Please wait
2035-12-31September 30 2037us-gaap:CollaborativeArrangementMemberFY2022February 28 20260001805890December 31, 2014August 31 2030us-gaap:CollaborativeArrangementMemberfalse00-0000000false--12-31CA2030-08-312037-12-310001805890fusn:LoanAgreementWithOxfordFinanceLLCMember2022-04-300001805890fusn:CPDCMember2021-01-012021-12-310001805890fusn:IpsenPharmaSASMemberfusn:AssetAcquisitionAndLicenseAgreementMember2021-12-310001805890fusn:AssetAcquisitionAndLicenseAgreementMemberfusn:CollaborationAndSupplyAgreementWithNiowaveIncMember2022-12-310001805890us-gaap:SubsequentEventMember2023-02-142023-02-140001805890us-gaap:RetainedEarningsMember2022-12-310001805890fusn:CPDCMember2022-12-310001805890fusn:ImmunoGenIncMemberfusn:DevelopmentAndRegulatoryMilestonesMemberus-gaap:ResearchAndDevelopmentExpenseMemberfusn:ResearchAndLicenseAgreementMember2022-01-012022-12-310001805890fusn:IpsenPharmaSASMemberfusn:AssetAcquisitionAndLicenseAgreementMember2022-01-012022-12-310001805890us-gaap:AdditionalPaidInCapitalMember2021-12-310001805890fusn:AccountsPayable1Memberfusn:AssetAcquisitionAndLicenseAgreementMemberfusn:TRIUMFInnovationsIncMember2022-12-310001805890us-gaap:FairValueInputsLevel2Memberus-gaap:CommercialPaperMember2021-12-310001805890country:CA2022-12-310001805890fusn:Phase1Memberfusn:RainierTherapeuticsIncMemberfusn:AssetAcquisitionAndLicenseAgreementMember2022-08-012022-08-310001805890fusn:AssetAcquisitionAndLicenseAgreementMemberfusn:GenentechIncMember2021-01-012021-12-3100018058902022-06-300001805890fusn:GuaranteedInvestmentCertificateMember2022-12-310001805890fusn:LoanAgreementMemberfusn:OxfordFinanceLLCMemberfusn:TermBLoanFacilityMember2022-04-042022-04-040001805890us-gaap:CollateralizedSecuritiesMember2021-12-310001805890fusn:CanadianGovernmentAgencyDebtSecuritiesMember2021-12-310001805890us-gaap:LeaseholdImprovementsMember2022-12-310001805890us-gaap:ResearchAndDevelopmentExpenseMember2022-01-012022-12-3100018058902021-01-012021-12-310001805890us-gaap:MunicipalBondsMember2021-12-310001805890us-gaap:USGovernmentCorporationsAndAgenciesSecuritiesMember2021-12-310001805890fusn:OxfordFinanceLLCMemberfusn:LoanAgreementMemberfusn:TermABAndCLoanFacilityMember2022-04-040001805890fusn:CPDCMember2021-12-310001805890us-gaap:InProcessResearchAndDevelopmentMemberus-gaap:CommonStockMember2021-01-012021-12-3100018058902022-12-310001805890fusn:OxfordFinanceLLCMemberfusn:LoanAgreementMemberfusn:TermDLoanFacilityMemberus-gaap:DebtInstrumentRedemptionPeriodFourMember2022-09-210001805890us-gaap:USGovernmentAgenciesDebtSecuritiesMember2022-12-310001805890us-gaap:LetterOfCreditMember2021-12-310001805890us-gaap:FurnitureAndFixturesMember2022-01-012022-12-310001805890srt:MaximumMember2021-12-310001805890fusn:AccountsPayable1Memberfusn:TRIUMFInnovationsIncMemberfusn:AmendedCollaborationAgreementMember2022-12-310001805890fusn:TermCLoanFacilityMemberfusn:LoanAgreementMemberfusn:OxfordFinanceLLCMember2022-04-040001805890country:US2022-12-310001805890fusn:MediaPharmaSRLMemberfusn:AssetAcquisitionAndLicenseAgreementMemberfusn:DevelopmentAndRegulatoryMilestonesMember2022-12-310001805890fusn:DefinedContributionSavingsPlanMember2022-01-012022-12-310001805890fusn:IpsenPharmaSASMemberfusn:AssetAcquisitionAndLicenseAgreementMember2021-03-010001805890fusn:LoanAgreementWithOxfordFinanceLLCMember2022-09-300001805890fusn:LoanAgreementMemberfusn:OxfordFinanceLLCMemberfusn:TermALoanFacilityMember2022-04-042022-04-040001805890srt:MinimumMemberfusn:LoanAgreementMemberfusn:OxfordFinanceLLCMemberfusn:TermLoansMemberfusn:FloatingPerAnnumRateMember2022-09-212022-09-210001805890us-gaap:ResearchAndDevelopmentExpenseMemberfusn:AmendedCollaborationAgreementMemberfusn:TRIUMFInnovationsIncMember2021-01-012021-12-310001805890us-gaap:MoneyMarketFundsMember2022-12-310001805890us-gaap:InProcessResearchAndDevelopmentMember2021-01-012021-12-310001805890fusn:LaboratoryEquipmentMember2021-12-3100018058902020-01-012020-12-310001805890us-gaap:DebtInstrumentRedemptionPeriodTwoMemberfusn:TermCLoanFacilityMemberfusn:OxfordFinanceLLCMemberfusn:LoanAgreementMember2022-09-210001805890fusn:RadiomedixAgreementMemberus-gaap:SubsequentEventMember2023-02-102023-02-100001805890fusn:RainierTherapeuticsIncMemberfusn:AssetAcquisitionAndLicenseAgreementMemberfusn:DevelopmentAndRegulatoryMilestonesMember2022-12-310001805890fusn:ImmunoGenIncMemberfusn:DevelopmentAndRegulatoryMilestonesMemberus-gaap:ResearchAndDevelopmentExpenseMemberfusn:ResearchAndLicenseAgreementMember2021-01-012021-12-310001805890us-gaap:AccumulatedOtherComprehensiveIncomeMember2022-12-310001805890fusn:RetirementSavingsPlanMember2022-01-012022-12-310001805890us-gaap:MoneyMarketFundsMember2021-12-310001805890fusn:LaboratoryEquipmentMember2022-01-012022-12-310001805890fusn:AssetAcquisitionAndLicenseAgreementMemberfusn:GenentechIncMember2022-01-012022-12-310001805890fusn:CollaborationAgreementAndAmendedCollaborationAgreementMemberus-gaap:OtherNoncurrentAssetsMemberfusn:TRIUMFInnovationsIncMember2022-01-012022-12-310001805890fusn:CanadianGovernmentAgencyDebtSecuritiesMember2021-12-310001805890us-gaap:SubsequentEventMember2023-02-140001805890srt:MaximumMember2022-12-310001805890us-gaap:WarrantMember2022-01-012022-12-310001805890fusn:TwoThousandTwentyStockOptionAndIncentivePlanMember2022-01-012022-12-310001805890fusn:DefinedContributionSavingsPlanMember2021-01-012021-12-3100018058902022-01-122022-01-120001805890us-gaap:FairValueInputsLevel1Member2021-12-310001805890fusn:LoanAgreementMemberfusn:OxfordFinanceLLCMemberus-gaap:SecuredOvernightFinancingRateSofrOvernightIndexSwapRateMemberfusn:TermLoansMember2022-09-212022-09-210001805890us-gaap:OtherNoncurrentAssetsMember2022-12-310001805890fusn:StrategicCollaborationAgreementMemberfusn:AstraZenecaUKLimitedMember2021-01-012021-12-310001805890us-gaap:DebtInstrumentRedemptionPeriodOneMemberfusn:LoanAgreementMemberfusn:OxfordFinanceLLCMemberfusn:TermALoanFacilityMember2022-09-210001805890us-gaap:GeneralAndAdministrativeExpenseMember2022-01-012022-12-310001805890fusn:ImmunoGenIncMembersrt:MaximumMemberfusn:SalesBasedMilestonesMemberfusn:ResearchAndLicenseAgreementMember2022-12-310001805890fusn:RainierTherapeuticsIncMemberfusn:AssetAcquisitionAndLicenseAgreementMembersrt:MaximumMember2022-12-310001805890fusn:StrategicCollaborationAgreementMemberfusn:AstraZenecaUKLimitedMemberfusn:NovelTATsAndCombinationTherapiesMember2020-10-302020-10-300001805890us-gaap:FairValueInputsLevel2Memberfusn:CanadianGovernmentAgencyDebtSecuritiesMember2022-12-310001805890us-gaap:AdditionalPaidInCapitalMember2021-01-012021-12-310001805890us-gaap:FairValueInputsLevel1Member2022-12-310001805890us-gaap:ResearchAndDevelopmentExpenseMemberfusn:AmendedCollaborationAgreementMemberfusn:TRIUMFInnovationsIncMember2022-01-012022-12-310001805890us-gaap:InProcessResearchAndDevelopmentMemberus-gaap:CommonStockMember2022-01-012022-12-310001805890fusn:TermCLoanFacilityMemberfusn:LoanAgreementMemberfusn:OxfordFinanceLLCMember2022-04-042022-04-040001805890fusn:RainierTherapeuticsIncMemberfusn:AssetAcquisitionAndLicenseAgreementMemberfusn:SalesBasedMilestonesMember2022-12-310001805890country:US2021-12-310001805890us-gaap:AdditionalPaidInCapitalMember2022-01-012022-12-310001805890us-gaap:EmployeeStockOptionMember2022-01-012022-12-310001805890fusn:AssetAcquisitionAndLicenseAgreementMemberfusn:DevelopmentAndRegulatoryMilestonesMemberfusn:TRIUMFInnovationsIncMember2022-12-3100018058902021-06-012021-06-010001805890fusn:MediaPharmaSRLMembersrt:MaximumMemberfusn:AssetAcquisitionAndLicenseAgreementMemberfusn:DevelopmentAndRegulatoryMilestonesMember2022-12-310001805890us-gaap:CommercialPaperMember2021-12-310001805890us-gaap:MunicipalBondsMember2022-12-310001805890fusn:IpsenPharmaSASMemberfusn:AssetAcquisitionAndLicenseAgreementMember2021-01-012021-12-310001805890fusn:ClassBConvertiblePreferredSharesMember2020-01-310001805890us-gaap:RestrictedStockUnitsRSUMember2022-01-012022-12-310001805890fusn:GuaranteedInvestmentCertificateMember2021-12-310001805890us-gaap:AdditionalPaidInCapitalMemberus-gaap:InProcessResearchAndDevelopmentMember2022-01-012022-12-310001805890fusn:AccountsPayable1Memberfusn:TRIUMFInnovationsIncMemberfusn:AmendedCollaborationAgreementMember2022-01-012022-12-310001805890fusn:IpsenPharmaSASMembersrt:MaximumMemberfusn:AssetAcquisitionAndLicenseAgreementMember2022-01-012022-12-310001805890us-gaap:FairValueInputsLevel2Memberus-gaap:CorporateBondSecuritiesMember2021-12-310001805890srt:MaximumMemberfusn:RadiomedixAgreementMemberus-gaap:SubsequentEventMember2023-02-100001805890us-gaap:RetainedEarningsMember2022-01-012022-12-310001805890currency:CAD2021-06-012021-06-010001805890fusn:Phase1Memberfusn:RainierTherapeuticsIncMemberfusn:AssetAcquisitionAndLicenseAgreementMember2022-08-310001805890fusn:LaboratoryEquipmentMember2022-12-3100018058902022-01-120001805890fusn:PerformanceBasedVestingMember2022-12-310001805890us-gaap:MoneyMarketFundsMemberus-gaap:FairValueInputsLevel1Member2021-12-310001805890fusn:RetirementSavingsPlanMember2021-01-012021-12-310001805890us-gaap:FairValueInputsLevel2Memberus-gaap:MunicipalBondsMember2022-12-310001805890fusn:ImmunoGenIncMemberfusn:ResearchAndLicenseAgreementMember2022-01-012022-12-310001805890fusn:RadiomedixAgreementMember2022-01-012022-12-310001805890us-gaap:MoneyMarketFundsMemberus-gaap:FairValueInputsLevel1Member2022-12-310001805890fusn:StrategicCollaborationAgreementMemberfusn:AstraZenecaUKLimitedMember2020-10-302020-10-3000018058902020-01-310001805890fusn:LoanAgreementWithOxfordFinanceLLCMember2022-12-310001805890us-gaap:AccumulatedOtherComprehensiveIncomeMember2022-01-012022-12-310001805890us-gaap:CommercialPaperMember2022-12-310001805890fusn:TermCLoanFacilityMemberfusn:OxfordFinanceLLCMemberfusn:LoanAgreementMemberus-gaap:DebtInstrumentRedemptionPeriodFourMember2022-04-040001805890fusn:AssetAcquisitionAndLicenseAgreementMemberus-gaap:ResearchAndDevelopmentExpenseMemberfusn:TRIUMFInnovationsIncMember2021-01-012021-12-310001805890fusn:CentreForProbeDevelopmentAndCommercializationIncMemberus-gaap:ResearchAndDevelopmentExpenseMemberfusn:ResearchAndLicenseAgreementMember2022-01-012022-12-310001805890us-gaap:RetainedEarningsMember2021-12-310001805890us-gaap:EmployeeStockOptionMember2020-01-012020-12-310001805890us-gaap:FairValueInputsLevel2Memberus-gaap:MunicipalBondsMember2021-12-310001805890fusn:ClassBPreferredExchangableSharesMember2020-01-310001805890fusn:TwoThousandTwentyEmployeeSharePurchasePlanMember2022-12-310001805890us-gaap:ConstructionInProgressMember2021-12-310001805890fusn:RainierTherapeuticsIncMemberfusn:AssetAcquisitionAndLicenseAgreementMemberus-gaap:ResearchAndDevelopmentExpenseMember2022-12-310001805890fusn:MediaPharmaSRLMemberfusn:AssetAcquisitionAndLicenseAgreementMember2021-01-012021-12-310001805890us-gaap:CollateralizedSecuritiesMember2022-12-310001805890us-gaap:ResearchAndDevelopmentExpenseMember2021-01-012021-12-310001805890us-gaap:MunicipalBondsMember2022-12-3100018058902022-01-012022-12-310001805890us-gaap:DebtInstrumentRedemptionPeriodTwoMemberfusn:LoanAgreementMemberfusn:OxfordFinanceLLCMemberfusn:TermALoanFacilityMember2022-04-040001805890currency:USD2021-06-012021-06-010001805890fusn:TwoThousandSeventeenEquityIncentivePlanMember2022-12-310001805890us-gaap:ConstructionInProgressMember2022-12-310001805890fusn:RainierTherapeuticsIncMemberfusn:AssetAcquisitionAndLicenseAgreementMembersrt:MinimumMember2022-12-310001805890fusn:OxfordFinanceLLCMemberfusn:LoanAgreementMemberus-gaap:DebtInstrumentRedemptionPeriodThreeMemberfusn:TermBLoanFacilityMember2022-04-040001805890us-gaap:InProcessResearchAndDevelopmentMember2022-01-012022-12-310001805890us-gaap:AdditionalPaidInCapitalMember2022-12-310001805890us-gaap:LeaseholdImprovementsMember2022-01-012022-12-310001805890us-gaap:LondonInterbankOfferedRateLIBORMemberfusn:OxfordFinanceLLCMemberfusn:LoanAgreementMemberfusn:TermLoansMember2022-04-042022-04-040001805890us-gaap:AccumulatedOtherComprehensiveIncomeMember2021-01-012021-12-310001805890us-gaap:LetterOfCreditMember2019-10-310001805890fusn:LoanAgreementMemberfusn:OxfordFinanceLLCMemberfusn:TermBLoanFacilityMember2022-09-210001805890stpr:CA-ONfusn:CPDCMember2021-01-012021-12-310001805890fusn:UnvestedRestrictedStockUnitsMember2022-01-012022-12-310001805890srt:MaximumMemberfusn:OxfordFinanceLLCMemberfusn:LoanAgreementMemberfusn:TermLoansMember2022-04-040001805890us-gaap:FairValueInputsLevel2Memberfusn:CanadianGovernmentAgencyDebtSecuritiesMember2021-12-310001805890us-gaap:AdditionalPaidInCapitalMemberus-gaap:InProcessResearchAndDevelopmentMember2021-01-012021-12-310001805890fusn:TwoThousandTwentyEmployeeSharePurchasePlanMember2022-01-012022-12-310001805890us-gaap:CorporateBondSecuritiesMember2021-12-310001805890fusn:IpsenPharmaSASMemberfusn:AssetAcquisitionAndLicenseAgreementMember2021-03-012021-03-010001805890us-gaap:CollateralizedCreditCardSecuritiesMember2021-12-310001805890fusn:RainierTherapeuticsIncMemberfusn:AssetAcquisitionAndLicenseAgreementMemberus-gaap:ResearchAndDevelopmentExpenseMember2020-01-012020-12-310001805890srt:MaximumMemberfusn:OpenMarketSalesAgreementMember2021-07-012021-07-310001805890us-gaap:FairValueInputsLevel2Memberus-gaap:USGovernmentCorporationsAndAgenciesSecuritiesMember2021-12-310001805890fusn:CPDCMember2022-01-012022-12-310001805890us-gaap:CommonStockMember2022-01-012022-12-310001805890fusn:TwoThousandTwentyStockOptionAndIncentivePlanMember2022-12-310001805890fusn:LoanAgreementMemberfusn:OxfordFinanceLLCMemberfusn:TermLoansMember2022-04-042022-04-040001805890us-gaap:WarrantMember2020-01-012020-01-310001805890us-gaap:ComputerEquipmentMember2022-01-012022-12-310001805890us-gaap:CollateralizedCreditCardSecuritiesMember2022-12-310001805890us-gaap:RestrictedStockUnitsRSUMember2022-12-310001805890srt:MaximumMemberfusn:CPDCMemberfusn:ThirdPartyContractMember2022-12-310001805890us-gaap:AdditionalPaidInCapitalMember2020-12-3100018058902021-12-310001805890srt:MaximumMemberfusn:RadiomedixAgreementMemberus-gaap:SubsequentEventMember2023-02-102023-02-100001805890fusn:ComputerHardwareAndSoftwareMember2022-12-310001805890us-gaap:FairValueInputsLevel2Member2021-12-310001805890fusn:ActiniumTwoHundredAndTwentyFiveMembersrt:MaximumMemberfusn:AssetAcquisitionAndLicenseAgreementMemberfusn:TRIUMFInnovationsIncMember2021-08-120001805890fusn:TermABCAndDLoanFacilityMemberfusn:LoanAgreementMemberfusn:OxfordFinanceLLCMember2022-09-210001805890fusn:RainierTherapeuticsIncMemberfusn:AssetAcquisitionAndLicenseAgreementMemberus-gaap:ResearchAndDevelopmentExpenseMember2021-01-012021-12-310001805890us-gaap:CorporateBondSecuritiesMember2022-12-3100018058902020-01-012020-01-310001805890us-gaap:AccumulatedOtherComprehensiveIncomeMember2020-12-310001805890us-gaap:RetainedEarningsMember2020-12-3100018058902021-03-160001805890us-gaap:FurnitureAndFixturesMember2022-12-310001805890fusn:RainierTherapeuticsIncMemberfusn:AssetAcquisitionAndLicenseAgreementMemberus-gaap:ResearchAndDevelopmentExpenseMember2021-12-310001805890us-gaap:FairValueInputsLevel2Member2022-12-310001805890fusn:TwoThousandTwentyEmployeeSharePurchasePlanMember2020-06-180001805890fusn:AccountsPayable1Memberfusn:TRIUMFInnovationsIncMemberfusn:AmendedCollaborationAgreementMember2021-01-012021-12-310001805890us-gaap:FairValueInputsLevel2Memberus-gaap:USGovernmentCorporationsAndAgenciesSecuritiesMember2022-12-310001805890us-gaap:DebtInstrumentRedemptionPeriodOneMemberfusn:LoanAgreementMemberfusn:OxfordFinanceLLCMemberfusn:TermALoanFacilityMember2022-04-040001805890fusn:MediaPharmaSRLMemberfusn:AssetAcquisitionAndLicenseAgreementMember2022-01-012022-12-310001805890us-gaap:CommonStockMember2020-12-3100018058902023-03-060001805890fusn:TwoThousandSeventeenEquityIncentivePlanMember2021-12-310001805890fusn:AssetAcquisitionAndLicenseAgreementMembersrt:MaximumMemberfusn:SalesBasedMilestonesMemberfusn:GenentechIncMember2022-12-310001805890fusn:ComputerHardwareAndSoftwareMember2021-12-3100018058902019-10-3100018058902022-10-012022-10-310001805890fusn:CollaborationAndSupplyAgreementWithNiowaveIncMember2022-06-0900018058902021-03-152021-03-160001805890fusn:RainierTherapeuticsIncMemberfusn:AssetAcquisitionAndLicenseAgreementMemberus-gaap:ResearchAndDevelopmentExpenseMember2022-01-012022-12-310001805890us-gaap:AccumulatedOtherComprehensiveIncomeMember2021-12-310001805890fusn:CentreForProbeDevelopmentAndCommercializationIncMemberus-gaap:ResearchAndDevelopmentExpenseMemberfusn:ResearchAndLicenseAgreementMember2021-01-012021-12-310001805890fusn:CanadianGovernmentAgencyDebtSecuritiesMember2022-12-310001805890fusn:AssetAcquisitionAndLicenseAgreementMemberus-gaap:ResearchAndDevelopmentExpenseMemberfusn:TRIUMFInnovationsIncMember2022-01-012022-12-310001805890us-gaap:CorporateBondSecuritiesMember2022-12-310001805890fusn:TwoThousandTwentyStockOptionAndIncentivePlanMember2020-06-180001805890fusn:CanadianGovernmentAgencyDebtSecuritiesMember2022-12-310001805890us-gaap:FairValueInputsLevel2Memberus-gaap:CorporateBondSecuritiesMember2022-12-310001805890fusn:OxfordFinanceLLCMemberfusn:LoanAgreementMemberfusn:TermLoansMember2022-09-212022-09-210001805890us-gaap:FurnitureAndFixturesMember2021-12-310001805890fusn:RainierTherapeuticsIncMemberfusn:AssetAcquisitionAndLicenseAgreementMember2022-12-310001805890us-gaap:RetainedEarningsMember2021-01-012021-12-310001805890fusn:AssetAcquisitionAndLicenseAgreementMemberfusn:CollaborationAndSupplyAgreementWithNiowaveIncMember2022-01-012022-12-310001805890fusn:MediaPharmaSRLMembersrt:MaximumMemberfusn:AssetAcquisitionAndLicenseAgreementMemberfusn:SalesBasedMilestonesMember2022-12-310001805890us-gaap:PrepaidExpensesAndOtherCurrentAssetsMemberfusn:CollaborationAgreementAndAmendedCollaborationAgreementMemberfusn:TRIUMFInnovationsIncMember2022-01-012022-12-310001805890us-gaap:MunicipalBondsMember2021-12-310001805890fusn:LoanAgreementMemberfusn:OxfordFinanceLLCMemberfusn:TermLoansMember2022-04-040001805890us-gaap:USGovernmentCorporationsAndAgenciesSecuritiesMember2022-12-310001805890fusn:LoanAgreementMemberfusn:OxfordFinanceLLCMemberfusn:TermALoanFacilityMember2022-04-0400018058902020-12-310001805890srt:MinimumMemberfusn:OxfordFinanceLLCMemberfusn:LoanAgreementMemberfusn:TermLoansMemberfusn:FloatingPerAnnumRateMember2022-04-042022-04-040001805890fusn:OpenMarketSalesAgreementMember2022-01-012022-12-310001805890us-gaap:CommercialPaperMember2022-12-310001805890us-gaap:CommonStockMember2021-12-310001805890fusn:StrategicCollaborationAgreementMemberfusn:AstraZenecaUKLimitedMember2022-01-012022-12-310001805890us-gaap:FairValueInputsLevel2Memberus-gaap:CommercialPaperMember2022-12-310001805890us-gaap:CommercialPaperMember2021-12-310001805890us-gaap:CorporateBondSecuritiesMember2021-12-310001805890us-gaap:CommonStockMember2021-01-012021-12-310001805890us-gaap:GeneralAndAdministrativeExpenseMember2021-01-012021-12-310001805890fusn:ActiniumTwoHundredAndTwentyFiveMemberfusn:AssetAcquisitionAndLicenseAgreementMembersrt:MinimumMemberfusn:TRIUMFInnovationsIncMember2021-08-122021-08-120001805890fusn:OxfordFinanceLLCMemberfusn:LoanAgreementMemberfusn:TermBLoanFacilityMember2022-04-040001805890country:CA2021-12-3100018058902019-10-012019-10-310001805890fusn:AssetAcquisitionAndLicenseAgreementMemberfusn:NewCoMember2022-12-310001805890us-gaap:CommonStockMember2022-12-310001805890us-gaap:WarrantMember2020-01-012020-12-310001805890fusn:ImmunoGenIncMembersrt:MaximumMemberfusn:DevelopmentAndRegulatoryMilestonesMemberfusn:ResearchAndLicenseAgreementMember2022-12-310001805890fusn:StrategicCollaborationAgreementMemberfusn:AstraZenecaUKLimitedMember2022-12-310001805890fusn:OutsideStockOptionPlanMember2022-01-012022-12-310001805890us-gaap:USGovernmentAgenciesDebtSecuritiesMember2021-12-310001805890us-gaap:LetterOfCreditMember2022-12-310001805890fusn:StrategicCollaborationAgreementMemberfusn:AstraZenecaUKLimitedMember2021-12-31iso4217:EURfusn:Collaborationxbrli:purexbrli:sharesiso4217:CADiso4217:USDiso4217:USDxbrli:shares

 

 

UNITED STATES

SECURITIES AND EXCHANGE COMMISSION

Washington, D.C. 20549

 

FORM 10-K

 

(Mark One)

ANNUAL REPORT PURSUANT TO SECTION 13 OR 15(d) OF THE SECURITIES EXCHANGE ACT OF 1934

For the fiscal year ended December 31, 2022

OR

TRANSITION REPORT PURSUANT TO SECTION 13 OR 15(d) OF THE SECURITIES EXCHANGE ACT OF 1934 FOR THE TRANSITION PERIOD FROM TO

Commission File Number 001-39344

 

Fusion Pharmaceuticals Inc.

(Exact name of Registrant as specified in its Charter)

 

 

Canada

Not Applicable

(State or other jurisdiction of

incorporation or organization)

(I.R.S. Employer

Identification No.)

270 Longwood Rd., S.

Hamilton, ON, Canada

L8P 0A6

(Address of principal executive offices)

(Zip Code)

Registrant’s telephone number, including area code: (289) 799-0891

 

Securities registered pursuant to Section 12(b) of the Act:

 

Title of each class

 

Trading

Symbol(s)

 

Name of each exchange on which registered

Common shares, no par value per share

 

FUSN

 

The Nasdaq Global Select Market

 

Securities registered pursuant to Section 12(g) of the Act:

None

Indicate by check mark if the Registrant is a well-known seasoned issuer, as defined in Rule 405 of the Securities Act. Yes No

Indicate by check mark if the Registrant is not required to file reports pursuant to Section 13 or 15(d) of the Act. Yes No

Indicate by check mark whether the Registrant: (1) has filed all reports required to be filed by Section 13 or 15(d) of the Securities Exchange Act of 1934 during the preceding 12 months (or for such shorter period that the Registrant was required to file such reports), and (2) has been subject to such filing requirements for the past 90 days. Yes No

Indicate by check mark whether the Registrant has submitted electronically every Interactive Data File required to be submitted pursuant to Rule 405 of Regulation S-T (§232.405 of this chapter) during the preceding 12 months (or for such shorter period that the Registrant was required to submit such files). Yes No

Indicate by check mark whether the registrant is a large accelerated filer, an accelerated filer, a non-accelerated filer, smaller reporting company, or an emerging growth company. See the definitions of “large accelerated filer,” “accelerated filer,” “smaller reporting company,” and “emerging growth company” in Rule 12b-2 of the Exchange Act.

 

Large accelerated filer

 

 

Accelerated filer

 

 

 

 

 

Non-accelerated filer

 

 

Smaller reporting company

 

 

 

 

 

 

 

 

Emerging growth company

 

 

 

 

 

 

If an emerging growth company, indicate by check mark if the registrant has elected not to use the extended transition period for complying with any new or revised financial accounting standards provided pursuant to Section 13(a) of the Exchange Act.

Indicate by check mark whether the registrant has filed a report on and attestation to its management’s assessment of the effectiveness of its internal control over financial reporting under Section 404(b) of the Sarbanes-Oxley Act (15 U.S.C. 7262(b)) by the registered public accounting firm that prepared or issued its audit report.

If securities are registered pursuant to Section 12(b) of the Act, indicate by check mark whether the financial statements of the registrant included in the filing reflect the correction of an error to previously issued financial statements.

Indicate by check mark whether any of those error corrections are restatements that required a recovery analysis of incentive-based compensation received by any of the registrant’s executive officers during the relevant recovery period pursuant to §240.10D-1(b).

Indicate by check mark whether the Registrant is a shell company (as defined in Rule 12b-2 of the Exchange Act). Yes NO

The aggregate market value of the voting and non-voting common equity held by non-affiliates of the Registrant, based on the closing price of the common shares on the NASDAQ Global Select Market on June 30, 2022, was $97.6 million.

The number of the Registrant’s common shares outstanding as of March 6, 2023 was 63,196,334.

DOCUMENTS INCORPORATED BY REFERENCE

Part III of this Annual Report on Form 10-K incorporates by reference certain information from the registrant’s definitive proxy statement for its 2023 annual meeting of shareholders, which the registrant intends to file pursuant to Regulation 14A with the Securities and Exchange Commission not later than 120 days after the registrant’s fiscal year end of December 31, 2022. Except with respect to information specifically incorporated by reference in this Form 10-K, the Proxy Statement is not deemed to be filed as part of this Form 10-K.

 


 

Table of Contents

 

 

 

Page

PART I

 

 

Item 1.

Business

1

Item 1A.

Risk Factors

47

Item 1B.

Unresolved Staff Comments

106

Item 2.

Properties

106

Item 3.

Legal Proceedings

106

Item 4.

Mine Safety Disclosures

106

 

 

 

PART II

 

 

Item 5.

Market for Registrant’s Common Equity, Related Shareholder Matters and Issuer Purchases of Equity Securities

107

Item 6.

RESERVED

108

Item 7.

Management’s Discussion and Analysis of Financial Condition and Results of Operations

109

Item 7A.

Quantitative and Qualitative Disclosures About Market Risk

124

Item 8.

Financial Statements and Supplementary Data

125

Item 9.

Changes in and Disagreements with Accountants on Accounting and Financial Disclosure

125

Item 9A.

Controls and Procedures

126

Item 9B.

Other Information

127

Item 9C.

Disclosure Regarding Foreign Jurisdictions that Prevent Inspections

127

 

 

 

PART III

 

 

Item 10.

Directors, Executive Officers and Corporate Governance

128

Item 11.

Executive Compensation

140

Item 12.

Security Ownership of Certain Beneficial Owners and Management and Related Shareholder Matters

148

Item 13.

Certain Relationships and Related Transactions, and Director Independence

151

Item 14.

Principal Accounting Fees and Services

152

 

 

 

PART IV

 

 

Item 15.

Exhibits, Financial Statement Schedules

154

Item 16

Form 10-K Summary

157

Signatures

 

158

 

i


 

Summary of Material Risks Associated with Our Business

Our ability to implement our business strategy is subject to numerous risks and uncertainties. This summary does not include all material risks associated with our business and is not a conclusive ranking or prioritization of our risk factors. Further, placement of certain of these risks in the summary section as opposed to others does not constitute guidance that the risk factors included in the summary are the only material risks to consider when considering an investment in our securities. We believe that all risk factors presented in this Annual Report on Form 10-K are important to an understanding of our company and should be given careful consideration. In addition, the summary of company specific risks does not include the appropriate level of detail necessary to fully understand these risks, and the corresponding risk factors that follow provide essential detail and context necessary to fully understand and appreciate these principal risks associated with our business.

These risks include, but are not limited to, the following:

We have incurred significant losses since inception, and we expect to incur losses over the next several years and may not be able to achieve or sustain revenues or profitability in the future;
We will require substantial additional financing, which may not be available on acceptable terms, or at all. A failure to obtain this necessary capital when needed could force us to delay, limit, reduce or terminate our product development or commercialization efforts;
We recently acquired rights to an investigational new drug application, or IND, for the development of our Phase 2 clinical candidate, known as FPI-2265, which is now our most advanced clinical candidate. If we are unable to appropriately transfer the IND to us, secure intellectual property rights or otherwise continue with the Phase 2 clinical program, our business may be materially harmed;
Assessments of the long-term safety of targeted alpha emitting isotope therapies in humans have been limited, and there may be long-term effects from treatment with any of our future product candidates that we cannot predict at this time;
We may be unable to obtain a sufficient supply of our product candidates and/or actinium-225, or 225Ac, to support clinical development or at commercial scale;
Our business is highly dependent on our lead product candidates, FPI-2265 and FPI-1434, as the lead investigational assets for our Targeted Alpha Therapies, or TAT, platform, and we must complete clinical testing before we can seek regulatory approval and begin commercialization of any of these product candidates. If we are unable to obtain regulatory approval for, and successfully commercialize FPI-2265 or FPI-1434, our business may be materially harmed and such failure may affect the viability of our other product candidates;
We are early in our development efforts. If we are unable to advance our product candidates through clinical development, obtain regulatory approval and ultimately commercialize our product candidates, or if we experience significant delays in doing so, our business will be materially harmed;
Our approach to the discovery and development of targeted alpha therapeutic product candidates represents a novel approach to radiation therapy, which creates significant and potentially unpredictable challenges for us;
Clinical development involves a lengthy and expensive process with uncertain outcomes, and results of earlier studies and trials may not be predictive of future clinical trial results. If our preclinical studies and clinical trials are not sufficient to support regulatory approval of any of our product candidates, we may incur additional costs or experience delays in completing, or ultimately be unable to complete, the development of such product candidate;
The commercial success of our products and product candidates will depend upon public perception of radiopharmaceuticals and the degree of their market acceptance by physicians, patients, healthcare payors and others in the medical community;
We expect to develop our existing product candidates, and potentially future product candidates, in combination with other therapies, which exposes us to additional risks;
The ongoing COVID-19 pandemic may materially and adversely affect our business and financial results;
Presently, some of our product candidates are biologics and the manufacture of such product candidates is complex. Currently, and even after the future completion of the construction of our own manufacturing facility, we rely, and will continue to rely, on third parties to manufacture our lead product candidates for our ongoing clinical trials and our preclinical studies as well as any preclinical studies or clinical trials of our future product candidates that we may conduct. We also expect to rely on third parties for the commercial manufacturing process of our product candidates, if approved. Our business could be harmed if those third parties fail to provide us with sufficient quantities of product supplies or product candidates, or fail to do so at acceptable quality levels or prices;
The U.S. Food and Drug Administration, or FDA, regulatory approval process is lengthy and time-consuming, and we may experience significant delays in the clinical development and regulatory approval of our product candidates;
We depend on intellectual property licensed from third parties and termination of any of these licenses could result in the loss of significant rights, which would harm our business; and
We may be or become a passive foreign investment company, which could result in adverse U.S. federal income tax consequences to U.S. Holders.

 

ii


 

SPECIAL NOTE REGARDING FORWARD-LOOKING STATEMENTS

This Annual Report on Form 10-K contains “forward-looking statements” within the meaning of Section 27A of the Securities Act of 1933, as amended, or the Securities Act, and Section 21E of the Securities Exchange Act of 1934, as amended, or the Exchange Act. These forward-looking statements involve a number of risks and uncertainties. We caution readers that any forward-looking statement is not a guarantee of future performance and that actual results could differ materially from those contained in the forward-looking statement. These statements are based on current expectations of future events.

Such statements include, but are not limited to, statements about:

our estimates regarding our expenses, future revenues, anticipated future capital requirements and our need to raise additional funds;
our status as a development-stage company and our expectation to incur losses in the future;
our ability to enroll patients and volunteers in clinical trials, timely and successfully complete those trials and receive necessary regulatory approvals;
the timing, progress and receipt of data from our ongoing and planned clinical trials of our product candidates and the potential use of those candidates to treat various indications;
our ability to acquire sufficient 225Ac and build a pipeline of product candidates and develop and commercialize drugs;
our unproven approach to therapeutic intervention;
our expectations regarding the potential safety, efficacy or clinical utility of our product candidates;
the impact of the ongoing COVID-19 pandemic on our business, operations and financial condition;
our ability to establish our own manufacturing facilities and to receive or manufacture sufficient quantities of our product candidates;
our ability to protect and enforce our intellectual property rights;
federal, state, and foreign regulatory requirements, including the FDA, regulation of our product candidates;
the timing of clinical trials and the likelihood of regulatory filings and approvals;
our ability to obtain and retain key executives and attract and retain qualified personnel;
our ability to successfully manage our growth; and
developments relating to our competitors and our industry.

Any statements about our expectations, beliefs, plans, objectives, assumptions or future events or performance are not historical facts and may be forward-looking. You can find many of these statements by looking for words like “believes,” “expects,” “anticipates,” “estimates,” “may,” “might,” “should,” “will,” “could,”, “should,” “plans,” “intends,” “projects,” “predicts,” “potential,” “continue,” “seek” or similar expressions, or the negative of these terms, in this Annual Report on Form 10-K. We intend that such forward-looking statements be subject to the safe harbors created thereby. Any forward-looking statements are qualified in their entirety by reference to the factors discussed throughout this Annual Report on Form 10-K, and in particular those factors referenced in Part I, Item 1A. “Risk Factors.”

These forward-looking statements are based on the current beliefs and expectations of our management and are subject to significant risks and uncertainties. If underlying assumptions prove inaccurate or unknown risks or uncertainties materialize, actual results may differ materially from current expectations and projections. You are cautioned not to place undue reliance on these forward-looking statements, which speak only as of the date made. We anticipate that subsequent events and developments will cause our views to change. However, while we may elect to update these forward-looking statements at some point in the future, we have no current intention of doing so except to the extent required by applicable law. You should, therefore, not rely on these forward-looking statements as representing our views as of any date subsequent to the date of this Annual Report on Form 10-K.

This Annual Report on Form 10-K also contains estimates, projections and other information concerning our industry, our business, and the markets for certain diseases, including data regarding the estimated size of those markets, and the incidence and prevalence of certain medical conditions. Information that is based on estimates, forecasts, projections, market research or similar methodologies is inherently subject to uncertainties and actual events or circumstances may differ materially from events and circumstances reflected in this information. Unless otherwise expressly stated, we obtained this industry, business, market and other data from reports, research surveys, studies and similar data prepared by market research firms and other third parties, industry, medical and general publications, government data and similar sources.

All subsequent written or oral forward-looking statements attributable to us or any person acting on our behalf are expressly qualified in their entirety by the cautionary statements contained or referred to in this section. We do not undertake any obligation to release publicly any revisions to these forward-looking statements to reflect events or circumstances after the date of this Annual Report on Form 10-K or to reflect the occurrence of unanticipated events, except as may be required under applicable U.S. securities law. If we do update one or more forward-looking statements, no inference should be drawn that we will make additional updates with respect to those or other forward-looking statements.

iii


 

PART I

Item 1. Business.

Overview

We are a clinical-stage oncology company focused on developing next-generation radiopharmaceuticals as precision medicines. We have developed our Targeted Alpha Therapies, or TAT, platform to enable us to connect alpha particle emitting isotopes to various targeting molecules to selectively deliver the alpha particle payloads to tumors. Our TAT platform is underpinned by our ability to radiolabel various classes of targeting molecules (including antibodies, small molecules and peptides), our research and insights into the underlying chemistry and biology of alpha emitting radiopharmaceuticals, our differentiated capabilities in target identification, candidate generation, manufacturing and supply chain, our proprietary Fast-ClearTM linker technology used in conjunction with antibody-based targeting molecules, and development of imaging agents. We believe that our TATs have the potential to build on the successes of currently available radiopharmaceuticals and be broadly applicable across multiple targets and tumor types.

Radiopharmaceuticals are drugs that contain medical isotopes, which are unstable elements that emit radiation and can be used to diagnose and treat cancers. To create targeted radiopharmaceuticals, radiation emitting medical isotopes are typically attached to targeting molecules, which are then administered via intravenous injection. Once administered, the radiopharmaceuticals selectively target tumor antigens that are unique to, or preferentially expressed on, cancer cells throughout the body. There are two main classes of therapeutic radiopharmaceuticals, which differ based on the types of particles that are emitted—those based on beta emitting isotopes and those based on alpha emitting isotopes. Beta emitting isotopes damage cancer cells primarily by creating free radicals that in turn damage cellular machinery and cause single-strand DNA breaks. In contrast, alpha particles cause greater physical damage to cancer cells than beta particles, including multiple double-strand DNA breaks, which are highly lethal to cancer cells. Alpha particles are larger and have higher linear energy transfer than beta particles. This allows alpha particles to deposit a greater amount of tumor-killing energy over a short distance as they travel approximately one to three cells, compared to the relatively long distance of up to 12 mm for beta particles, allowing alpha particles to cause damage to cancer cells in close proximity while reducing off-target radiation exposure.

We are leveraging our proprietary TAT platform to build on the successes of currently available radiation therapies and create the next generation of radiopharmaceuticals. Our TATs are comprised of several components: (i) a targeting molecule, such as an antibody, small molecule, peptide or other delivery vehicle, that is designed to selectively target antigens that are unique to, or preferentially expressed on, cancer cells throughout the body; (ii) the alpha emitting medical isotope actinium-225, or 225Ac, designed to kill cancer cells; and (iii) in the case of antibodies, our proprietary Fast-Clear linker that attaches the targeting molecule to the radioactive payload. Our Fast-Clear linker has shown in preclinical studies the differentiated ability to promote enhanced clearance of the non-tumor localized 225Ac payload without sacrificing the uptake of 225Ac into the tumor, which we believe will improve tolerability and widen the therapeutic window of our antibody product candidates.

We believe that our TAT platform, strategy and product candidates, if approved, could provide several potential advantages over currently available approaches, including:

enhanced tumor-killing power by using alpha particle radiation;
ability to pursue various differentiated cancer targets employing a range of different classes of targeting molecules;
broad applicability across multiple tumor types;
focus on areas of high unmet medical need;
increased tolerability and therapeutic window associated with our Fast-Clear linker;
exploitation of multiple mechanisms of action, including direct DNA damage and an alpha particle-mediated enhanced anti-tumor immune response; and
established manufacturing and supply chain expertise and infrastructure.

Our most advanced product candidate, FPI-2265, is a Phase 2 program acquired from RadioMedix, Inc., or RadioMedix, in February 2023 that targets prostate-specific membrane antigens, or PSMA, using 225Ac. PSMA is a protein that is commonly found on the surface of normal prostate cells but is found in higher amounts on prostate cancer cells, as well as in lower amounts in other tissues, such as the small intestine and salivary glands. PSMA drives cancer invasion and metastases and is expressed in over 80% of men with prostate cancer, with higher PSMA expression being correlated to worse outcomes.

1


 

Pluvicto, a lutetium-177, or 177Lu, PSMA-targeted therapy, is currently a U.S. Food and Drug Administration, or FDA, approved radiopharmaceutical-based therapy to treat patients with metastatic castration resistant prostate cancer, or mCRPC. There are no alpha emitting PSMA-targeted radiopharmaceuticals currently approved by the FDA for the treatment of mCRPC. We believe that the challenges associated with producing and securing a supply of 225Ac have proven to be a barrier for the clinical advancement of PSMA-targeted alpha emitting therapies and, as a result, the majority of programs evaluating PSMA-targeted radiopharmaceuticals currently in development utilize a beta particle emitter.

Recent data from over 250 patients treated in investigator sponsored trials with 225Ac-PSMA agents, including both patients previously treated with 177Lu-PSMA radiopharmaceuticals (approximately 100 patients) and 177Lu-PSMA radiopharmaceutical therapy naïve patients, have shown compelling clinical data and biochemical response rates (including PSA50, the percentage of participants who had a prostate-specific antigen, or PSA, decline of at least 50 percent from baseline) and a tolerability profile that we feel supports further development of an 225Ac-based PSMA-targeted therapy. We believe our access to 225Ac and expertise developing alpha therapies provides an opportunity for us to begin treating patients refractory to lutetium-based PSMA therapies as well as an opportunity to move to earlier lines of therapy both as a monotherapy and in combination with other agents. Upon transfer of the investigational new drug application, or IND, from RadioMedix to us, we intend to expand the Phase 2 clinical trial across multiple sites. We expect to report preliminary data for the first 20-30 patients in this study, including safety and efficacy data, in the first quarter of 2024.

Our second most advanced product candidate, FPI-1434, utilizes our Fast-Clear linker to connect a humanized monoclonal antibody that targets the insulin-like growth factor 1 receptor, or IGF-1R, with 225Ac. We are currently evaluating FPI-1434 as a monotherapy in the dose escalation portion of a Phase 1 clinical trial in patients with IGF-1R positive solid tumors to assess its safety, tolerability and pharmacokinetics as well as to identify the recommended Phase 2 dose. As part of the screening process, patients are administered the imaging analogue of FPI-1434, which utilizes the same linker and targeting molecule, but replaces 225Ac with the radioactive isotope indium-111, or 111In, and only those patients who meet predefined tumor uptake and dosimetry, and show organ radiation exposure within the limits of established standards for normal organ radiation tolerability, are advanced into the trial. In our ongoing Phase 1 trial, we are exploring various dosing levels of FPI-1434 in two dosing regimens: one with FPI-1434 alone, and another in which a small dose of cold antibody (naked IGF-1R antibody without the isotope) is administered prior to the imaging analogue and prior to each dose of FPI-1434. We are exploring the impact of administering the cold IGF-1R antibody prior to the imaging analogue and prior to each dose of FPI-1434 on the biodistribution, safety and tumor uptake. We refer to this dosing regimen as the “cold/hot” dosing regimen; we refer to the dosing regimen of FPI-1434 without pre-administration of the cold antibody as the “hot only” dosing regimen. The introduction of this “cold/hot” dosing regimen resulted, in part, from a cold antibody sub-study, or CASS, that was performed as part of the Phase 1 study, whereby a small amount of cold IGF-1R antibody was administered prior to administration of the imaging analogue only. In the CASS we treated five (5) patients at doses of 0.5 mg/kg and/or 1.5 mg/kg of cold IGF-1R antibody and saw, in general, an improved lesion uptake in most patients who received the cold IGF-1R antibody pre-administration and the lesion uptake was independent of anatomic location (including bone, mediastinum, lung, liver, and lymph nodes). Results at 0.5 mg/kg were generally more favorable than the 1.5 mg/kg dose of cold antibody. Imaging with the pre-administration of the cold antibody was well tolerated. As a result of the CASS data, we are prioritizing the cold/hot dosing regimen over the hot only dosing regimen. We are currently prioritizing patient enrollment into the “cold/hot” dosing regimen. We anticipate reporting Phase 1 safety, pharmacokinetics, and imaging data, including any evidence of anti-tumor activity, and details on the dosing regimen in the second quarter of 2023.

In preclinical studies, FPI-1434 has been evaluated in combination with approved checkpoint inhibitors and DNA damage response inhibitors, or DDRis, such as poly (ADP-ribose) polymerase, or PARP, inhibitors. Based on preclinical data, we believe that the synergies observed with either class of agent could expand the addressable patient populations for FPI-1434 and allow for potential use in earlier lines of treatment. We anticipate initiation of a Phase 1 combination study with FPI-1434 and KEYTRUDA® (pembrolizumab) to occur six to nine months following determination of the recommended Phase 2 dose of FPI-1434 monotherapy in connection with a collaboration agreement executed in May 2021 with Merck.

We submitted INDs to the FDA for FPI-1966 and FPI-1967, the imaging analogue, for the treatment of cancers including head and neck and bladder cancers expressing fibroblast growth factor receptor 3, or FGFR3, in the second quarter of 2021 and announced FDA clearance of the INDs in July 2021. The Phase 1, non-randomized, open-label clinical trial of FPI-1966 in patients with solid tumors expressing FGFR3, intended to investigate safety, tolerability and pharmacokinetics and to establish the recommended Phase 2 dose, has been initiated with study sites open to patient recruitment. We dosed the first patient in August 2022 and plan to provide a clinical update in 2024.

In November 2020, we announced a strategic collaboration agreement with AstraZeneca UK Limited, or AstraZeneca, to jointly discover, develop and commercialize next-generation alpha-emitting radiopharmaceuticals and combination therapies

2


 

for the treatment of cancer. Under the terms of the collaboration agreement, we and AstraZeneca will jointly discover, develop and commercialize up to three novel TATs, which will utilize Fusion’s Fast-Clear linker technology platform with antibodies in AstraZeneca’s oncology portfolio. In January 2022, we announced the nomination of the first TAT candidate under the strategic collaboration agreement, a bispecific antibody owned by AstraZeneca radiolabeled with 225Ac utilizing our Fast-Clear linker technology, which we refer to as FPI-2068. In addition, we and AstraZeneca will exclusively explore up to five combination strategies involving our existing assets, including our FPI-1434 and FPI-1966 product candidates, and AstraZeneca therapeutics, for the treatment of various cancers. Each party will retain full rights to their respective assets.

In April 2021, we entered into an asset purchase agreement with Ipsen Pharma SAS, or Ipsen, to acquire Ipsen’s intellectual property and assets related to IPN-1087. IPN-1087 is a small molecule targeting neurotensin receptor 1, or NTSR1, a protein expressed on multiple solid tumor types. Using our TAT platform, we combined IPN-1087 with 225Ac to create an alpha-emitting radiopharmaceutical, FPI-2059, targeting solid tumors expressing NTSR1, including neuroendocrine differentiated prostate cancer, and colorectal, gastric and pancreatic cancers. The FDA cleared our IND for FPI-2059 and the corresponding imaging analogue, FPI-2058, in June 2022. Study initiation activities are ongoing in a Phase 1, non-randomized, open-label clinical trial of FPI-2059 in patients with solid tumors expressing NTSR1, intended to investigate safety, tolerability and pharmacokinetics and to establish the recommended Phase 2 dose. We plan to provide guidance on timelines for the FPI-2059 program following site activations and initial experience with patient screening and patient enrollment.

Our company was founded to advance certain intellectual property relating to radiopharmaceuticals that had been developed by the Centre for Probe Development and Commercialization, or CPDC, which we believe is a center of excellence and recognized leader in the field of radiopharmaceuticals. Our founder and Chief Executive Officer, John Valliant, Ph.D., who has over 25 years of experience working in the radiopharmaceutical field, was the founder and Chief Executive Officer of the CPDC. To support our growing portfolio of radiopharmaceuticals in development, we have built robust manufacturing and supply chain capabilities for TATs, including the execution of multiple strategic 225Ac supply agreements. We have developed a supply chain to receive 225Ac from producers, such as the Department of Energy, or DoE, and other third-party suppliers, to assemble and manufacture the finished radiopharmaceutical candidates by connecting the 225Ac to the targeting molecule and to supply the finished product candidates to global clinical sites, including those in Canada, the United States and Australia.

Our Pipeline

We are leveraging our TAT platform to advance a pipeline of alpha-based therapeutic programs to treat various cancers. The figure below details our current pipeline of TATs.

img67593536_0.jpg 

Background on Radiation-Based Therapies and Radiopharmaceuticals

External beam radiation therapy, or EBRT, is one of the most widely used treatments for cancer, with approximately 50% of all cancer patients receiving radiation therapy during the course of treatment. To deliver EBRT, a radiation therapy device is used to aim a beam of ionizing radiation into the tumor to kill cancer cells. Based on advances in radiation technology, EBRT is highly effective in killing cancer cells and this treatment modality contributes towards approximately 40% of curative treatment for cancer. However, despite the successes of EBRT treatment, only a limited number of sites in the body can be irradiated at any one time by this treatment due to the off-target effects of radiation that can damage normal tissues. In addition, not all types of cancers can be treated with EBRT, as certain organs or tumor types may be difficult to access with radiation

3


 

beams. As a result, EBRT use has generally been restricted to treating localized tumors and is not typically used as a monotherapy to treat patients who have metastatic disease.

Evolution of Radiopharmaceuticals

Radiopharmaceuticals have been developed as a way to precisely apply the tumor-killing power of radiation to a wider array of cancers, including for patients who have metastatic disease. Radiopharmaceuticals are drugs that contain medical isotopes, which are unstable elements that emit radiation and can be used to diagnose and treat cancers. To create radiopharmaceuticals, radiation emitting medical isotopes are typically attached to targeting molecules and administered via intravenous injection. Once administered, the radiopharmaceuticals selectively target tumor antigens that are unique to, or preferentially expressed on, cancer cells throughout the body. Currently available targeted radiopharmaceuticals have demonstrated the ability to simultaneously bind to and kill multiple tumors.

Alpha vs. Beta Radiopharmaceuticals

There are two main classes of therapeutic radiopharmaceuticals, which differ based on the types of particles that are emitted—those based on beta emitting isotopes and those based on alpha emitting isotopes. Historically, due to the readily available supply of beta emitting isotopes and the better understanding of their chemistry and biology, they were more widely used than alpha emitting isotopes. As a result, first-generation targeted therapeutic radiopharmaceuticals were based on beta emitting isotopes, which kill cancer cells primarily by creating free radicals that damage cellular machinery and cause single-strand DNA breaks, which can be repaired by the cell. As a result, certain cancers are refractory to beta particle-based radiopharmaceutical treatment, including those with low oxygen levels (hypoxic tumors). Products based on beta emitting isotopes have been developed successfully, but as the development of radiopharmaceuticals continued to evolve, a deeper understanding of the potential of alpha emitting isotopes for treating cancer has emerged.

Compared to beta particles, alpha particles cause greater physical damage to cancer cells, including multiple double-strand DNA breaks, for which there is no viable resistance mechanism, unlike in the case of single-strand DNA breaks. Double-strand DNA breaks are highly lethal, with even a single double-strand break being sufficient to cause cancer cell death. Alpha particles are 8,000 times larger than beta particles with an approximately 4,000-fold higher energy transfer rate, providing alpha particles with the advantage of depositing a high amount of tumor-killing energy over a short distance of one to three cells, compared to the relatively long distance of up to 12 mm for beta particles. This feature enables alpha particles to cause damage only to cancer cells in close proximity, reducing the risk of off-target radiation and normal cell damage that can occur with beta particles. However, because of the short travel distance, alpha particles need to be delivered into or on the surface of tumor cells to achieve the desired therapeutic effect.

4


 

The graphic below illustrates a comparison of some of the key differences between beta particles and alpha particles.

img67593536_1.jpg 

 

* Molecule size and arrows representing travel distance shown for illustrative purposes only and not drawn to scale.

Examples of Commercially Available Therapeutic Radiopharmaceuticals

Two of the earliest antibody targeted radiopharmaceuticals, Bexxar and Zevalin, are beta emitting therapies for the treatment of CD20 positive lymphomas. Despite receiving approval from the FDA in 2003 and 2002, respectively, Bexxar and Zevalin proved difficult to handle commercially and required specialized rooms for administration, which limited the number of sites that could deliver the treatment and market acceptance of the therapies. Usage of Bexxar and Zevalin was also hampered by supply chain issues, including the need for some on-site production and handling, and reimbursement challenges due to the logistics of medical oncologists having to manage the patients while nuclear medicine physicians administered the therapies. These challenges limited the commercial success of these first-generation radiopharmaceuticals.

The first and only approved alpha-emitting therapy is Xofigo, a salt of radium that naturally localizes to regions where cancer cells are infiltrating bone. Xofigo was approved in 2013 for the treatment of bone metastases associated with prostate cancer. Unlike some of the first-generation targeted radiopharmaceutical therapies, Xofigo utilizes centralized manufacturing, can be administered in typical oncology suites and has overcome reimbursement challenges.

Next-generation targeted radiopharmaceutical therapies have been developed and approved, namely Lutathera and Pluvicto, both beta-emitters. Since its approval in 2018, annual worldwide sales of Lutathera reached $471 million in 2022, despite only being approved for a short period of time and for only a subset of neuroendocrine cancers expressing somatostatin receptor, or SSTR. Pluvicto, which is targeted to PSMA expressing tumors, received approval in March 2022 for the treatment of patients with mCRPC. Sales of Pluvicto already reached $271 million by the end of 2022. A recent study showed the potential for Pluvicto to move into earlier lines of therapy, specifically prior to chemotherapy.

5


 

Our Targeted Alpha Therapies Platform

Overview

We are developing the next generation of precision oncology TATs that have the potential to treat a large population of cancer patients across multiple tumor types, including those with metastatic disease. By leveraging our proprietary TAT platform, we aim to develop alpha emitting radiopharmaceuticals using various targeting molecules to deliver the radioactive payload directly to difficult to treat tumors. Our TAT platform is underpinned by our ability to radiolabel various classes of targeting molecules (including antibodies, small molecules and peptides), our research and insights into the underlying chemistry and biology of alpha emitting radiopharmaceuticals, our differentiated capabilities in target identification, candidate generation, manufacturing and supply chain, our proprietary Fast-Clear linker technology used in conjunction with antibody-based targeting molecules, and the development of imaging agents.

Our TAT platform gives us the ability to develop alpha therapies against a range of targets and cancer types employing a variety of different delivery vehicles, including antibodies, small molecules, and peptides. Our growing pipeline, which is derived from our platform, is supported by our infrastructure, preferred partnerships and expertise in radiopharmaceutical manufacturing. We utilized our TAT platform to discover, design and develop multiple programs, including FPI-1434, FPI-1966 and FPI-2059, which are each currently in ongoing and planned Phase 1 clinical trials. We plan to continue to leverage our platform to assess the potential of, and develop multiple additional pipeline programs, including FPI-2265, an 225Ac targeted PSMA agent currently in a Phase 2 clinical trial, and FPI-2068.

Our Choice of Alpha Emitter—Actinium-225

Although there are many alpha emitting isotopes, we believe that the ideal therapeutic isotope should emit multiple alpha particles in rapid succession to maximize damage to cancer cells and increase efficacy, while having a half-life long enough to allow for central manufacturing and distribution of products to clinical sites in a ready-to-use form. We are developing our TATs with 225Ac due to its decay chain and half-life. In particular, the 225Ac decay chain releases four alpha emissions in relatively rapid succession, maximizing the damage to the tumor DNA before ultimately becoming a non-radioactive isotope. 225Ac has a half-life of 10 days, which we believe is the ideal window to allow for centralized manufacturing and distribution. Although some other alpha emitting isotopes, such as thorium-227, also have longer half-lives, 225Ac benefits from a more rapid decay profile that maximizes the energy density inside the cancer cell; a physical property we believe enhances tumor-killing power. Other alpha emitting isotopes, such as lead-212, have shorter half-lives and decay within several hours, which causes centralized manufacturing and commercial distribution challenges.

Alpha particles kill tumors through multiple mechanisms. The primary mechanism of action is direct cell damage through the induction of multiple double-strand DNA breaks. As alpha particles traverse the nucleus of a cell, they create a linear track of direct chromosomal damage, leaving behind multiple clusters of double-strand DNA breaks. These direct alpha particle hits induce cell kill up to a distance of 100 µm, which is equal to a depth of a few cells. A secondary mechanism, which would expand effective direct cell kill range of the alpha particle, is referred to as the Bystander Effect. This effect has been shown to be as significant to the overall efficacy in killing cancer cells as the direct DNA breaks. The Bystander Effect has been shown to propagate alpha particle-induced cell death from irradiated dying cells to kill adjacent non-irradiated cells up to 1,000 µm away in a three-dimensional solid tumor model. In addition to these two mechanisms of action, in preclinical studies, we also observed that the tumor cell death mediated by 225Ac caused the release of tumor antigens which were picked up by antigen-presenting cells and led to the induction of antigen-specific CD8+ T cells. We believe these CD8+ T cells can attack other tumors expressing the same antigen, even if those tumors do not express the receptor target of the targeting antibody of the TAT. In our preclinical studies, we observed that this third mechanism created a vaccine effect that prevented the regrowth of tumors upon re-challenge.

Our Chemistry and Biology Expertise with Actinium-225

We believe that our experience working with alpha emitting radiopharmaceuticals may position us to build on the success of currently approved radiopharmaceuticals by utilizing 225Ac to develop next-generation radiopharmaceutical therapies. 225Ac has complex chemistry and requires extensive experience and expertise to develop and properly characterize 225Ac radiopharmaceuticals with the required tumor targeting, shelf-life, in vivo stability and potential for commercial-scale manufacturing. For example, the high energy emitted from 225Ac can cause product candidates to prematurely degrade. We believe we have the experience and know-how to develop molecules and formulations of 225Ac to maximize the shelf-life of our product candidates and allow for centralized production and distribution. In addition to a deep understanding of the chemistry of 225Ac, we have differentiated knowledge of the underlying biology of 225Ac and its mechanisms of directly

6


 

damaging the DNA of tumors through single and double-strand DNA breaks, causing the Bystander Effect and using the immune system’s adaptive response function to attack non-target expressing tumors in order to stimulate a vaccine effect.

Our Selection of Targets and Targeting Molecules

Our platform and strategy create an extensive pool of potential targets and targeting molecule candidates from which to develop novel TATs, including: (i) molecules with good tumor cell targeting but poor efficacy, (ii) molecules with good efficacy but poor safety profiles, (iii) novel target molecule discoveries, and (iv) life-cycle management opportunities for commercially available molecules. Potential candidates can come from discontinued programs, novel molecules in development, approved molecules or other proprietary agents in connection with in-licensing activities, partnerships, research collaborations and internal research efforts.

We have developed a proprietary algorithm to identify targeting molecules and their targets that we believe would make ideal TATs. The factors that we consider in choosing targeting molecules include (i) preferential and/or elevated expression of their target receptors on tumors versus normal tissues, (ii) the availability of known molecules that bind to these targets with high affinity, (iii) accessibility of these receptors following systemic administration of the targeting molecule, (iv) rapid internalization of these receptors to concentrate the bound alpha particles inside tumor cells, (v) long tumor retention time (e.g. many days), and (vi) clinical need and size of the addressable market. To date, we have identified more than 20 priority tumor antigens that we believe represent viable opportunities to develop into novel TATs when used in conjunction with our platform as a way to expand our pipeline of next-generation precision alpha emitting radiopharmaceuticals.

Our initial approach led to the in-license of antibodies that have been in clinical development and have demonstrated the ability to localize in tumor cells with favorable tolerability data. We believe that the addition of an alpha emitting isotope to these types of antibodies, using our Fast-Clear linker technology, renders the antibodies more potent and tolerable than when they were used as protein-only therapies or as antibody drug conjugates, or ADCs. With multiple INDs or IND-enabling studies we have leveraged our internal discovery capabilities and expertise to expand our research and development efforts by including all classes of targeting molecules, including antibodies, small molecules and peptides.

Fast-Clear Linker Technology

An important element of our TAT platform is our Fast-Clear linker technology which is designed to enable us to connect our alpha emitting isotope of choice, 225Ac, to antibody-based targeting molecules that are designed to deliver radiation directly to cancer cells. When compared to commercially available linkers, our proprietary Fast-Clear linker has shown in preclinical studies the differentiated ability to promote enhanced clearance of the non-tumor localized 225Ac payload without sacrificing the uptake of the TAT in the tumor. Rapid clearance of the alpha emitting isotope from normal tissues is important and creates the opportunity to enhance tolerability and widen the therapeutic window of our product candidates.

As depicted in the figure below, we can generate TATs that are comprised of three components: (i) an antibody that is designed to selectively target antigens that are unique to, or preferentially expressed on, cancer cells throughout the body, (ii) the alpha emitting medical isotope 225Ac designed to kill cancer cells, and (iii) our proprietary Fast-Clear linker that attaches the targeting molecule to the radioactive payload.

img67593536_2.jpg 

When our TATs are metabolized outside of cancer cells, the Fast-Clear linker, unlike standard commercial linkers, is designed to rapidly clear from the body along with any isotopes remaining bound to that linker. We believe that our linker’s

7


 

ability to promote clearance without compromising the tumor’s uptake of the alpha particle overcomes a longstanding challenge of radiopharmaceutical drug development.

As an example, in our preclinical studies, we administered mice (n=5 in each dose group or vehicle group) with either an analogue of FPI-1434 or a radioimmunoconjugate utilizing a commercially available linker. Over a seven-day observation period following administration, we measured the amount of radioactivity excreted in the mice urine and feces to determine the amount of non-tumor localized radiopharmaceuticals cleared. As shown in the image below, our Fast-Clear linker has been observed in preclinical studies to clear 3.1 times the amount of non-tumor localized radiopharmaceuticals compared to the most widely used commercial linker, thereby reducing radiation exposure to normal tissue. We believe the ability of our Fast-Clear linker to clear more non-tumor localized radiopharmaceuticals than commercial linkers could widen the therapeutic window of our product candidates.

Fast-Clear Linker Promoted Enhanced Clearance of Non-Tumor Localized Radiopharmaceuticals

 

img67593536_3.jpg 

While our initial product candidates employ the same linker, we have developed a proprietary library of Fast-Clear linkers with distinct properties that may be used for future radiopharmaceutical candidates.

Candidate Generation

Our TAT platform can rapidly generate potential product candidates for testing. Our radiochemistry team uses established procedures to label the molecule with 225Ac. If the targeting molecule is an antibody, we utilize our Fast-Clear linkers to attach the antibody to 225Ac and evaluate whether the addition of the Fast-Clear linker does not affect the binding affinity and biological function of the targeting molecule. For all our development candidates, we perform biodistribution studies in human tumor xenograft models to assess uptake of the radioisotope in the tumor versus normal tissues. This is followed by preliminary preclinical efficacy studies using the 225Ac radiolabeled version of the targeting molecule to assess whether the TAT should be advanced to longer term preclinical efficacy and toxicity studies. It typically takes six to nine months from the receipt or development of a targeting molecule to the commencement of studies enabling an IND that includes the evaluation of different doses and dose schedules in a variety of tumor types, as well as dosimetry and toxicity studies.

Manufacturing and Supply Chain Capabilities

We were founded to advance certain intellectual property relating to radiopharmaceuticals that had been developed by CPDC, of which we believe is a recognized leader and a national center of excellence in the field of radiopharmaceuticals. We have access to CPDC’s successor’s (known as AtomVie) infrastructure and capabilities under a preferred master services agreement. As noted above, we have developed a supply chain to receive 225Ac from producers, such as the Department of Energy, or DoE, and other third-party suppliers, assemble and manufacture the finished radiopharmaceutical candidates by connecting the 225Ac to the targeting molecule and can supply the finished product candidates to global clinical sites, including those in Canada, the United States and Australia. We also have internal manufacturing expertise, which facilitates rapid tech transfer to other third-party manufacturers, and extensive experience in managing the full supply chain for radiopharmaceuticals.

8


 

More recently, we contracted with Cardinal Health in May 2019 and SpectronRx in March 2022 as additional manufacturers of our TAT product candidates. In addition, in June 2021, we entered into a lease agreement with Hamilton, Ontario-based McMaster University for approximately 27,000 square feet of space at our current headquarters for the purpose of establishing a manufacturing facility to supplement our existing agreements with third-party contract development and manufacturing organizations, or CDMOs, for the manufacture of drug substance and drug product for preclinical and clinical needs. We expect that construction of our own manufacturing facility will provide us with enhanced control of material supply for preclinical studies, clinical trials, and commercialization, enable more rapid implementation of process changes, and allow for better long-term margins if any of our product candidates successfully complete clinical trials and receive marketing approval. However, we expect to continue to rely on third-party suppliers as we currently do even after the expected completion of our manufacturing facility in 2024.

Imaging Agents

For each of our product candidates, we create an imaging analogue that replaces 225Ac with the commercially used radioactive imaging isotope 111In. This allows us to assess uptake of the imaging analogue into tumors and to determine radiation doses to key organs. The imaging analogue versions of our product candidates are leveraged in both preclinical and clinical development and are used to enrich the patient population in our clinical trials by identifying the patients and tumor types more likely to respond to therapy.

Our Programs

Our TAT platform enables us to connect alpha particle emitting isotopes to various targeting molecules, that are designed to selectively deliver the alpha particle payloads to tumors. We are currently investigating TATs utilizing multiple classes of targeting molecules such as antibodies (including bispecific antibodies), small molecules and peptides.

FPI-2265: 225Ac-PSMA-I&T

FPI-2265, previously referred to as 225Ac-PSMA-I&T, is designed to target PSMA. PSMA is a protein that is commonly found on the surface of normal prostate cells but is found in higher amounts on prostate cancer cells, as well as in lower amounts in other tissues, such as the small intestine and salivary glands. PSMA drives cancer invasion and metastases and is expressed in over 80% of men with prostate cancer, with higher PSMA expression being correlated with worse outcomes. The 5-year recurrence-free survival rates are 88.2%, 74.2%, 67.7%, and 26.8% for patients exhibiting no, low, medium, or high PSMA expression, respectively. PSMA is a transmembrane protein, meaning it exists across the cell membrane, but approximately 95% rests on the surface of prostate cells, making it readily accessible to drug targeting. It is possible to identify patients who have PSMA expressing tumors through the use of positron emission tomography, or PET, imaging and a PSMA-targeted imaging agent.

Recent data from over 250 patients treated in investigator sponsored trials with 225Ac-PSMA agents, including both patients previously treated with 177Lu-PSMA radiopharmaceuticals (approximately 100 patients) and 177Lu-PSMA

9


 

radiopharmaceutical therapy naïve patients, have shown compelling clinical data and biochemical response rates (including PSA50) and a tolerability profile that we feel supports further development of an alpha-based 225Ac therapeutic candidate.

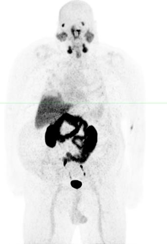
img67593536_4.jpg 

The example above shows gallium-68 PSMA-11 PET/computed tomography scans of one patient who was treated with 177Lu-PSMA-617 and subsequently with 225Ac-PSMA-617 (Figure: Kratochwil, C. et al. 225Ac-PSMA-617 for PSMA-Targeted α-Radiation Therapy of Metastatic Castration-Resistant Prostate Cancer. The Journal of Nuclear Medicine. Vol. 57 No. 12. December 2016). The first image shows the initial tumor spread (A), then restaging after two cycles of 177Lu-PSMA-617 presenting progression (B). In contrast, restaging after two cycles of 225Ac-PSMA-617 is shown in the third image (C) and the final image after an additional cycle of 225Ac-PSMA-617 (D) presented an impressive radiographic response.

Based on the data from the aforementioned investigator-sponsored studies, RadioMedix determined it would initiate a Phase 2 trial, which was allowed to proceed by the FDA. The Phase 2 trial is an open-label clinical trial in patients with mCRPC who may have been previously treated with either a taxane therapy (docetaxel and/or cabazitaxel), a 177Lu-PSMA radiopharmaceutical or both. We acquired the rights to an IND for 225Ac-PSMA-I&T from RadioMedix in February 2023. The trial is expected to enroll approximately 100 patients, each of whom is expected to receive up to four doses of FPI-2265 every eight weeks. Patients will receive a starting dose of FPI-2265 of 100 kBq/kg which may be de-escalated, based on a dosing regimen that was evaluated by investigators who have sponsored single-institution, academic studies. Patients will undergo a PSMA-PET scan along with a standard radiographic response assessment with images taken at baseline and then periodically throughout the course of treatment. The primary endpoint is to evaluate effect on PSA, defined as greater than or equal to a 50% decline in PSA level by 12 weeks after first treatment with FPI-2265. Secondary objectives include radiographic response rate, safety and tolerability, based on frequency, severity, and duration of adverse events and changes in laboratory parameters. Clinical analyses for primary and secondary endpoints will be performed separately for patients who have received previous treatment with 177Lu-PSMA radio-ligand therapies and for those who have not received previous 177Lu-PSMA radio-ligand therapy.

Prior to our acquisition of the asset, RadioMedix had enrolled 11 patients. Limited preliminary data from 10 of these patients was available as of late January 2023. All of these patients were 177Lu-PSMA therapy naïve and, in general, heavily pretreated with multiple lines of prior anti-cancer treatment, including anti-androgen therapy, chemotherapy, Xofigo, PARP

10


 

inhibitors, immunotherapy, and experimental therapies which varied widely across this group of patients. The following patient characteristics were noted in order to help interpretation of the preliminary safety and efficacy findings:

two patients had an adverse prognostic features of ECOG Performance status 2 and liver metastases;
two additional patients were enrolled with blood counts below those prespecified in the eligibility criteria, limiting the interpretability of the safety findings; and
one patient had PSA< 1 ng/ml at study entry, limiting the PSA response assessment.

In December 2022, the study protocol was amended to exclude patients with an Eastern Cooperative Oncology Group, or ECOG, performance (a measure of functional status) status greater than or equal to Grade 2 and patients with liver metastases. Furthermore, guidance for dose de-escalation were clarified.

Among the 10 patients with at least one post-baseline PSA value measurement, four patients achieved a PSA50 response; of eight patients evaluable for PSA50 response at week eight, four (50%) achieved a sustained decline.

img67593536_5.jpg 

Of seven patients evaluable for radiographic response assessment per the widely accepted response evaluation criteria in solid tumors, known as RECIST 1.1, at the time of review:

one patient had a complete response;
one patient had a confirmed partial response;
one patient had an unconfirmed partial response;
three patients had stable disease; and
one patient had disease progression.

Five of these seven patients had post-baseline PSMA-PET scans, one achieved a complete response, two demonstrated a decline in standardized uptake value, or SUV, greater than 30%, and two demonstrated a decline in SUV of less than 30%.

11


 

One patient with extensive skeletal metastases who achieved a complete radiographic response (by Tc-bone scan and PSMA-PET scan) also showed a substantial decline in PSA (1119 to 2.43 ng/ml) that was sustained (see graphic below).

img67593536_6.jpg img67593536_7.jpg 

Based on the preliminary safety data, 225Ac-PSMA-I&T was generally well tolerated. Notably, and as expected based on previously reported clinical trials, the majority of patients (eight of nine patients) reported related adverse events, or AE, of dry mouth, or xerostomia, of whom one patient experienced a Grade 2 event while the other seven patients experienced low grade (Grade 1) xerostomia. Grade 1 dry eye was reported in two patients. Reported hematological AEs that were deemed related to study drug include: anemia (six of nine patients), absolute neutrophil count, or ANC, decrease (two of nine patients) and thrombocytopenia (two of nine patients). Both instances of high grade (Grades 3 and 4) thrombocytopenia were reported as serious. One patient with Grade 4 drug-related thrombocytopenia experienced intracranial bleeding that resulted in the patient being withdrawn from further study treatments. A second patient developed Grade 3 thrombocytopenia for which attribution to study drug had not been established at the time of the data review in late January 2023. Both patients who experienced these thrombocytopenic events had Grade 3 AEs of anemia reported. Although two events of creatinine increase were reported, they were deemed unrelated to the study drug.

Upon transfer of the IND from RadioMedix to us, we intend to expand the Phase 2 clinical trial across multiple sites. We expect to report preliminary data for the first 20-30 patients in this study, including safety and efficacy data, in the first quarter of 2024.

FPI-1434: Targeting IGF-1R

Overview

Our second most advanced product candidate, FPI-1434, is designed to target IGF-1R, a transmembrane receptor tyrosine kinase that is overexpressed in multiple types of common solid tumors, including ovarian, sarcoma, head and neck, prostate, non-small cell lung, colorectal and liver cancers, among other cancers, as shown in the table below, making it a potentially attractive target for cancer therapies. The overexpression of IGF-1R has been reported to be associated with faster disease progression, poor prognosis, metastasis and resistance to chemotherapy. IGF-1R is a well-established tumor target, but historical attempts to suppress tumor growth or enhance the effectiveness of chemotherapies by inhibiting the IGF-1R signaling pathway were unsuccessful in the clinic. Previous development of therapeutics focused on blocking the IGF-1R signaling pathway with an anti-IGF-1R antibody, either directly or through its downstream effectors. The development of these product candidates was hampered by limited efficacy, due to a variety of factors, including the tumor’s ability to upregulate compensatory growth mechanisms. For FPI-1434, we have designed the product candidate to employ the IGF-1R antibody as a means to identify, target and deliver our alpha emitting payload to the tumor, and the mechanism of action does not depend

12


 

on the IGF-1R signaling pathway to kill the tumor. Furthermore, the amount of protein administered for a TAT like FPI-1434, is significantly less than the amount used in trials on the naked antibody.

We in-licensed AVE-1642, an antibody from Immunogen, Inc., or Immunogen, that had previously been evaluated in Phase 2 clinical trials in collaboration with Sanofi S.A., as both a monotherapy and combination therapy, in a variety of IGF-1R positive tumors. Approximately 140 patients received AVE-1642 in clinical trials. Although the antibody was observed to be well-tolerated with positive pharmacokinetic and pharmacodynamic data, it failed to demonstrate sufficient therapeutic efficacy and further development was terminated. Because we are utilizing the antibody only as a way to identify and deliver the 225Ac payload into the tumor and the mechanism of action of FPI-1434 does not depend on the IGF-1R signaling pathway to kill the tumor, we do not believe that the lack of efficacy observed for the antibody itself in previous trials will impact the potential anti-tumor activity of FPI-1434.

In our preclinical studies, we observed that FPI-1434 penetrated solid tumors, delivered the alpha particle to the tumor site and created dose-dependent double-strand DNA breaks. We are currently evaluating FPI-1434 as a monotherapy in the dose escalation portion of a Phase 1 clinical trial in patients with IGF-1R positive solid tumors to assess its safety, tolerability and pharmacokinetics as well as to identify the recommended Phase 2 dose. As part of the screening process, patients are administered the imaging analogue of FPI-1434, which utilizes the same linker and targeting molecule, but replaces 225Ac with the radioactive isotope 111In and only those patients who meet predefined tumor uptake and dosimetry, and show organ radiation exposure within the limits of established standards for normal organ radiation tolerability, are advanced into the trial. In our ongoing Phase 1 trial, we are exploring various dosing levels of FPI-1434 in two dosing regimens: one with FPI-1434 alone, and another in which a small dose of cold antibody (naked IGF-1R antibody without the isotope) is administered prior to the imaging analogue and prior to each dose of FPI-1434. We are exploring the impact of administering the cold IGF-1R antibody prior to the imaging analogue and prior to each dose of FPI-1434 on the biodistribution, safety and tumor uptake. We refer to this dosing regimen as the “cold/hot” dosing regimen; we refer to the dosing regimen of FPI-1434 without pre-administration of the cold antibody as the “hot only” dosing regimen. The introduction of this “cold/hot” dosing regimen resulted, in part, from a CASS, that was performed as part of the Phase 1 study, whereby a small amount of cold IGF-1R antibody was administered prior to administration of the imaging analogue only. In the CASS we treated five (5) patients at doses of 0.5 mg/kg and/or 1.5 mg/kg of cold IGF-1R antibody and saw, in general, an improved lesion uptake in most patients who received the cold IGF-1R antibody pre-administration and the lesion uptake was independent of anatomic location (including bone, mediastinum, lung, liver, and lymph nodes). Results at 0.5 mg/kg were generally more favorable than the 1.5 mg/kg dose of cold antibody. Imaging with the pre-administration of the cold antibody was well tolerated. As a result of the CASS data, we are prioritizing the cold/hot dosing regimen over the hot only dosing regimen. We are currently prioritizing patient enrollment into the “cold/hot” dosing regimen. We anticipate reporting Phase 1 safety, pharmacokinetics, and imaging data, including any evidence of anti-tumor activity, and details on the dosing regimen in the second quarter of 2023.

FPI-1434 as a Monotherapy

Overview of Preclinical Development

In preclinical studies, FPI-1434 was able to cause tumor regression in a dose-dependent manner by delivering 225Ac to the tumor site and creating multiple double-strand DNA breaks. At higher doses, FPI-1434 was able to eradicate tumors with a single dose. Our targeting antibody was able to deliver 225Ac to the tumor site and create multiple double-strand DNA breaks that increased over time and were pervasive throughout the tumor. An imaging analogue of FPI-1434 was able to bind with high selectivity to its target in a variety of different tumor types, and in a manner that was approximately proportional to the amount of target expressed on the surface of cancer cells. In addition, there was no noticeable effect observed in our preclinical studies on the biological function of the antibody as a result of connecting the naked antibody to 225Ac with our Fast-Clear linker to form FPI-1434. We believe that the data generated from these preclinical studies demonstrates the potential of FPI-1434 as a monotherapy for the treatment of a variety of cancers.

Ongoing Phase 1 Trial of FPI-1434

We are currently conducting a Phase 1, non-randomized, multi-center, open-label clinical trial in patients with solid tumors expressing IGF-1R to investigate the safety, tolerability and pharmacokinetics of FPI-1434 as well as to establish the MTD and/or the recommended Phase 2 dose and dosing regimen.

As part of the screening process for the trial, all patients are administered a single injection of 185 megabecquerel, or MBq, of FPI-1547, the imaging analogue of FPI-1434 which contains 111In instead of 225Ac, and SPECT and planar imaging is used to evaluate tumor uptake of the imaging isotope. In accordance with the trial protocol, patients that meet predefined uptake

13


 

and dosimetry criteria for FPI-1547 are advanced into the trial and administered FPI-1434 within approximately fourteen days of receiving the imaging analogue.

We have completed evaluation of single escalating doses of 10 kBq/kg, 20 kBq/kg, and 40 kBq/kg of FPI-1434 across three cohorts in a total of 12 patients. In December 2020, we dosed the first patient in the multi-dosing portion of the Phase 1 study. We continued to explore various dosing levels in two dosing regimens (the hot only and cold/hot dosing regimens) in this study.

Four select examples of transaxial SPECT images from the single-dose portion of the study are shown below. The colored portions in the lesions show uptake of FPI-1547 by the tumor, with the more brightly colored portions indicating higher uptake levels. Based on the dosimetry data from patients administered FPI-1547 in the single-dose portion of the study, we believe that the highest dose levels of FPI-1434 that we are evaluating in the multi-dose portion of the clinical trial are likely to be below the maximum tolerated limits of radiation exposure to the kidneys, liver and lungs.

img67593536_8.jpg 

Images are from selected patients. Although all 13 patients dosed with FPI-1547 met our predefined uptake and dosimetry criteria, the levels of tumor uptake and dosimetry varied by patient. These images are not necessarily indicative of expected uptake and dosimetry for every patient.

In the first two cohorts of patients administered both FPI-1547 and FPI-1434, we assessed the plasma pharmacokinetics of these patients by measuring the total radioactivity of either 111In or 225Ac, respectively. We converted the radioactivity measurements to nanogram-equivalents of protein per gram of plasma to enable us to conduct the pharmacokinetic analysis. As shown below, the mean pharmacokinetic parameters suggest antibody-like distribution and an elimination half-life in the range of one to two days at the doses administered.

14


 

img67593536_9.jpg 

FPI-1434 as a Combination Therapy

Overview of Combination with Immunotherapies

The rationale for the combination FPI-1434 with approved immunotherapies stems from the documented immune-stimulating properties of EBRT and the benefits observed in the preclinical models of EBRT in combination with immunotherapies. When radiation destroys tumor cells, it leads to the release of tumor-associated antigens and concomitant maturation of APCs. Mature APCs loaded with the newly acquired tumor antigens then travel to the secondary lymphoid organs where they present them to naïve T cells, triggering their activation, proliferation and trafficking to tumor sites, even in the absence of the targeted antigen. In preclinical studies, we observed a synergistic effect on tumor suppression when using FPI-1434 in combination with checkpoint inhibitors. Based on our preclinical combination studies, we believe that there is an opportunity to enhance the efficacy of approved checkpoint inhibitors in certain tumors by combining their use with FPI-1434 as well as the potential to move the use of FPI-1434 to earlier lines of therapy. In anticipation of filing an IND for these combination therapies, we are conducting additional preclinical studies of FPI-1434 and mouse analogues in combination with approved checkpoint inhibitors to further assess the anti-tumor activity, dosing schedule and pharmacodynamics of the combinations. We plan to use the data gathered from these studies to support the initiation of a Phase 1 clinical trial of FPI-1434 in combination with approved checkpoint inhibitors. We anticipate initiation of a Phase 1 combination study with FPI-1434 and KEYTRUDA (pembrolizumab) to occur six to nine months following determination of the recommended Phase 2 dose of FPI-1434 monotherapy in connection with a collaboration agreement executed in May 2021 with Merck.

Preclinical Immunotherapy Combination Studies

In multiple preclinical studies, we evaluated the anti-tumor activity of combination therapies using FPI-1792, a murine version of the IGF-1R antibody connected to 225Ac through our Fast-Clear linker, with and without approved checkpoint inhibitors. In these studies, we used a syngeneic CT26 colon cancer model, which is considered to be moderately immunogenic. To evaluate anti-tumor activity, mice were subcutaneously implanted with CT26 cells and, once tumors reached 175 mm3, the mice were treated with either one injection of vehicle, three injections of an anti-CTLA-4 alone on days 1, 4 and 7, eight injections of an anti-PD-1 alone every 3-4 days, one injection of FPI-1792 alone or the respective combinations. We detected only transient and partial suppression of tumor growth in mice treated with either anti-PD-1 or anti-CTLA-4 alone as compared to the vehicle-treated controls. In mice that received FPI-1792 as a monotherapy, we observed a more pronounced and stable

15


 

tumor growth suppression through day 28 than mice treated with either checkpoint inhibitor alone. In the combination groups, 13 out of 15 mice demonstrated tumor regression in excess of what was observed in the FPI-1792-only group at day 28.

img67593536_10.jpg 

To further investigate whether mice with regressing tumors would reject a secondary tumor formation, all of the surviving mice from the FPI-1792 monotherapy and combination groups in the study described above were re-challenged with CT26 cells at day 28, when there would be little to no effect remaining from the first administration of FPI-1792. Previously untreated mice were used as controls for this experiment. Neither the previously treated or untreated mice received any additional treatment during the re-challenge period. We observed that all of the untreated mice demonstrated exponential tumor growth, but rejection of the secondary tumor occurred in 13 out of 15 mice previously treated with either FPI-1792 alone or in combination with a checkpoint inhibitor, as shown below. We believe that the tumor rejection in the absence of continued treatment of the mice demonstrates that protective immunity was induced by treatment with FPI-1792. The results of this study also support the development of the potential alpha emitting therapy-mediated immune response, which we believe supports the potential of FPI-1434 to create a vaccination effect that synergizes with checkpoint inhibitors and leads to primary tumor shrinkage as well as secondary tumor rejection.

13 of 15 Animals Showed No Growth of a Secondary Tumor

 

img67593536_11.jpg 

To further evaluate the mechanism of action of FPI-1434 that we believe is responsible for the tumor suppression in re-challenged animals, we collected tissues from the control and combination therapy groups 14 days post-tumor re-challenge. Tumors were assessed for both T cell recruitment and presence of antigen-specific CD8+ T cells within the tumors. As shown in the graphs below, enumeration of antigen-specific CD8+ T cells in the tumor revealed a very high frequency of AH1+ cells, the tumor-associated antigen given off by dying tumors, in 30% to 70% of the treated mice as compared to 2% to 3% in the control mice. We believe these data suggest that treating the mice with FPI-1792 in combination with checkpoint inhibitors can break T cell tolerance and elicit a strong CD8+ T cell-mediated immune response that is able to reject tumors when re-challenged.

