, or a combination of deficiencies, in internal control over financial reporting as defined under the Securities Exchange Act of 1934, as amended (the “Exchange Act”) and by the Public Company Accounting Oversight Board (United States), such that there is a reasonable possibility that a material misstatement of our annual or interim financial statements will not be prevented or detected on a timely basis. The material weaknesses for the year ended December 31, 2023 relate to accounting for complex financial instruments related to the derivative asset and for accounting for allocated facilities costs. The material weakness for the year ended December 31, 2022 relates to accounting for complex financial instruments related to warrants issued to certain existing stockholders. The material weaknesses are still present and have not been remediated.

 

We are in the process of implementing measures designed to improve our internal control over financial reporting to remediate the material weaknesses. For example, we began to address the material weaknesses by implementing certain Sarbanes-Oxley controls during the first half of 2022. In October 2022, we hired a Chief Financial Officer to enhance internal controls and address the material weaknesses and other control deficiencies identified during the 2021 audit of the financial statements. We have designed and implemented improved processes and internal controls, including ongoing senior management review and audit committee oversight. We have also implemented and upgraded accounting and reporting systems to improve accounting and financial reporting processes. Additionally, we have enhanced, developed and implemented formal policies, processes and documentation procedures relating to our financial processes, including the oversight of third-party service providers. Our actions are subject to ongoing executive management review and will also be subject to audit committee oversight.

 

Notwithstanding the material weaknesses in internal control over financial reporting described above, our management has concluded that our consolidated financial statements included in this Annual Report on Form 10-K are fairly stated in all material respects in accordance with accounting principles generally accepted in the United States of America.

Management’s Annual Report on Internal Control over Financial Reporting

Our management is responsible for the preparation and fair presentation of the consolidated financial statements and for establishing and maintaining effective internal control over financial reporting (as such term is defined in Exchange Act Rules 13a-15(f) and 15d-15(f). The consolidated financial statements have been prepared in accordance with accounting principles generally accepted in the United States, and any deviations from such principles have been disclosed in the notes to the financial statements. Management is also responsible for assessing the effectiveness of internal control over financial reporting and for providing reasonable assurance regarding the reliability of financial reporting and the preparation of financial statements for external purposes in accordance with generally accepted accounting principles. Our internal control over financial reporting is designed to provide reasonable assurance regarding the reliability of financial reporting and the preparation of financial statements for external purposes in accordance with generally accepted accounting principles. However, internal control over financial reporting may not prevent or detect all misstatements due to inherent limitations, including the possibility of collusion or improper management override of controls.

 

Management conducted an evaluation of the effectiveness of our internal control over financial reporting based on the criteria set forth in the Internal Control—Integrated Framework issued by the Committee of Sponsoring Organizations of the Treadway Commission (COSO). Based on this evaluation, management has determined that as of December 31, 2023, our internal control over financial reporting is not effective based on the material weaknesses identified above.

Changes in Internal Control over Financial Reporting

Except as disclosed above, there has been no change in our internal control over financial reporting that occurred during the fourth quarter of 2023 that has materially affected, or is reasonably likely to materially affect, our internal control over current or future financial reporting.

Item 9B. Other Information.

During the fiscal quarter ended December 31, 2023, none of our directors or officers informed us of the adoption, modification or termination of a “Rule 10b5-1 trading arrangement” or “non-Rule 10b5-1 trading arrangement,” as those terms are defined in Regulation S-K, Item 408.

Item 9C. Disclosure Regarding Foreign Jurisdictions that Prevent Inspections.

 

Not applicable.

 

142


 

PART III

Item 10. Directors, Executive Officers and Corporate Governance.

 

The information required by this Item 10 will be included in our definitive proxy statement to be filed with the SEC with respect to our 2024 Annual Meeting of Stockholders and is incorporated herein by reference.

Item 11. Executive Compensation.

 

The information required by this Item 11 will be included in our definitive proxy statement to be filed with the SEC with respect to our 2024 Annual Meeting of Stockholders and is incorporated herein by reference.

Item 12. Security Ownership of Certain Beneficial Owners and Management and Related Stockholder Matters.

 

The information required by this Item 12 will be included in our definitive proxy statement to be filed with the SEC with respect to our 2024 Annual Meeting of Stockholders and is incorporated herein by reference.