16


 

T Cell Recruitment and Antigen-Specific CD8+ T Cells in Tumors 14 Days after Tumor Re-Challenge

 

img67593536_12.jpg 

Overview of Combination with DDRis

We are also exploring the potential of combining FPI-1434 with DDRis such as PARP inhibitors. PARP is part of several cellular mechanisms that repair DNA damage, including single-strand and double-strand DNA breaks. In cancer patients with pre-existing genetic defects in double-strand DNA break repair, such as BRCA1 or BRCA2 mutations in ovarian or breast cancer, the PARP pathway becomes a primary DNA repair system. In such patients, PARP inhibitors result in blockage of DNA repair, which causes cell death. Approved PARP inhibitors include olaparib, talazoparib and niraparib. We believe that using FPI-1434 in combination with a PARP inhibitor to inhibit repair of alpha particle mediated DNA damage may work synergistically to increase the lethal DNA damage load on treated tumors and potentially improve the tolerability profile. In addition, the combination has the potential to expand the current patient population addressed by PARP inhibitors, which generally require the presence of a specific mutation such as BRCA1 or BRCA2, to include patients without pre-existing mutations. We are conducting additional preclinical studies of FPI-1434 in combination with DDRis, such as approved PARP inhibitors, to further assess the anti-tumor activity, dosing schedule and pharmacodynamics of the combinations. We plan to use the data gathered from these studies to support the initiation of a Phase 1 clinical trial of FPI-1434 in combination with approved PARP inhibitors. We expect to initiate a Phase 1 clinical trial for this combination approximately six to nine months after identifying the recommended Phase 2 dose for our ongoing monotherapy Phase 1 clinical trial of FPI-1434.

Preclinical PARP Inhibitor Combination Studies

In multiple preclinical studies, we have evaluated potential synergies between FPI-1434 and olaparib using preclinical tumor models with no pre-existing mutations in DNA repair and have observed that olaparib in combination with FPI-1434 can provide benefits where DNA damage is being generated directly by FPI-1434.

In one study, we evaluated subtherapeutic doses of 37 kBq/kg of FPI-1434 and 25 mg/kg of olaparib in a preclinical colorectal tumor model (n=5 in each dose group or vehicle group). A single dose of FPI-1434 was administered on day zero and olaparib was dosed on days 1 and 2 and thereafter on a five days on, two days off cycle for the remainder of the 30-day treatment period. Despite the non-therapeutic doses of each therapy used, the combination of the two nontherapeutic doses had a strong synergistic effect and inhibited tumor growth during the 47-day study period. We observed that olaparib in combination with FPI-1434 can provide additional therapeutic benefits where DNA damage is being generated directly by FPI-1434, even in the absence of a pre-existing mutation.

17


 

Relative Tumor Volume in Colorectal Mouse Model

 

img67593536_13.jpg 

Similar results were seen in a non-small cell lung cancer model, suggesting that the mechanism can be applied to multiple tumor types where mutations in DNA repair are absent. In both models, we observed that the strongest combination effect appeared to occur at the lower single agent doses, supporting our hypothesis that the addition of PARP inhibition may allow for efficacy at lower doses of FPI-1434. We believe that these data support the evaluation of a PARP inhibitor plus FPI-1434 combination therapy in the clinical setting.

FPI-1966: Targeting FGFR3

We designed FPI-1966 to target and deliver 225Ac to tumor sites expressing FGFR3, a protein that is overexpressed in multiple cancers including colorectal, ovarian, bladder, and head and neck cancers. FPI-1966 utilizes our Fast-Clear linker to connect a human monoclonal antibody that targets FGFR3 with 225Ac. We acquired the rights to vofatamab from Rainier Therapeutics, Inc. (f/k/a BioClin Therapeutics, Inc.), or Rainier, who had licensed the molecule from Genentech. Rainier had previously evaluated vofatamab as a therapeutic agent in a Phase 1b/2 trial in combination with pembrolizumab, an immune checkpoint inhibitor, and a Phase 1/2(b) trial in combination with docetaxel, to determine safety, tolerability and preliminary efficacy in the treatment of patients with locally advanced or metastatic bladder cancer. Although the antibody was observed to be well-tolerated in approximately 140 patients across several studies, it failed to demonstrate sufficient positive therapeutic efficacy to warrant further development. Because we are utilizing the antibody only as a way to identify, target and deliver the 225Ac payload into the tumor and because the mechanism of action of FPI-1966 does not depend on the FGFR3 signaling pathway to kill the tumor, we do not believe that the lack of sufficient efficacy observed for the antibody itself in previous trials will impact the potential anti-tumor activity of FPI-1966. Currently there is an approved pan-FGFR inhibitor for the treatment of bladder cancer, though it is limited to cancers with specific genetic alterations. We believe our TAT therapy will enable targeting FGFR3-expressing cancers, independent of those genetic mutations with minimal resistance due to the mechanism of action of alpha radiation.

In preclinical studies, we observed pre-dosing with cold antibody (naked vofatamab without the isotope) increases circulating FPI-1966, to drive enhanced tumor lesion uptake. The addition of vofatamab to the dosing regimen acts to reduce specific and non-specific binding of the radiolabeled antibody to normal tissue. This in turn allows for increased FPI-1966 concentrations in the blood allowing more FPI-1966 to bind to the tumor. We have performed studies preclinically to optimize both the co-dosing and pre-dosing regimens of vofatamab prior to administering FPI-1966. The results from the optimized dosing regimen of FPI-1966 and vofatamab is shown below. The data shows that a slower blood clearance and higher tumor uptake can be observed with the optimized regimen.

18


 

img67593536_14.jpg 

This regimen when administered in mouse efficacy studies demonstrates single-dose, dose-dependent tumor regression in a model of bladder cancer.

img67593536_15.jpg 

We submitted INDs for FPI-1966 and FPI-1967, as the imaging analogue, in the second quarter of 2021 and announced FDA clearance of the INDs in July 2021. The Phase 1, non-randomized, open-label clinical trial of FPI-1966 in patients with solid tumors expressing FGFR3, intended to investigate safety, tolerability and pharmacokinetics and to establish the recommended Phase 2 dose, has been initiated with study sites open to patient recruitment. We dosed the first patient in August 2022 and plan to provide a clinical update in 2024.

19


 

As part of the screening process for the trial, all patients will be administered a single injection of FPI-1967, the imaging analogue of FPI-1966, with or without vofatamab and imaging will be used to evaluate tumor uptake of the imaging isotope. In accordance with the trial protocol, patients that meet predefined uptake and dosimetry criteria will be advanced into the trial. The first cohort of the study will evaluate the potential impact of the cold antibody (naked vofatamab without the isotope) on biodistribution, pharmacokinetics, and dosimetry by exploring cold antibody doses of 0mgs/kg to 10mgs/kg in up to four sub-cohorts prior to administration of FPI-1966 at 10kBq/kg. The cold antibody dosing level, if any, that demonstrates the optimal increase in tumor lesion uptake and safety profile will be used in all subsequent multiple dose escalation cohorts of FPI-1966 ranging from 20kBq/kg to 100kBq/kg in a standard three-by-three clinical trial design utilizing a six-week dose limiting toxicity (DLT) observation period.

FPI-2059: Targeting NTSR1

On April 1, 2021, we entered into an asset purchase agreement with Ipsen to acquire Ipsen's intellectual property and assets related to IPN-1087. IPN-1087 is a 177Lu-based small molecule radiopharmaceutical targeting NTSR1; a protein expressed on multiple solid tumor types. We have combined our expertise and TAT platform with IPN-1087 to create an alpha-emitting radiopharmaceutical, FPI-2059, targeting solid tumors expressing NTSR1.

Preclinical data with an 225Ac labeled form of IPN-1087 previously demonstrated single dose tumor kill. In addition, existing human imaging studies and experience with IPN-1087 as a beta emitter showed promising safety and imaging data which we believe can be leveraged and enhanced by converting it to the alpha emitter. Based upon the known expression of NTSR1 and existing imaging data showing high uptake, we believe there are opportunities to address several cancers, including colorectal, gastric and pancreatic cancers. We also believe there is an opportunity with FPI-2059 to address neuroendocrine differentiated, or NED, prostate cancer, where there are currently limited treatment options.

The FDA cleared our IND for FPI-2059 and the corresponding imaging analogue, FPI-2058, in June 2022. Study initiation activities are ongoing in a Phase 1, non-randomized, open-label clinical trial of FPI-2059 in patients with solid tumors expressing NTSR1, intended to investigate safety, tolerability and pharmacokinetics and to establish the recommended Phase 2 dose. Eligible participants will have one of the following advanced, metastatic and/or recurrent solid tumors: pancreatic ductal adenocarcinoma, squamous cell carcinoma of the head and neck, colorectal cancer, gastric cancer, neuroendocrine differentiated prostate cancer or Ewing sarcoma. We plan to provide guidance on timelines for the FPI-2059 program following site activations and initial experience with patient screening and patient enrollment.

FPI-2068

In January 2022, we announced the nomination of the first TAT candidate under the strategic collaboration agreement, a bispecific antibody owned by AstraZeneca radiolabeled with 225Ac utilizing our Fast-Clear linker technology, which we refer to as FPI-2068. In addition, we and AstraZeneca will exclusively explore up to five combination strategies involving our existing assets, including our FPI-1434 and FPI-1966 product candidates, and AstraZeneca therapeutics, for the treatment of various cancers. Each party will retain full rights to their respective assets.

Early-Stage Pipeline

In January 2022, we entered into two separate strategic research collaborations to discover novel, peptide-based radiopharmaceuticals for the treatment of various solid tumors. Under the agreements, Fusion has global rights to develop and commercialize any peptides discovered under either collaboration.

To further expand our pipeline, we plan to continue to in-license additional targeting molecules for the development of TATs that are in various stages of discovery and preclinical development.

Relationship with CPDC

We were founded in 2014 to advance certain intellectual property relating to radiopharmaceuticals that had been developed by CPDC. We believe CPDC is a recognized leader in the field of radiopharmaceutical manufacturing. CPDC was funded as a Centre of Excellence for Commercialization Research under the Canadian federal government’s Centres of Excellence for Commercialization and Research, or CECR, program.

Following the time of our incorporation, some of our non-voting common shares were allocated to certain CPDC employees. We also were a party to a Master Services Agreement and Supply Agreement with CPDC, pursuant to which CPDC

20


 

provided products and services to us, including preclinical and manufacturing services, administrative support services, access to laboratory facilities and laboratory technicians and products for human safety and efficacy clinical trials. In connection with the Company entering into a lease for a manufacturing facility in Hamilton, Ontario, we entered into an agreement with CPDC to train personnel. In August 2022, CPDC transferred and assigned all agreements (including the Master Services Agreement and the Supply Agreement) other than the license agreements with the Company to a third-party CDMO known as AtomVie.

Manufacturing and Supply of 225Ac

For clinical supply, we use CDMOs who comply with the FDA’s current good manufacturing practices, or cGMP, for the manufacture of our drug product, in particular, our targeting molecules. We have recently transitioned the cGMP manufacturing of our Fast-Clear linkers to a CDMO. Currently, we contract with the DoE and other third-parties to supply us with 225Ac and are exploring other potential sources for 225Ac. We currently rely on CDMOs to receive the components of our TATs and to assemble and manufacture the finished TATs pursuant to Master Services Agreements. The CDMOs then deliver the finished product candidates to global clinical sites, including those in Canada, the United States and Australia.

In June 2021, we entered into a lease agreement with Hamilton, Ontario-based McMaster University for approximately 27,000 square feet of space at our current headquarters for the purpose of establishing a manufacturing facility to supplement our drug product manufacturing capacity at CDMOs. We expect that construction of our own manufacturing facility will provide us with enhanced control of material supply for preclinical studies, clinical trials, and commercialization, enable more rapid implementation of process changes, and allow for better long-term margins if any of our product candidates successfully complete clinical trials and receive marketing approval. Although we are in the process of establishing our own manufacturing facility which is expected to be operational in 2024, we expect to rely on third parties for our manufacturing processes and the production of all clinical supply in the near term.

Competition

The biotechnology and pharmaceutical industries are characterized by the rapid evolution of technologies and understanding of disease etiology, intense competition and a strong emphasis on intellectual property. We face substantial potential competition from many different sources, including major pharmaceutical, specialty pharmaceutical and biotechnology companies, academic research institutions and governmental agencies as well as public and private research institutions.

In addition to the current standard of care for patients, commercial and academic clinical trials are being pursued by a number of parties in the field of radiopharmaceuticals. Early results from these trials have fueled continued interest in radiopharmaceuticals, which is being pursued by several biotechnology companies as well as by large pharmaceutical companies.

We consider our most direct competitors to be companies developing targeted alpha radiopharmaceuticals for the treatment of cancer. There are several companies developing targeted alpha-based radiopharmaceuticals for the treatment of cancer, including Bayer AG, or Bayer, Novartis AG, or Novartis, Actinium Pharmaceuticals, Inc., Johnson & Johnson, Orano Med, Telix Pharmaceuticals Limited and POINT Biopharma Inc. as well as several early-stage companies who recently entered the field such as RayzeBio, Inc., Aktis Oncology and Mariana Oncology. These companies are targeting a wide range of solid and hematologic malignancies using various alpha emitting isotopes, including Radium-223, Lead-212, Actinium-225 and Thorium-227. The first and only approved alpha particle-based therapy is Bayer’s Xofigo, a salt of radium that cannot easily and robustly be attached to a targeting molecule, but naturally localizes to regions where cancer cells are infiltrating bone. Xofigo was approved in the United States by the FDA in 2013 for the treatment of bone metastases associated with prostate cancer.

There are several companies with approved beta-based radiopharmaceuticals, including Novartis, Bayer, Lantheus Holdings, Inc. and Q BioMed Inc. The beta emitting isotopes used by these companies include Iodine-131, Lutetium-177, Strontium-89 and Yttrium-90. Beta particle emitting radiopharmaceuticals, such as Novartis’ Lutathera and Pluvicto, were approved in recent years for the treatment of patients with somatostatin receptor-positive gastroenteropancreatic neuroendocrine cancers and PSMA-positive metastatic castrate resistant prostate cancer, respectively. There are other beta particle-based radiopharmaceuticals in various stages of clinical development by companies including Novartis AG, Y-mAbs Therapeutics, Inc. and POINT Biopharma Global Inc.

Many of our current or potential competitors, either alone or with their collaboration partners, have significantly greater financial resources and expertise in research and development, manufacturing, preclinical testing, conducting clinical trials,

21


 

obtaining regulatory approvals and marketing approved products than we do. Mergers and acquisitions in the pharmaceutical and biotechnology industries may result in even more resources being concentrated among a smaller number of our competitors. Smaller or early-stage companies may also prove to be significant competitors, particularly through collaborative arrangements with large and established companies. These competitors also compete with us in recruiting and retaining qualified scientific and management personnel and establishing clinical trial sites and patient enrollment in clinical trials, as well as in acquiring technologies and materials complementary to, or necessary for, our programs.

We could see a reduction or elimination in our commercial opportunity if our competitors develop and commercialize drugs that are safer, more effective, have fewer or less severe side effects, are more convenient to administer, are less expensive or with a more favorable label than our product candidates. Our competitors also may obtain FDA or other regulatory approval for their drugs more rapidly than we may obtain approval for ours, which could result in our competitors establishing a strong market position before we are able to enter the market. The key competitive factors affecting the success of all of our product candidates, if approved, are likely to be their efficacy, safety, convenience, price, the effectiveness of imaging agents, the level of generic competition and the availability of reimbursement from government and other third-party payors.

Intellectual Property

Our success depends, in part, on our ability to obtain and maintain intellectual property protection for our platform technology, product candidates and know-how, to defend and enforce our intellectual property rights, in particular, our patent rights, to preserve the confidentiality of our know-how and trade secrets and to operate without infringing the proprietary rights of others. We have filed an Inter Partes Review, or IPR, petition with the United States Patent and Trademark Office, or USPTO, to challenge the validity of a certain issued U.S. patent. In the event that we are unsuccessful in the IPR and that such patent has not expired at the time of approval of FPI-2265, our PSMA I&T product candidate, and if the patent owners were to bring an infringement action against us, we may have to argue that FPI-2265, our PSMA I&T product candidate, its manufacture or use does not infringe a valid claim of the patent in question. Furthermore, in order to prevail we would need to present clear and convincing evidence as to the invalidity of the patent’s claims. There is no assurance that a court would find in our favor on questions of non-infringement or invalidity. In the event that a patent is successfully asserted against us such that the patent is found to be valid and enforceable and infringed by FPI-2265, our PSMA I&T product candidate or its use, unless we obtain a license to such a patent, which may not be available on commercially reasonable terms or at all, we could be prevented from continuing to develop or commercialize our product.

We seek to protect our product candidates and technologies by, among other methods, filing U.S. and foreign patent applications related to our proprietary technology, inventions and improvements that are important to the development of our business. We also rely on trade secrets, know-how, continuing technological innovation and in-licensing of third-party intellectual property to develop and maintain our proprietary position. We, or our collaborators and licensors, file patent applications directed to our key product candidates in an effort to establish intellectual property positions to protect our product candidates as well as uses of our product candidates for the prevention and/or treatment of diseases.

As of March 6, 2023, our patent estate that we own and in-licensed includes at least 12 issued U.S. patents, at least 19 pending U.S. patent applications, at least 66 issued foreign patents, at least 143 pending foreign patent applications and at least 16 pending international Patent Cooperation Treaty, or PCT, applications.

Specific Product Candidates

We in-licensed a patent family with composition of matter and methods of use claims covering FPI-1434 and its use, with patent applications pending in the United States, and various foreign jurisdictions and regions including, but not limited to, Australia, Canada, China, Eurasia, Europe, Israel, India, Japan, Singapore and South Africa. Patent applications in this family, if issued, are expected to expire in May 2038, without taking potential patent term extensions into account.

We also in-licensed three issued U.S. patents with composition of matter and methods of use claims covering FPI-1434 and its use, which are expected to expire in August 2037, without taking potential patent term extensions into account.

We own a pending U.S. provisional application with formulation claims related to our FPI-2265 product candidate. Patent applications claiming priority to this application, if issued, are expected to expire in 2044.

We own a patent family with composition of matter and methods of use claims covering FPI-1966 and its use, with patent applications pending in the United States, and various foreign jurisdictions and regions including, but not limited to, Australia,

22


 

Canada, China, Eurasia, Europe, Israel, India, Japan, Singapore and South Africa. Patent applications in this family, if issued, are expected to expire in 2041, without taking potential patent terms extensions into account.

We in-licensed a patent family with composition of matter and methods of use claims covering FPI-2059 and its use, which includes an issued U.S. patent, a pending U.S. patent application, over 30 granted foreign patents in various jurisdictions, including Australia, Canada, China, Europe, Israel, Japan, Mexico, Russia and South Africa, and over five pending foreign patent applications in various jurisdictions, including Brazil, China, Europe, India, Japan, and Singapore. Patents and patent applications, if issued, are expected to expire December 2033, without taking potential patent terms extensions into account.

Specific Targeting Molecules

We in-licensed a patent family with composition of matter and methods of use claims directed to radioimmunoconjugates comprising IGF-1R specific antibodies and their use, with patent applications pending in the United States and various foreign jurisdictions and regions including, but not limited to, Australia, Canada, China, Eurasia, Europe, Israel, India, Japan, Singapore, and South Africa. Patent applications in this family, if issued, are expected to expire in May 2038, without taking potential patent term extensions into account.

We in-licensed a patent family with composition of matter and methods of use claims directed to FGFR3 specific antibodies, which includes four issued U.S. patents, one pending U.S. patent application, over 20 granted foreign patents in various jurisdictions, including Australia, Canada, China, Europe, Israel, India, Japan, Mexico, Russia and South Africa, and over five pending foreign patent applications in various jurisdictions, including Brazil, Europe, Thailand and Venezuela. Patents and patent applications, if issued, are expected to expire 2030, without taking potential patent terms extensions into account.

We own a patent family with composition of matter and methods of use claims directed to radioimmunoconjugates comprising FGFR3 specific antibodies and their use. This patent family includes patent applications pending in the United States, and various foreign jurisdictions and regions including, but not limited to, Australia, Canada, China, Eurasia, Europe, Israel, India, Japan, Singapore and South Africa. Patent applications claiming the benefit of the PCT patent application, if issued, are expected to expire in 2041, without taking potential patent terms extensions into account.

We in-licensed a patent family with composition of matter and methods of use claims directed to neurotensin receptor ligands, which include an issued U.S. patent, a pending U.S. patent application, over 30 granted foreign patents in various jurisdictions, including Australia, Canada, China, Europe, Israel, Japan, Mexico, Russia and South Africa, and over five pending foreign patent applications in various jurisdictions, including Brazil, China, Europe, India, Japan, and Singapore. Patents and patent applications, if issued, are expected to expire December 2033, without taking potential patent terms extensions into account.

Combination Therapies

We own a patent family with method claims directed to our radioimmunoconjugates in combination with checkpoint inhibitors, with patent applications pending in the United States, and various foreign jurisdictions and regions including, but not limited to, Australia, Canada, China, Eurasia, Europe, Israel, Japan, Singapore and South Africa. The pending patent applications, if issued, are expected to expire in 2039, without taking potential patent terms extensions into account.

We also own an issued U.S. patent with methods of use claims covering our radioimmunoconjugates in combination with checkpoint inhibitors, which is expected to expire in December 2039, without taking potential patent term extensions into account.

We own a patent family with method claims directed to our radioimmunoconjugates in combination with DNA damage repair inhibitors, with patent applications pending in the United States, and various foreign jurisdictions and regions including, but not limited to, Australia, Canada, China, Eurasia, Europe, Israel, Japan, Singapore and South Africa. The pending patent applications, if issued, are expected to expire in 2039, without taking potential patent terms extensions into account.

We own a patent family with method claims directed to administering an FGFR3 inhibitor in combination with a PD1 inhibitor with a pending U.S. patent application, four granted foreign patents in Australia, Japan, Mexico, and Singapore, and 12 pending foreign patent applications in various jurisdictions and regions including Australia, Canada, China, Europe, Israel, India, Japan and Korea. Patents and patent applications, if issued, are expected to expire in 2036, without taking potential patent terms extensions into account.

23


 

We own a patent family with method claims directed to administering an FGFR3 inhibitor in combination with a checkpoint inhibitor, which includes a pending U.S. patent application and six pending foreign patent applications in Australia, Canada, China, Europe, Hong Kong and Japan. The U.S. patent application or foreign applications, if issued, are expected to expire in 2040, without taking potential patent terms extensions into account.

We own a patent family with method claims directed to treating cancer cell proliferation with our radioimmunoconjugates, which includes patent applications pending in the United States, and various foreign jurisdictions and regions including, but not limited to, Australia, Canada, China, Eurasia, Europe, Israel, Japan, Singapore and South Africa. Patent applications, if issued, are expected to expire in 2041, without taking potential patent terms extensions into account.

We own four patent families with method claims directed to neurotensin receptor ligands in combination with chemotherapies, which include four pending international or PCT applications. Patent applications or patent applications claiming the benefit of the PCT application, if issued, are expected to expire in 2042, without taking potential patent terms extensions into account.

Fast-Clear Linker Technology

We in-licensed a patent family with composition of matter and method claims directed to radioimmunoconjugates comprising chelating moieties, linkers and targeting moieties, including antibodies. A U.S. patent was issued in this patent family, which is expected to expire in August 2037, without taking potential patent term extensions into account. Patent applications are also pending in the United States and various foreign jurisdictions and regions including, but not limited to, Australia, Canada, China, Eurasia, Europe, Israel, India, Japan, Singapore, and South Africa. Patent applications in this family in foreign jurisdictions and regions, if issued, are expected to expire in May 2038, without taking potential patent term extensions into account.

Novel Chelates

We own a patent family with composition of matter and method claims directed to our radioimmunoconjugates comprising hydroxypyridone, or HOPO, chelates, which includes a pending U.S. patent application, and patent applications pending in various foreign jurisdictions and regions including, but not limited to, Australia, Canada, China, Eurasia, Europe, Israel, Japan, Singapore and South Africa. Patent applications, if issued, are expected to expire in 2041, without taking potential patent terms extensions into account.

Collaboration and License Agreements

AstraZeneca Collaboration Agreement

In October 2020, we and AstraZeneca entered into a strategic collaboration agreement, or the AstraZeneca Agreement, pursuant to which we and AstraZeneca will jointly discover, develop and commercialize novel TATs and combination therapies for the treatment of cancer globally by leveraging our TAT platform and expertise in radiopharmaceuticals with AstraZeneca’s leading portfolio of antibodies and cancer therapeutics, including DDRis. Each party retains full ownership over its existing assets.

For the novel TATs, the parties will utilize our Fast-Clear linker technology to bind the alpha-emitting isotope 225Ac to certain antibodies in AstraZeneca’s oncology portfolio to develop up to three novel TATs. We will take the operational lead on preclinical development and clinical studies aimed at establishing safety for the novel TATs, referred to as the Stage 1 Development, while AstraZeneca will be responsible for subsequent clinical development, referred to as the Stage 2 Development. We and AstraZeneca will share development costs equally (with each party responsible for the cost of its own supply in connection with such development). Either party has the right to opt out of the co-development and co-commercialization arrangement at pre-determined timepoints and obtain exclusive rights to a novel TAT in exchange for milestone payments to the other party of up to $145.0 million per novel TAT and a low or high single-digit royalties on future sales (depending on the opt out time point). If neither party opts out, and unless otherwise agreed by the parties, AstraZeneca will lead worldwide commercialization activities for the novel TATs, subject to our option to co-promote the TATs in the U.S. All profits and losses resulting from such commercialization activities will be shared equally. In January 2022, we announced the nomination of the first TAT candidate under the AstraZeneca Agreement: a bispecific antibody owned by AstraZeneca radiolabeled with 225Ac utilizing our Fast-Clear linker technology, which we refer to as FPI-2068.

For the combination therapies, the parties will evaluate up to five potential combination strategies involving either FPI-1434 or FPI-1966 in combination with certain of AstraZeneca’s existing therapeutics for the treatment of various cancers.

24


 

AstraZeneca will fully fund all research and development activities for the combination strategies, until such point as we may opt-in to the clinical development activities. We have the right to opt-out of clinical development activities relating to these combination therapies. In such instance, we will be responsible for repaying our share of the development costs via a royalty on the additional combination sales only if our drug is approved on the basis of clinical development solely conducted by AstraZeneca, in which case the royalty payments shall also include a variable risk premium based on the number of our product candidates to have received regulatory approval at that time. Each party will have the sole right, on a country-by-country basis, to commercialize its respective contributed compound as a component of any combination therapy for which such party’s contributed compound may be commercialized under a separate marketing authorization from the other party’s contributed compound to such combination therapy. The parties will negotiate in good faith on a combination therapy-by-combination therapy basis the terms and conditions to co-commercialize any combination therapy that is to be commercialized under a single marketing authorization. During the period of time commencing with the inclusion of an available molecular target in the selection pool for development as a combination therapy and ending upon the end of the nomination period or earlier removal of such combination target from such pool, we will not undertake any preclinical or clinical studies combining our TAT Platform with any compound modulating the activity of such combination target. Following selection of a target under the AstraZeneca Agreement and payment of an exclusivity fee by AstraZeneca, and provided that AstraZeneca enrolls its first patient in a clinical trial as further defined in the AstraZeneca Agreement within a pre-defined period of time of such selection, we will not undertake any preclinical or clinical studies combining our TAT Platform with compounds modulating the same combination target for the duration of the evaluation period for such combination target, as further defined in the AstraZeneca Agreement. Within a certain time period following initiation of the evaluation period with respect to a combination target, AstraZeneca has the exclusive right to undertake, alone or in collaboration with us, all further clinical or preclinical combination studies with respect to a combination target by paying certain exclusivity fees.

We received an upfront payment of $5.0 million from AstraZeneca. In addition, we are eligible to receive future payments of up to $40.0 million, including clinical milestones. The AstraZeneca Agreement expires on a TAT-by-TAT and combination-by-combination basis upon the later of the expiration of development and exclusivity obligations relating to such TAT or combination or, if such TAT or combination is commercialized as a product under the AstraZeneca Agreement, the expiration of the commercial life of such product. We and AstraZeneca can each terminate the AstraZeneca Agreement for the other party’s uncured material breach following the applicable notice period. Each of us and AstraZeneca may also terminate the AstraZeneca Agreement with respect to any TAT or combination product if such party determines that the continued development of such TAT or combination product is not commercially viable, or for a material safety issue with respect to such TAT or combination product.

License Agreement with the Centre for Probe Development and Commercialization

In February 2017, we entered into a license agreement with the CPDC, or the CPDC License Agreement, pursuant to which we acquired a worldwide, exclusive license to (i) all of CPDC’s patents and patent applications throughout the world covering or relating to the technology owned or licensable by CPDC relating to its IGF-1R program and the associated novel linker technology, which we refer to as the CPDC Technology and (ii) all of CPDC’s technical information related to the CPDC Technology, including the right to sublicense any or all such rights to the CPDC Technology.

As consideration for the license, we paid CPDC a nominal fee. We are not required to pay CPDC any royalties or milestones for the use of the CPDC Technology.

The CPDC License Agreement will remain in effect until terminated. Either party may terminate the CPDC License Agreement in the event that the other party is in default of any of its obligation under the CPDC License Agreement and such default is not remedied within 60 days of receiving notice of such default.

License Agreement with ImmunoGen, Inc.

In December 2016, we entered into a license agreement with ImmunoGen, or the ImmunoGen License Agreement. Pursuant to the ImmunoGen License Agreement, we acquired a worldwide, exclusive, sublicensable royalty-bearing license to use, develop, manufacture, commercialize and otherwise exploit any radiopharmaceutical conjugate that includes or incorporates ImmunoGen’s monoclonal antibody that targets IGF-1R and the related amino acid sequence, and any antibody derived therefrom, including the naked antibody we utilize in FPI-1434, which we refer to as the ImmunoGen Product, for the treatment, prevention, diagnosis, control and maintenance of all diseases and disorders.

Pursuant to the ImmunoGen License Agreement, we will use commercially reasonable efforts to develop and seek regulatory approval for the ImmunoGen Product in the United States and in at least one of Canada, France, Germany, Italy,

25


 

Japan, Spain or the United Kingdom. If regulatory approval is obtained, we are required to use commercially reasonable efforts to commercialize the ImmunoGen Product in each country where the regulatory approval is obtained. We will be solely responsible for the costs associated with development, manufacturing, regulatory approval and commercialization of any products.

After completion of any Phase 2 clinical trial of any product covered by the ImmunoGen License Agreement and upon the first to occur of (i) our undertaking of good faith efforts to identify potential licensees or collaborators to develop and commercialize any product covered by the ImmunoGen License Agreement or (ii) the delivery of data with respect to such Phase 2 clinical trial, ImmunoGen will have an exclusive right of first negotiation to obtain rights to develop or commercialize the product in North America, provided that neither party shall have the obligation to enter into such a license. If ImmunoGen does not exercise its option during the specified period, then we have the right to license the product for development or commercialization in North America to a third party. If ImmunoGen exercises its option, but we do not enter into any such license agreement, ImmunoGen’s right of first negotiation expires.

As initial consideration for the license, we paid ImmunoGen an upfront fee of $0.2 million. In addition, we will be required to pay ImmunoGen up to an aggregate of $15.0 million in specified development and regulatory milestones and up to $35.0 million in specified sales milestones. We are also obligated to pay ImmunoGen tiered, low to mid-single-digit royalties of total worldwide sales of the ImmunoGen Product on a country-by-country basis. For product sales in the U.S., the royalty term will run for 10 years following the first commercial sale and, for product sales outside the U.S., the royalty term will run for five years following the first sale.

Unless earlier terminated, the ImmunoGen License Agreement will expire at the end of the last royalty period described above. Either party may terminate for the uncured breach by the other party and upon the other party filing for bankruptcy, reorganization, liquidation or receivership proceedings. In addition, until we receive regulatory approval of any product utilizing the ImmunoGen Product, we may terminate the agreement at any time upon 90 days’ prior written notice. Following receipt of regulatory approval, we may terminate the agreement at any time upon 180 days’ prior written notice to ImmunoGen.

Rainier Asset Purchase Agreement and Genentech License Agreement

In March 2020, we entered into an asset purchase agreement with Rainier, or the Rainier Asset Purchase Agreement. Pursuant to the Rainier Asset Purchase Agreement, we acquired substantially all the assets of Rainier in consideration for an upfront cash payment of $1.0 million, which was paid at the closing, or the Closing. Unless the Rainier Asset Purchase Agreement was terminated pursuant its terms, which termination initially could not have occurred later than eight months following the Closing, or the Outside Date, we were obligated to pay Rainier an additional amount of $3.5 million and to issue 313,359 of our common shares on the Outside Date. If the Rainier Asset Purchase Agreement was not terminated by the Outside Date, we were also obligated to make aggregate milestone payments to Rainier of up to $22.5 million and issue up to 156,679 of our common shares upon the achievement of specified development and regulatory milestones, of which a $2.0 million milestone payment and the issuance of 156,679 common shares are due upon the first patient dosed in a Phase 1 clinical trial of FPI-1966, and of up to $42.0 million upon the achievement of specified sales milestones.

In the event we enter into a transaction with a non-affiliated party relating to the license or sale of substantially all our rights to develop the specified compound of antibody molecules, we will be required to pay Rainier a specified percentage of the revenue from such transaction, in an amount ranging from 10% to 30%, based on how long after the Closing the transaction takes place.

The Rainier Asset Purchase Agreement could have been terminated at any time prior to the Outside Date upon 30 days’ notice by us to Rainier or upon the mutual written consent of both parties. On October 8, 2020, we entered into a first amendment to the Rainier Agreement, or the First Amended Rainier Agreement, to extend certain terms of the Rainier Asset Purchase Agreement. Specifically, the Outside Date, was amended such that termination may not occur later than eleven months following the Closing, or February 10, 2021, or the Revised Outside Date. On February 8, 2021, we entered into a second amendment to the First Amended Rainier Agreement, as amended, or the Second Amended Rainier Agreement. Pursuant to the Second Amended Rainier Agreement, the Outside Date was further amended such that termination may not occur later than July 1, 2021, and such amendment was made in consideration for early payment of the additional $3.5 million owed to Rainier. On May 26, 2021, we notified Rainier of our intent to continue development of the asset and issued 313,359 of our common shares to Rainier on July 1, 2021. In August 2022, we announced the dosing of the first patient in a Phase 1 study of FPI-1966 and paid a $2.0 million milestone payment and issued 156,679 common shares to Rainier.

26


 

In connection with the Rainier Asset Purchase Agreement, in March 2020, we were assigned all of Rainier’s rights and obligations under an exclusive license agreement, dated December 26, 2012, between BioClin Therapeutics, Inc. and Genentech, Inc., or the Genentech License Agreement. Pursuant to the Genentech License Agreement, we have an exclusive, worldwide, sublicensable license to make, use, research, develop, sell and import certain intellectual property and technology of Genentech relating to vofatamab, an antibody targeted to FGFR3, and a mutant antibody thereof, or the Licensed Antibodies, including any products that contain a Licensed Antibody as an active ingredient, or Products, for all human uses.

Pursuant to the Genentech License Agreement, we are obligated to use commercially reasonable efforts to develop and commercialize at least one Product and we are solely responsible for the costs associated with the development, manufacturing, regulatory approval and commercialization of any Products. The manufacture of the antibody by any third-party CDMO must be approved in advance by Genentech. Additionally, Genentech retains the right to use the Licensed Antibodies solely to research and develop molecules other than the Licensed Antibodies.

We are required to pay Genentech milestone payments of up to $44.0 million upon the achievement of specified sales milestones.

We are obligated to pay Genentech tiered royalties ranging from a mid single-digit percentage to a high single-digit percentage on worldwide net sales of Products containing the antibody (rather than the mutant antibody), and tiered royalties of a different mid to high single-digit range on worldwide net sales of Products containing the mutant antibody. For Products that are not covered by an enforceable patent in the country in which they are sold, we are obligated to pay a low single-digit royalty on sales in such country until the end of the royalty term. The royalty payments may be subject to deductions in the event we obtain a license under a third-party patent that covers the Licensed Antibody contained in the Product.

Our obligation to pay royalties begins on the date of first commercial sale of a Product and expires upon the later of 10 years or the date the Product is no longer covered by an enforceable patent.

Unless earlier terminated, the Genentech License Agreement will expire upon the expiration of all royalty and milestone payment obligations. Either party may terminate the Genentech License Agreement as follows: (i) if the other party is in material breach and such breach is not cured within 90 days of receiving notice thereof or (ii) in the event of specified insolvency events involving the other party. In addition, we may terminate the Genentech License Agreement for convenience upon 60 days’ prior written notice if we determine in our sole discretion that development or commercialization of Products is not economically or scientifically feasible or appropriate.

Ipsen Asset Purchase Agreement

On March 1, 2021, we announced that we entered into an asset purchase agreement with Ipsen, or the Ipsen Asset Purchase Agreement. Pursuant to the Ipsen Asset Purchase Agreement, we acquired Ipsen’s intellectual property and assets related to IPN-1087, a small molecule targeting NTSR1, a protein expressed on multiple solid tumor types. We intend to combine our expertise and proprietary TAT platform with IPN-1087 to create an alpha-emitting radiopharmaceutical targeting solid tumors expressing NTSR1. The acquisition closed on April 1, 2021.

Upon closing of the asset acquisition, we paid €0.6 million ($0.8 million at the date of payment) and issued an aggregate of 600,000 common shares to Ipsen under a share purchase agreement which was entered into concurrently with the Ipsen Asset Purchase Agreement. We are also obligated to pay Ipsen up to an additional €67.5 million upon the achievement of certain development and regulatory milestones; low single digit royalties on potential future net sales; and up to €350.0 million in net sales milestones, in each case, relating to products covered by the Ipsen Asset Purchase Agreement. We are responsible for paying to a third-party licensor up to a total of €70.0 million in development milestones for up to three indications and mid to low double-digit royalties on potential future net sales of products covered by the license agreement.

The Ipsen Asset Purchase Agreement includes a royalty step down whereby royalties owed to Ipsen will be reduced by certain percentages not to exceed 50%, in the aggregate, of the royalty owed under certain circumstances relating to loss of patent exclusivity, loss of regulatory exclusivity or generics entering a market. Under the asset purchase agreement Ipsen has agreed not to develop a molecule that targets NTSR1 and combines at least one NTSR1 binding moiety and a radionuclide or cytotoxic agent until the earlier of (i) the seventh anniversary of the closing date or (ii) the date of data base lock after completion of the first Phase 3 clinical trial for IPN-1087.

27


 

RadioMedix Option and Asset Purchase Agreement

On November 14, 2022, we and RadioMedix entered into an option and asset purchase agreement, or the RadioMedix Agreement, pursuant to which RadioMedix granted to us the exclusive right, but not the obligation, or the RadioMedix Option, to acquire certain of RadioMedix’s assets related to its on-going Phase 2 clinical trial evaluating 225Ac-PSMA-I&T, or the TATCIST Study, a small molecule targeting prostate specific membrane antigens, expressed on prostate tumors. Such assets include, among other things, the investigational new drug application for the TATCIST Study, and all governmental authorizations and materials related thereto, all know-how, intellectual property and information of RadioMedix related to 225Ac PSMA, any third-party license held, or later acquired, by RadioMedix relating to 225Ac PSMA, and clinical and other data for the TATCIST Study, or collectively, the RadioMedix Assets. In exchange for the RadioMedix Option, we paid RadioMedix an option fee of $0.8 million upon the execution of the RadioMedix Agreement. The RadioMedix Option has an exercise fee of $1.5 million payable to RadioMedix, or the RadioMedix Exercise Fee. Pursuant to the terms of the RadioMedix Agreement, we needed to exercise the RadioMedix Option within a specified time period following the delivery by RadioMedix of specified data related to the TATCIST Study, or the RadioMedix Option Trigger, though we had the right to exercise the RadioMedix Option prior to achievement of the RadioMedix Option Trigger.

On February 10, 2023, we notified RadioMedix of our decision to exercise the RadioMedix Option and paid the RadioMedix Exercise Fee. The acquisition closed on the same day, February 10, 2023, or the RadioMedix Closing. We now refer to the alpha-emitting radiopharmaceutical being evaluated in the TATCIST Study as FPI-2265.

Pursuant to the terms of the RadioMedix Agreement, we will be obligated to pay RadioMedix (i) up to an additional $10.5 million upon the achievement of certain clinical and regulatory milestones, (ii) low single-digit royalties on potential future net sales, subject to specified reductions, and (iii) up to an additional $50.0 million in net sales milestones; in each case, relating to products covered by the RadioMedix Agreement. In addition, in the event RadioMedix or we are successful in obtaining certain intellectual property rights from a third party relating to 225Ac-PSMA-I&T, the amount of the clinical and regulatory milestone payments will be increased by up to an aggregate of $4.0 million and the royalty rates will increase but remain in the low- to mid-single digits.

Pursuant to the RadioMedix Agreement, we are prohibited from terminating or deprioritizing the development of 225Ac-PSMA-I&T, subject to specified exceptions, including, but not limited to regulatory, safety, efficacy, market exclusivity and competition and patentability developments. If we terminate or deprioritize the development of 225Ac-PSMA-I&T, and do not sell, license or otherwise transfer our rights to a third-party within 12 months of such termination, we and RadioMedix are required to negotiate the return of 225Ac PSMA I&T and related assets to RadioMedix in return for specified reimbursement costs to us.

The RadioMedix Agreement includes representations, warranties and covenants of the parties customary for a transaction of this nature. Among other things, RadioMedix has agreed, subject to certain exceptions, not to develop or research a molecule that targets PSMA for a certain period of time following the RadioMedix Closing.

The RadioMedix Agreement also contains customary termination provisions, including termination (i) by mutual written agreement of the parties, (ii) by either party in the event that the applicable conditions for termination of the TATCIST Study set forth in the TATCIST Study protocol are met, and (iii) by either party upon a material breach of the RadioMedix Agreement by the other party.

To date, Excel Diagnostics and Nuclear Oncology Center, or Excel, an affiliate of RadioMedix, has been the only clinical trial site dosing patients in the TATCIST Study. At the RadioMedix Closing, we and Excel entered into a clinical trial agreement, pursuant to which Excel shall remain a clinical trial site following the RadioMedix Closing. Additionally, at the RadioMedix Closing, we and RadioMedix entered into manufacturing agreements under which RadioMedix will supply FPI-2265 to us for use in clinical trials. RadioMedix will not be the sole manufacturer to supply FPI-2265 for use in clinical trials.

Government Regulation

Government authorities in the United States at the federal, state and local level and in other countries regulate, among other things, the research, development, testing, manufacture, quality control, approval, labeling, packaging, storage, record-keeping, promotion, advertising, distribution, post-approval monitoring and reporting, marketing and export and import of drug and biological products, such as those developed from our Fast-Clear linker technology and any other product candidates we develop. Generally, before a new drug or biologic can be marketed, considerable data demonstrating its quality, safety and efficacy must be obtained, organized into a format specific for each regulatory authority, submitted for review and approved by the regulatory authority.

28


 

U.S. Drug and Biological Product Development

In the United States, the FDA regulates drugs under the Federal Food, Drug, and Cosmetic Act, or FDCA, and its implementing regulations and biologics under the FDCA, the Public Health Service Act, or the PHSA, and their implementing regulations. Both drugs and biologics also are subject to other federal, state and local statutes and regulations. The process of obtaining regulatory approvals and the subsequent compliance with appropriate federal, state and local statutes and regulations requires the expenditure of substantial time and financial resources. Failure to comply with the applicable U.S. requirements at any time during the product development process, approval process or post-market may subject an applicant to administrative or judicial sanctions. These sanctions could include, among other actions, the FDA’s refusal to approve pending applications, withdrawal of an approval, license revocation, a clinical hold, untitled or warning letters, product recalls or market withdrawals, product seizures, total or partial suspension of production or distribution, injunctions, fines, refusals of government contracts, restitution, disgorgement and civil or criminal penalties. Any agency or judicial enforcement action could have a material adverse effect on us.

Our product candidates and any future product candidates we develop must be approved by the FDA through either a new drug application, or NDA, or a biologics license application, or BLA, process before they may be legally marketed in the United States. An NDA or BLA is a request for approval to market a drug or biologic, respectively, for one or more specified indications. NDAs must contain data sufficient for the agency to determine the drug is safe and effective, and BLAs must contain data sufficient to demonstrate the safety, purity, and potency of the biologic. The FDA review and approval process generally involves the following:

completion of extensive preclinical studies in accordance with applicable regulations, including studies conducted in accordance with GLP requirements;
submission to the FDA of an IND, which must become effective before human clinical trials may begin;
approval by an Institutional Review Board, or IRB, or independent ethics committee at each clinical trial site before each trial may be initiated;
performance of adequate and well-controlled human clinical trials in accordance with applicable IND regulations, good clinical practice, or GCP, requirements and other clinical trial-related regulations to establish the safety and efficacy of the investigational product for each proposed indication;
submission to the FDA of an NDA or BLA;
a determination by the FDA within 60 days of its receipt of an NDA or BLA to accept the filing for review;
satisfactory completion of an FDA pre-approval inspection of the manufacturing facility or facilities where the drug or biologic will be produced to assess compliance with cGMP requirements to assure that the facilities, methods and controls are adequate to preserve the drug or biologic’s identity, strength, quality and purity;
potential FDA audit of the clinical trial sites that generated the data in support of the NDA or BLA; and
FDA review and approval of the NDA or BLA, including consideration of the views of any FDA advisory committee, prior to any commercial marketing or sale of the drug or biologic in the United States.

The preclinical and clinical testing and approval process requires substantial time, effort and financial resources, and we cannot be certain that any approvals for our product candidates will be granted on a timely basis, or at all.

Preclinical Studies and IND

Preclinical studies include laboratory evaluation of product chemistry and formulation, as well as in vitro and animal studies to assess the potential for adverse events and in some cases to establish a rationale for therapeutic use. The conduct of preclinical studies is subject to federal regulations and requirements, including GLP regulations for safety/toxicology studies.

An IND sponsor must submit the results of the preclinical studies, together with manufacturing information, analytical data, any available clinical data or literature and plans for clinical trials, among other things, to the FDA as part of an IND. An IND is a request for authorization from the FDA to administer an investigational product to humans, and must become effective before human clinical trials may begin. Some long-term preclinical testing may continue after the IND is submitted. An IND automatically becomes effective 30 days after receipt by the FDA, unless before that time, the FDA raises concerns or questions related to one or more proposed clinical trials and places the trial on clinical hold. In such a case, the IND sponsor and the FDA must resolve any outstanding concerns before the clinical trial can begin. As a result, submission of an IND may not result in the FDA allowing clinical trials to commence.

29


 

Clinical Trials

The clinical stage of development involves the administration of the investigational product to healthy volunteers or patients under the supervision of qualified investigators, generally physicians not employed by or under the trial sponsor’s control, in accordance with GCP requirements, which include the requirement that all research subjects provide their informed consent for their participation in any clinical trial. Clinical trials are conducted under protocols detailing, among other things, the objectives of the clinical trial, dosing procedures, subject selection and exclusion criteria and the parameters to be used to monitor subject safety and assess efficacy. Each protocol, and any subsequent amendments to the protocol, must be submitted to the FDA as part of the IND. Further, each clinical trial must be reviewed and approved by an IRB for each institution at which the clinical trial will be conducted to ensure that the risks to individuals participating in the clinical trials are minimized and are reasonable in relation to anticipated benefits. The IRB also approves the informed consent form that must be provided to each clinical trial subject or his or her legal representative, and must monitor the clinical trial until completed. There also are requirements governing the reporting of ongoing clinical trials and completed clinical trial results to public registries.

A sponsor who wishes to conduct a clinical trial outside of the United States may, but need not, obtain FDA authorization to conduct the clinical trial under an IND. If a foreign clinical trial is not conducted under an IND, the sponsor may submit data from the clinical trial to the FDA in support of an NDA or BLA. The FDA will accept a well-designed and well-conducted foreign clinical trial not conducted under an IND if the study was conducted in accordance with GCP requirements, and the FDA is able to validate the data through an onsite inspection if deemed necessary.

Clinical trials generally are conducted in three sequential phases, known as Phase 1, Phase 2 and Phase 3, and may overlap or be combined.

Phase 1 clinical trials generally involve a small number of healthy volunteers or disease-affected patients who are initially exposed to a single dose and then multiple doses of the product candidate. The primary purpose of these clinical trials is to assess the metabolism, pharmacologic action, side effect tolerability and safety of the product candidate.
Phase 2 clinical trials involve studies in disease-affected patients to determine the dose required to produce the desired benefits. At the same time, safety and further pharmacokinetic and pharmacodynamic information is collected, possible adverse effects and safety risks are identified and a preliminary evaluation of efficacy is conducted.
Phase 3 clinical trials generally involve a large number of patients at multiple sites and are designed to provide the data necessary to demonstrate the effectiveness of the product for its intended use, its safety in use and to establish the overall benefit/risk relationship of the product and provide an adequate basis for product labeling.

Post-approval trials, sometimes referred to as Phase 4 clinical trials, may be conducted after initial marketing approval. These trials are used to gain additional experience from the treatment of patients in the intended therapeutic indication. In certain instances, the FDA may mandate the performance of Phase 4 clinical trials as a condition of approval of an NDA or BLA.

Progress reports detailing the results of the clinical trials, among other information, must be submitted at least annually to the FDA and written IND safety reports must be submitted to the FDA and the investigators 15 days after the trial sponsor determines the information qualifies for reporting for serious and unexpected suspected adverse events, findings from other studies or animal or in vitro testing that suggest a significant risk for human subjects and any clinically important increase in the rate of a serious suspected adverse reaction over that listed in the protocol or investigator brochure. The sponsor must also notify the FDA of any unexpected fatal or life-threatening suspected adverse reaction as soon as possible but in no case later than seven calendar days after the sponsor’s initial receipt of the information.

Phase 1, Phase 2 and Phase 3 clinical trials may not be completed successfully within any specified period, if at all. The FDA or the sponsor may suspend or terminate a clinical trial at any time on various grounds, including a finding that the research subjects or patients are being exposed to an unacceptable health risk. Similarly, an IRB can suspend or terminate approval of a clinical trial at its institution if the clinical trial is not being conducted in accordance with the IRB’s requirements or if the drug or biologic has been associated with unexpected serious harm to patients. Additionally, some clinical trials are overseen by an independent group of qualified experts organized by the clinical trial sponsor, known as a data safety monitoring board or committee. This group provides authorization for whether a trial may move forward at designated check points based on access to certain data from the trial. Concurrent with clinical trials, companies usually complete additional animal studies and also must develop additional information about the chemistry and physical characteristics of the drug or biologic as well as finalize a process for manufacturing the product in commercial quantities in accordance with cGMP requirements. The

30


 

manufacturing process must be capable of consistently producing quality batches of the product and, among other things, companies must develop methods for testing the identity, strength, quality and purity of the final product. Additionally, appropriate packaging must be selected and tested and stability studies must be conducted to demonstrate that the product candidates do not undergo unacceptable deterioration over their shelf life.

FDA Review Process

Following completion of the clinical trials, data are analyzed to assess whether the investigational product is, among other things, safe and effective for its intended use. The results of preclinical studies and clinical trials are then submitted to the FDA as part of an NDA or BLA, along with proposed labeling, chemistry and manufacturing information to ensure product quality and other relevant data. The NDA or BLA may include both negative and ambiguous results of preclinical studies and clinical trials, as well as positive findings. Data may come from company-sponsored clinical trials intended to test the safety and efficacy of a product’s use or from a number of alternative sources, including studies initiated by investigators. To support marketing approval, the data submitted must be sufficient in quality and quantity to establish the safety and efficacy of the investigational product to the satisfaction of FDA. FDA approval of an NDA or BLA must be obtained before a drug or biologic may be marketed in the United States.

Under the Prescription Drug User Fee Act, or PDUFA, as amended, each NDA or BLA must be accompanied by a user fee. The FDA adjusts the PDUFA user fees on an annual basis. Fee waivers or reductions are available in certain circumstances, including a waiver of the application fee for the first application filed by a small business. Additionally, no user fees are assessed on NDAs or BLAs for products designated as orphan drugs, unless the product also includes a non-orphan indication.

The FDA reviews all submitted NDAs and BLAs before it accepts them for filing, and may request additional information rather than accepting the NDA or BLA for filing. The FDA decides whether to accept an NDA or BLA for filing within 60 days of receipt, and such decision could include a refusal to file by the FDA. Once the submission is accepted for filing, the FDA begins an in-depth review of the NDA or BLA. Under the goals and policies agreed to by the FDA under PDUFA, the FDA has 10 months, from the filing date, in which to complete its initial review of a new molecular entity NDA or original BLA and respond to the applicant, and six months from the filing date of a new molecular entity NDA or original BLA designated for priority review. The FDA does not always meet its PDUFA goal dates for standard and priority NDAs or BLAs, and the review process is often extended by FDA requests for additional information or clarification.

Before approving an NDA or BLA, the FDA will conduct a pre-approval inspection of the manufacturing facilities for the new product to determine whether they comply with cGMP requirements. The FDA will not approve the product unless it determines that the manufacturing processes and facilities are in compliance with cGMP requirements and adequate to assure consistent production of the product within required specifications. The FDA also may audit data from clinical trials to ensure compliance with GCP requirements. Additionally, the FDA may refer applications for novel products or products which present difficult questions of safety or efficacy to an advisory committee, typically a panel that includes clinicians and other experts, for review, evaluation and a recommendation as to whether the application should be approved and under what conditions, if any. The FDA is not bound by recommendations of an advisory committee, but it considers such recommendations when making decisions on approval. The FDA likely will reanalyze the clinical trial data, which could result in extensive discussions between the FDA and the applicant during the review process. After the FDA evaluates an NDA or BLA, it will issue an approval letter or a Complete Response Letter. An approval letter authorizes commercial marketing of the drug or biologic with specific prescribing information for specific indications. A Complete Response Letter indicates that the review cycle of the application is complete and the application will not be approved in its present form. A Complete Response Letter usually describes all of the specific deficiencies in the NDA or BLA identified by the FDA. The Complete Response Letter may require additional clinical data, pivotal Phase 3 clinical trial(s) as well as other significant and time-consuming requirements related to clinical trials, preclinical studies or manufacturing. If a Complete Response Letter is issued, the applicant may either resubmit the NDA or BLA, addressing all of the deficiencies identified in the letter, or withdraw the application. The FDA may delay or refuse approval of an NDA or BLA if applicable regulatory criteria are not satisfied, require additional testing or information and/or require post-marketing testing and surveillance to monitor safety or efficacy of a product.

Orphan Drug Designation

Under the Orphan Drug Act, the FDA may grant orphan designation to a drug or biological product intended to treat a rare disease or condition, which is generally a disease or condition that affects fewer than 200,000 individuals in the United States, or more than 200,000 individuals in the United States and for which there is no reasonable expectation that the cost of developing and making the product available in the United States for this type of disease or condition will be recovered from sales of the product.

31


 

Orphan drug designation must be requested before submitting an NDA or BLA. After the FDA grants orphan drug designation, the identity of the therapeutic agent and its potential orphan use are disclosed publicly by the FDA. Orphan drug designation does not convey any advantage in or shorten the duration of the regulatory review and approval process.

If a product that has orphan drug designation subsequently receives the first FDA approval for the disease or condition for which it has such designation, the product is entitled to orphan drug exclusivity, which means that the FDA may not approve any other applications to market the same drug for the same indication for seven years from the date of such approval, except in limited circumstances, such as a showing of clinical superiority to the product with orphan exclusivity by means of greater effectiveness, greater safety or providing a major contribution to patient care or in instances of drug supply issues. Competitors, however, may receive approval of either a different product for the same indication or the same product for a different indication but that could be used off-label in the orphan indication. Orphan drug exclusivity also could block the approval of one of our products for seven years if a competitor obtains approval before we do for the same product, as defined by the FDA, for the same indication we are seeking approval, or if our product is determined to be contained within the scope of the competitor’s product for the same indication or disease. If one of our products designated as an orphan drug receives marketing approval for an indication broader than that which is designated, it may not be entitled to orphan drug exclusivity. Orphan drug status in the European Union has similar, but not identical, requirements and benefits.

Expedited Development and Review Programs

The FDA offers a number of expedited development and review programs for qualifying product candidates. The fast track program that is intended to expedite or facilitate the process for reviewing new drugs and biologics that meet certain criteria. Specifically, new drugs and biologics are eligible for fast track designation if they are intended to treat a serious or life-threatening disease or condition and preclinical or clinical data demonstrate the potential to address unmet medical needs for the condition. Fast track designation applies to both the product and the specific indication for which it is being studied. The sponsor of a drug or biologic can request the FDA to designate the product for fast track status any time before receiving NDA or BLA approval, but ideally no later than the pre-NDA or pre-BLA meeting.

Any product submitted to the FDA for marketing, including under a fast track program, may be eligible for other types of FDA programs intended to expedite development and review, such as priority review and accelerated approval. Any product is eligible for priority review if it has the potential to provide a significant improvement in the treatment, diagnosis, or prevention of a serious or life-threating disease or condition compared to available therapies. For original NDAs and BLAs, priority review designation means the FDA’s goal is to take action on the marketing application within six months of the 60-day filing date.

A product candidate may also be eligible for accelerated approval, if it treats a serious or life-threatening disease or condition and generally provides a meaningful advantage over available therapies. In addition, it must demonstrate an effect on a surrogate endpoint that is reasonably likely to predict clinical benefit or on a clinical endpoint that can be measured earlier than irreversible morbidity or mortality, or IMM, that is reasonably likely to predict an effect on IMM or other clinical benefit. As a condition of approval, the FDA generally requires that a sponsor of a drug or biologic receiving accelerated approval perform adequate and well-controlled post-marketing clinical trials to verify and describe the anticipated effect on irreversible morbidity or mortality or other clinical benefit. Under the Food and Drug Omnibus Reform Act of 2022, or FDORA, the FDA is now permitted to require, as appropriate, that such trials be underway prior to approval or within a specific time period after the date of approval for a product granted accelerated approval. Under FDORA, the FDA has increased authority for expedited procedures to withdraw approval of a drug or indication approved under accelerated approval if, for example, the confirmatory trial fails to verify the predicted clinical benefit of the product. In addition, for products being considered for accelerated approval, the FDA generally requires, unless otherwise informed by the agency, pre-approval of promotional materials, which could adversely impact the timing of the commercial launch of the product.

Additionally, a drug or biologic may be eligible for designation as a breakthrough therapy if the product is intended, alone or in combination with one or more other drugs or biologics, to treat a serious or life-threatening condition and preliminary clinical evidence indicates that the product may demonstrate substantial improvement over currently approved therapies on one or more clinically significant endpoints. The benefits of breakthrough therapy designation include the same benefits as fast track designation, as well as more intensive FDA interaction and guidance beginning as early as Phase 1 and an organizational commitment to expedite the development and review of the product, including involvement of senior managers.

Under FDORA, a platform technology incorporated within or utilized by a drug or biological product is eligible for designation as a designated platform technology if (1) the platform technology is incorporated in, or utilized by, a drug approved under an NDA or BLA; (2) preliminary evidence submitted by the sponsor of the approved or licensed drug, or a sponsor that

32


 

has been granted a right of reference to data submitted in the application for such drug, demonstrates that the platform technology has the potential to be incorporated in, or utilized by, more than one drug without an adverse effect on quality, manufacturing, or safety; and (3) data or information submitted by the applicable person indicates that incorporation or utilization of the platform technology has a reasonable likelihood to bring significant efficiencies to the drug development or manufacturing process and to the review process. A sponsor may request the FDA to designate a platform technology as a designated platform technology concurrently with, or at any time after, submission of an IND for a drug that incorporates or utilizes the platform technology that is the subject of the request. If so designated, the FDA may expedite the development and review of any subsequent original NDA or BLA for a drug that uses or incorporates the platform technology. Designated platform technology status does not ensure that a drug will be developed more quickly or receive FDA approval. In addition, the FDA may revoke a designation if the FDA determines that a designated platform technology no longer meets the criteria for such designation.

Fast track designation, priority review, breakthrough therapy and platform technology designation do not change the standards for approval but may expedite the development or approval process. Even if a product qualifies for one or more of these programs, the FDA may later decide that the product no longer meets the conditions for qualification or decide that the time period for FDA review or approval will not be shortened.

Pediatric Information

Under the Pediatric Research Equity Act, or PREA, certain NDAs and BLAs and certain supplements to an NDA or BLA must contain data to assess the safety and efficacy of the drug or biologic for the claimed indications in all relevant pediatric subpopulations and to support dosing and administration for each pediatric subpopulation for which the product is safe and effective. The FDA may grant deferrals for submission of pediatric data or full or partial waivers. The Food and Drug Administration Safety and Innovation Act, or FDASIA, amended the FDCA to require that a sponsor who is planning to submit a marketing application for a drug that includes a new active ingredient, new indication, new dosage form, new dosing regimen or new route of administration submit an initial Pediatric Study Plan, or PSP, within 60 days of an end-of-Phase 2 meeting or, if there is no such meeting, as early as practicable before the initiation of the Phase 3 or Phase 2/3 study. The initial PSP must include an outline of the pediatric study or studies that the sponsor plans to conduct, including study objectives and design, age groups, relevant endpoints and statistical approach, or a justification for not including such detailed information, and any request for a deferral of pediatric assessments or a full or partial waiver of the requirement to provide data from pediatric studies along with supporting information. The FDA and the sponsor must reach an agreement on the PSP. A sponsor can submit amendments to an agreed-upon initial PSP at any time if changes to the pediatric plan need to be considered based on data collected from preclinical studies, early phase clinical trials as well as other clinical development programs.

Post-Marketing Requirements

Following approval of a new product, the manufacturer and the approved product are subject to continuing regulation by the FDA, including, among other things, monitoring and record-keeping activities, reporting of adverse experiences, product sampling and distribution, complying with promotion and advertising requirements, which include restrictions on promoting products for unapproved uses or patient populations (known as “off-label use”) and limitations on industry-sponsored scientific and educational activities. Although physicians may prescribe legally available products for off-label uses, manufacturers may not market or promote such uses. Prescription drug and biologic promotional materials must be submitted to the FDA in conjunction with their first use. Further, if there are any modifications to the drug or biologic, including changes in indications, labeling or manufacturing processes or facilities, the applicant may be required to submit and obtain FDA approval of a new NDA/BLA or NDA/BLA supplement, which may require the development of additional data or preclinical studies and clinical trials.

The FDA may also place other conditions on approvals including the requirement for a Risk Evaluation and Mitigation Strategy, or REMS, to assure the safe use of the product. If the FDA concludes a REMS is needed, the sponsor of the NDA or BLA must submit a proposed REMS. The FDA will not approve the NDA or BLA without an approved REMS, if required. A REMS could include medication guides, physician communication plans or elements to assure safe use, such as restricted distribution methods, patient registries and other risk minimization tools. Any of these limitations on approval or marketing could restrict the commercial promotion, distribution, prescription or dispensing of products. Product approvals may be withdrawn for non-compliance with regulatory standards or if problems occur following initial marketing.

FDA regulations require that products be manufactured in specific facilities and in accordance with cGMP regulations. We rely, and expect to continue to rely, on third parties for the production of clinical and commercial quantities of our products in accordance with cGMP regulations. These manufacturers must comply with cGMP regulations that require, among other

33


 

things, quality control and quality assurance, the maintenance of records and documentation and the obligation to investigate and correct any deviations from cGMP. Manufacturers and other entities involved in the manufacture and distribution of approved drugs or biologics, and those supplying products, ingredients, and components of them, are required to register their establishments with the FDA and certain state agencies, and are subject to periodic unannounced inspections by the FDA and certain state agencies for compliance with cGMP requirements and other laws. Additionally, manufacturers and other parties involved in the drug supply chain for prescription drug products must also comply with product tracking and tracing requirements and for notifying the FDA of counterfeit, diverted, stolen and intentionally adulterated products or products that are otherwise unfit for distribution in the United States. Accordingly, manufacturers must continue to expend time, money and effort in the area of production and quality control to maintain cGMP compliance. The discovery of violations, including failure to conform to cGMP regulations, could result in enforcement actions, and the discovery of post-approval problems with a product may result in restrictions on a product, manufacturer or holder of an approved NDA or BLA, including recall.

The FDA may withdraw approval if compliance with regulatory requirements and standards is not maintained or if problems occur after the product reaches the market. Later discovery of previously unknown problems with a product, including adverse events of unanticipated severity or frequency, or with manufacturing processes, or failure to comply with regulatory requirements, may result in revisions to the approved labeling to add new safety information; imposition of post-market studies or clinical studies to assess new safety risks; or imposition of distribution restrictions or other restrictions under a REMS program. Other potential consequences include, among other things:

restrictions on the marketing or manufacturing of a product, complete withdrawal of the product from the market or product recalls;
fines, warning or untitled letters or holds on post-approval clinical studies;
refusal of the FDA to approve pending applications or supplements to approved applications, or suspension or revocation of existing product approvals;
product seizure or detention, or refusal of the FDA to permit the import or export of products;
consent decrees, corporate integrity agreements, debarment or exclusion from federal healthcare programs;
mandated modification of promotional materials and labeling and the issuance of corrective information;
the issuance of safety alerts, Dear Healthcare Provider letters, press releases and other communications containing warnings or other safety information about the product; or
injunctions or the imposition of civil or criminal penalties.

Biosimilars and Exclusivity

An abbreviated approval pathway for biological products that are biosimilar to or interchangeable with an FDA-licensed reference biological product was created by the Biologics Price Competition and Innovation Act of 2009, or BPCIA, as part of the Patient Protection and Affordable Care Act, as amended by the Health Care and Education Reconciliation Act, or the Affordable Care Act. This amendment to the PHSA, in part, attempts to minimize duplicative testing.

Biosimilarity, which requires that the biological product be highly similar to the reference product notwithstanding minor differences in clinically inactive components and that there be no clinically meaningful differences between the product and the reference product in terms of safety, purity and potency, can be shown through analytical studies, animal studies and a clinical trial or trials. Interchangeability requires that a biological product be biosimilar to the reference product and that the product can be expected to produce the same clinical results as the reference product in any given patient and, for products administered multiple times to an individual, that the product and the reference product may be alternated or switched after one has been previously administered without increasing safety risks or risks of diminished efficacy relative to exclusive use of the reference biological product without such alternation or switch. Complexities associated with the larger, and often more complex, structure of biological products as compared to small molecule drugs, as well as the processes by which such products are manufactured, pose significant hurdles to implementation that are still being worked out by the FDA.

A reference biological product is granted 12 years of data exclusivity from the time of first licensure of the product, and the FDA will not accept an application for a biosimilar or interchangeable product based on the reference biological product until four years after the date of first licensure of the reference product. “First licensure” typically means the initial date the particular product at issue was licensed in the United States. Date of first licensure does not include the date of licensure of (and a new period of exclusivity is not available for) a supplement for the reference product for a subsequent application filed by the same sponsor or manufacturer of the reference product (or licensor, predecessor in interest or other related entity) for a

34


 

change (not including a modification to the structure of the biological product) that results in a new indication, route of administration, dosing schedule, dosage form, delivery system, delivery device or strength or for a modification to the structure of the biological product that does not result in a change in safety, purity or potency. Therefore, one must determine whether a new product includes a modification to the structure of a previously licensed product that results in a change in safety, purity or potency to assess whether the licensure of the new product is a first licensure that triggers its own period of exclusivity. Whether a subsequent application, if approved, warrants exclusivity as the “first licensure” of a biological product is determined on a case-by-case basis with data submitted by the sponsor.

The BPCIA is complex and continues to be interpreted and implemented by the FDA. In addition, government proposals have sought to reduce the 12-year reference product exclusivity period. Other aspects of the BPCIA, some of which may impact the BPCIA exclusivity provisions, have also been the subject of recent litigation. As a result, the ultimate impact, implementation and meaning of the BPCIA remains subject to significant uncertainty.

U.S. Healthcare Reform and Other U.S. Healthcare Laws

Manufacturing, sales, promotion and other activities following product approval are also subject to regulation by numerous regulatory authorities in the United States in addition to the FDA, including the Centers for Medicare & Medicaid Services, other divisions of the Department of Health and Human Services, the Department of Justice, the Drug Enforcement Administration, the Consumer Product Safety Commission, the Federal Trade Commission, the Occupational Safety & Health Administration, the Environmental Protection Agency and state and local governments.

Healthcare providers, physicians and third-party payors in the United States and elsewhere play a primary role in the recommendation and prescription of pharmaceutical products. Arrangements with third-party payors and customers can expose pharmaceutical manufactures to broadly applicable fraud and abuse and other healthcare laws and regulations, including, without limitation, the U.S. federal Anti-Kickback Statute and the federal False Claims Act, or FCA, which may constrain the business or financial arrangements and relationships through which companies sell, market and distribute pharmaceutical products. In addition, transparency laws and patient privacy regulations by federal and state governments and by governments in foreign jurisdictions can apply to the manufacturing, sales, promotion and other activities of pharmaceutical manufactures. The applicable federal, state and foreign healthcare laws and regulations that can affect a pharmaceutical company’s operations include:

The U.S. federal Anti-Kickback Statute, which prohibits, among other things, knowingly and willfully soliciting, receiving, offering or paying any remuneration (including any kickback, bribe, or rebate), directly or indirectly, overtly or covertly, in cash or in kind, to induce, or in return for, either the referral of an individual, or the purchase, lease, order or recommendation of any good, facility, item or service for which payment may be made, in whole or in part, under the Medicare and Medicaid programs, or other federal healthcare programs. A person or entity can be found guilty of violating the statute without actual knowledge of the statute or specific intent to violate it. In addition, the government may assert that a claim including items or services resulting from a violation of the U.S. federal Anti-Kickback Statute constitutes a false or fraudulent claim for purposes of the FCA. The Anti-Kickback Statute has been interpreted to apply to arrangements between pharmaceutical manufacturers on the one hand and prescribers, purchasers, and formulary managers on the other. There are a number of statutory exceptions and regulatory safe harbors protecting some common activities from prosecution;
The federal civil and criminal false claims laws and civil monetary penalty laws, including the FCA, which prohibit any person or entity from, among other things, knowingly presenting, or causing to be presented, a false, fictitious or fraudulent claim for payment to, or approval by, the federal government or knowingly making, using or causing to be made or used a false record or statement, including providing inaccurate billing or coding information to customers or promoting a product off-label, material to a false or fraudulent claim to the federal government. As a result of a modification made by the Fraud Enforcement and Recovery Act of 2009, a claim includes “any request or demand” for money or property presented to the federal government. In addition, manufacturers can be held liable under the FCA even when they do not submit claims directly to government payors if they are deemed to “cause” the submission of false or fraudulent claims. The FCA also permits a private individual acting as a “whistleblower” to bring actions on behalf of the federal government alleging violations of the FCA and to share in any monetary recovery;
The federal Health Insurance Portability and Accountability Act of 1996, or HIPAA, which created federal criminal statutes that prohibit knowingly and willfully executing, or attempting to execute, a scheme to defraud any healthcare benefit program or obtain, by means of false or fraudulent pretenses, representations, or promises, any of the money or property owned by, or under the custody or control of, any healthcare benefit program, regardless of the payor (e.g., public or private) and knowingly and willfully falsifying, concealing or covering up by any trick

35


 

or device a material fact or making any materially false statements in connection with the delivery of, or payment for, healthcare benefits, items or services relating to healthcare matters. Similar to the U.S. federal Anti-Kickback Statute, a person or entity can be found guilty of violating HIPAA without actual knowledge of the statute or specific intent to violate it;
HIPAA, as amended by the Health Information Technology for Economic and Clinical Health Act of 2009, or HITECH, and their respective implementing regulations, which impose, among other things, specified requirements relating to the privacy, security and transmission of individually identifiable health information held by covered entities and their business associates. HITECH also created new tiers of civil monetary penalties, amended HIPAA to make civil and criminal penalties directly applicable to business associates, and gave state attorneys general new authority to file civil actions for damages or injunctions in federal courts to enforce the federal HIPAA laws and seek attorneys’ fees and costs associated with pursuing federal civil actions;
The federal legislation commonly referred to as the Physician Payments Sunshine Act, created under the Patient Protection and Affordable Care Act, or ACA, and its implementing regulations, which requires manufacturers of drugs, devices, biologics and medical supplies for which payment is available under Medicare, Medicaid or the Children’s Health Insurance Program (with certain exceptions) to report annually to the Centers for Medicare & Medicaid Services, or CMS, information related to payments or other transfers of value made to physicians (defined to include doctors, dentists, optometrists, podiatrists and chiropractors) and teaching hospitals, as well as ownership and investment interests held by physicians and their immediate family members;
Federal consumer protection and unfair competition laws, which broadly regulate marketplace activities and activities that potentially harm consumers; and
Analogous state laws and regulations, including: state anti-kickback and false claims laws, which may apply to our business practices, including, but not limited to, research, distribution, sales and marketing arrangements and claims involving healthcare items or services reimbursed by any third-party payor, including private insurers; state laws that require pharmaceutical companies to comply with the pharmaceutical industry’s voluntary compliance guidelines and the relevant compliance guidance promulgated by the U.S. federal government, or otherwise restrict payments that may be made to healthcare providers and other potential referral sources.

Pricing and rebate programs must comply with the Medicaid rebate requirements of the U.S. Omnibus Budget Reconciliation Act of 1990 and more recent requirements in the ACA. If products are made available to authorized users of the Federal Supply Schedule of the General Services Administration, additional laws and requirements apply. Products must meet applicable child-resistant packaging requirements under the U.S. Poison Prevention Packaging Act. Manufacturing, sales, promotion and other activities also are potentially subject to federal and state consumer protection and unfair competition laws.

The distribution of pharmaceutical products is subject to additional requirements and regulations, including extensive record-keeping, licensing, storage and security requirements intended to prevent the unauthorized sale of pharmaceutical products.

The scope and enforcement of each of these laws is uncertain and subject to rapid change in the current environment of healthcare reform, especially in light of the lack of applicable precedent and regulations with respect to certain laws. Federal and state enforcement bodies have recently increased their scrutiny of interactions between healthcare companies and healthcare providers, which has led to a number of investigations, prosecutions, convictions and settlements in the healthcare industry. Prohibitions or restrictions on sales or withdrawal of future marketed products could materially affect our business in an adverse way. Changes in regulations, statutes or the interpretation of existing regulations could impact our business in the future by requiring, for example: (i) changes to our manufacturing arrangements; (ii) additions or modifications to product labeling; (iii) the recall or discontinuation of our products; or (iv) additional record-keeping requirements. If any such changes were to be imposed, they could adversely affect the operation of our business.

Ensuring our business arrangements comply with applicable healthcare laws, as well as responding to possible investigations by government authorities, can be time- and resource-consuming and can divert a company’s attention from the business.

The failure to comply with any of these laws or regulatory requirements subjects companies to possible legal or regulatory action. Depending on the circumstances, failure to meet applicable regulatory requirements can result in civil, criminal and administrative penalties, damages, fines, disgorgement, individual imprisonment, possible exclusion from participation in federal and state funded healthcare programs, contractual damages and the curtailment or restricting of our operations, as well as additional reporting obligations and oversight if we become subject to a corporate integrity agreement or other agreement to

36


 

resolve allegations of non-compliance with these laws. Any action for violation of these laws, even if successfully defended, could cause a pharmaceutical company to incur significant legal expenses and divert management’s attention from the operation of the business.

In the United States, there have been and continue to be a number of legislative initiatives to contain healthcare costs. For example, in March 2010, the ACA was passed, which substantially changes the way healthcare is financed by both governmental and private insurers, and significantly impacts the U.S. pharmaceutical industry. The ACA, among other things, subjects biological products to potential competition by lower-cost biosimilars, addresses a new methodology by which rebates owed by manufacturers under the Medicaid Drug Rebate Program are calculated for drugs that are inhaled, infused, instilled, implanted or injected, increases the minimum Medicaid rebates owed by manufacturers under the Medicaid Drug Rebate Program extends the rebate program to individuals enrolled in Medicaid managed care organizations, establishes annual fees and taxes on manufacturers of certain branded prescription drugs, and creates a new Medicare Part D coverage gap discount program, in which manufacturers must agree to offer 70% point-of-sale discounts off negotiated prices of applicable brand drugs to eligible beneficiaries during their coverage gap period, as a condition to coverage under Medicare Part D for the manufacturer’s outpatient drugs.

Some of the provisions of the ACA have yet to be fully implemented, while certain provisions have been subject to judicial and congressional challenges, as well as efforts by the former Trump administration to repeal or replace certain aspects of the ACA. On June 17, 2021, the U.S. Supreme Court dismissed the most recent judicial challenge to the ACA brought by several states without specifically ruling on the constitutionality of the ACA. Prior to the Supreme Court’s decision, President Biden issued an executive order to initiate a special enrollment period from February 15, 2021 through August 15, 2021 for purposes of obtaining health insurance coverage through the ACA marketplace. The executive order also instructed certain governmental agencies to review and reconsider their existing policies and rules that limit access to healthcare, including among others, reexamining Medicaid demonstration projects and waiver programs that include work requirements, and policies that create unnecessary barriers to obtaining access to health insurance coverage through Medicaid or the ACA. It is unclear how other healthcare reform measures of the Biden administration or other efforts, if any, to challenge, repeal or replace the ACA will impact our business.

Other legislative changes have been proposed and adopted in the United States since the ACA was enacted. On August 2, 2011, the Budget Control Act of 2011, among other things, created measures for spending reductions by Congress. A Joint Select Committee on Deficit Reduction, tasked with recommending a targeted deficit reduction of at least $1.2 trillion for the years 2013 through 2021, was unable to reach required goals, thereby triggering the legislation’s automatic reduction to several government programs. This includes aggregate reductions of Medicare payments to providers of 2% per fiscal year. These reductions went into effect on April 1, 2013 and, due to subsequent legislative amendments to the statute, will remain in effect through 2027 unless additional congressional action is taken. On January 2, 2013, the American Taxpayer Relief Act of 2012 was signed into law, which, among other things, further reduced Medicare payments to several types of providers.

Moreover, payment methodologies may be subject to changes in healthcare legislation and regulatory initiatives which could limit the amounts that federal and state governments will pay for healthcare products and services and result in reduced demand for certain pharmaceutical products or additional pricing pressures.

Additionally, there has been increasing legislative and enforcement interest in the United States with respect to specialty drug pricing practices. Specifically, there have been several recent U.S. congressional inquiries and proposed and enacted federal and state legislation designed to, among other things, bring more transparency to drug pricing, reduce the cost of prescription drugs under Medicare, review the relationship between pricing and manufacturer patient programs, and reform government program reimbursement methodologies for drugs.

U.S. Patent-Term Restoration and Marketing Exclusivity

Depending upon the timing, duration and specifics of FDA approval of our product candidates and any future product candidates we develop, some of our U.S. patents may be eligible for limited patent term extension under the Drug Price Competition and Patent Term Restoration Act of 1984, commonly referred to as the Hatch-Waxman Amendments. The Hatch-Waxman Amendments permit restoration of the patent term of up to five years as compensation for patent term lost during product development and FDA regulatory review process. Patent-term restoration, however, cannot extend the remaining term of a patent beyond a total of 14 years from the product’s approval date. The patent-term restoration period is generally one-half the time between the effective date of an IND and the submission date of an NDA or BLA plus the time between the submission date of an NDA or BLA and the approval of that application, except that the review period is reduced by any time during which the applicant failed to exercise due diligence. Only one patent applicable to an approved drug is eligible for the extension and

37


 

the application for the extension must be submitted prior to the expiration of the patent. The USPTO, in consultation with the FDA, reviews and approves the application for any patent term extension or restoration. In the future, we may apply for restoration of patent term for our currently owned or licensed patents to add patent life beyond its current expiration date, depending on the expected length of the clinical trials and other factors involved in the filing of the relevant NDA or BLA.

Marketing exclusivity provisions under the FDCA also can delay the submission or the approval of certain applications. The FDCA provides a five-year period of non-patent marketing exclusivity within the United States to the first applicant to gain approval of an NDA for a new chemical entity. A drug is a new chemical entity if the FDA has not previously approved any other new drug containing the same active moiety, which is the molecule or ion responsible for the action of the drug substance. During the exclusivity period, the FDA may not accept for review an ANDA, or a 505(b)(2) NDA submitted by another company for another version of such drug where the applicant does not own or have a legal right of reference to all the data required for approval. However, an application may be submitted after four years if it contains a certification of patent invalidity or non-infringement. The FDCA also provides three years of marketing exclusivity for an NDA, 505(b)(2) NDA or supplement to an existing NDA if new clinical investigations, other than bioavailability studies, that were conducted or sponsored by the applicant are deemed by the FDA to be essential to the approval of the application, for example, new indications, dosages or strengths of an existing drug. This three-year exclusivity covers only the conditions of use associated with the new clinical investigations and does not prohibit the FDA from approving ANDAs for drugs containing the original active agent. Five-year and three-year exclusivity will not delay the submission or approval of a full NDA. However, an applicant submitting a full NDA would be required to conduct or obtain a right of reference to all of the preclinical studies and adequate and well-controlled clinical trials necessary to demonstrate safety and effectiveness.

A drug or biologic product can also obtain pediatric market exclusivity in the United States. Pediatric exclusivity, if granted, adds six months to existing regulatory exclusivity periods and patent terms. This six-month exclusivity may be granted based on the voluntary completion of a pediatric trial in accordance with an FDA-issued “Written Request” for such a trial.

Canadian Review and Approval Process

In Canada, our product candidates and our research and development activities are primarily regulated by the Food and Drugs Act and the rules and regulations thereunder, which are enforced by Health Canada (including its Biologic and Radiopharmaceutical Drugs Directorate). Health Canada regulates, among other things, the research, development, testing, approval, manufacture, packaging, labeling, storage, recordkeeping, advertising, promotion, distribution, marketing, post-approval monitoring and import and export of pharmaceutical, including radiopharmaceutical and biologic, products. The drug approval process under Canadian laws requires licensing of manufacturing facilities, carefully controlled research and testing of products, government review and approval of experimental results prior to giving approval to sell drug products including radiopharmaceutical and biologic drug products. Regulators also typically require that rigorous and specific standards such as GMP, GLP and GCP are followed in the manufacture, testing and clinical development, respectively, of any drug product. The processes for obtaining regulatory approvals in Canada, along with subsequent compliance with applicable statutes and regulations, require the expenditure of substantial time and financial resources. For further information, see “Risk Factors.”

The principal steps required for drug approval in Canada are as follows:

Preclinical Toxicology Studies

Non-clinical studies are conducted in vitro and in animals to evaluate pharmacokinetics, metabolism and possible toxic effects to provide evidence of the safety of the drug candidate prior to its administration to humans in clinical studies and throughout development. Such studies are conducted in accordance with applicable laws and GLP.

Initiation of Human Testing

In Canada, the process of conducting clinical trials with a new drug cannot begin until we have submitted a Clinical Trial Application, or CTA, and the required number of days has lapsed without objection from Health Canada. Biological drugs carry additional risks, as compared to traditional small molecule drugs, associated with complexity and variability in manufacturing that can contribute to increased lot-to-lot variation of the final product, and with the potential for adventitious agents. Therefore, the content requirements for the quality information for biological drugs to be used in clinical trials are different from those for standard small molecule pharmaceutical drugs (for example, the inclusion of information on manufacturing facilities is required for biological drugs). In addition, it is necessary to have more stringent controls on the release of biologic drug lots used in authorized clinical trials.

38


 

Similar regulations apply in Canada to a CTA as to an IND in the United States. If the CTA is deemed by Health Canada to be acceptable, a No Objection Letter, or NOL, would be issued. A Not Satisfactory Notice will be issued by Health Canada if significant deficiencies are identified or if timely responses to information requested have not been received. Once approved by the issuance of an NOL, two key factors influencing the rate of progression of clinical trials are the rate at which patients can be enrolled to participate in the research program and whether effective treatments are currently available for the disease that the drug is intended to treat. Patient enrollment is largely dependent upon the incidence and severity of the disease, the treatments available and the potential side effects of the drug to be tested and any restrictions for enrollment that may be imposed by regulatory agencies. For further information, see “Risk Factors.”

Clinical Trials

Similar regulations apply in Canada regarding clinical trials as in the United States. In Canada, Research Ethics Boards, or REBs, instead of IRBs, are used to review and approve clinical trial plans. Clinical trials involve the administration of an investigational new drug to human subjects under the supervision of qualified investigators, in most cases a physician, in accordance with current Good Clinical Practices, or cGCP, requirements, which include review and approval by REBs. Clinical trials are conducted under protocols detailing, among other things, the objectives of the trial, the trial procedures, the parameters to be used in monitoring safety and the efficacy criteria to be evaluated and a statistical analysis plan. Human clinical trials for new drugs are typically conducted in three sequential phases, Phase 1, Phase 2 and Phase 3, as discussed above in the context of government regulation in the United States.

The manufacture of investigational drugs for the conduct of human clinical trials is subject to cGMP requirements. Investigational drugs and active pharmaceutical ingredients imported into Canada are also subject to regulation by Health Canada relating to their labeling and distribution. Progress reports detailing the results of the clinical trials must be submitted at least annually to Health Canada and the applicable REBs, and more frequently if serious adverse events occur. Phase 1, Phase 2 and Phase 3 clinical trials may not be completed successfully within any specified period, or at all. Furthermore, in Canada, Health Canada or the sponsor may suspend or terminate a clinical trial at any time on various grounds, including a finding that the research subjects are being exposed to an unacceptable health risk. Similarly, an REB can suspend or terminate approval of a clinical trial at its institution if the clinical trial is not being conducted in accordance with the REB’s requirements or if the drug has been associated with unexpected serious harm to subjects. Additionally, some clinical trials are overseen by an independent group of qualified experts organized by the clinical trial sponsor, known as a data safety monitoring board or committee. This group regularly reviews accumulated data and advises the study sponsor regarding the continuing safety of trial subjects, potential trial subjects and the continuing validity and scientific merit of the clinical trial. A sponsor may also suspend or terminate a clinical trial based on evolving business objectives or competitive climate.

New Drug Submission

Upon successful completion of Phase 3 clinical trials, in Canada the company sponsoring a new drug then assembles all the preclinical and clinical data and other testing relating to the product’s pharmacology, chemistry, manufacture, and controls, and submits it to Health Canada as part of a New Drug Submission, or NDS. The NDS is then reviewed by Health Canada for approval to market the drug.

As part of the approval process, Health Canada will inspect the facility or the facilities at which the drug is manufactured. Health Canada will not approve the product unless compliance with cGMP—a quality system regulating manufacturing—is satisfactory and the NDS contains data that provide substantial evidence that the drug is safe and effective in the indication studied. In addition, before approving an NDS, Health Canada will typically inspect one or more clinical sites to assure compliance with GCP.

The testing and approval process for an NDS requires substantial time, effort and financial resources, and may take several years to complete. Biologic drugs differ from standard small molecule drugs in that applicants must include more detailed chemistry and manufacturing information. This is necessary to help ensure the purity and quality of the product, for example to help ensure that it is not contaminated by an undesired microorganism. Data obtained from preclinical and clinical testing are not always conclusive and may be susceptible to varying interpretations, which could delay, limit or prevent regulatory approval. Health Canada may not grant approval of an NDS on a timely basis, or at all. In Canada, NDSs are subject to user fees and these fees are typically increased annually to reflect inflation.

Even if Health Canada approves a product candidate, it may limit the approved indications for use of the product candidate, require that contraindications, warnings or precautions be included in the product labeling, require that post-approval studies, including Phase 4 clinical trials, be conducted to further assess a drug’s safety after approval, require testing and

39


 

surveillance programs to monitor the product after commercialization, or impose other conditions, including distribution restrictions or other risk management mechanisms.

Biologic products and radiopharmaceuticals that have a biologic drug substance in particular are monitored post-approval by being placed on a lot release schedule tailored to their potential risk, manufacturing, testing and inspection history to date. With higher risk biologics, each lot is tested before being released for sale in Canada. Moderate risk biologics are periodically tested at the discretion of Health Canada while manufacturers of low risk biologics usually only need to contact Health Canada regarding lots being sold or for providing certification of complete and satisfactory testing. Products are carefully scrutinized before they are placed in any level of the lot release process, and at any time the testing regime for a biologic may be altered.

Health Canada may prevent or limit further marketing of a product based on the results of post-marketing studies or surveillance programs. After approval, some types of changes to the approved product, such as adding new indications, manufacturing changes, and additional labeling claims, are subject to further testing requirements, notification, and regulatory authority review and approval. Further, should new safety information arise, additional testing, product labeling or regulatory notification may be required.

Canadian Biosimilars

The terms “biosimilar biologic drug” and “biosimilar” are used by Health Canada to describe a biologic drug that enters the market subsequent to a version previously authorized in Canada and with demonstrated similarity to a reference biologic drug. Accordingly, a biosimilar, previously known in Canada as a subsequent entry biologic, or SEB, will in all instances be a subsequent entrant onto the Canadian market.

Based on Health Canada guidance documents, a biosimilar can rely in part on prior information regarding safety and efficacy that is deemed relevant due to the demonstration of similarity to the reference biologic drug and which influences the amount and type of original data required. Generic drugs are chemically derived products that are pharmaceutically equivalent to innovative drugs, whereas biosimilars are products of a biologic nature that are similar to innovative biologics. According to Health Canada, it is not currently possible to demonstrate that two biologic drugs are pharmaceutically equivalent, and therefore the regulatory approval process for generics and biosimilars is different: biosimilars are approved using the standard NDS pathway with some allowances made for reduced safety and efficacy information set out in guidance documents, while generic drugs are approved using an abbreviated new drug submission pathway set in guidance and law under the Food and Drug Regulations. In part because it continues to be set out only in guidance and not law, the specific requirements in order to receive biosimilar approval are subject to some uncertainty.

As discussed above, all biosimilars enter the market subsequent to a biologic drug product previously approved in Canada and to which the biosimilar is considered similar. As such, biosimilars are subject to existing laws and regulations outlined in the Patented Medicines (Notice of Compliance) Regulations and the Food and Drug Regulations, and related guidance documents.

Similar to the Hatch-Waxman Act in the United States, Canada has the Patented Medicines (NOC) Regulations under the Patent Act which require a company that files a drug submission that references a patented product (for example, a biosimilar) to address any relevant patents listed on the Patent Register against the reference product, prior to being able to receive approval from Health Canada. The Canadian regime is similar to the United States regime, but a number of distinctions do exist.

Like the United States, Canada also has data protection, but again differences exist between the two jurisdictions. For example, Canada’s data protection applies to an “innovative drug,” which is defined as a drug that contains a medicinal ingredient not previously approved in a drug by the Minister and that is not a variation of a previously approved medicinal ingredient such as a salt, ester, enantiomer, solvate or polymorph. If a product is deemed to be an innovate drug, it is eligible for an eight-year period of data protection (with an additional six-month pediatric extension in some circumstances). In general, biologics can be considered innovative drugs but typically biosimilars are not.

European Union Drug Development

In the European Union, or EU, our future products also may be subject to extensive regulatory requirements. As in the United States, medicinal products can be marketed only if a marketing authorization from the competent regulatory agencies has been obtained.

40


 

Similar to the United States, the various phases of preclinical and clinical research in the EU are subject to significant regulatory controls. In April 2014, the EU adopted the new Clinical Trials Regulation (EU) No 536/2014, which replaced the Clinical Trials Directive 2001/20/EC on January 31, 2022. The transitory provisions of the new Regulation provide that, by January 31, 2025, all ongoing clinical trials must have transitioned to the new Regulation.

The new Regulation overhauled the system of approvals for clinical trials in the EU. Specifically, it is directly applicable in all Member States (meaning that no national implementing legislation in each Member State is required), and aims at simplifying and streamlining the approval of clinical trials in the EU. The main characteristics of the new Regulation include: a streamlined application procedure via a single-entry point through the Clinical Trials Information System, or CTIS; a single set of documents to be prepared and submitted for the application as well as simplified reporting procedures for clinical trial sponsors; and a harmonized procedure for the assessment of applications for clinical trials, which is divided in two parts (Part I contains scientific and medicinal product documentation and Part II contains the national and patient-level documentation). Part I is assessed by a coordinated review by the competent authorities of all EU Member States in which an application for authorization of a clinical trial has been submitted (Member States concerned) of a draft report prepared by a Reference Member State. Part II is assessed separately by each Member State concerned. Strict deadlines have also been established for the assessment of clinical trial applications.

European Union Drug Review and Approval

In the EU, medicinal products can only be commercialized after obtaining a marketing authorization, or MA. There are two types of MAs.

The centralized MA is issued by the European Commission through the centralized procedure, based on the opinion of the Committee for Medicinal Products for Human Use, or CHMP, of the European Medicines Agency, or EMA, and is valid throughout the entire territory of the EU and the additional Member States of the European Economic Area (Iceland, Liechtenstein and Norway), or EEA. The centralized procedure is mandatory for certain types of products, including products produced by biotechnological processes, products designated as orphan medicinal products, advanced-therapy medicinal products (gene-therapy, somatic cell-therapy or tissue-engineered medicines) and medicinal products containing a new active substance indicated for the treatment of HIV, AIDS, cancer, neurodegenerative disorders, diabetes, auto-immune and other immune dysfunctions or viral diseases. The centralized procedure is optional for products containing a new active substance not yet authorized in the EU, or for products that constitute a significant therapeutic, scientific or technical innovation or which are in the interest of public health in the EU.

Under the centralized procedure, the EMA’s CHMP, is responsible for conducting the initial assessment of a product and for several post-authorization and maintenance activities, such as the assessment of modifications or extensions to an existing MA. The maximum timeframe for the evaluation of an MA application by the EMA is 210 days, excluding clock stops, when additional written or oral information is to be provided by the applicant in response to questions asked by the CHMP. Clock stops may extend the timeframe of evaluation of an MA application considerably beyond 210 days. Where the CHMP gives a positive opinion, it provides the opinion together with supporting documentation to the European Commission, who makes the final decision to grant an MA, which is issued within 67 days of receipt of the EMA’s recommendation. Accelerated assessment might be granted by the CHMP in exceptional cases, when a medicinal product is expected to be of major public health interest, particularly from the point of view of therapeutic innovation. If the CHMP accepts such request, the time limit of 210 days will be reduced to 150 days, excluding clock stops, but it is possible that the CHMP may revert to the standard time limit for the centralized procedure if it determines that the application is no longer appropriate to conduct an accelerated assessment.

National MAs, which are issued by the competent authorities of the Member States of the EU and only cover their respective territory, are available for products not falling within the mandatory scope of the centralized procedure. Where a product has already been authorized for marketing in a Member State of the EU, this national MA can be recognized in other Member States through the mutual recognition procedure. If the product has not received a national MA in any Member State at the time of application, it can be approved simultaneously in various Member States through the decentralized procedure. Under the decentralized procedure an identical dossier is submitted to the competent authorities of each of the Member States in which the MA is sought, one of which is selected by the applicant as the Reference Member State, or RMS. The competent authority of the RMS prepares a draft assessment report, a draft summary of product characteristics, or SmPC, and a draft of the labeling and package leaflet, which are sent to the other Member States, referred to as the Concerned Member States, for their approval. If the Concerned Member States raise no objections, based on a potential serious risk to public health, to the assessment,

41


 

SmPC, labeling, or packaging proposed by the RMS, the product is subsequently granted a national MA in all the Member States (i.e., in the RMS and the Concerned Member States).

Under the procedures described above, before granting the MA, the EMA or the competent authorities of the Member States of the EU make an assessment of the risk-benefit balance of the product on the basis of scientific criteria concerning its quality, safety and efficacy. In addition, there are specific requirements for a radiopharmaceutical MA application as detailed in the EMA’s Guideline on Radiopharmaceuticals dated 26 November 2008.

Now that the UK (which comprises Great Britain and Northern Ireland) has left the EU, Great Britain is no longer covered by centralized MAs (under the Northern Ireland Protocol, centralized MAs continue to be recognized in Northern Ireland). All medicinal products with an existing centralized MA were automatically converted to Great Britain MAs on January 1, 2021. For a period of three years from January 1, 2021, the Medicines and Healthcare products Regulatory Agency, or MHRA, the UK medicines regulator, may rely on a decision taken by the European Commission on the approval of a new MA in the centralized procedure, in order to more quickly grant a new Great Britain MA. A separate application will, however, still be required. On January 24, 2023, the MHRA announced that a new international recognition framework will be put in place from January 1, 2024, which will have regard to decisions on the approval of MAs made by the EMA and certain other regulators when determining an application for a new Great Britain MA.

European Union New Chemical Entity Exclusivity

In the EU, innovative medicinal products approved on the basis of a complete and independent data package qualify for eight years of data exclusivity upon the grant of an MA and an additional two years of market exclusivity. The data exclusivity, if granted, prevents generic or biosimilar applicants from referencing the innovator’s preclinical and clinical trial data contained in the dossier of the reference product when applying for a generic or biosimilar MA in the EU, during a period of eight years from the date on which the reference product was first authorized in the EU. During the additional two-year period of market exclusivity, a generic or biosimilar MA application can be submitted and authorized, and the innovator’s data may be referenced, but no generic or biosimilar product can be placed on the EU market until the expiration of the market exclusivity. The overall ten-year period will be extended to a maximum of eleven years if, during the first eight years of those ten years, the MA holder obtains an MA for one or more new therapeutic indications which, during the scientific evaluation prior to their MA, are determined to bring a significant clinical benefit in comparison with currently approved therapies. There is no guarantee that a product will be considered by the EMA to be an innovative medicinal product, and products may not qualify for data exclusivity. Even if a product is considered to be an innovative medicinal product so that the innovator gains the prescribed period of data exclusivity, however, another company could nevertheless also market another version of the product if such company obtained an MA based on an MA application with a complete and independent data package of pharmaceutical tests, preclinical tests and clinical trials.

European Union Orphan Designation and Exclusivity

In the EU, the European Commission grants orphan designation in respect of a product, after receiving the opinion of the EMA’s Committee for Orphan Medicinal Products, if its sponsor can establish that: (1) the product is intended for the diagnosis, prevention or treatment of a life-threatening or chronically debilitating condition; (2) either (i) such condition affects no more than five in 10,000 persons in the EU when the application is made, or (ii) it is unlikely that the product, without the benefits derived from orphan status, would generate sufficient return in the EU to justify the necessary investment in its development; and (3) there exists no satisfactory method of diagnosis, prevention or treatment of such condition authorized for marketing in the EU, or, if such a method exists, the product would be a significant benefit to those affected by that condition.

In the EU, orphan designation entitles a party to financial incentives such as reduction of fees or fee waivers and 10 years of market exclusivity is granted following the grant of an MA. During this market exclusivity period, neither the EMA nor the European Commission nor any of the competent authorities in the EU Members States can accept an application or grant an MA for a “similar medicinal product.” A “similar medicinal product” is defined as a medicinal product containing a similar active substance or substances as contained in an authorized orphan medicinal product, and which is intended for the same therapeutic indication. This period may be reduced to six years if the orphan designation criteria are no longer met, including where it is shown that the product is sufficiently profitable not to justify maintenance of market exclusivity. Market exclusivity may also be revoked in very select cases, such as if: (i) it is established that a similar medicinal product is safer, more effective or otherwise clinically superior to the authorized product; (ii) the MA holder for the authorized orphan product consents to such revocation; or (iii) the MA holder for the authorized orphan product cannot supply enough orphan medicinal product. Orphan designation must be requested before submitting an application for an MA. Orphan designation does not convey any advantage in, or shorten the duration of, the regulatory review and approval process.

42


 

Regulatory Requirements After a Marketing Authorization has been Obtained

If authorization for a medicinal product in the EU is obtained, the holder of the MA is required to comply with a range of requirements applicable to the manufacturing, marketing, promotion and sale of medicinal products. These include:

Compliance with the EU’s stringent pharmacovigilance or safety reporting rules must be ensured. These rules can impose post-authorization studies and additional monitoring obligations.
The manufacturing of authorized medicinal products, for which a separate manufacturer’s license is mandatory, must also be conducted in strict compliance with the applicable EU laws, regulations and guidance, including Directive 2001/83/EC, Directive 2003/94/EC, Regulation (EC) No 726/2004 and the European Commission Guidelines for Good Manufacturing Practice. These requirements include compliance with EU cGMP standards when manufacturing medicinal products and active pharmaceutical ingredients, including the manufacture of active pharmaceutical ingredients outside of the EU with the intention to import the active pharmaceutical ingredients into the EU.
Much like the Anti-Kickback Statute prohibition in the United States, the provision of benefits or advantages to physicians to induce or encourage the prescription, recommendation, endorsement, purchase, supply, order or use of medicinal products is also prohibited in the EU. The provision of benefits or advantages to physicians is sometimes governed by the national anti-bribery laws of EU Member States, and the Bribery Act 2010 in the UK. Infringement of these laws could result in substantial fines and imprisonment. EU Directive 2001/83/EC, which is the EU Directive governing medicinal products for human use, further provides that, where medicinal products are being promoted to persons qualified to prescribe or supply them, no gifts, pecuniary advantages or benefits in kind may be supplied, offered or promised to such persons unless they are inexpensive and relevant to the practice of medicine or pharmacy. This provision has been transposed into the Human Medicines Regulations 2012 and so remains applicable in the UK despite its departure from the EU.

Payments made to physicians in certain EU Member States must be publicly disclosed. Moreover, agreements with physicians often must be the subject of prior notification and approval by the physician’s employer, his or her competent professional organization as well as the regulatory authorities of the individual EU Member States. These requirements are provided in the national laws, industry codes or professional codes of conduct, applicable in the EU Member States. Failure to comply with these requirements could result in reputational risk, public reprimands, administrative penalties, fines or imprisonment.

The aforementioned EU rules are generally applicable in the EEA.

European Data Collection

The collection and use of personal health data in the EEA is governed by the General Data Protection Regulation, or GDPR, which became effective May 25, 2018. The GDPR applies to any company established in the EEA and to companies established outside the EEA that process personal data in connection with the offering of goods or services to data subjects in the EEA or the monitoring of the behavior of data subjects in the EEA. The GDPR enhances data protection obligations for data controllers of personal data, including stringent requirements relating to the consent of data subjects, expanded disclosures about how personal data is used, requirements to conduct privacy impact assessments for “high risk” processing, limitations on retention of personal data, mandatory data breach notification and “privacy by design” requirements, and creates direct obligations on service providers acting as data processors. The GDPR also imposes strict rules on the transfer of personal data outside of the EEA to countries that do not ensure an adequate level of protection, like the United States. Failure to comply with the requirements of the GDPR and the related national data protection laws of the EEA Member States may result in fines up to €20 million or 4% of a company’s global annual revenues for the preceding financial year, whichever is higher. Moreover, the GDPR grants data subjects the right to claim material and non-material damages resulting from infringement of the GDPR. The GDPR also confers a private right of action on data subjects and consumer associations to lodge complaints with supervisory authorities, seek judicial remedies, and obtain compensation for damages resulting from infringement of the GDPR. Maintaining compliance with the GDPR, will require significant time, resources and expense, and we may be required to put in place additional mechanisms ensuring compliance with the GDPR. This may be onerous and adversely affect our business, financial condition, results of operations and prospects.

In addition, further to the UK’s exit from the EU on January 31, 2020, the GDPR ceased to apply in the UK at the end of the transition period on December 31, 2020. However, as of January 1, 2021, the UK’s European Union (Withdrawal) Act 2018 incorporated the GDPR (as it existed on December 31, 2020 but subject to certain UK specific amendments) into UK law, referred to as the UK GDPR. The UK GDPR and the UK Data Protection Act 2018 set out the UK’s data protection

43


 

regime, which is independent from but aligned to the EEA’s data protection regime. Non-compliance with the UK GDPR may result in monetary penalties of up to £17.5 million or 4% of worldwide revenue, whichever is higher. Like the EU GDPR, the UK GDPR grants data subjects the right to claim material and non-material damages resulting from infringement of the UK GDPR. Although the UK is regarded as a third country under the EU’s GDPR, the European Commission has now issued a decision recognizing the UK as providing adequate protection under the EU GDPR and, therefore, transfers of personal data originating in the EU to the UK remain unrestricted. Like the EU GDPR, the UK GDPR restricts personal data transfers outside the UK to countries not regarded by the UK as providing adequate protection. The UK government has confirmed that personal data transfers from the UK to the EEA remain free flowing.

Brexit and the Regulatory Framework in the United Kingdom

The UK formally left the EU on January 31, 2020, and the EU and the UK have concluded a trade and cooperation agreement, or TCA, which was provisionally applicable since January 1, 2021 and has been formally applicable since May 1, 2021. The TCA includes specific provisions concerning pharmaceuticals, which include the mutual recognition of GMP, inspections of manufacturing facilities for medicinal products and GMP documents issued, but does not provide for wholesale mutual recognition of UK and EU pharmaceutical regulations. At present, Great Britain has implemented EU legislation on the marketing, promotion and sale of medicinal products through the Human Medicines Regulations 2012 (as amended) (under the Northern Ireland Protocol, the EU regulatory framework continues to apply in Northern Ireland). The regulatory regime in Great Britain therefore currently broadly aligns with EU regulations, however it is possible that these regimes will diverge more significantly in the future now that Great Britain’s regulatory system is independent from the EU and the TCA does not provide for mutual recognition of United Kingdom and EU pharmaceutical legislation. For example, the new Clinical Trials Regulation which became effective in the EU on January 31, 2022 and provides for a streamlined clinical trial application and assessment procedure covering multiple EU Member States has not been implemented into UK law, and a separate application will need to be submitted for clinical trial authorization in the UK. The extent to which the regulation of clinical trials in the UK will mirror the new Clinical Trials Regulation now it has come into effect is not yet known, but the MHRA opened a consultation on a set of proposals designed to improve and strengthen the UK clinical trials legislation. Such consultation took place from January 17, 2022 until March 14, 2022, and the MHRA is currently analyzing feedback. However, notwithstanding that there is no wholesale recognition of EU pharmaceutical legislation under the TCA, under the new framework mentioned above which will be put in place by the MHRA from January 1, 2024, the MHRA has stated that it will take into account decisions on the approval of MAs from the EMA (and certain other regulators) when considering an application for a Great Britain MA.

Rest of the World Regulation

For other countries outside of the EU, Canada and the United States, such as countries in Eastern Europe, Latin America or Asia, the requirements governing the conduct of clinical trials, product licensing, pricing and reimbursement vary from country to country. Additionally, the clinical trials must be conducted in accordance with GCP requirements and the applicable regulatory requirements and the ethical principles that have their origin in the Declaration of Helsinki.

If we fail to comply with applicable foreign regulatory requirements, we may be subject to, among other things, fines, suspension or withdrawal of regulatory approvals, product recalls, seizure of products, operating restrictions and criminal prosecution.

Reimbursement

Sales of our products, when and if approved, will depend, in part, on the extent to which our products will be covered by third-party payors, such as government health programs, commercial insurance and managed healthcare organizations. In the United States, no uniform policy of coverage and reimbursement for drug or biological products exists. Accordingly, decisions regarding the extent of coverage and amount of reimbursement to be provided for any of our products will be made on a payor-by-payor basis. As a result, coverage determination is often a time-consuming and costly process that will require us to provide scientific and clinical support for the use of our products to each payor separately, with no assurance that coverage and adequate reimbursement will be obtained.

The U.S. government, state legislatures and foreign governments have shown significant interest in implementing cost containment programs to limit the growth of government-paid healthcare costs, including price-controls, restrictions on reimbursement and requirements for substitution of biosimilars for branded prescription drugs. For example, the ACA contains provisions that may reduce the profitability of drug products through increased rebates for drugs reimbursed by Medicaid programs, extension of Medicaid rebates to Medicaid managed care plans, mandatory discounts for certain Medicare Part D

44


 

beneficiaries and annual fees based on pharmaceutical companies’ share of sales to federal healthcare programs. Adoption of general controls and measures, coupled with the tightening of restrictive policies in jurisdictions with existing controls and measures, could limit payments for pharmaceutical drugs.

The Medicaid Drug Rebate Program requires pharmaceutical manufacturers to enter into and have in effect a national rebate agreement with the Secretary of the Department of Health and Human Services as a condition for states to receive federal matching funds for the manufacturer’s outpatient drugs furnished to Medicaid patients. The ACA made several changes to the Medicaid Drug Rebate Program, including increasing pharmaceutical manufacturers’ rebate liability by raising the minimum basic Medicaid rebate on most branded prescription drugs from 15.1% of average manufacturer price, or AMP, to 23.1% of AMP and adding a new rebate calculation for “line extensions” (i.e., new formulations, such as extended release formulations) of solid oral dosage forms of branded products, as well as potentially impacting their rebate liability by modifying the statutory definition of AMP. The ACA also expanded the universe of Medicaid utilization subject to drug rebates by requiring pharmaceutical manufacturers to pay rebates on Medicaid managed care utilization and by enlarging the population potentially eligible for Medicaid drug benefits.

The Medicare Prescription Drug, Improvement, and Modernization Act of 2003, or the MMA, established the Medicare Part D program to provide a voluntary prescription drug benefit to Medicare beneficiaries. Under Part D, Medicare beneficiaries may enroll in prescription drug plans offered by private entities that provide coverage of outpatient prescription drugs. Unlike Medicare Part A and B, Part D coverage is not standardized. While all Medicare drug plans must give at least a standard level of coverage set by Medicare, Part D prescription drug plan sponsors are not required to pay for all covered Part D drugs, and each drug plan can develop its own drug formulary that identifies which drugs it will cover and at what tier or level. However, Part D prescription drug formularies must include drugs within each therapeutic category and class of covered Part D drugs, though not necessarily all the drugs in each category or class. Any formulary used by a Part D prescription drug plan must be developed and reviewed by a pharmacy and therapeutic committee. Government payment for some of the costs of prescription drugs may increase demand for products for which we receive marketing approval. However, any negotiated prices for our products covered by a Part D prescription drug plan likely will be lower than the prices we might otherwise obtain. Moreover, while the MMA applies only to drug benefits for Medicare beneficiaries, private payors often follow Medicare coverage policy and payment limitations in setting their own payment rates. Any reduction in payment that results from the MMA may result in a similar reduction in payments from non-governmental payors.

For a drug product to receive federal reimbursement under the Medicaid or Medicare Part B programs or to be sold directly to U.S. government agencies, the manufacturer must extend discounts to entities eligible to participate in the 340B drug pricing program. The required 340B discount on a given product is calculated based on the AMP and Medicaid rebate amounts reported by the manufacturer. As of 2010, the ACA expanded the types of entities eligible to receive discounted 340B pricing, although, under the current state of the law, with the exception of children’s hospitals, these newly eligible entities will not be eligible to receive discounted 340B pricing on orphan drugs. In addition, as 340B drug pricing is determined based on AMP and Medicaid rebate data, the revisions to the Medicaid rebate formula and AMP definition described above could cause the required 340B discount to increase.

As noted above, the marketability of any products for which we receive regulatory approval for commercial sale may suffer if the government and third-party payors fail to provide coverage and reimbursement. Obtaining coverage and reimbursement for newly approved drugs and biologics is a time-consuming and costly process, and coverage may be more limited than the purposes for which a drug is approved by the FDA or comparable foreign regulatory authorities. Assuming coverage is obtained for a given product by a third-party payor, the resulting reimbursement payment rates may not be adequate or may require co-payments that patients find unacceptably high. Additionally, coverage policies and third-party reimbursement rates may change at any time. Patients who are prescribed medications for the treatment of their conditions, and their prescribing physicians, generally rely on third-party payors to reimburse all or part of the costs associated with their prescription drugs. Patients are unlikely to use products unless coverage is provided and reimbursement is adequate to cover all or a significant portion of the cost of prescribed products.

In addition, in most foreign countries, the proposed pricing for a drug must be approved before it may be lawfully marketed. The requirements governing drug pricing and reimbursement vary widely from country to country. For example, the EU provides options for its Member States to restrict the range of medicinal products for which their national health insurance systems provide reimbursement and to control the prices of medicinal products for human use. A Member State may approve a specific price for the medicinal product or it may instead adopt a system of direct or indirect controls on the profitability of the company placing the medicinal product on the market. There can be no assurance that any country that has price controls or reimbursement limitations for pharmaceutical products will allow favorable reimbursement and pricing arrangements for

45


 

any of our products. Historically, products launched in the EU do not follow price structures of the United States and generally prices tend to be significantly lower.

Human Capital Resources

As of March 6, 2023, we had 102 full-time employees. Of these employees, 56 are based out of our headquarters in Hamilton, Ontario and 46 are based out of our office in Boston, Massachusetts. None of our employees are represented by a labor union or covered by a collective bargaining agreement. Our human capital resources objectives include identifying, recruiting, retaining, incentivizing and integrating our existing and new employees, advisors and consultants. We have not experienced any work stoppages as a result of labor disputes or strikes. We have built a strong and positive workplace culture and we pride ourselves on maintaining good relationships with our employees. All our full-time employees enjoy a range of benefits including company-matching retirement contributions, participation in our incentive stock option program and our funding of health insurance premiums for both the employee and the employee’s family.

Corporate Information

We were incorporated in December 2014 under the Canada Business Corporations Act. Our principal executive offices are located at 270 Longwood Road South, Hamilton, ON, L8P 0A6, and our telephone number is (289) 799-0891. We have one wholly-owned subsidiary, Fusion Pharmaceuticals US Inc. Our website address is www.fusionpharma.com. We have included our website address in this Annual Report on Form 10-K solely as an inactive textual reference.

46


 

Item 1A. Risk Factors.

Careful consideration should be given to the following risk factors, in addition to the other information set forth in this Annual Report on Form 10-K and in other documents that we file with the SEC, in evaluating our company and our business. Investing in our common shares involves a high degree of risk. If any of the following risks actually occur, our business, financial condition, results of operations and future growth prospects could be materially and adversely affected.

The risks described below are not intended to be exhaustive and are not the only risks facing the company. New risk factors can emerge from time to time, and it is not possible to predict the impact that any factor or combination of factors may have on our business, financial condition, results of operations and future growth prospects.

Please see page ii of this Annual Report on Form 10-K for a summary of the principal risks that we believe are specific to Fusion, followed by more detailed descriptions of all risk factors below, both those that are company-specific, as well as those that are more generally associated with both our industry and ownership of securities in general.

Company Specific Risk Factors

Risks Related to Our Financial Condition and Capital Requirements

We have incurred significant losses since inception, and we expect to incur losses over the next several years and may not be able to achieve or sustain revenues or profitability in the future.

Investment in drug and biopharmaceutical product development is a highly speculative undertaking and entails substantial upfront capital expenditures and significant risk that any potential product candidate will fail to demonstrate adequate efficacy or an acceptable safety profile, gain regulatory approval and become commercially viable. We are still in the early stages of development of our product candidates, and our lead product candidate is only in a Phase 2 clinical trial. We have no products licensed for commercial sale and have not generated any revenue from product sales to date, and we continue to incur significant research and development and other expenses related to our ongoing operations. To date, we have financed our operations primarily through equity financings.

We have incurred significant net losses in each period since our inception in December 2014. For the years ended December 31, 2022 and 2021, we reported net losses of $87.6 million and $81.0 million, respectively. As of December 31, 2022, we had an accumulated deficit of $281.9 million. We expect to continue to incur significant losses for the foreseeable future, and we expect these losses to increase substantially if and as we:

continue our research and development efforts and submit biologics license applications, or BLAs, for our lead product candidates and submit investigational new drug applications, or INDs, and BLAs and new drug applications, or NDAs, for our other biologic and drug product candidates, respectively;
conduct preclinical studies and clinical trials for our current and future product candidates;
continue to develop our library of proprietary linkers for our Fast-Clear technology;
seek to identify additional product candidates;
acquire or in-license other product candidates, targeting molecules and technologies;
continue strategic investments in manufacturing and supply chain capabilities, including the production and supply of 225Ac;
add operational, financial and management information systems and personnel, including personnel to support the development of our product candidates and help us comply with our obligations as a public company;
hire and retain additional personnel, such as clinical, quality control, scientific, commercial and administrative personnel;
seek marketing approvals for any product candidates that successfully complete clinical trials;
establish a sales, manufacturing, marketing and distribution infrastructure and scale-up manufacturing capabilities, whether alone or with third parties, to commercialize any product candidates for which we may obtain regulatory approval, if any; and

47


 

expand, maintain and protect our intellectual property portfolio.

Because of the numerous risks and uncertainties associated with drug and biopharmaceutical product development, we are unable to accurately predict the timing or amount of increased expenses we will incur or when, if ever, we will be able to achieve profitability. Even if we succeed in commercializing one or more of our product candidates, we will continue to incur substantial research and development and other expenditures to develop, seek regulatory approval for, and market additional product candidates. We may encounter unforeseen expenses, difficulties, complications, delays and other unknown factors that may adversely affect our business. The size of our future net losses will depend, in part, on the rate of future growth of our expenses and our ability to generate revenue. Our prior losses and expected future losses have had and will continue to have an adverse effect on our shareholders’ equity and working capital.

We will require substantial additional financing, which may not be available on acceptable terms, or at all. A failure to obtain this necessary capital when needed could force us to delay, limit, reduce or terminate our product development or commercialization efforts.

Our operations have consumed substantial amounts of cash since inception. We expect to continue to spend substantial amounts to continue the clinical development of FPI-2265, our newly acquired PSMA-I&T asset, FPI-1434, FPI-1966 and FPI-2059, the planned IND-enabling studies and future clinical trials for our other product candidates and to continue to identify new product candidates. We will require significant additional amounts of funding in order to launch and commercialize our product candidates.

On June 30, 2020, we completed an initial public offering of our common shares by issuing 12,500,000 shares of our common shares, at $17.00 per share, for net proceeds of approximately $193.1 million. As of December 31, 2022, we had approximately $188.1 million in cash, cash equivalents, restricted cash and investments. Based on our research and development plans, we expect our cash, cash equivalents and investments at December 31, 2022, together with the $60.0 million in gross proceeds from our private placement completed in February 2023, will enable us to fund our operating expenses and capital expenditure requirements into the first quarter of 2025. We will require significant additional amounts of cash in order to continue to develop, launch and commercialize our current and future product candidates to the extent that such launch and commercialization are not the responsibility of a future collaborator that we may contract with in the future. In addition, other unanticipated costs may arise in the course of our development efforts. Because the design and outcome of our planned and anticipated clinical trials is highly uncertain, we cannot reasonably estimate the actual amounts necessary to successfully complete the development and commercialization of any product candidate we develop.

Our future capital requirements depend on many factors, including:

the scope, progress, results and costs of researching and developing FPI-2265, FPI-1434, FPI-1966 and FPI-2059 and our other product candidates;
the timing of, and the costs involved in, obtaining marketing approvals for our current and future product candidates;
the number of future product candidates and potential additional indications that we may pursue and their development requirements;
the cost and timing of establishing our own manufacturing facilities and manufacturing our product candidates for clinical trials in preparation for regulatory approval and in preparation for commercialization;
the cost and availability of 225Ac or any other medical isotope we may incorporate into our product candidates;
if approved, the costs of commercialization activities for any approved product candidate to the extent such costs are not the responsibility of any future collaborators, including the costs and timing of establishing product sales, marketing, distribution and manufacturing capabilities;
subject to receipt of regulatory approval and revenue, if any, received from commercial sales for any approved indications for any of our product candidates;
the extent to which we in-license or acquire rights to other products, product candidates or technologies;
our headcount growth and associated costs as we expand our research and development capabilities and establish a commercial infrastructure;

48


 

the costs of preparing, filing and prosecuting patent applications and maintaining and protecting our intellectual property rights, including enforcing and defending intellectual property related claims; and
the costs of operating as a public company.

We cannot be certain that additional funding will be available on acceptable terms, or at all. If we are unable to raise additional capital in sufficient amounts or on terms acceptable to us, we may have to significantly delay, scale back or discontinue the development or commercialization of our product candidates or other research and development initiatives. Any of our current or future license agreements may also be terminated if we are unable to meet the payment or other obligations under the agreements.

We have not generated any revenue from product sales to date and may never be profitable.

Our ability to become profitable depends upon our ability to generate revenue. To date, we have not generated any revenue from product sales. We do not expect to generate significant product revenue unless or until we successfully complete clinical development and obtain regulatory approval of, and then successfully commercialize, at least one of our product candidates. Other than FPI-2265, FPI-1434, FPI-1966 and FPI-2059, all of our product candidates are in the preclinical stages of clinical development and will require additional preclinical studies or clinical development as well as regulatory review and approval, substantial investment, access to sufficient commercial manufacturing capacity and significant marketing efforts before we can generate any revenue from product sales. As such, we face significant development risk as our product candidates advance further through preclinical and clinical development. Our ability to generate revenue depends on a number of factors, including, but not limited to:

timely completion of our preclinical studies and our current and future clinical trials, which may be significantly slower or more costly than we currently anticipate and will depend substantially upon the performance of third-party contractors;
our ability to complete IND-enabling studies and successfully submit INDs or comparable applications to allow us to initiate clinical trials for our current or any future product candidates;
whether we are required by the U.S. Food and Drug Administration, or FDA, or similar foreign regulatory authorities to conduct additional clinical trials or other studies beyond those planned to support the approval and commercialization of our product candidates or any future product candidates;
our ability to demonstrate to the satisfaction of the FDA or similar foreign regulatory authorities the safety, efficacy and acceptable risk-to-benefit profile of our product candidates or any future product candidates;
the prevalence, duration and severity of potential side effects or other safety issues experienced with our product candidates or future product candidates, if any;
the timely receipt of necessary marketing approvals from the FDA or similar foreign regulatory authorities;
the willingness of physicians, operators of clinics and patients to utilize or adopt any of our product candidates or future product candidates as potential cancer treatments;
our ability, and the ability of third parties with whom we contract, to manufacture adequate clinical and commercial supplies of our product candidates or any future product candidates, remain in good standing with regulatory authorities and develop, validate and maintain commercially viable manufacturing processes that are compliant with current good manufacturing practices, or cGMP;
our ability to successfully develop a commercial strategy and thereafter commercialize our product candidates or any future product candidates in the United States and internationally, if licensed for marketing, reimbursement, sale and distribution in such countries and territories, whether alone or in collaboration with others; and
our ability to establish and enforce intellectual property rights in and to our product candidates or any future product candidates.

Many of the factors listed above are beyond our control and could cause us to experience significant delays or prevent us from obtaining regulatory approvals or commercialize our product candidates. Even if we are able to commercialize our product candidates, we may not achieve profitability soon after generating product sales, if ever. If we are unable to generate sufficient revenue through the sale of our product candidates or any future product candidates, we may be unable to continue operations without continued funding.

49


 

Our limited operating history may make it difficult for you to evaluate the success of our business to date and to assess our future viability.

We are a clinical-stage oncology company with a limited operating history. We were founded to advance certain intellectual property relating to radiopharmaceuticals that had been developed by the Centre for Probe Development and Commercialization, or CPDC, in December 2014, and our operations to date have been limited to organizing and staffing our company, business planning, raising capital, conducting discovery and research activities, filing patent applications, identifying potential product candidates, initiating and conducting our Phase 1 clinical trials, undertaking preclinical studies, in-licensing product candidates for development, and establishing arrangements with third parties for the manufacture of initial quantities of our product candidates and component materials. We have only advanced four product candidates to clinical development. We have not yet demonstrated our ability to successfully complete any clinical trials, obtain marketing approvals, manufacture a commercial-scale product or arrange for a third party to do so on our behalf, or conduct sales, marketing and distribution activities necessary for successful product commercialization. Consequently, any predictions you make about our future success or viability may not be as accurate as they could be if we had a longer operating history.

In addition, we may encounter unforeseen expenses, difficulties, complications, delays and other known and unknown factors. We will need to transition at some point from a company with a research and development focus to a company capable of supporting commercial activities. We may not be successful in such a transition.

Raising additional capital may cause dilution to our shareholders, restrict our operations or require us to relinquish rights to our technologies or product candidates.

We expect our expenses to increase in connection with our planned operations. Unless and until we can generate a substantial amount of revenue from our product candidates, we expect to finance our future cash needs through public or private equity offerings, debt financings, collaborations, licensing arrangements or other sources, or any combination of the foregoing. In addition, we may seek additional capital due to favorable market conditions or strategic considerations, even if we believe that we have sufficient funds for our current or future operating plans. To the extent that we raise additional capital through the sale of common shares, convertible securities or other equity securities, your ownership interest may be diluted, and the terms of these securities could include liquidation or other preferences and anti-dilution protections that could adversely affect your rights as a common shareholder. In addition, debt financing, if available, may result in fixed payment obligations and may involve agreements that include restrictive covenants that limit our ability to take specific actions, such as incurring additional debt, making capital expenditures, creating liens, redeeming shares or declaring dividends, that could adversely impact our ability to conduct our business. Our pledge of our assets as collateral to secure our obligations under our loan and security agreement, the Loan Agreement, with Oxford Finance LLC, or Oxford, may limit our ability to obtain additional debt financing. Under the Loan Agreement, we are also restricted from paying dividends on our common shares, granting liens, making investments, making acquisitions, making certain restricted payments, selling assets and making certain other uses of our cash without the lenders’ consent, subject in each case to certain exceptions. In addition, securing financing could require a substantial amount of time and attention from our management and may divert a disproportionate amount of their attention away from day-to-day activities, which may adversely affect our management’s ability to oversee the development of our product candidates. If we raise additional funds through collaborations, strategic alliances, distribution or licensing arrangements with third parties, we may have to relinquish valuable rights to our technologies, future revenue streams or product candidates or grant licenses on terms that may not be favorable to us. If we are unable to raise additional funds when needed, we would be required to delay, limit, reduce or terminate our product development or future commercialization efforts or grant rights to develop and market product candidates that we would otherwise prefer to develop and market ourselves.

Our ability to use our net operating loss carryforwards to offset future taxable income may be subject to certain limitations.

In general, where control of a corporation has been acquired by a person or group of persons, subsection 111(5) of the Income Tax Act (Canada), or the Canadian Tax Act, and equivalent provincial income tax legislation restrict a corporation’s ability to carry forward net operating losses from preceding taxation years. We have not performed a detailed analysis to determine whether an acquisition of control for the purposes of subsection 111(5) of the Canadian Tax Act has occurred after each of our previous issuances of our common shares or preferred shares or our subsidiary’s preferred exchangeable shares. As of December 31, 2022, we had $170.2 million of Canadian net operating loss carryforwards that begin to expire in 2035. In addition, we had $6.4 million of Canadian research and development tax credit carryforwards that begin to expire in 2037 and an available Canadian research and development expenditure pool of $35.5 million, which expenditures are available to reduce future taxable income and generally have an unlimited carryforward period. Research and development tax credits and expenditures are subject to verification by the tax authorities, and, accordingly, these amounts may vary. Future changes in our share ownership, some of which are outside of our control, could result in an acquisition of control for the purposes of

50


 

subsection 111(5) of the Canadian Tax Act. Therefore, our ability to utilize our existing net operating loss carryforwards, research and development tax credits and research and development expenditure pool, as well as tax attributes from any companies that we may acquire in the future, may be subject to limitations. As a result, even if we attain profitability, we may be unable to use a material portion of our net operating losses and other tax attributes, which could negatively impact our future cash flows.

We have a significant amount of debt which may affect our ability to operate our business and secure additional financing in the future.

In April 2022, we borrowed $10.0 million under the Loan Agreement. In September 2022, we borrowed an additional $25.0 million, under the Loan Agreement.

Our obligations under the Loan Agreement are secured by substantially all of our assets. The Loan Agreement requires us, and any debt arrangements or instruments we may enter into in the future may require us, to comply with various covenants that limit our ability to, among other things:

dispose of assets;
complete mergers or acquisitions;
incur or guarantee indebtedness;
sell or encumber certain assets;
pay dividends or make other distributions to holders of our common shares, including by way of certain share buybacks;
make specified investments;
engage in different lines of business;
change certain key management personnel; and
engage in certain transactions with our affiliates.

These covenants may make it difficult to operate our business. A failure by us to comply with the covenants could result in an event of default, which could adversely affect our ability to respond to changes in our business and manage our operations. Upon the occurrence of an event of default, including the occurrence of a material adverse change, the lender could elect to declare all amounts outstanding to be due and payable and exercise other remedies. Because our debt under the Loan Agreement bears interest at floating interest rates based on the 1-month Secured Overnight Financing Rate, a new index calculated by reference to short-term repurchase agreements backed by Treasury securities, increases in interest rates could materially increase our interest expense. If the indebtedness were to be accelerated, our future financial condition could be materially adversely affected.

We may incur additional indebtedness in the future. The instruments governing such indebtedness could contain provisions that are as, or more, restrictive than our existing debt instruments. If we are unable to repay, refinance or restructure our indebtedness when payment is due, the lenders could proceed against any collateral granted to them to secure such indebtedness or force us into bankruptcy or liquidation. Further, if our business is subject to liquidation, the right to repayment of the obligations under the Loan Agreement and any other holders of indebtedness would be senior to the rights of the holders of our common shares to receive any proceeds from the liquidation.

Risks Related to the Development of Our Product Candidates

Our approach to the discovery and development of product candidates represents a novel approach to radiation therapy, which creates significant and potentially unpredictable challenges for us.

Our future success depends on the successful development of our product candidates, which are designed to treat advanced solid tumors using Targeted Alpha Therapies, or TAT, product candidates, representing a novel approach to radiopharmaceutical therapy. Alpha emitting isotope oncology therapy is relatively new, and only one alpha emitting isotope therapy has been approved in the United States or the European Union and only a limited number of clinical trials of products based on alpha emitting isotope therapies have commenced. As such, it is difficult to accurately predict the developmental challenges we may incur for our product candidates as they proceed through product discovery or identification, preclinical

51


 

studies and clinical trials. In addition, beyond the limited universe of patients treated with Xofigo, an approved radiopharmaceutical for the treatment of treatment resistant prostate cancer, assessments of the long-term safety of targeted alpha emitting isotope therapies in humans have been limited, and there may be long-term effects from treatment with any of our future product candidates that we cannot predict at this time. It is difficult for us to predict the time and cost of the development of our product candidates, and we cannot predict whether the application of our technology, or any similar or competitive technologies, will result in the identification, development, and regulatory approval of any products. There can be no assurance that any development problems we experience in the future related to our technology or any of our research programs will not cause significant delays or unanticipated costs, or that such development problems can be solved at all. Any of these factors may prevent us from completing our preclinical studies and clinical trials that we may initiate or commercializing any product candidates we may develop on a timely or profitable basis, if at all. In addition, the success of our TATs, including our lead product candidates, will depend on several factors, including the following:

sourcing clinical and, if successfully approved for commercial sale, commercial supplies, including 225Ac, for the materials used to manufacture our product candidates;
building-out and scaling up our manufacturing facilities to produce adequate amounts of our product candidates;
utilizing imaging analogues or other companion diagnostics to visualize tumor uptake in advance of administering our product candidates, which may increase the risk of adverse side effects;
educating medical personnel regarding the potential side effect profile of our product candidates;
facilitating patient access to the limited number of facilities able to administer our product candidates, if licensed;
using medicines to manage adverse side effects of our product candidates that may not adequately control the side effects or that may have detrimental impacts on the efficacy of the treatment; and
establishing sales and marketing capabilities upon obtaining any regulatory approval to gain market acceptance of a novel therapy.

We are early in our development efforts. If we are unable to advance our product candidates through clinical development, obtain regulatory approval and ultimately commercialize our product candidates, or if we experience significant delays in doing so, our business will be materially harmed.

We are early in our development efforts. FPI-2265, FPI-1434, FPI-1966 and FPI-2059, our most advanced product candidates, are still in the early stages of clinical development, and are our only product candidates to have advanced beyond preclinical studies. Our ability to generate product revenues, which we do not expect will occur for many years, if ever, will depend heavily on the successful development and eventual commercialization of one or more of our product candidates. The success of our product candidates will depend on several factors, including the following:

successful completion of preclinical studies;
successful initiation of clinical trials;
successful patient enrollment in, and completion, of clinical trials;
the ability to successfully develop, in-license or otherwise acquire additional targeting molecules for our TATs;
receipt and related terms of marketing approvals from applicable regulatory authorities;
obtaining and maintaining patent and trade secret protection and regulatory exclusivity for our product candidates;
making and maintaining arrangements with third-party manufacturers, or building and maintaining our own manufacturing capabilities, for both clinical and commercial supplies of our product candidates;
establishing sales, marketing and distribution capabilities and successfully launching commercial sales of our products, if and when approved, whether alone or in collaboration with others;
acceptance of our products, if and when approved, by patients, the medical community and third-party payors;
effectively competing with other cancer therapies;
obtaining and maintaining third-party coverage and adequate reimbursement; and
maintaining a continued acceptable safety profile of our products following regulatory approval.

52


 

If we do not achieve one or more of these factors in a timely manner or at all, we could experience significant delays or be unable to successfully commercialize our product candidates, which would materially harm our business.

Our business is highly dependent on our lead product candidates, FPI-2265, FPI-1434, FPI-1966 and FPI-2059, as the lead investigational assets for our TAT platform and we must complete preclinical studies and clinical testing before we can seek regulatory approval and begin commercialization of any of our other product candidates. If we are unable to obtain regulatory approval for, and successfully commercialize FPI-2265, FPI-1434, FPI-1966 or FPI-2059, our business may be materially harmed and such failure may affect the viability of our other product candidates.

There is no guarantee that any of our product candidates will proceed in preclinical or clinical development or achieve regulatory approval. The process for obtaining marketing approval for any product candidate is very long and risky and there will be significant challenges for us to address in order to obtain marketing approval as planned or, if at all.

There is no guarantee that the results obtained in current and planned preclinical studies or our Phase 1 clinical trials of FPI-2265, FPI-1434, FPI-1966 or FPI-2059 or future clinical trials will be sufficient to obtain regulatory approval. In addition, because our lead product candidates are our most advanced product candidates, and because our future product candidates that use antibodies as a targeting molecule are based or will be based on our Fast-Clear technology, if our lead product candidates encounter safety or efficacy problems, developmental delays, regulatory issues, or other problems, our development plans and business related to our other current or future product candidates using antibodies could be significantly harmed. A failure of either of our lead product candidates may affect the ability to obtain regulatory approval to continue or conduct clinical programs for our other or future product candidates. Further, competitors who are developing products with similar technology may experience problems with their products that could identify problems that would potentially harm our business.

Clinical development involves a lengthy and expensive process with uncertain outcomes, and results of earlier studies and trials may not be predictive of future clinical trial results. If our preclinical studies and clinical trials are not sufficient to support regulatory approval of any of our product candidates, we may incur additional costs or experience delays in completing, or ultimately be unable to complete, the development of such product candidate.

We cannot be certain that our preclinical study and clinical trial results will be sufficient to support regulatory approval of our product candidates. Clinical testing is expensive and can take many years to complete, and its outcomes are inherently uncertain. Human clinical trials are expensive and difficult to design and implement, in part because they are subject to rigorous regulatory requirements. Our clinical trials may not be conducted as planned or completed on schedule, if at all, and failure can occur at any time during the preclinical study or clinical trial process. Despite promising preclinical or clinical results, any product candidate can unexpectedly fail at any stage of preclinical or clinical development. The historical failure rate for product candidates in our industry is high.

We may experience delays in obtaining the FDA’s authorization, or the authorization of similar foreign regulatory authorities, to initiate clinical trials. Additionally, we cannot be certain that preclinical studies or clinical trials for our product candidates will begin on time, not require redesign, enroll an adequate number of subjects on time, or be completed on schedule, if at all. Clinical trials can be delayed or terminated for a variety of reasons, including delays or failures related to:

the availability of financial resources to commence and complete the planned trials;
the FDA or similar foreign regulatory authorities disagreeing as to the design or implementation of our clinical trials;
delays in obtaining regulatory approval or authorization to commence a clinical trial, including delays or issues relating to our use of imaging analogues or any future companion diagnostics we may develop;
reaching agreement on acceptable terms with prospective contract research organizations, or CROs, and clinical trial sites, the terms of which can be subject to extensive negotiation and may vary significantly among different CROs and clinical trial sites;
obtaining institutional review board, or IRB, research ethics board, or REB, or ethics committee approval at each clinical trial site;
recruiting an adequate number of suitable patients to participate in a clinical trial;
having subjects complete a clinical trial or return for post-treatment follow-up;
clinical trial sites deviating from clinical trial protocol or dropping out of a clinical trial;

53


 

having third-party contractors fail to complete their obligations in a timely manner or failing to comply with applicable regulatory requirements;
addressing subject safety concerns that arise during the course of a clinical trial;
adding a sufficient number of clinical trial sites; or
obtaining sufficient product supply of our product candidates, and components thereof, including 225Ac for use in preclinical studies or clinical trials from third-party suppliers.

If we are required to conduct additional clinical trials or other testing of our product candidates beyond those that we currently contemplate, if we are unable to successfully complete clinical trials of our product candidates or other testing, if the results of these trials or tests are not positive or are not as positive as we expect or if there are safety concerns, our business and results of operations may be adversely affected and we may incur significant additional costs. Accordingly, our clinical trial costs are likely to be significantly higher than those for more conventional therapeutic technologies or drug product candidates.

We could also experience delays if physicians encounter unresolved ethical issues associated with enrolling patients in clinical trials of our product candidates in lieu of prescribing existing treatments that have established safety, efficacy, potency and purity profiles. We could also encounter delays if a clinical trial is suspended or terminated by us, by the IRBs or REBs of the institutions in which such clinical trials are being conducted, by the Data Safety Monitoring Board for such clinical trial or by the FDA or similar foreign regulatory authorities. Such authorities may suspend or terminate a clinical trial due to a number of factors, including failure to conduct the clinical trial in accordance with regulatory requirements or our clinical trial protocols, inspection of the clinical trial operations or trial site by the FDA or similar regulatory authorities resulting in the imposition of a clinical hold, unforeseen safety issues or adverse side effects, failure to demonstrate a benefit from the product candidates, changes in governmental regulations or administrative actions or lack of adequate funding to continue the clinical trial.

If we experience delays in the completion, or termination, of any preclinical study or clinical trial of our product candidates, the commercial prospects of our product candidates may be harmed, and our ability to generate revenues from any of these product candidates will be delayed or not realized at all. In addition, any delays in completing our preclinical studies or clinical trials may increase our costs, slow down the development of our product candidates and approval process and jeopardize our ability to commence product sales and generate revenues. Any of these occurrences may significantly harm our business, financial condition and prospects. In addition, many of the factors that cause, or lead to, a delay in the commencement or completion of clinical trials may also ultimately lead to the denial of regulatory approval of our product candidates. If one or more of our product candidates that use antibodies as a targeting molecule generally prove to be ineffective, unsafe or commercially unviable, our antibody-based pipeline using the Fast-Clear technology could have little, if any, value, which would have a material and adverse effect on our business, financial condition, results of operations and prospects.

The commercial success of our products and product candidates will depend upon public perception of radiopharmaceuticals and the degree of their market acceptance by physicians, patients, healthcare payors and others in the medical community.

Adverse events in clinical trials of our product candidates or in clinical trials of others developing similar products and the resulting negative publicity, as well as any other adverse events in the field of radiopharmaceuticals that may occur in the future, could result in a decrease in demand for our products or any product candidates that we may develop. If public perception is influenced by claims that radiopharmaceuticals or specific therapies within radiopharmaceuticals are unsafe, our products or product candidates may not be accepted by the general public or the medical community.

In particular, the future commercial success of our products and product candidates, as applicable, depends and will depend upon, among other things, these products and product candidates gaining and maintaining acceptance by physicians, patients, third-party payors and other members of the medical community as efficacious and cost-effective alternatives to competing products and treatments. If any of our products or product candidates do not achieve and maintain an adequate level of acceptance, we may not generate material sales of that product or product candidate or be able to successfully commercialize it. The degree of market acceptance of our products and product candidates will depend on a number of factors, including:

our ability to provide acceptable evidence of safety and efficacy;
the prevalence and severity of any side effects;
publicity concerning our products and product candidates or competing products and treatments;

54


 

availability, relative cost and relative efficacy of alternative and competing treatments;
the ability to offer our products for sale at competitive prices;
the relative convenience and ease of administration of our products and product candidates;
the willingness of the target patient population to try new products and product candidates and of physicians to prescribe these products and product candidates;
the strength of marketing and distribution support; and
the sufficiency of coverage or reimbursement by third parties.

If our products, if approved, do not become widely accepted by potential customers, physicians, patients, third-party payors and other members of the medical community, such a lack of acceptance could have a material adverse effect on our business, financial condition and results of operations.

We expect to develop many of our product candidates, and potentially future product candidates, in combination with other therapies, which exposes us to additional risks.

We intend to develop FPI-2265, FPI-1434, FPI-1966 and FPI-2059, and may develop future product candidates, for use in combination with one or more currently approved cancer therapies. For example, in May 2021, we announced that we had entered into a clinical trial collaboration with a subsidiary of Merck to evaluate FPI-1434 in combination with Merck’s anti-PD-1 (programmed death receptor-1) therapy, KEYTRUDA® (pembrolizumab), in patients with solid tumors expressing insulin-like growth factor 1 receptor. Even if any product candidate we develop was to receive marketing approval or be commercialized for use in combination with other existing therapies, we would continue to be subject to the risks that the FDA or similar foreign regulatory authorities could revoke approval of the therapy used in combination with our product candidate or that safety, efficacy, manufacturing or supply issues could arise with these existing therapies. Combination therapies are commonly used for the treatment of cancer, and we would be subject to similar risks if we develop any of our product candidates for use in combination with other drugs or for indications other than cancer. This could result in our own products being removed from the market or being less successful commercially.

We may also evaluate our current or any other future product candidates in combination with one or more other cancer therapies that have not yet been approved for marketing by the FDA or similar foreign regulatory authorities. We will not be able to market and sell any product candidate we develop in combination with any such unapproved cancer therapies that do not ultimately obtain marketing approval.

If the FDA or similar foreign regulatory authorities do not approve these other drugs or revoke their approval of, or if safety, efficacy, manufacturing, or supply issues arise with, the drugs we choose to evaluate in combination with our current product candidates or any product candidate we develop, we may be unable to obtain approval of or market any such product candidate we develop.

We may be unable to obtain regulatory approval for our product candidates under applicable regulatory requirements. The denial or delay of any such approval would delay commercialization of our product candidates and adversely impact our potential to generate revenue, our business and our results of operations.

The research, testing, manufacturing, labeling, licensure, sale, marketing and distribution of biologic products and drugs are subject to extensive regulation by the FDA and similar regulatory authorities in the United States and other countries, and such regulations differ from country to country. We are not permitted to market our product candidates in the United States or in any foreign countries until they receive the requisite marketing approval from the applicable regulatory authorities of such jurisdictions.

The FDA and similar foreign regulatory authorities can delay, limit or deny marketing authorization of our product candidates for many reasons, including:

our inability to demonstrate to the satisfaction of the FDA or similar foreign regulatory authority that any of our product candidates are safe, potent and pure, or safe and effective, for their proposed indication;
the FDA’s or the applicable foreign regulatory authority’s disagreement with our trial protocols, trial designs or the interpretation of data from preclinical studies or clinical trials;

55


 

our inability to demonstrate that the clinical and other benefits of any of our product candidates outweigh any safety or other perceived risks;
the FDA’s or the applicable foreign regulatory authority’s requirement for additional preclinical studies or clinical trials;
the results of clinical trials may not meet the level of statistical significance required by the FDA or similar foreign regulatory authorities for marketing approval, or that regulatory authorities may require us to include a larger number of patients than we anticipated;
the FDA’s or the applicable foreign regulatory authority’s failure to approve the manufacturing processes or facilities of third-party manufacturers upon which we rely;
the quality of our product candidates or other materials necessary to conduct preclinical studies or clinical trials of our product candidates, including any potential companion diagnostics, may be insufficient or inadequate;
the potential for approval policies or regulations of the FDA or similar foreign regulatory authorities to significantly change in a manner rendering our clinical data insufficient for marketing approval; or
the data collected from clinical trials of our product candidates may not be sufficient to the satisfaction of the FDA or comparable foreign regulatory authorities to support the submission of a BLA, NDA, or other comparable submission in foreign jurisdictions or to obtain approval of our product candidates in the United States or elsewhere.

Any of these factors, many of which are beyond our control, may result in our failing to obtain regulatory approval to market any of our product candidates, which would significantly harm our business, results of operations and prospects. Of the large number of biologic and drug product candidates in development, only a small percentage successfully complete the FDA or similar regulatory approval processes and are commercialized. Even if we eventually complete clinical testing and receive marketing authorization from the FDA or similar foreign regulatory authorities for any of our product candidates, the FDA or similar foreign regulatory authority may grant approval contingent on the performance of costly additional clinical trials which may be required after approval. The FDA or similar foreign regulatory authority also may approve our product candidates for a more limited indication or a narrower patient population than we originally requested, and the FDA similar other foreign regulatory authority, may not approve our product candidates with the labeling that we believe is necessary or desirable for the successful commercialization of such product candidates.

In addition, even if the trials are successfully completed, preclinical and clinical data are often susceptible to varying interpretations and analyses, and we cannot guarantee that the FDA or similar foreign regulatory authorities will interpret the results as we do, and more clinical trials could be required before we submit our product candidates for approval. To the extent that the results of the clinical trials are not satisfactory to the FDA or similar foreign regulatory authorities for support of a marketing application, approval of our product candidates may be significantly delayed, or we may be required to expend significant additional resources, which may not be available to us, to conduct additional clinical trials in support of potential approval of our product candidates.

Any delay in obtaining, or inability to obtain, applicable regulatory approval would delay or prevent commercialization of our product candidates and would materially adversely impact our business and prospects.

Our preclinical studies and clinical trial may fail to adequately demonstrate the safety, potency and purity, or safety and effectiveness, of any of our product candidates, which would prevent or delay development, regulatory approval and commercialization.

Before obtaining regulatory approvals for the commercial sale of our product candidates, including our lead product candidates, we must demonstrate through lengthy, complex and expensive preclinical studies and clinical trials that our product candidates are both safe and effective for use in each target indication. Preclinical studies and clinical trials are expensive and can take many years to complete, and their outcomes are inherently uncertain. Failure can occur at any time during the preclinical study and clinical trial processes, and, because our product candidates are in an early stage of development, there is a high risk of failure and we may never succeed in developing marketable products.

Any preclinical studies or clinical trials that we may conduct may not demonstrate the safety, potency and purity, or safety and effectiveness, necessary to obtain regulatory approval to market our product candidates. If the results of our ongoing or future preclinical studies and clinical trials are inconclusive, if we do not meet the clinical endpoints with statistical and clinically meaningful significance, or if there are safety concerns associated with our product candidates, we may be prevented

56


 

or delayed in obtaining marketing approval for such product candidates. In some instances, there can be significant variability in results between different preclinical studies and clinical trials of the same product candidate due to numerous factors, including changes in trial procedures set forth in protocols, differences in the size and type of the patient populations, changes in and adherence to the clinical trial protocols and the rate of dropout among clinical trial participants.

In addition, for our Phase 2 clinical trial of FPI-2265, assuming successful transfer of RadioMedix’s IND for 225Ac-PSMA-I&T, and our Phase 1 clinical trials of FPI-1434, FPI-1966 and FPI-2059 and any future clinical trials that may be completed for our product candidates, we cannot guarantee that the FDA or similar foreign regulatory authorities will interpret the results as we do, and more trials could be required before we submit our product candidates for approval. To the extent that the results of the trials are not satisfactory to the FDA or similar foreign regulatory authorities to support a marketing application, approval of our product candidates may be significantly delayed or prevented entirely, or we may be required to expend significant additional resources, which may not be available to us, to conduct additional trials in support of potential approval of our product candidates.

The results of preclinical studies and early-stage clinical trials may not be predictive of future results. Initial success in our ongoing clinical trials may not be indicative of results obtained when these trials are completed or in later-stage trials.

The results of preclinical studies may not be predictive of the results of clinical trials, and the results of any early-stage clinical trials we commence may not be predictive of the results of the later-stage clinical trials. In addition, initial success in clinical trials may not be indicative of results obtained when such trials are completed. For example, our ongoing trials of FPI-2265, FPI-1434, FPI-1966 and FPI-2059 utilize an “open-label” trial design. An “open-label” clinical trial is one where both the patient and investigator know whether the patient is receiving the investigational product candidate or either an existing approved drug or placebo. Most typically, open-label clinical trials test only the investigational product candidate and sometimes may do so at different dose levels. Open-label clinical trials are subject to various limitations that may exaggerate any therapeutic effect as patients in open-label clinical trials are aware when they are receiving treatment. Open-label clinical trials may be subject to a “patient bias” where patients perceive their symptoms to have improved merely due to their awareness of receiving an experimental treatment. In addition, open-label clinical trials may be subject to an “investigator bias” where those assessing and reviewing the physiological outcomes of the clinical trials are aware of which patients have received treatment and may interpret the information of the treated group more favorably given this knowledge. The results from an open-label trial may not be predictive of future clinical trial results with any of our product candidates for which we include an open-label clinical trial when studied in a controlled environment with a placebo or active control.

There can be no assurance that any of our current or future clinical trials will ultimately be successful or support further clinical development of any of our product candidates. There is a high failure rate for drugs and biologics proceeding through clinical trials.

A number of companies in the pharmaceutical and biotechnology industries have suffered significant setbacks in clinical development even after achieving promising results in earlier studies, and any such setbacks in our clinical development could have a material adverse effect on our business and operating results. Moreover, preclinical and clinical data are often susceptible to varying interpretations and analyses and many companies that believed their product candidates performed satisfactorily in preclinical studies or clinical trials nonetheless failed to obtain FDA approval or approval from foreign regulatory authorities.

Interim, “top-line” and preliminary data from our clinical trials that we announce or publish from time to time may change as more patient data become available and are subject to audit and verification procedures that could result in material changes in the final data.

From time to time, we may publish interim, “top-line” or preliminary data from our clinical trials, which is based on a preliminary analysis of then-available data, and the results and related findings and conclusions are subject to change following a full analysis of all data related to the particular trial. We also make assumptions, estimations, calculations and conclusions as part of our analyses of data, and we may not have received or had the opportunity to fully and carefully evaluate all data. For example, our planned and ongoing Phase 1 and Phase 2 trials are and will be an open-label trial and we may decide to disclose interim, “top-line,” or preliminary safety data at certain points in its development. Such data from clinical trials that we may complete are subject to the risk that one or more of the clinical outcomes may materially change as patient enrollment continues and more patient data become available. Interim, “top-line” or preliminary data also remain subject to audit and verification procedures that may result in the final data being materially different from the preliminary data we previously published. As a result, interim, “top-line,” and preliminary data should be viewed with caution until the final data are available. Adverse

57


 

differences between interim, “top-line” or preliminary data and final data could significantly harm our reputation and business prospects.

In addition, the information we choose to publicly disclose regarding a particular study or clinical trial is distilled from a large body of raw data and you or others may not agree with what we determine is the material or otherwise appropriate information to include in our disclosures, and any information we determine not to disclose may ultimately be deemed significant with respect to future decisions, conclusions, views, activities or otherwise regarding a particular drug, product candidate or our business. If the interim, “top-line,” or preliminary data that we report differ from actual results, or if others, including regulatory authorities, disagree with the conclusions reached, our ability to obtain approval for and commercialize our product candidates, our business, prospects, financial condition and results of operations may be harmed.

Risks associated with the in-licensing or acquisition of drug candidates could cause substantial delays in the preclinical and clinical development of our drug candidates.

We acquired rights to FPI-2265 from RadioMedix Inc., or RadioMedix, in February 2023, after exercising our rights under an option and asset purchase agreement entered into in November 2022. Because we were not involved in the preclinical or clinical development of FPI-2265 prior to such date, we may experience difficulties in the transition of certain development activities from RadioMedix and its affiliates to us, which may result in delays in clinical trials, as well as problems in our development efforts, particularly if we do not receive all of the necessary information, reports and data from RadioMedix and its affiliates in a timely manner. Moreover, the current IND for FPI-2265 is an investigator sponsored IND and will need to be appropriately transferred to us. Once transferred, the IND will be considered a corporate sponsored IND by regulatory authorities which could result in additional requirements to the protocol or overall clinical trial design that could cause delays to the ongoing Phase 2 clinical study. In addition, we have had no involvement with or control over the preclinical and clinical development of FPI-2265 to date. We have relied on RadioMedix having conducted such research and development in accordance with the applicable protocol, legal, regulatory and scientific standards, having accurately reported the results of all clinical trials conducted prior to our agreement with RadioMedix and having correctly collected and interpreted the data from these trials. To the extent any of these has not occurred, expected development time and costs may be increased which could adversely affect any future revenue from this drug candidate.

We may also acquire or in-license additional drug candidates for preclinical or clinical development in the future as we continue to build our pipeline. The risks associated with acquiring or in-licensing current or future drug candidates could result in delays in the commencement or completion of our preclinical studies and clinical trials, if ever, and our ability to generate revenues from our drug candidates may be delayed.

We have never commercialized a product candidate and may experience delays or unexpected difficulties in obtaining regulatory approval for our current and future product candidates.

We have never obtained regulatory approval for, or commercialized, a biologic or drug. It is possible that the FDA may refuse to accept any or all of our planned BLAs or NDAs for substantive review or may conclude after review of our data that our application is insufficient to obtain regulatory approval for any product candidates. If the FDA does not approve any of our planned BLAs or NDAs, it may require that we conduct additional costly clinical trials, preclinical studies or manufacturing validation studies before it will reconsider our applications. Depending on the extent of these or any other FDA- required studies, approval of any BLA, NDA, or other application that we submit may be significantly delayed, possibly for several years, or may require us to expend more resources than we have available. Any failure or delay in obtaining regulatory approvals would prevent us from commercializing our product candidates, generating revenues and achieving and sustaining profitability. It is also possible that additional studies, if performed and completed, may not be considered sufficient by the FDA to approve any BLA, NDA, or other application that we submit. If any of these outcomes occur, we may be forced to abandon the development of our product candidates, which would materially adversely affect our business and could potentially cause us to cease operations. We face similar risks for our applications in foreign jurisdictions.

Since the number of patients that we plan to enroll in our ongoing Phase 1 clinical trials are small, the results from such clinical trials, once completed, may be less reliable than results achieved in larger clinical trials, which may hinder our efforts to obtain regulatory approval for our product candidates.

In our planned and ongoing Phase 1 clinical trials, we are evaluating the safety and tolerability of our product candidates to determine the maximum tolerated dose of such product candidate. The preliminary results of clinical trials with smaller sample sizes can be disproportionately influenced by various biases associated with the conduct of small clinical trials, such as the potential failure of the smaller sample size to accurately depict the features of the broader patient population, which limits

58


 

the ability to generalize the results across a broader community, thus making the clinical trial results less reliable than clinical trials with a larger number of patients. In addition, our tumor agnostic clinical trial designs, together with the small sample size, may not allow us to enroll a sufficient number of patients with tumor types most likely to respond to our treatment. As a result, there may be less certainty that such product candidates would achieve a statistically significant effect in any future clinical trials. If we conduct any future clinical trials of our product candidates with a larger sample size, we may not achieve a statistically significant result or the same level of statistical significance, if any, that we might have anticipated based on the results observed in our initial Phase 1 clinical trials.

Our product candidates may cause adverse events, undesirable side effects or have other properties that could halt their preclinical or clinical development, prevent, delay, or cause the withdrawal of their regulatory approval, limit their commercial potential, or result in significant negative consequences, including death of patients. If any of our product candidates receive marketing approval and we, or others, later discover that the drug is less effective than previously believed or causes undesirable side effects that were not previously identified, our ability, or that of any potential future collaborators, to market the biologic or drug could be compromised.

As with most biologic and drug products, use of our product candidates could be associated with undesirable side effects or adverse events which can vary in severity from minor reactions to death and in frequency from infrequent to prevalent. Undesirable side effects or unacceptable toxicities caused by our product candidates could cause us or regulatory authorities to interrupt, delay, or halt clinical trials.

Treatment-related undesirable side effects or adverse events could also affect patient recruitment or the ability of enrolled subjects to complete the trial, or could result in potential product liability claims. In addition, these side effects may not be appropriately or timely recognized or managed by the treating medical staff, particularly outside of the research institutions that collaborate with us. We expect to have to educate and train medical personnel using our product candidates to understand their side effect profiles, both for our Phase 1 clinical trials and any future clinical trials and upon any commercialization of any product candidates. Inadequate training in recognizing or managing the potential side effects of our product candidates could result in adverse events to patients, including death. Any of these occurrences may materially and adversely harm our business, financial condition, results of operations and prospects.

Clinical trials of our product candidates must be conducted in carefully defined subsets of patients who have agreed to enter into clinical trials. Consequently, it is possible that our clinical trials, or those of any potential future collaborator, may indicate an apparent positive effect of a product candidate that is greater than the actual positive effect, if any, or alternatively fail to identify undesirable side effects. If one or more of our product candidates receives marketing approval and we, or others, discover that the drug is less effective than previously believed or causes undesirable side effects that were not previously identified, including during any long-term follow-up observation period recommended or required for patients who receive treatment using our products, a number of potentially significant negative consequences could result, including:

regulatory authorities may withdraw approvals of such product, seize the product, or seek an injunction against its manufacture or distribution;
we, or any future collaborators, may be required to recall the product, change the way such product is administered to patients or conduct additional clinical trials;
additional restrictions may be imposed on the marketing of, or the manufacturing processes for, the particular product;
regulatory authorities may require additional warnings on the label, such as a “black box” warning or a contraindication, or impose distribution or use restrictions;
we, or any future collaborators, may be required to create a Risk Evaluation and Mitigation Strategy, or REMS, which could include a medication guide outlining the risks of such side effects for distribution to patients, a communication plan for healthcare providers, and/or other elements to assure safe use;
we, or any future collaborators, may be subject to fines, injunctions or the imposition of civil or criminal penalties;
we, or any future collaborators, could be sued and held liable for harm caused to patients;
the drug may become less competitive; and
our reputation may suffer.

59


 

Any of the foregoing could prevent us from achieving or maintaining market acceptance of the particular product candidate, if approved, and could significantly harm our business, results of operations, and prospects, and could adversely impact our financial condition, results of operations or the market price of our common shares.

Our business may be adversely affected by a pandemic, epidemic or outbreak of an infectious disease, such as the ongoing COVID-19 pandemic and the emergence of additional variants.

Our business could be adversely affected by health epidemics in regions where we have concentrations of clinical trial sites or other business activities and could cause significant disruption in the operations of third-party contract manufacturers and contract research organizations upon whom we rely, as well as our ability to recruit patients for our clinical trials. For example, the ongoing COVID-19 pandemic continues to have unpredictable impacts on global societies, economies, financial markets, and business practices around the world.

The extent to which the ongoing COVID-19 pandemic may impact our business, results of operations and future growth prospects will depend on a variety of factors and future developments, which are highly uncertain and cannot be predicted with confidence, including the duration, scope and severity of the pandemic, particularly as virus variants continue to spread. For example, we experienced, and may experience again, some temporary delays or disruptions due to the COVID-19 pandemic, including pauses in and delays to patient dosing, limited or reduced patient access to ICU beds, hospitals and healthcare resources generally, delayed initiation of new clinical trial sites and limited on-site personnel support at various trial sites. In addition, certain of our third-party manufacturers and suppliers paused their operations in the early stages of the pandemic, and some have paused their operations again as additional waves of the COVID-19 pandemic have impacted local communities and/or as a result of national and local regulations.

We are actively monitoring and managing our response and evaluating the actual and potential impacts to our business operations, including on our ongoing and planned clinical trials. We will continue to work closely with our third-party vendors, collaborators, and other parties in order to seek to advance our programs and pipeline of product candidates, while keeping the health and safety of our employees and their families, partners, third-party vendors, healthcare providers, patients and communities a top priority.

The market opportunities for our product candidates may be smaller than we anticipated or may be limited to those patients who are ineligible for or have failed prior treatments. If we encounter difficulties enrolling patients in our clinical trials, our clinical development activities could be delayed or otherwise adversely affected.

Our current and future target patient populations are based on our beliefs and estimates regarding the incidence or prevalence of certain types of cancers that may be addressable by our product candidates, which is derived from a variety of sources, including scientific literature and surveys of clinics. Our projections may prove to be incorrect and the number of potential patients may turn out to be lower than expected. Even if we obtain significant market share for our product candidates, because the potential target populations could be small, we may never achieve profitability without obtaining regulatory approval for additional indications, including use of our product candidates for front-line and second-line therapy.

We expect to initially seek approval of some of our product candidates as second- or third-line therapies for patients who have failed other approved treatments. Subsequently, for those product candidates that prove to be sufficiently beneficial, if any, we would expect to seek approval as a second-line therapy and potentially as a front-line therapy, but there is no guarantee that our product candidates, even if approved for third-line therapy, would be approved for second-line or front-line therapy. In addition, we may have to conduct additional clinical trials prior to gaining approval for second-line or front-line therapy.

We may encounter difficulties enrolling patients in our clinical trials, and our clinical development activities could thereby be delayed or otherwise adversely affected.

The timely completion of clinical trials in accordance with their protocols depends, among other things, on our ability to enroll a sufficient number of patients who remain in the trial until its conclusion. We may experience difficulties in patient enrollment in our clinical trials for a variety of reasons, including:

the size and nature of the patient population;
the patient eligibility criteria defined in the protocol;
the size of the trial population required for analysis of the trial’s primary endpoints;
the proximity of patients to trial sites;

60


 

the design of the trial;
our ability to recruit clinical trial investigators with the appropriate competencies and experience;
competing clinical trials for similar therapies or other new therapeutics not involving our product candidates and/or related technologies;
clinicians’ and patients’ perceptions as to the potential advantages and side effects of alpha therapies of the product candidate being studied in relation to other available therapies, including any new drugs or treatments that may be approved for the indications we are investigating;
our ability to obtain and maintain patient consents; and
the risk that patients enrolled in clinical trials will not complete a clinical trial.

In addition, our clinical trials will compete with other clinical trials for product candidates that are in the same therapeutic areas as our product candidates, and this competition will reduce the number and types of patients available to us, because some patients who might have opted to enroll in our trials may instead opt to enroll in a trial being conducted by one of our competitors. We may conduct some of our clinical trials at the same clinical trial sites that some of our competitors use, which will reduce the number of patients who are available for our clinical trials at such clinical trial sites. Moreover, because our product candidates represent a departure from more commonly used methods for cancer treatment, potential patients and their doctors may be inclined to only use conventional therapies, such as chemotherapy and external beam radiation, rather than enroll patients in any future clinical trial.

Even if we are able to enroll a sufficient number of patients in our clinical trials, delays in patient enrollment may result in increased costs or may affect the timing or outcome of the planned clinical trials, which could prevent completion of these trials and adversely affect our ability to advance the development of our product candidates.

We currently have no marketing and sales organization and have no experience in marketing products. If we are unable to establish marketing and sales capabilities or enter into agreements with third parties to market and sell our product candidates, if approved for commercial sale, we may not be able to generate product revenue.

We currently have no sales, marketing or distribution capabilities and have no experience in marketing products. We intend to develop an in-house marketing organization and sales force, which will require significant capital expenditures, management resources and time. We will have to compete with other pharmaceutical and biotechnology companies to recruit, hire, train and retain marketing and sales personnel.

If we are unable or decide not to establish internal sales, marketing and distribution capabilities, we will pursue collaborative arrangements regarding the sales and marketing of our products, if licensed. However, there can be no assurance that we will be able to establish or maintain such collaborative arrangements, or if we are able to do so, that they will have effective sales forces. Any revenue we receive will depend upon the efforts of such third parties, which may not be successful. We may have little or no control over the marketing and sales efforts of such third parties and our revenue from product sales may be lower than if we had commercialized our product candidates ourselves. We also face competition in our search for third parties to assist us with the sales and marketing efforts of our product candidates.

There can be no assurance that we will be able to develop in-house sales and distribution capabilities or establish or maintain relationships with third-party collaborators to commercialize any product in the United States or in other jurisdictions for which we are able to obtain regulatory approval.

We may expend our resources to pursue a particular product candidate and forgo the opportunity to capitalize on product candidates or indications that may ultimately be more profitable or for which there is a greater likelihood of success.

We have limited financial and personnel resources and are placing significant focus on the development of our lead product candidates, and as such, we may forgo or delay pursuit of opportunities with other future product candidates that later prove to have greater commercial potential. Our resource allocation decisions may cause us to fail to capitalize on viable commercial products or profitable market opportunities. Our spending on current and future research and development programs and other future product candidates for specific indications may not yield any commercially viable future product candidates. If we do not accurately evaluate the commercial potential or target market for a particular future product candidate, we may relinquish valuable rights to those future product candidates through collaboration, licensing or other royalty

61


 

arrangements in cases in which it would have been more advantageous for us to retain sole development and commercialization rights to such future product candidates.

We currently conduct and may in the future conduct clinical trials for our product candidates outside the United States, and the FDA and similar foreign regulatory authorities may not accept data from such trials.

We are currently conducting clinical trials in Canada and may in the future choose to conduct additional clinical trials outside the United States, including in Australia, Europe or other foreign jurisdictions. The acceptance of trial data from clinical trials conducted outside the United States by the FDA may be subject to certain conditions. In cases where data from clinical trials conducted outside the United States are intended to serve as the sole basis for marketing approval in the United States, the FDA will generally not approve the application on the basis of foreign data alone unless (i) the data are applicable to the United States population and United States medical practice; (ii) the trials were performed by clinical investigators of recognized competence; and (iii) the data may be considered valid without the need for an on-site inspection by the FDA or, if the FDA considers such an inspection to be necessary, the FDA is able to validate the data through an on-site inspection or other appropriate means. Additionally, the FDA’s clinical trial requirements, including sufficient size of patient populations and statistical powering, must be met. Many foreign regulatory bodies have similar approval requirements. In addition, such foreign trials would be subject to the applicable local laws of the foreign jurisdictions where the trials are conducted. There can be no assurance that the FDA or any similar foreign regulatory authority will accept data from trials conducted outside of the United States or the applicable jurisdiction. If the FDA or any similar foreign regulatory authority does not accept such data, it would result in the need for additional trials, which would be costly and time-consuming and delay aspects of our business plan, and which may result in our product candidates not receiving approval or clearance for commercialization in the applicable jurisdiction.

Risks Related to Our Reliance on Third Parties and Manufacturing

Presently, some of our product candidates are biologics and the manufacture of such product candidates is complex. Currently, and even after the future completion of the construction of our own manufacturing facility, we rely, and will continue to rely, on third parties to manufacture our lead product candidates for our ongoing clinical trials and our preclinical studies as well as any preclinical studies or clinical trials of our future product candidates that we may conduct. We also expect to rely on third parties for the commercial manufacturing process of our product candidates, if approved. Our business could be harmed if those third parties fail to provide us with sufficient quantities of product supplies or product candidates, or fail to do so at acceptable quality levels or prices.

Presently, some of our product candidates are biologics and the process of manufacturing them is complex, highly regulated and subject to multiple risks. As a result of these complexities, the cost to manufacture biologics is generally higher than traditional small molecule chemical compounds, and the manufacturing process for biologics is less reliable and is more difficult to reproduce. In addition, manufacturing our product candidates will require many reagents, which are substances used in our manufacturing processes to bring about chemical or biological reactions, and other specialty materials and equipment, some of which are manufactured or supplied by small companies with limited resources and experience to support commercial biologics production. Even minor deviations from normal manufacturing processes could result in reduced production yields, product defects, and other supply disruptions. If microbial, viral or other contaminations are discovered in our product candidates or in the manufacturing facilities in which our product candidates are made, such manufacturing facilities may need to be closed for an extended period of time to investigate and remedy the contamination. We cannot assure you that any stability failures or other issues relating to the manufacture of our product candidates will not occur in the future. Further, as product candidates are developed through preclinical to late-stage clinical trials towards approval and commercialization, it is common that various aspects of the development program, such as manufacturing methods, are altered along the way in an effort to optimize processes and results. Such changes carry the risk that they will not achieve these intended objectives, and any of these changes could cause our product candidates to perform differently and affect the results of planned clinical trials or other future clinical trials.

Although we are currently in the process of establishing our own manufacturing facility, we currently intend to continue to rely on outside vendors to manufacture supplies and process our product candidates for preclinical studies and clinical trials under the guidance of our management team. Our manufacturing process may be more difficult or expensive than the approaches currently in use. We may make changes as we work to optimize the manufacturing process, and we cannot be sure that even minor changes in the process will not result in significantly different products that may not be as safe and effective as any product candidates deployed by our third-party research institution collaborators.

We are substantially dependent on third-party entities for supply our raw material and manufacturing. To date, we have obtained the actinium for our Phase 1 clinical trials from the U.S. Department of Energy, or DoE. The raw material for our

62


 

TATs is shipped to third-party CDMOs, which manufacture the product candidate. In December 2020, we entered into a collaboration agreement and supply agreement with the TRIUMF entities for the development, production and supply of 225Ac to us which was amended in August 2021. Under the agreement, we will invest up to $20.0 million CAD in TRIUMF for the advancement of processes, technology and intellectual property around the manufacture of 225Ac along with preferred access and pricing to 225Ac. In June 2022, we announced that we entered into a collaboration and supply agreement with Niowave, Inc., or Niowave, for the development, production, and supply of 225Ac. Under the agreement, we will invest up to $5 million in Niowave to further develop their technology to increase current production capacity of 225Ac, and in return we will have guaranteed access to a pre-determined percentage of Niowave’s capacity of the resulting 225Ac, as well as preferred access to any excess supply produced. In January 2023, we announced that we entered into a supply agreement with BWXT Medical Ltd., or BWXT, for the supply of 225Ac. TRIUMF, Niowave and BWXT may not be able to supply us with 225Ac at the level of production to meet our clinical or commercial needs. We may also be unable to enter into supply agreements with other third parties for the supply of 225Ac at the level of production to meet our clinical or commercial needs.

Even after we establish our own manufacturing facility, we expect to rely on third-party manufacturers or third-party collaborators for the manufacture of our product candidates and for commercial supply of any of our product candidates for which we or any of our potential future collaborators obtain marketing approval. We may be unable to maintain agreements with our existing third-party manufacturers, or to establish additional agreements with third-party manufacturers or to do so on acceptable terms. Even if we are able to establish agreements with third-party manufacturers, reliance on third-party manufacturers entails additional risks, including:

the number of potential manufacturers is limited and any new manufacturers are subject to the FDA’s review and approval of a supplemental BLA or NDA. This approval would require new testing and may require pre-approval inspections of the new manufacturer by the FDA. In addition, a new manufacturer would have to be educated in, or develop substantially equivalent processes for, production of our products;
our third-party manufacturers might be unable to timely manufacture our product or produce the quantity and quality required to meet our clinical and commercial needs, if any;
our third-party manufacturers may not be able to execute our manufacturing procedures and other logistical support requirements appropriately;
our third-party manufacturers may not perform as agreed, according to our schedule or specifications, or at all, may not devote sufficient resources to our product candidates, may give greater priority to the supply of other products over our product candidates, or may not remain in the contract manufacturing business for the time required to supply our clinical trials or to successfully produce, store, and distribute our products;
our third-party manufacturers are subject to ongoing periodic unannounced inspection by the FDA and corresponding state agencies, and similar foreign regulatory authorities to ensure strict compliance with cGMPs and other government regulations and corresponding foreign standards. We do not have control over third-party manufacturers’ compliance with these and/or any other applicable regulations and standards;
we may not own, or may have to share, the intellectual property rights to any improvements made by our third-party manufacturers in the manufacturing process for our products;
our third-party manufacturers could breach, terminate or not renew their agreement with us at a time that is costly or inconvenient for us;
clinical and, if approved, commercial supplies for the raw materials and components used to manufacture and process our product candidates, particularly those for which we have no other source or supplier, may not be available or may not be suitable or acceptable for use due to material or component defects;
the possible mislabeling of clinical supplies, potentially resulting in the wrong dose amounts being supplied or active drug or placebo not being properly identified;
the possible misappropriation of our proprietary information, including our trade secrets and know-how;
the possibility of clinical supplies not being delivered to clinical sites on time, leading to clinical trial interruptions, or of drug supplies not being distributed to commercial vendors in a timely manner, resulting in lost sales; and
our third-party manufacturers may have unacceptable or inconsistent product quality success rates and yields.

In addition, if any third-party manufacturer with whom we contract fails to perform its obligations, we may be forced to manufacture the materials ourselves, for which we currently do not have the capabilities or resources, or enter into an agreement

63


 

with a different third-party manufacturer, which we may not be able to do on reasonable terms, if at all. In either scenario, our clinical trials supply could be delayed significantly as we establish alternative supply sources. In some cases, the technical skills required to manufacture our products or product candidates may be unique or proprietary to the original third-party manufacturer and we may have difficulty, or there may be contractual restrictions prohibiting us from, transferring such skills to a back-up or alternate supplier, or we may be unable to transfer such skills at all. In addition, if we are required to change our third-party manufacturer for any reason, we will be required to verify that the new third-party manufacturer maintains facilities and procedures that comply with quality standards and with all applicable regulations. We will also need to verify, such as through a manufacturing comparability study, that any new manufacturing process will produce our product candidate according to the specifications previously submitted to the FDA or another regulatory authority. The delays associated with the verification of a new third-party manufacturer could negatively affect our ability to develop product candidates or commercialize our products in a timely manner or within budget. Furthermore, a third-party manufacturer may possess technology related to the manufacture of our product candidate that such third-party manufacturer owns independently. This would increase our reliance on such third-party manufacturers or require us to obtain a license from such third-party manufacturer in order to have another third-party manufacturer manufacture our product candidates. In addition, changes in manufacturers often involve changes in manufacturing procedures and processes, which could require that we conduct bridging studies between our prior clinical supply used in our clinical trials and that of any new manufacturer. We may be unsuccessful in demonstrating the comparability of clinical supplies which could require the conduct of additional clinical trials.

Our third-party manufacturers and clinical reagent suppliers may be subject to damage or interruption from, among other things, fire, natural or man-made disaster, power loss, telecommunications failure, unauthorized entry, computer viruses, denial-of-service attacks, acts of terrorism, human error, vandalism or sabotage, financial insolvency, bankruptcy and similar events.

Each of these risks could delay or prevent the completion of our ongoing and future clinical trials or the approval of any of our product candidates by the FDA or similar foreign regulatory authorities, resulting in higher costs or adversely impact commercialization of our product candidates. Any shortages in the supply of such raw materials used in the manufacture of our product candidates could delay or prevent the completion of our clinical trials or the approval of any of our product candidates by the FDA or similar foreign regulatory authorities, resulting in higher costs or adversely impact commercialization of our product candidates. In addition, we may rely on third parties to perform certain specification tests on our product candidates prior to delivery to patients. If these tests are not appropriately done and test data are not reliable, patients could be put at risk of serious harm and the FDA or similar foreign regulatory authorities could place significant restrictions on our company until deficiencies are remedied.