Item 13. Certain Relationships and Related Transactions, and Director Independence.

 

The information required by this Item 13 will be included in our definitive proxy statement to be filed with the SEC with respect to our 2024 Annual Meeting of Stockholders and is incorporated herein by reference.

Item 14. Principal Accounting Fees and Services.

 

The information required by this Item 14 will be included in our definitive proxy statement to be filed with the SEC with respect to our 2024 Annual Meeting of Stockholders and is incorporated herein by reference.

 

 

143


 

PART IV

Item 15. Exhibits, Financial Statement Schedules.

 

1. Financial Statements

For a list of the financial statements included herein, see Index to the Consolidated Financial Statements on page 110 of this Annual Report on Form 10-K, incorporated into this Item by reference.

2. Financial Statement Schedules

Financial statement schedules have been omitted because they are either not required or not applicable or the information is included in the consolidated financial statements or the notes thereto.

3. Exhibits

The exhibits required by Item 601 of Regulation S-K and Item 15(b) of this Annual Report on Form 10-K are listed in the Exhibit Index immediately preceding the signature page of this Annual Report on Form 10-K. The exhibits listed in the Exhibit Index are incorporated by reference herein.

Item 16. Form 10-K Summary

Not provided.

 

144


 

Exhibit Index

 

Exhibit

Number

Description

1.1

 

Open Market Sale AgreementSM, dated February 10, 2023, by and between the Company and Jefferies LLC (filed as Exhibit 1.1 to the Company’s Current Report on Form 8-K (File No. 001-37695) as filed with the SEC on February 10, 2023 and incorporated herein by reference).

2.1++

 

Agreement and Plan of Merger, dated June 5, 2022, by and among the Company, Kineta Operating, Inc. and Yacht Merger Sub, Inc. (filed as Exhibit 2.2 to the Company’s Current Report on Form 8-K (File No. 001-37695) as filed with the SEC on June 6, 2022 and incorporated herein by reference).

2.2

 

Form of Amendment No. 1 to the Agreement and Plan of Merger, dated as of December 5, 2022, by and among the Company, Kineta Operating, Inc. and Yacht Merger Sub, Inc. (filed as Exhibit 10.1 to the Company’s Current Report on Form 8-K (File No. 001-37695) as filed with the SEC on December 5, 2022 and incorporated herein by reference).

2.3++

 

Asset Purchase Agreement, dated as of June 5, 2022, by and between the Company and Janssen Pharmaceutica NV (filed as Exhibit 2.1 to the Company’s Current Report on Form 8-K (File No. 001-37695) as filed with the SEC on June 6, 2022 and incorporated herein by reference).

3.1

 

Fifth Amended and Restated Certificate of Incorporation of the Company (filed as Exhibit 3.1 to the Company’s Registration Statement on Form S-3 (File No. 333-228529) as filed with the SEC on November 23, 2018 and incorporated herein by reference).

3.2

 

Certificate of Amendment of Fifth Amended and Restated Certificate of Incorporation of the Company, dated December 22, 2020 (filed as Exhibit 3.1 to the Company’s Current Report on Form 8-K (File No. 001-37695) as filed with the SEC on December 30, 2020 and incorporated herein by reference).

3.3

 

Certificate of Amendment of Fifth Amended and Restated Certificate of Incorporation of the Company, dated December 22, 2020 (filed as Exhibit 3.2 to the Company’s Current Report on Form 8-K (File No. 001-37695) as filed with the SEC on December 30, 2020 and incorporated herein by reference).

3.4

 

Certificate of Amendment of Fifth Amended and Restated Certificate of Incorporation of the Company , dated December 16, 2022 (filed as Exhibit 3.1 to the Company’s Form 8-K (File No. 001-37695) as filed with the SEC on December 22, 2022 and incorporated herein by reference).

3.5

 

Certificate of Amendment of Fifth Amended and Restated Certificate of Incorporation of the Company, dated December 16, 2022 (filed as Exhibit 3.2 to the Company’s Form 8-K (File No. 001-37695) as filed with the SEC on December 22, 2022 and incorporated herein by reference).

3.6

 

Fourth Amended and Restated By-laws of the Company, dated December 16, 2022 (filed as Exhibit 3.3 to the Company’s Form 8-K (File No. 001-37695) as filed with the SEC on December 22, 2022 and incorporated herein by reference).