The facilities used by our contract manufacturers to manufacture our product candidates may be subject to inspections that will be conducted after we submit our BLA or NDA to the FDA. We do not have complete control over all aspects of the manufacturing process of, and are dependent on, our contract manufacturing partners for compliance with cGMP regulations. Any product candidates that we may develop may compete with product candidates of other companies for access to manufacturing facilities. There are a limited number of manufacturers that operate under cGMP regulations and that might be capable of manufacturing for us. In order to advance many of our current or future products through further stages of clinical development, we will need to produce the Fast-Clear linker and bifunctional chelate in compliance with cGMP regulations, or find a third-party manufacturer that is capable of doing so. Our failure, or the failure of our third-party manufacturers, to comply with applicable regulations could result in sanctions being imposed on us, including fines, injunctions, civil penalties, delays, suspension or withdrawal of approvals, license revocation, seizures or recalls of product candidates or drugs, operating restrictions and criminal prosecutions, any of which could significantly and adversely affect supplies of our drugs and harm our business and results of operations.

Our contract manufacturers’ failure to achieve and maintain high manufacturing standards, in accordance with applicable regulatory requirements, or the incidence of manufacturing errors, could result in patient injury or death, product shortages, product recalls or withdrawals, delays or failures in product testing or delivery, cost overruns or other problems that could seriously harm our business. Contract manufacturers often encounter difficulties involving production yields, quality control and quality assurance, as well as shortages of qualified personnel.

We are currently in the process of establishing our own manufacturing facility and infrastructure in addition to relying on CDMOs for the manufacture of our product candidates, which will be costly, time-consuming, and which may not be successful.

In June 2021, we entered into a lease agreement with Hamilton, Ontario-based McMaster University for approximately 27,000 square feet of space at our current headquarters for the purpose of establishing a manufacturing facility to supplement

64


 

our existing agreements with CDMOs for the manufacture of drug substance and drug product for preclinical and clinical needs. We expect that construction of our own manufacturing facility will provide us with enhanced control of material supply for preclinical studies, clinical trials, and commercialization, enable more rapid implementation of process changes, and allow for better long-term margins if any of our product candidates successfully complete clinical trials and receive marketing approval.

We have no experience as a company in the construction or operation of a manufacturing facility and may never be successful in building our own manufacturing facility or capabilities. As a result, we will need to hire additional personnel to manage our operations and facilities and develop the necessary infrastructure to continue the research and development, manufacture and eventual commercialization, if approved, of our product candidates. We may encounter problems hiring and retaining the experienced scientific, quality control, and manufacturing personnel needed to operate our manufacturing processes, which could result in delays in production or difficulties in maintaining compliance with applicable regulatory requirements. Establishing and maintaining manufacturing operations may require a reallocation of other resources, particularly the time and attention of certain of our senior management, as well as potentially significant capital expenditures. If we fail to complete the planned facility in an efficient manner, or fail to recruit the required personnel and generally manage our growth effectively, the development and production of our product candidates could be curtailed or delayed. Even if we are successful, our manufacturing capabilities could be affected by cost-overruns, unexpected delays, equipment failures, labor shortages, natural disasters, power failures and numerous other factors that could prevent us from realizing the intended benefits of our manufacturing strategy and have a material adverse effect on our business.

Any problems in our manufacturing process or facilities could make us a less attractive collaborator for potential partners, including larger pharmaceutical companies and academic research institutions, which could limit our access to additional attractive development programs.

We do not have experience as a company managing a manufacturing facility.

Operating our own manufacturing facility will require significant resources, and we do not have experience as a company in managing a manufacturing facility. In part because of this lack of experience, we cannot be certain that our manufacturing plans will be completed on time, if at all, or if manufacturing of product candidates from our own manufacturing facility for our planned clinical trials will begin or be completed on time, if at all. In part because of our inexperience, we may have unacceptable or inconsistent product quality success rates and yields, and we may be unable to maintain adequate quality control, quality assurance, and qualified personnel. In addition, if we switch from our current contract manufacturers to our own manufacturing facility for one or more of our product candidates in the future, we may need to conduct additional preclinical studies to bridge our modified product candidates to earlier versions. Failure to successfully obtain and operate our planned manufacturing facility could adversely affect the commercial viability of our product candidates.

We may be unable to obtain a sufficient supply of product candidates to support clinical development or at commercial scale.

We manufacture our product candidates for patients, on-demand, because of the decay of the radioisotopes used for both imaging (111In) and for therapy (225Ac). We have developed intellectual property, know-how and trade secrets related to the manufacturing process of 225Ac and our product candidates so that we can provide clinical candidates to the patients in a timely manner.

111In, is a key component of our imaging analogues. We source medical grade 111In from a single source. Currently, we believe there is sufficient supply of 111In to advance our ongoing and planned clinical trials, support additional trials we may undertake utilizing 111In and for commercialization of our product candidates. We continually evaluate 111In manufacturers and suppliers and intend to have redundant suppliers prior to the commercial launch of FPI-2265, FPI-1434, FPI-1966 or FPI-2059, if either is approved. While we consider 111In to be readily available, there can be no guarantee that we will be able to secure another 111In supplier or obtain on terms that are acceptable to us.

225Ac is a key component of our product candidates, as well as other product candidates that we might consider for development with the 225Ac payload. We are continually working to ensure that there are adequate quantities of 225Ac available today to meet our current needs; however, our present main supplier, the DoE, has encountered supply shortages which could affect our business operations and results of operations. In December 2020, we entered into a collaboration agreement and supply agreement with the TRIUMF entities for the development, production and supply of 225Ac to us which was amended in August 2021. In June 2022, we announced that we entered into a collaboration and supply agreement with Niowave, Inc., or Niowave, for the development, production, and supply of 225Ac. In January 2023, we announced that we entered into a supply agreement with BWXT Medical Ltd., or BWXT, for the supply of 225Ac.

65


 

In addition, our contract for supply of 225Ac from the DoE must be renewed upon the end of its term, and the current contract extends through December 2023. There can be no assurance that the DoE will renew the contract or that change its policies that allow for the sale of this isotope to us. Failure to acquire sufficient quantities of medical grade 225Ac would make it impossible to effectively complete clinical trials and to commercialize any 225Ac-based product candidates that we may develop and would materially harm our business.

Our ability to conduct clinical trials to advance our product candidates is dependent on our ability to manufacture our product candidates in a cGMP compliant manner. Currently, we are dependent on third-party manufacturers, although, on June 2, 2021, we announced that we had entered a 15-year lease agreement with Hamilton, Ontario-based McMaster University to build a cGMP-compliant radiopharmaceutical manufacturing facility. However, we do not expect this facility to be operational until 2024. In the meantime, we must rely on our third-party manufacturers and suppliers. These suppliers may not perform their contracted services or may breach or terminate their agreements with us. Our suppliers are subject to regulations and standards that are overseen by regulatory and government agencies and we have no control over our suppliers’ compliance to these standards. Failure to comply with regulations and standards may result in their inability to supply isotope could result in delays in our clinical trials, which could have a negative impact on our business. We expect to continue to rely on third-party suppliers as we currently do even after the expected completion of our manufacturing facility in 2024.

We rely on third parties to conduct our current and planned clinical trials and plan to rely on third parties to conduct future clinical trials. If these third parties do not properly and successfully carry out their contractual duties or meet expected deadlines, we may not be able to obtain regulatory approval of or commercialize our product candidates.

We depend and will continue to depend on independent investigators and collaborators, such as medical institutions, CROs, contract development and manufacturing organizations, or CDMOs, and strategic partners to conduct our preclinical studies and clinical trials, including our ongoing and planned Phase 1 clinical trials. We also expect to enlist independent investigators, such as medical institutions and a CRO in the clinical development of FPI-2265. We expect to have to negotiate budgets and contracts with CROs, trial sites and CDMOs which may result in delays to our development timelines and increased costs. We will rely heavily on these third parties over the course of our clinical trials, and we control only certain aspects of their activities. As a result, we will have less direct control over the conduct, timing and completion of these clinical trials and the management of data developed through clinical trials than would be the case if we were relying entirely upon our own staff. Nevertheless, we are responsible for ensuring that each of our studies is conducted in accordance with applicable protocol, legal and regulatory requirements and scientific standards, and our reliance on third parties does not relieve us of our regulatory responsibilities. We and these third parties are required to comply with good clinical practices, or GCPs, which are regulations and guidelines enforced by the FDA and similar foreign regulatory authorities for product candidates in clinical development. Regulatory authorities enforce these GCPs through periodic inspections of trial sponsors, principal investigators and trial sites. If we or any of these third parties fail to comply with applicable GCP regulations, the clinical data generated in our clinical trials may be deemed unreliable and the FDA or similar foreign regulatory authorities may require us to perform additional clinical trials before approving our marketing applications. We cannot assure you that, upon inspection, such regulatory authorities will determine that any of our clinical trials comply with the GCP regulations. In addition, our clinical trials must be conducted with biologic or drug product produced under cGMP regulations, and will require a large number of test patients. Our failure or any failure by these third parties to comply with these regulations or to recruit a sufficient number of patients may require us to repeat clinical trials, which would delay the regulatory approval process. Moreover, our business may be implicated if any of these third parties violates federal or state fraud and abuse or false claims laws and regulations or healthcare privacy and security laws.

Any third parties conducting our clinical trials are not and will not be our employees and, except for remedies available to us under our agreements with such third parties, we cannot control whether or not they devote sufficient time and resources to our ongoing, clinical and preclinical product candidates. These third parties may also have relationships with other commercial entities, including our competitors, for whom they may also be conducting clinical trials or other drug development activities, which could affect their performance on our behalf. If these third parties do not successfully carry out their contractual duties or obligations or meet expected deadlines, if they need to be replaced or if the quality or accuracy of the clinical data they obtain is compromised due to the failure to adhere to our clinical protocols or regulatory requirements or for other reasons, our clinical trials may be extended, delayed or terminated and we may not be able to complete development of, obtain regulatory approval of or successfully commercialize our product candidates. As a result, our financial results and the commercial prospects for our product candidates would be harmed, our costs could increase and our ability to generate revenue could be delayed.

Switching or adding third parties to conduct our clinical trials involves substantial cost and requires extensive management time and focus and may ultimately be unsuccessful. In addition, there is a natural transition period when a new

66


 

third party commences work. As a result, delays occur, which can materially impact our ability to meet our desired clinical development timelines.

The strategic collaboration agreement with AstraZeneca is important to our business. We may depend on AstraZeneca or additional third parties for the development and commercialization of our other programs and future product candidates. Our current and future collaborators may control aspects of our clinical trials, which could result in delays or other obstacles in the commercialization of the product candidates we develop. If our collaborations are not successful, we may not be able to capitalize on the market potential of these product candidates.

Under the strategic collaboration agreement, the Collaboration Agreement, entered into between us and AstraZeneca UK Limited, or AstraZeneca, in October 2020, we and AstraZeneca will jointly discover, develop and commercialize next-generation alpha-emitting radiopharmaceuticals and combination therapies for the treatment of cancer by leveraging our TAT platform and expertise in radiopharmaceuticals with AstraZeneca’s portfolio of antibodies and cancer therapeutics. For the combination therapies, the parties will evaluate potential combination strategies involving our existing assets, including our FPI-1434 and FPI-1966 product candidates, in combination with certain of AstraZeneca’s existing therapeutics for the treatment of various cancers. AstraZeneca is obligated to fully fund all research and development activities for the combination strategies.

Our current Collaboration Agreement poses, and potential future collaborations involving our product candidates may pose, the following risks to us:

collaborators have significant discretion in determining the efforts and resources that they will apply to these collaborations;
collaborators could independently develop, or develop with third parties, products that compete directly or indirectly with our products or product candidates;
collaborators may not properly enforce, maintain or defend our intellectual property rights or may use our proprietary information in a way that gives rise to actual or threatened litigation that could jeopardize or invalidate our intellectual property or proprietary information or expose us to potential litigation, or other intellectual property proceedings;
disputes may arise between a collaborator and us that cause the delay or termination of the research, development or commercialization of the product candidate, or that result in costly litigation or arbitration that diverts management attention and resources;
if a present or future collaborator of ours were to be involved in a business combination, the continued pursuit and emphasis on our product development or commercialization program under such collaboration could be delayed, diminished or terminated; and
collaboration agreements may restrict our rights to independently pursue new product candidates.

As a result, if we enter into additional collaboration agreements and strategic partnerships or license our intellectual property or products, we may not be able to realize the benefit of such transactions if we are unable to successfully integrate them with our existing operations, which could delay our timelines or otherwise adversely affect our business. We also cannot be certain that we will achieve the revenue or specific income expected of the Collaboration Agreement, or future strategic collaboration and licenses, which would harm our business prospects and financial condition.

We and AstraZeneca can each terminate the strategic collaboration agreement under certain circumstances. Termination of the strategic collaboration agreement could prevent us from further developing or commercializing products directed to the molecular targets which are the subject of the strategic collaboration agreement and could prevent us from obtaining milestones and revenues for such product candidates. Any of these events would have a material adverse effect on our results of operations and financial condition.

If the antibody targets or de novo radioconjugates subject to the AstraZeneca Collaboration Agreement fail to advance or experience unacceptable safety or efficacy results if clinically developed, this could adversely impact the reputation of our Fast-Clear technology and our ability to engage in future collaborations.

If the antibody targets or novel TATs associated with the AstraZeneca Collaboration Agreement fail to advance into the clinic, or experience negative results with respect to safety, efficacy, manufacturability, or other features of research and development, this could adversely affect the reputation of our Fast-Clear linker technology and our ability to engage in future collaborations. To the extent these assets do not successfully advance through clinical development, this may impair our ability

67


 

to leverage our platform or to further expand the use of our platform and generate future revenue, which could have a material adverse effect on our business.

We may form or seek additional collaborations or strategic alliances or enter into additional licensing arrangements in the future, and we may not realize the benefits of such collaborations, alliances or licensing arrangements.

We may form or seek additional strategic alliances, create joint ventures or collaborations, or enter into additional licensing arrangements with third parties that we believe will complement or augment our development and commercialization efforts with respect to our product candidates and any future product candidates that we may develop. Any of these relationships may require us to incur non-recurring and other charges, increase our near and long-term expenditures, issue securities that dilute our existing shareholders or disrupt our management and business.

In addition, we face significant competition in seeking appropriate strategic partners and the negotiation process is time-consuming and complex. We may not be successful in our efforts to establish a strategic partnership or other alternative arrangements for our product candidates because they may be deemed to be at too early of a stage of development for collaborative effort and third parties may not view our product candidates as having the requisite potential to demonstrate safety, potency and purity and obtain marketing approval.

Further, collaborations involving our product candidates are subject to numerous risks, which may include the following:

collaborators have significant discretion in determining the efforts and resources that they will apply to a collaboration;
collaborators may not pursue development and commercialization of our product candidates or may elect not to continue or renew development or commercialization of our product candidates based on clinical trial results, changes in their strategic focus due to the acquisition of competitive products, availability of funding or other external factors, such as a business combination that diverts resources or creates competing priorities;
collaborators may delay clinical trials, provide insufficient funding for a clinical trial, stop a clinical trial, abandon a product candidate, repeat or conduct new clinical trials or require a new formulation of a product candidate for clinical testing;
collaborators could independently develop, or develop with third parties, products that compete directly or indirectly with our product candidates;
a collaborator with marketing and distribution rights to one or more products may not commit sufficient resources to their marketing and distribution;
collaborators may not properly maintain or defend our intellectual property rights or may use our intellectual property or proprietary information in a way that gives rise to actual or threatened litigation that could jeopardize or invalidate our intellectual property or proprietary information or expose us to potential liability;
disputes may arise between us and a collaborator that cause the delay or termination of the research, development or commercialization of our product candidates, or that result in costly litigation or arbitration that diverts management attention and resources;
collaborations may be terminated and, if terminated, may result in a need for additional capital to pursue further development or commercialization of the applicable product candidates; and
collaborators may own or co-own intellectual property covering our products that results from our collaborating with them, and in such cases, we would not have the exclusive right to commercialize such intellectual property.

As a result, if we enter into collaboration agreements and strategic partnerships or license our product candidates, we may not be able to realize the benefit of such transactions if we are unable to successfully integrate them with our existing operations and company culture, which could delay our timelines or otherwise adversely affect our business. We also cannot be certain that, following a strategic transaction or license, we will achieve the revenue or specific net income that justifies such transaction. Any delays in entering into new collaborations or strategic partnership agreements related to our product candidates could delay the development and commercialization of our product candidates in certain geographies for certain indications, which would harm our business, prospects, financial condition and results of operations.

68


 

If we or third parties, such as CROs or CDMOs, use hazardous and biological materials in a manner that causes injury or violates applicable law, we may be liable for damages.

Our research and development activities may involve the controlled use of potentially hazardous substances, including chemical and biological materials, by us or third parties, such as CROs and CDMOs. The use of 111In and 225Ac-labeled antibody treatments involves the inherent risk of exposure from gamma ray emissions, which can alter or harm healthy cells in the body. We and such third parties are subject to federal, state, provincial and local laws and regulations in the United States, Canada and other foreign jurisdictions governing the use, manufacture, storage, handling, and disposal of medical and hazardous materials. Although we believe that our and such third-parties’ procedures for using, handling, storing and disposing of these materials comply with legally prescribed standards, we cannot completely eliminate the risk of contamination or injury resulting from medical or hazardous materials. As a result of any such contamination or injury, we may incur liability or local, city, state, provincial or federal authorities may curtail the use of these materials and interrupt our business operations. In the event of an accident, we could be held liable for damages or penalized with fines, and the liability could exceed our resources. Compliance with applicable environmental laws and regulations is expensive, and current or future environmental regulations may impair our research, development and production efforts, which could harm our business, prospects, financial condition, or results of operations. We currently maintain insurance coverage for injuries resulting from the hazardous materials we use; however, future claims may exceed the amount of our coverage. Also, we do not have insurance coverage for pollution cleanup and removal. Currently the costs of complying with such federal, state, provincial, local and foreign environmental regulations are not significant, and consist primarily of waste disposal expenses. However, they could become expensive, and current or future environmental laws or regulations may impair our research, development, production and commercialization efforts.

Risks Related to Government Regulation

The FDA regulatory approval process is lengthy and time-consuming, and we may experience significant delays in the clinical development and regulatory approval of our product candidates.

We have not previously submitted a BLA or NDA to the FDA or similar marketing applications to similar foreign regulatory authorities. A BLA or NDA must include extensive preclinical and clinical data and supporting information to establish the product candidate’s safety, purity and potency for biologics, or safety and effectiveness for drugs, for each desired indication. The BLA or NDA must also include significant information regarding the manufacturing controls for the product. We expect the novel nature of our product candidates to create further challenges in obtaining regulatory approval. For example, we believe any future BLAs will be reviewed primarily by the FDA’s Center for Drug Evaluation and Research, or CDER, but that CDER will seek consultation or review by the FDA’s Center for Biologics Evaluation and Research and Center for Devices and Radiological Health, or CDRH. In addition, we believe any future NDAs will be reviewed primarily by CDER, but that CDER will seek consultation or review by CDRH. Accordingly, the regulatory approval pathway for our product candidates may be uncertain, complex, expensive and lengthy, and regulatory approval may not be obtained.

Securing regulatory approval also requires the submission of information about the biologic and drug manufacturing process and inspection of manufacturing facilities by the relevant regulatory authority. The FDA or similar foreign regulatory authorities may fail to approve our manufacturing processes or facilities, whether run by us or our CDMOs. In addition, if we make manufacturing changes to our product candidates in the future, we may need to conduct additional preclinical studies to bridge our modified product candidates to earlier versions.

Many of the factors that cause, or lead to, a delay in the commencement or completion of clinical trials may ultimately lead to the denial of regulatory approval of our product candidates.

We may seek orphan drug designation for product candidates we develop, and we may be unsuccessful or may be unable to maintain the benefits associated with orphan drug designation, including the potential for market exclusivity.

As part of our business strategy, we may seek orphan drug designation for any product candidates we develop, and we may be unsuccessful. Regulatory authorities in some jurisdictions, including the United States and Europe, may designate drugs and biologics for relatively small patient populations as orphan drugs. Under the Orphan Drug Act, the FDA may designate a drug or biologic as an orphan drug if it is a drug or biologic intended to treat a rare disease or condition, which is defined as a patient population of fewer than 200,000 individuals annually in the United States, or a patient population greater than 200,000 in the United States where there is no reasonable expectation that the cost of developing the drug or biologic will be recovered from sales in the United States. In the United States, orphan drug designation entitles a party to financial incentives such as opportunities for grant funding towards clinical trial costs, tax advantages and user-fee waivers.

69


 

Similarly, in the EU, the European Commission grants orphan designation after receiving the opinion of the EMA Committee for Orphan Medicinal Products on an orphan designation application, if the sponsor for the product can establish that: (1) the product is intended for the diagnosis, prevention or treatment of a life-threatening or chronically debilitating condition; (2) either (i) such condition affects no more than five in 10,000 persons in the EU when the application is made, or (ii) it is unlikely that the product, without the benefits derived from orphan status, would generate sufficient return in the EU to justify the necessary investment in its development; and (3) there exists no satisfactory method of diagnosis, prevention or treatment of such condition authorized for marketing in the EU, or, if such a method exists, the product would be a significant benefit to those affected by that condition. In the EU, orphan designation entitles a party to a number of incentives, such as protocol assistance and scientific advice specifically for designated orphan medicinal products, and potential fee reductions depending on the status of the sponsor.

Generally, if a drug or biologic with an orphan drug designation subsequently receives the first marketing approval for the indication for which it has such designation, the drug or biologic is entitled to a period of marketing exclusivity, which precludes the European Medicines Agency, or EMA, or the FDA from approving another marketing application for the same drug and for the same indication during the period of exclusivity, except in limited circumstances. The applicable period is seven years in the United States and 10 years in the EU. The EU exclusivity period can be reduced to six years if a product no longer meets the criteria for orphan designation or if the product is sufficiently profitable such that market exclusivity is no longer justified.

Even if we obtain orphan drug exclusivity for a product candidate, that exclusivity may not effectively protect the product candidate from competition because different therapies can be approved for the same condition and the same therapies can be approved for different conditions but used off-label. Even after an orphan drug is approved, the FDA can subsequently approve the same drug for the same condition if the FDA concludes that the later drug or biologic is clinically superior in that it is shown to be safer, more effective or makes a major contribution to patient care. In addition, a designated orphan drug may not receive orphan drug exclusivity if it is approved for a use that is broader than the indication for which it received orphan designation. Moreover, orphan drug exclusive marketing rights in the United States may be lost if the FDA later determines that the request for designation was materially defective or if the manufacturer is unable to assure sufficient quantity of the drug or biologic to meet the needs of patients with the rare disease or condition. Orphan drug designation neither shortens the development time or regulatory review time of a drug or biologic nor gives the drug or biologic any advantage in the regulatory review or approval process. While we may seek orphan drug designation for applicable indications for our current and any future product candidates, we may never receive such designations. Even if we do receive such designation, there is no guarantee that we will enjoy the benefits of that designation.

A breakthrough therapy designation by the FDA, even if granted for any of our product candidates, may not lead to a faster development or regulatory review or approval process and it does not increase the likelihood that our product candidates will receive marketing approval.

We may seek breakthrough therapy designation for some or all of our future product candidates. A breakthrough therapy is defined as a drug or biologic that is intended, alone or in combination with one or more other drugs or biologics, to treat a serious or life-threatening disease or condition and preliminary clinical evidence indicates that the drug, or biologic, may demonstrate substantial improvement over existing therapies on one or more clinically significant endpoints, such as substantial treatment effects observed early in clinical development. For product candidates that have been designated as breakthrough therapies, sponsors may obtain more frequent interaction with and communication with the FDA to help to identify the most efficient path for clinical development. Drugs or biologics designated as breakthrough therapies by the FDA may also be eligible for other expedited approval programs, including accelerated approval.

Designation as a breakthrough therapy is within the discretion of the FDA. Accordingly, even if we believe one of our product candidates meets the criteria for designation as a breakthrough therapy, the FDA may disagree and instead determine not to make such designation. In any event, the receipt of a breakthrough therapy designation for a product candidate may not result in a faster development process, review or approval and does not assure ultimate approval by the FDA. In addition, even if one or more of our product candidates qualify as breakthrough therapies, the FDA may later decide that the product no longer meets the conditions for qualification. As such, even though we intend to seek breakthrough therapy designation for FPI-1434 and some or all of our future product candidates for the treatment of advanced solid tumors, there can be no assurance that we will receive breakthrough therapy designation or that even if we do receive it, that such designation will have a material impact on our development program.

70


 

A fast track designation by the FDA, even if granted for our current product candidates, or any other future product candidates, may not lead to a faster development or regulatory review or approval process and does not increase the likelihood that our product candidates will receive marketing approval.

If a drug or biologic is intended for the treatment of a serious or life-threatening condition and the product demonstrates the potential to address unmet medical needs for this condition, the sponsor may apply for FDA fast track designation for a particular indication. We may seek fast track designation for certain of our current or future product candidates, but there is no assurance that the FDA will grant this status to any of our proposed product candidates. If granted, fast track designation makes a product eligible for more frequent interactions with FDA to discuss the development plan and clinical trial design, as well as rolling review of the application, which means that the company can submit completed sections of its marketing application for review prior to completion of the entire submission. Marketing applications of products candidates with fast track designation may qualify for priority review under the policies and procedures offered by the FDA, but the fast track designation does not assure any such qualification or ultimate marketing approval by the FDA. The FDA has broad discretion whether or not to grant fast track designation, so even if we believe a particular product candidate is eligible for this designation, there can be no assurance that the FDA would decide to grant it. Even if we do receive fast track designation, we may not experience a faster development process, review or approval compared to conventional FDA procedures, and receiving a fast track designation does not provide any assurance of ultimate FDA approval. In addition, the FDA may withdraw fast track designation if it believes that the designation is no longer supported by data from our clinical development program. In addition, the FDA may withdraw any fast track designation at any time.

Accelerated approval by the FDA, even if granted for our current product candidates, or any other future product candidates, may not lead to a faster development or regulatory review or approval process and it does not increase the likelihood that our product candidates will receive marketing approval.

We may seek accelerated approval of our current or future product candidates. A product may be eligible for accelerated approval if it treats a serious or life-threatening condition and generally provides a meaningful advantage over available therapies. In addition, it must demonstrate an effect on a surrogate endpoint that is reasonably likely to predict clinical benefit or on a clinical endpoint that can be measured earlier than irreversible morbidity or mortality, or IMM, that is reasonably likely to predict an effect on IMM or other clinical benefit. As a condition of approval, the FDA may require that a sponsor of a drug or biologic receiving accelerated approval perform adequate and well-controlled post-marketing clinical trials, and, under the Food and Drug Omnibus Reform Act of 2022, or FDORA, the FDA is now permitted to require, as appropriate, that such trials be underway prior to approval or within a specific time period after the date of approval for a product granted accelerated approval. Under FDORA, the FDA has increased authority for expedited procedures to withdraw approval of a drug or indication approved under accelerated approval if, for example, the confirmatory trial fails to verify the predicted clinical benefit of the product.. In addition, the FDA currently requires, unless otherwise informed by the agency, pre-approval of promotional materials for products receiving accelerated approval, which could adversely impact the timing of the commercial launch of the product. Thus, even if we seek to utilize the accelerated approval pathway, we may not be able to obtain accelerated approval and, even if we do, we may not experience a faster development, regulatory review or approval process for that product. In addition, receiving accelerated approval does not assure that the product will eventually be converted to a traditional approval.

We may seek designated platform technology designation for our TAT platform technology, but we might not receive such designation, and even if we do, such designation may not lead to a faster regulatory review or approval process.

We may seek designated platform technology designation for our TAT platform technology. Under FDORA, a platform technology incorporated within or utilized by a drug or biological product is eligible for designation as a designated platform technology if (1) the platform technology is incorporated in, or utilized by, a drug approved under an NDA or BLA; (2) preliminary evidence submitted by the sponsor of the approved or licensed drug, or a sponsor that has been granted a right of reference to data submitted in the application for such drug, demonstrates that the platform technology has the potential to be incorporated in, or utilized by, more than one drug without an adverse effect on quality, manufacturing, or safety; and (3) data or information submitted by the applicable person indicates that incorporation or utilization of the platform technology has a reasonable likelihood to bring significant efficiencies to the drug development or manufacturing process and to the review process. A sponsor may request the FDA to designate a platform technology as a designated platform technology concurrently with, or at any time after, submission of an IND for a drug that incorporates or utilizes the platform technology that is the subject of the request. If so designated, the FDA may expedite the development and review of any subsequent original NDA or BLA for a drug that uses or incorporates the platform technology. Designated platform technology designation is within the discretion of the FDA. Accordingly, even if we believe our TAT platform technology meets the criteria for such designation, the FDA may disagree and instead determine not to grant such designation. In addition, the receipt of designated platform technology designation for a platform technology does not ensure that a drug will be developed more quickly or receive FDA

71


 

approval. Moreover, the designated platform technology designation may be withdrawn by the FDA if the FDA believes that the designation no longer meets the criteria for such designation.

If we are unable to successfully develop, validate and obtain regulatory approval for companion diagnostic tests for our product candidates that require or would commercially benefit from such tests, or experience significant delays in doing so, we may not realize the full commercial potential of these product candidates.

In connection with the clinical development of our product candidates for certain indications, we may work with collaborators to develop or obtain access to in vitro or in vivo companion diagnostic tests to identify patient subsets within a disease category who may derive selective and meaningful benefit from our product candidates. Such companion diagnostics would be used during our clinical trials as well as in connection with the commercialization of our product candidates. To be successful, we or our collaborators will need to address a number of scientific, technical, regulatory and logistical challenges. The FDA and similar foreign regulatory authorities regulate in vitro companion diagnostics as medical devices and, under that regulatory framework, will likely require the conduct of clinical trials to demonstrate the safety and effectiveness of any diagnostics we may develop, which we expect will require separate regulatory clearance or approval prior to commercialization.

We may rely on third parties for the design, development and manufacture of companion diagnostic tests for our therapeutic product candidates that may require such tests. If we enter into such collaborative agreements, we will be dependent on the sustained cooperation and effort of our future collaborators in developing and obtaining approval for these companion diagnostics. It may be necessary to resolve issues, such as selectivity/specificity, analytical validation, reproducibility or clinical validation of companion diagnostics, during the development and regulatory approval processes. Moreover, even if data from preclinical studies and early clinical trials appear to support development of a companion diagnostic for a product candidate, data generated in later clinical trials may fail to support the analytical and clinical validation of the companion diagnostic. We and our future collaborators may encounter difficulties in developing, obtaining regulatory approval for, manufacturing and commercializing companion diagnostics similar to those we face with respect to our therapeutic candidates themselves, including issues with achieving regulatory clearance or approval, production of sufficient quantities at commercial scale and with appropriate quality standards, and in gaining market acceptance. If we are unable to successfully develop companion diagnostics for these therapeutic product candidates, or experience delays in doing so, the development of these therapeutic product candidates may be adversely affected, these therapeutic product candidates may not obtain marketing approval, and we may not realize the full commercial potential of any of these therapeutics that obtain marketing approval. As a result, our business, results of operations and financial condition could be materially harmed. In addition, a diagnostic company with whom we contract may decide to discontinue selling or manufacturing the companion diagnostic test that we anticipate using in connection with development and commercialization of our product candidates or our relationship with such diagnostic company may otherwise terminate. We may not be able to enter into arrangements with another diagnostic company to obtain supplies of an alternative diagnostic test for use in connection with the development and commercialization of our product candidates or do so on commercially reasonable terms, which could adversely affect and/or delay the development or commercialization of our therapeutic candidates.

If approved, our investigational products regulated as biologics may face competition from biosimilars approved through an abbreviated regulatory pathway sooner than anticipated.

The Patient Protection and Affordable Care Act, as amended by the Health Care and Education Reconciliation Act of 2010, or collectively the ACA, includes a subtitle called the Biologics Price Competition and Innovation Act of 2009, or BPCIA, which created an abbreviated approval pathway for biological products that are biosimilar to or interchangeable with an FDA-licensed reference biological product. Under the BPCIA, an application for a biosimilar product may not be submitted to the FDA until four years following the date that the reference product was first licensed by the FDA. In addition, the approval of a biosimilar product may not be made effective by the FDA until 12 years from the date on which the reference product was first licensed. During this 12-year period of exclusivity, another company may still market a competing version of the reference product if the FDA approves a BLA for the competing product containing the sponsor’s own preclinical data and data from adequate and well-controlled clinical trials to demonstrate the safety, purity and potency of the other company’s product. The law is complex and is still being interpreted and implemented by the FDA. As a result, its ultimate impact, implementation and meaning are subject to uncertainty, and any processes adopted by the FDA to implement the BPCIA could have a material adverse effect on the future commercial prospects for our biological products.

We believe that any of our product candidates approved as a biological product under a BLA should qualify for the 12-year period of exclusivity. However, there is a risk that this exclusivity could be shortened due to congressional action or otherwise, or that the FDA will not consider our investigational medicines to be reference products for competing products, potentially creating the opportunity for generic competition sooner than anticipated. Other aspects of the BPCIA, some of

72


 

which may impact the BPCIA exclusivity provisions, have also been the subject of recent litigation. Moreover, the extent to which a biosimilar, once licensed, will be substituted for any one of our reference products in a way that is similar to traditional generic substitution for non-biological products is not yet clear, and will depend on a number of marketplace and regulatory factors that are still developing.

If competitors are able to obtain marketing approval for biosimilars referencing our products, our products may become subject to competition from such biosimilars, with the attendant competitive pressure and consequences.

Obtaining and maintaining regulatory approval of our product candidates in one jurisdiction does not mean that we will be successful in obtaining regulatory approval of our product candidates in other jurisdictions.

Obtaining and maintaining regulatory approval of our product candidates in one jurisdiction does not guarantee that we will be able to obtain or maintain regulatory approval in any other jurisdiction, while a failure or delay in obtaining regulatory approval in one jurisdiction may have a negative effect on the regulatory approval process in others. For example, even if the FDA grants marketing approval of a product candidate, similar foreign regulatory authorities must also approve the manufacturing, marketing and promotion of the product candidate in those countries. Approval and licensure procedures vary among jurisdictions and can involve requirements and administrative review periods different from, and greater than, those in the United States, including additional preclinical studies or clinical trials as clinical trials conducted in one jurisdiction may not be accepted by regulatory authorities in other jurisdictions. In many jurisdictions outside the United States, a product candidate must be approved for reimbursement before it can be approved for sale in that jurisdiction. In some cases, the price that we intend to charge for our products is also subject to approval.

We may also submit marketing applications in other countries. Regulatory authorities in jurisdictions outside of the United States have requirements for approval of product candidates with which we must comply prior to marketing in those jurisdictions. Obtaining similar foreign regulatory approvals and compliance with similar foreign regulatory requirements could result in significant delays, difficulties and costs for us and could delay or prevent the introduction of our products in certain countries. If we fail to comply with the regulatory requirements in international markets and/or receive applicable marketing approvals, our target market will be reduced and our ability to realize the full market potential of our product candidates will be harmed.

Disruptions at the FDA, the SEC and other government agencies caused by funding shortages or global health concerns could hinder their ability to hire and retain key leadership and other personnel, prevent new products and services from being developed or commercialized in a timely manner or otherwise prevent those agencies from performing normal business functions on which the operation of our business may rely, which could negatively impact our business.

The ability of the FDA to review and approve new products can be affected by a variety of factors, including government budget and funding levels, ability to hire and retain key personnel and accept the payment of user fees, and statutory, regulatory, and policy changes. Average review times at the agency have fluctuated in recent years as a result. In addition, government funding of the SEC and other government agencies on which our operations may rely, including those that fund research and development activities, is subject to the political process, which is inherently fluid and unpredictable.

Disruptions at the FDA and other agencies may also slow the time necessary for new drugs or biologics to be reviewed and/or approved by necessary government agencies, which would adversely affect our business. If a prolonged government shutdown occurs, it could significantly impact the ability of the FDA to timely review and process our regulatory submissions, which could have a material adverse effect on our business.

Since March 2020 when foreign and domestic inspections of facilities were largely placed on hold, the FDA has been working to resume pre-pandemic levels of inspection activities, including routine surveillance, bioresearch monitoring and pre-approval inspections on a prioritized basis. Should FDA determine that an inspection is necessary for approval and an inspection cannot be completed during the review cycle due to restrictions on travel, and the FDA does not determine a remote interactive evaluation to be adequate, the agency has stated that it generally intends to issue, depending on the circumstances, a complete response letter or defer action on the application until an inspection can be completed. During the COVID-19 public health emergency, a number of companies announced receipt of complete response letters due to the FDA’s inability to complete required inspections for their applications. Regulatory authorities outside the U.S. may adopt similar restrictions or other policy measures in response to the ongoing COVID-19 pandemic and may experience delays in their regulatory activities.

73


 

Even if we receive regulatory approval of our product candidates, we will be subject to ongoing regulatory obligations and continued regulatory review, which may result in significant additional expense and we may be subject to penalties if we fail to comply with regulatory requirements or experience unanticipated problems with our product candidates.

Following potential approval of any of our current or future product candidates, the FDA or similar foreign regulatory authorities may impose significant restrictions on a product’s indicated uses or marketing or impose ongoing requirements for potentially costly and time-consuming post-approval studies, post-market surveillance or clinical trials to monitor the safety and efficacy of the product. The FDA may also require a risk evaluation and mitigation strategy in order to license our product candidates, which could entail requirements for a medication guide, physician communication plans or additional elements to ensure safe use, such as restricted distribution methods, patient registries and other risk minimization tools. In addition, if the FDA or similar foreign regulatory authority approves our product candidates, the manufacturing processes, labeling, packaging, distribution, adverse event reporting, storage, advertising, promotion, import, export and recordkeeping for our product candidates will be subject to extensive and ongoing regulatory requirements. These requirements include submissions of safety and other post-marketing information and reports, registration, as well as continued compliance with cGMPs and GCPs, for any clinical trials that we conduct post-approval. As such, we and our contract manufacturers will be subject to continual review and inspections to assess compliance with cGMP and adherence to commitments made in any BLA, NDA, other marketing application and previous responses to inspectional observations. Additionally, manufacturers and manufacturers’ facilities are required to comply with extensive FDA, and comparable foreign regulatory authority requirements, including ensuring that quality control and manufacturing procedures conform to cGMP regulations and applicable product tracking and tracing requirements. Further, under FDORA, sponsors of approved drugs and biologics must provide six months’ notice to the FDA of any changes in marketing status, such as the withdrawal of a drug, and failure to do so could result in the FDA placing the product on a list of discontinued products, which would revoke the product’s ability to be marketed. Later discovery of previously unknown problems with our product candidates, including adverse events of unanticipated severity or frequency, or with our third-party manufacturers or manufacturing processes, or failure to comply with regulatory requirements, may result in, among other things:

restrictions on the marketing or manufacturing of our product candidates, withdrawal of the product from the market or voluntary or mandatory product recalls;
revisions to the labeling, including limitation on approved uses or the addition of additional warnings, contraindications or other safety information, including boxed warnings;
imposition of a REMS which may include distribution or use restrictions;
requirements to conduct additional post-market clinical trials to assess the safety of the product;
fines, warning or untitled letters or holds on clinical trials;
refusal by the FDA or similar foreign regulatory authorities to approve pending applications or supplements to approved applications filed by us or suspension or revocation of license approvals;
product seizure or detention, or refusal to permit the import or export of our product candidates; and
injunctions or the imposition of civil or criminal penalties.

The FDA’s and similar regulatory authorities’ policies may change and additional government regulations may be enacted that could prevent, limit or delay regulatory approval of our product candidates. We cannot predict the likelihood, nature or extent of government regulation that may arise from future legislation or administrative action, either in the United States or abroad. If we are slow or unable to adapt to changes in existing requirements or the adoption of new requirements or policies, or if we are not able to maintain regulatory compliance, we may lose any marketing approval that we may have obtained and we may not achieve or sustain profitability.

Our relationships with healthcare providers and physicians and third-party payors will be subject to applicable anti-kickback, fraud and abuse and other healthcare laws and regulations, which could expose us to criminal sanctions, civil penalties, contractual damages, reputational harm and diminished profits and future earnings.

We are subject to applicable fraud and abuse and other healthcare laws and regulations, including, without limitation, the U.S. federal Anti-Kickback Statute and the U.S. federal False Claims Act, or FCA, which may constrain the business or financial arrangements and relationships through which we sell, market and distribute our products. In particular, the promotion, sales and marketing of healthcare items and services, as well as certain business arrangements in the healthcare industry (e.g., healthcare providers, physicians and third-party payors), are subject to extensive laws designed to prevent fraud, kickbacks, self-dealing and other abusive practices. These laws and regulations may restrict or prohibit a wide range of pricing,

74


 

discounting, marketing and promotion, structuring and commission(s), certain customer incentive programs and other business arrangements generally. We also may be subject to patient information and privacy and security regulation by both the federal government and the states and foreign jurisdictions in which we conduct our business. The applicable federal, state and foreign healthcare laws and regulations laws that may affect our ability to operate include, but are not limited to:

The Anti-Kickback Statute, which prohibits the knowing and willful offer, receipt or payment of remuneration in exchange for, or to induce or reward, the referral of patients or the use of products or services that would be paid for in whole or part by Medicare, Medicaid or other federal healthcare programs. Remuneration has been broadly defined to include anything of value, including but not limited to cash, improper discounts and free or reduced-price items and services. A person or entity does not need to have actual knowledge of the statute or specific intent to violate it in order to have committed a violation. Further, U.S. courts have found that if “one purpose” of remuneration is to induce referrals, the U.S. federal Anti-Kickback Statute is violated. The Anti-Kickback Statute has been interpreted to apply to arrangements between pharmaceutical manufacturers on the one hand and prescribers, purchasers, and formulary managers on the other. There are a number of statutory exceptions and regulatory safe harbors protecting some common activities from prosecution; but the exceptions and safe harbors are drawn narrowly and require strict compliance in order to offer protection. A claim including items or services resulting from a violation of the U.S. federal Anti-Kickback Statute constitutes a false or fraudulent claim for purposes of the FCA. On December 2, 2020, the Office of Inspector General, or OIG, published further modifications to the federal Anti-Kickback Statute. Under the final rules, OIG added safe harbor protections under the Anti-Kickback Statute for certain coordinated care and value-based arrangements among clinicians, providers, and others. This rule (with exceptions) became effective January 19, 2021. Implementation of this change and new safe harbors for point-of-sale reductions in price for prescription pharmaceutical products and pharmacy benefit manager service fees are currently under review by the Biden administration and may be amended or repealed. Further, the Inflation Reduction Act of 2022, the IRA, delayed implementation of the new safe harbors for point-of-sale reductions in price for prescription pharmaceutical products and pharmacy benefit manager service fees until January 1, 2032.We continue to evaluate what effect, if any, the rule will have on our business. Many states have similar laws that apply to their state healthcare programs as well as private payors. Violations of anti-kickback and other applicable laws can result in exclusion from federal healthcare programs and substantial civil and criminal penalties for each violation, plus up to three times the amount of the false claims involved, and imprisonment.
The U.S. federal civil and criminal false claims laws and civil monetary penalty laws, including the FCA, which prohibit, among other things, individuals or entities from knowingly presenting, or causing to be presented, false or fraudulent claims for payment to, or approval by Medicare, Medicaid, or other federal healthcare programs, knowingly making, using or causing to be made or used a false record or statement material to a false or fraudulent claim or an obligation to pay or transmit money to the federal government, or knowingly concealing or knowingly and improperly avoiding or decreasing or concealing an obligation to pay money to the federal government. The FCA has been used to prosecute persons submitting claims for payment that are inaccurate or fraudulent, that are for services not provided as claimed, or for services that are not medically necessary. The FCA includes a whistleblower provision that allows individuals to bring actions on behalf of the federal government and share a portion of the recovery of successful claims. Some U.S. state law equivalents of the above federal laws, such as the Anti-Kickback Statute and FCA, apply to items or services regardless of whether the good or service was reimbursed by a government program, so called all-payor laws. These all-payor laws could apply to our sales and marketing activities even if the Anti-Kickback Statute and FCA laws are inapplicable.
The federal Health Insurance Portability and Accountability Act of 1996, or HIPAA, which created new federal criminal statutes that prohibit knowingly and willfully executing, or attempting to execute, a scheme to defraud any healthcare benefit program or obtain, by means of false or fraudulent pretenses, representations, or promises, any of the money or property owned by, or under the custody or control of, any healthcare benefit program, regardless of the payor (e.g., public or private) and knowingly and willfully falsifying, concealing or covering up by any trick or device a material fact or making any materially false statements in connection with the delivery of, or payment for, healthcare benefits, items or services relating to healthcare matters. Similar to the U.S. federal Anti-Kickback Statute, a person or entity can be found guilty of violating HIPAA without actual knowledge of the statute or specific intent to violate it.
HIPAA, as amended by the Health Information Technology for Economic and Clinical Health Act of 2009, or HITECH, and their implementing regulations, and as amended again by the Final HIPAA Omnibus Rule, published in January 2013, which imposes certain obligations, including mandatory contractual terms, with respect to safeguarding the privacy, security and transmission of individually identifiable health information without appropriate authorization by covered entities subject to the rule, such as health plans, healthcare clearinghouses

75


 

and certain healthcare providers, as well as their business associates that perform certain services involving the use or disclosure of individually identifiable health information also implicate our business. HITECH also created new tiers of civil monetary penalties, amended HIPAA to make civil and criminal penalties directly applicable to business associates, and gave state attorneys general new authority to file civil actions for damages or injunctions in federal courts to enforce the federal HIPAA laws and seek attorneys’ fees and costs associated with pursuing federal civil actions.
The federal Physician Payment Sunshine Act, created under the ACA, and its implementing regulations, which require manufacturers of drugs, devices, biologicals and medical supplies for which payment is available under Medicare, Medicaid or the Children’s Health Insurance Program (with certain exceptions) to report annually to the Centers for Medicare & Medicaid Services, or CMS, within the United States Department of Health and Human Services, or HHS, information related to payments or other transfers of value made to physicians (defined to include doctors, dentists, optometrists, podiatrists and chiropractors) and teaching hospitals, as well as ownership and investment interests held by physicians and their immediate family members. Effective January 1, 2022, these reporting obligations will extend to include transfers of value made to certain non-physician providers such as physician assistants and nurse practitioners.

The scope and enforcement of each of these laws is uncertain and subject to rapid change in the current environment of healthcare reform, especially in light of the lack of applicable precedent and regulatory guidance. Federal and state enforcement bodies have recently increased their scrutiny of interactions between healthcare companies, healthcare providers and other third parties, including charitable foundations, which has led to a number of investigations, prosecutions, convictions and settlements in the healthcare industry. Responding to investigations can be time-and resource-consuming and can divert management’s attention from the business. Any such investigation or settlement could increase our costs or otherwise have an adverse effect on our business.

If our marketing or other arrangements were determined to violate anti-kickback or related laws, including the FCA or an all-payor law, then we could be subject to penalties, including administrative, civil and criminal penalties, damages, fines, disgorgement, the exclusion from participation in federal and state healthcare programs, individual imprisonment, reputational harm, and the curtailment or restructuring of our operations, as well as additional reporting obligations and oversight if we become subject to a corporate integrity agreement or other agreement to resolve allegations of non- compliance with these laws. Any action for violation of these laws, even if successfully defended, could cause us to incur significant legal expenses and divert management’s attention from the operation of the business. Prohibitions or restrictions on sales or withdrawal of future marketed products could materially affect business in an adverse way. Efforts to ensure that our business arrangements will comply with applicable healthcare laws may involve substantial costs.

Similar state, local, and foreign fraud and abuse laws and regulations, such as state anti-kickback and false claims laws, may apply to sales or marketing arrangements and claims involving healthcare items or services. Such laws are generally broad and are enforced by various state agencies. Also, many states have similar fraud and abuse statutes or regulations that may be broader in scope and may apply regardless of payor, in addition to items and services reimbursed under Medicaid and other state programs. Some state laws require pharmaceutical companies to comply with the pharmaceutical industry’s voluntary compliance guidelines and the relevant federal government compliance guidance, and require drug manufacturers to report information related to payments and other transfers of value to physicians and other healthcare providers or marketing expenditures. Several states also impose other marketing restrictions or require pharmaceutical companies to make marketing or price disclosures to the state and require the registration of pharmaceutical sales representatives. State and foreign laws, including for example the European Union General Data Protection Regulation, which became effective May 2018 also govern the privacy and security of health information in some circumstances, many of which differ from each other in significant ways and often are not preempted by HIPAA, thus complicating compliance efforts. There are ambiguities as to what is required to comply with these state requirements and if we fail to comply with an applicable state law requirement we could be subject to penalties. Finally, there are state and foreign laws governing the privacy and security of health information, many of which differ from each other in significant ways and often are not preempted by HIPAA, thus complicating compliance efforts.

State and federal authorities have aggressively targeted pharmaceutical companies for alleged violations of these anti-fraud statutes, based on improper research or consulting contracts with doctors, certain marketing arrangements with pharmacies and other healthcare providers that rely on volume-based pricing, off-label marketing schemes, and other improper promotional practices. Companies targeted in such prosecutions have paid substantial fines, have been ordered to implement extensive corrective action plans, and have in many cases become subject to consent decrees severely restricting the manner in which they conduct their business, among other consequences. Additionally, federal and state regulators have brought criminal actions against individual employees responsible for alleged violations. If we become the target of such an investigation or

76


 

prosecution based on our contractual relationships with providers or institutions, or our marketing and promotional practices, we could face similar sanctions, which would materially harm our business.

Also, the Foreign Corrupt Practices Act and similar worldwide anti-bribery laws generally prohibit companies and their intermediaries from making improper payments to non-U.S. officials for the purpose of obtaining or retaining business. Our internal control policies and procedures may not protect us from reckless or negligent acts committed by our employees, future distributors, partners, collaborators or agents. Violations of these laws, or allegations of such violations, could result in fines, penalties or prosecution and have a negative impact on our business, results of operations and reputation.

Even if we receive marketing approval, coverage and adequate reimbursement may not be available for our current or future product candidates, which could make it difficult for us to sell the product profitably.

Market acceptance and sales of our product candidates, if approved, will depend in part on the extent to which reimbursement for these products and related treatments will be available from third-party payors, including government health administration authorities, managed care organizations and other private health insurers. Obtaining coverage and adequate reimbursement approval for a product from a government or other third-party payor is a time-consuming and costly process that could require us to provide supporting scientific, clinical and cost effectiveness data for the use of our products to the payor.

Patients who are prescribed products for the treatment of their conditions generally rely on third-party payors to reimburse all or part of the costs associated with their prescription drugs. There is significant uncertainty related to third-party payor coverage and reimbursement of newly approved products. Third-party payors decide which therapies they will pay for and establish reimbursement levels. While no uniform policy for coverage and reimbursement exists in the United States, third-party payors often rely upon Medicare coverage policy and payment limitations in setting their own coverage and reimbursement policies. However, decisions regarding the extent of coverage and amount of reimbursement to be provided for any product candidate will be made on a payor-by-payor basis. Therefore, one payor’s determination to provide coverage for a product does not assure that other payors will also provide coverage, and adequate reimbursement, for the product. Additionally, a third-party payor’s decision to provide coverage for a therapy does not imply that an adequate reimbursement rate will be approved.

Factors that payors consider when determining reimbursement are based on whether the product is:

a covered benefit under its health plan;
safe, effective and medically necessary;
appropriate for the specific patient;
cost-effective; and
neither experimental nor investigational.

Each payor determines whether or not it will provide coverage for a therapy, what amount it will pay the manufacturer for the therapy and on what tier of its formulary it will be placed. The position on a payor’s list of covered drugs and biological products, or formulary, generally determines the co-payment that a patient will need to make to obtain the therapy and can strongly influence the adoption of such therapy by patients and physicians. Patients who are prescribed treatments for their conditions and providers prescribing such services generally rely on third-party payors to reimburse all or part of the associated healthcare costs. Patients are unlikely to use our products unless coverage is provided and reimbursement is adequate to cover a significant portion of the cost of our products. In addition, because our current product candidates and our other product candidates require the product to be physician-administered, separate reimbursement for the products themselves may or may not be available. Instead, the administering physician may only be reimbursed for providing the treatment or procedure in which our products are used.

There may be significant delays in obtaining such coverage and reimbursement for newly approved products, and coverage may be more limited than the purposes for which the product is approved by the FDA or comparable foreign regulatory authorities. In the United States, the principal decisions about reimbursement for new medicines are typically made by the Centers for Medicare & Medicaid Services, or CMS, an agency within the U.S. Department of Health and Human Services. CMS decides whether and to what extent a new medicine will be covered and reimbursed under Medicare and private payors tend to follow CMS to a substantial degree.

77


 

Moreover, eligibility for coverage and reimbursement does not imply that a product will be paid for in all cases or at a rate that covers our costs, including research, development, intellectual property, manufacture, sale and distribution expenses. Interim reimbursement levels for new products, if applicable, may also not be sufficient to cover our costs and may not be made permanent. Reimbursement rates may vary according to the use of the product and the clinical setting in which it is used, may be based on reimbursement levels already set for lower cost products and may be incorporated into existing payments for other services. Net prices for products may be reduced by mandatory discounts or rebates required by government healthcare programs or private payors, by any future laws limiting pharmaceutical prices and by any future relaxation of laws that presently restrict imports of product from countries where they may be sold at lower prices than in the United States. In addition, many pharmaceutical manufacturers must calculate and report certain price reporting metrics to the government, such as average sales price and best price. Penalties may apply in some cases when such metrics are not submitted accurately and timely.

Third-party payors have attempted to control costs by limiting coverage and the amount of reimbursement for particular medications. We cannot be sure that coverage and reimbursement will be available for any product that we commercialize and, if reimbursement is available, what the level of reimbursement will be. Inadequate coverage and reimbursement may impact the demand for, or the price of, any product for which we obtain marketing approval. If coverage and adequate reimbursement are not available, or are available only at limited levels, we may not be able to successfully commercialize any of our product candidates. Even if coverage is provided, the approved reimbursement amount may not be high enough to allow us to establish or maintain pricing sufficient to realize a sufficient return on our investment. Government authorities and third-party payors, such as private health insurers and health maintenance organizations, decide which medications they will pay for and establish reimbursement levels.

Outside the United States, international operations are generally subject to extensive governmental price controls and other market regulations, and we believe the increasing emphasis on cost containment initiatives in Europe, Canada and other countries has and will continue to put pressure on the pricing and usage of our product candidates. In many countries, the prices of medical products are subject to varying price control mechanisms as part of national health systems. Other countries allow companies to fix their own prices for medical products but monitor and control company profits. Additional foreign price controls or other changes in pricing regulation could restrict the amount that we are able to charge for our product candidates. Accordingly, in markets outside the United States, the reimbursement for our products may be reduced compared with the United States and may be insufficient to generate commercially reasonable revenue and profits.

Moreover, increasing efforts by governmental and third-party payors in Canada, the United States and other jurisdictions to cap or reduce healthcare costs may cause such organizations to limit both coverage and the level of reimbursement for newly approved products and, as a result, they may not cover or provide adequate payment for our product candidates. We expect to experience pricing pressures in connection with the sale of any of our product candidates due to the trend toward managed healthcare, the increasing influence of health maintenance organizations and additional legislative changes. The downward pressure on healthcare costs in general, particularly prescription drugs and surgical procedures and other treatments, has become very intense. As a result, increasingly high barriers are being erected to the entry of new products.

Legislative or regulatory healthcare reforms in the United States and other countries may make it more difficult and costly for us to obtain regulatory clearance or approval of our current or future product candidates and to produce, market and distribute our products after clearance or approval is obtained.

From time to time, legislation is drafted and introduced in the U.S. Congress or other countries that could significantly change the statutory provisions governing the regulatory clearance or approval, manufacture and marketing of regulated products or the reimbursement thereof. In addition, regulations and guidance are often revised or reinterpreted by the FDA and similar regulatory authorities in ways that may significantly affect our business and our products. Any new regulations or revisions or reinterpretations of existing regulations may impose additional costs or lengthen review times for our product candidates. Such changes could, among other things, require:

changes to manufacturing or marketing methods;
changes to product labeling or promotional materials;
recall, replacement, or discontinuance of one or more of our products; and
additional recordkeeping.

In the United States, there have been and continue to be a number of legislative initiatives and judicial challenges to contain healthcare costs. For example, in March 2010, the ACA was passed, which substantially changed the way healthcare is financed by both the government and private insurers and significantly impacts the U.S. pharmaceutical industry. The ACA,

78


 

among other things, addresses a new methodology by which rebates owed by manufacturers under the Medicaid Drug Rebate Program are calculated for drugs that are inhaled, infused, instilled, implanted or injected, increases the minimum Medicaid rebates owed by manufacturers under the Medicaid Drug Rebate Program and extends the rebate program to individuals enrolled in Medicaid managed care organizations, establishes annual fees and taxes on manufacturers of certain branded prescription drugs and creates a new Medicare Part D coverage gap discount program, in which manufacturers must now agree to offer 50% (increased to 70% pursuant to the Bipartisan Budget Act of 2018, effective as of 2019) point of sale discounts off negotiated prices of applicable brand drugs to eligible beneficiaries during their coverage gap period, as a condition for the manufacturer’s outpatient drugs to be covered under Medicare Part D, and provided incentives to programs that increase the federal government’s comparative effectiveness research.

Since its enactment, there have been numerous judicial, administrative, executive and legislative challenges to certain aspects of the ACA, and we expect there will be additional challenges and amendments to the ACA in the future. On June 17, 2021, the U.S. Supreme Court dismissed the most recent judicial challenge to the ACA brought by several states without specifically ruling on the constitutionality of the ACA. Prior to the Supreme Court’s decision, President Biden issued an executive order to initiate a special enrollment period from February 15, 2021 through August 15, 2021 for purposes of obtaining health insurance coverage through the ACA marketplace. The executive order also instructed certain governmental agencies to review and reconsider their existing policies and rules that limit access to healthcare, including among others, reexamining Medicaid demonstration projects and waiver programs that include work requirements, and policies that create unnecessary barriers to obtaining access to health insurance coverage through Medicaid or the ACA. It is unclear how other healthcare reform measures of the Biden administration or other efforts, if any, to challenge, repeal or replace the ACA will impact our business.

In addition, other legislative changes have been proposed and adopted since the ACA was enacted. These changes include aggregate reductions to Medicare payments to providers of 2% per fiscal year pursuant to the Budget Control Act of 2011, which began in 2013, and due to subsequent legislative amendments to the statute, including the Bipartisan Budget Act of 2018 will remain in effect through 2030 unless additional U.S. Congressional action is taken. The American Taxpayer Relief Act of 2012, among other things, further reduced Medicare payments to several providers, including hospitals and cancer treatment centers, and increased the statute of limitations period for the government to recover overpayments to providers from three to five years. Due to the Statutory Pay-As-You-Go Act of 2010, estimated budget deficit increases resulting from the American Rescue Plan Act of 2021, and subsequent legislation, Medicare payments to providers will be further reduced starting in 2025 absent further legislation. These laws and regulations may result in additional reductions in Medicare and other healthcare funding and otherwise affect the prices we may obtain for any of our product candidates for which we may obtain regulatory approval or the frequency with which any such product candidate is prescribed or used. These new laws and regulations may result in additional reductions in Medicare and other healthcare funding and otherwise affect the prices we may obtain for any of our product candidates for which we may obtain regulatory approval or the frequency with which any such product candidate is prescribed or used.

There has been increasing legislative and enforcement interest in the United States with respect to specialty drug pricing practices. Specifically, there have been several recent U.S. Congressional inquiries and proposed federal and state legislation designed to, among other things, bring more transparency to drug pricing, reduce the cost of prescription drugs under Medicare, review the relationship between pricing and manufacturer patient programs, and reform government program reimbursement methodologies for drugs. President Biden has issued multiple executive orders that have sought to reduce prescription drug costs. In addition, in February 2023, HHS issued a proposal in response to an October 2022 executive order from President Biden that includes a proposed prescription drug pricing model that will test whether targeted Medicare payment adjustments will sufficiently incentivize manufacturers to complete confirmatory trials for drugs approved through FDA’s accelerated approval pathway. Although a number of these and other proposed measures may require authorization through additional legislation to become effective, and the Biden administration may reverse or otherwise change these measures, both the Biden administration and Congress have indicated that they will continue to seek new legislative measures to control drug costs.

In addition, there have been several changes to the 340B drug pricing program, which imposes ceilings on prices that certain drug and biologic manufacturers can charge for medications sold to certain health care facilities. It is unclear how these developments could affect covered hospitals who might purchase our future products and affect the rates we may charge such facilities for our approved products in the future, if any. On July 24, 2020 and September 13, 2020, former President Trump announced several executive orders related to prescription drug pricing that seek to implement several of the former administration's proposals. In response, the FDA released a final rule on September 24, 2020, which went into effect on November 30, 2020, providing guidance for states to build and submit importation plans for drugs from Canada. However, on December 29, 2021 CMS rescinded the Most Favored Nations rule. Additionally, on November 30, 2020, HHS published a regulation removing safe harbor protection for price reductions from pharmaceutical manufacturers to plan sponsors under Part D, either directly or through pharmacy benefit managers, unless the price reduction is required by law. The rule also creates a

79


 

new safe harbor for price reductions reflected at the point-of-sale, as well as a safe harbor for certain fixed fee arrangements between pharmacy benefit managers and manufacturers. Pursuant to court order, the removal and addition of the aforementioned safe harbors were delayed and recent legislation imposed a moratorium on implementation of the rule until January 1, 2026. The IRA further delayed implementation of this rule to January 1, 2032. Although a number of these, and other proposed measures may require authorization through additional legislation to become effective, and the Biden administration may reverse or otherwise change these measures, Congress has indicated that it will continue to seek new legislative and/or administrative measures to control drug costs. At the state level, legislatures have increasingly passed legislation and implemented regulations designed to control pharmaceutical product pricing, including price or patient reimbursement constraints, discounts, restrictions on certain product access and marketing cost disclosure and transparency measures, and, in some cases, designed to encourage importation from other countries and bulk purchasing.

Further, on May 30, 2018, the Right to Try Act, was signed into law into the U.S. The law, among other things, provides a federal framework for certain patients to access certain investigational new drug products that have completed a Phase 1 clinical trial and that are undergoing investigation for FDA approval. Under certain circumstances, eligible patients can seek treatment without enrolling in clinical trials and without obtaining FDA permission under the FDA expanded access program. There is no obligation for a pharmaceutical manufacturer to make its drug products available to eligible patients as a result of the Right to Try Act.

In addition, on July 9, 2021, President Biden issued an executive order directing the FDA to, among other things, work with states and tribes to safely import prescription drugs from Canada and to continue to clarify and improve the approval framework for generic drugs and biosimilars, including the standards for interchangeability of biological products, facilitate the development and approval of biosimilar and interchangeable products, clarify existing requirements and procedures related to the review and submission of BLAs, and identify and address any efforts to impede generic drug and biosimilar competition.

IRA includes several provisions that may impact our business to varying degrees, including provisions that reduce the out-of-pocket spending cap for Medicare Part D beneficiaries from $7,050 to $2,000 starting in 2025, thereby effectively eliminating the coverage gap; impose new manufacturer financial liability on certain drugs under Medicare Part D, allow the U.S. government to negotiate Medicare Part B and Part D price caps for certain high-cost drugs and biologics without generic or biosimilar competition; require companies to pay rebates to Medicare for certain drug prices that increase faster than inflation; and delay until January 1, 2032 the implementation of the HSS rebate rule that would have limited the fees that pharmacy benefit managers can charge. Further, under the IRA, orphan drugs are exempted from the Medicare drug price negotiation program, but only if they have one rare disease designation and for which the only approved indication is for that disease or condition. If a product receives multiple rare disease designations or has multiple approved indications, it may not qualify for the orphan drug exemption. The effects of the IRA on our business and the healthcare industry in general is not yet known.

We cannot predict the initiatives that may be adopted in the future. The continuing efforts of the government, insurance companies, managed care organizations and other payors of healthcare services to contain or reduce costs of healthcare and/or impose price controls may adversely affect:

the demand for our product candidates, if we obtain regulatory approval;
our ability to set a price that we believe is fair for our approved products;
our ability to generate revenue and achieve or maintain profitability;
the level of taxes that we are required to pay; and
the availability of capital.

Any reduction in reimbursement from Medicare or other government programs may result in a similar reduction in payments from private payors, which may adversely affect our future profitability.

Further, on December 31, 2020, CMS published a new rule, effective January 1, 2023, requiring manufacturers to ensure the full value of co-pay assistance is passed on to the patient or these dollars will count toward the Average Manufacturer Price and Best Price calculation of the drug. On May 17, 2022, the U.S. District Court for the District of Columbia granted the Pharmaceutical Research and Manufacturers of America's (PhRMA) motion for summary judgment invalidating the accumulator adjustment rule.

80


 

We expect that these and other healthcare reform measures that may be adopted in the future, any of which could limit the amounts that the U.S. Federal Government will pay for healthcare drugs and services, which could result in reduced demand for our drug candidates or additional pricing pressures.

There have been, and likely will continue to be, legislative and regulatory proposals at the foreign, federal and state levels in the U.S. directed at broadening the availability of healthcare and containing or lowering the cost of healthcare. Individual U.S. states have become increasingly active in passing legislation and implementing regulations designed to control pharmaceutical and biological product pricing, including price or patient reimbursement constraints, discounts, restrictions on certain drug access and marketing cost disclosure and transparency measures, and designed to encourage importation from other countries and bulk purchasing. The implementation of cost containment measures or other healthcare reforms may prevent us from being able to generate revenue, attain profitability or commercialize our products. Such reforms could have an adverse effect on anticipated revenue from product candidates that we may successfully develop and for which we may obtain regulatory approval and may affect our overall financial condition and ability to develop product candidates. If we or any third parties we may engage are slow or unable to adapt to changes in existing requirements or the adoption of new requirements or policies, or if we or such third parties are not able to maintain regulatory compliance, our current or any future product candidates we may develop may lose any regulatory approval that may have been obtained and we may not achieve or sustain profitability.

If we fail to comply with environmental, health and safety laws and regulations, we could become subject to fines or penalties or incur costs that could have a material adverse effect on the success of our business.

We are subject to numerous environmental, health and safety laws and regulations, including those governing laboratory procedures and the handling, use, storage, treatment and disposal of hazardous materials and wastes. Our operations involve the use of hazardous and flammable materials, including chemicals and biological and radioactive materials. Our operations also produce hazardous waste products. We generally contract with third parties for the disposal of these materials and wastes. We cannot eliminate the risk of contamination or injury from these materials. In the event of contamination or injury resulting from our use of hazardous materials, we could be held liable for any resulting damages, and any liability could exceed our resources. We also could incur significant costs associated with civil or criminal fines and penalties.

Although we maintain workers’ compensation insurance to cover us for costs and expenses we may incur due to injuries to our employees resulting from the use of hazardous materials, this insurance may not provide adequate coverage against potential liabilities. We do not maintain insurance for environmental liability or toxic tort claims that may be asserted against us in connection with our storage or disposal of biological, hazardous or radioactive materials.

Risks Related to Our Intellectual Property

If we are unable to obtain and maintain patent protection for any products we develop and for our technology, or if the scope of the patent protection obtained is not sufficiently broad, our competitors could develop and commercialize products and technology similar or identical to ours, and our ability to commercialize any product candidates we may develop, and our technology may be adversely affected.

Our success depends in large part on our ability to obtain and maintain patent protection in the United States and other countries with respect to our product candidates, their respective components, formulations, combination therapies, methods used to manufacture them and methods of treatment and development that are important to our business. If we do not adequately protect our intellectual property rights, competitors may be able to erode or negate any competitive advantage we may have, which could harm our business and ability to achieve profitability. To protect our proprietary position, we file patent applications in the United States and abroad related to our novel product candidates that are important to our business; we may in the future also license or purchase patent applications filed by others. If we are unable to secure or maintain patent protection with respect to our Fast-Clear linker technology and any proprietary products and technology we develop, our business, financial condition, results of operations, and prospects could be materially harmed.

If the scope of the patent protection we or our potential licensors obtain is not sufficiently broad, we may not be able to prevent others from developing and commercializing technology and products similar or identical to ours. The degree of patent protection we require to successfully compete in the marketplace may be unavailable or severely limited in some cases and may not adequately protect our rights or permit us to gain or keep any competitive advantage. We cannot provide any assurances that any of our patents have, or that any of our pending patent applications that mature into issued patents will include, claims with a scope sufficient to protect our current and future product candidates or otherwise provide any competitive advantage. In addition, to the extent that we license intellectual property in the future, we cannot assure you that those licenses will remain in force. In addition, the laws of foreign countries may not protect our rights to the same extent as the laws of the United States.

81


 

Furthermore, patents have a limited lifespan. In the United States, the natural expiration of a patent is generally 20 years after it is filed (21 years if first filed as a provisional application). Various extensions may be available; however, the life of a patent, and the protection it affords, is limited. Given the amount of time required for the development, testing and regulatory review of new product candidates, patents protecting such candidates might expire before or shortly after such candidates are commercialized.

Even if they are unchallenged, our patents and pending patent applications, if issued, may not provide us with any meaningful protection or prevent competitors from designing around our patent claims to circumvent our patents by developing similar or alternative technologies or therapeutics in a non-infringing manner. For example, a third party may develop a competitive therapy that provides benefits similar to one or more of our product candidates but that uses a formulation and/or a device that falls outside the scope of our patent protection. If the patent protection provided by the patents and patent applications we hold or pursue with respect to our product candidates is not sufficiently broad to impede such competition, our ability to successfully commercialize our product candidates could be negatively affected, which would harm our business. We currently own or have exclusively in-licensed all of our patents or patent applications. Similar risks would apply to any patents or patent applications that we may own and those which we may license in the future. In many cases, in-licensed intellectual property is at greater risk, as we may not have access to all information or to prosecution and other aspects of the acquisition, maintenance and enforcement of the in-licensed intellectual property.

Patent positions of life sciences companies can be uncertain and involve complex factual and legal questions. No consistent policy governing the scope of claims allowable in the fields of antibodies and radiopharmaceuticals has emerged in the United States. The scope of patent protection in jurisdictions outside of the United States is also uncertain. Changes in either the patent laws or their interpretation in any jurisdiction that we seek patent protection may diminish our ability to protect our inventions, maintain and enforce our intellectual property rights; and, more generally, may affect the value of our intellectual property, including the narrowing of the scope of our patents and any that we may license.

The patent prosecution process is complex, expensive, time-consuming and inconsistent across jurisdictions. We may not be able to file, prosecute, maintain, enforce, or license all necessary or desirable patent rights at a commercially reasonable cost or in a timely manner. In addition, we may not pursue or obtain patent protection in all relevant markets. It is possible that we will fail to identify important patentable aspects of our research and development efforts in time to obtain appropriate or any patent protection. While we enter into non-disclosure and confidentiality agreements with parties who have access to confidential or patentable aspects of our research and development efforts, including for example, our employees, corporate collaborators, external academic scientific collaborators, CROs, contract manufacturers, consultants, advisors and other third parties, any of these parties may breach the agreements and disclose such output before a patent application is filed, thereby endangering our ability to seek patent protection. In addition, publications of discoveries in the scientific and scholarly literature often lag behind the actual discoveries, and patent applications in the United States and other jurisdictions are typically not published until 18 months after filing, or in some cases not until issuance as a patent. Consequently, we cannot be certain that we were the first to file for patent protection on the inventions claimed in our patents or pending patent applications.

The issuance, scope, validity, enforceability and commercial value of our patent rights are highly uncertain. Further, the scope of the invention claimed in a patent application can be significantly reduced before the patent is issued, and this scope can be reinterpreted after issuance. Even where patent applications we currently own, license, or that we may license in the future issue as patents, they may not issue in a form that will provide us with adequate protection to prevent competitors or other third parties from competing with us, or otherwise provide us with a competitive advantage. Any patents that eventually issue may be challenged, narrowed or invalidated by third parties. Consequently, we do not know whether any of our product candidates will be protectable or remain protected by valid and enforceable patent rights. Our competitors or other third parties may be able to evade our patent rights by developing new antibodies, biosimilar antibodies, or alternative technologies or products in a non-infringing manner.

The issuance or grant of a patent is not irrefutable as to its inventorship, scope, validity or enforceability, and our patents may be challenged in the courts or patent offices in the United States and abroad. There may be prior art of which we are not aware that may affect the validity or enforceability of a patent claim. There also may be prior art of which we are aware, but which we do not believe affects the validity or enforceability of a claim, which may, nonetheless, ultimately be found to affect the validity or enforceability of a claim. We may in the future, become subject to a third-party pre-issuance submission of prior art or opposition, derivation, revocation, re-examination, post-grant and inter partes review, or interference proceeding and other similar proceedings challenging our patent rights or the patent rights of others in the U.S. Patent and Trademark Office, or the USPTO, or other foreign patent office. An unfavorable determination in any such submission, proceeding or litigation could reduce the scope of, or invalidate, our patent rights, allow third parties to commercialize our technology or products and

82


 

compete directly with us, without payment to us, or extinguish our ability to manufacture or commercialize products without infringing third-party patent rights.

In addition, given the amount of time required for the development, testing and regulatory review of new product candidates, patents protecting such candidates might expire before or shortly after such candidates are commercialized. As a result, our intellectual property may not provide us with sufficient rights to exclude others from commercializing products similar or identical to ours. Moreover, some of our owned and in-licensed patents and patent applications are, and may in the future be, co-owned with third parties. If we are unable to obtain an exclusive license to any such third-party co-owners’ interest in such patents or patent applications, such co-owners may be able to license their rights to other third parties, including our competitors, and our competitors could market competing products and technology. In addition, we or our licensors may need the cooperation of any such co-owners of our owned and in-licensed patents in order to enforce such patents against third parties, and such cooperation may not be provided to us or our licensors. Any of the foregoing could have a material adverse effect on our competitive position, business, financial conditions, results of operations and prospects.

We depend on intellectual property licensed from third parties and termination of any of these licenses could result in the loss of significant rights, which would harm our business.

We are dependent on patents, know-how and proprietary technology, both our own and licensed from others. In December 2016, we entered into the ImmunoGen License Agreement with ImmunoGen, Inc., or ImmunoGen, pursuant to which we acquired a worldwide, exclusive, sublicensable royalty-bearing license to use, develop, manufacture and commercialize, and otherwise exploit any radiopharmaceutical conjugate that includes or incorporates ImmunoGen’s monoclonal antibody to IGF-1R and the related amino acid sequence, and any antibody derived therefrom, including the naked antibody we utilize in FPI-1434 for the treatment, prevention, diagnosis, control and maintenance of all diseases and disorders. In February 2017, we entered into the CPDC License Agreement with CPDC, pursuant to which we acquired a worldwide, exclusive license to (i) all of CPDC’s patents and patent applications throughout the world covering or relating to the technology owned or licensable by CPDC relating to its IGF-1R program and the associated novel linker technology and (ii) all of CPDC’s technical information related to such technology, including the right to sublicense any or all such rights to such technology. In March 2020, we entered into an asset purchase agreement with Rainier Therapeutics, Inc. (f/k/a BioClin Therapeutics, Inc.), or Rainier, pursuant to which we acquired Rainier’s business related to antibodies targeting fibroblast growth factor receptor 3, including the antibody we utilize in FPI-1966, and were granted a license to certain related intellectual property from Genentech, Inc., or Genentech. On April 1, 2021, we acquired Ipsen’s intellectual property and assets related to IPN-1087 and were granted a license to certain related intellectual property from 3B Pharmaceuticals GmbH.

These agreements impose numerous obligations, such as diligence and payment obligations. Any termination of these licenses could result in the loss of significant rights and could harm our ability to commercialize our product candidates. These licenses do and future licenses may include provisions that impose obligations and restrictions on us. This could delay or otherwise negatively impact a transaction that we may wish to enter into.

Disputes may also arise between us and our licensors regarding intellectual property subject to a license agreement, including disputes concerning:

the scope of rights granted under the license agreement and other interpretation-related issues;
whether and the extent to which our technology and processes infringe on intellectual property of the licensor that is not subject to the licensing agreement;
our right to sublicense patent and other rights to third parties under collaborative development relationships;
our diligence obligations with respect to the use of the licensed technology in relation to our development and commercialization of our product candidates, and what activities satisfy those diligence obligations; and
the ownership of inventions and know-how resulting from the joint creation or use of intellectual property by our licensors and us and our partners.

If disputes over intellectual property that we have licensed prevent or impair our ability to maintain our current licensing arrangements on acceptable terms, we may be unable to successfully develop and commercialize the affected product candidates.

83


 

We are generally also subject to all of the same risks with respect to protection of intellectual property that we license, as we are for intellectual property that we own, which are described below. If we or our licensors fail to adequately protect this intellectual property, our ability to commercialize products could suffer.

If we fail to comply with our obligations under our patent licenses with third parties, we could lose license rights that are important to our business.

We are a party to license agreements with ImmunoGen and Genentech and others, pursuant to which we in-license key patent and patent applications for use in one or more of our product candidates. These existing licenses impose various diligence, milestone payment, royalty, insurance and other obligations on us. If we fail to comply with these obligations, the licensors may have the right to terminate the licenses, in which event we would not be able to develop or market the products covered by such licensed intellectual property.

We rely on certain of our licensors to file and prosecute patent applications and maintain patents and otherwise protect the intellectual property we license from them and may continue to do so in the future. We have limited control over these activities or any other intellectual property that may be related to our in-licensed intellectual property. For example, we cannot be certain that such activities by these licensors have been or will be conducted in compliance with applicable laws and regulations or will result in valid and enforceable patents and other intellectual property rights. We have limited control over the manner in which our licensors initiate an infringement proceeding against a third-party infringer of the intellectual property rights, or defend certain of the intellectual property that is licensed to us. It is possible that any licensors’ infringement proceeding or defense activities may be less vigorous than had we conducted them ourselves.

Our proprietary position depends upon patents that are manufacturing, formulation or method-of-use patents, which may not prevent a competitor or other third party from using the same product candidate for another use.

Composition-of-matter patents on the active pharmaceutical ingredient, or API, in prescription drug products are generally considered to be the strongest form of intellectual property protection for drug products because such patents provide protection without regard to any particular method of use or manufacture or formulation of the API used. We currently have claims in an in-licensed issued U.S. patent that cover the antibody composition of matter incorporated in some of our product candidates. We license at least one issued U.S. patent with claims that cover the FPI-1434 product candidate. We are pursuing claims in our owned and in-licensed pending patent applications to provide additional compositions of matter coverage, including coverage of our product candidates. We cannot be certain that claims in any future patents issuing from our pending owned or in-licensed patent applications or our future owned or in-licensed patent applications will cover the composition of matter of our current or future product candidates.

However, we do not own or in-license any composition of matter patents or patent applications in the United States or any other jurisdiction with respect to our FPI-2265 product candidate. Further, we do not currently own or in-license any U.S. or foreign patents or patent applications covering the method of use of our FPI-2265 product candidate. We do own a U.S. provisional patent application with claims directed to formulations related to our FPI-2265 product candidate and we intend to file additional patent applications in the future that cover our FPI-2265 product candidate, but we cannot be certain that our future owned or licensed patent applications will cover our FPI-2265 product candidate. As a result, our owned patent portfolio and any patent portfolio we may license in the future may not provide us with adequate and continuing patent protection sufficient to exclude others from commercializing products similar or identical to our FPI-2265 product candidate.

Method-of-use patents protect the use of a product for the specified method and formulation patents cover formulations of the active pharmaceutical ingredient, or API. These types of patents do not prevent a competitor or other third party from developing or marketing an identical product for an indication that is outside the scope of the patented method or from developing a different formulation that is outside the scope of the patented formulation. Moreover, with respect to method-of-use patents, even if competitors or other third parties do not actively promote their product for our targeted indications or uses for which we may obtain patents, physicians may recommend that patients use these products off-label, or patients may do so themselves. Although off-label use may infringe or contribute to the infringement of method-of-use patents, the practice is common, and this type of infringement is difficult to prevent or prosecute. In addition, there are numerous publications and other prior art that may be relevant to our owned or in-licensed method-of-use patents and patent applications and may be used to challenge the validity of these owned or in-licensed patents and patent applications in litigation or other intellectual property-related proceedings. If these types of challenges are successful, our owned or in-licensed patents and patent applications may be narrowed or found to be invalid and we may lose valuable intellectual property rights. Any of the foregoing could have a material adverse effect on our business, financial conditions, prospects and results of operations.

84


 

If our efforts to protect the proprietary nature of the intellectual property related to our technologies are not adequate, we may not be able to compete effectively in our market.

We rely upon a combination of patents, confidentiality agreements, trade secret protection and license agreements to protect the intellectual property related to our technologies. Any disclosure to or misappropriation by third parties of our confidential proprietary information could enable competitors to quickly duplicate or surpass our technological achievements, thus eroding our competitive position in our market. We, or any future partners, collaborators, licensors or licensees, may fail to identify patentable aspects of inventions made in the course of development and commercialization activities before it is too late to obtain patent protection on them. Therefore, we may miss potential opportunities to strengthen our patent position.

It is possible that defects of form in the preparation or filing of our patents or patent applications may exist, or may arise in the future, for example with respect to proper priority claims, inventorship, claim scope, or requests for patent term adjustments. If we or our partners, collaborators, licensees or licensors fail to establish, maintain or protect such patents and other intellectual property rights, such rights may be reduced or eliminated. If our partners, collaborators, licensees or licensors are not fully cooperative or disagree with us as to the prosecution, maintenance or enforcement of any patent rights, such patent rights could be compromised. If there are material defects in the form, preparation, prosecution, or enforcement of our patents or patent applications, such patents may be invalid and/or unenforceable, and such applications may never result in valid, enforceable patents. Any of these outcomes could impair our ability to prevent competition from third parties, which may have an adverse impact on our business.

We anticipate additional patent applications will be filed both in the United States and in other countries, as appropriate. However, we cannot predict:

if additional patent applications covering new technologies related to our product candidates will be filed;
if and when patents will issue;
the degree and range of protection any issued patents will afford us against competitors, including whether third parties will find ways to invalidate or otherwise circumvent our patents;
whether any of our intellectual property will provide any competitive advantage;
whether any of our patents that may be issued may be challenged, invalidated, modified, revoked, circumvented, found to be unenforceable or otherwise may not provide any competitive advantage;
whether or not others will obtain patents claiming aspects similar to those covered by our patents and patent applications; or
whether we will need to initiate or defend litigation or administrative proceedings which may be costly regardless of whether we win or lose.

Additionally, we cannot be certain that the claims in our pending patent applications covering composition of matter of our product candidates will be considered patentable by the USPTO, or by patent offices in foreign countries, or that the claims in any of our issued patents will be considered valid or patentable by courts in the United States or foreign countries.

Method of use patents protect the use of a product for the specified method. These types of patents do not prevent a competitor from making and marketing a product that is identical to our product for an indication that is outside the scope of the patented method. Moreover, even if competitors do not actively promote their product for our targeted indications, physicians may prescribe these products “off-label.” Although off-label prescriptions may, but not necessarily, contribute to a finding of infringement of method of use patents, the practice is common and such infringement is difficult to prevent or prosecute.

The strength of patents in the biotechnology and pharmaceutical field involves complex legal and scientific questions and can be uncertain. The patent applications that we own or in-license may fail to result in issued patents with claims that cover our product candidates or uses thereof in the United States or in foreign countries. Even if the patents do successfully issue, third parties may challenge the validity, enforceability or scope thereof, which may result in such patents being narrowed, invalidated or held unenforceable. Furthermore, even if they are unchallenged, our patents and patent applications may not adequately protect our intellectual property or prevent others from designing around our claims. If the breadth or strength of protection provided by the patents or patent applications we hold with respect to our product candidates is threatened, it could dissuade companies from collaborating with us to develop, and threaten our ability to commercialize, our product candidates.

85


 

Further, if we encounter delays in our clinical trials, the period of time during which we could market our product candidates under patent protection would be reduced. Since patent applications in the United States and most other countries are confidential for a period of time after filing, we cannot be certain that we were the first to file any patent application related to our product candidates if we file such applications in the future. Furthermore, for U.S. applications in which all claims are entitled to a priority date before March 16, 2013, an interference proceeding can be provoked by a third-party or instituted by the USPTO to determine who was the first to invent any of the subject matter covered by the patent claims. We cannot be certain that we are the first to invent the inventions covered by pending patent applications and, if we are not, we may be subject to priority disputes. We may be required to disclaim part or all of the term of certain patents or all of the term of certain patent applications. Various post grant review proceedings, such as inter partes review and post grant review, are available for any interested third party to challenge the validity of claims in our issued patents. While these post grant review proceedings have been used less frequently to invalidate biotech patents, there has been a higher number of successful challenges in other technology areas. Post grant review is a relatively new procedure in the U.S. and some other jurisdictions. These procedures and even long-standing procedures in foreign jurisdictions or in any jurisdiction where they exist might affect future results. No assurance can be given that, if challenged, our patents would be declared by a court to be valid or enforceable or that even if found valid and enforceable, that a competitor’s technology or product would be found by a court to infringe our patents. We may analyze patents or patent applications of our competitors that we believe are relevant to our activities, and consider that we are free to operate in relation to our product candidates, but our competitors may obtain issued claims, including in patents we consider to be unrelated to our products or activities, which block our efforts or may potentially result in our product candidates or our activities infringing such claims. The possibility exists that others will develop products which have the same effect as our products on an independent basis which do not infringe our patents or other intellectual property rights, or will design around the claims of patents that we have had issued that cover our products.

Recent or future patent reform legislation could increase the uncertainties and costs surrounding the prosecution of our patent applications and the enforcement or defense of our issued patents. In March 2013, under the Leahy-Smith America Invents Act, or America Invents Act, or AIA, the United States moved from a “first to invent” to a “first-to-file” system. Under a “first-to-file” system, assuming the other requirements for patentability are met, the first applicant to file a patent application generally will be entitled to a patent on the invention regardless of whether another applicant made the invention earlier. The AIA includes a number of other significant changes to U.S. patent law, including provisions that affect the way patent applications are prosecuted, redefine what is relevant prior art and establish a new post-grant review system. The effects of these changes are currently unclear as the USPTO developed new regulations and procedures in connection with the AIA and many of the substantive changes to patent law, including the “first-to-file” provisions, first became effective in March 2013. These regulations and procedures remain subject to change. In addition, the courts have yet to address many of the provisions of the AIA and the applicability of the AIA and resulting regulations. The impact of the AIA on the scope, validity or enforceability of on specific patents discussed herein have not been determined and would need to be reviewed. The AIA implementation may increase uncertainties and costs surrounding the prosecution of our patent applications and the enforcement or defense of our issued patents, all of which could have a material adverse effect on our business and financial condition.

If we are unable to protect the confidentiality of our trade secrets, our business and competitive position would be harmed.