4.1

 

Form of Warrant, dated December 5, 2022 (filed as Exhibit 10.3 to the Company’s Current Report on Form 8-K (File No. 001-37695) as filed with the SEC on December 5, 2022 and incorporated herein by reference).

4.2

 

Description of Registrant’s Securities registered pursuant to Section 12 of the Securities Exchange Act of 1934 (filed as Exhibit 4.2 to the Company’s Annual Report on Form 10-K (File No. 001-37695) as filed with the SEC on March 31, 2023 and incorporated herein by reference).

4.3

 

Form of Pre-Funded Warrant (filed as Exhibit 4.1 to the Company’s Current Report on Form 8-K (File No. 001-37695) as filed with the SEC on April 21, 2023 and incorporated herein by reference).

4.4

 

Form of Common Warrant (filed as Exhibit 4.2 to the Company’s Current Report on Form 8-K (File No. 001-37695) as filed with the SEC on April 21, 2023 and incorporated herein by reference).

4.5

 

Form of Wainwright Warrant (filed as Exhibit 4.3 to the Company’s Current Report on Form 8-K (File No. 001-37695) as filed with the SEC on April 21, 2023 and incorporated herein by reference).

4.6

 

Form of Pre-Funded Warrant (filed as Exhibit 4.1 to the Company's Current Report on Form 8-K (File No. 001-37695) as filed with the SEC on October 5, 2023 and incorporated herein by reference).

4.7

 

Form of Common Warrant (filed as Exhibit 4.2 to the Company's Current Report on Form 8-K (File No. 001-37695) as filed with the SEC on October 5, 2023 and incorporated herein by reference).

4.8

 

Form of Wainwright Warrant (filed as Exhibit 4.3 to the Company's Current Report on Form 8-K (File No. 001-37695) as filed with the SEC on October 5, 2023 and incorporated herein by reference).

10.1

 

Amended and Restated Warrant Agreement to Purchase Common Stock of the Company issued to Hercules Capital, Inc., dated December 22, 2020 (filed as Exhibit 10.14 to the Company’s Annual Report on Form 10-K (File No. 001-37695) as filed with the SEC on March 31, 2021 and incorporated herein by reference).

10.2

 

Common Unit Warrant issued to Alexandria Equities, LLC (as predecessor to Alexandria Venture Investments, LLC) on October 9, 2015 (filed as Exhibit 10.27 to the Company’s Registration Statement on Form S-4 (File No. 333-248993) as filed with the SEC on September 23, 2020 and incorporated herein by reference).

10.3

 

Common Unit Warrant issued to Redmile Capital Offshore II Master Fund, Ltd. on August 14, 2015 (filed as Exhibit 10.28 to the Company’s Registration Statement on Form S-4 (File No. 333-248993) as filed with the SEC on September 23, 2020 and incorporated herein by reference).

10.4

 

Common Unit Warrant issued to Redmile Biotechnologies Investments I AF, LP (as predecessor to Redmile Biopharma Investments I, L.P.) on August 14, 2015 (filed as Exhibit 10.29 to the Company’s Registration Statement on Form S-4 (File No. 333-248993) as filed with the SEC on September 23, 2020 and incorporated herein by reference).

10.5

 

Common Unit Warrant issued to Susan L. Lindquist Family Trust (as successor to the Estate of Susan L. Lindquist) dated August 14, 2015 (filed as Exhibit 10.30 to the Company’s Registration Statement on Form S-4/A (File No. 333-248993) as filed with the SEC on October 28, 2020 and incorporated herein by reference).

 

145


 

10.6

 

Common Unit Warrant issued to N. Anthony Coles on August 14, 2015 (filed as Exhibit 10.31 to the Company’s Registration Statement on Form S-4 (File No. 333-248993) as filed with the SEC on September 23, 2020 and incorporated herein by reference).

10.7

 

Subscription Agreement, dated as of December 14, 2020 by among the Company and certain purchasers listed therein (filed as Exhibit 10.1 of the Company’s Current Report on Form 8-K (File No. 001-37695) as filed with the SEC on December 15, 2020 and incorporated herein by reference).

10.8

 

Registration Rights Agreement, dated as of December 22, 2020 by among the Company and certain purchasers listed therein (filed as Exhibit 10.5 of the Company’s Current Report on Form 8-K (File No. 001-37695) as filed with the SEC on December 30, 2020 and incorporated herein by reference).

10.9#

 

Separation Agreement by and between the Company and Richard Peters, dated December 16, 2022 (filed as Exhibit 10.15 to the Company’s Current Report on Form 8-K (File No. 001-37695) as filed with the SEC on December 22, 2022 and incorporated herein by reference).

10.10#

 

Separation Agreement by and between the Company and Michael Wyzga, dated December 16, 2022 (filed as Exhibit 10.16 to the Company’s Current Report on Form 8-K (File No. 001-37695) as filed with the SEC on December 22, 2022 and incorporated herein by reference).

10.11#

 

Separation Agreement by and between the Company and Devin Smith, dated December 16, 2022 (filed as Exhibit 10.17 to the Company’s Current Report on Form 8-K (File No. 001-37695) as filed with the SEC on December 22, 2022 and incorporated herein by reference).

10.12

 

Form of Support Agreement, dated June 5, 2022, by and among the Company, Kineta Operating, Inc. and each of the parties named in each agreement therein (filed as Exhibit 2.3 to the Company’s Current Report on Form 8-K (File No. 001-37695) as filed with the SEC on June 6, 2022 and incorporated herein by reference).

10.13

 

Form of Support Agreement, dated June 5, 2022, by and among the Company, Kineta Operating, Inc. and each of the parties named in each agreement therein (filed as Exhibit 2.4 to the Company’s Current Report on Form 8-K (File No. 001-37695) as filed with the SEC on June 6, 2022 and incorporated herein by reference).

10.14

 

Form of Lock-Up Agreement, dated June 5, 2022, by each of the parties named in each agreement therein (filed as Exhibit 2.5 to the Company’s Current Report on Form 8-K (File No. 001-37695) as filed with the SEC on June 6, 2022 and incorporated herein by reference).

10.15++

 

Form of Securities Purchase Agreement, dated as of June 5, 2022, by and between the Company and each of the institutional investors named therein (filed as Exhibit 2.6 to the Company’s Current Report on Form 8-K (File No. 001-37695) as filed with the SEC on June 6, 2022 and incorporated herein by reference).

10.16

 

Form of Amendment No. 1 to Securities Purchase Agreement, dated as of October 24, 2022, by and among the Company, each of the institutional investors named therein and Kineta Operating, Inc. (filed as Exhibit 10.1 to the Company’s Current Report on Form 8-K (File No. 001-37695) as filed with the SEC on October 24, 2022 and incorporated herein by reference).

10.17

 

Form of Amendment No. 2 to the Securities Purchase Agreement dated December 5, 2022, by and among the Company, each of the institutional investors named therein and Kineta Operating, Inc. (filed as Exhibit 10.2 to the Company’s Current Report on Form 8-K (File No. 001-37695) as filed with the SEC on December 5, 2022 and incorporated herein by reference).

10.18

 

Form of Amendment No. 3 to the Securities Purchase Agreement dated March 29, 2023, by and among the Company and each of the institutional investors named therein (filed as Exhibit 10.18 to the Company’s Annual Report on Form 10-K (File No. 001-37695) as filed with the SEC on March 31, 2023 and incorporated herein by reference).

10.19

 

Form of Amendment No. 4 to the Securities Purchase Agreement dated May 1, 2023, by and among the Company and each of the institutional investors named therein (filed as Exhibit 10.1 to the Company’s Current Report on Form 8-K/A (File No. 001-37695) as filed with the SEC on June 2, 2023 and incorporated herein by reference).

10.20

 

Form of Amendment No. 5 to the Securities Purchase Agreement dated July 21, 2023, by and among the Company and each of the institutional investors named therein (filed as Exhibit 10.1 to the Company’s Current Report on Form 8-K (File No. 001-37695) as filed with the SEC on July 21, 2023 and incorporated herein by reference).

10.21

 

Form of Amendment No. 6 to the Securities Purchase Agreement dated October 13, 2023, by and among the Company and each of the institutional investors named therein (filed as Exhibit 10.1 to the Company's Current Report on Form 8-K (File No. 001-37695) as filed with the SEC on October 17, 2023 and incorporated herein by reference).