In addition to the protection afforded by patents, we seek to rely on trade secret protection, confidentiality agreements, and license agreements to protect proprietary know-how that is not patentable, processes for which patents are difficult to enforce and any other elements of our product discovery and development processes that involve proprietary know-how, information, or technology that is not covered by our patents. Although we require all of our employees to assign their inventions to us, and require all of our employees, consultants, advisors and any third parties who have access to our proprietary know-how, information, or technology to enter into confidentiality agreements, we cannot be certain that our trade secrets and other confidential proprietary information will not be disclosed to our competitors or that competitors will not otherwise gain access to our trade secrets or independently develop substantially equivalent information and techniques. Furthermore, the laws of some foreign countries do not protect proprietary rights to the same extent or in the same manner as the laws within the United States. As a result, we may encounter significant problems in protecting and defending our intellectual property both in the United States and abroad. If we are unable to prevent unauthorized material disclosure of our intellectual property to third parties, we will not be able to establish or maintain a competitive advantage in our market, which could materially adversely affect our business, operating results and financial condition.

Courts outside the United States are sometimes less willing to protect trade secrets. If we choose to go to court to stop a third party from using any of our trade secrets, we may incur substantial costs. These lawsuits may consume our time and other resources even if we are successful. For example, significant elements of our products, including confidential aspects of sample

86


 

preparation, methods of manufacturing, cell culturing conditions, computational-biological algorithms, and related processes and software, are based on unpatented trade secrets. Although we take steps to protect our proprietary information and trade secrets, including through contractual means with our employees and consultants, third parties may independently develop substantially equivalent proprietary information and techniques or otherwise gain access to our trade secrets or disclose our technology.

We may not be able to meaningfully protect our trade secrets. It is our policy to require our employees, consultants, outside scientific collaborators, sponsored researchers and other advisors to execute confidentiality agreements upon the commencement of employment or consulting relationships with us. These agreements provide that all confidential information concerning our business or financial affairs developed or made known to the individual or entity during the course of the party’s relationship with us is to be kept confidential and not disclosed to third parties except in specific circumstances. In the case of employees, the agreements provide that all inventions conceived by the individual, and which are related to our current or planned business or research and development or made during normal working hours, on our premises or using our equipment or proprietary information, are our exclusive property. In addition, we take other appropriate precautions, such as physical and technological security measures, to guard against misappropriation of our proprietary technology by third parties. We have also adopted policies and conduct training that provides guidance on our expectations, and our advice for best practices, in protecting our trade secrets. Despite these undertakings, we may not be able to effectively protect our trade secrets.

Third-party claims of intellectual property infringement may prevent or delay our product discovery and development efforts.

Our commercial success depends in part on our avoiding infringement of the patents and proprietary rights of third parties. There is a substantial amount of litigation involving the infringement of patents and other intellectual property rights in the biotechnology and pharmaceutical industries. We may be exposed to, or threatened with, future litigation by third parties having patent or other intellectual property rights and who allege that our product candidates, uses and/or other proprietary technologies infringe their intellectual property rights. We are aware of certain third party patent rights that some may argue cover our FPI-2265, our PSMA I&T product candidate or its use. We have filed an Inter Partes Review, or IPR, petition with the USPTO to challenge the validity of a certain issued U.S. Patent. In the event that we are unsuccessful in the IPR and that such patent has not expired at the time of approval of FPI-2265, our PSMA I&T product candidate and the patent owners were to bring an infringement action against us, we may have to argue that FPI-2265, our PSMA I&T product candidate, its manufacture or use does not infringe a valid claim of the patent in question. Furthermore, if we were to challenge the validity of this or any other issued U.S. patent in court, we would need to overcome a statutory presumption of validity that attaches to every U.S. patent. This means that in order to prevail, we would need to present clear and convincing evidence as to the invalidity of the patent’s claims. There is no assurance that a court would find in our favor on questions of infringement or validity. In the event that a patent is successfully asserted against us such that the patent is found to be valid and enforceable and infringed by FPI-2265, our PSMA I&T product candidate or its use, unless we obtain a license to such a patent, which may not be available on commercially reasonable terms or at all, we could be prevented from continuing to develop or commercialize our product.

Numerous U.S. and foreign issued patents and pending patent applications, which are owned by third parties, exist in the fields in which we are developing our product candidates. As the biotechnology and pharmaceutical industries expand and more patents are issued, the risk that our product candidates may give rise to claims of infringement of the patent rights of others increases. Moreover, it is not always clear to industry participants, including us, which patents exist which may be found to cover various types of drugs, products or their methods of use or manufacture. Thus, because of the large number of patents issued and patent applications currently pending in our fields, there may be a risk that third parties may allege they have patent rights which are infringed by our product candidates, technologies or methods.

If a third party alleges that we infringe its intellectual property rights, we may face a number of issues, including, but not limited to:

infringement and other intellectual property misappropriation which, regardless of merit, may be expensive and time-consuming to litigate and may divert our management’s attention from our core business;
substantial damages for infringement or misappropriation, which we may have to pay if a court decides that the product candidate or technology at issue infringes on or violates the third-party’s rights, and, if the court finds we have willfully infringed intellectual property rights, we could be ordered to pay treble damages and the patent owner’s attorneys’ fees;
an injunction prohibiting us from manufacturing, marketing or selling our product candidates, or from using our proprietary technologies, unless the third party agrees to license its patent rights to us;

87


 

even if a license is available from a third party, we may have to pay substantial royalties, upfront fees and other amounts, and/or grant cross-licenses to intellectual property rights protecting our products; and
we may be forced to try to redesign our product candidates or processes so they do not infringe third-party intellectual property rights, an undertaking which may not be possible or which may require substantial monetary expenditures and time.

Some of our competitors may be able to sustain the costs of complex patent litigation more effectively than we can because they have substantially greater resources. In addition, any uncertainties resulting from the initiation and continuation of any litigation could have a material adverse effect on our ability to raise the funds necessary to continue our operations or could otherwise have a material adverse effect on our business, results of operations, financial condition and prospects.

Third parties may assert that we are employing their proprietary technology without authorization. Generally, conducting preclinical and clinical trials and other development activities in the United States is not considered an act of infringement. If FPI-2265, FPI-1434, FPI-1966, FPI-2059 or another product candidate is approved by the FDA, a third party may then seek to enforce its patent by filing a patent infringement lawsuit against us. While we may believe that patent claims or other intellectual property rights of a third party would not have a materially adverse effect on the commercialization of our product candidates, we may be incorrect in this belief, or we may not be able to prove it in litigation. In this regard, patents issued in the United States by law enjoy a presumption of validity that can be rebutted only with evidence that is “clear and convincing,” a heightened standard of proof. There may be issued third-party patents of which we are currently unaware with claims to compositions, formulations, methods of manufacture or methods for treatment related to the use or manufacture of our product candidates. Patent applications can take many years to issue. There may be currently pending patent applications which may later result in issued patents that may be infringed by our product candidates. Moreover, we may fail to identify relevant patents or incorrectly conclude that a patent is invalid, not enforceable, exhausted, or not infringed by our activities. If any third-party patents, held now or obtained in the future by a third party, were found by a court of competent jurisdiction to cover the manufacturing process of our product candidates, constructs or molecules used in or formed during the manufacturing process, or any final product or methods use of the product, the holders of any such patents may be able to block our ability to commercialize the product candidate unless we obtained a license under the applicable patents, or until such patents expire or they are finally determined to be held invalid or unenforceable. Similarly, if any third-party patent were held by a court of competent jurisdiction to cover any aspect of our formulations, any combination therapies or patient selection methods, the holders of any such patent may be able to block our ability to develop and commercialize the product candidate unless we obtained a license or until such patent expires or is finally determined to be held invalid or unenforceable. In either case, such a license may not be available on commercially reasonable terms or at all. If we are unable to obtain a necessary license to a third-party patent on commercially reasonable terms, or at all, our ability to commercialize our product candidates may be impaired or delayed, which could in turn significantly harm our business. Even if we obtain a license, it may be non-exclusive, thereby giving our competitors access to the same technologies licensed to us. In addition, if the breadth or strength of protection provided by our patents and patent applications is threatened, it could dissuade companies from collaborating with us to license, develop or commercialize current or future product candidates.

Parties making claims against us may seek and obtain injunctive or other equitable relief, which could effectively block our ability to further develop and commercialize our product candidates. Defense of these claims, regardless of their merit, could involve substantial litigation expense and would be a substantial diversion of employee resources from our business. In the event of a successful claim of infringement against us, we may have to pay substantial damages, including treble damages and attorneys’ fees for willful infringement, obtain one or more licenses from third parties, pay royalties or redesign our infringing products, which may be impossible or require substantial time and monetary expenditure. We cannot predict whether any such license would be available at all or whether it would be available on commercially reasonable terms. Furthermore, even in the absence of litigation, we may need or may choose to obtain licenses from third parties to advance our research or allow commercialization of our product candidates. We may fail to obtain any of these licenses at a reasonable cost or on reasonable terms, if at all. In that event, we would be unable to further develop and commercialize our product candidates, which could harm our business significantly.

We may not be successful in obtaining or maintaining necessary rights to product components and processes for our development pipeline through acquisitions and in-licenses.

Presently we have rights to certain patents and applications through licenses from third parties and own patents and patent applications related to our product candidates. Because additional product candidates or therapies, including combination therapies with our product candidates may require the use of proprietary rights held by third parties, the growth of our business will likely depend in part on our ability to acquire, in-license or use these proprietary rights.

88


 

Our product candidates may also require specific formulations to work effectively and efficiently and rights to the formulations may be held by others. Similarly, efficient production or delivery of our product candidates may also require specific compositions or methods, and the rights to these may be owned by third parties. We may be unable to acquire or in-license compositions, methods of use, processes or other intellectual property rights from third parties that we identify as necessary or important to our business operations. If we fail to obtain any of these licenses at a reasonable cost or on reasonable terms, if at all, it would harm our business. We may need to cease use of the compositions or methods covered by such third-party intellectual property rights, and/or may need to seek to develop alternative approaches that do not infringe on such intellectual property rights which may entail additional costs and development delays, even if it is possible and we were able to develop such alternatives. Even if we are able to obtain a license, it may be non-exclusive, thereby giving our competitors access to the same technologies that we have licensed. In that event, we may be required to expend significant time and resources to develop or license replacement technologies. Moreover, the specific targeting vectors that will be used with our product candidates may be covered by the intellectual property rights of others.

Additionally, we have and may continue to collaborate with academic institutions to accelerate our preclinical research or development under written agreements with these institutions. In certain cases, these institutions provide us with an option to negotiate a license to any of the institution’s rights in technology resulting from the collaboration. Regardless of such option, we may be unable to negotiate a license within the specified timeframe or under terms that are acceptable to us. If we are unable to do so, the institution may offer the intellectual property rights to others, potentially blocking our ability to pursue our program. If we are unable to successfully obtain rights to required third-party intellectual property or to maintain the existing intellectual property rights we have, we may have to abandon development of such program and our business and financial condition could suffer.

The licensing and acquisition of third-party intellectual property rights is a competitive area, and companies, which may be more established, or have greater resources than we do, may also be pursuing strategies to license or acquire third-party intellectual property rights that we may consider necessary or attractive in order to commercialize our product candidates. More established companies may have a competitive advantage over us due to their size, cash resources and greater clinical development and commercialization capabilities.

We may be involved in lawsuits to protect or enforce our patents or the patents of our licensors, which could be expensive, time-consuming and unsuccessful.

Competitors may infringe our patents or the patents of our licensors. To counter infringement or unauthorized use, we may be required to take legal action to enforce our patents or our licensors’ patents against such infringing activity. Such enforcement proceedings against infringers can be expensive and time-consuming.

In addition, in an infringement proceeding, a court may decide that one or more of our patents is not valid or is unenforceable, or may refuse to stop the other party from using the technology at issue on the grounds that our patents do not cover the compositions or activities in question. An adverse result in any litigation or defense proceedings could put one or more of our patents at risk of being invalidated, held unenforceable, or interpreted narrowly and could put our patent applications at risk of not issuing. Defense against these assertions, non-infringement, invalidity or unenforceability regardless of their merit, would involve substantial litigation expense and would be a substantial diversion of employee resources from our business. In the event of a successful claim of infringement against us, we may have to pay substantial damages, including treble damages and attorneys’ fees for willful infringement, obtain one or more licenses from third parties, pay royalties or redesign our infringing products, which may be impossible or require substantial time and monetary expenditure.

Post-grant proceedings provoked by third parties or brought by the USPTO may be brought to determine the validity or priority of inventions with respect to our patents or patent applications or those of our licensors. An unfavorable outcome could result in a loss of our current patent rights and could require us to cease using the related technology or to attempt to license rights to it from the prevailing party. Our business could be harmed if the prevailing party does not offer us a license on commercially reasonable terms. Litigation or post-grant proceedings may result in a decision adverse to our interests and, even if we are successful, may result in substantial costs and distract our management and other employees. We may not be able to prevent, alone or with our licensors, misappropriation of our trade secrets or confidential information, particularly in countries where the laws may not protect those rights as fully as those within the United States.

Furthermore, because of the substantial amount of discovery required in connection with intellectual property litigation, there is a risk that some of our confidential information could be compromised by disclosure during this type of litigation. In addition, there could be public announcements of the results of hearings, motions or other interim proceedings or developments.

89


 

If securities analysts or investors perceive these results to be negative, it could have a substantial adverse effect on the price of our common shares.

Obtaining and maintaining our patent protection depends on compliance with various procedural, document submission, fee payment and other requirements imposed by governmental patent agencies, and our patent protection could be reduced or eliminated for non-compliance with these requirements.

Some of our pending patent applications may not be allowed in the future. We cannot be certain that an allowed patent application will become an issued patent. There may be events that cause withdrawal of the allowance of a patent application. For example, after a patent application has been allowed, but prior to being issued, material that could be relevant to patentability may be identified. In such circumstances, the applicant may pull the application from allowance in order for the USPTO to review the application in view of the new material. We cannot be certain that the USPTO will issue the application in view of the new material. Further, periodic maintenance fees on any issued patent are due to be paid to the USPTO and foreign countries may require the payment of maintenance fees or patent annuities during the lifetime of a patent application and/or any subsequent patent that issues from the application. The USPTO and various foreign governmental patent agencies require compliance with a number of procedural, documentary, fee payment and other similar provisions during the patent application process and following the issuance of a patent. While an inadvertent lapse can in many cases be cured by payment of a late fee or by other means in accordance with the applicable rules, there are situations in which noncompliance can result in abandonment or lapse of the patent or patent application. Such noncompliance can result in partial or complete loss of patent rights in the relevant jurisdiction. Noncompliance events that could result in abandonment or lapse of a patent or patent application include, but are not limited to, failure to respond to official actions within prescribed time limits, non-payment of fees and failure to properly legalize and submit formal documents. Such an event could have a material adverse effect on our business.

Issued patents covering our product candidates could be found invalid or unenforceable if challenged in court or the USPTO.

If we or one of our licensing partners initiate legal proceedings against a third party to enforce a patent covering one of our product candidates, the defendant could counterclaim that the patent covering our product candidate, as applicable, is invalid and/or unenforceable. In patent litigation in the United States, defendant counterclaims alleging invalidity and/or unenforceability are commonplace, and there are various grounds upon which a third party can assert invalidity or unenforceability of a patent. Third parties may also raise similar claims before administrative bodies in the United States or abroad, even outside the context of litigation. Such mechanisms include re-examination, inter partes review, post grant review and equivalent proceedings in foreign jurisdictions (such as opposition proceedings). Such proceedings could result in revocation or amendment to our patents in such a way that they no longer cover our product candidates. The outcome following legal assertions of invalidity and unenforceability is unpredictable. With respect to the validity question, for example, we cannot be certain that there is no invalidating prior art, of which we, our patent counsel and the patent examiner were unaware during prosecution. If a defendant were to prevail on a legal assertion of invalidity and/or unenforceability, or if we are otherwise unable to adequately protect our rights, we would lose at least part, and perhaps all, of the patent protection on our product candidates. Such a loss of patent protection could have a material adverse impact on our business and our ability to commercialize or license our technology and product candidates.

Changes to patent law in the United States and in foreign jurisdictions could diminish the value of patents in general, thereby impairing our ability to protect our products.

As is the case with other drug and biopharmaceutical companies, our success is heavily dependent on intellectual property, particularly patents. Obtaining and enforcing patents in the drug and biopharmaceutical industry involves both technological and legal complexity, and is therefore costly, time-consuming and inherently uncertain. In addition, the United States has passed wide-ranging patent reform legislation under the AIA. Moreover, recent U.S. Supreme Court rulings have narrowed the scope of patent protection available in certain circumstances and weakened the rights of patent owners in certain situations. In addition to increasing uncertainty with regard to our ability to obtain patents in the future, this combination of events has created uncertainty with respect to the value of patents, once obtained. Depending on decisions by the U.S. Congress, the federal courts, and the USPTO, the laws and regulations governing patents could change in unpredictable ways that would weaken our ability to obtain new patents or to enforce our existing patents and patents that we might obtain in the future. We cannot predict how future decisions by the courts, Congress or the USPTO may impact the value of our patents. Similarly, any adverse changes in the patent laws of other jurisdictions could have a material adverse effect on our business and financial condition. Changes in the laws and regulations governing patents in other jurisdictions could similarly have an adverse effect on our ability to obtain and effectively enforce our patent rights.

90


 

Our European patents and patent applications could be challenged in the recently created Unified Patent Court, or UPC, for the European Union, that is expected to be fully ratified in 2023. We may decide to opt out our European patents and patent applications from the UPC. However, if certain formalities and requirements are not met, our European patents and patent applications could be challenged for non-compliance and brought under the jurisdiction of the UPC. We cannot be certain that our European patents and patent applications will avoid falling under the jurisdiction of the UPC, if we decide to opt out of the UPC. Under the UPC, a granted European patent would be valid and enforceable in numerous European countries. A successful invalidity challenge to a European patent under the UPC would result in loss of patent protection in those European countries. Accordingly, a single proceeding under the UPC could result in the partial or complete loss of patent protection in numerous European countries, rather than in each validated European country separately as such patents always have been adjudicated. Such a loss of patent protection could have a material adverse impact on our business and our ability to commercialize our technology and product candidates and, resultantly, on our business, financial condition, prospects and results of operations.

We have limited foreign intellectual property rights and may not be able to protect our intellectual property rights throughout the world.

Certain of our key patent families have been filed in the United States; however, we have less robust intellectual property rights outside the United States, and, in particular, we may not be able to pursue patent coverage of our product candidates in certain countries outside of the United States. Filing, prosecuting and defending patents on product candidates in all countries throughout the world would be prohibitively expensive, and our intellectual property rights in some countries outside the United States may be less extensive than those in the United States. In addition, the laws of some foreign countries do not protect intellectual property rights to the same extent as federal and state laws in the United States. The breadth and strength of our patents issued in foreign jurisdictions or regions may not be the same as the corresponding patents issued in the United States. Consequently, we may not be able to prevent third parties from practicing our inventions in all countries outside the United States, or from selling or importing products made using our inventions in and into the United States or other jurisdictions. Competitors may use our technologies in jurisdictions where we have not obtained patent protection to develop their own products and further, may export otherwise infringing products to certain territories where we have patent protection, but enforcement is not as strong as that in the United States. These products may compete with our products and our patents or other intellectual property rights may not be effective or sufficient to prevent them from competing. Most of our patent portfolio is at the very early stage. We will need to decide whether and in which jurisdictions to pursue protection for the various inventions in our portfolio prior to applicable deadlines.

Many companies have encountered significant problems in protecting and defending intellectual property rights in foreign jurisdictions. The legal systems of certain countries, particularly certain developing countries, do not favor the enforcement of patents, trade secrets and other intellectual property protections, particularly those relating to drug and biopharmaceutical products. This difficulty with enforcing patents could make it difficult for us to stop the infringement of our patents or marketing of competing products otherwise generally in violation of our proprietary rights. Proceedings to enforce our patent rights in foreign jurisdictions could result in substantial costs and divert our efforts and attention from other aspects of our business, could put our patents at risk of being invalidated or interpreted narrowly, put our patent applications at risk of not issuing and could provoke third parties to assert claims against us. We may not prevail in any lawsuits that we initiate and the damages or other remedies awarded, if any, may not be commercially meaningful. Accordingly, our efforts to enforce our intellectual property rights around the world may be inadequate to obtain a significant commercial advantage from the intellectual property that we develop or license.

We may be subject to claims challenging the inventorship or ownership of our patents and other intellectual property.

We generally enter into confidentiality and intellectual property assignment agreements with our employees, consultants, and contractors. These agreements generally provide that inventions conceived by the party in the course of rendering services to us will be our exclusive property. However, those agreements may not be honored and may not effectively assign intellectual property rights to us. Moreover, there may be some circumstances, where we are unable to negotiate for such ownership rights. Disputes regarding ownership or inventorship of intellectual property can also arise in other contexts, such as collaborations and sponsored research. If we are subject to a dispute challenging our rights in or to patents or other intellectual property, such a dispute could be expensive and time-consuming. If we were unsuccessful, we could lose valuable rights in intellectual property that we regard as our own.

The intellectual property landscape around our radiopharmaceutical product candidates is crowded, and third parties may initiate legal proceedings alleging that we are infringing, misappropriating, or otherwise violating their intellectual property rights, the outcome of which would be uncertain and could have a material adverse effect on the success of our business. We

91


 

are aware of certain third-party patents and third-party patent applications in this landscape that may, if issued as patents, be asserted to encompass our technology.

We may be subject to claims that our employees, consultants or independent contractors have wrongfully used or disclosed confidential information of third parties.

We have received confidential and proprietary information from third parties. In addition, we employ individuals who were previously employed at other biotechnology or pharmaceutical companies. We may be subject to claims that we or our employees, consultants or independent contractors have inadvertently or otherwise used or disclosed confidential information of these third parties or our employees’ former employers or our consultants’ or contractors’ current or former clients or customers. Litigation may be necessary to defend against these claims. Even if we are successful in defending against these claims, litigation could result in substantial cost and be a distraction to our management and employees. If we are not successful, we could lose access or exclusive access to valuable intellectual property.

We may be subject to damages resulting from claims that we or our employees have wrongfully used or disclosed alleged trade secrets of our competitors or are in breach of non-competition or non-solicitation agreements with our competitors.

Many of our employees were previously employed at other biotechnology and pharmaceutical companies, including our competitors or potential competitors, in some cases until recently. We may be subject to claims that we or our employees have inadvertently or otherwise used or disclosed trade secrets or other proprietary information of these former employers or competitors. In addition, we may in the future be subject to claims that we caused an employee to breach the terms of his or her non-competition or non-solicitation agreement. Litigation may be necessary to defend against these claims. Even if we are successful in defending against these claims, litigation could result in substantial costs and could be a distraction to management. If our defense to those claims fails, in addition to paying monetary damages, we may lose valuable intellectual property rights or personnel. Any litigation or the threat thereof may adversely affect our ability to hire employees. A loss of key personnel or their work product could hamper or prevent our ability to commercialize product candidates, which could have an adverse effect on our business, financial condition and results of operations.

If we do not obtain patent term extension and data exclusivity for any of our current or future product candidates, our business may be materially harmed.

Depending upon the timing, duration and specifics of any FDA marketing approval of any of our current or future product candidates, one or more of our U.S. patents may be eligible for limited patent term extension under the Drug Price Competition and Patent Term Restoration Act of 1984, or the Hatch-Waxman Amendments. The Hatch-Waxman Amendments permit a patent extension term of up to five years as compensation for patent term lost during the FDA regulatory review process. A patent term extension cannot extend the remaining term of a patent beyond a total of 14 years from the date of product approval, only one patent may be extended and only those claims covering the approved drug, a method for using it, or a method for manufacturing it may be extended. However, we may not be granted an extension because of, for example, failing to exercise due diligence during the testing phase or regulatory review process, failing to apply for a patent extension within applicable deadlines, failing to apply prior to expiration of relevant patents, or otherwise failing to satisfy applicable requirements. Moreover, the applicable time period or the scope of patent protection afforded could be less than we request. If we are unable to obtain patent term extension or the term of any such extension is less than we believe we are entitled to, our competitors may obtain approval of competing products sooner than we would expect, and our business, financial condition, results of operations, and prospects could be materially harmed.

If our trademarks and trade names are not adequately protected, then we may not be able to build name recognition in our marks of interest and our business may be adversely affected.

Our trademarks or trade names may be challenged, infringed, circumvented or declared generic or determined to be infringing on other marks. We rely on both registration and common law protection for our trademarks. We may not be able to protect our rights to these trademarks and trade names or may be forced to stop using these names, which we need for name recognition by potential partners or customers in our markets of interest. During the trademark registration process, we may receive Office Actions from the USPTO objecting to the registration of our trademark. Although we would be given an opportunity to respond to those objections, we may be unable to overcome such rejections. In addition, in the USPTO and in comparable agencies in many foreign jurisdictions, third parties are given an opportunity to oppose pending trademark applications and/or to seek the cancellation of registered trademarks. Opposition or cancellation proceedings may be filed against our trademarks, and our trademarks may not survive such proceedings. If we are unable to establish name recognition

92


 

based on our trademarks and trade names, we may not be able to compete effectively and our business may be adversely affected.

Numerous factors may limit any potential competitive advantage provided by our intellectual property rights.

The degree of future protection afforded by our intellectual property rights, whether owned or in-licensed, is uncertain because intellectual property rights have limitations, and may not adequately protect our business, provide a barrier to entry against our competitors or potential competitors, or permit us to maintain our competitive advantage. Moreover, if a third party has intellectual property rights that cover the practice of our technology, we may not be able to fully exercise or extract value from our intellectual property rights. The following examples are illustrative:

pending patent applications that we own or license may not lead to issued patents;
patents, should they issue, that we own or license, may not provide us with any competitive advantages, or may be challenged and held invalid or unenforceable;
others may be able to develop and/or practice technology that is similar to our technology or aspects of our technology but that is not covered by the claims of any of our owned or in-licensed patents, should any such patents issue;
third parties may compete with us in jurisdictions where we do not pursue and obtain patent protection;
we (or our licensors) might not have been the first to make the inventions covered by a pending patent application that we own or license;
we (or our licensors) might not have been the first to file patent applications covering a particular invention;
others may independently develop similar or alternative technologies without infringing our intellectual property rights;
we may not be able to obtain and/or maintain necessary licenses on reasonable terms or at all;
third parties may assert an ownership interest in our intellectual property and, if successful, such disputes may preclude us from exercising exclusive rights, or any rights at all, over that intellectual property;
we may not be able to maintain the confidentiality of our trade secrets or other proprietary information;
we may not develop or in-license additional proprietary technologies that are patentable; and
the patents of others may have an adverse effect on our business.

Should any of these events occur, they could materially harm our business and the results of our operation.

Risks Related to Employee Matters and Managing Growth

We are highly dependent on our key personnel, and if we are not successful in attracting and retaining highly qualified personnel, we may not be able to successfully implement our business strategy.

Our ability to compete in the highly competitive biotechnology and pharmaceutical industries depends upon our ability to attract and retain highly qualified managerial, scientific and medical personnel. We are highly dependent on our management, scientific and medical personnel, including John Valliant, our Chief Executive Officer. The loss of the services of any of our executive officers, other key employees and other scientific and medical advisors, and an inability to find suitable replacements could result in delays in product development and harm our business.

We conduct our operations at our facilities in Hamilton, Ontario and Boston, Massachusetts. These regions are headquarters to many other drug and biopharmaceutical companies and many academic and research institutions. Competition for skilled personnel in our market is intense and may limit our ability to hire and retain highly qualified personnel on acceptable terms or at all. Changes to U.S., Canadian or similar foreign immigration and work authorization laws and regulations, including those that restrain the flow of scientific and professional talent, can be significantly affected by political forces and levels of economic activity. Our business may be materially adversely affected if legislative or administrative changes to U.S., Canadian or similar foreign immigration or visa laws and regulations impair our hiring processes and goals or projects involving personnel who are not U.S. or Canadian citizens.

93


 

To encourage valuable employees to remain at our company, in addition to salary and cash incentives, we have provided stock options that vest over time. The value to employees of stock options that vest over time may be significantly affected by movements in our share price that are beyond our control, and may at any time be insufficient to counteract more lucrative offers from other companies. Despite our efforts to retain valuable employees, members of our management, scientific and development teams may terminate their employment with us on short notice. Although we have employment agreements with our key employees, these employment agreements provide for at-will employment, which means that any of our employees could leave our employment at any time, with or without notice. Our success also depends on our ability to continue to attract, retain and motivate highly skilled junior, mid-level and senior managers as well as junior, mid-level and senior scientific and medical personnel.

We will need to grow the size of our organization, and we may experience difficulties in managing this growth.

As of December 31, 2022, we had 101 full-time employees. As our development and commercialization plans and strategies develop, we expect to need additional managerial, operational, sales, marketing, financial and other personnel, as well as additional facilities to expand our operations. Future growth would impose significant added responsibilities on members of management, including:

identifying, recruiting, integrating, maintaining and motivating additional employees;
managing our internal development efforts effectively, including the clinical and FDA review process for our product candidates, while complying with our contractual obligations to contractors and other third parties; and
improving our operational, financial and management controls, reporting systems and procedures.

Our future financial performance and our ability to commercialize our product candidates will depend, in part, on our ability to effectively manage any future growth, and our management may also have to divert a disproportionate amount of its attention away from day-to-day activities in order to devote a substantial amount of time to managing these growth activities.

We currently rely, and for the foreseeable future will continue to rely, in substantial part on certain independent organizations, advisors and consultants to provide certain services, including certain aspects of regulatory approval, clinical trial management and manufacturing. There can be no assurance that the services of independent organizations, advisors and consultants will continue to be available to us on a timely basis when needed, or that we can find qualified replacements. In addition, if we are unable to effectively manage our outsourced activities or if the quality or accuracy of the services provided by consultants is compromised for any reason, our clinical trials may be extended, delayed or terminated, and we may not be able to obtain regulatory approval of our product candidates or otherwise advance our business. There can be no assurance that we will be able to manage our existing consultants or find other competent outside contractors and consultants on economically reasonable terms, or at all. If we are not able to effectively expand our organization by hiring new employees and expanding our groups of consultants and contractors, or we are not able to effectively build out new facilities to accommodate this expansion, we may not be able to successfully implement the tasks necessary to further develop and commercialize our product candidates and, accordingly, may not achieve our research, development and commercialization goals.

Risks Related to Ownership of our Common Shares

The price of our common shares may be volatile, and you could lose all or part of your investment.

The trading price of our common shares is likely to be highly volatile and could be subject to wide fluctuations in response to various factors, some of which are beyond our control, including limited trading volume These factors include:

the results of our ongoing, planned or any future preclinical studies, clinical trials or clinical development programs;
the commencement, enrollment or results of clinical trials of our product candidates or any future clinical trials we may conduct, or changes in the development status of our product candidates;
adverse results or delays in preclinical studies and clinical trials;
our decision to initiate a clinical trial, not to initiate a clinical trial or to terminate an existing clinical trial;
any delay in our regulatory filings or any adverse regulatory decisions, including failure to receive regulatory approval of our product candidates;

94


 

changes in laws or regulations applicable to our products, including but not limited to clinical trial requirements for approvals;
adverse developments concerning our manufacturers or our manufacturing plans;
our inability to obtain adequate product supply for any licensed product or inability to do so at acceptable prices;
our inability to establish collaborations, if needed;
our failure to commercialize our product candidates;
departures of key scientific or management personnel;
unanticipated serious safety concerns related to the use of our product candidates;
introduction of new products or services offered by us or our competitors;
announcements of significant acquisitions, strategic partnerships, joint ventures or capital commitments by us or our competitors;
our ability to effectively manage our growth;
the size and growth of our initial cancer target markets;
our ability to successfully treat additional types of cancers or at different stages;
actual or anticipated variations in quarterly operating results;
our cash position;
our failure to meet the estimates and projections of the investment community or that we may otherwise provide to the public;
publication of research reports about us or our industry, or immunotherapy in particular, or positive or negative recommendations or withdrawal of research coverage by securities analysts;
changes in the market valuations of similar companies;
overall performance of the equity markets;
sales of our common shares by us or our shareholders in the future;
trading volume of our common shares;
changes in accounting practices;
ineffectiveness of our internal controls;
disputes or other developments relating to proprietary rights, including patents, litigation matters and our ability to obtain patent protection for our technologies;
significant lawsuits, including patent or shareholder litigation;
general political and economic conditions; and
other events or factors, many of which are beyond our control.

In addition, the stock market in general, and The Nasdaq Global Select Market and drug and biopharmaceutical companies in particular, have experienced extreme price and volume fluctuations that have often been unrelated or disproportionate to the operating performance of these companies. Broad market and industry factors may negatively affect the market price of our common shares, regardless of our actual operating performance. In the past, securities class action litigation has often been instituted against companies following periods of volatility in the market price of a company’s securities. This type of litigation, if instituted, could result in substantial costs and a diversion of management’s attention and resources, which would harm our business, financial condition and results of operations.

95


 

An active trading market for our common shares may not develop or be sustainable, and you may not be able to resell your shares at or above the purchase price.

In June 2020, we closed our initial public offering. Prior to that offering, there was no public market for our common shares. Although we have completed our initial public offering and our common shares are listed and trading on the Nasdaq Global Select Market, an active trading market for our shares may not be sustained. If an active market for our common shares does not continue, it may be difficult for our shareholders to sell their shares without depressing the market price for the shares or sell their shares at or above the prices at which they acquired their shares or sell their shares at the time they would like to sell. Any inactive trading market for our common shares may also impair our ability to raise capital to continue to fund our operations by selling shares and may impair our ability to acquire other companies or technologies by using our shares as consideration.

If securities analysts publish negative evaluations of our stock, the price of our stock could decline.

The trading market for our common shares will rely, in part, on the research and reports that industry or financial analysts publish about us or our business. If one or more of the analysts covering our business downgrade their evaluations of our shares, the price of our shares could decline. If one or more of these analysts cease to cover our common shares, we could lose visibility in the market for our common shares, which, in turn, could cause our common share price to decline.

We do not intend to pay dividends on our common shares, so any returns will be limited to the value of our common shares.

We currently anticipate that we will retain future earnings for the development, operation and expansion of our business and do not anticipate declaring or paying any cash dividends for the foreseeable future. In addition, the terms of our Loan Agreement preclude us from paying dividends without the lenders’ consent, and any future debt agreements that we may enter into may preclude us from paying dividends without the lenders’ consent or at all. Any return to shareholders will therefore be limited to the appreciation of their common shares, which may never occur.

Our principal shareholders and management own a significant percentage of our shares and will be able to exert significant influence over matters subject to shareholder approval.

Our executive officers, directors, and 5% shareholders beneficially own a significant portion of our common shares. Therefore, these shareholders may have the ability to influence us through this ownership position. These shareholders may be able to determine all matters requiring shareholder approval. For example, these shareholders may be able to control elections of directors, amendments of our organizational documents or approval of any merger, sale of assets or other major corporate transaction. This may prevent or discourage unsolicited acquisition proposals or offers for our common shares that you may feel are in your best interest as one of our shareholders.

We are an emerging growth company and a smaller reporting company, and we cannot be certain if the reduced reporting requirements applicable to emerging growth companies and smaller reporting companies will make our common shares less attractive to investors.

We are an emerging growth company, as defined in the Jumpstart Our Business Startups Act, or JOBS Act. For as long as we continue to be an emerging growth company, we may take advantage of exemptions from various reporting requirements that are applicable to other public companies that are not emerging growth companies, including not being required to comply with the auditor attestation requirements of Section 404 of the Sarbanes-Oxley Act of 2002, as amended, or the Sarbanes-Oxley Act, reduced disclosure obligations regarding executive compensation in our periodic reports and proxy statements, exemptions from the requirements of holding nonbinding advisory votes on executive compensation and shareholder approval of any golden parachute payments not previously approved, and an exemption from compliance with the requirement of the Public Accounting Oversight Board regarding the communication of critical audit matters in the auditor’s report on the financial statements. We could be an emerging growth company for up to five years following the year in which we completed our initial public offering, although circumstances could cause us to lose that status earlier. We will remain an emerging growth company until the earlier of (1) the last day of the fiscal year (a) following the fifth anniversary of the date of the closing of our initial public offering, (b) in which we have total annual gross revenue of at least $1.235 billion or (c) in which we are deemed to be a large accelerated filer, which requires the market value of our common shares that are held by non-affiliates to exceed $700 million as of the prior June 30th, and (2) the date on which we have issued more than $1.0 billion in non-convertible debt during the prior three-year period.

96


 

Under the JOBS Act, emerging growth companies can also delay adopting new or revised accounting standards until such time as those standards apply to private companies. We have elected to use this extended transition period for complying with new or revised accounting standards that have different effective dates for public and private companies until the earlier of the date we (i) are no longer an emerging growth company or (ii) affirmatively and irrevocably opt out of the extended transition period provided in the JOBS Act. As a result, we are not subject to the same new or revised accounting standards as other public companies that are not emerging growth companies and our financial statements may not be comparable to other public companies that comply with new or revised accounting pronouncements as of public company effective dates. We may choose to early adopt any new or revised accounting standards whenever such early adoption is permitted for private companies.

Further, even after we no longer qualify as an emerging growth company, we may still qualify as a “smaller reporting company,” which would allow us to take advantage of many of the same exemptions from disclosure requirements, including reduced disclosure obligations regarding executive compensation in our periodic reports and proxy statements. In addition, if we are a smaller reporting company with less than $100 million in annual revenue, we would not be required to comply with the auditor attestation requirements of Section 404 of the Sarbanes-Oxley Act, or Section 404.

We cannot predict if investors will find our common shares less attractive because we may rely on these exemptions. If some investors find our common shares less attractive as a result, there may be a less active trading market for our common shares and our share price may be more volatile.

We have incurred, and will continue to incur significant increased costs as a result of operating as a public company, and our management is required to devote substantial time to new compliance initiatives.

As a public company, we have incurred, and will continue to incur significant legal, accounting, insurance and other expenses that we did not incur as a private company. We are subject to the reporting requirements of the Securities Exchange Act of 1934, as amended, or the Exchange Act, which requires, among other things, that we file with the SEC annual, quarterly and current reports with respect to our business and financial condition. In addition, the Sarbanes-Oxley Act, as well as rules subsequently adopted by the Securities and Exchange Commission, or SEC, and The Nasdaq Global Select Market to implement provisions of the Sarbanes-Oxley Act, impose significant requirements on public companies, including requiring establishment and maintenance of effective disclosure and financial controls and changes in corporate governance practices. Further, in July 2010, the Dodd-Frank Wall Street Reform and Consumer Protection Act, or the Dodd-Frank Act, was enacted. There are significant corporate governance and executive compensation related provisions in the Dodd-Frank Act that require the SEC to adopt additional rules and regulations in these areas, such as “say-on-pay” and proxy access. Recent legislation permits emerging growth companies to implement many of these requirements over a longer period and up to five years from the pricing of our initial public offering. We intend to take advantage of this new legislation but cannot guarantee that we will not be required to implement these requirements sooner than budgeted or planned and thereby incur unexpected expenses. Shareholder activism, the current political environment and the current high level of government intervention and regulatory reform may lead to substantial new regulations and disclosure obligations, which may lead to additional compliance costs and impact the manner in which we operate our business in ways we cannot currently anticipate.

Pursuant to Section 404, in our second annual report due to be filed with the SEC after becoming a public company, we will be required to furnish a report by our management on our internal control over financial reporting. However, while we remain an emerging growth company or a smaller reporting company with less than $100 million in annual revenue, we will not be required to include an attestation report on internal control over financial reporting issued by our independent registered public accounting firm. To achieve compliance with Section 404 within the prescribed period, we will be engaged in a process to document and evaluate our internal control over financial reporting, which is both costly and challenging. In this regard, we will need to continue to dedicate internal resources, potentially engage outside consultants, adopt a detailed work plan to assess and document the adequacy of internal control over financial reporting, continue steps to improve control processes as appropriate, validate through testing whether such controls are functioning as documented, and implement a continuous reporting and improvement process for internal control over financial reporting. Despite our efforts, there is a risk that we will not be able to conclude, within the prescribed timeframe or at all, that our internal control over financial reporting is effective as required by Section 404. In addition, investors’ perceptions that our internal controls are inadequate or that we are unable to produce accurate financial statements on a timely basis may harm the market price of our shares.

Sales of a substantial number of our common shares by our existing shareholders in the public market could cause our share price to fall.

If our existing shareholders sell, or indicate an intention to sell, substantial amounts of our common shares in the public market, the market price of our common shares could decline. In addition, common shares that are either subject to outstanding

97


 

options or reserved for future issuance under our 2020 Plan and our 2020 Employee Share Purchase Plan will become eligible for sale in the public market to the extent permitted by the provisions of various vesting schedules and certain rules under the Securities Act of 1933, as amended, or the Securities Act. Additionally, common shares that are issuable upon the exercise of outstanding warrants to purchase our common shares will become eligible for sale in the public market to the extent permitted by Rule 144 and Rule 701 under the Securities Act. If these additional common shares are sold, or if it is perceived that they will be sold, in the public market, the trading price of our common shares could decline.

Our by-laws and certain Canadian legislation contain provisions that may have the effect of delaying, preventing or making undesirable an acquisition of all or a significant portion of our shares or assets or preventing a change in control.

Certain provisions of our by-laws and certain Canadian legislation, together or separately, could discourage potential acquisition proposals, delay or prevent a change in control and limit the price that certain investors may be willing to pay for our common shares. For instance, our by-laws contain provisions that establish certain advance notice procedures for nomination of candidates for election as directors at shareholders’ meetings. The Canada Business Corporations Act requires that any shareholder proposal that includes nominations for the election of directors must be signed by one or more holders of shares representing in the aggregate not less than five percent of the shares or five percent of a class of shares of the corporation entitled to vote at the meeting to which the proposal is to be presented.

A non-Canadian must file an application for review with the Minister responsible for the Investment Canada Act and obtain approval of the Minister prior to acquiring control of a “Canadian business” within the meaning of the Investment Canada Act, where prescribed financial thresholds are exceeded. A reviewable acquisition may not proceed unless the Minister is satisfied that the investment is likely to be of net benefit to Canada. This could prevent or delay a change of control and may eliminate or limit strategic opportunities for shareholders to sell their common shares. Furthermore, limitations on the ability to acquire and hold our common shares may be imposed by the Competition Act (Canada). This legislation permits the Commissioner of Competition, or Commissioner, to review any acquisition or establishment, directly or indirectly, including through the acquisition of shares, of control over or of a significant interest in us. Otherwise, there are no limitations under the laws of Canada, or in the Articles of the Corporation, as amended, on the rights of non-Canadians to hold or vote our common shares. Any of these provisions may discourage a potential acquirer from proposing or completing a transaction that may have otherwise presented a premium to our shareholders.

Our by-laws designate specific courts in Canada and the United States as the exclusive forum for certain litigation that may be initiated by our shareholders, which could limit our shareholders’ ability to obtain a favorable judicial forum for disputes with us.

Pursuant to our by-laws, unless we consent in writing to the selection of an alternative forum, the courts of the Province of Ontario and the appellate courts therefrom shall, to the fullest extent permitted by law, be the sole and exclusive forum for: (a) any derivative action or proceeding brought on our behalf; (b) any action or proceeding asserting a claim of breach of fiduciary duty owed by any director, officer or other employee of ours to us; (c) any action or proceeding asserting a claim arising out of any provision of the Canada Business Corporations Act or our articles or by-laws (as either may be amended from time to time); or (d) any action or proceeding asserting a claim or otherwise related to our affairs, or the Canadian Forum Provision. The Canadian Forum Provision will not apply to any causes of action arising under the Securities Act or the Exchange Act. In addition, our by-laws further provide that unless we consent in writing to the selection of an alternative forum, the United States District Court for the District of Massachusetts shall be the sole and exclusive forum for resolving any complaint filed in the United States asserting a cause of action arising under the Securities Act, or the U.S. Federal Forum Provision. In addition, our by-laws provide that any person or entity purchasing or otherwise acquiring any interest in our common shares is deemed to have notice of and consented to the Canadian Forum Provision and the U.S. Federal Forum Provision; provided, however, that shareholders cannot and will not be deemed to have waived our compliance with the U.S. federal securities laws and the rules and regulations thereunder.

The Canadian Forum Provision and the U.S. Federal Forum Provision in our by-laws may impose additional litigation costs on shareholders in pursuing any such claims. Additionally, the forum selection clauses in our by-laws may limit our shareholders’ ability to bring a claim in a judicial forum that they find favorable for disputes with us or our directors, officers or employees, which may discourage the filing of lawsuits against us and our directors, officers and employees, even though an action, if successful, might benefit our shareholders. In addition, while the Delaware Supreme Court ruled in March 2020 that federal forum selection provisions purporting to require claims under the Securities Act be brought in federal court are “facially valid” under Delaware law, there is uncertainty as to whether other courts, including courts in Canada and other courts within the U.S., will enforce our U.S. Federal Forum Provision. If the U.S. Federal Forum Provision is found to be unenforceable, we may incur additional costs associated with resolving such matters. The U.S. Federal Forum Provision may

98


 

also impose additional litigation costs on shareholders who assert that the provision is not enforceable or invalid. The courts of the Province of Ontario and the United States District Court for the District of Massachusetts may also reach different judgments or results than would other courts, including courts where a shareholder considering an action may be located or would otherwise choose to bring the action, and such judgments may be more or less favorable to us than our shareholders.

Because we are a Canadian company, it may be difficult to serve legal process or enforce judgments against us.

We are incorporated and maintain operations in Canada. In addition, while many of our directors and officers reside in the United States, several of them reside outside of the United States. Accordingly, service of process upon us may be difficult to obtain within the United States. Furthermore, because certain of our assets are located outside the United States, any judgment obtained in the United States against us, including one predicated on the civil liability provisions of the U.S. federal securities laws, may not be collectible within the United States. Therefore, it may not be possible to enforce those actions against us.

In addition, it may be difficult to assert U.S. securities law claims in original actions instituted in Canada. Canadian courts may refuse to hear a claim based on an alleged violation of U.S. securities laws against us or these persons on the grounds that Canada is not the most appropriate forum in which to bring such a claim. Even if a Canadian court agrees to hear a claim, it may determine that Canadian law and not U.S. law is applicable to the claim. If U.S. law is found to be applicable, the content of applicable U.S. law must be proved as a fact, which can be a time-consuming and costly process. Certain matters of procedure will also be governed by Canadian law. Furthermore, it may not be possible to subject foreign persons or entities to the jurisdiction of the courts in Canada. Similarly, to the extent that our assets are located in Canada, investors may have difficulty collecting from us any judgments obtained in the U.S. courts and predicated on the civil liability provisions of U.S. securities provisions.

If we fail to establish and maintain proper and effective internal control over financial reporting, our operating results and our ability to operate our business could be harmed.

Effective internal control over financial reporting is necessary for us to provide reliable financial reports and, together with effective disclosure controls and procedures, are designed to prevent or detect material misstatements due to fraud or error. Any failure to implement required new or improved controls, or difficulties encountered in their implementation could cause us to fail to meet our reporting obligations. In addition, any testing conducted by us in connection with Section 404 of the Sarbanes-Oxley Act, or any subsequent testing by our independent registered public accounting firm, may reveal deficiencies in our internal control over financial reporting that are deemed to be material weaknesses or that may require prospective or retroactive changes to our financial statements or identify other areas for further attention or improvement. Inadequate internal controls could also cause investors to lose confidence in our reported financial information, which could have a negative effect on the trading price of our common shares.

Implementing any appropriate changes to our internal controls may distract our officers and employees, entail substantial costs to modify our existing processes, and take significant time to complete. These changes may not, however, be effective in maintaining the adequacy of our internal controls, and any failure to maintain that adequacy, or consequent inability to produce accurate financial statements on a timely basis, could increase our operating costs and harm our business. In our efforts to maintain proper and effective internal control over financial reporting, we may discover material weaknesses in our internal control over financial reporting, which we may not successfully remediate on a timely basis or at all. Any failure to identify or remediate any material weaknesses identified by us or to implement required new or improved controls, or difficulties encountered in their implementation, could cause us to fail to meet our reporting obligations or result in material misstatements in our financial statements. If we identify one or more material weaknesses in the future, it could result in an adverse reaction in the financial markets due to a loss of confidence in the reliability of our financial statements, which may harm the market price of our shares.

If we are a CFC there could be materially adverse U.S. federal income tax consequences to certain U.S. Holders of our common shares.

Each “Ten Percent Shareholder” (as defined below) in a non-U.S. corporation that is classified as a controlled foreign corporation, or a CFC, for U.S. federal income tax purposes generally is required to include in income for U.S. federal tax purposes such Ten Percent Shareholder’s pro rata share of the CFC’s “Subpart F income,” global intangible low taxed income, and investment of earnings in U.S. property, even if the CFC has made no distributions to its shareholders. Subpart F income generally includes dividends, interest, rents, royalties, gains from the sale of securities and income from certain transactions with related parties. In addition, a Ten Percent Shareholder that realizes gain from the sale or exchange of shares in a CFC may

99


 

be required to classify a portion of such gain as dividend income rather than capital gain. An individual that is a Ten Percent Shareholder with respect to a CFC generally would not be allowed certain tax deductions or foreign tax credits that would be allowed to a Ten Percent Shareholder that is a U.S. corporation. Failure to comply with these reporting obligations may subject a Ten Percent Shareholder to significant monetary penalties and may prevent the statute of limitations with respect to such Ten Percent Shareholder’s U.S. federal income tax return for the year for which reporting was due from starting.

A non-U.S. corporation generally will be classified as a CFC for U.S. federal income tax purposes if Ten Percent Shareholders own, directly or indirectly, more than 50% of either the total combined voting power of all classes of stock of such corporation entitled to vote or of the total value of the stock of such corporation. A ‘‘Ten Percent Shareholder’’ is a United States person (as defined by the Code) who owns or is considered to own 10% or more of the total combined voting power of all classes of stock entitled to vote or 10% or more of the total value of all classes of stock of such corporation. We believe that we were not a CFC in the 2022 taxable year, however, it is possible that we may become a CFC in the 2023 taxable year or in a subsequent taxable year. The determination of CFC status is complex and includes attribution rules, the application of which is not entirely certain. In addition, recent changes to the attribution rules relating to the determination of CFC status may make it difficult to determine our CFC status for any taxable year. In addition, it is possible that a shareholder treated as a U.S. person for U.S. federal income tax purposes will acquire, directly or indirectly, enough of our common shares to be treated as a Ten Percent Shareholder. We cannot provide any assurances that we will assist holders of our common shares in determining whether we are treated as a CFC or whether any holder of the common shares is treated as a Ten Percent Shareholder with respect to any such CFC or furnish to any Ten Percent Shareholders information that may be necessary to comply with the aforementioned reporting and tax paying obligations.

U.S. Holders should consult their tax advisors with respect to the potential adverse U.S. tax consequences of becoming a Ten Percent Shareholder in a CFC. If we are classified as both a CFC and a PFIC (as defined below), we generally will not be treated as a PFIC with respect to those U.S. Holders that meet the definition of a Ten Percent Shareholder during the period in which we are a CFC.

We may be or become a passive foreign investment company, which could result in adverse U.S. federal income tax consequences to U.S. Holders.

The rules governing passive foreign investment companies, or PFICs, can have adverse effects on holders of our common shares who, for U.S. federal income tax purposes, are a beneficial owner of common shares and are (i) an individual who is a citizen or resident of the United States; (ii) a corporation, or other entity taxable as a corporation, created or organized in or under the laws of the United States, any state therein or the District of Columbia; (iii) an estate the income of which is subject to U.S. federal income taxation regardless of its source; or (iv) a trust if (1) a U.S. court is able to exercise primary supervision over the administration of the trust and one or more U.S. persons have authority to control all substantial decisions of the trust or (2) the trust has a valid election to be treated as a U.S. person under applicable U.S. Treasury Regulations (each such holder, a “U.S. Holder”) for U.S. federal income tax purposes.

Generally, if, for any taxable year, at least 75% of our gross income is passive income (the “income test”), or at least 50% of the value of our assets (generally, using a quarterly average) is attributable to assets that produce passive income or are held for the production of passive income (including cash) (the “asset test”), we would be characterized as a PFIC for U.S. federal income tax purposes. The determination of whether we are a PFIC, which must be made annually after the close of each taxable year, depends on the particular facts and circumstances and may also be affected by the application of the PFIC rules, which are subject to differing interpretations. Our status as a PFIC will depend on the composition of our income and the composition and value of our assets (including goodwill and other intangible assets), which will be affected by how, and how quickly, we spend any cash that is raised in any financing transaction. As a publicly traded CFC or not a CFC for such year, the value of our assets generally may be determined by reference to the market value of our common shares, which may be volatile. Moreover, our ability to earn specific types of income that will be treated as non-passive for purposes of the PFIC rules is uncertain with respect to future years. For our taxable year ended December 31, 2022, we believe we may be classified as a PFIC, however it is uncertain whether we will be a PFIC for our taxable year ending December 31, 2023 or future taxable years. We cannot provide any assurances regarding our PFIC status for any past, current or future taxable years.

If we are a PFIC during a U.S. Holder’s holding period, such U.S. Holder would be subject to adverse U.S. federal income tax consequences, such as ineligibility for certain preferred tax rates on capital gains or on actual or deemed dividends, interest charges on certain taxes treated as deferred, and additional reporting requirements under U.S. federal income tax laws and regulations. A U.S. Holder may in certain circumstances mitigate adverse tax consequences of the PFIC rules by filing an election to treat the PFIC as a qualified electing fund, or QEF, or, if shares of the PFIC are “marketable stock” for purposes of the PFIC rules, by making a mark-to-market election with respect to the shares of the PFIC. We will determine our PFIC status

100


 

at the end of each taxable year and will satisfy any applicable record keeping and reporting requirements that apply to a QEF, including providing to you, for each taxable year that we determine we are or, in our reasonable determination, may be a PFIC (in which case we will also determine the PFIC status of each of our subsidiaries), a PFIC Annual Information Statement containing information necessary for you to make a QEF Election with respect to us. We may elect to provide such information on our website. You are urged to consult your tax advisors regarding our PFIC status, the potential consequences to you if we were to become a PFIC, including the availability, and advisability, of, and procedure for making, QEF elections.

General Risks

Adverse developments affecting the financial services industry, such as actual events or concerns involving liquidity, defaults, or non-performance by financial institutions or transactional counterparties, could adversely affect the Company’s current and projected business operations and its financial condition and results of operations.

Actual events involving limited liquidity, defaults, non-performance or other adverse developments that affect financial institutions, transactional counterparties or other companies in the financial services industry or the financial services industry generally, or concerns or rumors about any events of these kinds or other similar risks, have in the past and may in the future lead to market-wide liquidity problems. For example, on March 10, 2023, Silicon Valley Bank (“SVB”) was closed by the California Department of Financial Protection and Innovation, which appointed the Federal Deposit Insurance Corporation (“FDIC”) as receiver. Similarly, on March 12, 2023, Signature Bank and Silvergate Capital Corp. were each swept into receivership. Although a statement by the Department of the Treasury, the Federal Reserve and the FDIC indicated that all depositors of SVB would have access to all of their money after only one business day of closure, including funds held in uninsured deposit accounts, borrowers under credit agreements, letters of credit and certain other financial instruments with SVB, Signature Bank or any other financial institution that is placed into receivership by the FDIC may be unable to access undrawn amounts thereunder. Although we are not a borrower or party to any such instruments with SVB, Signature or any other financial institution currently in receivership, if any of our lenders or counterparties to any such instruments were to be placed into receivership, we may be unable to access such funds. In addition, if any of our customers, suppliers or other parties with whom we conduct business are unable to access funds pursuant to such instruments or lending arrangements with such a financial institution, such parties’ ability to pay their obligations to us or to enter into new commercial arrangements requiring additional payments to us could be adversely affected. In this regard, counterparties to SVB credit agreements and arrangements, and third parties such as beneficiaries of letters of credit (among others), may experience direct impacts from the closure of SVB and uncertainty remains over liquidity concerns in the broader financial services industry. Similar impacts have occurred in the past, such as during the 2008-2010 financial crisis.

Inflation and rapid increases in interest rates have led to a decline in the trading value of previously issued government securities with interest rates below current market interest rates. Although the U.S. Department of Treasury, FDIC and Federal Reserve Board have announced a program to provide up to $25 billion of loans to financial institutions secured by certain of such government securities held by financial institutions to mitigate the risk of potential losses on the sale of such instruments, widespread demands for customer withdrawals or other liquidity needs of financial institutions for immediate liquidity may exceed the capacity of such program. Additionally, there is no guarantee that the U.S. Department of Treasury, FDIC and Federal Reserve Board will provide access to uninsured funds in the future in the event of the closure of other banks or financial institutions, or that they would do so in a timely fashion.

Although we assess our banking and customer relationships as we believe necessary or appropriate, our access to funding sources and other credit arrangements in amounts adequate to finance or capitalize our current and projected future business operations could be significantly impaired by factors that affect the Company, the financial institutions with which the Company has credit agreements or arrangements directly, or the financial services industry or economy in general. These factors could include, among others, events such as liquidity constraints or failures, the ability to perform obligations under various types of financial, credit or liquidity agreements or arrangements, disruptions or instability in the financial services industry or financial markets, or concerns or negative expectations about the prospects for companies in the financial services industry. These factors could involve financial institutions or financial services industry companies with which the Company has financial or business relationships, but could also include factors involving financial markets or the financial services industry generally.

The results of events or concerns that involve one or more of these factors could include a variety of material and adverse impacts on our current and projected business operations and our financial condition and results of operations. These could include, but may not be limited to, the following:

Delayed access to deposits or other financial assets or the uninsured loss of deposits or other financial assets;

101


 

Delayed or lost access to, or reductions in borrowings available under the Loan Agreement, revolving existing credit facilities or other working capital sources and/or delays, inability or reductions in the company’s ability to refund, roll over or extend the maturity of, or enter into new credit facilities or other working capital resources;
Potential or actual breach of contractual obligations that require the Company to maintain letters of credit or other credit support arrangements;
Potential or actual breach of financial covenants in our Loan Agreement or other credit arrangements;
Potential or actual cross-defaults in other credit agreements, credit arrangements or operating or financing agreements; or
Termination of cash management arrangements and/or delays in accessing or actual loss of funds subject to cash management arrangements.

In addition, investor concerns regarding the U.S. or international financial systems could result in less favorable commercial financing terms, including higher interest rates or costs and tighter financial and operating covenants, or systemic limitations on access to credit and liquidity sources, thereby making it more difficult for us to acquire financing on acceptable terms or at all. Any decline in available funding or access to our cash and liquidity resources could, among other risks, adversely impact our ability to meet our operating expenses, financial obligations or fulfill our other obligations, result in breaches of our financial and/or contractual obligations or result in violations of federal or state wage and hour laws. Any of these impacts, or any other impacts resulting from the factors described above or other related or similar factors not described above, could have material adverse impacts on our liquidity and our current and/or projected business operations and financial condition and results of operations.

In addition, any further deterioration in the macroeconomic economy or financial services industry could lead to losses or defaults by our customers or suppliers, which in turn, could have a material adverse effect on our current and/or projected business operations and results of operations and financial condition. For example, a customer may fail to make payments when due, default under their agreements with us, become insolvent or declare bankruptcy, or a supplier may determine that it will no longer deal with us as a customer. In addition, a customer or supplier could be adversely affected by any of the liquidity or other risks that are described above as factors that could result in material adverse impacts on the Company, including but not limited to delayed access or loss of access to uninsured deposits or loss of the ability to draw on existing credit facilities involving a troubled or failed financial institution. Any customer or supplier bankruptcy or insolvency, or the failure of any customer to make payments when due, or any breach or default by a customer or supplier, or the loss of any significant supplier relationships, could result in material losses to the Company and may have a material adverse impact on our business.

We may be exposed to financial risk related to the fluctuation of foreign exchange rates and the degrees of volatility of those rates.

We may be adversely affected by foreign currency fluctuations. Our reporting currency is the U.S. dollar. The functional currency of our operating company in Canada, operating company in the United States and former non-operating company in Ireland is also the U.S. dollar. To date, we have been primarily funded through issuances of equity that have been denominated in U.S. dollars. However, a significant portion of our expenditures are paid in Canadian dollars, and we are, therefore, subject to foreign currency fluctuations that may, from time to time, impact our financial position and results of operations.

Our employees, independent contractors, consultants, commercial collaborators, principal investigators, vendors and other agents may engage in misconduct or other improper activities, including non-compliance with regulatory standards and requirements.

We are exposed to the risk that our employees, independent contractors, consultants, commercial collaborators, principal investigators, vendors and other agents may engage in fraudulent conduct or other illegal activity. Misconduct by these parties could include intentional, reckless or negligent conduct or disclosure of unauthorized activities to us that violates applicable regulations, including those laws requiring the reporting of true, complete and accurate information to regulatory agencies, manufacturing standards and U.S. federal and state healthcare laws and regulations. In particular, sales, marketing and business arrangements in the healthcare industry are subject to extensive laws and regulations intended to prevent fraud, kickbacks, self-dealing and other abusive practices. We could face liability under the U.S. federal Anti-Kickback Statute and similar U.S. state laws. These laws and regulations may restrict or prohibit a wide range of pricing, discounting, marketing and promotion, sales commission, referrals, customer incentive programs and other business arrangements. Misconduct by these parties could also involve the improper use of individually identifiable information, including, without limitation, information obtained in the course of clinical trials, which could result in significant regulatory sanctions and serious harm to our reputation. Further,

102


 

should violations include promotion of unapproved (off-label) uses one or more of our products, we could face significant regulatory sanctions for unlawful promotion, as well as substantial penalties under the FCA, and similar state laws. Similar concerns could exist in jurisdictions outside of the United States as well. We have adopted a code of conduct applicable to all of our employees, but it is not always possible to identify and deter misconduct by employees and other third parties, and the precautions we take to detect and prevent this activity may not be effective in controlling unknown or unmanaged risks or losses or in protecting us from governmental investigations or other actions or lawsuits stemming from a failure to comply with these laws or regulations. The precautions we take to detect and prevent misconduct may not be effective in controlling unknown or unmanaged risks or losses or in protecting us from governmental investigations or other actions or lawsuits stemming from a failure to be in compliance with such laws or regulations. If any such actions are instituted against us, and we are not successful in defending ourselves or asserting our rights, those actions could have a significant impact on our business, including the imposition of civil, criminal and administrative penalties, damages, monetary fines, imprisonment, possible exclusion from participation in Medicare, Medicaid and other federal healthcare programs, additional reporting requirements and oversight if we become subject to a corporate integrity agreement or similar agreement to resolve allegations of noncompliance with these laws, contractual damages, reputational harm, diminished profits and future earnings, and curtailment of our operations, any of which could adversely affect our ability to operate our business, financial condition and results of operations.

If our security measures are breached or unauthorized access to individually identifiable health information or other personally identifiable information is otherwise obtained, our reputation may be harmed, and we may incur significant liabilities.

Unauthorized access to, or security breaches of, our systems and databases could result in unauthorized access to data and information and loss, compromise or corruption of such data and information. Present and future CROs, contractors and consultants also could experience breaches of security leading to the exposure of confidential and sensitive information. Such breaches of security could be caused by computer hacking, phishing attacks, ransomware, dissemination of computer viruses, worms and other destructive or disruptive software, denial of service attacks, and other malicious activity, which may be heretofore unknown. The number and complexity of these threats continue to increase over time.

Most healthcare providers, including research institutions from which we obtain patient health information, are subject to privacy and security regulations promulgated under HIPAA, as amended by the HITECH. We are not currently classified as a covered entity or business associate under HIPAA and thus are not directly subject to its requirements or penalties. However, any person may be prosecuted under HIPAA’s criminal provisions either directly or under aiding-and-abetting or conspiracy principles. Consequently, depending on the facts and circumstances, we could face substantial criminal penalties if we knowingly receive individually identifiable health information from a HIPAA-covered healthcare provider or research institution that has not satisfied HIPAA’s requirements for disclosure of individually identifiable health information. In addition, we may maintain sensitive personally identifiable information, including health information, that we receive throughout the clinical trial process, in the course of our research collaborations, and directly from individuals (or their healthcare providers) who enroll in our patient assistance programs. As such, we may be subject to state laws requiring notification of affected individuals and state regulators in the event of a breach of personal information, which is a broader class of information than the health information protected by HIPAA.

Furthermore, certain health privacy laws, data breach notification laws, consumer protection laws and genetic testing laws may apply directly to our operations and/or those of our collaborators and may impose restrictions on our collection, use and dissemination of individuals’ health information. Patients about whom we or our collaborators obtain health information, as well as the providers who share this information with us, may have statutory or contractual rights that limit our ability to use and disclose the information. We may be required to expend significant capital and other resources to ensure ongoing compliance with applicable privacy and data security laws. Claims that we have violated individuals’ privacy rights or breached our contractual obligations, even if we are not found liable, could be expensive and time-consuming to defend and could result in adverse publicity that could harm our business.

In the event of a security breach, our company could suffer loss of business, severe reputational damage adversely affecting investor confidence, regulatory investigations and orders, litigation, indemnity obligations, damages for contract breach, penalties for violation of applicable laws or regulations, significant costs for remediation and other liabilities. For example, the loss of preclinical study or clinical trial data from completed or future preclinical studies or clinical trials could result in delays in our regulatory approval efforts and significantly increase our costs to recover or reproduce the data. To the extent that any disruption or security breach were to result in a loss of, or damage to, our data or applications, or inappropriate disclosure of confidential or proprietary information, we could incur liability and the further development and commercialization of our product candidates could be delayed.

103


 

We have incurred and expect to incur significant expenses to prevent security breaches, including costs related to deploying additional personnel and protection technologies, training employees, and engaging third-party solution providers and consultants. Although we expend significant resources to create security protections that shield our customer data against potential theft and security breaches, such measures cannot provide absolute security. Moreover, as we outsource more of our information systems to vendors and rely more on cloud-based information systems, the related security risks will increase, and we will need to expend additional resources to protect our technology and information systems.

Business disruptions could seriously harm our future revenue and financial condition and increase our costs and expenses.

Our operations, and those of our CROs, CDMOs and other contractors and consultants, could be subject to earthquakes, power shortages, telecommunications failures, water shortages, floods, hurricanes, typhoons, fires, extreme weather conditions, medical epidemics and other natural or man-made disasters or business interruptions, for which we are predominantly self-insured. The occurrence of any of these business disruptions could seriously harm our operations and financial condition and increase our costs and expenses. We rely on third-party manufacturers to produce and process our product candidates on a patient-by-patient basis. Our ability to obtain clinical supplies of our product candidates could be disrupted if the operations of these suppliers are affected by a man-made or natural disaster or other business interruption.

If product liability lawsuits are brought against us, we may incur substantial liabilities and may be required to limit commercialization of our product candidates.

We face an inherent risk of product liability as a result of the planned clinical testing of our product candidates and will face an even greater risk if we commercialize any products. For example, we may be sued if our product candidates cause or are perceived to cause injury or are found to be otherwise unsuitable during clinical testing, manufacturing, marketing or sale. Any such product liability claims may include allegations of defects in manufacturing, defects in design, a failure to warn of dangers inherent in the product, negligence, strict liability or a breach of warranties. Claims could also be asserted under state consumer protection acts. If we cannot successfully defend ourselves against product liability claims, we may incur substantial liabilities or be required to limit commercialization of our product candidates. Even successful defense would require significant financial and management resources. Regardless of the merits or eventual outcome, liability claims may result in:

decreased demand for our product candidates or products that we may develop;
injury to our reputation;
withdrawal of clinical trial participants;
initiation of investigations by regulators;
costs to defend the related litigation;
a diversion of management’s time and our resources;
substantial monetary awards to trial participants or patients;
product recalls, withdrawals or labeling, marketing or promotional restrictions;
loss of revenue;
exhaustion of any available insurance and our capital resources; the inability to commercialize any product candidate; and
a decline in our share price.

Failure to obtain or retain sufficient product liability insurance at an acceptable cost to protect against potential product liability claims could prevent or inhibit the commercialization of products we develop, alone or with corporate collaborators. Although we have clinical trial insurance, our insurance policies also have various exclusions, and we may be subject to a product liability claim for which we have no coverage. We may have to pay any amounts awarded by a court or negotiated in a settlement that exceed our coverage limitations or that are not covered by our insurance, and we may not have, or be able to obtain, sufficient capital to pay such amounts. Even if our agreements with any future corporate collaborators entitle us to indemnification against losses, such indemnification may not be available or adequate should any claim arise.

104


 

Unstable market and economic conditions may have serious adverse consequences on our business, financial condition and share price.

As widely reported, global credit and financial markets have experienced extreme volatility and disruptions in the past several years, including severely diminished liquidity and credit availability, declines in consumer confidence, declines in economic growth, increases in unemployment rates and uncertainty about economic stability. There can be no assurance that further deterioration in credit and financial markets and confidence in economic conditions will not occur. Our general business strategy may be adversely affected by any such economic downturn, volatile business environment or continued unpredictable and unstable market conditions. If the current equity and credit markets deteriorate, it may make any necessary debt or equity financing more difficult, more costly and more dilutive. Failure to secure any necessary financing in a timely manner and on favorable terms could have a material adverse effect on our growth strategy, financial performance and share price and could require us to delay or abandon clinical development plans.

These developments, or the perception that any of them could occur, have had and may continue to have a material adverse effect on global economic conditions and the stability of global financial markets, and may significantly reduce global market liquidity, restrict the ability of key market participants to operate in certain financial markets or restrict our access to capital. In addition, there is a risk that one or more of our current service providers, manufacturers and other partners may not survive an economic downturn, which could directly affect our ability to attain our operating goals on schedule and on budget. Any of these factors could have a material adverse effect on our business, financial condition and results of operations and reduce the price of our common shares.

Our business may be impacted by political events, war, terrorism, business interruptions and other geopolitical events and uncertainties beyond our control.

War, terrorism, geopolitical uncertainties and other business interruptions could cause damage to, disrupt or cancel the conduct of our clinical trials on a global or regional basis, which could have a material adverse effect on our business, clinical sites or vendors with which we do business. Such events could also decrease patient demand to enroll in our clinical trials or make it difficult or impossible for us to deliver products and services to our clinical investigational sites. In addition, territorial invasions can lead to cybersecurity attacks on companies, such as ours, located far outside of the conflict zone. In the event of prolonged business interruptions due to geopolitical events, we could incur significant losses, require substantial recovery time and experience significant expenditures in order to resume our business or clinical operations. We have no operations in Russia or Ukraine, but we do not and cannot know if the current uncertainties in these geopolitical areas, which are unfolding in real-time, may escalate and result in broad economic and security conditions or rationing of medical supplies, which could limit our ability to conduct clinical trials outside Canada and the U.S. or result in material implications for our business.

Global economic uncertainty and weakening product demand caused by political instability, changes in trade agreements and conflicts, such as the conflict between Russia and Ukraine, could adversely affect our business.

Political developments impacting government spending and international trade, including potential government shutdowns and trade disputes and tariffs, may negatively impact markets and cause weaker macro-economic conditions. The continuing effect of any or all of these events could adversely harm our operations and weaken our financial results.

Inflation could adversely affect our business, financial condition or results of operations.

Inflation rates across the globe have been rapidly increasing since 2021. Economists generally believe that this recent spike in the inflation rate has been driven by a number of factors including (among others) global supply chain issues, the increased cost of oil and other commodities, changes in consumer buying patterns during the ongoing COVID-19 pandemic and the massive influx of money into certain economies as a result of governmental rescue and stimulus programs implemented since the beginning of the COVID-19 pandemic. The current Russia-Ukraine conflict, which has resulted in increased energy prices and sanctions disrupting the normal patterns of global trade, has exacerbated inflationary conditions. To address recent high inflation rates, the Federal Reserve has announced several 0.5% and 0.75% increases to its benchmark interest rate and may approve additional rate increases in 2023. Such increases may be significant and likely spell the end, for the foreseeable future, of what has been a prolonged period of low interest rates.

105


 

Item 1B. Unresolved Staff Comments.

None.

Item 2. Properties.

Our principal executive offices are located in Hamilton, Ontario, and as of December 31, 2022, we leased and occupied approximately 20,788 square feet of office and laboratory space that expires in 2030. As of December 31, 2022, we also maintained offices in Boston, Massachusetts, pursuant to a lease of 14,936 square feet that expires in 2027. We believe that our current facilities are adequate to meet our ongoing needs and that, if we require additional space, we will be able to obtain additional facilities on commercially reasonable terms.

We have filed an Inter Partes Review, or IPR, petition with the United States Patent and Trademark Office, or USPTO, to challenge the validity of a certain issued U.S. Patent relating to FPI-2265. We cannot predict if the IPR will be instituted by the USPTO or, if instituted, we will prevail.

We are not currently a party to any other material legal proceedings. From time to time, we may become involved in other litigation or legal proceedings relating to claims arising from the ordinary course of business.

Item 4. Mine Safety Disclosures.

Not applicable.

106


 

PART II

Item 5. Market for Registrant’s Common Equity, Related Shareholder Matters and Issuer Purchases of Equity Securities.

Market Information

Our common shares began trading on the Nasdaq Global Select Market on June 26, 2020, under the symbol “FUSN”. Prior to that time, there was no public market for our common shares.

Holders of Record

As of March 6, 2023, there were approximately 136 holders of record of our common shares. Certain shares are held in “street” name and accordingly, the number of beneficial owners of such shares is not known or included in the foregoing number. This number of holders of record also does not include shareholders whose shares may be held in trust by other entities.

Securities Authorized for Issuance Under Equity Compensation Plans

Information about our equity compensation plans will be included in our definitive proxy statement for our annual for our 2023 annual meeting of shareholders to be filed with the SEC, and is incorporated into this Annual Report on Form 10-K by reference.

Dividend Policy

We have never declared or paid any cash dividends on our common shares. We currently intend to retain future earnings to fund the development and growth of our business. We do not expect to pay any cash dividends in the foreseeable future. Any future determination to pay dividends will be made at the discretion of our board of directors and will depend on then-existing conditions, including our financial conditions, operating results, contractual restrictions, capital requirements, business prospects and other factors our board of directors may deem relevant.

Recent Sales of Unregistered Equity Securities

In connection with entry into the Loan Agreement with Oxford, the Company issued warrants to purchase an aggregate of 196,120 shares of its common shares.

In August 2022, the Company issued 156,679 of its common shares to Rainier pursuant to the terms of the Second Amended Rainier Agreement.

None of the foregoing transactions involved any underwriters, underwriting discounts or commissions, or any public offering. The securities described in this section were issued in reliance upon the exemption from the registration requirements of the Securities Act of 1933, as amended, or the Securities Act, as set forth in Section 4(a)(2) under the Securities Act and Regulation D promulgated thereunder relative to transactions by an issuer not involving any public offering, to the extent an exemption from such registration was required.

On February 13, 2023, the Company entered into a Securities Purchase Agreement, or the Purchase Agreement, with the purchasers named therein, or the Investors.

Pursuant to the Purchase Agreement, the Company agreed to sell an aggregate of 17,648,596 of its common shares, or the Shares, no par value per share, or the Common Shares, at a purchase price equal to $3.40 per share, which represents the closing price on the Nasdaq Global Select Market on February 10, 2023, to the Investors for approximately $60.0 million in aggregate gross proceeds, or collectively, the Offering. The Offering closed on February 16, 2023. The Company will pay expenses including commissions associated with the sale of these Shares.

On February 13, 2023, in connection with the Purchase Agreement, the Company entered into a Registration Rights Agreement, or the Registration Rights Agreement, with the Investors. Pursuant to the Registration Rights Agreement, the Company agreed to prepare and file a registration statement with the SEC within 45 calendar days after the closing of the Offering for purposes of registering the resale of the Shares and any Common Shares as a dividend or other distribution with

107


 

respect to the Shares. The Company agreed to use its commercially reasonable efforts to cause this registration statement to be declared effective by the SEC within 60 days after the filing of the registration statement.

Use of Proceeds from our Public Offering of Common Shares

On June 30, 2020, we completed our IPO pursuant to which we issued and sold 12,500,000 of our common shares, at a public offering price of $17.00 per share.

The offer and sale of all of our common shares were registered under the Securities Act pursuant to a registration statement on Form S-1, as amended (File No. 333-238968), which was declared effective by the SEC on June 25, 2020. Morgan Stanley & Co. LLC, Jefferies LLC and Cowen and Company, LLC acted as joint book-running managers of the offering and as representatives of the underwriters.

We received aggregate gross proceeds from our IPO of $212.5 million, or aggregate net proceeds of $193.1 million after deducting underwriting fees and offering costs. None of the offering expenses were paid directly or indirectly to any of our directors or officers (or their associates) or persons owning 10% or more of any class of our equity securities or to any other affiliates.

There has been no material change in our planned use of the net proceeds from the IPO as described in our final prospectus dated June 25, 2020.

Issuer Purchases of Equity Securities by the Issuer and Affiliated Purchasers

None.

Item 6. Reserved.

108


 

Item 7. Management’s Discussion and Analysis of Financial Condition and Results of Operations.

The following discussion and analysis of our financial condition and results of operations should be read in conjunction with our consolidated financial statements and related notes appearing at the end of this Annual Report on Form 10-K. Some of the information contained in this discussion and analysis or set forth elsewhere in this Annual Report on Form 10-K, including information with respect to our plans and strategy for our business, includes forward-looking statements that involve risks and uncertainties. As a result of many factors, including those factors set forth in the “Risk Factors” section of this Annual Report on Form 10-K, our actual results could differ materially from the results described in, or implied by, the forward-looking statements contained in the following discussion and analysis.

Overview

We are a clinical-stage oncology company focused on developing next-generation radiopharmaceuticals as precision medicines. We have developed our Targeted Alpha Therapies, or TAT, platform to enable us to connect alpha particle emitting isotopes to various targeting molecules to selectively deliver the alpha particle payloads to tumors. Our TAT platform is underpinned by our ability to radiolabel various classes of targeting molecules (including antibodies, small molecules and peptides), our research and insights into the underlying chemistry and biology of alpha emitting radiopharmaceuticals, our differentiated capabilities in target identification, candidate generation, manufacturing and supply chain, our proprietary Fast-ClearTM linker technology used in conjunction with antibody-based targeting molecules, and development of imaging agents. We believe that our TATs have the potential to build on the successes of currently available radiopharmaceuticals and be broadly applicable across multiple targets and tumor types.

Our most advanced product candidate, FPI-2265, is a Phase 2 program acquired from RadioMedix, Inc., or RadioMedix, in February 2023 that targets prostate-specific membrane antigens, or PSMA, using actinium-225, or 225Ac. PSMA is a protein that is commonly found on the surface of normal prostate cells but is found in higher amounts on prostate cancer cells, as well as in lower amounts in other tissues, such as the small intestine and salivary glands. PSMA drives cancer invasion and metastases and is expressed in over 80% of men with prostate cancer, with higher PSMA expression being correlated to worse outcomes.

Pluvicto, a lutetium-177, or 177Lu, PSMA-targeted therapy, is currently a U.S. Food and Drug Administration, or FDA, approved radiopharmaceutical-based therapy to treat patients with metastatic castration resistant prostate cancer, or mCRPC. There are no alpha emitting PSMA-targeted radiopharmaceuticals currently approved by the FDA for the treatment of mCRPC. We believe that the challenges associated with producing and securing a supply of 225Ac have proven to be a barrier for the clinical advancement of PSMA-targeted alpha emitting therapies and, as a result, the majority of programs evaluating PSMA-targeted radiopharmaceuticals currently in development utilize a beta particle emitter.

Recent data from over 250 patients treated in investigator sponsored trials with 225Ac-PSMA agents, including both patients previously treated with 177Lu-PSMA radiopharmaceuticals (approximately 100 patients) and 177Lu-PSMA radiopharmaceutical therapy naïve patients, have shown compelling clinical data and biochemical response rates (including PSA50, the percentage of participants who had a prostate-specific antigen, or PSA, decline of at least 50 percent from baseline) and a tolerability profile that we feel supports further development of an 225Ac-based PSMA-targeted therapy. We believe our access to 225Ac and expertise developing alpha therapies provides an opportunity for us to begin treating patients refractory to lutetium-based PSMA therapies as well as an opportunity to move to earlier lines of therapy both as a monotherapy and in combination with other agents. Upon transfer of the investigational new drug application, or IND, from RadioMedix to us, we intend to expand the Phase 2 clinical trial across multiple sites. We expect to report preliminary data for the first 20-30 patients in this study, including safety and efficacy data, in the first quarter of 2024.

Our second most advanced product candidate, FPI-1434, utilizes our Fast-Clear linker to connect a humanized monoclonal antibody that targets the insulin-like growth factor 1 receptor, or IGF-1R, with 225Ac. We are currently evaluating FPI-1434 as a monotherapy in the dose escalation portion of a Phase 1 clinical trial in patients with IGF-1R positive solid tumors to assess its safety, tolerability and pharmacokinetics as well as to identify the recommended Phase 2 dose. As part of the screening process, patients are administered the imaging analogue of FPI-1434, which utilizes the same linker and targeting molecule, but replaces 225Ac with the radioactive isotope indium-111, or 111In, and only those patients who meet predefined tumor uptake and dosimetry, and show organ radiation exposure within the limits of established standards for normal organ radiation tolerability, are advanced into the trial. In our ongoing Phase 1 trial, we are exploring various dosing levels of FPI-1434 in two dosing regimens: one with FPI-1434 alone, and another in which a small dose of cold antibody (naked IGF-1R antibody without the isotope) is administered prior to the imaging analogue and prior to each dose of FPI-1434. We are exploring the impact of administering the cold IGF-1R antibody prior to the imaging analogue and prior to each dose of FPI-1434 on the biodistribution, safety and tumor uptake. We refer to this dosing regimen as the “cold/hot” dosing regimen; we

109


 

refer to the dosing regimen of FPI-1434 without pre-administration of the cold antibody as the “hot only” dosing regimen. The introduction of this “cold/hot” dosing regimen resulted, in part, from a cold antibody sub-study, or CASS, that was performed as part of the Phase 1 study, whereby a small amount of cold IGF-1R antibody was administered prior to administration of the imaging analogue only. In the CASS we treated five (5) patients at doses of 0.5 mg/kg and/or 1.5 mg/kg of cold IGF-1R antibody and saw, in general, an improved lesion uptake in most patients who received the cold IGF-1R antibody pre-administration and the lesion uptake was independent of anatomic location (including bone, mediastinum, lung, liver, and lymph nodes). Results at 0.5 mg/kg were generally more favorable than the 1.5 mg/kg dose of cold antibody. Imaging with the pre-administration of the cold antibody was well tolerated. As a result of the CASS data, we are prioritizing the cold/hot dosing regimen over the hot only dosing regimen. We are currently prioritizing patient enrollment into the “cold/hot” dosing regimen. We anticipate reporting Phase 1 safety, pharmacokinetics, and imaging data, including any evidence of anti-tumor activity, and details on the dosing regimen in the second quarter of 2023.

In preclinical studies, FPI-1434 has been evaluated in combination with approved checkpoint inhibitors and DNA damage response inhibitors, or DDRis, such as poly (ADP-ribose) polymerase, or PARP, inhibitors. Based on preclinical data, we believe that the synergies observed with either class of agent could expand the addressable patient populations for FPI-1434 and allow for potential use in earlier lines of treatment. We anticipate initiation of a Phase 1 combination study with FPI-1434 and KEYTRUDA® (pembrolizumab) to occur six to nine months following determination of the recommended Phase 2 dose of FPI-1434 monotherapy in connection with a collaboration agreement executed in May 2021 with Merck.

We submitted INDs to the FDA for FPI-1966 and FPI-1967, the imaging analogue, for the treatment of cancers including head and neck and bladder cancers expressing fibroblast growth factor receptor 3, or FGFR3, in the second quarter of 2021 and announced FDA clearance of the INDs in July 2021. The Phase 1, non-randomized, open-label clinical trial of FPI-1966 in patients with solid tumors expressing FGFR3, intended to investigate safety, tolerability and pharmacokinetics and to establish the recommended Phase 2 dose, has been initiated with study sites open to patient recruitment. We dosed the first patient in August 2022 and plan to provide a clinical update in 2024.

In November 2020, we announced a strategic collaboration agreement with AstraZeneca UK Limited, or AstraZeneca, to jointly discover, develop and commercialize next-generation alpha-emitting radiopharmaceuticals and combination therapies for the treatment of cancer. Under the terms of the collaboration agreement, we and AstraZeneca will jointly discover, develop and commercialize up to three novel TATs, which will utilize Fusion’s Fast-Clear linker technology platform with antibodies in AstraZeneca’s oncology portfolio. In January 2022, we announced the nomination of the first TAT candidate under the strategic collaboration agreement, a bispecific antibody owned by AstraZeneca radiolabeled with 225Ac utilizing our Fast-Clear linker technology, which we refer to as FPI-2068. In addition, we and AstraZeneca will exclusively explore up to five combination strategies involving our existing assets, including our FPI-1434 and FPI-1966 product candidates, and AstraZeneca therapeutics, for the treatment of various cancers. Each party will retain full rights to their respective assets.

In April 2021, we entered into an asset purchase agreement with Ipsen Pharma SAS, or Ipsen, to acquire Ipsen’s intellectual property and assets related to IPN-1087. IPN-1087 is a small molecule targeting neurotensin receptor 1, or NTSR1, a protein expressed on multiple solid tumor types. Using our TAT platform, we combined IPN-1087 with 225Ac to create an alpha-emitting radiopharmaceutical, FPI-2059, targeting solid tumors expressing NTSR1, including neuroendocrine differentiated prostate cancer, and colorectal, gastric and pancreatic cancers. The FDA cleared our IND for FPI-2059 and the corresponding imaging analogue, FPI-2058, in June 2022. Study initiation activities are ongoing in a Phase 1, non-randomized, open-label clinical trial of FPI-2059 in patients with solid tumors expressing NTSR1, intended to investigate safety, tolerability and pharmacokinetics and to establish the recommended Phase 2 dose. We plan to provide guidance on timelines for the FPI-2059 program following site activations and initial experience with patient screening and patient enrollment.

In January 2022, we entered into two separate strategic research collaborations to discover novel, peptide-based radiopharmaceuticals for the treatment of various solid tumors. Under the agreements, Fusion has global rights to develop and commercialize any peptides discovered under either collaboration.

Since our inception in 2014, we have devoted substantially all of our efforts and financial resources to organizing and staffing our company, business planning, raising capital, acquiring or discovering product candidates and securing related intellectual property rights and conducting discovery, research and development activities for our product candidates. We do not have any products approved for sale and have not generated any revenue from product sales. On June 30, 2020, we completed our initial public offering, or IPO, of our common shares and issued and sold 12,500,000 common shares at a public offering price of $17.00 per share, resulting in net proceeds of approximately $193.1 million after deducting underwriting fees and offering costs. Prior to our IPO, we funded our operations primarily with proceeds from sales of equity securities (including borrowings under a convertible promissory note, which converted into preferred shares). Through December 31, 2022, we had

110


 

received net proceeds of $370.0 million from sales of equity securities (including borrowings under a convertible promissory note, which converted into preferred shares). In July 2021, we entered into an Open Market Sales AgreementSM, or the Sales Agreement, with Jefferies LLC to issue and sell up to $100.0 million of our common shares, from time to time during the term of the Sales Agreement, through an “at-the-market” equity offering program under which Jefferies LLC will act as our agent. As of December 31, 2022, we had received net proceeds of $5.8 million from sales of common shares under the Sales Agreement. In April 2022, we received net proceeds of $9.8 million from the funding of the Term A loan facility with Oxford Finance LLC, or Oxford. In September 2022, we received net proceeds of $24.9 million from the funding of the Term B loan facility with Oxford. In February 2023, we received $60.0 million in gross proceeds from a private placement financing in which we issued and sold 17,648,596 of our common shares at an offering price of $3.40 per share.