10.22++

 

Form of Registration Rights Agreement, dated as of June 5, 2022, by and between the Company and each of the institutional investors named therein (filed as Exhibit 2.7 to the Company’s Current Report on Form 8-K (File No. 001-37695) as filed with the SEC on June 6, 2022 and incorporated herein by reference).

10.23

 

Form of Amendment No. 1 to Registration Rights Agreement, dated as of October 24, 2022, by and between the Company and each of the institutional investors named therein (filed as Exhibit 10.3 to the Company’s Current Report on Form 8-K (File No. 001-37695) as filed with the SEC on October 24, 2022 and incorporated herein by reference).

10.24

 

Form of Amendment No. 2 to the Registration Rights Agreement, by and between the Company and each of the institutional investors named therein dated December 5, 2022 (filed as Exhibit 10.4 to the Company’s Current Report on Form 8-K (File No. 001-37695) as filed with the SEC on December 5, 2022 and incorporated herein by reference).

10.25#

 

Form of Employment Agreement with certain Executive Officers of Kineta, Inc. (filed as Exhibit 10.28 to the Company’s Registration Statement on Form S-4/A (File No. 333-267127) as filed with the SEC on October 3, 2022 and incorporated herein by reference).

10.26#

 

Form of Indemnification Agreement with the Executive Officers and Directors of Kineta, Inc. (filed as Exhibit 10.29 to the Company’s Registration Statement on Form S-4/A (File No. 333-267127) as filed with the SEC on October 3, 2022 and incorporated herein by reference).

10.27#

 

Kineta, Inc. Amended and Restated 2008 Stock Plan (the “Kineta 2008 Plan”) and associated forms (filed as Exhibit 10.30 to the Company’s Registration Statement on Form S-4 (File No. 333-267127) as filed with the SEC on August 29, 2022 and incorporated herein by reference).

 

146


 

10.28#

 

Kineta, Inc. 2010 Equity Incentive Plan (the “Kineta 2010 Plan”) and associated forms (filed as Exhibit 10.31 to the Company’s Registration Statement on Form S-4 (File No. 333-267127) as filed with the SEC on August 29, 2022 and incorporated herein by reference).

10.29#

 

First Amendment to Kineta 2010 Plan (filed as Exhibit 10.32 to the Company’s Registration Statement on Form S-4 (File No. 333-267127) as filed with the SEC on August 29, 2022 and incorporated herein by reference).

10.30#

 

Second Amendment to Kineta 2010 Plan (filed as Exhibit 10.33 to the Company’s Registration Statement on Form S-4 (File No. 333-267127) as filed with the SEC on August 29, 2022 and incorporated herein by reference).

10.31#

 

Kineta, Inc. 2020 Equity Incentive Plan and associated forms (filed as Exhibit 10.34 to the Company’s Registration Statement on Form S-4 (File No. 333-267127) as filed with the SEC on August 29, 2022 and incorporated herein by reference).

10.32#

 

Kineta, Inc. 2022 Equity Incentive Plan and associated forms (filed as Exhibit 10.6 to the Company’s Current Report on Form 8-K (File No. 001-37695) as filed with the SEC on December 22, 2022 and incorporated herein by reference).

10.33

 

Lease, dated as of November 19, 2010, by and between Kineta, Inc. and ARE-SEATTLE No. 17, LLC (filed as Exhibit 10.35 to the Company’s Registration Statement on Form S-4 (File No. 333-267127) as filed with the SEC on August 29, 2022 and incorporated herein by reference).

10.34

 

First Amendment to Lease, dated as of August 12, 2011, by and between Kineta, Inc. and ARE-SEATTLE No. 17, LLC (filed as Exhibit 10.36 to the Company’s Registration Statement on Form S-4 (File No. 333-267127) as filed with the SEC on August 29, 2022 and incorporated herein by reference).

10.35

 

Second Amendment to Lease, dated as of August 28, 2012, by and between Kineta, Inc. and ARE-SEATTLE No. 17, LLC (filed as Exhibit 10.37 to the Company’s Registration Statement on Form S-4 (File No. 333-267127) as filed with the SEC on August 29, 2022 and incorporated herein by reference).

10.36

 

Third Amendment to Lease, dated as of February 28, 2013, by and between Kineta, Inc. and ARE-SEATTLE No. 17, LLC (filed as Exhibit 10.38 to the Company’s Registration Statement on Form S-4 (File No. 333-267127) as filed with the SEC on August 29, 2022 and incorporated herein by reference).

10.37

 

Fourth Amendment to Lease, dated as of June 28, 2016, by and between Kineta, Inc. and ARE-SEATTLE No. 17, LLC (filed as Exhibit 10.39 to the Company’s Registration Statement on Form S-4 (File No. 333-267127) as filed with the SEC on August 29, 2022 and incorporated herein by reference).

10.38

 

Fifth Amendment to Lease, dated as of June 30, 2020, by and between Kineta, Inc. and ARE-SEATTLE No. 17, LLC (filed as Exhibit 10.40 to the Company’s Registration Statement on Form S-4 (File No. 333-267127) as filed with the SEC on August 29, 2022 and incorporated herein by reference).

10.39+

 

Option and License Agreement (VISTA), dated as of August 10, 2020, by and between GigaGen, Inc. and Kineta, Inc. (filed as Exhibit 10.41 to the Company’s Registration Statement on Form S-4/A (File No. 333-267127) as filed with the SEC on October 3, 2022 and incorporated herein by reference).

10.40

 

First Amendment to Option and License Agreement (VISTA), dated as of November 19, 2020, by and between GigaGen, Inc. and Kineta, Inc. (filed as Exhibit 10.42 to the Company’s Registration Statement on Form S-4/A (File No. 333-267127) as filed with the SEC on October 3, 2022 and incorporated herein by reference).

10.41+

 

Second Amendment to Option and License Agreement (VISTA), dated as of May 25, 2023, by and between Gigagen, Inc. and the Company (filed as Exhibit 10.1 to the Company’s Current Report on Form 8-K (File No. 001-37695) as filed with the SEC on May 30, 2023 and incorporated herein by reference).

10.42+

 

Option and License Agreement (CD 27), dated as of June 9, 2021, by and between GigaGen, Inc. and Kineta, Inc. (filed as Exhibit 10.43 to the Company’s Registration Statement on Form S-4/A (File No. 333-267127) as filed with the SEC on October 3, 2022 and incorporated herein by reference).

10.43

 

First Amendment to Option and License Agreement (CD 27), dated as of July 31, 2022, by and between GigaGen, Inc. and Kineta, Inc. (filed as Exhibit 10.44 to the Company’s Registration Statement on Form S-4/A (File No. 333-267127) as filed with the SEC on October 3, 2022 and incorporated herein by reference).

10.44

 

Second Amendment to Option and License Agreement (CD27), dated as of December 21, 2022, by and between Gigagen, Inc. and the Company (filed as Exhibit 10.5 to the Company's Current Report on Form 10-Q (File No. 001-37695) as filed with the SEC on August 11, 2023 and incorporated herein by reference).

10.45

 

Third Amendment to Option and License Agreement (CD27), dated as of May 25, 2023, by and between Gigagen, Inc. and the Company (filed as Exhibit 10.2 to the Company’s Current Report on Form 8-K (File No. 001-37695) as filed with the SEC on May 30, 2023 and incorporated herein by reference).

10.46

 

Fourth Amendment to Option and License Agreement (CD27), dated as of December 14, 2023, by and between Gigagen, Inc. and Company (filed as Exhibit 10.1 to the Company’s Current Report on Form 8-K (File No. 001-37695) as filed with the SEC on December 15, 2023 and incorporated herein by reference).

10.47+

 

Master Development Services Agreement, dated as of July 9, 2021, between Samsung Biologics Co., Ltd. and Kineta, Inc. (filed as Exhibit 10.52 to the Company’s Registration Statement on Form S-4/A (File No. 333-267127) as filed with the SEC on October 3, 2022 and incorporated herein by reference).

10.48

 

Kineta, Inc. Warrant to Purchase Shares, issued by Kineta, Inc. to RLB Holdings, LLC on September 1, 2017 (Warrant No. NVCW-363) (filed as Exhibit 10.60 to the Company’s Registration Statement on Form S-4/A (File No. 333-267127) as filed with the SEC on October 3, 2022 and incorporated herein by reference).