We have incurred significant operating losses since our inception. Our ability to generate product revenue sufficient to achieve profitability will depend heavily on the successful development and eventual commercialization of one or more of our current or future product candidates. Our net losses were $87.6 million and $81.0 million for the years ended December 31, 2022 and 2021, respectively. As of December 31, 2022, we had an accumulated deficit of $281.9 million. We expect to continue to incur significant expenses and increasing operating losses for at least the next several years. We expect that our expenses and capital expenditure requirements will increase substantially in connection with our ongoing activities, particularly if and as we:

continue our research and development efforts and submit biologics license applications, or BLAs, for our lead product candidate and submit INDs and BLAs and new drug applications, or NDAs, for our other biologic and drug product candidates;
conduct preclinical studies and clinical trials for our current and future product candidates;
continue to develop our library of proprietary linkers for our Fast-Clear technology;
seek to identify additional product candidates;
acquire or in-license other product candidates, targeting molecules and technologies;
continue strategic investments in manufacturing and supply chain capabilities, including the production and supply of 225Ac;
add operational, financial and management information systems and personnel, including personnel to support the development of our product candidates;
hire and retain additional personnel, such as clinical, quality control, scientific, commercial and administrative personnel;
seek marketing approvals for any product candidates that successfully complete clinical trials;
establish a sales, manufacturing, marketing and distribution infrastructure and scale-up manufacturing capabilities, whether alone or with third parties, to commercialize any product candidates for which we may obtain regulatory approval, if any;
expand, maintain and protect our intellectual property portfolio; and
operate as a public company.

We will not generate revenue from product sales unless and until we successfully complete clinical development and obtain regulatory approval for our product candidates. If we obtain regulatory approval for any of our product candidates and do not enter into a commercialization partnership, we expect to incur significant expenses related to developing our internal commercialization capabilities to support product sales, marketing and distribution.

As a result, we will need substantial additional funding to support our continuing operations and pursue our growth strategy. Until such time as we can generate significant revenue from product sales, if ever, we expect to finance our operations through the sale of equity, debt financings or other capital sources, which may include collaborations with other companies or other strategic transactions. We may not be able to raise additional funds or enter into such other agreements or arrangements when needed on favorable terms, or at all. If we fail to raise capital or enter into such agreements as and when needed, we would have to significantly delay, reduce or eliminate the development and commercialization of one or more of our product candidates or delay our pursuit of potential in-licenses or acquisitions.

111


 

Because of the numerous risks and uncertainties associated with product development, we are unable to predict the timing or amount of increased expenses or when or if we will be able to achieve or maintain profitability. Even if we are able to generate product sales, we may not become profitable. If we fail to become profitable or are unable to sustain profitability on a continuing basis, then we may be unable to continue our operations at planned levels and be forced to reduce or terminate our operations.

As of December 31, 2022, we had cash, cash equivalents and investments of $186.6 million. We believe that our existing cash, cash equivalents and investments, together with the $60.0 million in gross proceeds from our private placement completed in February 2023, will be sufficient to fund our operating expenses and capital expenditure requirements into the first quarter of 2025.

Impacts of COVID-19 and Market Conditions on Our Business

We have been actively monitoring the ongoing COVID-19 pandemic and its impact globally. Despite efforts to mitigate the impacts of the COVID-19 pandemic, including the addition of new trial sites, in 2020 and 2021 we saw patient enrollment rates decline primarily as a result of resourcing and reduced staffing issues at the trial sites. We believe our financial results for the years ended December 31, 2022 and 2021 were not significantly impacted by the ongoing COVID-19 pandemic. We believe our hybrid and remote working arrangements have had limited impact on our ability to maintain internal operations during the years ended December 31, 2022 and 2021. Further, disruption of global financial markets and a recession or market correction, including as a result of the ongoing COVID-19 pandemic, the ongoing military conflict between Russia and Ukraine and the related sanctions imposed against Russia, and other global macroeconomic factors such as inflation, could reduce our ability to access capital, which could, in the future, negatively affect our business and the value of our common shares.

Components of Results of Operations

Revenue from Product Sales

To date, we do not have any approved product candidates and as such, have not generated any revenue from product sales, and we do not expect to generate any revenue from the sale of products for the foreseeable future. If our development efforts for our current or future product candidates are successful and result in regulatory approval, we may generate revenue in the future from product sales. We cannot predict if, when or to what extent we will generate revenue from the commercialization and sale of our product candidates. We may never succeed in obtaining regulatory approval for any of our product candidates.

Collaboration Revenue

On October 30, 2020, we and AstraZeneca entered into a strategic collaboration agreement, or the AstraZeneca Agreement, pursuant to which we and AstraZeneca will work to jointly discover, develop and commercialize next-generation alpha-emitting radiopharmaceuticals and combination therapies for the treatment of cancer globally by leveraging our TAT platform and expertise in radiopharmaceuticals with AstraZeneca’s leading portfolio of antibodies and cancer therapeutics, including DDRis. The AstraZeneca Agreement consists of two distinct collaboration programs: novel TATs and combination therapies. In January 2022, we announced the nomination of the first novel TAT candidate, a bispecific antibody owned by AstraZeneca radiolabeled with 225Ac utilizing our Fast-Clear linker technology. Each party retains full ownership over its existing assets.

We received an upfront payment of $5.0 million from AstraZeneca in December 2020 associated with the combination therapies program. AstraZeneca will fully fund all research and development activities for the combination strategies, until such point as we may opt-in to the clinical development activities. We also have the right to opt-out of clinical development activities relating to these combination therapies. In such instance, we will be responsible for repaying our share of the development costs via a royalty on the additional combination sales only if our drug is approved on the basis of clinical development solely conducted by AstraZeneca, in which case the royalty payments shall also include a variable risk premium based on the number of our product candidates that have received regulatory approval at that time. We are eligible to receive future payments of up to $40.0 million, including those for the achievement of certain clinical milestones and exclusivity fees.

We determined the research and development activities associated with the combination therapies, or the Combination Therapies Collaboration, are a key component of our central operations and AstraZeneca has contracted with us to obtain goods and services which are an output of our ordinary activities in exchange for consideration. Further, we do not share the risks and rewards of the underlying research activities making AstraZeneca a customer for the Combination Therapies Collaboration which falls within the scope of ASC 606, Revenue from Contracts with Customers, or ASC 606.

112


 

Under ASC 606 we account for (i) the license we conveyed to AstraZeneca with respect to certain intellectual property and (ii) the obligations to perform research and development services as part of the Combination Therapies Collaboration as a single performance obligation under the AstraZeneca Agreement. We recognize revenue using the cost-to-cost method, which we believe best depicts the transfer of control to the customer. Under the cost-to-cost method, the extent of progress towards completion is measured based on the ratio of actual costs incurred to the total estimated costs expected upon satisfying the identified performance obligation. Under this method, revenue is recorded as a percentage of the estimated transaction price based on the extent of progress towards completion. We recognize adjustments in revenue for changes in the estimated extent of progress towards completion under the cumulative catch-up method. Under this method, the impact of this adjustment on revenue recorded to date is recognized in the period the adjustment is identified.

During the years ended December 31, 2022 and 2021, we recognized $1.5 million and $1.4 million, respectively, in collaboration revenue under the AstraZeneca Agreement in the consolidated statement of operations and comprehensive loss.

Operating Expenses

Research and Development Expenses

Research and development expenses consist primarily of costs incurred in connection with the discovery and development of our product candidates. These expenses include:

employee-related expenses, including salaries, related benefits and share-based compensation expense, for employees engaged in research and development functions;
expenses incurred in connection with the preclinical and clinical development of our product candidates, including under agreements with third parties, such as consultants and contract research organizations, or CROs;
the cost of manufacturing drug products for use in our preclinical studies and clinical trials, including under agreements with third parties, such as consultants and contract development and manufacturing organizations, or CDMOs;
facilities, depreciation and other expenses, which include direct or allocated expenses for rent, maintenance of facilities and insurance;
costs related to compliance with regulatory requirements; and
payments made in connection with third-party licensing agreements and asset acquisitions of incomplete technology.

We expense research and development costs as incurred. Nonrefundable advance payments for goods or services to be received in the future for use in research and development activities are recorded as prepaid expenses. Such amounts are recognized as an expense when the goods have been delivered or the services have been performed, or when it is no longer expected that the goods will be delivered or the services rendered. Upfront payments under license agreements are expensed upon receipt of the license, and annual maintenance fees under license agreements are expensed in the period in which they are incurred. Milestone payments under license agreements are accrued, with a corresponding expense being recognized, in the period in which the milestone is determined to be probable of achievement and the related amount is reasonably estimable.

In connection with the AstraZeneca Agreement, we and AstraZeneca are both active participants in the research and development activities of the collaboration and we are exposed to significant risks and rewards that are dependent on commercial success of the activities of the arrangement with respect to the novel TATs program, or the Novel TATs Collaboration. As this arrangement falls within the scope of ASC 808, Collaborative Arrangements, or ASC 808, all payments received or amounts due from AstraZeneca for reimbursement of shared costs are accounted for as an offset to research and development expense. For the years ended December 31, 2022 and 2021, we incurred $5.4 million and $3.1 million, respectively, in gross research and development expenses relating to the Novel TATs Collaboration which was offset by $2.8 million and $1.6 million, respectively, in amounts due from AstraZeneca for reimbursement of shared costs.

Our direct research and development expenses are tracked on a program-by-program basis for our product candidates and consist primarily of external costs, such as fees paid to outside consultants, CROs, CDMOs and research laboratories in connection with our preclinical development, process development, manufacturing and clinical development activities. Our direct research and development expenses by program also include fees incurred under third-party license agreements. We do not allocate employee costs and costs associated with our discovery efforts, laboratory supplies and facilities, including depreciation or other indirect costs, to specific programs because these costs are deployed across multiple programs and our

113


 

TAT platform and Fast-Clear linker technology and, as such, are not separately classified. We use internal resources primarily to conduct our research and discovery activities as well as for managing our preclinical development, process development, manufacturing and clinical development activities. These employees work across multiple programs and our technology platform and, therefore, we do not track these costs by program.

Research and development activities are central to our business model. Product candidates in later stages of clinical development generally have higher development costs than those in earlier stages of clinical development, primarily due to the increased size and duration of later-stage clinical trials. As a result, we expect that our research and development expenses will increase substantially over the next several years as we complete a Phase 2 clinical trial of FPI-2265 in patients with mCRPC, a Phase 1 clinical trial of FPI-1434 as a monotherapy in patients with solid tumors expressing IGF-1R, complete preclinical development and pursue initial stages of clinical development of our FPI-1434 combination therapies, complete a Phase 1 clinical trial of FPI-1966 as a monotherapy in patients with solid tumors expressing FGFR3, complete a Phase I clinical trial of FPI-2059 as a monotherapy in patients with solid tumors expressing NTSR1 and continue to progress our other early-stage programs.

The successful development and commercialization of our product candidates are highly uncertain. At this time, we cannot reasonably estimate or know the nature, timing and costs of the efforts that will be necessary to complete the preclinical and clinical development of any of our product candidates. This is due to the numerous risks and uncertainties associated with product development, including the following:

timely completion of our preclinical studies and our current and future clinical trials, which may be significantly slower or more costly than we currently anticipate and will depend substantially upon the performance of third-party contractors;
our ability to complete IND-enabling studies and successfully submit INDs or comparable applications to allow us to initiate clinical trials for our current or any future product candidates;
whether we are required by the FDA or similar foreign regulatory authorities to conduct additional clinical trials or other studies beyond those planned to support the approval and commercialization of our product candidates or any future product candidates;
our ability to demonstrate to the satisfaction of the FDA or other foreign regulatory authorities the safety, potency, purity and acceptable risk-to-benefit profile of our product candidates or any future product candidates;
the prevalence, duration and severity of potential side effects or other safety issues experienced with our product candidates or future product candidates, if any;
the timely receipt of necessary marketing approvals from the FDA or similar foreign regulatory authorities;
the willingness of physicians, operators of clinics and patients to utilize or adopt any of our product candidates or future product candidates as potential cancer treatments;
our ability and the ability of third parties with whom we contract to manufacture adequate clinical supplies of our product candidates or any future product candidates, remain in good standing with regulatory authorities and develop, validate and maintain manufacturing processes that are compliant with current good manufacturing practices; and
our ability to establish and enforce intellectual property rights in and to our product candidates or any future product candidates.

A change in the outcome of any of these variables with respect to the development of our product candidates could significantly change the costs and timing associated with the development of these product candidates. We may elect to discontinue, delay or modify clinical trials of some product candidates or focus on others. In addition, we may never succeed in obtaining regulatory approval for any of our product candidates.

General and Administrative Expenses

General and administrative expenses consist primarily of salaries and related costs, including share-based compensation, for personnel in executive, finance and administrative functions. General and administrative expenses also include direct and allocated facility-related costs as well as professional fees for legal, patent, consulting, investor and public relations, accounting and audit services.

114


 

We anticipate that our general and administrative expenses will increase in the future as we increase our headcount to support our continued research activities and development of our product candidates and technology platform. We also anticipate that we will incur increased accounting, audit, legal, regulatory, compliance and director and officer insurance costs as well as investor and public relations expenses associated with our continued growth as a public company.

Other (Expense) Income

Interest Income

Interest income consists primarily of interest income earned on our cash, cash equivalents and investment balances and the amortization of premiums or accretion of discounts associated with our investments. We expect that our interest income will fluctuate based on the timing and ability to raise additional funds as well as the amount of expenditures for the clinical development of our product candidates and ongoing business operations.

Interest Expense

Interest expense consists of interest owed on outstanding borrowings under our loan and security agreement with Oxford, as well as amortization of debt discount.

Other (Expense) Income, Net

Other (expense) income, net primarily consists of foreign currency transaction gains and losses as well as miscellaneous income and expense unrelated to our core operations.

Income Taxes

We are domiciled in Canada and are primarily subject to taxation in that country. Since our inception, we have recorded no income tax benefits for the net operating losses incurred or for the research and development tax credits generated in each year by our operations in Canada due to our uncertainty of realizing a benefit from those items. As of December 31, 2022, we had $170.2 million of Canadian net operating loss carryforwards that begin to expire in 2035. In addition, the Company had $6.4 million of Canadian tax credit carryforwards that begin to expire in 2037 as well as Canadian capitalized research and development expenditures of $35.5 million that can be carried forward indefinitely. We have recorded a full valuation allowance against our Canadian net deferred tax assets as of December 31, 2022 and 2021.

In prior periods, we have recorded an insignificant amount of income tax provision or benefit for our operating company in Canada and our operating company in the U.S., which typically generates a profit for tax purposes.

115


 

Results of Operations

Comparison of the Years Ended December 31, 2022 and 2021

The following table summarizes our results of operations for the years ended December 31, 2022 and 2021 (in thousands):

 

 

Year Ended
December 31,

 

 

 

 

 

 

2022

 

 

2021

 

 

Change

 

Collaboration revenue

 

$

1,461

 

 

$

1,440

 

 

$

21

 

Operating expenses:

 

 

 

 

 

 

 

 

 

Research and development

 

 

58,895

 

 

 

56,357

 

 

 

2,538

 

General and administrative

 

 

30,600

 

 

 

27,098

 

 

 

3,502

 

Total operating expenses

 

 

89,495

 

 

 

83,455

 

 

 

6,040

 

Loss from operations

 

 

(88,034

)

 

 

(82,015

)

 

 

(6,019

)

Other (expense) income:

 

 

 

 

 

 

 

 

 

Interest income

 

 

2,161

 

 

 

381

 

 

 

1,780

 

Interest expense

 

 

(1,801

)

 

 

 

 

 

(1,801

)

Other (expense) income, net

 

 

(1,775

)

 

 

469

 

 

 

(2,244

)

Total other (expense) income, net

 

 

(1,415

)

 

 

850

 

 

 

(2,265

)

Loss before benefit for income taxes

 

 

(89,449

)

 

 

(81,165

)

 

 

(8,284

)

Income tax benefit

 

 

1,837

 

 

 

118

 

 

 

1,719

 

Net loss

 

$

(87,612

)

 

$

(81,047

)

 

$

(6,565

)

Collaboration Revenue

Collaboration revenue was $1.5 million and $1.4 million, respectively, for the years ended December 31, 2022 and 2021 for services provided under the AstraZeneca Agreement.

Research and Development Expenses

 

 

Year Ended
December 31,

 

 

 

 

 

 

2022

 

 

2021

 

 

Change

 

 

 

(in thousands)

 

 

 

 

Direct research and development expenses by program:

 

 

 

 

 

 

 

 

 

FPI-1434

 

$

11,939

 

 

$

12,847

 

 

$

(908

)

FPI-1966

 

 

7,860

 

 

 

10,784

 

 

 

(2,924

)

FPI-2059

 

 

3,301

 

 

 

 

 

 

3,301

 

Platform development and unallocated research and development expenses:

 

 

 

 

 

 

 

 

 

TAT platform

 

 

14,850

 

 

 

17,727

 

 

 

(2,877

)

Personnel related (including share-based compensation)

 

 

18,804

 

 

 

13,363

 

 

 

5,441

 

Other

 

 

2,141

 

 

 

1,636

 

 

 

505

 

Total research and development expenses

 

$

58,895

 

 

$

56,357

 

 

$

2,538

 

Research and development expenses were $58.9 million for the year ended December 31, 2022, compared to $56.4 million for the year ended December 31, 2021. The increase of $2.5 million was primarily due to an increase of $3.1 million in platform development and unallocated research and development costs, partially offset by a decrease of $0.5 million in direct costs related to our FPI-1434, FPI-1966 and FPI-2059 product candidates.

Platform development and unallocated research and development expenses were $35.8 million for the year ended December 31, 2022, compared to $32.7 million for the year ended December 31, 2021. The increase of $3.1 million was due to an increase of $5.4 million in personnel-related costs and an increase of $0.5 million in other costs, partially offset by a decrease of $2.9 million in costs related to our TAT platform. The increase in personnel-related costs was primarily due to the hiring of additional personnel in our research and development functions, particularly those responsible for managing our Phase 1 clinical trials of FPI-1434, FPI-1966 and FPI-2059 and for conducting preclinical research. Personnel-related costs for the years ended December 31, 2022 and 2021 included share-based compensation of $3.8 million and $2.7 million, respectively. The increase in other costs was primarily due to an increase in depreciation expense and facilities-related costs. The decrease

116


 

in TAT platform costs was primarily due to discrete items that occurred during the year ended December 31, 2021, including a common share issuance and cash payment pursuant to our asset purchase agreement with Ipsen, which resulted in the recognition of research and development expense $6.4 million and $0.8 million, respectively. The $2.5 million payment made during the year ended December 31, 2021 under our agreement with CPDC for services relating to certain aspects the validation of our manufacturing facility currently under construction in Hamilton, Ontario also contributed to the decrease. These items were offset by increased external costs for preclinical studies and activities associated with the advancement of our TAT platform.

The decrease of $0.5 million in direct research and development expenses was due to a decrease of $2.9 million in FPI-1966 program expenses and a decrease of $0.9 million in FPI-1434 program expenses, partially offset by an increase of $3.3 million in FPI-2059 program expenses. The decrease in FPI-1966 of $2.9 million is primarily due to discrete items that occurred during the year ended December 31, 2021, including a common share issuance and cash payment pursuant to our asset purchase agreement with Rainier, which resulted in the recognition of research and development expense of $2.6 million and $3.5 million, respectively. This was offset by increased costs due to discrete items that occurred during the year ended December 31, 2022, including a common share issuance and cash payment pursuant to our asset purchase agreement with Rainier, which resulted in the recognition of research and development expense of $1.3 million and $2.0 million, respectively. The decrease in FPI-1434 of $0.9 million is primarily due to longer timelines to enroll patients in our Phase 1 clinical trial of FPI-1434. In June 2022, we announced FDA clearance of our IND for FPI-2059. Direct costs of $3.3 million for the year ended December 31, 2022 for our FPI-2059 product candidate are related to preclinical research and preparation for initiation of a Phase 1 clinical trial of FPI-2059.

General and Administrative Expenses

General and administrative expenses were $30.6 million for the year ended December 31, 2022, compared to $27.1 million for the year ended December 31, 2021. The increase of $3.5 million was primarily due to a $3.1 million increase in personnel-related costs, a $0.2 million increase in corporate and other costs, and a $0.2 million increase in professional fees. The increase in personnel-related costs was primarily due to the hiring of additional personnel in our general and administrative functions, including in finance, legal, human resources and business development. Personnel-related costs for the year ended December 31, 2022 and 2021 included share-based compensation of $7.1 million and $5.9 million, respectively.

Other (Expense) Income

Interest Income. Interest income for the years ended December 31, 2022 and 2021 was $2.2 million and $0.4 million, respectively. The increase of $1.8 million was primarily due to increases in interest income driven by increased market rates.

Interest Expense. Interest expense for the year ended December 31, 2022 was $1.8 million. Interest expense consists of interest owed on outstanding borrowings under our loan and security agreement with Oxford, as well as amortization of debt discount.

Other (Expense) Income, Net. Other expense, net was $1.8 million for the year ended December 31, 2022, compared to other income, net of $0.5 million for the year ended December 31, 2021. The net decrease of $2.2 million was primarily related to net realized and unrealized foreign exchange losses incurred during the year ended December 31, 2022.

Income Tax Benefit

The income tax benefit was $1.8 million for the year ended December 31, 2022, compared to an income tax benefit of $0.1 million for the year ended December 31, 2021. The increase of $1.7 million was primarily related to return to provision adjustments arising during the year ended December 31, 2022 from our operating company in the U.S., as well as a change to Internal Revenue Code (“IRC”) Section 174 from the Tax Cuts and Jobs Act (the “TCJA”), which was signed into law on December 22, 2017. Under the TCJA, effective for tax years beginning on or after January 1, 2022, we are required to capitalize, and subsequently amortize, IRC Section 174 research and development expenses over five years for research activities conducted in the U.S. and over fifteen years for research activities conducted outside of the U.S. The capitalization of research and development expenses during the year ended December 31, 2022 resulted in an increase to our U.S. taxable income and foreign-derived intangible income (“FDII”), resulting in an increase in our FDII deduction.

117


 

Liquidity and Capital Resources

Since our inception in 2014, we have not generated any revenue from product sales, and have incurred significant operating losses and negative cash flows from our operations. On June 30, 2020, we completed our IPO of our common shares and issued and sold 12,500,000 shares of our common shares at a public offering price of $17.00 per share, resulting in net proceeds of approximately $193.1 million after deducting underwriting fees and offering costs. Prior to our IPO, we funded our operations primarily with proceeds from sales of equity securities (including borrowings under a convertible promissory note, which converted into preferred shares). From our inception through December 31, 2022, we had received net proceeds of $370.0 million from sales of equity securities (including borrowings under a convertible promissory note, which converted into preferred shares). In July 2021, we entered into the Sales Agreement with Jefferies LLC to issue and sell our common shares up to $100.0 million in gross proceeds, from time to time during the term of the Sales Agreement, through an “at-the-market” equity offering program under which Jefferies LLC will act as our agent and/or principal, or the ATM Facility. The ATM Facility provides that Jefferies LLC will be entitled to compensation for its services in an amount of up to 3.0% of the gross proceeds of any shares sold under the ATM Facility. We have no obligation to sell any shares under the ATM Facility and may, at any time, suspend solicitation and offers under the Sales Agreement. As of December 31, 2022, we had received net proceeds of $5.8 million from sales of common shares under the Sales Agreement. In April 2022, we received net proceeds of $9.8 million from the funding of the Term A loan facility with Oxford. In September 2022, we received net proceeds of $24.9 million from the funding of the Term B loan facility with Oxford. In February 2023, we received $60.0 million in gross proceeds from a private placement financing in which we issued and sold 17,648,596 of our common shares at an offering price of $3.40 per share.

Cash Flows

The following table summarizes our sources and uses of cash for each of the periods presented:

 

 

Year Ended December 31,

 

 

 

2022

 

 

2021

 

 

 

(in thousands)

 

Net cash used in operating activities

 

$

(73,276

)

 

$

(75,740

)

Net cash provided by investing activities

 

 

23,087

 

 

 

37,774

 

Net cash provided by financing activities

 

 

40,733

 

 

 

347

 

Net decrease in cash, cash equivalents and restricted cash

 

$

(9,456

)

 

$

(37,619

)

Operating Activities

During the year ended December 31, 2022, operating activities used $73.3 million of cash, resulting from our net loss of $87.6 million, partially offset by non-cash charges of $10.7 million and net cash provided by changes in our operating assets and liabilities of $3.7 million. Net cash provided by changes in our operating assets and liabilities for the year ended December 31, 2022 primarily consisted of a $2.7 million increase in accrued expenses and other current liabilities, a $2.3 million decrease in prepaid expenses and other current assets, a $0.4 million increase in accounts payable, and a $0.3 million decrease in accounts receivable, partially offset by a $1.1 million decrease in operating lease liabilities and a $1.0 million decrease in deferred revenue.

During the year ended December 31, 2021, operating activities used $75.7 million of cash, primarily resulting from our net loss of $81.0 million and net cash used by changes in our operating assets and liabilities of $14.6 million, partially offset by non-cash charges of $19.9 million. Net cash used by changes in our operating assets and liabilities for the year ended December 31, 2021 consisted of a $6.6 million increase in other non-current assets, a $4.6 million increase in prepaid expenses and other current assets, a $2.8 million decrease in income tax payable, a $1.2 million decrease in accounts payable, a $1.0 million decrease in deferred revenue, a $0.8 million decrease in operating lease liabilities, and a $0.4 million increase in accounts receivable, partially offset by a $2.7 million increase in accrued expenses and other current liabilities.

Investing Activities

During the year ended December 31, 2022, net cash provided by investing activities was $23.1 million, consisting of maturities of investments of $190.4 million, offset by purchases of investments of $165.2 million and purchases of property and equipment of $2.1 million.

118


 

During the year ended December 31, 2021, net cash provided by investing activities was $37.8 million, consisting of sales and maturities of investments of $211.7 million, offset by purchases of investments of $172.5 million and purchases of property and equipment of $1.5 million.

Financing Activities

During the year ended December 31, 2022, net cash provided by financing activities was $40.7 million, consisting of $34.7 million in net proceeds from the issuance of debt in connection with our loan and security agreement with Oxford (as amended from time to time, the “Loan Agreement”), $5.8 million in net proceeds from the issuance of common shares from our ATM Facility, net of issuance costs, and $0.2 million in proceeds from the issuance of common shares upon exercise of stock options and our employee share purchase plan.

During the year ended December 31, 2021, net cash provided by financing activities was $0.3 million, consisting of $0.6 million in proceeds from the issuance of common shares upon exercise of stock options and our employee share purchase plan, partially offset by $0.3 million in payments of offering costs associated with our ATM Facility.

Funding Requirements

We expect our expenses to increase substantially in connection with our ongoing activities, particularly as we advance the preclinical activities and clinical trials of our product candidates in development. In addition, we expect to incur additional costs associated with operating as a public company. The timing and amount of our operating expenditures will depend largely on:

the scope, progress, results and costs of researching and developing our product candidates;
the timing of, and the costs involved in, obtaining marketing approvals for our current and future product candidates;
the number of future product candidates and potential additional indications that we may pursue and their development requirements;
the cost of manufacturing our product candidates for clinical trials in preparation for regulatory approval and in preparation for commercialization;
the cost of strategic investments in manufacturing and supply chain, in particular for the production and supply of 225Ac;
the cost and availability of 225Ac or any other medical isotope we may incorporate into our product candidates;
if approved, the costs of commercialization activities for any approved product candidate to the extent such costs are not the responsibility of any future collaborators, including the costs and timing of establishing product sales, marketing, distribution and manufacturing capabilities;
subject to receipt of regulatory approval and revenue, if any, received from commercial sales for any approved indications for any of our product candidates;
the extent to which we enter into collaborations with third parties, in-license or acquire rights to other products, product candidates or technologies;
our headcount growth and associated costs as we expand our research and development capabilities and establish a commercial infrastructure;
the costs of preparing, filing and prosecuting patent applications and maintaining and protecting our intellectual property rights, including enforcing and defending intellectual property related claims; and
the costs of operating as a public company.

In July 2021, we entered into the Sales Agreement to issue and sell our common shares up to $100.0 million in gross proceeds, from time to time during the term of the Sales Agreement, through an “at-the-market” equity offering program. As of December 31, 2022, we had received net proceeds of $5.8 million from sales of common shares under the Sales Agreement.

In April 2022, we received net proceeds of $9.8 million from the funding of the Term A loan facility with Oxford. In September 2022, we received net proceeds of $24.9 million from the funding of the Term B loan facility with Oxford.

119


 

We believe that our existing cash, cash equivalents and investments as of December 31, 2022, together with the $60.0 million in gross proceeds from our private placement completed in February 2023, will be sufficient to fund our operating expenses and capital expenditure requirements into the first quarter of 2025. We have based this estimate on assumptions that may prove to be wrong, and we could exhaust our available capital resources sooner than we expect.

Until such time, if ever, as we can generate substantial product revenue, we expect to finance our cash needs through a combination of equity offerings, debt financings, collaborations, strategic alliances, and marketing, distribution or licensing arrangements with third parties. To the extent that we raise additional capital through the sale of equity or convertible debt securities, your ownership interest may be materially diluted, and the terms of such securities could include liquidation or other preferences that adversely affect your rights as a common shareholder. Debt financing and preferred equity financing, if available, may involve agreements that include restrictive covenants that limit our ability to take specific actions, such as incurring additional debt, making capital expenditures, creating liens, redeeming shares or declaring dividends. If we raise funds through collaborations, strategic alliances, distribution or licensing arrangements with third parties, we may have to relinquish valuable rights to our technologies, future revenue streams, research programs or product candidates, or grant licenses on terms that may not be favorable to us. If we are unable to raise additional funds through equity or debt financings or other arrangements when needed, we would be required to delay, limit, reduce or terminate our product development or future commercialization efforts, or grant rights to develop and market product candidates that we would otherwise prefer to develop and market ourselves.

Contractual Obligations and Commitments

We lease certain assets under noncancelable operating leases, which expire through 2030. The leases relate to office and laboratory space. The aggregate future minimum commitment under these leases for office and laboratory space is $6.7 million as of December 31, 2022.

In addition, the aggregate future minimum commitment amount above does not include our lease agreement executed June 1, 2021 to build a 26,978 square foot manufacturing facility in Hamilton, Ontario. The initial estimate of the minimum undiscounted future lease payments due under the 15-year lease is $18.9 million, which is not included in the aggregate future minimum commitment amount above.

Further, we also have entered into agreements with third-party contract development and manufacturing organizations to manufacture clinical trial materials. The non-cancelable minimum purchase commitments under these agreements is $1.2 million as of December 31, 2022.

In addition to the contracts with payment commitments discussed above, we have entered into other contracts in the normal course of business with certain CROs, CDMOs and other third parties for preclinical research studies and testing, clinical trials and manufacturing services. These contracts do not contain any minimum purchase commitments and are cancelable by us upon written notice. Payments due upon cancellation consist only of payments for services provided and expenses incurred, including noncancelable obligations of our service providers, up to the date of cancellation. These payments are not discussed above as the amounts and timing of such payments are not known.

Under various licensing and related agreements to which we are a party, we are obligated to pay annual license maintenance fees and may be required to make milestone payments and to pay royalties and other amounts to third parties. Although the amounts and timing of annual license maintenance fees are known, we cannot currently determine the final termination dates of the agreements and, as a result, we cannot determine the total amounts of such payments we will be required to make under the agreements. Future milestone and royalty payments under these agreements are contingent upon future events, such as our achievement of specified milestones or generating product sales, and the amount, timing and likelihood of such payments are not known. Such material contingent payment obligations are described below.

Under our license agreement with ImmunoGen, Inc., or ImmunoGen, we are obligated to make aggregate milestone payments to ImmunoGen of up to an additional $14.5 million upon the achievement of specified development and regulatory milestones and of up to $35.0 million of specified sales milestones. We are also obligated to pay tiered royalties of a low to mid single-digit percentage of annual net sales by us and any of our affiliates and sublicensees.

Under our license agreement with MediaPharma S.r.l., or MediaPharma, we are obligated to make aggregate milestone payments to MediaPharma of up to an additional $1.4 million upon the achievement of specified development milestones and of up to $23.0 million upon the achievement of specified sales milestones. We are also obligated to pay royalties of a low

120


 

single-digit percentage based on our net sales of licensed products. As of December 31, 2022 we are no longer actively developing the specified antibody acquired from MediaPharma.

Under our asset purchase agreement, as amended, with Rainier, we have made aggregate payments of $5.5 million and issued 470,038 of our common shares to Rainier in connection with certain milestones. We are obligated to make additional aggregate milestone payments of up to $20.5 million upon the achievement of specified development and regulatory milestones and are obligated to make aggregate milestone payments of up to $42.0 million upon the achievement of specified sales milestones. In the event we enter into a transaction with a non-affiliated party relating to the license or sale of substantially all of our rights under the agreement, we are also obligated to pay Rainier a portion of the revenue from such transaction, in an amount ranging from 10% to 30% based on how long after March 10, 2020 the transaction takes place subject to subsequent amendments.

Under our license agreement with Genentech, Inc., or Genentech, we are obligated to make aggregate milestone payments to Genentech of up to $44.0 million upon the achievement of specified sales milestones. We are also obligated to pay tiered royalties ranging from a mid single-digit percentage to a high single-digit percentage based on our net sales of licensed products. In addition, for products that are not covered by an enforceable patent in any country in which they are sold, we are obligated to pay royalties of a low single-digit percentage based on net sales in such country.

Under our collaboration agreements with TRIUMF, we are obligated to make aggregate future milestone payments of $8.5 million CAD.

Under our asset purchase agreement with Ipsen, we are obligated to make aggregate milestone payments to Ipsen of up to an additional €67.5 million upon the achievement of certain development and regulatory milestones and up to €350.0 million in net sales milestones. We are also obligated to pay low single-digit royalties on net sales. Further, we are responsible for paying to a third-party licensor up to a total of €70.0 million in development milestones and mid to low double-digit royalties on potential future net sales of products.

Under our collaboration agreement with Niowave, we are obligated to make aggregate future milestone payments of $4.1 million.

For additional information regarding our license agreements described above that have not been terminated, see “Business—Collaboration and License Agreements” and Note 12 to our consolidated financial statements.

Critical Accounting Policies and Significant Judgments and Estimates

Our consolidated financial statements are prepared in accordance with generally accepted accounting principles in the United States. The preparation of our consolidated financial statements and related disclosures requires us to make estimates and judgments that affect the reported amounts of assets, liabilities, costs and expenses, and the disclosure of contingent assets and liabilities in our consolidated financial statements. We base our estimates on historical experience, known trends and events and various other factors that we believe are reasonable under the circumstances, the results of which form the basis for making judgments about the carrying values of assets and liabilities that are not readily apparent from other sources. We evaluate our estimates and assumptions on an ongoing basis. Our actual results may differ from these estimates under different assumptions or conditions.

While our significant accounting policies are described in more detail in Note 2 to our annual consolidated financial statements appearing at the end of this Annual Report on Form 10-K, we believe that the following accounting policies are those most critical to the judgments and estimates used in the preparation of our consolidated financial statements.

Collaborative Arrangements

We consider the nature and contractual terms of arrangements and assess whether an arrangement involves a joint operating activity pursuant to which we are an active participant and are exposed to significant risks and rewards dependent on the commercial success of the activity. If we are an active participant and are exposed to significant risks and rewards dependent on the commercial success of the activity, we account for such arrangement as a collaborative arrangement under ASC 808. ASC 808 describes arrangements within its scope and considerations surrounding presentation and disclosure, with recognition matters subjected to other authoritative guidance, in certain cases by analogy.

121


 

For arrangements determined to be within the scope of ASC 808 where a collaborative partner is not a customer for certain research and development activities, we account for payments received for the reimbursement of research and development costs as a contra-expense in the period such expenses are incurred. This reflects the joint risk sharing nature of these activities within a collaborative arrangement. We classify payments owed or receivables recorded as other current liabilities or prepaid expenses and other current assets, respectively, in our consolidated balance sheets.

If payments from the collaborative partner to us represent consideration from a customer in exchange for distinct goods and services provided, then we account for those payments within the scope of ASC 606.

Revenue Recognition

In accordance with ASC 606, we recognize revenue when a customer obtains control of promised goods or services, in an amount that reflects the consideration which we expect to receive in exchange for those goods or services. To determine revenue recognition for arrangements that we determine are within the scope of ASC 606, we perform the following five steps: (i) identify the contract(s) with a customer, (ii) identify the performance obligations in the contract, (iii) determine the transaction price, (iv) allocate the transaction price to the performance obligations within the contract and (v) recognize revenue when (or as) we satisfy a performance obligation.

We only apply the five-step model to contracts when we determine that it is probable we will collect the consideration we are entitled to in exchange for the goods or services we transfer to the customer.

At contract inception, once the contract is determined to be within the scope of ASC 606, we assess the goods or services promised within the contract to determine whether each promised good or service is a performance obligation. The promised goods or services in our arrangements typically consist of a license to our intellectual property and/or research and development services. We may provide customers with options to additional items in such arrangements, which are accounted for separately when the customer elects to exercise such options, unless the option provides a material right to the customer. Performance obligations are promises in a contract to transfer a distinct good or service to the customer that (i) the customer can benefit from on its own or together with other readily available resources, and (ii) is separately identifiable from other promises in the contract. Goods or services that are not individually distinct performance obligations are combined with other promised goods or services until such combined group of promises meet the requirements of a performance obligation.

We determine transaction price based on the amount of consideration we expect to receive for transferring the promised goods or services in the contract. Consideration may be fixed, variable, or a combination of both. At contract inception for arrangements that include variable consideration, we estimate the probability and extent of consideration we expect to receive under the contract utilizing either the most likely amount method or expected amount method, whichever best estimates the amount expected to be received. We then consider any constraints on the variable consideration and include in the transaction price variable consideration to the extent it is probable that a significant reversal in the amount of cumulative revenue recognized will not occur when the uncertainty associated with the variable consideration is subsequently resolved.

We then allocate the transaction price to each performance obligation based on the relative standalone selling price and recognize as revenue the amount of the transaction price that is allocated to the respective performance obligation when (or as) control is transferred to the customer and the performance obligation is satisfied. For performance obligations which consist of licenses and other promises, we utilize judgment to assess the nature of the combined performance obligation to determine whether the combined performance obligation is satisfied over time or at a point in time and, if over time, the appropriate method of measuring progress. We evaluate the measure of progress each reporting period and, if necessary, adjust the measure of performance and related revenue recognition.

We record amounts as accounts receivable when the right to consideration is deemed unconditional. Amounts received, or that are unconditionally due, from a customer prior to transferring goods or services to the customer under the terms of a contract are recognized as deferred revenue. Amounts expected to be recognized as revenue within the 12 months following the balance sheet date are classified as the current portion of deferred revenue. Amounts not expected to be recognized as revenue within the 12 months following the balance sheet date are classified as deferred revenue, net of current portion.

Our revenue generating arrangements typically include upfront license fees, milestone payments and/or royalties.

If a license is determined to be distinct from the other performance obligations identified in the arrangement, we recognize revenue from nonrefundable, up-front fees allocated to the license when the license is transferred to the licensee and the licensee is able to use and benefit from the license. For licenses that are bundled with other promises, we utilize judgment to assess the

122


 

nature of the combined performance obligation to determine whether the combined performance obligation is satisfied over time or at a point in time and, if over time, the appropriate method of measuring progress for purposes of recognizing revenue from non-refundable, up-front fees. We evaluate the measure of progress each reporting period and, if necessary, adjust the measure of performance and related revenue recognition.

At the inception of an agreement that includes research and development milestone payments, we evaluate each milestone to determine when and how much of the milestone to include in the transaction price. We first estimate the amount of the milestone payment that we could receive using either the expected value or the most likely amount approach. We primarily use the most likely amount approach as this approach is generally most predictive for milestone payments with a binary outcome. Then, we consider whether any portion of the estimated amount is subject to the variable consideration constraint (that is, whether it is probable that a significant reversal of cumulative revenue would not occur upon resolution of the uncertainty). We update the estimate of variable consideration included in the transaction price at each reporting date which includes updating the assessment of the likely amount of consideration and the application of the constraint to reflect current facts and circumstances.

For arrangements that include sales-based royalties, including milestone payments based on the level of sales, and the license is deemed to be the predominant item to which the royalties relate, we will recognize revenue at the later of (i) when the related sales occur, or (ii) when the performance obligation to which some or all of the royalty has been allocated has been satisfied (or partially satisfied).

During the years ended December 31, 2022 and 2021, we recognized $1.5 million and $1.4 million, respectively, in collaboration revenue under the AstraZeneca Agreement in the consolidated statement of operations and comprehensive loss.

Accrued Research and Development Expenses

As part of the process of preparing our consolidated financial statements, we are required to estimate our accrued research and development expenses. This process involves estimating the level of service performed and the associated cost incurred for the service when we have not yet been invoiced or otherwise notified of actual costs. The majority of our service providers invoice us in arrears for services performed, on a pre-determined schedule or when contractual milestones are met; however, some require advance payments. We make estimates of our accrued expenses as of each balance sheet date in the consolidated financial statements based on facts and circumstances known to us at that time. At each end period, we confirm the accuracy of these estimates with the service providers and make adjustments, if necessary. Examples of estimated accrued research and development expenses include those related to fees paid to:

vendors in connection with preclinical development activities;
CROs in connection with preclinical studies and clinical trials; and
CDMOs in connection with the production of preclinical and clinical trial materials.

We record the expense and accrual related to contract research and manufacturing based on our estimates of the services received and efforts expended considering a number of factors, including our knowledge of the progress towards completion of the research, development and manufacturing activities, invoicing to date under the contracts, communication from the CROs, CDMOs and other companies of any actual costs incurred during the period that have not yet been invoiced and the costs included in the contracts and purchase orders. The financial terms of these agreements are subject to negotiation, vary from contract to contract and may result in uneven payment flows. There may be instances in which payments made to our vendors will exceed the level of services provided and result in a prepayment of the expense. Payments under some of these contracts depend on factors such as the successful enrollment of patients and the completion of clinical trial milestones. In accruing service fees, we estimate the time period over which services will be performed and the level of effort to be expended in each period. If the actual timing of the performance of services or the level of effort varies from the estimate, we adjust the accrual or the amount of prepaid expenses accordingly. Although we do not expect our estimates to be materially different from amounts actually incurred, our understanding of the status and timing of services performed relative to the actual status and timing of services performed may vary and may result in reporting amounts that are too high or too low in any particular period. To date, there have not been any material adjustments to our prior estimates of accrued research and development expenses.

Share-Based Compensation

We measure all share-based awards granted to employees, directors and non-employee consultants based on their fair value on the date of the grant using the Black-Scholes option-pricing model and recognize compensation expense for those

123


 

awards over the requisite service period, which is generally the vesting period of the respective award. We issue share-based awards with only service-based vesting conditions and record the expense for these awards using the straight-line method. We have not issued any share-based awards with performance-based vesting conditions that are within our control and that may be considered probable prior to occurrence or with market-based vesting conditions.

The Black-Scholes option-pricing model uses as inputs the fair value of our common shares and assumptions we make for the volatility of our common shares, the expected term of our stock options, the risk-free interest rate for a period that approximates the expected term of our stock options and our expected dividend yield. We have historically been a private company and continue to lack sufficient company-specific historical and implied volatility information. Therefore, we estimate our expected share volatility based on the historical volatility of a publicly traded set of peer companies and expect to continue to do so until such time as we have adequate historical data regarding the volatility of our own traded share price.

Emerging Growth Company Status

The Jumpstart Our Business Startups Act of 2012, or the JOBS Act, permits an “emerging growth company” such as us to take advantage of an extended transition period to comply with new or revised accounting standards applicable to public companies until those standards would otherwise apply to private companies. We have elected to use this extended transition period for complying with new or revised accounting standards that have different effective dates for public and private companies until the earlier of the date we (i) are no longer an emerging growth company or (ii) affirmatively and irrevocably opt out of the extended transition period provided in the JOBS Act. As a result, we will not be subject to the same new or revised accounting standards as other public companies that are not emerging growth companies and our financial statements may not be comparable to other public companies that comply with new or revised accounting pronouncements as of public company effective dates. We may choose to early adopt any new or revised accounting standards whenever such early adoption is permitted for private companies.

We will cease to be an emerging growth company on the date that is the earliest of (i) the last day of the fiscal year in which we have total annual gross revenues of $1.235 billion or more, (ii) the last day of our fiscal year following the fifth anniversary of the date of the closing of our IPO, (iii) the date on which we have issued more than $1.0 billion in nonconvertible debt during the previous three years or (iv) the date on which we are deemed to be a large accelerated filer under the rules of the Securities and Exchange Commission.

Item 7A. Quantitative and Qualitative Disclosures About Market Risk.

Interest Rate Risk

As of December 31, 2022 and 2021, we had an aggregate cash, cash equivalents, restricted cash and investments balance of $188.1 million and $222.7 million, respectively, which consisted of cash, money market funds, U.S. and Canadian Government agency debt securities, corporate bonds, municipal bonds and commercial paper. Our primary exposure to market risk is interest rate sensitivity, which is affected by changes in the general level of U.S. interest rates, particularly because the majority of our investments are short-term in nature. Due to the short-term duration of our investment portfolio and the low risk profile of our investments, we believe an immediate 10% change in interest rates would not have a material effect on the fair market value of our investment portfolio. We have the ability to hold our investments until maturity, and therefore, we would not expect our operating results or cash flows to be affected to any significant degree, by the effect of a change in market interest rates on our investment portfolio.

As of December 31, 2022, we had $35.0 million of borrowings outstanding under the Loan Agreement. Interest on the outstanding borrowings under the Loan Agreement accrues at a floating per annum rate equal to the greater of (i) 8.00% and (ii) the sum of (a) 1-Month CME Term Secured Overnight Financing Rate, or SOFR, (b) 0.10% and (c) 7.90%. An immediate 10% change in the one-month SOFR rate would not have a material impact on our debt-related obligations, financial position or results of operations.

Foreign Currency Exchange Risk

Our reporting currency is the U.S. dollar. The functional currency of our operating company in Canada and operating company in the U.S. is also the U.S. dollar. As a result, we record no cumulative translation adjustments related to translation of unrealized foreign exchange gains or losses.

For the remeasurement of local currency to the U.S. dollar functional currency of the Canadian entity, assets and liabilities are translated into U.S. dollars at the exchange rate in effect on the balance sheet date, and income items and expenses are

124


 

translated into U.S. dollars at the average exchange rate in effect during the period. Resulting transaction (losses) gains are included in other (expense) income, net in the consolidated statements of operations and comprehensive loss, as incurred. During the years ended December 31, 2022 and 2021, recognized transaction gains and losses were insignificant.

We do not believe that we are subject to significant risk related to foreign currency exchange rate changes, and we do not expect that foreign currency transaction gains and losses will have a material effect on our financial position or results of operations in the foreseeable future.

Item 8. Financial Statements and Supplementary Data.

Our consolidated financial statements, together with the report of our independent registered public accounting firm, appear in this Annual Report on Form 10-K beginning on page F-1 and are incorporated by reference into this Item 8.

Item 9. Changes in and Disagreements with Accountants on Accounting and Financial Disclosure.

None.

125


 

Item 9A. Controls and Procedures.

Management’s Evaluation of our Disclosure Controls and Procedures

Our management, with the participation of our principal executive officer and our principal financial officer, evaluated, as of the end of the period covered by this Annual Report on Form 10-K, the effectiveness of our disclosure controls and procedures. Based on that evaluation of our disclosure controls and procedures as of December 31, 2022, our principal executive officer and principal financial officer concluded that our disclosure controls and procedures as of such date are effective at the reasonable assurance level.

The term “disclosure controls and procedures,” as defined in Rules 13a-15(e) and 15d-15(e) under the Exchange Act, means controls and other procedures of a company that are designed to ensure that information required to be disclosed by a company in the reports that it files or submits under the Exchange Act are recorded, processed, summarized and reported within the time periods specified in the SEC’s rules and forms. Disclosure controls and procedures include, without limitation, controls and procedures designed to ensure that information required to be disclosed by a company in the reports that it files or submits under the Exchange Act is accumulated and communicated to the company’s management, including its principal executive officer and principal financial officer, or persons performing similar functions, as appropriate to allow timely decisions regarding required disclosure. Management recognizes that any controls and procedures, no matter how well designed and operated, can provide only reasonable assurance of achieving their objectives.

Management’s Annual Report on Internal Control Over Financial Reporting

Our management is responsible for establishing and maintaining adequate internal control over financial reporting. Internal control over financial reporting is defined in Rules 13a-15(f) and 15d-15(f) promulgated under the Exchange Act as a process designed by, or under the supervision of, our principal executive officer and our principal financial officer, or persons performing similar functions, and effected by our board of directors, management and other personnel, to provide reasonable assurance regarding the reliability of financial reporting and the preparation of financial statements for external purposes in accordance with generally accepted accounting principles in the United States and includes policies and procedures that:

pertain to the maintenance of records that in reasonable detail accurately and fairly reflect the transactions and dispositions of our assets;
provide reasonable assurance that transactions are recorded as necessary to permit preparation of financial statements in accordance with generally accepted accounting principles, and that our receipts and expenditures are being made only in accordance with authorizations of our management and directors; and
provide reasonable assurance regarding prevention or timely detection of unauthorized acquisition, use or disposition of our assets that could have a material effect on the consolidated financial statements.

Because of its inherent limitations, internal control over financial reporting may not prevent or detect misstatements. Projections of any evaluation of effectiveness to future periods are subject to the risk that controls may become inadequate because of changes in conditions, or that the degree of compliance with the policies or procedures may deteriorate. We continue to review our internal control over financial reporting and may from time to time make changes aimed at enhancing their effectiveness and to ensure that our systems evolve with our business.

Under the supervision and with the participation of our management, including our Chief Executive Officer and Chief Financial Officer, we conducted an evaluation of the effectiveness of our internal control over financial reporting based on the framework in “Internal Control — Integrated Framework (2013)” issued by the Committee of Sponsoring Organizations of the Treadway Commission, or COSO. Based on this assessment, our management has concluded that the internal control over financial reporting was effective as of December 31, 2022.

Attestation Report of the Independent Registered Public Accounting Firm

This Annual Report on Form 10-K does not include an attestation report of our independent registered public accounting firm due to a transition period established by rules of the SEC for emerging growth companies. Our independent registered public accounting firm will not be required to formally opine on the effectiveness of our internal control over financial reporting pursuant to Section 404 until we are no longer an “emerging growth company” as defined in the JOBS Act.

126


 

Changes in Internal Control over Financial Reporting

There were no changes in our internal control over financial reporting (as defined in Rules 13a-15(f) and 15d-15(f) under the Exchange Act) during the quarter ended December 31, 2022 that have materially affected, or are reasonably likely to materially affect, our internal control over financial reporting.

Item 9B. Other Information.

None.

Item 9C. Disclosure Regarding Foreign Jurisdictions that Prevent Inspections.

Not applicable.

127


 

PART III

Item 10. Directors, Executive Officers and Corporate Governance.

Directors

Below are the names, ages and certain other information for each member of the board. Information with respect to the number of common shares beneficially owned by each director as of February 17, 2023 appears below in Item 12 under the heading “Ownership of Our Common Shares.” There are no familial relationships among any of our directors and executive officers. In addition to the detailed information presented below for each of our directors, we also believe that each of our directors is qualified to serve on our board and has the integrity, business acumen, knowledge and industry experience, diligence, freedom from conflicts of interest and the ability to act in the interests of our shareholders.

Our board of directors is elected each year at the annual meeting of shareholders. Each director elected to hold office will do so until the next annual meeting of shareholders and until his or her successor is elected and qualified, or until such director’s earlier death, resignation or removal.

Donald Bergstrom, M.D., Ph.D., age 51, has served as a member of our board of directors since April 2021. Since April 2018, Dr. Bergstrom has served as President of Research and Development at Relay Therapeutics, Inc., a publicly-traded clinical-stage precision medicines company deploying cutting-edge experimental and computational tools to discover medicines against intractable targets. Prior to joining Relay Therapeutics in 2018, Dr. Bergstrom was Chief Medical Officer at Mersana Therapeutics, Inc., a publicly-traded clinical-stage biopharmaceutical company discovering and developing novel antibody-drug-conjugates for the treatment of cancer, from January 2014 through March 2018. Prior to Mersana, Dr. Bergstrom was Global Head of Translational Medicine at Sanofi Oncology from May 2010 to January 2014. Prior to Sanofi, he held roles of increasing responsibility in oncology translational medicine and early clinical development at Merck Research Laboratories. Dr. Bergstrom currently serves on the board of directors of Cellectus S.A., a clinical-stage biopharmaceutical public company. Dr. Bergstrom holds an M.D. and a Ph.D. from the University of Washington, Seattle and a B.A. from the Johns Hopkins University. Dr. Bergstrom resides in the United States. We believe Dr. Bergstrom is qualified to serve on our board of directors because of his experience in the biotechnology industry.

Pablo Cagnoni, M.D., age 60, has served as a member of our board of directors since December 2019. Since November 2022, Dr. Cagnoni has served as Chief Executive Officer of Laronde, a Flagship Pioneering Company, and Executive Partner at Flagship Pioneering, the bioplatform innovation company. Prior to joining Laronde and Flagship, he was Chief Executive Officer of Rubius Therapeutics, Inc., a biotechnology company, from June 2018 until November 2022 where he remains Chairman of the Board of Directors. From May 2015 until June 2018, Dr. Cagnoni served as President and Chief Executive Officer of Tizona Therapeutics, Inc., a privately held biotechnology company, and as a member of its board of directors from May 2015 to March 2021. Dr. Cagnoni previously served as President of Onyx Pharmaceuticals, Inc., a biopharmaceutical company, from October 2013 to April 2015 and Executive Vice President, Global Research and Development and Technical Operations from March 2013 to October 2013. Prior to Onyx, Dr. Cagnoni was Senior Vice President and Global Head of Clinical Development at Novartis Oncology from October 2009 to March 2013. From 2007 to 2009, Dr. Cagnoni was Senior Vice President and Chief Medical Officer at Allos Therapeutics (acquired by Spectrum Pharmaceuticals) and, prior to that, Chief Medical Officer of OSI Pharmaceuticals (acquired by Astellas Pharma Inc.). Dr. Cagnoni has previously served as a member of the board of directors of CRISPR Therapeutics AG, Harpoon Therapeutics, Inc. and Tango Therapeutics, Inc. Dr. Cagnoni received an M.D. from the University of Buenos Aires School of Medicine and completed post-doctoral work in Hematology and Oncology at the Mount Sinai Medical Center in New York and in Stem Cell Transplantation at the University of Colorado Health Sciences Center. Dr. Cagnoni resides in the United States. We believe Dr. Cagnoni is qualified to serve on our board of directors because of his experience in the biotechnology industry.

Johan Christenson, M.D., Ph.D., age 64, has served as a member of our board of directors since February 2017. Dr. Christenson is a Partner of HealthCap Advisor AB. Prior to joining HealthCap Advisor AB in 2001, Dr. Christenson was with SEB Företagsinvest (the venture capital arm of SEB) to supervise its healthcare portfolio. He has senior management experience from Astra Pain Control as Project Director and AstraZeneca as Global Product Director and member of the global therapy area management team of pain and inflammation. Dr. Christenson previously served as a member of the directors of Aprea Therapeutics, Inc., a clinical-stage oncology company from October 2019 to November 2021. Dr. Christenson received his medical training at the Karolinska Institute and received his Ph.D. in Neuroscience in 1991. He served as a lecturer in Neuroscience and also held a position as Assistant Dean at the Karolinska Institute Graduate School for two years. Dr. Christenson resides in Sweden. Dr. Christenson has four years of clinical specialist training in pediatrics and pediatric neurology. We believe that Dr. Christenson is qualified to serve on our board of directors because of his extensive investment experience in the life sciences industry.

128


 

Barbara Duncan, age 58, has served as a member of our board of directors since November 2020. Ms. Duncan served at Intercept Pharmaceuticals, Inc. as Chief Financial Officer and Treasurer from May 2009 to June 2016. Prior to Intercept, Ms. Duncan served as Chief Financial Officer of DOV Pharmaceutical, Inc. from 2001 to 2006 and as its Chief Executive Officer and a member of its Board of Directors from 2007 to 2009. Ms. Duncan serves on the board of directors of Halozyme Therapeutics, Inc. since February 2023, Atea Pharmaceuticals, Inc. since November 2020, Jounce Therapeutics, Inc. since June 2016, Adaptimmune Therapeutics plc since June 2016, and Ovid Therapeutics, Inc. since June 2017. Previously, Ms. Duncan served on the boards of directors of Immunomedics, Inc. from March 2019 to October 2020, Innoviva, Inc., from November 2016 through April 2018, ObsEva S.A. from November 2016 to May 2019 and Aevi Genomic Medicine, Inc., from June 2015 through January 2020. Ms. Duncan received her B.A. from Louisiana State University and her M.B.A. from the Wharton School, University of Pennsylvania. Ms. Duncan resides in the United States. We believe Ms. Duncan is qualified to serve on our board of directors due to her experience in the biotechnology industry and with public companies.

Steve Gannon, CA/CPA, age 61, has served as a member of our board of directors since January 2020. Mr. Gannon has served on the board of directors of Xenon Pharmaceutics Inc., a biotechnology company, since May 2015, the board of directors of enGene Inc., a biotechnology company, since February 2017, the board of directors of Laborie Médical Technologies, a private Medtech company, since 2016, Alta Sciences, a private research services company, since April 2021, and AeroGen, a private Medtech company, from November 2018 to July 2020. From June 2014 to March 2018, Mr. Gannon served on the board of directors of Advanced Accelerator Applications SA, a healthcare company acquired by Novartis in January 2018. Mr. Gannon was Chief Financial Officer, Senior Vice President of Finance and Treasurer at Aptalis Pharma Inc. until February 2014, after which it was sold to Forest Laboratories. Prior to joining Aptalis in 2006, Mr. Gannon served as the Chief Financial Officer for Cryocath Technologies Inc. from 1999 to 2006, as the Director of Finance and Administration of the Research Division of AstraZeneca Canada Inc. from 1996 to 1999, and as the Chief Financial Officer of Mallinckrodt Medical Inc.’s Canadian operations from 1989 to 1995. He received a BComm in Accounting and Business Systems from Concordia University in Montreal, Canada in 1983, and completed the Executive Program at the Richard Ivey School of Business at the University of Western Ontario in Ontario, Canada in 1995. He has been a Chartered Accountant since 1985. Mr. Gannon resides in Canada. We believe that Mr. Gannon is qualified to serve on our board of directors because of his financial expertise and senior management expertise in the pharmaceutical industry.

Chau Q. Khuong, age 47, has served as a member of our board of directors since March 2019. Mr. Khuong is a biotechnology entrepreneur and venture capital investor. He served as a Private Equity Partner at OrbiMed from 2003 until his retirement in August 2021. Mr. Khuong currently serves as a director of two publicly traded life sciences companies: Galecto, Inc. since October 2018 and NextCure, Inc. since December 2015, and previously served as a director of Aerpio Pharmaceuticals, Inc., BELLUS Health Inc., Inspire Medical Systems, Inc., Nabriva Therapeutics plc (formerly Nabriva Therapeutics AG), Otonomy, Inc., Synlogic, Inc. from, and as chairman of the board of directors of Pieris Pharmaceuticals, Inc.. Mr. Khuong received a B.S. in Molecular Biology with a concentration in Biotechnology and a M.P.H. with a concentration in Infectious Diseases from Yale University. Mr. Khuong resides in the United States. We believe that Mr. Khuong is qualified to serve as a member of our board of directors due to his extensive directorship and healthcare industry experience.

Philina Lee, Ph.D., age 46, has served as a member of our board of directors since February 2021. Dr. Lee currently serves as Chief Commercial Officer at Blueprint Medicines Corporation, a publicly traded global precision therapy company. Since joining Blueprint Medicines in 2014, Dr. Lee has served in positions of increasing responsibility, including most recently as Senior Vice President and Head of Portfolio Strategy until April 2022. Prior to joining Blueprint Medicines, Dr. Lee served as Head of U.S. Marketing at Algeta ASA, where she contributed to building the fully integrated organization that successfully launched Xofigo® (radium-223 dichloride), a first in class alpha-emitting radiopharmaceutical. Algeta was acquired by Bayer AG in 2014. Prior to Algeta, Dr. Lee held oncology marketing roles at Sanofi and Genzyme, and was a Healthcare Strategy Consultant at Health Advances. Dr. Lee does not currently serve on any other public company board of directors. Dr. Lee holds a Ph.D. from the Massachusetts Institute of Technology and a B.S. from the University of Alberta. Dr. Lee resides in the United States. We believe that Dr. Lee is qualified to serve as a member of our board of directors due to her extensive healthcare industry experience.

Heather Preston, M.D., age 57, has been a member of our board of directors since March 2019. Dr. Preston has served as a Managing Partner at Pivotal bioVenture Partners, a venture capital firm, and as a Senior Advisor at TPG Biotech, a biotechnology venture capital firm, since July 2018. Dr. Preston was previously a Partner and Managing Director at TPG Biotech from May 2005 to July 2018. Dr. Preston currently serves on the board of directors of Oxford BioMedica PLC. Dr. Preston also served on the board of directors of Akouos, Inc. until acquired by Eli Lilly and Company in December 2022, the board of directors of Entasis Therapeutics Holdings, Inc. until acquired by Innoviva, Inc. in July 2022, the board of directors of Alder Biopharmaceuticals, Inc. until acquired by Lundbeck A/S in October 2019, the board of directors of Albireo Pharma,

129


 

Inc. from 2008 to 2018, and the board of directors of Otonomy, Inc. from January 2010 until February 2020. Dr. Preston received her M.D. from the University of Oxford and a BS in Biochemistry from the University of London. Dr. Preston resides in the United States. We believe that Dr. Preston is qualified to serve on our board of directors because of her extensive experience in the biopharmaceutical investment industry and her scientific background.

John Valliant, Ph.D., age 53, is our founder and has served as Chief Executive Officer and as a member of our board of directors since December 2014. From March 2008 to October 2018, Dr. Valliant was the Chief Executive Officer at the Centre for Probe Development and Commercialization, (the “CPDC”), a radiopharmaceutical research and development center, which he also founded. Since 1999, Dr. Valliant has also served as a Professor in the Department of Chemistry and Chemical Biology at McMaster University. Dr. Valliant completed his Ph.D. at McMaster University, and also completed a post-doctoral fellowship under the joint supervision of professors Alun G. Jones of Harvard Medical School and Alan Davison of the Massachusetts Institute of Technology. Dr. Valliant resides in Canada. We believe that Dr. Valliant is qualified to serve on our board of directors because of his considerable qualifications, attributes and skills, including his distinguished scientific background and experience in leadership roles in the biopharmaceutical industry.

Executive Officers

The following table lists the positions, names and ages of our executive officers as of March 1, 2023:

John Valliant, Ph.D.

 

53

 

Chief Executive Officer

Dmitri Bobilev, M.D.

 

56

 

Chief Medical Officer

Eric Burak, Ph.D.

 

57

 

Chief Technology Officer

John Crowley

 

49

 

Chief Financial Officer

Christopher Leamon, Ph.D.

 

56

 

Chief Scientific Officer

Mohit Rawat

 

43

 

President and Chief Business Officer

John Valliant, Ph.D. is a continuing member of our board of directors. See “Directors” above for more information about Dr. Valliant.

Dmitri Bobilev, M.D., age 56, has served as Chief Medical Officer since November 2022. Dr. Bobilev was most recently Vice President, Head of Clinical Development at Checkmate Pharmaceuticals, Inc. until Checkmates’ acquisition by Regeneron in May 2022. Prior to Checkmate, Dr. Bobilev was Vice President, Head of Clinical Development at Vedanta Biosciences from June 2018 to August 2020. He previously held clinical development leadership roles with Tesaro and Sanofi. Dr. Bobilev spent more than 10 years as a practicing medical and radiation oncologist. Dr. Bobilev received an M.D. from Omsk State Medical Academy.

Eric Burak, Ph.D., age 57, has served as our Chief Technology Officer since November 2021. Prior to that Dr. Burak served as our Chief Scientific Officer from February 2017 to October 2021. From October 2012 to February 2017, Dr. Burak served as the Chief Scientific Officer at CPDC. Prior to that, from June 2011 to October 2012, Dr. Burak served as Vice President, Development at Theracos, Inc., a pharmaceutical research and development company. Dr. Burak holds a Ph.D. in Analytical Chemistry from Temple University and a BS in Chemistry from Drexel University.

John Crowley, CPA, age 49, has served as our Chief Financial Officer since February 2019. From November 2016 to January 2019, Mr. Crowley served as Executive Vice President and Chief Financial Officer at Merus, Inc., a clinical-stage immuno-oncology company. From September 2013 to November 2016, Mr. Crowley served as the Corporate Senior Vice President, Corporate Controller and Chief Accounting Officer at Charles River Laboratories, Inc., a contract research organization. Mr. Crowley is a Certified Public Accountant and received a BS from Babson College in both Economics and Accountancy.

Christopher Leamon, Ph.D., age 56, has served as our Chief Scientific Officer since November 2021. Prior to joining Fusion, Dr. Leamon served as Executive Director, Radioligand Drug Discovery at Novartis AG, a pharmaceutical company, from December 2018 to October 2021 following the acquisition of Endocyte, Inc., a biopharmaceutical company, by Novartis. Dr. Leamon also served as Vice President, Discovery Research at Advanced Accelerator Applications, a subsidiary acquired by Novartis, from December 2018 to December 2020. At Endocyte, Dr. Leamon served as Vice President of Research from April 2000 to December 2018 and as Director of Biology and Biochemistry from February 1999 to April 2000. Prior to joining Endocyte, Dr. Leamon held various research and development roles at Ionis Pharmaceuticals, a biomedical pharmaceutical company, and GlaxoSmithKline, a healthcare company. Dr. Leamon holds a B.S. in chemistry from Baldwin Wallace University and a Ph.D. in biochemistry from Purdue University.

130


 

Mohit Rawat, age 43, has served as our President and Chief Business Officer since September 2021. Prior to joining Fusion, Mr. Rawat served in various positions at Novartis Oncology, a subsidiary of Novartis AG, a pharmaceutical company, from April 2015 to September 2021, most recently as Vice President, Global Disease Lead CML franchise. Prior to Novartis, Mr. Rawat served as Chief of Staff at Shire Pharmaceuticals, a pharmaceutical company, from June 2014 to October 2014. Prior to that, Mr. Rawat serves as Senior Director, Asset Team Lead, Senior Director Immunology and Neuroscience at Abbvie Pharmaceuticals, a pharmaceutical company, from August 2013 to May 2014. Mr. Rawat was an Engagement Manager at McKinsey & Company from July 2009 to August 2013. Mr. Rawat holds an M.B.A. from Harvard Business School, and M.S. in chemical engineering from Massachusetts Institute of Technology, a certificate in finance from the Sloane School of Management at Massachusetts Institute of Technology and M. Tech and B. Tech degrees in chemical engineering from Indian Institute of Technology.

There are no family relationships between or among any of our executive officers.

Corporate Governance

General

We believe that good corporate governance is important to ensure that our company is managed for the long-term benefit of our shareholders. We periodically review our corporate governance policies and practices and compare them to those suggested by various authorities in corporate governance and the practices of other public companies. As a result, we have adopted policies and procedures that we believe are in the best interests of our company and our shareholders.

Corporate Governance Guidelines

Our corporate governance guidelines assist our board of directors in the exercise of its duties and responsibilities and to serve the best interests of our company and our shareholders. These guidelines, which provide a framework for the conduct of our board’s business, provide that:

the principal responsibility of the directors is to oversee our management;
a majority of the members of the board shall be independent directors, unless otherwise permitted by Nasdaq rules;
the independent directors meet at least twice a year and at other times at the request of any independent director;
directors have full and free access to management and, as necessary and appropriate, independent advisors; and
at least annually, the nominating and corporate governance committee oversees a self-evaluation by the board to assess the effectiveness of the board and its committees.

Our board of directors is responsible for managing or supervising the management of our business and affairs. This includes appointing our chief executive officer, advising management on strategic issues, approving our business and other plans and monitoring our performance against those plans and against our operating and capital budgets. In addition, our board also receives and considers recommendations from our various committees with respect to matters such as the following:

the compensation of our directors;
criteria for board and committee membership;
persons to be nominated for election as directors and to each of the board’s committees; and
matters relating to our code of business conduct and ethics and corporate governance guidelines. Our board of directors does not have a written mandate.

Code of Business Conduct and Ethics

We have also adopted a written code of business conduct and ethics that applies to our directors, officers and employees, including our principal executive officer, principal financial officer, principal accounting officer or controller, or persons performing similar functions. A copy of the code is posted on the “Investors & Media— Corporate Governance” section of our website, which is located at www.fusionpharma.com. If we make any substantive amendments to, or grant any waivers from, the code of business conduct and ethics for any officer or director, we will disclose the nature of such amendment or waiver on our website or in a Current Report on Form 8-K to be filed with the SEC and will file a copy of any amendment with Canadian securities regulators on www.sedar.com. Employees are required to annually certify compliance with the code.

131


 

Removal of Directors

The Canada Business Corporation Act (the “CBCA”) provides that our directors may be removed by the affirmative vote of the holders of at least a majority of the votes cast at an annual or special meeting of our shareholders, and that certain vacancies on our board of directors, including a vacancy resulting from an enlargement of our board of directors that is permitted by the CBCA, may be filled by a quorum of our directors. In accordance with the terms of the Articles of the Corporation (as amended, the “articles”), and our general by-laws (as amended, the “by-laws”), we expect that our board of directors will be elected to hold office until the next annual shareholders meeting.

Advance Notice Provisions

Our by-laws provide that, subject to the CBCA and the articles, only persons who are nominated in accordance with our “advance notice” provisions will be eligible for election as directors at any annual meeting of our shareholders, or at any special meeting if one of the purposes for which the special meeting was called was election of directors. These provisions are intended to: (1) facilitate orderly and efficient annual general meetings or, where the need arises, special meetings; (2) ensure that all our shareholders receive adequate notice of board nominations and sufficient information with respect to all nominees; and (3) allow our shareholders to vote on an informed basis.

Under our advance notice provisions, a shareholder wishing to nominate a director would be required to provide us with notice, in a prescribed form and within prescribed time periods as specified in our by-laws. These time periods include, (1) in the case of an annual meeting of shareholders, not less than 30 days prior to the date of the annual meeting of shareholders; provided that if the first public announcement of the date of the annual meeting of shareholders, the Notice Date, is less than 50 days before the meeting date, not later than the close of business on the 10th day following the Notice Date, and (2) in the case of a special meeting (which is not also an annual meeting) of shareholders called for any purpose which includes electing directors, not later than the close of business on the 15th day following the Notice Date; provided that, in either instance, if “notice-and-access” provisions under applicable Canadian laws are used for delivery of proxy related materials in respect of a meeting described above, and the notice date in respect of the meeting is not less than 50 days prior to the date of the applicable meeting, the notice must be received not later than the close of business on the 40th day before the applicable meeting.

A shareholder wishing to nominate a director must provide notice to our corporate secretary by email (at such email address that is set in our issuer profile on the System for Electronic Document Analysis and Retrieval (“SEDAR”) at www.sedar.com) or by personal delivery at Fusion Pharmaceuticals Inc., 270 Longwood Road South, Hamilton, Ontario, Canada L8P 0A6.

Determination of Independence

Our board of directors has determined that each of our directors, with the exception of Dr. Valliant, who serves as our Chief Executive Officer, is an “independent director” within the meaning of the director independence standards established by the SEC and the Nasdaq Stock Market (“Nasdaq”) and Canadian securities laws. Our board of directors also determined that Steve Gannon, Chau Khuong and Heather Preston, M.D. who comprise our audit committee, Pablo Cagnoni, M.D., Steve Gannon and Heather Preston, M.D., who comprise our compensation committee, and Barbara Duncan, Chau Khuong and Philina Lee, who comprise our nominating and corporate governance committee, satisfy the independence standards for such committees established by the SEC, the Nasdaq, and Canadian securities laws, as applicable. In making such determinations, our board of directors evaluated, and will evaluate at least on an annual basis, all relationships that each such non-employee director has with our company in light of all facts and circumstances our board of directors deemed relevant in determining independence, including the beneficial ownership of our common shares by each non-employee director.

The non-management directors meet at regularly scheduled executive sessions without management participation, and at least twice each year an executive session with only independent directors present is held. In 2022, there were seven executive sessions at which only the independent directors were present.

Board Self-Assessment; Director Candidates; and Criteria

Our board performs an annual self-assessment. During this self-assessment, the board considers many factors, including, but not limited to, the expertise of existing board members and the expertise of directors we need in our transition from a clinical development stage company to becoming a commercial enterprise. The board’s annual self-assessment is conducted by a written survey in which each director is asked to comment on the effectiveness and contribution of the board as a whole. The assessment of this potential expertise consists of a review of the business expertise of our current directors.

132


 

Our board of directors is responsible for selecting its own members. The board of directors delegates the selection and nomination process to our nominating and corporate governance committee, with the expectation that other members of the board of directors, and of management, will be requested to take part in the process as appropriate.

Generally, our nominating and corporate governance committee identifies candidates for director nominees in consultation with management, through the use of independent director search firms, through recommendations submitted by shareholders or through such other methods as the nominating and corporate governance committee deems to be helpful to identify candidates. Once candidates have been identified, the nominating and corporate governance committee confirms that the candidates meet the minimum qualifications for director nominees established by the nominating and corporate governance committee. These criteria include the candidate’s personal and professional ethics and integrity, achievement and competence in our field and ability to exercise sound business judgment, skills that are complementary to those of our existing board of directors, ability to assist and support management and make significant contributions to our success, and an understanding of the fiduciary responsibilities that are required of a director and the and the ability to act in the interests of all shareholders.

The nominating and corporate governance committee may gather information about the candidates through meetings from time to time, questionnaires or background checks to evaluate biographical information and background material relating to potential candidates, and interviews of selected candidates by members of the committee and our board. The nominating and corporate governance committee then meets as a group to discuss and evaluate the qualities and skills of each candidate, both on an individual basis and taking into account the overall composition and needs of our board of directors. Based on the results of the evaluation process, the nominating and corporate governance committee recommends candidates for the board of directors’ approval as director nominees for election to the board of directors.

The board does not believe that limits on the number of consecutive terms a director may serve or on the directors’ ages are appropriate at this stage. Instead, each director’s performance and their continued service is assessed by the nominating and corporate governance committee in light of the needs of the board of directors and other relevant factors.

Shareholders may recommend individuals to our nominating and corporate governance committee for consideration as potential director candidates by providing timely notice and meeting the other requirements set forth in our by-laws, including our advanced notice provision, and the rules and regulations of the SEC, applicable Canadian securities laws and the CBCA. Assuming such requirements have been met, the nominating and corporate governance committee will evaluate shareholder-recommended candidates by following substantially the same process, and applying substantially the same criteria, as it follows for candidates submitted by others. If the board determines to nominate a shareholder-recommended candidate and recommends his or her election, then his or her name will be included in our proxy card for the next annual meeting.

Shareholders also have the right under our bylaws to directly nominate director candidates, without any action or recommendation on the part of the committee or our board, by following the procedures set forth under “Shareholder Proposals for the 2024 Annual Meeting.”

The company conducts an orientation program for each new director, which generally includes conversations with individual members of management. The orientation is designed to familiarize the new director with the company’s business and strategic plans, key policies and practices, principal officers and management structure, auditing and compliance processes and its code of business conduct and ethics. New directors have access to historical published information about the company, its articles and by-laws, the corporate governance guidelines and the charters of the board’s committees and other relevant information. The nominating and corporate governance committee is responsible for providing materials or briefing sessions for continuing directors on topics that will assist them in discharging their duties. In addition, management makes regular presentations to the Board on the main areas of the company’s business and new developments in the industry.

Board Diversity

Our nominating and corporate governance committee has a written board diversity policy and believes that our board, taken as a whole, should embody a diverse set of skills, experience, knowledge and backgrounds, including an appropriate number of women directors. The board has not adopted targets for the number or proportion of female directors as the company is committed to a merit-based system for board composition, which reflects a diverse and inclusive culture where directors believe that their views are heard, their concerns are attended to and they serve in an environment where bias, discrimination and harassment on any matter are not tolerated. When identifying suitable candidates for appointment to the board, the company considers candidates on merit against objective criteria and the needs of the board and considers the need to increase the number of women directors on the board to meet the company’s goal. When recruiting new candidates for appointment, search protocols will go beyond the networks of existing board members and will incorporate diversity, including identification of female

133


 

candidates, as a component. Any search firm engaged to assist the board or the nominating and corporate governance committee in identifying candidates for appointment to the board shall be directed to include women candidates and women candidates will be included in the board’s evergreen list of potential board nominees.

The company has not adopted targets for the number or proportion of directors who are members of a visible minority, Indigenous peoples or persons with a disability (the “designated groups”) or for other diversity characteristics at this time. For now, the board has chosen to focus on gender in exclusion to other diversity characteristics and the nominating and corporate governance committee does not specifically consider the level of representation of members of designated groups on the board in identifying and nominating candidates for election or re-election to the board. If all nominees proposed for election for the meeting are elected, there will be three women on the Board, representing 33% of the directors.

The below board diversity matrix reports self-identified diversity statistics for the board.

Board Diversity Matrix (As of February 17, 2023)

Total Number of Directors

9

 

Female

Male

Non-Binary

Did Not Disclose Gender

Part I: Gender Identity

Directors

3

6

 

 

Part II: Demographic Background

African American or Black

 

 

 

 

Alaskan Native or Native American

 

 

 

 

Asian

1

1

 

 

Hispanic or Latinx

 

 

 

 

Native Hawaiian or Pacific Islander

 

 

 

 

White

2

5

 

 

Two or More Races or Ethnicities

 

 

 

 

LGBTQ+

1

Persons with disabilities

 

Visible minorities

 

Indigenous peoples

 

Did Not Disclose Demographic Background

 

The company does not consider the level of representation of women or other designated groups in executive officer positions and has not adopted targets for the number or proportion of directors who are women or members of other designated groups as the company seeks to promote individuals solely based on merit. Currently two (or 25%) of the executive officers are women, none (or 0%) of the executive officers are visible minorities and none (or 0%) of the executive officers are Indigenous peoples or persons with a disability.

Communication from Shareholders

The board will give appropriate attention to written communications that are submitted by shareholders and will respond if and as appropriate. The chairman of the board of directors is primarily responsible for monitoring communications from shareholders and for providing copies or summaries to the other directors as he considers appropriate.

Communications are forwarded to all directors if they relate to important substantive matters and include suggestions or comments that the chairman of the board considers to be important for the directors to know. In general, communications relating to corporate governance and corporate strategy are more likely to be forwarded than communications relating to ordinary business affairs, personal grievances and matters as to which we receive repetitive or duplicative communications.

Board and Committee Meetings

Our board of directors held eight meetings during 2022. During 2022, each of the directors then in office attended at least 75% of the aggregate of all meetings of the board of directors and all meetings of the committees of the board of directors on which such director then served. A director’s attendance rate is considered by the nominating and corporate governance committee when making recommendations for re-appointment of the director. Continuing directors and nominees for election

134


 

as directors in a given year are required to attend the annual meeting of shareholders, barring significant commitments or special circumstances. Fusion held a 2022 annual meeting of shareholders. The board meeting attendance record for each director who served at the end of 2022 is as follows:

Board Member

 

Number of Board Meetings Held in 2022 Board Member Eligible to Attend

 

Number of Board Meetings Attended

Ms. Duncan

 

8

 

8

Dr. Bergstrom

 

8

 

8

Dr. Cagnoni

 

8

 

8

Dr. Christenson

 

8

 

7

Mr. Gannon

 

8

 

8

Mr. Khuong

 

8

 

8

Dr. Lee

 

8

 

8

Dr. Preston

 

8

 

8

Dr. Valliant

 

8

 

8

Our board has established an audit committee, a compensation committee and a nominating and corporate governance committee. Each of these committees operates under a charter that has been approved by our board of directors. A copy of each charter can be found under the “Investors & Media—Corporate Governance” section of our website, which is located at www.fusionpharma.com. The board has not adopted position descriptions for the chairperson of each committee. However, each committee chairperson understands that the responsibilities of the committee chairperson include responsibility for providing leadership to the committee, including chairing meetings in a manner that facilitates open discussions and expressions of competing views, and reporting to the board on the work of the committee and any recommendations for approval by the board. The committee chairperson also ensures that the committee receives the information required for the performance of its responsibilities. In March 2021, our board of directors also established a research and development committee to assist the board in its oversight of our research and development activities.

Audit Committee

The audit committee, which has been established in accordance with Section 3(a)(58) of the Securities Exchange Act of 1934, as amended (the “Exchange Act”), currently consists of Steve Gannon, Chau Khuong and Heather Preston M.D. Mr. Gannon is the chair of the audit committee. Our board of directors has determined that each member of the audit committee meets the independence requirements established by the SEC, the applicable listing standards of Nasdaq and applicable Canadian laws. Our board of directors has determined that Mr. Gannon qualifies as an “audit committee financial expert” within the meaning of SEC regulations. Our audit committee assists our board of directors in its oversight of our accounting and financial reporting process and the audits and quarterly reviews of our financial statements. We currently do not have an internal audit function. The audit committee held four meetings during 2022. The audit committee’s responsibilities include:

appointing, approving the compensation of, and assessing the independence of our independent registered public accounting firm;
pre-approving auditing and permissible non-audit services, and the terms of such services, to be provided by our independent registered public accounting firm;
reviewing the overall audit plan with our independent registered public accounting firm and members of management responsible for preparing our financial statements;
reviewing and discussing with management and our independent registered public accounting firm our annual and quarterly financial statements and related disclosures as well as critical accounting policies and practices used by us;
coordinating the oversight and reviewing the adequacy of our internal control over financial reporting;
establishing policies and procedures for the receipt and retention of accounting-related complaints and concerns;
recommending based upon the audit committee’s review and discussions with management and our independent registered public accounting firm whether our audited financial statements shall be included in our Annual Report on Form 10-K;

135


 

monitoring the integrity of our financial statements and our compliance with legal and regulatory requirements as they relate to our financial statements and accounting matters;
preparing the audit committee report required by SEC rules to be included in our annual proxy statement;
reviewing all related person transactions for potential conflict of interest situations and approving all such transactions; and
reviewing quarterly earnings releases.

All audit services to be provided to us and all non-audit services, other than de minimis non-audit services, to be provided to us by our independent registered public accounting firm must be approved in advance by our audit committee.

Compensation Committee

The current members of our compensation committee are Pablo Cagnoni, M.D., Steve Gannon and Heather Preston, M.D. Dr. Cagnoni is the current chair of the compensation committee. Our compensation committee assists our board of directors in the discharge of its responsibilities relating to the compensation of our executive officers. The compensation committee held five meetings and acted by written consent sixteen times during 2022. The compensation committee’s responsibilities include:

annually reviewing and recommending to the board of directors the corporate goals and objectives relevant to the compensation of our Chief Executive Officer;
evaluating the performance of our Chief Executive Officer in light of such corporate goals and objectives and based on such evaluation (i) reviewing and determining the cash compensation of our Chief Executive Officer and (ii) reviewing and approving grants and awards to our Chief Executive Officer under equity-based plans;
reviewing and approving the compensation of our other executive officers;
reviewing and establishing our overall management compensation, philosophy and policy;
overseeing and administering our compensation and similar plans;
evaluating and assessing potential and current compensation advisors in accordance with the independence standards identified in the applicable Nasdaq listing rules;
reviewing and approving our policies and procedures for the grant of equity-based awards;
reviewing and recommending to the board of directors the compensation of our directors;
preparing our compensation committee report if and when required by SEC rules;
reviewing and discussing annually with management our “Compensation Discussion and Analysis,” if and when required, to be included in our annual proxy statement; and
reviewing and approving the retention or termination of any consulting firm or outside advisor to assist in the evaluation of compensation matters.

Our Compensation Committee makes most of the significant adjustments to annual compensation, determines bonus and equity awards and establishes new performance objectives. However, our Compensation Committee also considers matters related to individual compensation, such as compensation for new executive hires, as well as high-level strategic issues, such as the efficacy of the Company’s compensation strategy, potential modifications to that strategy and new trends, plans or approaches to compensation. Generally, the Compensation Committee’s process comprises two related elements: the determination of compensation levels and the establishment of performance objectives for the current year. For executives other than the Chief Executive Officer, our Compensation Committee solicits and considers evaluations and recommendations submitted to the Compensation Committee by the Chief Executive Officer. In the case of the Chief Executive Officer, the evaluation of his performance is conducted by the Compensation Committee, which determines any adjustments to his compensation as well as awards to be granted. For all executives and directors, as part of its deliberations, the Compensation Committee may review and consider, as appropriate, materials such as financial reports and projections, operational data, tax and accounting information, tally sheets that set forth the total compensation that may become payable to executives in various hypothetical scenarios, executive and director share ownership information, company stock performance data, analyses of historical executive compensation levels and current company-wide compensation levels and analyses of executive and director compensation paid at a peer group of other companies approved by our Compensation Committee. In 2022, the Compensation

136


 

Committee retained the services of Pay Governance LLC (“Pay Governance”), as its external, independent compensation consultant and considered Pay Governance’s input on certain compensation matters as they deemed appropriate.

Nominating and Corporate Governance Committee

The current members of our nominating and corporate governance committee are Barbara Duncan, Philina Lee, Ph.D. and Chau Khuong. Ms. Duncan is the chair of the nominating and corporate governance committee. The nominating and corporate governance committee held three meetings during 2022. The nominating and corporate governance committee’s responsibilities include:

developing and recommending to the board of directors criteria for board and committee membership;
establishing procedures for identifying and evaluating board of director candidates, including nominees recommended by shareholders;
reviewing the composition of the board of directors to ensure that it is composed of members containing the appropriate skills and expertise to advise us;
identifying individuals qualified to become members of the board of directors;
recommending to the board of directors the persons to be nominated for election as directors and to each of the board’s committees;
developing and recommending to the board of directors a code of business conduct and ethics and a set of corporate governance guidelines;
overseeing the evaluation of our board of directors and management; and
developing a succession plan for the chief executive officer position for consideration by the board and reporting on the plan to the board.

Research and Development Committee

The current members of our research and development committee are Donald Bergstrom, M.D., Pablo Cagnoni, M.D., Johan Christenson, M.D., Ph.D. and Philina Lee, Ph.D. Dr. Bergstrom is the chair of the research and development committee. The research and development committee held four meetings during 2022. The research and development committee’s responsibilities include:

reviewing, evaluating and advising the board and management regarding the long-term strategic goals and objectives and the quality and direction of our research and development programs;
monitoring and evaluating trends in research and development and recommend to the board and management emerging technologies for building our technological expertise and development platforms;
recommending approaches to acquiring and maintain technology positions and advising the board and management on the scientific aspects of business development transactions;
regularly reviewing our research and development pipeline through a series of periodic pipeline reviews and in-depth assessment of select project strategies and plans; and
assisting the board with its oversight responsibility for enterprise risk management in areas affecting our research and development efforts.

Our board of directors may from time to time establish other committees.