10.49

 

Kineta, Inc. Warrant to Purchase Shares, issued by Kineta, Inc. to Marion R. Foote on October 15, 2020 (Warrant No. NVCW-416) (filed as Exhibit 10.61 to the Company’s Registration Statement on Form S-4/A (File No. 333-267127) as filed with the SEC on October 3, 2022 and incorporated herein by reference).

10.50

 

Kineta, Inc. Warrant to Purchase Shares, issued by Kineta, Inc. to Marion R. Foote on November 24, 2017 (Warrant No. NVCW-372) (filed as Exhibit 10.62 to the Company’s Registration Statement on Form S-4/A (File No. 333-267127) as filed with the SEC on October 3, 2022 and incorporated herein by reference).

 

147


 

10.51

 

Kineta, Inc. Warrant to Purchase Shares, issued by Kineta, Inc. to Marion R. Foote on November 24, 2017 (Warrant No. NVCW-373) (filed as Exhibit 10.63 to the Company’s Registration Statement on Form S-4/A (File No. 333-267127) as filed with the SEC on October 3, 2022 and incorporated herein by reference).

10.52

 

Kineta, Inc. Warrant to Purchase Shares, issued by Kineta, Inc. to Marion R. Foote on October 3, 2019 (Warrant No. NVCW-399) (filed as Exhibit 10.64 to the Company’s Registration Statement on Form S-4/A (File No. 333-267127) as filed with the SEC on October 3, 2022 and incorporated herein by reference).

10.53

 

Lecura, Inc. Common Stock Purchase Agreement, dated as of December 23, 2007, by and between Lecura, Inc. and Shawn Iadonato (filed as Exhibit 10.65 to the Company’s Registration Statement on Form S-4/A (File No. 333-267127) as filed with the SEC on October 3, 2022 and incorporated herein by reference).

10.54

 

Kineta, Inc. Common Stock Purchase Agreement, dated as of June 26, 2008, by and between Kineta, Inc. and Shawn Iadonato (filed as Exhibit 10.66 to the Company’s Registration Statement on Form S-4/A (File No. 333-267127) as filed with the SEC on October 3, 2022 and incorporated herein by reference).

10.55

 

Kineta, Inc. Common Stock Purchase Agreement, dated as of May 27, 2021, by and between Kineta, Inc. and CBI USA, Inc. (filed as Exhibit 10.67 to the Company’s Registration Statement on Form S-4/A (File No. 333-267127) as filed with the SEC on October 3, 2022 and incorporated herein by reference).

10.56

 

Non-Voting Common Stock Purchase Warrant, issued by Kineta, Inc. to Quayle Associates, LLC on April 1, 2013 (Warrant No. NVCW-79) (filed as Exhibit 10.68 to the Company’s Registration Statement on Form S-4/A (File No. 333-267127) as filed with the SEC on October 3, 2022 and incorporated herein by reference).

10.57

 

Assignment Form of Quayle Associates, LLC to sell, assign and transfer all rights of Warrant No. NVCW-79 to Craig W. Philips, dated as of January 1, 2018 (filed as Exhibit 10.69 to the Company’s Registration Statement on Form S-4/A (File No. 333-267127) as filed with the SEC on October 3, 2022 and incorporated herein by reference).

10.58

 

Assignment Form of Craig W. Philips to sell, assign and transfer all rights of Warrant No. NVCW-79 to Whetstone Ventures, LLC, dated as of January 1, 2020 (filed as Exhibit 10.70 to the Company’s Registration Statement on Form S-4/A (File No. 333-267127) as filed with the SEC on October 3, 2022 and incorporated herein by reference).

10.59

 

Amendment No.1 to Non-Voting Common Stock Purchase Warrant, effective as of March 31, 2020, by and between Kineta, Inc. and Whetstone Ventures, LLC (Warrant No. NVCW-79) (filed as Exhibit 10.71 to the Company’s Registration Statement on Form S-4/A (File No. 333-267127) as filed with the SEC on October 3, 2022 and incorporated herein by reference).

10.60

 

Stock Purchase Warrant, issued by Kineta, Inc. to CBI USA, Inc. on October 24, 2022 (Warrant No. NVCW-436) (filed as Exhibit 10.75 to the Company’s Registration Statement on Form S-4/A (File No. 333-267127) as filed with the SEC on November 4, 2022 and incorporated herein by reference).

10.61

 

Form of Securities Purchase Agreement, dated as of April 20, 2023 (filed as Exhibit 10.1 to the Company’s Current Report on Form 8-K (File No. 001-37695) as filed with the SEC on April 21, 2023 and incorporated herein by reference).

10.62

 

Form of Securities Purchase Agreement, dated as of October 3, 2023 (filed as Exhibit 10.1 to the Company’s Current Report on Form 8-K (File No. 001-37695) as filed with the SEC on October 5, 2023 and incorporated herein by reference).

21.1*

 

Subsidiaries of Kineta, Inc.

23.1*

 

Consent of Marcum LLP, independent registered public accounting firm.

31.1*

Certification of Principal Executive Officer Pursuant to Rules 13a-14(a) and 15d-14(a) under the Securities Exchange Act of 1934, as Adopted Pursuant to Section 302 of the Sarbanes-Oxley Act of 2002.

31.2*

Certification of Principal Financial Officer Pursuant to Rules 13a-14(a) and 15d-14(a) under the Securities Exchange Act of 1934, as Adopted Pursuant to Section 302 of the Sarbanes-Oxley Act of 2002.

32.1*

Certification of Principal Executive Officer and Principal Financial Officer Pursuant to 18 U.S.C. Section 1350, as Adopted Pursuant to Section 906 of the Sarbanes-Oxley Act of 2002.

97.1*

 

Compensation Recovery Policy approved on September 6, 2023 and effective as of October 2, 2023.

101.INS

Inline XBRL Instance Document – the instance document does not appear in the Interactive Data File because XBRL tags are embedded within the Inline XBRL document.

101.SCH

 

Inline XBRL Taxonomy Extension Schema Document

101.CAL

 

Inline XBRL Taxonomy Extension Calculation Linkbase Document

101.DEF

 

Inline XBRL Taxonomy Extension Definition Linkbase Document

101.LAB

 

Inline XBRL Taxonomy Extension Label Linkbase Document

101.PRE

 

Inline XBRL Taxonomy Extension Presentation Linkbase Document

104

 

Cover Page Interactive Data File (formatted as Inline XBRL and contained in Exhibit 101)

 

* Filed herewith.

# Indicates a management contract or any compensatory plan, contract or arrangement.

+ Portions of this Exhibit (indicated with [***]) have been omitted as the Company has determined that (i) the omitted information is not material and (ii) the omitted information is the type that the Company treats as private or confidential.

++ Certain schedules and exhibits have been omitted pursuant to Item 601(b)(2) of Regulation S-K. A copy of any omitted schedule and/or exhibit will be furnished to the SEC upon request.

 

148


 

SIGNATURES

Pursuant to the requirements of Section 13 or 15(d) of the Securities Exchange Act of 1934, as amended, the Registrant has duly caused this Report to be signed on its behalf by the undersigned, thereunto duly authorized.

 

Kineta, Inc.

Date: March 21, 2024

By:

/s/ Craig Philips

Craig Philips

President

 

Pursuant to the requirements of the Securities Exchange Act of 1934, as amended, this Report has been signed below by the following persons on behalf of the Registrant in the capacities and on the dates indicated.

 

Signature

Title

Date

/s/ Craig Philips

President

March 21, 2024

Craig Philips

 (Principal Executive Officer)

/s/ Keith A. Baker

 Chief Financial Officer

March 21, 2024

Keith A. Baker

  (Principal Financial Officer)

/s/ David Arkowitz

 Director

March 21, 2024

David Arkowitz

/s/ Raymond Bartoszek

 Director

March 21, 2024

Raymond Bartoszek

/s/ Kimberlee Drapkin

 

 Director

 

March 21, 2024

Kimberlee Drapkin

 

 

 

 

 

 

 

 

 

/s/ Scott Dylla

 

Director

 

March 21, 2024

Scott Dylla

 

 

 

 

 

 

 

 

 

/s/ Marion R. Foote

 Director

March 21, 2024

Marion R. Foote

 

 

 

 

 

/s/ Shawn Iadonato

 

Director

 

March 21, 2024

Shawn Iadonato

 

 

 

 

 

 

 

 

 

/s/ Richard Peters

 Director

March 21, 2024

Richard Peters

 

 

149