Limitations on Liability and Indemnification Agreements

We are governed by the CBCA. Under the CBCA, and under our by-laws, we may (or must, in the case of our by-laws) indemnify our current or former directors and officers or any other individuals who act or have acted at our request as a director or officer of a related entity, against all costs, charges and expenses, including an amount paid to settle an action or satisfy a judgment, reasonably incurred by such individual in respect of any civil, criminal, administrative, investigative or other proceeding in which such individual is involved because of his or her association with us or a related entity. The CBCA also provides that we may also make an advance payment to such individual for costs, charges and expenses reasonably incurred in connection with such a proceeding, provided, however, that such individual shall repay such payment if he or she does not

137


 

fulfill the conditions described below. The CBCA also provides that we may, with the approval of the court, indemnify the individual or make an advance payment in respect of certain derivative actions by or on behalf of us or the other entity to procure a judgement in our or its favor.

Indemnification is prohibited under the CBCA unless the individual:

acted honestly and in good faith with a view to our best interests, or in the best interests of the other entity for which the individual acted as director or officer or in a similar capacity at our request; and
in the case of a criminal or administrative action or proceeding that is enforced by a monetary penalty, the individual had reasonable grounds for believing that his or her conduct was lawful.

The CBCA also provides that the individual is entitled to indemnification from us in respect of all costs, charges and expenses reasonably incurred by the individual in connection with the defense of any civil, criminal, administrative, investigative or other proceeding to which the individual is subject because of his or her association with us or a related entity if the individual (i) was not judged by the court or other competent authority to have committed any fault or omitted to do anything that the individual ought to have done, and (ii) fulfils the conditions described above.

The CBCA and our by-laws authorize us to purchase and maintain insurance for the benefit of each of our current or former directors or officers and other agents and each person who acts or acted at our request as a director, officer or other agent or an individual acting in a similar capacity, of another entity.

In addition, we have entered into separate indemnity agreements with each of our directors and officers pursuant to which we agree to indemnify and hold harmless our directors and officers against any and all liability, loss, damage, cost or expense in accordance with the terms and conditions of the CBCA and our by-laws.

We maintain a directors’ and officers’ insurance policy pursuant to which our directors and officers are insured against liability for actions taken in their capacities as directors and officers. We believe that these provisions in our by-laws and these indemnity agreements are necessary to attract and retain qualified persons as directors and officers. There is no pending litigation or proceeding naming any of our directors or officers as to which indemnification is being sought, nor are we aware of any pending or threatened litigation that may result in claims for indemnification by any director or officer.

Insofar as indemnification for liabilities arising under the Securities Act of 1933, as amended (the “Securities Act”), may be permitted to our directors, officers and controlling persons pursuant to the foregoing provisions, or otherwise, we have been advised that, in the opinion of the SEC, such indemnification is against public policy as expressed in the Securities Act, and is, therefore, unenforceable.

Compensation Committee Interlocks and Insider Participation

None of our executive officers serves, or in the past has served, as a member of the board of directors or compensation committee, or other committee serving an equivalent function, of any entity that has one or more executive officers who serve as members of our board of directors or our compensation committee. None of the members of our compensation committee is an officer or employee of our company, nor have they ever been an officer or employee of our company.

Board Leadership Structure

Our board of directors is currently chaired by Barbara Duncan, an independent director. Currently, the role of chairman of the board of directors is separated from the role of chief executive officer. Separating these positions allows our chief executive officer to focus on our day-to-day business, while allowing the chairperson of the board to lead the board of directors in its fundamental role of providing advice to and independent oversight of management. The board has not adopted a position description for the chairperson. However, there is a shared understanding on the board of the chairperson’s responsibilities. The chairperson’s primary role is to provide leadership to the board and its committees, including chairing meetings in a manner that facilitates open discussions and expressions of competing views. The chairperson is also responsible for, among other things, assisting the board in obtaining information required for the performance of their duties, retaining appropriately qualified and independent advisors as needed, working with the board to support board development and to ensure a proper committee structure is in place, providing a link between the board and management and acting in an advisory capacity to the chief executive officer in all matters concerning the interests and management of the company. Our board of directors recognizes the time, effort and energy that the chief executive officer must devote to his position in the current business environment, as well as the commitment required to serve as the chairperson of the board, particularly as the board of directors’

138


 

oversight responsibilities continue to grow. Our board of directors also believes that this structure ensures a greater role for the non-management directors in the oversight of our company and active participation of the independent directors in setting agendas and establishing priorities and procedures for the work of our board of directors. Our board of directors believes its administration of its risk oversight function has not affected its leadership structure. Although our by-laws do not require our chairperson of the board and chief executive officer positions to be separate, our board of directors believes that having separate positions is the appropriate leadership structure for us at this time. The board has not adopted a separate position description for our chief executive officer. The role and responsibilities of the chief executive officer is delineated by frequent discussion and interaction between the board chairperson and the chief executive officer.

Oversight of Risk

Risk is inherent with every business, and how well a business manages risk can ultimately determine its success. We face a number of risks, including risks relating to our financial condition, development and commercialization activities, operations, strategic direction and intellectual property as more fully discussed under “Risk Factors” in our Annual Report on Form 10-K. Management is responsible for the day-to-day management of risks we face, while our board of directors, as a whole and through its committees, has responsibility for the oversight of risk management. In its risk oversight role, our board of directors has the responsibility to satisfy itself that the risk management processes designed and implemented by management are adequate and functioning as designed.

Our board of directors regularly discusses with management our major risk exposures, the potential impact of these risks on our business and the steps we take to manage them. The risk oversight process includes receiving regular reports from board committees and members of senior management to enable our board to understand the company’s risk identification, risk management and risk mitigation strategies with respect to areas of potential material risk, including operations, finance, legal, regulatory, strategic and reputational risk.

The audit committee reviews information regarding liquidity and operations, and oversees our management of financial risks. Periodically, the audit committee reviews our policies with respect to risk assessment, risk management, loss prevention and regulatory compliance. Oversight by the audit committee includes direct communication with our external auditors, and discussions with management regarding significant risk exposures and the actions management has taken to limit, monitor or control such exposures. The compensation committee is responsible for assessing whether any of our compensation policies or programs has the potential to encourage excessive risk-taking. The nominating and corporate governance committee manages risks associated with the independence of the board, corporate disclosure practices, and potential conflicts of interest. While each committee is responsible for evaluating certain risks and overseeing the management of such risks, the entire board is regularly informed through committee reports about such risks. Matters of significant strategic risk are considered by our board as a whole.

Section 16(a) Beneficial Ownership Reporting Compliance

Section 16(a) of the Exchange Act requires our directors and officers and holders of more than 10% of our common shares to file with the SEC, initial reports of ownership of our common shares and other equity securities on a Form 3 and reports of changes in such ownership on a Form 4 or Form 5. Directors and officers and holders of 10% of our common shares are required by SEC regulations to furnish us with copies of all Section 16(a) forms they file. The SEC has designated specific deadlines for these reports, and we must identify in this Proxy Statement those persons who did not file these reports when due. To our knowledge, based solely on a review of copies of such forms furnished to us, and written representations made by our directors and officers regarding their filing obligations, we believe all Section 16(a) filing requirements were satisfied on a timely basis with respect to the year ended December 31, 2022, except that forms for all of our independent director annual grants were not timely filed.

Ownership of Our Common Shares

The information in this section is set forth below in “Item 12. Security Ownership of Certain Beneficial Owners and Management and Related Shareholder Matters”

139


 

Item 11. Executive Compensation.

Executive Compensation

Overview

The following discussion contains forward-looking statements that are based on our current plans, considerations, expectations and determinations regarding future compensation programs. The actual amount and form of compensation and the compensation policies and practices that we adopt in the future may differ materially from currently planned programs as summarized in this discussion.

As an “emerging growth company,” we have opted to comply with the executive compensation disclosure rules applicable to “smaller reporting companies,” as such term is defined in the rules promulgated under the Securities Act. This section provides an overview of the compensation awarded to, earned by, or paid to each individual who served as our principal executive officer for the year ended December 31, 2022, or fiscal year 2022, and our next two most highly compensated executive officers in respect of their service to our company for fiscal year 2022. We refer to these individuals as our named executive officers. Our named executive officers for fiscal year 2022 are:

John Valliant, Ph.D., our Chief Executive Officer;
Eric Burak, Ph.D., our Chief Technology Officer; and
John Crowley, CPA, our Chief Financial Officer.

Compensation for our executive officers is composed primarily of the following main components: base salary; bonus; and equity incentives in the form of stock options. Our executive officers, like all full-time employees, are eligible to participate in our health and welfare benefit plans.

Our compensation committee reviews compensation annually for our executive officers. In setting executive base salaries and bonuses and granting equity incentive awards, we consider compensation for comparable positions in the market, the historical compensation levels of our executives, individual performance as compared to our expectations and objectives, our desire to motivate our employees to achieve short- and long-term results that are in the best interests of our shareholders, and a long-term commitment to our company. We target a general competitive position, based on independent third-party benchmark analytics to inform the mix of compensation of base salary, annual incentives or long-term incentives.

Our compensation committee is responsible for approving the compensation for all of our executive officers. Our compensation committee typically reviews and discusses management’s proposed compensation with the Chief Executive Officer for all executives officers other than the Chief Executive Officer. Based on those discussions and its discretion, taking into account the factors noted above, the compensation committee approves the compensation for the executive officers.

Our compensation committee is authorized to retain the services of one or more executive compensation advisors, as it sees fit, in connection with the establishment of our executive compensation programs and related policies. In 2022, the compensation committee retained the services of Pay Governance as its external independent compensation consultant. During 2022, Pay Governance did not provide services to us other than the services to our compensation committee described herein. Our compensation committee performs an annual assessment of its compensation consultants’ independence to determine whether the consultants are independent. Based on its evaluation, the compensation committee has determined that Pay Governance is independent and that its work has not raised any conflicts of interest.

2022 Summary Compensation Table

The following table presents information regarding the total compensation that was awarded to, earned by or paid to our named executive officers for services rendered during fiscal year 2022.

140


 

Name and Principal Position

 

Year

 

Salary ($)

 

 

Bonus ($)

 

 

Option Awards ($) (1)

 

 

Non-Equity
Incentive Plan
Compensation
($)
(2)

 

 

All Other
Compensation
($)
(3)

 

 

Total ($)

 

John Valliant, Ph.D., (4)

 

2022

 

$

595,284

 

 

$

 

 

$

1,881,826

 

 

$

238,119

 

 

$

31,314

 

 

$

2,746,543

 

Chief Executive Officer

 

2021

 

 

597,010

 

 

 

 

 

 

2,384,726

 

 

 

259,699

 

 

 

31,332

 

 

 

3,272,767

 

Eric Burak, Ph.D., (5)

 

2022

 

 

459,403

 

 

 

 

 

 

778,463

 

 

 

161,710

 

 

 

16,927

 

 

 

1,416,503

 

Chief Technology Officer

 

2021

 

 

458,549

 

 

 

 

 

 

2,308,284

 

 

 

166,164

 

 

 

23,599

 

 

 

2,956,596

 

John Crowley,

 

2022

 

 

458,274

 

 

 

 

 

 

772,909

 

 

 

163,146

 

 

 

48,684

 

 

 

1,443,013

 

Chief Financial Officer

 

2021

 

 

440,713

 

 

 

 

 

 

979,441

 

 

 

159,691

 

 

 

46,266

 

 

 

1,626,111

 

(1) The amounts reported for 2021 and 2022 represent the aggregate grant date fair value of the stock options awarded to the named executive officer, calculated in accordance with Financial Accounting Standards Board Accounting Standards Codification Topic 718, Compensation-Stock Compensation (“FASB ASC Topic 718”). Such grant date fair values do not take into account any estimated forfeitures related to service-based vesting conditions. The assumptions used in calculating the grant date fair value of the stock options reported in this column are set forth in Note 11, “Share-based Compensation,” to our audited financial statements included in our 2022 Annual Report. The amounts reported in this column reflect the accounting cost for these stock options and do not correspond to the actual economic value that may be received by the named executive officers upon exercise of the stock options or sale of the underlying common shares.

(2) Amounts reflect annual performance bonuses paid to our named executive officers under our annual performance-based incentive plan in the year indicated. Such amounts paid to Dr. Valliant and Dr. Burak were paid in CAD and have been converted from CAD to USD using a conversion rate of CAD$1.301 to USD$1.00 for 2022 and CAD$1.254 to USD$1.00 for 2021.

(3) For Dr. Valliant, these amounts reflect $30,844 and $31,186 in pension benefits paid to McMaster University in 2022 and 2021, respectively, as described further below under “Narrative to Summary Compensation TableEmployment Agreements with our Named Executive OfficersJohn Valliant, Ph.D.”. Such amount was paid in CAD and has been converted from CAD to USD using a conversion rate of CAD$1.301 to USD$1.00 for 2022 and CAD$1.254 to USD$1.00 for 2021. Dr. Valiant also received a parking benefit of $470 and $146 in 2022 and 2021, respectively. For Dr. Burak these payments for 2022 and 2021 consisted of $15,827 and $22,866, respectively, in Canadian registered retirement savings plan contributions and $470 and $146, respectively, in parking reimbursement. The 2022 and 2021 payments for Dr. Burak also included $630 and $587, respectively, in group insurance benefits. Such amounts paid to Dr. Burak have been converted from CAD to USD using a conversion rate of CAD$1.301 to USD$1.00 for 2022 and CAD$1.254 to USD$1.00 for 2021. For Mr. Crowley these payments for 2022 consisted of $34,009 in company paid health insurance benefits, $10,675 in company match to his 401k, and $4,000 company paid contributions to his health savings account. For Mr. Crowley these payments for 2021 consisted of $32,116 in company paid health insurance benefits, $10,150 in company match to his 401k, and $4,000 company paid contributions to his health savings account.

(4) A portion of Dr. Valliant’s salary is paid by McMaster University, in accordance with a Memorandum of Understanding with McMaster University, described below under “Narrative to Summary Compensation TableEmployment Agreements with our Named Executive OfficersJohn Valliant, Ph.D.”. The amounts reported for Dr. Valliant as “Salary” include the portion for which we reimburse McMaster University. In addition, a portion of Dr. Valliant’s salary was paid in CAD. Such amounts have been converted from CAD to USD using a conversion rate of CAD$1.254 to USD$1.00 for 2021 and CAD$1.301 to USD$1.00 for 2022.

(5) Amounts paid to Dr. Burak in salary were paid in CAD. Such amounts have been converted from CAD to USD using a conversion rate of CAD$1.254 to USD$1.00 for 2021 and CAD$1.301 to USD$1.00 for 2022. Dr. Burak also received a performance-based option in 2021 that was in addition to his annual option grant.

Narrative to Summary Compensation Table

The primary elements of compensation for our named executive officers are base salary, bonus, and equity incentives in the form of stock options. These elements (and the amounts of compensation and benefits under each element) were selected because we believe they are necessary to help us attract and retain executive talent in a very competitive market, which is fundamental to our success. Below is a more detailed summary of the current executive compensation program as it relates to our named executive officers.

Annual Base Salary

We use base salaries to recognize the experience, skills, knowledge and responsibilities required of all our employees, including our named executive officers. Our compensation committee and board of directors, in the case of Dr. Valliant, annually reviews base salaries for trends in the market of the salaries paid to public company employees as well as for exogenous factors such as inflation. For the year ended December 31, 2022, the annual base salaries for each of Dr. Valliant,

141


 

Dr. Burak and Mr. Crowley were reviewed and adjusted upward for merit increases. For the year ending December 31, 2023, the annual base salaries for each of Dr. Valliant, Dr. Burak and Mr. Crowley are $805,543 CAD ($619,172 USD), $624,643 CAD ($480,125 USD) and $478,896, respectively. Drs. Valliant and Burak’s salary increases in local Canadian currency were 4.0% and 4.5% respectively. Due to fluctuations in the twelve-month trailing United States and Canadian dollar exchange rate, in some years Drs. Valliant and Burak’s salaries may appear to decrease rather than increase when compared to the prior year when viewed only in US dollars.

Cash Bonus

We also believe that a significant portion of our executives’ cash compensation should be based on the attainment of business goals established by our board of directors or compensation committee. Each of our named executive officers participated in our Senior Executive Cash Incentive Bonus Plan (the “Bonus Plan”). The Bonus Plan provides for formula-based incentive payments based upon the achievement of certain corporate and individual performance goals and objectives approved by our board of directors and compensation committee, respectively. We typically establish bonus targets for our named executive officers and conduct an annual performance review process to serve as the basis for determining eligibility for any such bonuses. Among the key parameters that typically are the basis for such bonus determinations are our achievement of overall corporate goals and the achievement of specified goals and objectives by each individual employee. For the year ended December 31, 2022, Dr. Valliant was eligible to receive an annual target cash bonus equal to 50% of his base salary, based on company performance. Dr. Burak and Mr. Crowley were eligible to receive an annual target cash bonus equal to 40% of their respective salaries, based on company and individual performance.

All final bonus payments to our named executive officers (other than for Dr. Valliant) are approved by our compensation committee. Any final bonus payment to Dr. Valliant is recommended by our compensation committee and approved by our board of directors. The actual bonuses, if any, awarded in a given year may vary from target, depending on individual performance and the achievement of corporate objectives and may also vary based on other factors at the discretion of our compensation committee (or board of directors, in the case of Dr. Valliant’s bonus).

For 2022, the corporate performance objectives generally fell into the following five categories: (1) advancing our FPI-1434 clinical program; (2) advancing our pipeline by progressing our FPI-1966 clinical program and our FPI-2059 program; (3) delivering on our partnerships, particularly our existing collaboration with AstraZeneca plc; (4) strengthening and leveraging our platform; and (5) strengthening our culture. In evaluating management’s performance relative to corporate performance for 2021, our compensation committee determined to award a corporate achievement level of 85% to executives (other than Dr. Valliant). This corporate achievement level along with each individual’s performance (other than Dr. Valliant) was then used to determine each named executive officer’s bonus. Our board of directors determined to award a corporate achievement level of 80% to Dr. Valliant. For 2022, we awarded bonuses to Dr. Valliant, Dr. Burak and, Mr. Crowley in the amounts of $309,824 CAD ($238,119 USD), $210,406 CAD ($161,710 USD) and $163,146, respectively.

Equity Compensation

Although we do not have a formal policy with respect to the grant of equity incentive awards to our named executive officers, we believe that equity grants provide our executives with a strong link to our long-term performance, create an ownership culture and help to align the interests of our executives and our shareholders. In addition, we believe that equity grants with a time-based vesting feature promote executive retention because this feature incentivizes our executive officers to remain in our employment during the vesting period. During the year ended December 31, 2022, we granted options to purchase common shares to each of our named executive officers, as described in more detail in the “Outstanding Equity Awards at 2022 Fiscal Year-End” table. In January 2023, as part of our annual compensation review, Dr. Valliant, Dr. Burak and Mr. Crowley were granted time-based stock options for 500,000 shares, 250,000 and 250,000 shares, respectively. These options vest in 48 equal monthly installments.

Employment Agreements with Our Named Executive Officers

We have entered into executive compensation arrangements, offer letters and an employment agreement, with each of our named executive officers. Except as noted below, these employment arrangements provide for “at will” employment.

John Valliant, Ph.D.In June 2020 we entered into a new employment agreement with Dr. Valliant, replacing his existing employment agreement upon the completion of our initial public offering. The new employment agreement provides for Dr. Valliant’s continued employment and sets forth his 2020 annual base salary at $542,400, the terms of his discretionary annual bonus, certain expense reimbursements, his eligibility for accrued paid vacation, his obligation to cooperate with us in

142


 

litigation and regulatory matters both during and after his employment, and his non-disparagement obligations both during and after his employment.

Pursuant to a Memorandum of Understanding (the “MOU”) between us, Dr. Valliant, and McMaster University (the “University”), dated July 1, 2018, Dr. Valliant will continue his employment with the University while also continuing in his appointment as our Chief Executive Officer. Pursuant to the terms of the MOU, Dr. Valliant remains on the University’s payroll and remains eligible for University benefits. In addition, we reimburse the University for 75% of the University’s payment of Dr. Valliant’s salary and benefits annually (including as Dr. Valliant’s base salary is increased) and correspondingly deduct such payments of base salary from us to Dr. Valliant. In the event Dr. Valliant’s services to us are terminated, we and Dr. Valliant will provide the University with not less than six weeks of advance written notice and we are responsible for reimbursing the University for 75% of the University’s payment of Dr. Valliant’s salary and benefits during such six-week notice period, including any associated costs, fees and expenses.

In addition, Dr. Valliant has entered into and is subject to our confidential information, assignment of inventions, and non-solicitation and non-competition agreements.

Eric Burak, Ph.D.—In June 2020 we entered into a new employment agreement with Dr. Burak, which replaced his existing employment agreement upon the completion of our initial public offering. The new employment agreement provides for Dr. Burak’s continued employment and sets forth his 2020 annual base salary at $413,500, the terms of his discretionary annual bonus, certain expense reimbursements, his eligibility for accrued paid vacation, his obligation to cooperate with us in litigation and regulatory matters both during and after his employment, and his non-disparagement obligations both during and after his employment.

In addition, Dr. Burak has entered into an agreement with us which contains protections of confidential information, requires assignment of inventions, restricts Dr. Burak from certain solicitation and competition activities during his employment and for a period thereafter.

John Crowley—In June 2020 we entered into a new employment agreement with Mr. Crowley, which replaced his existing employment agreement upon the completion of our initial public offering. The new employment agreement provides for Mr. Crowley’s continued employment and sets forth his 2020 annual base salary of $423,700, the terms of his discretionary annual bonus, certain expense reimbursements, his eligibility to participate in our benefit plans generally, his eligibility for accrued paid vacation, his obligation to cooperate with us in litigation and regulatory matters both during and after his employment, and his non-disparagement obligations both during and after his employment.

Benefits Provided Upon Termination Without Cause

Under the terms of the employment agreements we have entered into with each of Drs. Valliant and Burak and Mr. Crowley, if such executive’s employment is terminated by us without cause or by the executive for good reason (as defined in each executive’s employment agreement), subject to the executive’s signing a separation agreement that will include, among other things, a general release of potential claims against us, (1) he will be entitled to continue to receive his monthly base salary for a period of 12 months; (2) he will be entitled to any incentive compensation pursuant the employment agreement awarded in the year preceding the year of termination but not yet paid and a pro-rated annual bonus up to the date of termination (or, in the case of Dr. Valliant, his target annual bonus for the then-current year); (3) we will continue to make payments of group insurance benefits for Drs. Valliant and Burak for 12 months; and (4) for Mr. Crowley, subject to the respective copayment of employee premiums and respective proper election to receive benefits under the Consolidated Omnibus Budget Reconciliation Act of 1985, as amended (“COBRA”), the monthly employer contribution that we would have made to provide Mr. Crowley health insurance if either had remained employed by us until the earliest of (i) the 12 month anniversary of his date of termination, (ii) his eligibility for group medical plan benefits under any other employer group medical plan, or (iii) the cessation of his rights under COBRA.

Benefits Provided Upon a Change in Control

We have designed our change-in-control policies to provide income continuity after a change-in-control of the company that results in the executive being separated from the company. Our policy in the case of change-in-control benefits has been to structure these as “double trigger” benefits. In other words, the change-in-control does not itself trigger benefits; rather, benefits are paid only if the employment of the executive is terminated or the executive terminates his employment for good reason during a specified period after the change-in-control. We believe a “double trigger” benefit maximizes shareholder value because it prevents an unintended windfall to executives in the event of a friendly change-in-control, while still providing them

143


 

appropriate incentives to cooperate in negotiating any change-in-control in which they believe they may lose their jobs. Under the terms of their respective employment arrangements, if, within one year following a change in control, each of our named executive officer’s employment is terminated by us or the succeeding company, as applicable, without cause or he terminates his employment for good reason (as defined in the applicable employment agreement), subject to the executive’s signing a separation agreement that will include a general release of potential claims against us:

in the case of Dr. Valliant, (1) he will be entitled to continue to receive his monthly base salary for a period of 18 months, (2) he will be entitled to receive any incentive compensation awarded in the year preceding the year of termination but not yet paid and a lump-sum payment equal to 150% of his target bonus at the time he ceases to be employed by the company or the succeeding company, as applicable, and (3) the company or the succeeding company, as applicable, will continue to make payments of group insurance benefits for eighteen months;
in the case of Dr. Burak, (1) he will be entitled to continue to receive his monthly base salary for a period of 12 months, (2) he will be entitled to receive any incentive compensation awarded in the year preceding the year of termination but not yet paid and a lump-sum payment equal to 100% his target bonus at the time he ceases to be employed by the company or the succeeding company, as applicable, and (3) the company or the succeeding company, as applicable, will continue to make payments of group insurance benefits for 12 months;
in the case of Mr. Crowley, (1) he will be entitled to continue to receive his monthly base salary for a period of 12 months, (2) he will be entitled to receive any incentive compensation awarded in the year preceding the year of termination but not yet paid and a lump-sum payment equal to 100% of his target bonus at the time he ceases to be employed by the company or the succeeding company, as applicable, and (3) subject to the respective copayment of employee premiums and respective proper election to receive benefits under COBRA, the monthly employer contribution that we would have made to provide Mr. Crowley health insurance if either had remained employed by us until the earliest of (i) the 12 month anniversary of his date of termination, (ii) his eligibility for group medical plan benefits under any other employer group medical plan, or (iii) the cessation of his rights under; and
in the case of all executive officers, the vesting and exercisability of all time-based stock option awards on the later of the date of termination or the effective date of the separation and release of claims agreement.

In addition, Mr. Crowley has entered into an agreement with us which contains protections of confidential information, requires assignment of inventions, restricts him from certain solicitation activities during his employment and for a period thereafter, and restricts him from certain competitive activities during his employment and for a period thereafter. Pursuant to the agreement, Mr. Crowley is eligible to receive 50% of his respective highest annualized base salary paid by us within the two-year period preceding the last day of his employment during the post-employment non-competition period (but for not more than 12 months following the end of his employment) if we enforce the respective non-competition covenant, or garden leave pay. If Mr. Crowley is eligible to receive either any other severance or change in control payments as described above, such payment(s) shall be reduced by the amount of the garden leave pay.

Other Benefits and Perquisites

We offer participation in broad-based retirement, health and welfare plans to all of our colleagues, including our named executive officers. All of our full-time colleagues, including our named executive officers, are eligible to participate in a standard suite of health and welfare benefit plans, including those set forth below.

401(k) Plan

We maintain a tax-qualified retirement plan that provides eligible U.S. employees with an opportunity to save for retirement on a tax-advantaged basis. Plan participants are able to defer eligible compensation subject to applicable annual Internal Revenue Code limits. We provide a matching contribution of 100 percent of employee contributions up to 3.5% percent of compensation, which vests after two years of service. The 401(k) plan is intended to be qualified under Section 401(a) of the Internal Revenue Code with the 401(k) plan’s related trust intended to be tax exempt under Section 501(a) of the Internal Revenue Code. As a tax-qualified retirement plan, contributions to the 401(k) plan and earnings on those contributions are not taxable to the employees until distributed from the 401(k) plan.

RRSP

We maintain a Canadian registered retirement savings plan (the “RRSP”) that provides eligible Canadian employees with an opportunity to save for retirement on a tax-advantaged basis. We provide a matching contribution of 100 percent of employee contributions up to 3 percent of compensation.

144


 

Other

We also provide all employees, including executive officers, with a flexible spending account plan, health savings account, the right to purchase common shares under an employee share purchase plan and paid time off benefits, including vacation, sick time and holidays. We do not offer or provide any additional perquisites (other than those noted here) to the chief executive officer or any other executive officer of the company.

Compensation Risk Assessment

We believe that although a portion of the compensation provided to our executive officers and other employees is performance-based, our executive compensation program does not encourage excessive or unnecessary risk-taking. This is primarily due to the fact that our compensation programs are designed to encourage our executive officers and other employees to remain focused on both short-term and long-term strategic goals, in particular in connection with our pay-for-performance compensation philosophy. As a result, we do not believe that our compensation programs are reasonably likely to have a material adverse effect on the company.

Outstanding Equity Awards at 2022 Fiscal Year-End

The following table summarizes the number of common shares that were underlying outstanding equity incentive plan awards for each named executive officer as of December 31, 2022.

 

 

Option Awards

Name

 

Number of
Securities
Underlying
Unexercised
Options (#)
Exercisable

 

 

Number of
Securities
Underlying
Unexercised
Options (#)
Unexercisable

 

 

Number of Securities Underlying Unexercised Unearned Options (#)

 

 

Option
Exercise
Price

 

 

Option
Expiration
Date

John Valliant, Ph.D.

 

533,095(1)

 

 

 

 

 

 

 

 

$

1.02

 

 

2/22/2027

 

 

270,300(1)

 

 

 

 

 

 

 

 

$

1.02

 

 

2/22/2027

 

 

556,161(2)

 

 

 

50,560

 

 

 

 

 

$

2.35

 

 

4/1/2029

 

 

126,530(3)

 

 

 

46,998

 

 

 

 

 

$

2.99

 

 

1/10/2030

 

 

129,088(4)

 

 

 

77,453

 

 

 

 

 

$

17.00

 

 

6/18/2030

 

 

233,092(5)

 

 

 

139,856

 

 

 

 

 

$

17.00

 

 

6/25/2030

 

 

154,000(6)

 

 

 

182,000

 

 

 

 

 

$

11.90

 

 

2/4/2031

 

 

84,708(7)

 

 

 

321,892

 

 

 

 

 

$

7.70

 

 

2/1/2032

Eric Burak, Ph.D.

 

159,928(1)

 

 

 

 

 

 

 

 

$

1.02

 

 

2/22/2027

 

 

81,090(1)

 

 

 

 

 

 

 

 

$

1.02

 

 

2/22/2027

 

 

66,311(2)

 

 

 

6,029

 

 

 

 

 

$

2.35

 

 

4/1/2029

 

 

28,117(3)

 

 

 

10,444

 

 

 

 

 

$

2.99

 

 

1/10/2030

 

 

27,971(4)

 

 

 

16,783

 

 

 

 

 

$

17.00

 

 

6/18/2030

 

 

43,681(5)

 

 

 

26,209

 

 

 

 

 

$

17.00

 

 

6/25/2030

 

 

63,708(6)

 

 

 

75,292

 

 

 

 

 

$

11.90

 

 

2/4/2031

 

 

25,055(8)

 

 

 

15,945

 

 

 

 

 

$

11.90

 

 

2/4/2031

 

 

 

 

 

 

 

 

91,066(9)

 

 

$

11.90

 

 

2/4/2031

 

 

35,041(7)

 

 

 

133,159

 

 

 

 

 

$

7.70

 

 

2/1/2032

John Crowley

 

300,303(10)

 

 

 

13,056

 

 

 

 

 

$

2.19

 

 

2/28/2029

 

 

28,118(3)

 

 

 

10,443

 

 

 

 

 

$

2.99

 

 

1/10/2030

 

 

16,857(4)

 

 

 

10,115

 

 

 

 

 

$

17.00

 

 

6/18/2030

 

 

38,032(5)

 

 

 

22,820

 

 

 

 

 

$

17.00

 

 

6/25/2030

 

 

63,250(6)

 

 

 

74,750

 

 

 

 

 

$

11.90

 

 

2/4/2031

 

 

34,791(7)

 

 

 

132,209

 

 

 

 

 

$

7.70

 

 

2/1/2032

(1) This option is fully vested.

(2) This option vests as to 25% of the shares on April 1, 2020 and further vests in 36 equal monthly installments thereafter until April 1, 2023.

(3) This option vests as to 25% of the shares on January 10, 2021 and further vests in 36 equal monthly installments thereafter until January 10, 2024.

145


 

(4) This option vests as to 25% of the shares on June 18, 2021 and further vests in 36 equal monthly installments thereafter until June 18, 2024.

(5) This option vests as to 25% of the shares on June 25, 2021 and further vests in 36 equal monthly installments thereafter until June 25, 2024.

(6) This option vests as to 25% of the shares on February 4, 2022 and further vests in 36 equal monthly installments thereafter until February 4, 2025.

(7) This option vests in 48 equal monthly installments beginning on March 1, 2022.

(8) This option vests in 36 equal monthly installments beginning on March 4, 2021.

(9) This is a performance-based stock option that vests no earlier than December 2022 and no later than December 2026 but only if certain manufacturing and development milestones are achieved. One-third of this option was cancelled in December 2022 due to failure to meet the applicable performance milestone and was no longer outstanding as of December 31, 2022.

(10) This option vests as to 25% of the shares on February 28, 2020 and further vests in 36 equal monthly installments thereafter until February 28, 2023.

Other Compensation Agreements and Policies

Other Agreements

We have also entered into non-competition, non-solicitation and non-disclosure agreements with each of our named executive officers. Under the non-competition, non-solicitation and non-disclosure agreements, each named executive officer has agreed (i) not to compete with us during his employment and for a period of one year after the termination of his employment, (ii) not to solicit our employees during his employment and for a period of one year after the termination of his employment, (iii) to protect our confidential and proprietary information, and (iv) to assign to us related intellectual property developed during the course of his employment.

Insider Trading Policy Prohibitions and Hedging Policy

Our company maintains an Insider Trading Policy that prohibits our officers, directors, employees and designated consultants and contractors who in the course of the performance of their duties have access to material, nonpublic information regarding the Company from engaging in the following transactions:

selling any of our securities that they do not own at the time of the sale (a “short sale”);
buying or selling puts, calls, other derivatives of the Company or any derivative securities that provide the economic equivalent of ownership of any of our securities or an opportunity, direct or indirect, to profit from any change in the value of the Company’s securities or engage in any other hedging transaction with respect to the Company’s securities, at any time;
using our securities as collateral in a margin account; and
pledging our securities as collateral for a loan (or modifying an existing pledge).

Director Compensation

Under our director compensation program, we pay our non-employee directors both cash and equity retainers. During fiscal year 2022, John Valliant, Ph.D., our Chief Executive Officer, served as a member of our board of directors, as well as an employee, and received no additional compensation for his services as a director. See the section entitled “Executive Compensation” for more information about Dr. Valliant’s compensation for fiscal year 2022.

Each non-employee director receives a cash retainer for service on the board of directors and for service on each committee of which the director is a member. The chairperson of the board and of each committee receives a higher retainer for such service. These fees are payable quarterly in arrears. The fees paid in 2022 to non-employee directors for service on the board of directors and for service on each committee of the board of directors on which the director is a member were as follows:

146


 

 

 

Member Annual Fee

 

 

Chairperson Annual Fee

 

Board of Directors

 

$

40,000

 

 

$

65,000

 

Audit Committee

 

 

7,500

 

 

 

15,000

 

Compensation Committee

 

 

5,000

 

 

 

10,000

 

Nominating and Corporate Governance Committee

 

 

4,000

 

 

 

8,000

 

Research and Development Committee

 

 

5,000

 

 

 

10,000

 

For 2022, the annual board of directors fee was increased from $35,000 (which was in effect in 2021) to $40,000. No other changes were made to the fees paid for service on our board of directors in 2022 or any committee thereof.

Under our director compensation program, upon their initial election to the board of directors, each non-employee director receives an option to purchase 34,000 common shares, which initial option vests ratably in 36 equal monthly installments, subject to continued service as a director through the applicable vesting dates, and becomes exercisable in full upon a change in control of our company. Further, on the date of the first board meeting held after each annual meeting of shareholders, each non-employee director receives an option to purchase 17,000 common shares. Each of these options vests on the earlier of: (i) the first anniversary of the grant date or the next annual meeting of shareholders, or (ii) upon a change in control of our company, both subject to the non-employee director’s continued service as a director. The exercise price of these options equals the fair market value of our common shares on the date of grant.

This program is intended to provide a total compensation package that enables us to attract and retain qualified and experienced individuals to serve as directors and to align our directors’ interests with those of our shareholders.

We reimburse our non-employee directors for reasonable travel and out-of-pocket expenses incurred in connection with attending board of director and committee meetings. The following table sets forth information regarding compensation earned by our non-employee directors during the year ended December 31, 2022.

Director Compensation for 2022

Name

 

Fees Earned or Paid
in Cash ($)

 

 

Option Awards
($)
(1)(2)

 

 

Total ($)

 

Donald Bergstrom, M.D. (3)

 

$

50,000

 

 

$

37,949

 

 

$

87,949

 

Pablo Cagnoni, M.D. (4)

 

 

55,000

 

 

 

37,949

 

 

 

92,949

 

Johan Christenson, M.D, Ph.D. (5)

 

 

45,000

 

 

 

 

 

 

45,000

 

Barbara Duncan (6)

 

 

81,000

 

 

 

37,949

 

 

 

118,949

 

Steve Gannon (7)

 

 

60,000

 

 

 

37,949

 

 

 

97,949

 

Chau Khuong (8)

 

 

51,500

 

 

 

37,949

 

 

 

89,449

 

Philina Lee, Ph.D. (9)

 

 

52,000

 

 

 

37,949

 

 

 

89,949

 

Heather Preston, M.D. (10)

 

 

52,500

 

 

 

37,949

 

 

 

90,449

 

(1) The amounts in the Option Awards column reflect the grant date fair value of option awards granted during 2022 under our equity incentive plans, calculated in accordance with FASB ASC Topic 718. Such grant date fair values do not take into account any estimated forfeitures related to service-based vesting conditions, and there can be no assurance that FASB ASC Topic 718 amounts will reflect actual amounts realized. Refer to Note 11, “Share-Based Compensation”, in the Notes to Consolidated Financial Statements included in this Annual Report for the relevant assumptions used to determine the valuation of our option awards.

(2) The number of shares underlying stock option awards granted to our non-employee directors in 2022 and the grant date fair value of such stock options as determined in accordance with FASB ASC Topic 718 are:

Name

 

Grant Date

 

 

Number of Shares
Underlying Stock
Option Grants in 2022

 

 

Grant Date Fair
Value of Stock Option
Grants in 2022 ($)

 

Donald Bergstrom, M.D.

 

6/14/2022

 

 

 

17,000

 

 

 

37,949

 

Pablo Cagnoni, M.D.

 

6/14/2022

 

 

 

17,000

 

 

 

37,949

 

Johan Christenson, M.D, Ph.D.

 

 

 

 

 

 

 

 

 

Barbara Duncan

 

6/14/2022

 

 

 

17,000

 

 

 

37,949

 

Steve Gannon

 

6/14/2022

 

 

 

17,000

 

 

 

37,949

 

Chau Khuong

 

6/14/2022

 

 

 

17,000

 

 

 

37,949

 

Philina Lee, Ph.D.

 

6/14/2022

 

 

 

17,000

 

 

 

37,949

 

Heather Preston, M.D.

 

6/14/2022

 

 

 

17,000

 

 

 

37,949

 

 

147


 

(3) At December 31, 2022, Dr. Bergstrom held stock options to purchase 68,000 common shares

(4) At December 31, 2022, Dr. Cagnoni held stock options to purchase 205,011 common shares.

(5) At December 31, 2022, Dr. Christenson held no stock options to purchase common shares. Dr. Christenson has waived his rights to all stock option grants as a director due to rules pertaining to his current employer.

(6) At December 31, 2022, Ms. Duncan held stock options to purchase 64,000 common shares.

(7) At December 31, 2022, Mr. Gannon held stock options to purchase 205,011 common shares.

(8) At December 31, 2022, Mr. Khuong held stock options to purchase 64,000 common shares.

(9) At December 31, 2022, Dr. Lee held stock options to purchase 64,000 common shares.

(10) At December 31, 2022, Dr. Preston held stock options to purchase 64,000 common shares.

Item 12. Security Ownership of Certain Beneficial Owners and Management and Related Shareholder Matters.

Ownership of Our Common Shares

Unless otherwise provided below, the following table sets forth information regarding beneficial ownership of our common shares as of February 17, 2023 by:

each person, or group of affiliated persons, known to us to be the beneficial owner of 5% or more of our common shares outstanding;
each of our current directors;
our principal executive officer and our other executive officers who served during the year ended December 31, 2022, named in the Summary Compensation table below, whom, collectively, we refer to as our named executive officers; and
all of our directors and executive officers as a group.

Beneficial ownership is determined in accordance with SEC rules. These rules generally attribute beneficial ownership of securities to persons who possess sole or shared voting power or investment power with respect to those securities and include common shares issuable upon the exercise of stock options that are immediately exercisable or exercisable within 60 days after February 17, 2023. Except as otherwise indicated, all of the shares reflected in the table are common shares and all persons listed below have sole voting and investment power with respect to the shares beneficially owned by them, subject to applicable community property laws. The information is not necessarily indicative of beneficial ownership for any other purpose.

The column entitled “Percentage of Shares Beneficially Owned” is based on a total of 62,724,555 of our common shares outstanding as of February 17, 2023. Except as otherwise indicated in the footnotes below, the address of the beneficial owner is c/o Fusion Pharmaceuticals, Inc., 270 Longwood Road South, Hamilton, Ontario. Canada L8P 0A6.

148


 

 

 

Number of Common
Shares
Beneficially Owned

 

 

Percentage of
Shares
Beneficially Owned

 

5% or Greater Shareholders

 

 

 

 

 

 

Entities affiliated with Federated Hermes Kaufmann(1)

 

 

5,849,100

 

 

 

9.33

%

Entities affiliated with Avidity Capital(2)

 

 

5,700,000

 

 

 

9.09

%

FMR LLC(3)

 

 

4,680,650

 

 

 

7.46

%

HealthCap VII L.P.(4)

 

 

3,807,247

 

 

 

6.07

%

Johnson & Johnson Innovation – JJDC, Inc.(5)

 

 

3,670,516

 

 

 

5.85

%

Varian Medical Systems, Inc.(6)

 

 

3,256,972

 

 

 

5.19

%

Directors, Named Executive Officers and Other Executive Officers

 

 

 

 

 

 

John Valliant, Ph.D.(7)

 

 

2,603,796

 

 

 

4.15

%

Eric Burak, Ph.D.(8)

 

 

632,513

 

 

 

1.00

%

John Crowley(9)

 

 

555,126

 

 

*

 

Donald Bergstrom, M.D. Ph.D.(10)

 

 

39,666

 

 

*

 

Pablo Cagnoni, M.D.(11)

 

 

186,344

 

 

*

 

Johan Christenson, M.D., Ph.D.

 

 

 

 

*

 

Barbara Duncan(12)

 

 

41,166

 

 

*

 

Steve Gannon(13)

 

 

242,744

 

 

*

 

Chau Q. Khuong(14)

 

 

87,426

 

 

*

 

Philina Lee, Ph.D.(15)

 

 

38,666

 

 

*

 

Heather Preston, M.D.(16)

 

 

54,156

 

 

*

 

All executive officers and directors as a group (15 persons)

 

 

4,864,034

 

 

 

7.75

%

* Represents beneficial ownership of less than 1% of our outstanding common shares.

(1) Consists of: (a) 3,224,100 common shares owned by Federated Equity Management Company of Pennsylvania and Federated Global Investment Management Corp. (together, the “Investment Advisers”); (b) 1,340,000 common shares owned by Federated Hermes Kaufmann Fund (the “Fund”), a portfolio of Federated Hermes Equity Funds, an investment company registered under the Investment Company Act of 1940; (c) 1,245,600 common shares owned by Federated Hermes Kaufmann Small Cap Fund (the “Small Cap Fund”), a portfolio of Federated Hermes Equity Funds, an investment company registered under the Investment Company Act of 1940; and (d) 39,400 common shares owned by Federated Hermes Kaufmann Fund II (the “Fund II”), a portfolio of Federated Hermes Insurance Series, an investment company registered under the Investment Company Act of 1940. The Fund, Small Cap Fund and Fund II are managed by the Investment Advisers, which are wholly-owned subsidiaries of FII Holdings, Inc., which is a wholly-owned subsidiary of Federated Hermes, Inc. (the “Parent”). All of the Parent’s outstanding voting shares is held in the Voting Shares Irrevocable Trust for which Thomas R. Donahue, Ann C. Donahue and J. Christopher Donahue act as trustees (collectively, the “Trustees”). The Parent’s subsidiaries have the power to direct the vote and disposition of the securities held by the Fund, Small Cap Fund and Fund II. The principal business address of Parent is 1001 Liberty Avenue, Pittsburgh, PA 15222-3779. The principal business address of the Trustees, the Fund, Small Cap Fund and Fund II is 4000 Ericsson Drive, Warrendale, PA 15086-7561. The information presented here is based, in part, on a Schedule 13G filed with the SEC by Federated Hermes, Inc. on February 1, 2023.

(2) Consists of: (a) 2,900,550 common shares owned by Avidity Master Fund LP (“Avidity Master”) and (b) 2,799,450 common shares owned by Avidity Private Master Fund I LP (“APF1”). The general partner of each of Avidity Master and APF1 is Avidity Capital Partners Fund (GP) LP, a Delaware limited partnership, whose general partner is Avidity Capital Partners (GP) LLC, a Delaware limited liability company. Avidity Partners Management LP, is the investment manager of each of Avidity Master and APF1. Avidity Partners Management (GP) LLC is the general partner of Avidity Partners Management LP. David Witzke and Michael Gregory are the managing members of Avidity Capital Partners (GP) LLC and Avidity Partners Management (GP) LLC. Mr. Witzke and Mr. Gregory may be deemed to have shared voting and investment power of the securities held by Avidity Master and APF1. Each of Mr. Witzke and Mr. Gregory disclaim beneficial ownership of such securities, except to the extent of his or her pecuniary interest therein. The principal business address of Avidity Master and APF1 is 2828 N. Harwood Street, Suite 1220, Dallas, TX 75201.

(3) FMR LLC has the sole voting and dispositive power of 4,680,650 of our common shares, all of which are held by funds or accounts managed by direct or indirect subsidiaries of FMR LLC and all of which shares are beneficially owned, or may be deemed to be beneficially owned, by FMR LLC. Abigail P. Johnson is a Director, the Chairman and the Chief Executive Officer of FMR LLC. Members of the Johnson family, including Abigail P. Johnson, are the predominant owners, directly or through trusts, of Series B voting common shares of FMR LLC, representing 49% of the voting power of FMR LLC. The Johnson family group and all other Series B shareholders have entered into a shareholders’ voting agreement under which all Series B voting common shares will be voted in accordance with the majority vote of Series B voting common shares. Accordingly, through their ownership of voting common shares and the execution of the shareholders’ voting agreement, members of the Johnson family may be deemed, under the Investment Company Act of 1940, to form a controlling group with respect to FMR LLC. The address for each of the individuals and entities listed above is 245 Summer Street, Boston, MA 02210. This information is based, in part, on a Schedule 13G/A filed by FMR LLC with the SEC on February 9, 2023.

149


 

(4) Consists of 3,807,247 common shares owned by HealthCap VII, L.P. , a Delaware limited partnership (the “Fund”. HealthCap VII GP S.A., a corporation organized under the laws of Switzerland (the “General Partner”) is the sole general partner of the Fund and has voting and investment control over the equity. Johan Christenson, M.D., Ph.D. is a Partner of HealthCap Advisor AB, acting as advisor to HealthCap Advisor AB and a member of our board of directors. Dr. Christenson disclaims beneficial ownership of all shares held by HealthCap VII L.P. except to the extent of his pecuniary interest therein. The principal business address of HealthCap VII L.P. is 18 Avenue d’Ouchy, Lausanne, Switzerland CH-1006. The information presented here is based on a Schedule 13D filed on July 10, 2020.

(5) Consists of 3,670,516 common shares owned by Johnson & Johnson Innovation – JJDC, Inc., a New Jersey corporation (“JJDC”), a wholly owned subsidiary of Johnson & Johnson, a New Jersey corporation (“J&J”). J&J may be deemed to indirectly beneficially own the shares that are directly beneficially owned by JJDC. The principal business address of J&J is One Johnson & Johnson Plaza, New Brunswick, NJ 08933, and the principal business address of JJDC is 410 George Street, New Brunswick, NJ 08901. The information presented here is based on a Schedule 13G/A filed on January 27, 2023.

(6) The principal business address of Varian Medical Systems, Inc. is 3100 Hansen Way Building 4A, Palo Alto, CA 94304-1038. The information presented here is based on a Schedule 13G filed on February 9, 2021.

(7) Consists of: (a) 318,147 common shares held by Valliant Consulting and Management Inc., of which Dr. Valliant is the beneficial owner and (b) 2,285,649 common shares issuable upon the exercise of options exercisable within 60 days of February 17, 2023.

(8) Consists of: (a) 38,490 common shares and (b) 594,023 common shares issuable upon the exercise of options exercisable within 60 days of February 17, 2023.

(9) Consists of: (a) 10,410 common shares and (b) 544,716 common shares issuable upon the exercise of options exercisable within 60 days of February 17, 2023.

(10) Consists of 39,666 common shares issuable upon the exercise of options exercisable within 60 days of February 17, 2023.

(11) Consists of 186,344 common shares issuable upon the exercise of options exercisable within 60 days of February 17, 2023.

(12) Consists of 41,166 common shares issuable upon the exercise of options exercisable within 60 days of February 17, 2023.

(13) Consists of: (a) 56,400 common shares and (b) 186,344 common shares issuable upon the exercise of options exercisable within 60 days of February 17, 2023.

(14) Consists of: (a) 42,093 common shares and (b) 45,333 common shares issuable upon the exercise of options exercisable within 60 days of February 17, 2023.

(15) Consists of (b) 38,666 common shares issuable upon the exercise of options exercisable within 60 days of February 17, 2023.

(16) Consists of: (a) 8,823 common shares and (b) 45,333 common shares issuable upon the exercise of options exercisable within 60 days of February 17, 2023.

Equity Compensation Plan Information

The following table contains information about our equity compensation plans as of December 31, 2022. In addition, from time to time, we may grant “inducement grants” pursuant to Nasdaq Listing Rule 5635(c)(4).

Equity Compensation Plan Information

Plan Category

 

Number of securities to be issued upon exercise of outstanding options, warrants and rights

 

 

Weighted-average exercise price of outstanding options, warrants and rights

 

 

Number of securities remaining available for future issuance under equity compensation plans (excluding securities reflected in column (a))

 

 

 

 

(a)

 

 

(b)

 

 

(c)

 

 

Equity compensation plans approved by security holders

 

 

8,297,755

 

(1)

$

7.63

 

 

 

4,036,510

 

(2)

Equity compensation plans not approved by security holders(3)

 

 

2,233,800

 

 

 

5.00

 

 

 

0

 

 

Total

 

 

10,531,555

 

 

$

7.08

 

 

 

4,036,510

 

 

(1) Consists of (i) 3,130,235 common shares issuable under our 2017 equity incentive plan and (ii) 5,167,520 common shares issuable under our 2020 stock option and incentive plan.

(2) Consists of (i) 2,782,203 common shares available for future issuance under our 2020 stock option and incentive plan and (ii) 1,254,307 common shares available for future issuance under our 2020 employee share purchase plan.

150


 

(3) Consists of stock option awards approved by our Board as inducements material to the respective individual’s acceptance of employment with us in accordance with Nasdaq Listing Rule 5635(c)(4). The inducement awards had an exercise price per share equal to the closing price of a common share on the respective grant dates, and vest over four years, with 25% of the original number of shares vesting on the one-year anniversary of the respective grant date and then in equal installments for 36 months thereafter, subject to the employee's continued service with us through the applicable vesting dates.

Certain Relationships with Related Parties

Other than the compensation agreements and other arrangements described in “Executive Compensation” and the relationships and transactions described below, since January 1, 2022, there was no transaction or series of transactions to which we were or will be a party in which:

the amount involved exceeded or will exceed $120,000; and
any of our directors, executive officers or holders of more than five percent of our common shares, or any member of the immediate family of the foregoing persons, had or will have a direct or indirect material interest.

Share Issuance in connection with Rainier Asset Purchase Agreement

In March 2020, we entered into an asset purchase agreement with Rainier Therapeutics, Inc. (f/k/a BioClin Therapeutics, Inc.) (“Rainier”) (as amended, the “APA”) and a share purchase agreement with Rainier (the “SPA”), pursuant to which we acquired substantially all the assets of Rainier. As partial consideration for the transaction, we paid an upfront cash payment of $1.0 million. As a result of the closing of the transaction, in July 2021, we paid an additional $3.5 million and issued 313,359 of our common shares to certain of Rainier’s shareholders, including 22,303 of our common shares to HealthCap IV LP. In the future, we may owe HealthCap IV LP additional cash and equity consideration upon the achievement of specified development and regulatory milestones as set forth in the APA. Dr. Christenson who is a member of our board of directors, serves as a partner of HealthCap Advisor AB, which oversees several funds, including HealthCap IV LP.

Agreements with CPDC

We have entered into a Master Services Agreement and a Supply Agreement with CPDC under which CPDC provides products and services to us, including preclinical and manufacturing services, administrative support services, access to laboratory facilities and laboratory technicians and products for human safety and efficacy clinical trials. In connection with the Supply Agreement, we pay CPDC $0.2 million per quarter, plus fees for production, packaging and distribution of products supplied to us. In connection with the Master Services Agreement, we pay CPDC periodically pursuant to the amounts set forth in each work order. During the years ended December 31, 2020, 2021 and 2022, we made payments to CPDC in connection with the services described above of $1.1 million, $1.7 million and $1.8 million, respectively. We also entered into a transition services agreement with CPDC on June 1, 2021 in connection with our manufacturing facility in Hamilton, Ontario pursuant to which we have paid the CPDC $2.5 million for services relating to certain aspects of the validation of the manufacturing facility which is currently under construction. John Valliant, our Chief Executive Officer, is the founder and a member of the board of directors of CPDC. In August 2022, CPDC transferred and assigned the Master Services Agreement and the Supply Agreement to a third-party commercial development and manufacturing organization known as AtomVie. Dr. Valliant received non-voting shares in AtomVie, but has no control over AtomVie nor is in any other way affiliated with AtomVie.

Policies and Procedures for Related Person Transactions

Our board of directors reviews and approves transactions with directors, officers and holders of five percent or more of our voting securities and their affiliates, each a related party. In connection with our initial public offering, we adopted a formal written policy that our executive officers, directors, holders of more than five percent of any class of our voting securities, and any member of the immediate family of and any entity affiliated with any of the foregoing persons, are not permitted to enter into a related party transaction with us without the prior consent of our audit committee, or other independent members of our board of directors in the event it is inappropriate for our audit committee to review such transaction due to a conflict of interest. Any request for us to enter into a transaction with an executive officer, director, holders of more than five percent of any class of our voting securities, or any of their immediate family members or affiliates, in which the amount involved exceeds $120,000 must first be presented to our audit committee for review, consideration and approval. In approving or rejecting any such proposal, our audit committee will consider the relevant facts and circumstances available and deemed relevant to our audit committee, including, but not limited to, whether the transaction will be on terms no less favorable than terms generally

151


 

available to an unaffiliated third party under the same or similar circumstances and the extent of the related party’s interest in the transaction. All of the transactions described in this section were entered into prior to the adoption of this policy.

Corporate Governance

The information in this section is set forth above in “Item 10. Directors Executive Officers and Corporate Governance – Corporate Governance”

Item 14. Principal Accounting Fees and Services.

Principal Accounting Fees and Services

PricewaterhouseCoopers LLP audited our financial statements for the year ended December 31, 2022. Our shareholders are being asked to confirm at the annual meeting the appointment of PricewaterhouseCoopers LLP to serve as our independent registered public accounting firm for the fiscal year ending December 31, 2023.

The following table summarizes the fees of PricewaterhouseCoopers LLP billed or expected to be billed to us for each of the last two fiscal years.

Fee Category

 

2022

 

 

2021

 

Audit Fees (1)

 

$

901,000

 

 

$

730,000

 

Audit-Related Fees (2)

 

 

 

 

 

 

Tax Fees (3)

 

 

209,068

 

 

 

375,200

 

All Other Fees (4)

 

 

3,250

 

 

 

5,000

 

Total Fees

 

$

1,113,318

 

 

$

1,110,200

 

(1) “Audit Fees” consist of fees for the audit of our annual financial statements, the review of our interim financial statements included in our quarterly reports on Form 10-Q, and consultations on miscellaneous filings with the SEC and Canadian securities regulators and other professional services provided in connection with regulatory filings or engagements.

(2) “Audit-Related Fees” consists of fees billed by our independent registered public accounting firm for assurance and related services that are reasonably related to the performance of the audit or review of our consolidated financial statements.

(3) “Tax Fees” consist of fees for tax compliance, advice and tax services, including fees for tax preparation.

(4) “All Other Fees” consists of fees billed for products and services, other than those described above under Audit Fees and Tax fees.

All such accountant services and fees were pre-approved by our audit committee in accordance with the “Audit Committee Pre-Approval Policies and Procedures” described below.

Audit Committee Pre-Approval Policies and Procedures

Our audit committee has adopted procedures requiring the pre-approval of all audit and non-audit (including tax) services that are to be performed by our independent registered public accounting firm in order to assure that these services do not impair the auditor’s independence. These procedures generally approve the performance of specific services subject to a cost limit for all such services. This general approval is to be reviewed, and if necessary modified, at least annually. Management must obtain the specific prior approval of the audit committee for each engagement of our independent registered public accounting firm to perform any other audit or non-audit services. The audit committee does not delegate its responsibility to approve services performed by our independent registered public accounting firm to any member of management.

152


 

The standard applied by the audit committee in determining whether to grant approval of any type of non-audit service, or of any specific engagement to perform a non-audit service, is whether the services to be performed, the compensation to be paid therefor and other related factors are consistent with the independent registered public accounting firm’s independence under guidelines of the SEC and applicable professional standards. Relevant considerations include whether the work product is likely to be subject to, or implicated in, audit procedures during the audit of our financial statements, whether the independent registered public accounting firm would be functioning in the role of management or in an advocacy role, whether the independent registered public accounting firm’s performance of the service would enhance our ability to manage or control risk or improve audit quality, whether such performance would increase efficiency because of the independent registered public accounting firm’s familiarity with our business, personnel, culture, systems, risk profile and other factors, and whether the amount of fees involved, or the non-audit services portion of the total fees payable to the independent registered public accounting firm in the period would tend to reduce the independent registered public accounting firm’s ability to exercise independent judgment in performing the audit.

All of the services rendered by PricewaterhouseCoopers LLP with respect to the 2022 and 2021 fiscal years were pre-approved by the audit committee in accordance with this policy.

153


 

PART IV

Item 15. Exhibits, Financial Statement Schedules.

(1) Financial Statements

The following documents are included on pages F-1 through F-39 attached hereto and are filed as part of this Annual Report on Form 10-K.

 

Report of Independent Registered Public Accounting Firm (PCAOB ID 238)

F-2

Consolidated Balance Sheets

F-3

Consolidated Statements of Operations and Comprehensive Loss

F-4

Consolidated Statements of Shareholders’ Equity

F-5

Consolidated Statements of Cash Flows

F-6

Notes to Consolidated Financial Statements

F-7

 

(2) Financial Statement Schedule

 

Financial statement schedules have been omitted because they are either not required or not applicable or the information is included in the consolidated financial statements or notes thereto.

 

(3) Exhibits

 

The following is a list of exhibits filed as part of this Annual Report on Form 10-K:

154


 

 

Exhibit

Number

 

Description

 

 

 

3.1

 

Articles of Amendment to the Articles of the Company (filed as Exhibit 3.2 to the Company’s Registration Statement on Form S-1/A, filed with the SEC on June 22, 2020 (File No. 333-238968) and incorporated by reference herein)

 

 

 

3.2

 

General By-Laws of the Company (filed as Exhibit 3.5 to the Company’s Registration Statement on Form S-1/A, filed with the SEC on June 22, 2020 (File No. 333-238968) and incorporated by reference herein)

 

 

 

4.1

 

Amended and Restated Investors’ Rights Agreement among the Registrant and certain of its shareholders, dated March 25, 2019 (filed as Exhibit 4.1 to the Company’s Registration Statement on Form S-1, filed with the SEC on June 5, 2020 (File No. 333-238968) and incorporated by reference herein)

 

 

 

4.2

 

Form of Specimen Common Share Certificate (filed as Exhibit 4.2 to the Company’s Registration Statement on Form S-1/A, filed with the SEC on June 22, 2020 (File No. 333-238968) and incorporated by reference herein)

 

 

 

4.3

 

Description of Securities Registered Pursuant to Section 12 of the Securities Exchange Act of 1934 (filed as Exhibit 4.3 to the Company's Annual Report on Form 10-K for the year ended December 31, 2020, filed on March 25, 2021 (File No. 001-39344) and incorporated by reference herein)

 

 

 

4.4*

 

Form of Warrant to Purchase Stock entered into in connection with the Loan and Security Agreement, dated as of April 2, 2022, and as amended by and between Oxford Finance LLC and the Company

 

 

 

4.5

 

Registration Rights Agreement by and among the Registrant and certain of its shareholders, dated February 13, 2023 (filed as Exhibit 10.3 to the Company’s Current Report on Form 8-K filed on February 14, 2023 (File No. 001-39344) and incorporated by reference herein)

 

 

 

10.1#

 

2017 Equity Incentive Plan, as amended, and forms of award agreements thereunder (filed as Exhibit 10.1 to the Company’s Registration Statement on Form S-1, filed with the SEC on June 5, 2020 (File No. 333-238968) and incorporated by reference herein)

 

 

 

10.2#

 

2020 Stock Option and Incentive Plan and forms of award agreements thereunder (filed as Exhibit 10.2 to the Company’s Registration Statement on Form S-1/A, filed with the SEC on June 22, 2020 (File No. 333-238968) and incorporated by reference herein)

 

 

 

10.3#

 

Senior Executive Cash Incentive Bonus Plan (filed as Exhibit 10.3 to the Company’s Registration Statement on Form S-1/A, filed on June 22, 2020 (File No. 333-238968) and incorporated by reference herein)

 

 

 

10.4#

 

2020 Employee Share Purchase Plan (filed as Exhibit 10.4 to the Company’s Registration Statement on Form S-1/A, filed on June 22, 2020 (File No. 333-238968) and incorporated by reference herein)

 

 

 

10.5

 

Form of Officer Indemnification Agreement (filed as Exhibit 10.5 to the Company’s Registration Statement on Form S-1/A, filed on June 22, 2020 (File No. 333-238968) and incorporated by reference herein)

 

 

 

10.6

 

Form of Director Indemnification Agreement (filed as Exhibit 10.6 to the Company’s Registration Statement on Form S-1/A, filed on June 22, 2020 (File No. 333-238968) and incorporated by reference herein)

 

 

 

10.7#

 

Employment Agreement between the Company and John Valliant, PhD (filed as Exhibit 10.7 to the Company’s Registration Statement on Form S-1/A, filed on June 22, 2020 (File No. 333-238968) and incorporated by reference herein)

 

 

 

10.8#

 

Amendment No. 1 to Employment Agreement between the Company and John Valliant, dated as of February 19, 2021 (filed as Exhibit 10.8 to the Company’s Annual Report on Form 10-K for the year ended December 31, 2020, filed on March 25, 2021 (File No. 001-39344) and incorporated by reference herein)

 

 

 

10.9#

 

Employment Agreement between the Company and John Crowley, CPA (filed as Exhibit 10.8 to the Company’s Registration Statement on Form S-1/A, filed on June 22, 2020 (File No. 333-238968) and incorporated by reference herein)

 

 

 

10.10#

 

Employment Agreement between the Company and Eric Burak, PhD (filed as Exhibit 10.9 to the Company’s Registration Statement on Form S-1/A, filed on June 22, 2020 (File No. 333-238968) and incorporated by reference herein)

 

 

 

155


 

10.11#

 

Amendment No. 1 to Employment Agreement between the Company and Eric Burak, dated as of February 19, 2021 (filed as Exhibit 10.11 to the Company’s Annual Report on Form 10-K for the year ended December 31, 2020, filed on March 25, 2021 (File No. 001-39344) and incorporated by reference herein)

 

 

 

10.12#*

 

Employment Agreement between the Company and Dmitri Bobilev, MD (dated as of November 7, 2022)

 

 

 

10.13#

 

Employment Agreement between the Company and Mohit Rawat, dated as of September 27, 2021 (filed as Exhibit 10.13 to the Company’s Annual Report on Form 10-K for the year ended December 31, 2021, filed on March 17, 2022 (File No. 001-39344) and incorporated by reference herein)

 

 

 

10.14#

 

Employment Agreement between the Company and Christopher Leamon, Ph.D., dated as of November 1, 2021 (filed as Exhibit 10.14 to the Company’s Annual Report on Form 10-K for the year ended December 31, 2021, filed on March 17, 2022 (File No. 001-39344) and incorporated by reference herein)

 

 

 

10.15

 

Lease Agreement, dated as of October 1, 2019, by and between Fort Hill Square 2 Owner LLC and the Company (filed as Exhibit 10.11 to the Company’s Registration Statement on Form S-1 filed on June 5, 2020 (File No. 333-238968) and incorporated by reference herein)

 

 

 

10.16

 

First Amendment to Lease Agreement, dated as of March 16, 2021, by and between Fort Hill Square 2 Owner LLC and the Company (filed as Exhibit 10.24 to the Company’s Annual Report on Form 10-K for the year ended December 31, 2020, filed on March 25, 2021 (File No. 001-39344) and incorporated by reference herein)

 

 

 

10.17

 

Lease Agreement, dated as of August 1, 2018, by and between McMaster University and the Company (filed as Exhibit 10.12 to the Company’s Registration Statement on Form S-1 filed on June 5, 2020 (File No. 333-238968) and incorporated by reference herein)

 

 

 

10.18

 

Lease Agreement, dated as of June 1, 2021, by and between McMaster University and the Company (filed as Exhibit 10.1 to the Company’s Current Report on Form 8-K filed on June 3, 2021 (File No. 001-39344) and incorporated by reference herein)

 

 

 

10.19†

 

License Agreement, dated as of February 22, 2017, by and between the Centre for Probe Development and Commercialization Inc. and the Company (filed as Exhibit 10.13 to the Company’s Registration Statement on Form S-1 filed on June 5, 2020 (File No. 333-238968) and incorporated by reference herein)

 

 

 

10.20†

 

License Agreement, dated as of December 19, 2016, by and between ImmunoGen, Inc. and the Company, as amended (filed as Exhibit 10.14 to the Company’s Registration Statement on Form S-1 filed on June 5, 2020 (File No. 333-238968) and incorporated by reference herein)

 

 

 

10.21†

 

Asset Purchase Agreement, dated as of March 10, 2020, by and between Rainier Therapeutics, Inc., Fortis Advisors LLC and the Company (filed as Exhibit 10.15 to the Company’s Registration Statement on Form S-1 filed on June 5, 2020 (File No. 333-238968) and incorporated by reference herein)

 

 

 

10.22

 

Amendment No. 1 to Asset Purchase Agreement, dated October 8, 2020, by and between Rainier Therapeutics, Inc. and the Company (filed as Exhibit 10.1 to the Company’s Quarterly Report on Form 10-Q for the quarter ended September 30, 2020, filed on November 10, 2020 (File No. 001-39344) and incorporated by reference herein)

 

 

 

10.23

 

Amendment No. 2 to Asset Purchase Agreement, dated February 8, 2021, by and between Rainier Therapeutics, Inc. and the Company (filed as Exhibit 10.22 to the Company’s Annual Report on Form 10-K for the year ended December 31, 2020, filed on March 25, 2021 (File No. 001-39344) and incorporated by reference herein)

 

 

 

10.24†

 

Master Services Agreement, dated as of February 22, 2017, by and between the Centre for Probe Development and Commercialization Inc. and the Company (filed as Exhibit 10.16 to the Company’s Registration Statement on Form S-1 filed on June 5, 2020 (File No. 333-238968) and incorporated by reference herein)

 

 

 

10.25†

 

Supply Agreement, dated as of January 17, 2019, by and between the Centre for Probe Development and Commercialization Inc. and the Company (filed as Exhibit 10.17 to the Company’s Registration Statement on Form S-1 filed on June 5, 2020 (File No. 333-238968) and incorporated by reference herein)

 

 

 

10.26†

 

Strategic Collaboration Agreement, dated as of October 30, 2020, by and between AstraZeneca UK Limited and the Company (filed as Exhibit 10.1 to the Company’s Current Report on Form 8-K filed on November 2, 2020 (File No. 001-39344) and incorporated by reference herein)

 

 

 

10.27†

 

Asset Purchase Agreement, dated as of March 1, 2021, by and between Ipsen Pharma SAS and the Company (filed as Exhibit 10.1 to the Company’s Current Report on Form 8-K filed on March 2, 2021 (File No. 001-39344) and incorporated by reference herein)

156


 

 

 

 

10.28†

 

Collaboration Agreement dated December 10, 2020, by and between TRIUMF Innovations Inc., TRIUMF JV and the Company (filed as Exhibit 10.1 to the Company’s Quarterly Report on Form 10-Q for the period ended September 30, 2021, filed on November 9, 2021 (File No. 001-39344) and incorporated by reference herein)

 

 

 

10.29†

 

Loan and Security Agreement, dated as of April 2, 2022, by and between Oxford Finance LLC and the Company (filed as Exhibit 10.1 to the Company’s Quarterly Report on Form 10-Q for the period ended June 30, 2022, filed on August 9, 2022 (File No. 001-39344) and incorporated by reference herein)

 

 

 

10.30†

 

Consent and First Amendment to Loan and Security Agreement, dated as of August 23, 2022, by and between Oxford Finance LLC and the Company (filed as Exhibit 10.1 to the Company’s Quarterly Report on Form 10-Q for the period ended September 30, 2022, filed on November 8, 2022 (File No. 001-39344) and incorporated by reference herein)

 

 

 

10.31

 

Second Amendment to Loan and Security Agreement, dated as of September 21, 2022, by and between Oxford Finance LLC and the Company (filed as Exhibit 10.2 to the Company’s Quarterly Report on Form 10-Q for the period ended September 30, 2022, filed on November 8, 2022 (File No. 001-39344) and incorporated by reference herein)

 

 

 

10.32†

 

Option and Asset Purchase Agreement, dated as of November 14, 2022, by and between RadioMedix, Inc. and the Company (filed as Exhibit 10.1 to the Company’s Current Report on Form 8-K filed on February 14, 2023 (File No. 001-39344) and incorporated by reference herein)

 

 

 

21.1*

 

Subsidiaries of the Company

 

 

 

23.1*

 

Consent of PricewaterhouseCoopers LLP, Independent Registered Public Accounting Firm

 

 

 

31.1*

 

Certification of Principal Executive Officer Pursuant to Rules 13a-14(a) and 15d-14(a) under the Securities Exchange Act of 1934, as Adopted Pursuant to Section 302 of the Sarbanes-Oxley Act of 2002

 

 

 

31.2*

 

Certification of Principal Financial Officer Pursuant to Rules 13a-14(a) and 15d-14(a) under the Securities Exchange Act of 1934, as Adopted Pursuant to Section 302 of the Sarbanes-Oxley Act of 2002

 

 

 

32.1*

 

Certification of Principal Executive Officer Pursuant to 18 U.S.C. Section 1350, as Adopted Pursuant to Section 906 of the Sarbanes-Oxley Act of 2002

 

 

 

32.2*

 

Certification of Principal Financial Officer Pursuant to 18 U.S.C. Section 1350, as Adopted Pursuant to Section 906 of the Sarbanes-Oxley Act of 2002

 

 

 

101.INS

 

Inline XBRL Instance Document (the instance does not appear in the Interactive Data File because its XBRL tags are embedded within the Inline XBRL document)

 

 

 

101.SCH

 

Inline XBRL Taxonomy Extension Schema Document

 

 

 

101.CAL

 

Inline XBRL Taxonomy Extension Calculation Linkbase Document

 

 

 

101.DEF

 

Inline XBRL Taxonomy Extension Definition Linkbase Document

 

 

 

101.LAB

 

Inline XBRL Taxonomy Extension Label Linkbase Document

 

 

 

101.PRE

 

Inline XBRL Taxonomy Extension Presentation Linkbase Document

 

 

 

104

 

Cover Page Interactive Data File (embedded within the Inline XBRL document)

 

* Filed herewith.

†Portions of this exhibit (indicated by asterisks) have been omitted in accordance with the rules of the Securities and Exchange Commission.

# Indicates management contract or compensatory plan or arrangement.

 

Item 16. Form 10-K Summary

Not applicable.

157


 

SIGNATURES

Pursuant to the requirements of Section 13 or 15(d) of the Securities Exchange Act of 1934, as amended, the Registrant has duly caused this Report to be signed on its behalf by the undersigned, thereunto duly authorized.

 

 

 

FUSION PHARMACEUTICALS INC.

 

 

 

 

Date: March 16, 2023

 

By:

/s/ John Valliant

 

 

 

John Valliant

 

 

 

Chief Executive Officer

 

Pursuant to the requirements of the Securities Exchange Act of 1934, as amended, this Report has been signed below by the following persons on behalf of the Registrant in the capacities and on the dates indicated.

 

Name

 

Title

 

Date

 

 

 

 

 

/s/ John Valliant

 

Chief Executive Officer and Director

(Principal Executive Officer)

 

March 16, 2023

John Valliant

 

 

 

 

 

 

 

 

 

/s/ John Crowley

 

Chief Financial Officer

(Principal Financial Officer)

 

March 16, 2023

John Crowley

 

 

 

 

 

 

 

 

 

/s/ Barbara Duncan

 

Chairperson and Director

 

March 16, 2023

Barbara Duncan

 

 

 

 

 

 

 

 

 

/s/ Donald Bergstrom

 

Director

 

March 16, 2023

Donald Bergstrom

 

 

 

 

 

 

 

 

 

/s/ Pablo Cagnoni

 

Director

 

March 16, 2023

Pablo Cagnoni

 

 

 

 

 

 

 

 

 

/s/ Johan Christenson

 

Director

 

March 16, 2023

Johan Christenson

 

 

 

 

 

 

 

 

 

/s/ Steven Gannon

 

Director

 

March 16, 2023

Steven Gannon

 

 

 

 

 

 

 

 

 

/s/ Chau Q. Khuong

 

Director

 

March 16, 2023

Chau Q. Khuong

 

 

 

 

 

 

 

 

 

/s/ Philina Lee

 

Director

 

March 16, 2023

Philina Lee

 

 

 

 

 

 

 

 

 

/s/ Heather Preston

 

Director

 

March 16, 2023

Heather Preston

 

 

 

 

 

158


 

INDEX TO CONSOLIDATED FINANCIAL STATEMENTS

 

 

Page

Audited Annual Consolidated Financial Statements

 

Report of Independent Registered Public Accounting Firm

F-2

Consolidated Balance Sheets

F-3

Consolidated Statements of Operations and Comprehensive Loss

F-4

Consolidated Statements of Shareholders’ Equity

F-5

Consolidated Statements of Cash Flows

F-6

Notes to Consolidated Financial Statements

F-7

 

F-1


 

REPORT OF INDEPENDENT REGISTERED PUBLIC ACCOUNTING FIRM

To the Board of Directors and Shareholders of Fusion Pharmaceuticals Inc.

Opinion on the Financial Statements

We have audited the accompanying consolidated balance sheets of Fusion Pharmaceuticals Inc. and its subsidiaries (the “Company”) as of December 31, 2022 and 2021, and the related consolidated statements of operations and comprehensive loss, of shareholders' equity and of cash flows for the years then ended, including the related notes (collectively referred to as the “consolidated financial statements”). In our opinion, the consolidated financial statements present fairly, in all material respects, the financial position of the Company as of December 31, 2022 and 2021, and the results of its operations and its cash flows for the years then ended in conformity with accounting principles generally accepted in the United States of America.

Basis for Opinion

These consolidated financial statements are the responsibility of the Company’s management. Our responsibility is to express an opinion on the Company’s consolidated financial statements based on our audits. We are a public accounting firm registered with the Public Company Accounting Oversight Board (United States) (PCAOB) and are required to be independent with respect to the Company in accordance with the U.S. federal securities laws and the applicable rules and regulations of the Securities and Exchange Commission and the PCAOB.

We conducted our audits of these consolidated financial statements in accordance with the standards of the PCAOB. Those standards require that we plan and perform the audits to obtain reasonable assurance about whether the consolidated financial statements are free of material misstatement, whether due to error or fraud. The Company is not required to have, nor were we engaged to perform, an audit of its internal control over financial reporting. As part of our audits we are required to obtain an understanding of internal control over financial reporting but not for the purpose of expressing an opinion on the effectiveness of the Company's internal control over financial reporting. Accordingly, we express no such opinion.

Our audits included performing procedures to assess the risks of material misstatement of the consolidated financial statements, whether due to error or fraud, and performing procedures that respond to those risks. Such procedures included examining, on a test basis, evidence regarding the amounts and disclosures in the consolidated financial statements. Our audits also included evaluating the accounting principles used and significant estimates made by management, as well as evaluating the overall presentation of the consolidated financial statements. We believe that our audits provide a reasonable basis for our opinion.

/s/ PricewaterhouseCoopers LLP

Boston, Massachusetts
March 16, 2023

We have served as the Company’s auditor since 2019.

F-2


 

FUSION PHARMACEUTICALS INC.

CONSOLIDATED BALANCE SHEETS

(In thousands, except share amounts)

 

 

 

December 31,

 

 

 

2022

 

 

2021

 

Assets

 

 

 

 

 

 

Current assets:

 

 

 

 

 

 

Cash and cash equivalents

 

$

43,861

 

 

$

52,898

 

Accounts receivable

 

 

61

 

 

 

357

 

Short-term investments

 

 

127,013

 

 

 

147,897

 

Prepaid expenses and other current assets

 

 

7,609

 

 

 

9,941

 

Restricted cash

 

 

454

 

 

 

669

 

Total current assets

 

 

178,998

 

 

 

211,762

 

Property and equipment, net

 

 

4,631

 

 

 

2,967

 

Deferred tax assets

 

 

4,806

 

 

 

1,645

 

Restricted cash

 

 

1,018

 

 

 

1,222

 

Long-term investments

 

 

15,761

 

 

 

19,987

 

Operating lease right-of-use assets

 

 

5,684

 

 

 

6,486

 

Other non-current assets

 

 

8,166

 

 

 

8,202

 

Total assets

 

$

219,064

 

 

$

252,271

 

Liabilities and Shareholders’ Equity

 

 

 

 

 

 

Current liabilities:

 

 

 

 

 

 

Accounts payable

 

$

2,686

 

 

$

2,195

 

Accrued expenses and other current liabilities

 

 

10,605

 

 

 

7,563

 

Deferred revenue

 

 

333

 

 

 

1,538

 

Operating lease liabilities

 

 

1,443

 

 

 

1,215

 

Total current liabilities

 

 

15,067

 

 

 

12,511

 

Long-term debt, net of discount

 

 

34,233

 

 

 

 

Income taxes payable, net of current portion

 

 

299

 

 

 

297

 

Deferred revenue, net of current portion

 

 

2,667

 

 

 

2,500

 

Operating lease liabilities, net of current portion

 

 

4,577

 

 

 

5,507

 

Total liabilities

 

 

56,843

 

 

 

20,815

 

Commitments and contingencies (Note 16)

 

 

 

 

 

 

Shareholders’ equity:

 

 

 

 

 

 

Common shares, no par value, unlimited shares authorized as of December 31, 2022 and 2021; 44,805,627 shares and 43,073,727 shares issued and outstanding as of December 31, 2022 and 2021, respectively

 

 

 

 

 

 

Additional paid-in capital

 

 

444,552

 

 

 

425,821

 

Accumulated other comprehensive (loss) income

 

 

(469

)

 

 

(115

)

Accumulated deficit

 

 

(281,862

)

 

 

(194,250

)

Total shareholders’ equity

 

 

162,221

 

 

 

231,456

 

Total liabilities and shareholders’ equity

 

$

219,064

 

 

$

252,271

 

 

The accompanying notes are an integral part of these consolidated financial statements.

F-3


 

FUSION PHARMACEUTICALS INC.

CONSOLIDATED STATEMENTS OF OPERATIONS AND COMPREHENSIVE LOSS

(In thousands, except share and per share amounts)

 

 

 

Year Ended December 31,

 

 

 

2022

 

 

2021

 

Collaboration revenue

 

$

1,461

 

 

$

1,440

 

Operating expenses:

 

 

 

 

 

 

Research and development

 

 

58,895

 

 

 

56,357

 

General and administrative

 

 

30,600

 

 

 

27,098

 

Total operating expenses

 

 

89,495

 

 

 

83,455

 

Loss from operations

 

 

(88,034

)

 

 

(82,015

)

Other (expense) income:

 

 

 

 

 

 

Interest income

 

 

2,161

 

 

 

381

 

Interest expense

 

 

(1,801

)

 

 

 

Other (expense) income, net

 

 

(1,775

)

 

 

469

 

Total other (expense) income, net

 

 

(1,415

)

 

 

850

 

Loss before benefit for income taxes

 

 

(89,449

)

 

 

(81,165

)

Income tax benefit

 

 

1,837

 

 

 

118

 

Net loss

 

$

(87,612

)

 

$

(81,047

)

Unrealized loss on investments

 

 

(354

)

 

 

(159

)

Comprehensive loss

 

$

(87,966

)

 

$

(81,206

)

 

 

 

 

 

 

 

Net loss per share—basic and diluted

 

$

(2.00

)

 

$

(1.90

)

 

 

 

 

 

 

 

Weighted-average common shares outstanding—basic and diluted

 

 

43,748,549

 

 

 

42,598,843

 

 

The accompanying notes are an integral part of these consolidated financial statements.

F-4


 

FUSION PHARMACEUTICALS INC.

CONSOLIDATED STATEMENTS OF SHAREHOLDERS’ EQUITY

(In thousands, except share amounts)

 

 

 

Common Shares

 

 

Additional
Paid-in

 

 

Accumulated

 

 

Accumulated Other Comprehensive

 

 

Total
Shareholders’

 

 

 

Shares

 

 

Amount

 

 

Capital

 

 

Deficit

 

 

(Loss) Income

 

 

Equity

 

Balances at December 31, 2020

 

 

41,725,797

 

 

$

 

 

$

407,672

 

 

$

(113,203

)

 

$

44

 

 

$

294,513

 

Issuance of common shares pursuant to asset purchase agreements

 

 

913,359

 

 

 

 

 

 

8,924

 

 

 

 

 

 

 

 

 

8,924

 

Issuance of common shares under ESPP

 

 

15,596

 

 

 

 

 

 

124

 

 

 

 

 

 

 

 

 

124

 

Issuance of common shares upon exercise of stock options

 

 

418,975

 

 

 

 

 

 

498

 

 

 

 

 

 

 

 

 

498

 

Share-based compensation expense

 

 

 

 

 

 

 

 

8,603

 

 

 

 

 

 

 

 

 

8,603

 

Unrealized loss on investments

 

 

 

 

 

 

 

 

 

 

 

 

 

 

(159

)

 

 

(159

)

Net loss

 

 

 

 

 

 

 

 

 

 

 

(81,047

)

 

 

 

 

 

(81,047

)

Balances at December 31, 2021

 

 

43,073,727

 

 

$

 

 

$

425,821

 

 

$

(194,250

)

 

$

(115

)

 

$

231,456

 

Issuance of common shares pursuant to asset purchase agreements

 

 

156,679

 

 

 

 

 

 

1,285

 

 

 

 

 

 

 

 

 

1,285

 

Issuance of common share warrants under Loan Agreement

 

 

 

 

 

 

 

 

562

 

 

 

 

 

 

 

 

 

562

 

Issuance of common shares from at-the-market offering, net of issuance costs

 

 

1,462,881

 

 

 

 

 

 

5,814

 

 

 

 

 

 

 

 

 

5,814

 

Issuance of common shares under ESPP

 

 

28,261

 

 

 

 

 

 

53

 

 

 

 

 

 

 

 

 

53

 

Issuance of common shares upon exercise of stock options

 

 

84,079

 

 

 

 

 

 

173

 

 

 

 

 

 

 

 

 

173

 

Share-based compensation expense

 

 

 

 

 

 

 

 

10,844

 

 

 

 

 

 

 

 

 

10,844

 

Unrealized loss on investments

 

 

 

 

 

 

 

 

 

 

 

 

 

 

(354

)

 

 

(354

)

Net loss

 

 

 

 

 

 

 

 

 

 

 

(87,612

)

 

 

 

 

 

(87,612

)

Balances at December 31, 2022

 

 

44,805,627

 

 

$

 

 

$

444,552

 

 

$

(281,862

)

 

$

(469

)

 

$

162,221

 

 

The accompanying notes are an integral part of these consolidated financial statements.

F-5


 

FUSION PHARMACEUTICALS INC.

CONSOLIDATED STATEMENTS OF CASH FLOWS

(In thousands)

 

 

 

Year Ended December 31,

 

 

 

2022

 

 

2021

 

Cash flows from operating activities:

 

 

 

 

 

 

Net loss

 

$

(87,612

)

 

$

(81,047

)

Adjustments to reconcile net loss to net cash used in operating activities:

 

 

 

 

 

 

Share-based compensation expense

 

 

10,844

 

 

 

8,603

 

Depreciation and amortization expense

 

 

909

 

 

 

634

 

Non-cash lease expense

 

 

1,140

 

 

 

1,073

 

Non-cash interest expense

 

 

215

 

 

 

 

Amortization (accretion) of premiums (discounts) on investments, net

 

 

(483

)

 

 

1,653

 

Deferred tax benefit

 

 

(3,162

)

 

 

(991

)

Common shares issued to acquire in-process research & development

 

 

1,285

 

 

 

8,924

 

Other

 

 

(72

)

 

 

6

 

Changes in operating assets and liabilities:

 

 

 

 

 

 

Accounts receivable

 

 

296

 

 

 

(357

)

Prepaid expenses and other current assets

 

 

2,333

 

 

 

(4,628

)

Operating lease right-of-use assets

 

 

182

 

 

 

 

Other non-current assets

 

 

(77

)

 

 

(6,582

)

Accounts payable

 

 

400

 

 

 

(1,183

)

Accrued expenses and other current liabilities

 

 

2,702

 

 

 

2,740

 

Deferred revenue

 

 

(1,038

)

 

 

(962

)

Income taxes payable

 

 

2

 

 

 

(2,797

)

Operating lease liabilities

 

 

(1,140

)

 

 

(826

)

Net cash used in operating activities

 

 

(73,276

)

 

 

(75,740

)

Cash flows from investing activities:

 

 

 

 

 

 

Purchases of investments

 

 

(165,156

)

 

 

(172,469

)

Maturities of investments

 

 

190,385

 

 

 

211,734

 

Purchases of property and equipment

 

 

(2,142

)

 

 

(1,491

)

Net cash provided by investing activities

 

 

23,087

 

 

 

37,774

 

Cash flows from financing activities:

 

 

 

 

 

 

Proceeds from issuance of debt

 

 

34,693

 

 

 

 

Proceeds from issuance of common shares from at-the-market offering, net of issuance costs

 

 

5,814

 

 

 

 

Payment of offering costs

 

 

 

 

 

(275

)

Proceeds from issuance of common shares upon exercise of stock options and ESPP

 

 

226

 

 

 

622

 

Net cash provided by financing activities

 

 

40,733

 

 

 

347

 

Net decrease in cash, cash equivalents and restricted cash

 

 

(9,456

)

 

 

(37,619

)

Cash, cash equivalents and restricted cash at beginning of period

 

$

54,789

 

 

$

92,408

 

Cash, cash equivalents and restricted cash at end of period

 

$

45,333

 

 

$

54,789

 

Supplemental disclosure of cash flow information:

 

 

 

 

 

 

Cash paid for income taxes

 

$

1,401

 

 

$

3,961

 

Cash paid for interest

 

$

1,586

 

 

$

 

Right-of-use assets obtained in exchange for new operating lease liabilities

 

$

339

 

 

$

1,166

 

Increase in right-of-use assets and operating lease liabilities from operating lease modifications

 

$

 

 

$

911

 

Supplemental disclosure of non-cash investing and financing activities:

 

 

 

 

 

 

Purchases of property and equipment included in accounts payable and accrued expenses

 

$

610

 

 

$

178

 

 

The accompanying notes are an integral part of these consolidated financial statements.

F-6


 

FUSION PHARMACEUTICALS INC.

NOTES TO CONSOLIDATED FINANCIAL STATEMENTS

December 31, 2022

1.
Nature of the Business and Basis of Presentation

Fusion Pharmaceuticals Inc., together with its consolidated subsidiary (“Fusion” or the “Company”), is a clinical-stage oncology company focused on developing next-generation radiopharmaceuticals as precision medicines. The Company was formed and subsequently incorporated as Fusion Pharmaceuticals Inc. in December 2014 under the Canada Business Corporations Act. The Company was founded to advance certain intellectual property relating to radiopharmaceuticals that had been developed by the Centre for Probe Development and Commercialization, a radiopharmaceutical research and good manufacturing practice production center. The Company is headquartered in Hamilton, Ontario.

The Company is subject to risks and uncertainties common to early-stage companies in the biotechnology industry, including, but not limited to, successful discovery and development of its product candidates, development by competitors of new technological innovations, dependence on key personnel, the ability to attract and retain qualified employees, protection of proprietary technology, compliance with governmental regulations, the impact of the COVID-19 pandemic, the ability to secure additional capital to fund operations and commercial success of its product candidates. Product candidates currently under development will require extensive preclinical and clinical testing and regulatory approval prior to commercialization. These efforts require significant amounts of additional capital, adequate personnel, and infrastructure and extensive compliance-reporting capabilities. Even if the Company’s drug development efforts are successful, it is uncertain when, if ever, the Company will realize significant revenue from product sales.

The accompanying consolidated financial statements have been prepared in accordance with accounting principles generally accepted in the United States of America (“GAAP”) and include the accounts of the Company and its wholly-owned subsidiary, Fusion Pharmaceuticals US Inc. All intercompany accounts and transactions have been eliminated in consolidation.

Basis of Presentation

The accompanying consolidated financial statements have been prepared on the basis of continuity of operations, realization of assets and the satisfaction of liabilities and commitments in the ordinary course of business. Since inception, the Company has funded its operations primarily with proceeds from sales of its convertible preferred shares, including borrowings under a convertible promissory note, which converted into convertible preferred shares, proceeds from sales of its former Irish subsidiary’s preferred exchangeable shares, proceeds from its initial public offering completed in June 2020, proceeds from its “at-the-market” equity offering program (see Note 10), proceeds from its loan and security agreement with Oxford Finance LLC executed in April 2022 (see Note 9), and proceeds from a private placement financing completed in February 2023 (see Note 20). The Company has incurred recurring losses since its inception, including net losses of $87.6 million and $81.0 million for the years ended December 31, 2022 and 2021, respectively. In addition, as of December 31, 2022, the Company had an accumulated deficit of $281.9 million. The Company expects to continue to generate operating losses for the foreseeable future. As of the issuance date of these consolidated financial statements, the Company expects that its cash, cash equivalents and investments will be sufficient to fund its operating expenses and capital expenditure requirements for at least the next 12 months. The future viability of the Company is dependent on its ability to raise additional capital to finance its operations.

Impacts of COVID-19 and Market Conditions on Our Business

The Company has been actively monitoring the ongoing COVID-19 pandemic and its impact globally. Despite efforts to mitigate the impacts of the COVID-19 pandemic, including the addition of new trial sites, in 2020 and 2021 the Company saw patient enrollment rates decline primarily as a result of resourcing and reduced staffing issues at the trial sites. The Company believes its financial results for the years ended December 31, 2022 and 2021 were not significantly impacted by the ongoing COVID-19 pandemic. The Company believes its hybrid and remote working arrangements have had limited impact on its ability to maintain internal operations during the years ended December 31, 2022 and 2021. Further, disruption of global financial markets and a recession or market correction, including as a result of the ongoing COVID-19 pandemic, the ongoing military conflict between Russia and Ukraine and the related sanctions imposed against Russia, and other global macroeconomic factors such as inflation, could reduce the Company’s ability to access capital, which could, in the future, negatively affect its business and the value of its common shares.

F-7


 

2.
Summary of Significant Accounting Policies

Use of Estimates

The preparation of the Company’s consolidated financial statements in conformity with GAAP requires management to make estimates and assumptions that affect the reported amounts of assets and liabilities, the disclosure of contingent assets and liabilities at the date of the consolidated financial statements and the reported amounts of expenses during the reporting periods. Significant estimates and assumptions reflected in these consolidated financial statements include, but are not limited to, the accrual of research and development expenses, valuations of share-based awards, valuation allowance of deferred tax assets, and revenue recognition. The Company bases its estimates on historical experience, known trends and other market-specific or other relevant factors that it believes to be reasonable under the circumstances. On an ongoing basis, management evaluates its estimates when there are changes in circumstances, facts and experience. Changes in estimates are recorded in the period in which they become known. Actual results may differ from those estimates or assumptions.

Foreign Currency and Currency Translation

The reporting currency of the Company is the U.S. dollar. The functional currency of the Company’s operating company in Canada and operating company in the U.S. is also the U.S. dollar. As a result, the Company records no cumulative translation adjustments related to translation of unrealized foreign exchange gains or losses.

For the remeasurement of local currencies to the U.S. dollar functional currency of the Canadian entity, assets and liabilities are translated into U.S. dollars at the exchange rate in effect on the balance sheet date, and income items and expenses are translated into U.S. dollars at the average exchange rate in effect during the period. Resulting transaction gains (losses) are included in other income (expense), net in the consolidated statements of operations and comprehensive loss, as incurred.

Adjustments that arise from exchange rate changes on transactions denominated in a currency other than the local currency are included in other income (expense), net in the consolidated statements of operations and comprehensive loss, as incurred.

During the years ended December 31, 2022 and 2021, the Company recorded $(2.3) million and $0.2 million, respectively, of foreign currency (losses) gains in the consolidated statements of operations and comprehensive loss.

Concentrations of Credit Risk and of Significant Suppliers

Financial instruments that potentially expose the Company to concentrations of credit risk consist primarily of cash, cash equivalents, and investments. The Company’s cash equivalents and investments as of December 31, 2022 consisted of money market funds, U.S. and Canadian Government agency debt securities, corporate bonds, municipal bonds and commercial paper. The Company does not believe that it is subject to unusual credit risk beyond the normal credit risk associated with commercial banking relationships.

The Company relies, and expects to continue to rely, on a small number of vendors to manufacture supplies and to process its product candidates for its development programs. These programs could be adversely affected by a significant interruption in the manufacturing process.

Cash, Cash Equivalents and Restricted Cash

Cash and cash equivalents consist of standard checking accounts, money market accounts, and all highly liquid investments with an original maturity of three months or less at the date of purchase.

As of December 31, 2022 and 2021, the Company was required to maintain separate cash balances of $0.2 million and $0.3 million, respectively, to collateralize corporate credit cards with a bank, which was classified as restricted cash, current, on its consolidated balance sheets. The Company also maintained a $0.1 million guaranteed investment certificate to fulfill certain contractual obligations which was classified as restricted cash, current, as of December 31, 2022 and 2021.

In connection with the Company’s lease agreement entered into in October 2019 (see Note 15), the Company maintained a letter of credit of $1.5 million for the benefit of the landlord, which was reduced to $1.2 million during the year ended December 31, 2022. As of December 31, 2022, $0.2 million and $1.0 million of the underlying cash balance collateralizing this letter of credit was classified as restricted cash, current and non-current, respectively, on the Company’s consolidated balance sheets based on the release date of the restrictions of this cash. As of December 31, 2021, $0.3 million and $1.2 million

F-8


 

of the underlying cash balance collateralizing this letter of credit was classified as restricted cash, current and non-current, respectively, on the Company’s consolidated balance sheets based on the release date of the restrictions of this cash.

As of December 31, 2022 and 2021, the cash, cash equivalents and restricted cash of $45.3 million and $54.8 million, respectively, presented in the consolidated statements of cash flows included cash and cash equivalents of $43.9 million and $52.9 million, respectively, and restricted cash of $1.5 million and $1.9 million, respectively.

Investments

The Company determines the appropriate classification of its investments in debt securities at the time of purchase and re-evaluates such determination at each balance sheet date. The Company classifies its investments as current or non-current based on each instrument’s underlying maturity date. Investments with original maturities of greater than three months and remaining maturities less than twelve months are classified as current and are included in short-term investments in the consolidated balance sheets. Investments with remaining maturities greater than one year from the balance sheet date are classified as non-current and are included in long-term investments in the consolidated balance sheets. The Company’s investments are classified as available-for-sale, are reported at fair value and consist of U.S. and Canadian government agency debt securities, corporate bonds, and commercial paper. Unrealized gains and losses are included in other comprehensive (loss) income as a component of shareholders’ equity until realized. Amortization and accretion of premiums and discounts are recorded in interest income. Realized gains and losses on debt securities are included in other (expense) income, net.

The Company evaluates its investments with unrealized losses for other-than-temporary impairment. If any adjustment to fair value reflects a decline in the value of the investment, the Company considers all available evidence to evaluate the extent to which the decline is other-than-temporary in nature. For any adjustment the Company considers to be other-than-temporary, the Company reduces the investment to fair value through a charge to the statement of operations and comprehensive loss. No such adjustments were necessary during the periods presented.

Deferred Offering Costs

The Company capitalizes certain legal, professional accounting and other third-party fees that are directly associated with in-process equity financings as deferred offering costs until such financings are consummated. After consummation of an equity financing, these costs are recorded as a reduction of the proceeds from the offering in shareholders’ equity as a reduction of additional paid-in capital generated as a result of the offering. Should an in-process equity financing be abandoned, the deferred offering costs would be expensed immediately as a charge to operating expenses in the consolidated statements of operations and comprehensive loss. The Company recorded $0.2 million and $0.3 million, respectively, of deferred offering costs as of December 31, 2022 and 2021 in other non-current assets.

Collaborative Arrangements

The Company considers the nature and contractual terms of arrangements and assesses whether an arrangement involves a joint operating activity pursuant to which the Company is an active participant and is exposed to significant risks and rewards dependent on the commercial success of the activity. If the Company is an active participant and is exposed to significant risks and rewards dependent on the commercial success of the activity, the Company accounts for such arrangement as a collaborative arrangement under ASC 808, Collaborative Arrangements. ASC 808 describes arrangements within its scope and considerations surrounding presentation and disclosure, with recognition matters subjected to other authoritative guidance, in certain cases by analogy.

For arrangements determined to be within the scope of ASC 808 where a collaborative partner is not a customer for certain research and development activities, the Company accounts for payments received for the reimbursement of research and development costs as a contra-expense in the period such expenses are incurred. This reflects the joint risk sharing nature of these activities within a collaborative arrangement. The Company classifies payments owed or receivables recorded as other current liabilities or prepaid expenses and other current assets, respectively, in the Company’s consolidated balance sheets.

If payments from the collaborative partner to the Company represent consideration from a customer in exchange for distinct goods and services provided, then the Company accounts for those payments within the scope of ASC 606, Revenue from Contracts with Customers, or ASC 606. Please refer to Note 3, “Collaboration Agreement” for additional details regarding the Company’s Strategic Collaboration Agreement with AstraZeneca UK Limited (“AstraZeneca”) (the “AstraZeneca Agreement”).

F-9


 

Revenue from Contracts with Customers

In accordance with ASC 606, the Company recognizes revenue when its customer obtains control of promised goods or services, in an amount that reflects the consideration which the Company expects to receive in exchange for those goods or services. To determine revenue recognition for arrangements that the Company determines are within the scope of ASC 606, it performs the following five steps: (i) identify the contract(s) with a customer, (ii) identify the performance obligations in the contract, (iii) determine the transaction price, (iv) allocate the transaction price to the performance obligations within the contract and (v) recognize revenue when (or as) the Company satisfies a performance obligation.

The Company only applies the five-step model to contracts when it determines that it is probable it will collect the consideration it is entitled to in exchange for the goods or services it transfers to the customer.

At contract inception, once the contract is determined to be within the scope of ASC 606, the Company assesses the goods or services promised within the contract to determine whether each promised good or service is a performance obligation. The promised goods or services in the Company’s arrangements typically consist of a license to the Company’s intellectual property and/or research and development services. The Company may provide customers with options to additional items in such arrangements, which are accounted for separately when the customer elects to exercise such options, unless the option provides a material right to the customer. Performance obligations are promises in a contract to transfer a distinct good or service to the customer that (i) the customer can benefit from on its own or together with other readily available resources, and (ii) is separately identifiable from other promises in the contract. Goods or services that are not individually distinct performance obligations are combined with other promised goods or services until such combined group of promises meet the requirements of a performance obligation.

The Company determines transaction price based on the amount of consideration the Company expects to receive for transferring the promised goods or services in the contract. Consideration may be fixed, variable, or a combination of both. At contract inception for arrangements that include variable consideration, the Company estimates the probability and extent of consideration it expects to receive under the contract utilizing either the most likely amount method or expected amount method, whichever best estimates the amount expected to be received. The Company then considers any constraints on the variable consideration and includes in the transaction price variable consideration to the extent it is probable that a significant reversal in the amount of cumulative revenue recognized will not occur when the uncertainty associated with the variable consideration is subsequently resolved.

The Company then allocates the transaction price to each performance obligation based on the relative standalone selling price and recognizes as revenue the amount of the transaction price that is allocated to the respective performance obligation when (or as) control is transferred to the customer and the performance obligation is satisfied. For performance obligations which consist of licenses and other promises, the Company utilizes judgment to assess the nature of the combined performance obligation to determine whether the combined performance obligation is satisfied over time or at a point in time and, if over time, the appropriate method of measuring progress. The Company evaluates the measure of progress each reporting period and, if necessary, adjusts the measure of performance and related revenue recognition.

The Company records amounts as accounts receivable when the right to consideration is deemed unconditional. Amounts received, or that are unconditionally due, from a customer prior to transferring goods or services to the customer under the terms of a contract are recognized as deferred revenue. Amounts expected to be recognized as revenue within the 12 months following the balance sheet date are classified as the current portion of deferred revenue. Amounts not expected to be recognized as revenue within the 12 months following the balance sheet date are classified as deferred revenue, net of current portion.

The Company’s revenue generating arrangements typically include upfront license fees, milestone payments and/or royalties.

If a license is determined to be distinct from the other performance obligations identified in the arrangement, the Company recognizes revenue from nonrefundable, up-front fees allocated to the license when the license is transferred to the licensee and the licensee is able to use and benefit from the license. For licenses that are bundled with other promises, the Company utilizes judgment to assess the nature of the combined performance obligation to determine whether the combined performance obligation is satisfied over time or at a point in time and, if over time, the appropriate method of measuring progress for purposes of recognizing revenue from non-refundable, up-front fees. The Company evaluates the measure of progress each reporting period and, if necessary, adjusts the measure of performance and related revenue recognition.

At the inception of an agreement that includes research and development milestone payments, the Company evaluates each milestone to determine when and how much of the milestone to include in the transaction price. The Company first

F-10


 

estimates the amount of the milestone payment that the Company could receive using either the expected value or the most likely amount approach. The Company primarily uses the most likely amount approach as this approach is generally most predictive for milestone payments with a binary outcome. Then, the Company considers whether any portion of the estimated amount is subject to the variable consideration constraint (that is, whether it is probable that a significant reversal of cumulative revenue would not occur upon resolution of the uncertainty). The Company updates the estimate of variable consideration included in the transaction price at each reporting date which includes updating the assessment of the likely amount of consideration and the application of the constraint to reflect current facts and circumstances.

For arrangements that include sales-based royalties, including milestone payments based on the level of sales, and the license is deemed to be the predominant item to which the royalties relate, the Company will recognize revenue at the later of (i) when the related sales occur, or (ii) when the performance obligation to which some or all of the royalty has been allocated has been satisfied (or partially satisfied).

For the years ended December 31, 2022 and 2021, the Company recorded $1.5 million and $1.4 million, respectively, of revenue under collaboration agreements. Please refer to Note 3, “Collaboration Agreement” for additional details regarding revenue recognition under the AstraZeneca Agreement.

Property and Equipment

Property and equipment are stated at cost less accumulated depreciation and amortization. Depreciation and amortization expense is recognized using the straight-line method over the estimated useful life of each asset, as follows:

 

 

Estimated Useful Life

Laboratory equipment

 

5 years

Computer hardware and software

 

3 years

Furniture and fixtures

 

5 years

Leasehold improvements

 

Shorter of lease term or 10 years

Estimated useful lives are periodically assessed to determine if changes are appropriate. Maintenance and repairs are charged to expense as incurred. When assets are retired or otherwise disposed of, the cost of these assets and related accumulated depreciation or amortization are removed from the accounts and any resulting gains or losses are included in loss from operations in the period of disposal. Costs for capital assets not yet placed into service are capitalized as construction-in-progress and depreciated once placed into service.

Business Combinations

In determining whether an acquisition should be accounted for as a business combination or asset acquisition, the Company first determines whether substantially all of the fair value of the gross assets acquired is concentrated in a single identifiable asset or a group of similar identifiable assets. If this is the case, the single identifiable asset or the group of similar assets is not deemed to be a business, and is instead deemed to be an asset. If this is not the case, the Company then further evaluates whether the single identifiable asset or group of similar identifiable assets and activities includes, at a minimum, an input and a substantive process that together significantly contribute to the ability to create outputs. If so, the Company concludes that the single identifiable asset or group of similar identifiable assets and activities is a business.

The Company accounts for business combinations using the acquisition method of accounting. Application of this method of accounting requires that (i) identifiable assets acquired (including identifiable intangible assets) and liabilities assumed generally be measured and recognized at fair value as of the acquisition date and (ii) the excess of the purchase price over the net fair value of identifiable assets acquired and liabilities assumed be recognized as goodwill, which is not amortized for accounting purposes but is subject to testing for impairment at least annually. Acquired in-process research and development (“IPR&D”) is recognized at fair value and initially characterized as an indefinite-lived intangible asset, irrespective of whether the acquired IPR&D has an alternative future use. Transaction costs related to business combinations are expensed as incurred. Determining the fair value of assets acquired and liabilities assumed in a business combination requires management to use significant judgment and estimates, especially with respect to intangible assets.

During the measurement period, which extends no later than one year from the acquisition date, the Company may record certain adjustments to the carrying value of the assets acquired and liabilities assumed with the corresponding offset to goodwill. After the measurement period, all adjustments are recorded in the consolidated statements of operations as operating expenses or income.

F-11


 

To date, the Company has not recorded any acquisitions as a business combination.

Asset Acquisitions

The Company measures and recognizes asset acquisitions that are not deemed to be business combinations based on the cost to acquire the assets, which includes transaction costs. Goodwill is not recognized in asset acquisitions. In an asset acquisition, the cost allocated to acquire IPR&D with no alternative future use is charged to expense at the acquisition date.

Contingent consideration in asset acquisitions payable in the form of cash is recognized when payment becomes probable and reasonably estimable, unless the contingent consideration meets the definition of a derivative, in which case the amount becomes part of the asset acquisition cost when acquired. Contingent consideration payable in the form of a fixed number of the Company’s own shares is measured at fair value as of the acquisition date and recognized when the issuance of the shares becomes probable. Upon recognition of the contingent consideration payment, the amount is included in the cost of the acquired asset or group of assets, or, if related to IPR&D with no alternative future use, charged to expense.

Impairment of Long-Lived Assets

Long-lived assets consist of property and equipment. Long-lived assets to be held and used are tested for recoverability whenever events or changes in business circumstances indicate that the carrying amount of the assets may not be fully recoverable. Factors that the Company considers in deciding when to perform an impairment review include significant underperformance of the business in relation to expectations, significant negative industry or economic trends and significant changes or planned changes in the use of the assets. If an impairment review is performed to evaluate a long-lived asset group for recoverability, the Company compares forecasts of undiscounted cash flows expected to result from the use and eventual disposition of the long-lived asset group to its carrying value. An impairment loss would be recognized in loss from operations when estimated undiscounted future cash flows expected to result from the use of an asset group are less than its carrying amount. The impairment loss would be based on the excess of the carrying value of the impaired asset group over its fair value. The Company did not record any impairment losses on long-lived assets during the years ended December 31, 2022 and 2021.

Fair Value Measurements

Certain assets and liabilities of the Company are carried at fair value under GAAP. Fair value is defined as the exchange price that would be received for an asset or paid to transfer a liability (an exit price) in the principal or most advantageous market for the asset or liability in an orderly transaction between market participants on the measurement date. Valuation techniques used to measure fair value must maximize the use of observable inputs and minimize the use of unobservable inputs. Financial assets and liabilities carried at fair value are to be classified and disclosed in one of the following three levels of the fair value hierarchy, of which the first two are considered observable and the last is considered unobservable:

Level 1—Quoted prices in active markets for identical assets or liabilities.
Level 2—Observable inputs (other than Level 1 quoted prices), such as quoted prices in active markets for similar assets or liabilities, quoted prices in markets that are not active for identical or similar assets or liabilities, or other inputs that are observable or can be corroborated by observable market data.
Level 3—Unobservable inputs that are supported by little or no market activity and that are significant to determining the fair value of the assets or liabilities, including pricing models, discounted cash flow methodologies and similar techniques.

The Company’s cash equivalents and investments are carried at fair value, determined according to the fair value hierarchy described above (see Note 4). The carrying values of the Company’s amounts due for Canadian harmonized sales tax, accounts payable and accrued expenses approximate their fair values due to the short-term nature of these liabilities.

Segment Information

The Company manages its operations as a single operating segment for the purposes of assessing performance and making operating decisions. The Company’s focus is on the development of next-generation radiopharmaceuticals as precision medicines for hard-to-treat cancers.

F-12


 

Research and Development Costs

Research and development costs are expensed as incurred. Research and development expenses consist of costs incurred in performing research and development activities, including costs for salaries and bonuses, employee benefits, subcontractors, facility-related expenses, depreciation and amortization, share-based compensation, third-party license fees, laboratory supplies, and external costs of outside vendors engaged to conduct discovery, preclinical and clinical development activities and clinical trials as well as to manufacture clinical trial materials, and other costs. The Company recognizes external research and development costs based on an evaluation of the progress to completion of specific tasks using information provided to the Company by its service providers.

Nonrefundable advance payments for goods or services to be received in the future for use in research and development activities are recorded as prepaid expenses. Such prepaid expenses are recognized as an expense when the goods have been delivered or the related services have been performed, or when it is no longer expected that the goods will be delivered or the services rendered.

Upfront payments under license agreements are expensed as research and development expense upon receipt of the license, and annual maintenance fees under license agreements are expensed in the period in which they are incurred. Milestone payments under license agreements are accrued, with a corresponding expense being recognized, in the period in which the milestone is determined to be probable of achievement and the related amount is reasonably estimable.

Research, Development and Manufacturing Contract Costs and Accruals

The Company has entered into various research, development and manufacturing contracts with research institutions and other companies. These agreements are generally cancelable, and related costs are recorded as research and development expenses as incurred. The Company records accruals for estimated ongoing research, development and manufacturing costs. When billing terms under these contracts do not coincide with the timing of when the work is performed, the Company is required to make estimates of outstanding obligations to those third parties as of period end. Any accrual estimates are based on a number of factors, including the Company’s knowledge of the progress towards completion of the research, development and manufacturing activities, invoicing to date under the contracts, communication from the research institutions and other companies of any actual costs incurred during the period that have not yet been invoiced and the costs included in the contracts. Significant judgments and estimates may be made in determining the accrued balances at the end of any reporting period. Actual results could differ from the estimates made by the Company. The historical accrual estimates made by the Company have not been materially different from the actual costs.

Patent Costs

All patent-related costs incurred in connection with filing and prosecuting patent applications are expensed as incurred due to the uncertainty about the recovery of the expenditure. Amounts incurred are classified as general and administrative expenses.

Share-Based Compensation

The Company measures stock options and restricted stock units with service-based vesting granted to employees, non-employees and directors based on the fair value on the date of grant using the Black Scholes option pricing model. Compensation expense for employee and director awards is recognized over the requisite service period, which is generally the vesting period of the award. Compensation expense for non-employee awards is recognized in the same manner as if the Company had paid cash in exchange for the goods or services, which is generally the vesting period of the award. The Company uses the straight-line method to record the expense of awards with only service-based vesting conditions.

The Company has elected to account for forfeitures as they occur. The Company has not issued any share-based awards with performance-based vesting conditions that are within the control of the Company and that may be considered probable prior to occurrence or with market-based vesting conditions.

The Company classifies share-based compensation expense in its consolidated statements of operations and comprehensive loss in the same manner in which the award recipient’s payroll costs are classified or in which the award recipient’s service payments are classified.

F-13


 

Leases

The Company accounts for leases in accordance with ASC 842, Leases. At contract inception, the Company determines if an arrangement is or contains a lease. A lease conveys the right to control the use of an identified asset for a period of time in exchange for consideration. If determined to be or contain a lease, the lease is assessed for classification as either an operating or finance lease at the lease commencement date, defined as the date on which the leased asset is made available for use by the Company, based on the economic characteristics of the lease. For each lease with a term greater than twelve months, the Company records a right-of-use asset and lease liability.

A right-of-use asset represents the economic benefit conveyed to the Company by the right to use the underlying asset over the lease term. A lease liability represents the obligation to make lease payments arising from the lease. The Company records amortization of operating right-of-use assets and accretion of lease liabilities as a single lease cost on a straight-line basis over the lease term. The Company elected the practical expedient to not separate lease and non-lease components and therefore measures each lease payment as the total of the fixed lease and associated non-lease components. Lease liabilities are measured at the lease commencement date and calculated as the present value of the future lease payments in the contract using the rate implicit in the contract, when available. If an implicit rate is not readily determinable, the Company uses its incremental borrowing rate measured as the rate at which the Company could borrow, on a fully collateralized basis, a commensurate loan in the same currency over a period consistent with the lease term at the commencement date. Right-of-use assets are measured as the lease liability plus initial direct costs and prepaid lease payments, less lease incentives granted by the lessor. The lease term is measured as the noncancelable period in the contract, adjusted for any options to extend or terminate when it is reasonably certain the Company will extend the lease term via such options based on an assessment of economic factors present as of the lease commencement date. The Company elected the practical expedient to not recognize leases with a lease term of twelve months or less.

The Company assesses its right-of-use assets for impairment consistent with the assessment performed for long-lived assets used in operations. If an impairment is recognized on operating lease right-of-use assets, the lease liability continues to be recognized using the same effective interest method as before the impairment and the operating lease right-of-use asset is amortized over the remaining term of the lease on a straight-line basis.

The Company’s operating leases are presented in the consolidated balance sheet as operating lease right-of-use assets, classified as noncurrent assets, and operating lease liabilities, classified as current and noncurrent liabilities based on the discounted lease payments to be made within the proceeding twelve months. Variable costs associated with a lease, such as maintenance and utilities, are not included in the measurement of the lease liabilities and right-of-use assets but rather are expensed when the events determining the amount of variable consideration to be paid have occurred.

Income Taxes

The Company accounts for income taxes using the asset and liability method, which requires the recognition of deferred tax assets and liabilities for the expected future tax consequences of events that have been recognized in the consolidated financial statements or in the Company’s tax returns. Deferred tax assets and liabilities are determined based on the difference between the financial statement and tax basis of assets and liabilities using enacted tax rates in effect for the year in which the differences are expected to reverse. Changes in deferred tax assets and liabilities are recorded in the provision for income taxes. The Company assesses the likelihood that its deferred tax assets will be recovered from future taxable income and, to the extent it believes, based upon the weight of available evidence, that it is more likely than not that all or a portion of the deferred tax assets will not be realized, a valuation allowance is established through a charge to income tax expense. Potential for recovery of deferred tax assets is evaluated by estimating the future taxable profits expected and considering prudent and feasible tax planning strategies.

The Company accounts for uncertainty in income taxes recognized in the consolidated financial statements by applying a two-step process to determine the amount of tax benefit to be recognized. First, the tax position must be evaluated to determine the likelihood that it will be sustained upon external examination by the taxing authorities. If the tax position is deemed more likely than not to be sustained, the tax position is then assessed to determine the amount of benefit to recognize in the consolidated financial statements. The amount of the benefit that may be recognized is the largest amount that has a greater than 50% likelihood of being realized upon ultimate settlement. The provision for income taxes includes the effects of any resulting tax reserves, or unrecognized tax benefits, that are considered appropriate as well as the related net interest and penalties.

F-14


 

Government Assistance

The Company received government assistance for the year ended December 31, 2022 which primarily consisted of government grants supporting its research and development efforts.

In October 2022, the Company received an upfront $0.8 million CAD (equivalent to $0.6 million) from a Canadian-based governmental funding program for the development of its manufacturing facility and processes. The Company recorded the $0.6 million received as unearned grant income within accrued expenses and other current liabilities on its consolidated balance sheet as of December 31, 2022, which will be recognized as other income in its consolidated statement of operations and comprehensive loss as the amounts are earned.

During the year ended December 31, 2022, the Company received $0.7 million CAD (equivalent to $0.5 million) from a separate Canadian-based governmental funding program in reimbursements for expenditures relating to research on its early-stage discovery programs which was recorded as other income in its consolidated statement of operations and comprehensive loss.

Comprehensive Loss

Comprehensive loss includes net loss as well as other changes in shareholders’ equity that result from transactions and economic events other than those with shareholders. For the years ended December 31, 2022 and 2021, unrealized gains and losses on investments are included in other comprehensive (loss) income as a component of shareholders’ equity until realized.

Net Loss per Share

Basic net income (loss) per share attributable to common shareholders is computed by dividing the net income (loss) attributable to common shareholders by the weighted-average number of common shares outstanding for the period. Diluted net income (loss) attributable to common shareholders is computed by adjusting net income (loss) attributable to common shareholders to reallocate undistributed earnings based on the potential impact of dilutive securities. Diluted net income (loss) per share attributable to common shareholders is computed by dividing the diluted net income (loss) attributable to common shareholders by the weighted-average number of common shares outstanding for the period, including potential dilutive common shares. For purpose of this calculation, outstanding stock options, restricted stock units and warrants are considered potential dilutive common shares.

In periods in which the Company reported a net loss attributable to common shareholders, diluted net loss per share attributable to common shareholders is the same as basic net loss per share attributable to common shareholders, since dilutive common shares are not assumed to have been issued if their effect is anti-dilutive. The Company reported a net loss attributable to common shareholders for the years ended December 31, 2022 and 2021.

Recently Adopted Accounting Pronouncements

In May 2021, the FASB issued ASU No. 2021-04, Earnings Per Share (Topic 260), Debt-Modifications and Extinguishments (Subtopic 470-50), Compensation-Stock Compensation (Topic 718), and Derivatives and Hedging-Contracts in Entity’s Own Equity (Subtopic 815-40): Issuer’s Accounting for Certain Modifications or Exchanges of Freestanding Equity-Classified Written Call Options, or ASU 2021-04. ASU 2021-04 provides clarification and reduces diversity in accounting for modifications or exchanges of freestanding equity-classified written call options (such as warrants) that remain equity classified after modification or exchange. This guidance is effective for annual periods beginning after December 15, 2021, including interim periods within that fiscal year. Companies should apply the new standard prospectively to modifications or exchanges occurring after the effective date of the new standard. The Company adopted ASU 2021-04 effective January 1, 2022, and the adoption did not have a material impact on its consolidated financial statements.

In November 2021, the FASB issued ASU 2021-10, Government Assistance (Topic 832): Disclosures by Business Entities about Government Assistance, or ASU 2021-10, which requires business entities to disclose information about certain government assistance they receive. Such disclosure requirements include the nature of the transactions and the related accounting policy used, the line items on the balance sheet and income statement that are affected and the amounts applicable to each financial statement line item and significant terms and conditions of the transactions. ASU 2021-10 is effective for annual periods beginning after December 15, 2021. The Company adopted ASU 2021-10 effective January 1, 2022, and the adoption did not have a material impact on its consolidated financial statements.

F-15


 

In March 2020 and January 2021, the FASB issued ASU No. 2020-04, Facilitation of the Effects of Reference Rate Reform on Financial Reporting, or ASU 2020-04, and ASU No. 2021-01, Reference Rate Reform (Topic 848): Scope, or ASU 2021-01, respectively, which provide optional expedients and exceptions for applying generally accepted accounting principles to contracts, hedging relationships, and other transactions affected by the discontinuation of the London Interbank Offered Rate (“LIBOR”) or by another reference rate expected to be discontinued. The guidance was effective beginning on March 12, 2020 through December 31, 2022. The Company’s debt agreement that utilized LIBOR was amended in September 2022 to replace LIBOR with the Secured Overnight Financing Rate (“SOFR”). The Company adopted ASU 2020-04 and ASU 2021-01 upon execution of the amendment to the Company’s debt agreement discontinuing the use of LIBOR and utilized the relief provided by the ASUs. The adoption did not have a material impact on its consolidated financial statements.

Recently Issued Accounting Pronouncements

The Company qualifies as an “emerging growth company” as defined in the Jumpstart Our Business Startups Act of 2012 and has elected to “opt in” to the extended transition related to complying with new or revised accounting standards, which means that when a standard is issued or revised and it has different application dates for public and nonpublic companies, the Company will adopt the new or revised standard at the time nonpublic companies adopt the new or revised standard and will do so until such time that the Company either (i) irrevocably elects to “opt out” of such extended transition period or (ii) no longer qualifies as an emerging growth company. The Company may choose to early adopt any new or revised accounting standards whenever such early adoption is permitted for private companies.

In June 2016, the FASB issued ASU No. 2016-13, Financial Instruments—Credit Losses (Topic 326): Measurement of Credit Losses on Financial Instruments, or ASU 2016-13, which requires the measurement and recognition of expected credit losses for financial assets held at amortized cost. ASU 2016-13 replaces the existing incurred loss impairment model with an expected loss model. It also eliminates the concept of other-than-temporary impairment and requires credit losses related to available-for-sale debt securities to be recorded through an allowance for credit losses rather than as a reduction in the amortized cost basis of the securities. These changes will result in earlier recognition of credit losses. In November 2018, the FASB issued ASU No. 2018-19, Codification Improvements to Topic 326, Financial Instruments—Credit Losses, which narrowed the scope and changed the effective date for non-public entities for ASU 2016-13. The FASB subsequently issued supplemental guidance within ASU No. 2019-05, Financial Instruments—Credit Losses (Topic 326): Targeted Transition Relief, or ASU 2019-05. ASU 2019-05 provides an option to irrevocably elect the fair value option for certain financial assets previously measured at amortized cost basis. This guidance is effective for the Company for annual periods beginning after December 15, 2022, including interim periods within that fiscal year. Early adoption is permitted. The Company is currently evaluating the impact that the adoption of ASU 2016-13 will have on its consolidated financial statements.

3.
Collaboration Agreement

Strategic Collaboration Agreement with AstraZeneca UK Limited

In October 2020, the Company and AstraZeneca entered into the AstraZeneca Agreement pursuant to which the Company and AstraZeneca will work to jointly discover, develop and commercialize next-generation alpha-emitting radiopharmaceuticals and combination therapies for the treatment of cancer globally by leveraging the Company’s Targeted Alpha Therapies (“TATs”) platform and expertise in radiopharmaceuticals with AstraZeneca’s leading portfolio of antibodies and cancer therapeutics, including DNA damage response inhibitors, or DDRis. Each party retains full ownership over its existing assets.

The AstraZeneca Agreement consists of two distinct collaboration programs: novel TATs and combination therapies. Under the AstraZeneca Agreement, the parties may develop up to three novel TATs (the “Novel TATs Collaboration”). The parties will also evaluate up to five potential combination strategies involving the Company’s existing assets, including the Company’s lead candidate FPI-1434, in combination with certain of AstraZeneca’s existing therapeutics for the treatment of various cancers (the “Combination Therapies Collaboration”).

The AstraZeneca Agreement expires on a TAT-by-TAT and combination-by-combination basis upon the later of the expiration of development and exclusivity obligations relating to such TAT or combination or, if such TAT or combination is commercialized as a product under the AstraZeneca Agreement, the expiration of the commercial life of such product. The Company and AstraZeneca can each terminate the AstraZeneca Agreement for the other party’s uncured material breach following the applicable notice period. Each of the Company and AstraZeneca may also terminate the AstraZeneca Agreement with respect to any TAT or combination product if such party determines that the continued development of such TAT or combination product is not commercially viable, or for a material safety issue with respect to such TAT or combination product.

F-16


 

Novel TATs Collaboration

As part of the Novel TATs Collaboration, the parties may develop up to three novel TATs. The Company and AstraZeneca will share development costs equally (with each party responsible for the cost of its own supply in connection with such development). Either party has the right to opt out of the co-development and co-commercialization arrangement at pre-determined timepoints and obtain exclusive rights to a novel TAT in exchange for milestone payments to the other party of up to $145.0 million per novel TAT and a low or high single-digit royalties on future sales (depending on the opt out time point). If neither party opts out, and unless otherwise agreed by the parties, AstraZeneca will lead worldwide commercialization activities for the novel TATs, subject to the Company’s option to co-promote the TATs in the U.S. All profits and losses resulting from such commercialization activities will be shared equally. In January 2022, the Company announced the nomination of the first novel TAT candidate under the Novel TATs Collaboration, which the Company refers to as FPI-2068.

The Novel TATs Collaboration is within the scope of ASC 808 as the Company and AstraZeneca are both active participants in the research and development activities and are exposed to significant risks and rewards that are dependent on commercial success of the activities of the arrangement. The research and development activities are a unit of account under the scope of ASC 808 and are not promises to a customer under the scope of ASC 606.

The Company records its portion of the research and development expenses as the related expenses are incurred. All payments received or amounts due from AstraZeneca for reimbursement of shared costs are accounted for as an offset to research and development expense. For the years ended December 31, 2022 and 2021, the Company incurred $5.4 million and $3.1 million, respectively, in gross research and development expenses relating to the Novel TATs Collaboration which was offset by $2.8 million and $1.6 million, respectively, in amounts due from AstraZeneca for reimbursement of shared costs. As of December 31, 2022 and 2021, the Company recorded $0.4 million and $1.4 million, respectively, due from AstraZeneca for reimbursement of shared costs in prepaid expenses and other current assets.

Combination Therapies Collaboration

As part of the Combination Therapies Collaboration, the parties will evaluate up to five potential combination strategies involving the Company’s existing assets, including the Company’s lead candidate FPI-1434, in combination with certain of AstraZeneca’s existing therapeutics for the treatment of various cancers. The Company received an upfront payment of $5.0 million from AstraZeneca in December 2020 associated with the Combination Therapies Collaboration. AstraZeneca will fully fund all research and development activities for the combination strategies, until such point as the Company may opt-in to the clinical development activities.

The Company also has the right to opt-out of clinical development activities relating to these combination therapies. In such instance, the Company will be responsible for repaying its share of the development costs via a royalty on the additional combination sales only if its drug is approved on the basis of clinical development solely conducted by AstraZeneca, in which case the royalty payments shall also include a variable risk premium based on the number of the Company’s product candidates to have received regulatory approval at that time.

Each party will have the sole right, on a country-by-country basis, to commercialize its respective contributed compound as a component of any combination therapy for which such party’s contributed compound may be commercialized under a separate marketing authorization from the other party’s contributed compound to such combination therapy. The parties will negotiate in good faith on a combination therapy-by-combination therapy basis the terms and conditions to co-commercialize any combination therapy that is to be commercialized under a single marketing authorization. During the period of time commencing with the inclusion of an available molecular target in the selection pool for development as a combination therapy and ending upon the end of the nomination period or earlier removal of such combination target from such pool, the Company will not undertake any preclinical or clinical studies combining the Company’s TAT platform with any compound modulating the activity of such combination target. Following selection of a target under the AstraZeneca Agreement and payment of an exclusivity fee by AstraZeneca, and provided that AstraZeneca enrolls its first patient in a clinical trial as further defined in the AstraZeneca Agreement within a pre-defined period of time of such selection, the Company will not undertake any preclinical or clinical studies combining the Company’s TAT platform with compounds modulating the same combination target for the duration of the evaluation period for such combination target, as further defined in the AstraZeneca Agreement. Within a certain time period following initiation of the evaluation period with respect to a combination target, AstraZeneca has the exclusive right to undertake, alone or in collaboration with the Company, all further clinical or preclinical combination studies with respect to a combination target by paying certain exclusivity fees. The Company is eligible to receive future payments of up to $40.0 million, including those for the achievement of certain clinical milestones and exclusivity fees.

F-17


 

The Company determined the research and development activities associated with the Combination Therapies Collaboration are a key component of its central operations and AstraZeneca has contracted with the Company to obtain goods and services which are an output of the Company’s ordinary activities in exchange for consideration. Further, the Company does not share the risks and rewards of the underlying research activities making AstraZeneca a customer for the Combination Therapies Collaboration which falls within the scope of ASC 606.

To determine the appropriate amount of revenue to be recognized under ASC 606, the Company performed the following steps: (i) identify the promised goods or services in the contract, (ii) determine whether the promised goods or services are performance obligations, including whether they are distinct in the context of the contract, (iii) measure the transaction price, including the constraint on variable consideration, (iv) allocate the transaction price to the performance obligations and (v) recognize revenue when (or as) the Company satisfies each performance obligation.

Under ASC 606 the Company accounts for (i) the license it conveyed to AstraZeneca with respect to certain intellectual property and (ii) the obligations to perform research and development services as part of the Combination Therapies Collaboration as a single performance obligation under the AstraZeneca Agreement. The Company concluded AstraZeneca’s right to purchase exclusive options to obtain certain development, manufacturing and commercialization rights represent customer options that are not performance obligations as they do not contain any discounts or other rights that would be considered a material right in the arrangement. Such options will be accounted for upon AstraZeneca’s election.

The Company determined the transaction price under ASC 606 at the inception of the AstraZeneca Agreement to be the $5.0 million upfront payment. The cost reimbursement payments for all costs incurred by the Company under the Combination Therapies Collaboration represent variable consideration that is not constrained. Additionally, the clinical milestone payments represent variable consideration that is constrained. In making this assessment, the Company considered several factors, including the fact that achievement of the milestones are outside its control and contingent upon the future success of clinical trials and AstraZeneca’s actions. The payments related to the achievement of certain clinical milestones do not relate to separate, distinct performance obligations.

Under ASC 606, the Company recognizes revenue using the cost-to-cost method, which it believes best depicts the transfer of control to the customer. Under the cost-to-cost method, the extent of progress towards completion is measured based on the ratio of actual costs incurred to the total estimated costs expected upon satisfying the identified performance obligation. Under this method, revenue is recorded as a percentage of the estimated transaction price based on the extent of progress towards completion. Under ASC 606, the estimated transaction price includes variable consideration that is not constrained. The Company does not include variable consideration to the extent that it is probable that a significant reversal in the amount of cumulative revenue recognized will occur when any uncertainty associated with the variable consideration is resolved. The estimate of the Company’s measurement of progress and estimate of variable consideration to be included in the transaction price will be updated at each reporting date as a change in estimate.

For the clinical milestone payments, the Company utilizes the most likely amount method to determine the amounts recognized and timing of recognition. Once the constraint is removed, the clinical milestone payments will be accounted for with the research and development services for the purposes of revenue recognition which will occur over time as the services are provided. Upon the achievement of any milestone for specified clinical development events, the Company will utilize the same cost-to-cost model with a cumulative catch-up recognized in the period in which any such event occurs.

The Company will re-evaluate the transaction price at the end of each reporting period and as uncertain events are resolved, or other changes in circumstances occur, adjust its estimate of the transaction price if necessary. The Company initially recorded the $5.0 million upfront fee as a contract liability for deferred revenue in its consolidated balance sheet.

The following table presents changes in the Company’s accounts receivable and contract liabilities for the year ended December 31, 2022 (in thousands):

 

 

Balance as of

 

 

 

 

 

 

 

 

Balance as of

 

 

 

December 31, 2021

 

 

Additions

 

 

Deductions

 

 

December 31, 2022

 

Accounts receivable

 

$

357

 

 

$

423

 

 

$

(719

)

 

$

61

 

Contract liabilities:

 

 

 

 

 

 

 

 

 

 

 

 

Deferred revenue

 

$

4,038

 

 

$

 

 

$

(1,038

)

 

$

3,000

 

During the years ended December 31, 2022 and 2021, the Company recognized the following revenue (in thousands):

F-18


 

 

 

Year Ended December 31,

 

 

 

2022

 

 

2021

 

Revenue recognized in the period from:

 

 

 

 

 

 

Amounts included in deferred revenue at the beginning of the period

 

$

1,038

 

 

$

962

 

The current portion of deferred revenue and deferred revenue, net of current portion, are $0.3 million and $2.7 million as of December 31, 2022, respectively, which reflects the Company’s estimate of the revenue it expects to recognize within the next 12 months and beyond 12 months, respectively. The Company expects to recognize the revenue associated with the AstraZeneca Agreement in subsequent periods through the year ending December 31, 2026.

4.
Fair Value Measurements

The following tables present information about the Company’s financial assets and liabilities that are measured at fair value on a recurring basis and indicates the level of the fair value hierarchy used to determine such fair values (in thousands):

 

 

Fair Value Measurements at
December 31, 2022 Using:

 

 

 

Level 1

 

 

Level 2

 

 

Level 3

 

 

Total

 

Assets:

 

 

 

 

 

 

 

 

 

 

 

 

Cash equivalents:

 

 

 

 

 

 

 

 

 

 

 

 

Money market funds

 

$

4,241

 

 

$

 

 

$

 

 

$

4,241

 

U.S. Government agency debt securities

 

 

 

 

 

5,974

 

 

 

 

 

 

5,974

 

Investments:

 

 

 

 

 

 

 

 

 

 

 

 

Commercial paper

 

 

 

 

 

28,792

 

 

 

 

 

 

28,792

 

Corporate bonds

 

 

 

 

 

14,342

 

 

 

 

 

 

14,342

 

Municipal bonds

 

 

 

 

 

2,697

 

 

 

 

 

 

2,697

 

Canadian Government agency debt securities

 

 

 

 

 

19,911

 

 

 

 

 

 

19,911

 

U.S. Government agency debt securities

 

 

 

 

 

77,032

 

 

 

 

 

 

77,032

 

 

 

$

4,241

 

 

$

148,748

 

 

$

 

 

$

152,989

 

 

 

 

Fair Value Measurements at
December 31, 2021 Using:

 

 

 

Level 1

 

 

Level 2

 

 

Level 3

 

 

Total

 

Assets:

 

 

 

 

 

 

 

 

 

 

 

 

Cash equivalents:

 

 

 

 

 

 

 

 

 

 

 

 

Money market funds

 

$

11,490

 

 

$

 

 

$

 

 

$

11,490

 

Investments:

 

 

 

 

 

 

 

 

 

 

 

 

Commercial paper

 

 

 

 

 

19,041

 

 

 

 

 

 

19,041

 

Corporate bonds

 

 

 

 

 

21,941

 

 

 

 

 

 

21,941

 

Municipal bonds

 

 

 

 

 

14,866

 

 

 

 

 

 

14,866

 

Canadian Government agency debt securities

 

 

 

 

 

3,320

 

 

 

 

 

 

3,320

 

U.S. Government agency debt securities

 

 

 

 

 

108,716

 

 

 

 

 

 

108,716

 

 

 

$

11,490

 

 

$

167,884

 

 

$

 

 

$

179,374

 

During the years ended December 31, 2022 and 2021, there were no transfers between Level 1, Level 2 and Level 3.

5.
Investments

Investments consisted of the following (in thousands):

 

 

December 31, 2022

 

 

 

Amortized Cost

 

 

Fair Value

 

Due within one year or less

 

$

127,441

 

 

$

127,013

 

Due after one year through three years

 

 

15,802

 

 

 

15,761

 

 

 

$

143,243

 

 

$

142,774

 

 

F-19


 

 

 

December 31, 2021

 

 

 

Amortized Cost

 

 

Fair Value

 

Due within one year or less

 

$

147,945

 

 

$

147,897

 

Due after one year through three years

 

 

20,054

 

 

 

19,987

 

 

 

$

167,999

 

 

$

167,884

 

As of December 31, 2022, the amortized cost and estimated fair value of investments, by contractual maturity, was as follows (in thousands):

 

 

Amortized
Cost

 

 

Gross
Unrealized
Gains

 

 

Gross
Unrealized
Losses

 

 

Fair Value

 

 

Current

 

 

Non-
Current

 

Commercial paper

 

$

28,804

 

 

$

10

 

 

$

(22

)

 

$

28,792

 

 

$

28,792

 

 

$

 

Corporate bonds

 

 

14,354

 

 

 

4

 

 

 

(16

)

 

 

14,342

 

 

 

9,469

 

 

 

4,873

 

Municipal bonds

 

 

2,705

 

 

 

 

 

 

(8

)

 

 

2,697

 

 

 

2,697

 

 

 

 

Canadian Government agency debt securities

 

 

20,065

 

 

 

23

 

 

 

(177

)

 

 

19,911

 

 

 

19,911

 

 

 

 

U.S. Government agency debt securities

 

 

77,315

 

 

 

15

 

 

 

(298

)

 

 

77,032

 

 

 

66,144

 

 

 

10,888

 

 

 

$

143,243

 

 

$

52

 

 

$

(521

)

 

$

142,774

 

 

$

127,013

 

 

$

15,761

 

As of December 31, 2021, the amortized cost and estimated fair value of investments, by contractual maturity, was as follows (in thousands):

 

 

Amortized
Cost

 

 

Gross
Unrealized
Gains

 

 

Gross
Unrealized
Losses

 

 

Fair Value

 

 

Current

 

 

Non-
Current

 

Commercial paper

 

$

19,041

 

 

$

1

 

 

$

(1

)

 

$

19,041

 

 

$

19,041

 

 

$

 

Corporate bonds

 

 

21,929

 

 

 

32

 

 

 

(20

)

 

 

21,941

 

 

 

17,444

 

 

 

4,497

 

Municipal bonds

 

 

14,878

 

 

 

 

 

 

(12

)

 

 

14,866

 

 

 

14,866

 

 

 

 

Canadian Government agency debt securities

 

 

3,287

 

 

 

33

 

 

 

 

 

 

3,320

 

 

 

3,320

 

 

 

 

U.S. Government agency debt securities

 

 

108,864

 

 

 

 

 

 

(148

)

 

 

108,716

 

 

 

93,226

 

 

 

15,490

 

 

 

$

167,999

 

 

$

66

 

 

$

(181

)

 

$

167,884

 

 

$

147,897

 

 

$

19,987

 

 

6.
Prepaid Expenses and Other Current Assets

Prepaid expenses and other current assets consisted of the following (in thousands):

 

 

December 31,

 

 

 

2022

 

 

2021

 

Prepaid external research and development expenses

 

$

3,741

 

 

$

5,030

 

Prepaid insurance

 

 

1,295

 

 

 

2,144

 

Prepaid software subscriptions

 

 

402

 

 

 

302

 

Income tax receivable

 

 

386

 

 

 

308

 

Interest receivable

 

 

332

 

 

 

350

 

Other receivable due from AstraZeneca

 

 

352

 

 

 

1,396

 

Canadian harmonized sales tax receivable

 

 

592

 

 

 

178

 

Other

 

 

509

 

 

 

233

 

 

 

$

7,609

 

 

$

9,941

 

 

F-20


 

7.
Property and Equipment, Net

Property and equipment, net consisted of the following (in thousands):

 

 

December 31,

 

 

 

2022

 

 

2021

 

Laboratory equipment

 

$

4,125

 

 

$

3,327

 

Computer hardware and software

 

 

105

 

 

 

171

 

Furniture and fixtures

 

 

70

 

 

 

70

 

Leasehold improvements

 

 

535

 

 

 

 

Construction-in-progress

 

 

1,778

 

 

 

704

 

 

 

 

6,613

 

 

 

4,272

 

Less: Accumulated depreciation

 

 

(1,982

)

 

 

(1,305

)

 

 

$

4,631

 

 

$

2,967

 

Depreciation and amortization expense related to property and equipment was $0.9 million and $0.6 million for the years ended December 31, 2022 and 2021, respectively. As of December 31, 2022, construction-in-progress primarily relates to the Company’s manufacturing facility which is currently under construction. These assets are expected to be placed into service during the year ending December 31, 2023.

8.
Accrued Expenses and Other Current Liabilities

Accrued expenses and other current liabilities consisted of the following (in thousands):

 

 

December 31,

 

 

 

2022

 

 

2021

 

Accrued employee compensation and benefits

 

$

4,140

 

 

$

3,301

 

Accrued external research and development expenses

 

 

4,914

 

 

 

3,635

 

Accrued professional and consulting fees

 

 

916

 

 

 

627

 

Unearned grant income

 

 

591

 

 

 

 

Other

 

 

44

 

 

 

 

 

 

$

10,605

 

 

$

7,563

 

 

F-21


 

9.
Debt

Long-term debt, net of discount, consisted of the following (in thousands):

 

 

December 31,

 

 

 

2022

 

Principal amount of long‑term debt

 

$

35,000

 

Less: Current portion of long‑term debt

 

 

 

Long‑term debt, net of current portion

 

 

35,000

 

Accretion of Final Fee

 

 

120

 

Debt discount

 

 

(887

)

Long‑term debt, net of discount

 

$

34,233

 

Loan Agreement

On April 4, 2022 (the “Original Closing Date”), the Company entered into a loan and security agreement (the “Loan Agreement”) with Oxford Finance LLC, as collateral agent and lender (the “Lender”). The Lender initially agreed to make available to the Company term loans in an aggregate principal amount of up to $75.0 million under the Loan Agreement. The Company plans to use the proceeds of the term loans for working capital and general corporate purposes. The Loan Agreement initially provided a term loan commitment of $75.0 million in three potential tranches: (i) a $25.0 million Term A loan facility, with $10.0 million funded on the Original Closing Date and the remaining $15.0 million to be funded at the request of the Company on a one-time basis at any time prior to April 4, 2023, (ii) a $25.0 million Term B loan facility to be funded at the request of the Company, subject to certain conditions being met, no later than June 30, 2023, and (iii) a $25.0 million Term C loan facility to be funded at the Lender’s sole discretion. The term loan facilities have a maturity date of April 1, 2027. Initially borrowings under all three loan facilities bear interest at a floating per annum rate equal to the greater of (i) 8.00% and (ii) the sum of (a) the greater of (x) 1 Month LIBOR Rate and (y) 0.10% plus (b) 7.90%.

On August 23, 2022, the Company and the Lender entered into a Consent and First Amendment to Loan and Security Agreement to amend certain terms of the Loan Agreement. Additionally, on September 21, 2022, the Company and the Lender entered into a Second Amendment to Loan and Security Agreement (together with the Loan Agreement and Consent and First Amendment to Loan and Security Agreement, the “Amended Loan Agreement”). The Amended Loan Agreement provides a term loan commitment of $75.0 million in four potential tranches: (i) a $10.0 million Term A loan facility, funded on the Original Closing Date, (ii) a $25.0 million Term B loan facility, funded at the request of the Company subject to certain conditions having been met, for which funding took place in connection with the execution of the Amended Loan Agreement, (iii) a $15.0 million Term C loan facility to be funded at the request of the Company, subject to certain conditions being met, no later than April 4, 2023, and (iv) a $25.0 million Term D loan facility to be funded at the Lender’s sole discretion. The term loan facilities have a maturity date of April 1, 2027. The floating per annum rate of interest for borrowings under all four loan facilities was amended to the greater of (i) 8.00% and (ii) the sum of (a) 1-Month CME Term SOFR (as defined in the Amended Loan Agreement), (b) 0.10% and (c) 7.90%.

As the terms of the amendments were not substantially different than the terms of the Loan Agreement, the amendments were accounted for as a debt modification. Issuance costs paid to the Lender in connection with the amendments were recorded as an additional debt discount and will be amortized to interest expense over the remaining term, together with unamortized original issuance costs, using the effective interest method.

The Company is permitted to make interest-only payments on any outstanding amount due under the term loans through June 1, 2025, after which time principal will also be repaid based on an amortization schedule.

The Company is obligated to pay a fee equal to 4.00% of the aggregate amount of the term loans funded (the “Final Fee”), to occur upon the earliest of (i) the maturity date, (ii) the acceleration of the term loans, and (iii) the prepayment of the term loans. The Company accretes the Final Fee that will be due at final repayment to outstanding debt by charges to interest expense over the term of the loans using the effective-interest method.

The Company has the option to prepay all, but not less than all, of the outstanding principal balance of the term loans under the Loan Agreement. If the Company prepays all or a portion of the term loans prior to the maturity date, it is obligated to pay the Lender a prepayment fee based on a percentage of the outstanding principal balance of the loans, equal to 3% if the payment occurs on or before 12 months after the funding date of the applicable loan, 2% if the prepayment occurs more than 12 months after, but on or before 24

F-22


 

months after, the funding date of the applicable loan, or 1% if the prepayment occurs more than 24 months after, but on or before 36 months after, the funding date of the applicable loan, and no prepayment fee is required thereafter.

The Loan Agreement contains financial covenants that require the Company to maintain certain minimum cash balances generally equal to 55% of the outstanding principal or 110% of the outstanding principal in cases where the cash balances are not maintained in accounts pledged as collateral for the benefit of the Lender. The Company was in compliance with all such covenants as of December 31, 2022. The Loan Agreement contains customary representations, warranties and covenants and also includes customary events of default, including payment defaults, breaches of covenants, change of control and a material adverse change default. Upon the occurrence of an event of default, a default interest rate of an additional 5.00% per annum may be applied to the outstanding loan balances, and the Lender may declare all outstanding obligations immediately due and payable. The Company’s obligations under the Loan Agreement are collateralized by a first priority security interest in substantially all of its assets.

As of December 31, 2022, the estimated future principal payments due were as follows (in thousands):

Year Ending December 31,

 

 

 

2023

 

$

 

2024

 

 

 

2025

 

 

10,652

 

2026

 

 

18,261

 

2027

 

 

6,087

 

Thereafter

 

 

 

 

 

$

35,000

 

In connection with the Loan Agreement and the funding of the Term A loan facility, the Company issued warrants to the Lender (the “Term A Warrants”) (see Note 10) to purchase an aggregate of 26,110 common shares, equal to 2.00% of the $10.0 million funded from the Term A loan facility divided by the exercise price of $7.66 per share.

In connection with the funding of the Term B loan facility, the Company issued warrants to the Lender (the “Term B Warrants”) (see Note 10) to purchase an aggregate 170,010 common shares, equal to 2.00% of the $25.0 million funded from the Term B loan facility divided by the exercise price of $2.94 per share.

The Company is obligated to issue additional warrants (the “Additional Warrants”) to the Lender in the event the Term C loan facility and/or the Term D loan facility is funded. The Additional Warrants will also be equal to 2.00% of the term loan funded. Each warrant will terminate ten years from the date of its original issuance.

The Company accounted for the Term A Warrants and Term B Warrants as equity instruments since they were indexed to the common shares and met the criteria for equity classification. The relative fair value of the Term A Warrants and Term B Warrants were $0.1 million and $0.4 million, respectively, and were recorded as a debt discount. This amount is being amortized to interest expense over the term of the loans using the effective-interest method. The Company estimated the fair value of the Term A Warrants and Term B Warrants using the Black-Scholes option-pricing model.

F-23


 

10.
Equity

Common Shares

In July 2021, the Company entered into an Open Market Sales AgreementSM (the “Sales Agreement”) with Jefferies LLC to issue and sell common shares of up to $100.0 million in gross proceeds, from time to time during the term of the Sales Agreement, through an “at-the-market” equity offering program under which Jefferies LLC will act as the Company’s agent and/or principal (the “ATM Facility”). The ATM Facility provides that Jefferies LLC will be entitled to compensation for its services in an amount of up to 3.0% of the gross proceeds of any shares sold under the ATM Facility. The Company has no obligation to sell any shares under the ATM Facility and may, at any time, suspend solicitation and offers under the Sales Agreement. As of December 31, 2022, the Company has sold 1,462,881 common shares for net proceeds of $5.8 million under the Sales Agreement.

As of December 31, 2022, the Company’s articles of the corporation, as amended and restated, authorized the Company to issue unlimited common shares, each with no par value per share.

Each common share entitles the holder to one vote on all matters submitted to a vote of the Company’s shareholders. Common shareholders are entitled to receive dividends, if any, as may be declared by the board of directors. Through December 31, 2022, no cash dividends had been declared or paid by the Company.

Warrants

In January 2020, the Company issued to the existing holders of Class B convertible preferred shares warrants to purchase 3,126,391 Class B convertible preferred shares, at an exercise price of $1.5154 per share, and Fusion Pharmaceuticals (Ireland) Limited, the Company’s former Irish subsidiary, issued to the existing holders of Class B preferred exchangeable shares warrants to purchase 873,609 Class B preferred exchangeable shares, at an exercise price of $1.5154 per share (collectively the “Preferred Share Warrants”). The Preferred Share Warrants were immediately exercisable and expire two years from the date of issuance or upon the earlier occurrence of specified qualifying events.

Upon the closing of the IPO, the warrants to purchase the convertible preferred shares and warrants to purchase the preferred exchangeable shares of the Company’s former Irish subsidiary were converted into warrants to purchase 749,197 common shares at an exercise price of $8.10 per share. In January 2022, the remaining 651,816 of unexercised common share warrants expired.

In April 2022, in connection with the Loan Agreement with Oxford Finance LLC (see Note 9) and the funding of the Term A loan facility, the Company issued warrants to the Lender to purchase an aggregate of 26,110 common shares, equal to 2.00% of the $10.0 million funded from the Term A loan facility divided by the exercise price of $7.66 per share.

In September 2022, the Term B loan facility was funded by Oxford Finance LLC and the Company issued warrants to the Lender to purchase an aggregate of 170,010 common shares, equal to 2.00% of the $25.0 million funded from the Term B loan facility divided by the exercise price of $2.94 per share.

The Company is obligated to issue additional warrants to the Lender in the event the Term C loan facility and/or the Term D loan facility is funded. As of December 31, 2022, there were 196,120 common share warrants outstanding.

11.
Share-based Compensation

2020 Stock Option and Incentive Plan

On June 18, 2020, the Company’s board of directors adopted the 2020 Stock Option and Incentive Plan (the “2020 Plan”), which became effective on June 24, 2020. The 2020 Plan provides for the grant of incentive stock options, nonqualified stock options, stock appreciation rights, restricted stock units, restricted stock awards, unrestricted stock awards, cash-based awards and dividend equivalent rights to the Company’s officers, employees, non-employee directors and consultants. The number of shares initially reserved for issuance under the 2020 Plan was 4,273,350, which is cumulatively increased each January 1 by 4% of the number of the Company’s common shares outstanding on the immediately preceding December 31 or such lesser number of shares determined by the Company’s compensation committee of the board of directors. The common shares underlying any awards that are forfeited, cancelled, held back upon exercise or settlement of an award to satisfy the exercise

F-24


 

price or tax withholding, reacquired by the Company prior to vesting, satisfied without the issuance of shares, expire or are otherwise terminated (other than by exercise) under the 2020 Plan and the Company's 2017 Equity Incentive Plan (the “2017 Plan”) will be added back to the common shares available for issuance under the 2020 Plan. The total number of common shares reserved for issuance under the 2020 Plan was 8,015,223 shares as of December 31, 2022.

As of December 31, 2022, 2,782,203 shares, remained available for future grant under the 2020 Plan. Shares that are expired, forfeited, canceled or otherwise terminated without having been fully exercised will be available for future grant under the 2020 Plan.

2017 Equity Incentive Plan

The 2017 Plan provides for the Company to grant incentive stock options or nonqualified stock options, restricted share awards and restricted share units to employees, officers, directors and non-employee consultants of the Company.

As of December 31, 2022 and 2021, no shares remained available for future grant under the 2017 Plan. Shares that are expired, forfeited, canceled or otherwise terminated without having been fully exercised will be available for future grant under the 2020 Plan.

2020 Employee Share Purchase Plan

On June 18, 2020, the Company’s board of directors adopted the 2020 Employee Share Purchase Plan (the “ESPP”), which became effective on June 24, 2020. A total of 450,169 common shares were reserved for issuance under this plan. In addition, the number of common shares that may be issued under the ESPP is automatically increased each January 1 by the lesser of (i) 900,338 common shares, (ii) 1% of the number of the Company’s common shares outstanding on the immediately preceding December 31 and (iii) such lesser number of shares as determined by the Company’s compensation committee of the board of directors. As of December 31, 2022, 43,857 shares were issued under the ESPP. The total number of common shares reserved for issuance under the ESPP was 1,298,164 shares as of December 31, 2022.

Stock Option Valuation

The fair value of stock option grants is estimated using the Black-Scholes option-pricing model. The Company historically has been a private company and lacks company-specific historical and implied volatility information. Therefore, it estimates its expected share volatility based on the historical volatility of a publicly traded set of peer companies and expects to continue to do so until such time as it has adequate historical data regarding the volatility of its own traded share price. For options with service-based vesting conditions, the expected term of the Company’s stock options has been determined utilizing the “simplified” method for awards that qualify as “plain-vanilla” options. The expected term of stock options granted to non-employee consultants is equal to the contractual term of the option award. The risk-free interest rate is determined by reference to the U.S. Treasury yield curve in effect at the time of grant of the award for time periods approximately equal to the expected term of the award. Expected dividend yield is based on the fact that the Company has never paid cash dividends and does not expect to pay any cash dividends in the foreseeable future.

The following table presents, on a weighted-average basis, the assumptions used in the Black-Scholes option-pricing model to determine the grant-date fair value of stock options granted:

 

 

Year Ended December 31,

 

 

 

2022

 

 

2021

 

Risk-free interest rate

 

 

2.45

%

 

 

0.91

%

Expected term (in years)

 

 

5.8

 

 

 

6.1

 

Expected volatility

 

 

64.3

%

 

 

66.7

%

Expected dividend yield

 

 

0

%

 

 

0

%

 

F-25


 

Stock Options

The following table summarizes the Company’s stock option activity since December 31, 2021:

 

 

Number of
Shares

 

 

Weighted-
Average
Exercise Price

 

 

Weighted-
Average
Remaining
Contractual
Term

 

 

Aggregate
Intrinsic
Value

 

 

 

 

 

 

 

 

 

(in years)

 

 

(in thousands)

 

Outstanding as of December 31, 2021

 

 

8,045,706

 

 

$

7.84

 

 

 

8.2

 

 

$

6,597

 

Granted

 

 

3,849,550

 

 

 

5.74

 

 

 

 

 

 

 

Exercised

 

 

(84,079

)

 

 

2.07

 

 

 

 

 

 

 

Forfeited/cancelled

 

 

(1,279,622

)

 

 

8.19

 

 

 

 

 

 

 

Outstanding as of December 31, 2022

 

 

10,531,555

 

 

$

7.08

 

 

 

7.5

 

 

$

4,434

 

Vested and expected to vest as of December 31, 2022

 

 

10,440,489

 

 

$

7.03

 

 

 

7.5

 

 

$

4,434

 

Options exercisable as of December 31, 2022

 

 

5,405,416

 

 

$

6.64

 

 

 

6.3

 

 

$

3,437

 

Included in the table above are 2,233,800 options outstanding as of December 31, 2022 that were granted outside of the 2020 Plan. The grants were made pursuant to the NASDAQ inducement grant exception in accordance with NASDAQ Listing Rule 5635(c)(4).

The aggregate intrinsic value of options is calculated as the difference between the exercise price of the stock options and the fair value of the Company’s common shares for those options that had exercise prices lower than the fair value of the Company’s common shares. The intrinsic value for stock options exercised during the years ended December 31, 2022 and 2021 was $0.3 million and $3.4 million, respectively. The weighted-average grant-date fair value of stock options granted during the years ended December 31, 2022 and 2021 was $3.47 and $5.87 per share, respectively.

Restricted Stock Units

The following table summarizes the Company’s restricted stock unit activity since December 31, 2021:

 

 

Number of
Shares

 

 

Weighted-
Average
Grant Date Fair Value

 

 

 

 

 

 

 

 

Unvested as of December 31, 2021

 

 

 

 

$

 

Granted

 

 

100,400

 

 

 

5.91

 

Vested

 

 

 

 

 

 

Forfeited

 

 

(34,900

)

 

 

5.91

 

Unvested as of December 31, 2022

 

 

65,500

 

 

$

5.91

 

Share-based Compensation

Share-based compensation expense was classified in the consolidated statements of operations and comprehensive loss as follows (in thousands):

 

 

Year Ended December 31,

 

 

 

2022

 

 

2021

 

Research and development expenses

 

$

3,751

 

 

$

2,735

 

General and administrative expenses

 

 

7,093

 

 

 

5,868

 

 

 

$

10,844

 

 

$

8,603

 

As of December 31, 2022, total unrecognized share-based compensation expense related to unvested stock options was $21.6 million, which is expected to be recognized over a weighted-average period of 2.7 years. Additionally, as of December 31, 2022, the Company has unrecognized share-based compensation expense of $0.7 million related to unvested stock options with performance-based vesting conditions for which performance has not been deemed probable.

As of December 31, 2022, total unrecognized share-based compensation expense related to unvested restricted stock units was $0.3 million, which is expected to be recognized over a weighted-average period of 2.3 years.

F-26


 

12.
License Agreements and Asset Acquisitions

License Agreement with the Centre for Probe Development and Commercialization Inc.

In November 2015, the Company entered into a license agreement with the Centre for Probe Development and Commercialization Inc. (“CPDC”), a related party (see Note 18) (the “CPDC Agreement”). Under the CPDC Agreement, the Company was granted an exclusive, sublicensable, nontransferable, worldwide license under CPDC’s patent rights related to CPDC’s radiopharmaceutical linker technology to develop, market, make, use and sell certain products for all disease indications and uses in humans, whether diagnostic or therapeutic. The Company has the right to grant sublicenses of its rights. The CPDC Agreement was amended in 2017; however, there were no material changes to the terms of the CPDC Agreement. Also in 2017, the Company entered into a second license agreement with CPDC, under which the Company was granted an exclusive, sublicensable, worldwide license under CPDC’s patent rights related to certain CPDC radiopharmaceutical linker technology to develop, market, make, use and sell certain products for all disease indications and uses in humans. The Company has the right to grant sublicenses of its rights.

The Company has no obligations under any of the agreements with CPDC to make any milestone payments or to pay any royalties or annual maintenance fees to CPDC.

During the years ended December 31, 2022 and 2021, the Company did not make any payments to CPDC or recognize any research and development expenses under the license agreements with CPDC.

License Agreement with ImmunoGen, Inc.

In December 2016, the Company entered into a license agreement with ImmunoGen, Inc. (“ImmunoGen”) (the “ImmunoGen Agreement”). Under the Immunogen Agreement, the Company was granted an exclusive, sublicensable, worldwide license under ImmunoGen’s patent rights to use, develop, manufacture and commercialize any radiopharmaceutical conjugate that includes a certain compound and any resulting commercialized products. The Company has the right to grant sublicenses of its rights.

Under the ImmunoGen Agreement, the Company paid an upfront fee of $0.2 million to ImmunoGen. In addition, the Company is obligated to make aggregate milestone payments to ImmunoGen of up to $15.0 million upon the achievement of specified development and regulatory milestones and of up to $35.0 million upon the achievement of specified sales milestones. The Company is also obligated to pay tiered royalties of a low to mid single-digit percentage based on annual net sales by the Company and any of its affiliates and sublicensees. Royalties will be paid by the Company on a country-by-country basis beginning upon the first commercial sale in such country until ten years following the date of the first commercial sale in the United States and five years following the date of the first commercial sale in all non-U.S. countries. In addition, the Company is responsible for all costs and expenses incurred related to the development, manufacture, regulatory approval and commercialization of all licensed products.

Prior to regulatory approval of a licensed product in any country, the Company has the right to terminate the agreement upon 90 days’ prior written notice to ImmunoGen. Upon receipt of its first regulatory approval of a licensed product in any country, the Company has the right to terminate the agreement upon 180 days’ prior written notice to ImmunoGen. If the Company or ImmunoGen fails to comply with any of its obligations or otherwise breaches the agreement, the other party may terminate the agreement. The ImmunoGen Agreement expires upon the expiration date of the last-to-expire royalty term.

During the years ended December 31, 2022 and 2021, the Company did not make any payments to ImmunoGen or recognize any research and development expenses under the ImmunoGen Agreement.

Asset Acquisition from and License Agreement with MediaPharma S.r.l.

In May 2019, the Company and MediaPharma S.r.l. (“MediaPharma”) entered into an asset acquisition and license agreement. Under the agreement, the Company purchased all rights, title and interest to MediaPharma’s, and any of its affiliates’ and sublicensees’, patents to perform research and to develop, manufacture and commercialize a specified antibody that binds to targets for the prevention, treatment and diagnosis of all diseases and conditions. The Company accounted for this purchase as an asset acquisition. At the same time, the Company granted MediaPharma an exclusive, fully paid, worldwide, sublicensable license to use the specified compound for research, development, manufacturing and commercialization of a bispecific antibody drug conjugate, but not for use as a radiopharmaceutical.

F-27


 

In connection with the asset acquisition, the Company paid an upfront fee of $0.2 million to MediaPharma. In addition, the Company is obligated to make aggregate milestone payments to MediaPharma of up to $1.5 million upon the achievement of specified development milestones and of up to $23.0 million upon the achievement of specified sales milestones. The Company is also obligated to pay royalties of a low single-digit percentage based on annual net sales by the Company. Royalties will be paid by the Company on a country-by-country basis beginning upon the first commercial sale in such country and will expire, on a country-by-country basis, upon the earlier of (i) eight years from the first commercial sale of a licensed product in such country, (ii) the date upon which all issued patents under the agreement have expired or (iii) the date upon which a product highly similar in composition to the licensed product and having no clinically meaningful differences is sold or marketed for sale in such country by a third party.

The Company is not entitled to any payments from MediaPharma for use of the license to the specified compound granted to MediaPharma.

During the year ended December 31, 2022, the Company made a payment to MediaPharma of $0.1 million upon the achievement of a specified development milestone and recognized this amount as research and development expense in its consolidated statements of operations and comprehensive loss. During the year ended December 31, 2021, the Company did not make any payments to MediaPharma or recognize any research and development expenses under the MediaPharma Agreement. As of December 31, 2022 the Company is no longer actively developing the specified antibody acquired from MediaPharma.

Asset Acquisition from Rainier Therapeutics, Inc. and License Agreement with Genentech, Inc.

On March 10, 2020 (the “Closing”), the Company and Rainier Therapeutics, Inc. (“Rainier”) entered into an asset acquisition agreement (the “Rainier Agreement”). Under the Rainier Agreement, the Company purchased all rights, title and interest to Rainier’s, and any of its affiliates’ and sublicensees’, patents and other tangible and intangible assets to perform research and to develop, manufacture and commercialize a specified compound of antibody molecules that bind to targets for the prevention, treatment and diagnosis of all diseases and conditions only using such compound as an antibody drug conjugate. The Company concluded to account for this purchase as an asset acquisition as substantially all of the fair value of the gross assets acquired was concentrated in a single identifiable asset, the license rights.

In connection with the asset acquisition, the Company paid an upfront fee of $1.0 million to Rainier and recognized this amount as research and development expense in the consolidated statement of operations and comprehensive loss during the year ended December 31, 2020, as the IPR&D acquired had no alternative future use as of the acquisition date.

Unless the Rainier Agreement was terminated pursuant to its terms, which termination initially could not have occurred later than eight months following the Closing (the “Outside Date”), the Company was obligated to pay Rainier an additional amount of $3.5 million and to issue 313,359 of the Company’s common shares on the Outside Date. Since the Rainier Agreement was not terminated by the Outside Date, as further described below, the Company is also obligated to make aggregate milestone payments to Rainier of up to $22.5 million and to issue up to 156,679 of the Company’s common shares upon the achievement of specified development and regulatory milestones and of up to $42.0 million upon the achievement of specified sales milestones.

In the event the Company enters into a transaction with a non-affiliated party relating to the license or sale of substantially all the Company’s rights to develop the specified compound of antibody molecules, the Company will be obligated to pay Rainier a specified percentage of the revenue from such transaction, in an amount ranging from 10% to 30%, based on how long after the Closing the transaction takes place.

The Rainier Agreement could have been terminated at any time prior to the Outside Date upon 30 days’ notice by the Company to Rainier or upon the mutual written consent of both parties. In October 2020, the Company and Rainier entered into a first amendment to the Rainier Agreement (the “First Amended Rainier Agreement”) to extend certain terms of the Rainier Agreement. Specifically, the Outside Date was amended such that termination may not occur later than eleven months following the Closing, or February 10, 2021 (the “Revised Outside Date”). On February 8, 2021, the Company and Rainier entered into a second amendment to the First Amended Rainier Agreement, as amended (the “Second Amended Rainier Agreement”). Pursuant to the Second Amended Rainier Agreement, the Outside Date was further amended such that termination may not occur later than July 1, 2021, and such amendment was made in consideration for early payment of the additional $3.5 million owed to Rainier which the Company paid and recorded as research and development expense during the year ended December 31, 2021. On May 26, 2021, the Company notified Rainier of its intent to continue development of the asset and issued 313,359 of its common shares to Rainier on July 1, 2021. In August 2022, the Company announced the

F-28


 

dosing of the first patient in a Phase 1 study of FPI-1966 and paid a $2.0 million milestone payment and issued 156,679 common shares to Rainier.

During the year ended December 31, 2022, the Company recognized $3.3 million of research and development expense associated with the payment of $2.0 million and the issuance of 156,679 of its common shares as noted above. During the year ended December 31, 2021, the Company recognized $6.1 million of research and development expense associated with the payment of $3.5 million and the issuance of 313,359 of its common shares as noted above.

In connection with the Rainier Agreement, in March 2020, the Company was assigned all of Rainier’s rights and obligations under an exclusive license agreement between BioClin Therapeutics, Inc. and Genentech, Inc. (“Genentech”) (the “Genentech License Agreement”). Pursuant to the Genentech License Agreement, the Company has an exclusive, worldwide, sublicensable license to make, use, research, develop, sell and import certain intellectual property and technology of Genentech relating to a specified antibody and any mutant antibody thereof (the “Licensed Antibodies”), including any products that contain a Licensed Antibody as an active ingredient (the “Products”), for all human uses.

Pursuant to the Genentech License Agreement, the Company is obligated to use commercially reasonable efforts to develop and commercialize at least one Product and the Company is solely responsible for the costs associated with the development, manufacturing, regulatory approval and commercialization of any Products. The manufacture of the antibody by any third-party contract development and manufacturing organization, or CDMO, must be approved in advance by Genentech. Additionally, Genentech retains the right to use the Licensed Antibodies solely to research and develop molecules other than the Licensed Antibodies.

Under Genentech License Agreement, the Company is obligated to make aggregate milestone payments to Genentech of up to $44.0 million upon the achievement of specified sales milestones. The Company is also obligated to pay to Genentech tiered royalties of a mid to high single-digit percentage based on annual net sales by the Company, and any of its affiliates and sublicensees, for the specified compound of antibody molecules and of a mid to high single-digit percentage based on annual net sales by the Company, and any of its affiliates and sublicensees, for any other compound containing mutant antibody molecules of the specified compound. In addition, the Company is obligated to pay to Genentech royalties of a low single-digit percentage based on quarterly net sales in any country in which the specified compound is not covered by a valid patent claim, and those sales will not be subject to the tiered royalties described above. All royalties may be reduced if the Company obtains a license under a third-party patent that includes the specified compound. Royalties will be paid by the Company on a country-by-country basis beginning upon the first commercial sale in such country until the later of (i) ten years following the date of the first commercial sale of a Product or (ii) the date the specified compound is no longer covered by an enforceable patent. Upon the expiration of the royalty term, the Company will have a fully paid-up license.

The Company has the right to terminate the Genentech License Agreement upon written notice to Genentech if the Company determines in its sole discretion that development or commercialization of Products is not economically or scientifically feasible or appropriate. In addition, if the Company or Genentech fails to comply with any of its obligations or otherwise breaches the agreement, the other party may terminate the agreement. The Genentech License Agreement expires on the date on which all obligations under the agreement related to milestone payments or royalties have passed or expired.

During the years ended December 31, 2022 and 2021, the Company did not make any payments to Genentech or recognize any research and development expenses under the Genentech License Agreement.

Collaboration Agreement and Supply Agreement with TRIUMF Innovations, Inc.

On December 10, 2020, the Company entered into a Collaboration Agreement and Supply Agreement (the “Collaboration Agreement”) with TRIUMF Innovations Inc. and TRIUMF JV (collectively, “the TRIUMF entities”) for the development, production and supply of actinium-225, or 225Ac, to the Company. Under the Collaboration Agreement as executed in December 2020, the Company is obligated to pay the TRIUMF entities an aggregate of $5.0 million CAD upon the achievement of certain milestones. The Collaboration Agreement contemplated that the parties would enter into an amendment thereto to expand the scope of the project and provide for additional milestone payments.

As of December 31, 2022, the TRIUMF entities had achieved certain milestones under the Collaboration Agreement totaling $3.0 million CAD (equivalent to $2.3 million at the time of payment) which were paid during the year ended December 31, 2021 and are being recognized as research and development expense over the period of performance by the TRIUMF entities. During the years ended December 31, 2022 and 2021, the Company recognized the amortization of $0.3 million and $2.0 million, respectively, as research and development expense under the Collaboration Agreement.

F-29


 

As previously contemplated, on August 12, 2021, the parties amended the Collaboration Agreement in order to expand the scope of the project and the Company agreed to make an additional financial investment of up to $15.0 million CAD in connection with development of new process technology for the manufacture of 225Ac upon the achievement of certain milestones under an amendment to the Collaboration Agreement (the “Amended Collaboration Agreement”). In connection with the Amended Collaboration Agreement, the parties have formed a company (“NewCo”) to hold certain intellectual property derived from the collaboration. NewCo is jointly owned and managed by the Company and the TRIUMF entities and its purpose is to manufacture 225Ac for the research, clinical and commercial needs of the Company, and in certain circumstances, other third parties. The supply of 225Ac by NewCo to the Company shall be done under a commercial supply agreement, to be negotiated by NewCo and the Company. The Company is expected to purchase at least 50% of its annual 225Ac requirements from NewCo, unless NewCo is unable to supply such necessary quantities to the Company, in which case the Company may use other 225Ac suppliers to meet its commercial needs. As of December 31, 2022, there were no assets held by NewCo.

As of December 31, 2022, the TRIUMF entities had achieved certain milestones under the Amended Collaboration Agreement totaling $8.5 million CAD (equivalent to $6.6 million at the time of payment), of which $2.6 million was paid during the year ended December 31, 2022 and $3.9 million was paid during the year ended December 31, 2021. These amounts are being recognized as research and development expense over the period of performance by the TRIUMF entities. During the years ended December 31, 2022 and 2021, the Company recognized the amortization of $1.9 million and $0.2 million, respectively, as research and development expense under the Amended Collaboration Agreement.

The Company recorded $2.0 million and $2.5 million of milestone payments in prepaid expenses and other current assets and other non-current assets, respectively, as of December 31, 2022 based on its estimate of costs to be incurred over the 12 months following the balance sheet date for both the Collaboration Agreement and the Amended Collaboration Agreement.

Asset Acquisition from Ipsen Pharma SAS

On March 1, 2021, the Company and Ipsen Pharma SAS (“Ipsen”) announced that the parties had entered into an asset purchase agreement (the “Ipsen Agreement”) whereby the Company agreed to acquire Ipsen’s intellectual property and assets related to IPN-1087, a small molecule targeting neurotensin receptor 1 (“NTSR1”), a protein expressed on multiple solid tumor types. The Company intends to combine its expertise and proprietary TAT platform with IPN-1087 to create an alpha-emitting radiopharmaceutical targeting solid tumors expressing NTSR1. The Company and Ipsen submitted a pre-merger notification and report form with the United States Federal Trade Commission and the Antitrust Division of the United States Department of Justice in accordance with the Hart-Scott-Rodino Antitrust Improvements Act of 1976, as amended (the “HSR Act”). The acquisition closed after completion of this antitrust review on April 1, 2021. The Company concluded to account for this purchase as an asset acquisition as substantially all of the fair value of the gross assets acquired was concentrated in a single identifiable asset, the license rights.

Upon closing of the asset acquisition, the Company paid €0.6 million ($0.8 million at the date of payment) and issued an aggregate of 600,000 common shares to Ipsen under a share purchase agreement which was entered into concurrently with the Ipsen Agreement. Such common shares were issued pursuant to an exemption from the registration requirements of the Securities Act of 1933, as amended (the “Securities Act”). The Company is also obligated to pay Ipsen up to an additional €67.5 million upon the achievement of certain development and regulatory milestones; low single digit royalties on potential future net sales; and up to €350.0 million in net sales milestones, in each case, relating to products covered by the asset purchase agreement. The Company is responsible for paying to a third-party licensor up to a total of €70.0 million in development milestones for up to three indications and mid to low double-digit royalties on potential future net sales of products covered by the license agreement.

During the year ended December 31, 2022, the Company did not make any payments to Ipsen or recognize any research and development expenses under the Ipsen Agreement. During the year ended December 31, 2021, the Company recognized $6.4 million of research and development expense associated with the issuance of 600,000 of its common shares upon closing pursuant to the Ipsen Agreement. Additionally, during the year ended December 31, 2021, the Company paid $0.8 million which was recognized as research and development expense.

The Ipsen Agreement includes a royalty step down whereby royalties owed to Ipsen will be reduced by certain percentages not to exceed 50%, in the aggregate, of the royalty owed under certain circumstances relating to loss of patent exclusivity, loss of regulatory exclusivity or generics entering a market. Under the asset purchase agreement Ipsen has agreed not to develop a molecule that targets NTSR1 and combines at least one NTSR1 binding moiety and a radionuclide or cytotoxic

F-30


 

agent until the earlier of (i) the seventh anniversary of the closing date or (ii) the date of data base lock after completion of the first phase 3 clinical trial for IPN-1087.

Agreement with Merck & Co.

On May 5, 2021, the Company entered into an agreement with two subsidiaries of Merck & Co. (“Merck”). Pursuant to the agreement, Merck will provide to the Company, at no cost, its anti-PD-1 (programmed death receptor-1) therapy, KEYTRUDA® (pembrolizumab) to evaluate in combination with the Company’s lead candidate, FPI-1434. The planned Phase 1 combination trial will evaluate safety, tolerability and pharmacokinetics of FPI-1434 in combination with pembrolizumab and is expected to initiate approximately six to nine months after achieving the recommended Phase 2 dose in the ongoing Phase 1 study of FPI-1434 monotherapy. Under the agreement, the Company will sponsor, fund and conduct the combination trial in accordance with an agreed-upon protocol and Merck agreed to manufacture and supply its compound, at its cost and for no charge to the Company, for use in the clinical trial.

Collaboration and Supply Agreement with Niowave, Inc.

On June 9, 2022, the Company entered into a Collaboration and Supply Agreement with Niowave, Inc. (“Niowave”) (as amended from time to time, the “Niowave Agreement”) for the development, production and supply of 225Ac to the Company. Under the Niowave Agreement, the Company is obligated to pay Niowave an aggregate of $5.0 million upon the achievement of certain milestones.

On September 26, 2022, the Company entered into an amendment to the Niowave Agreement to amend certain terms of the Niowave Agreement, but made no change to the aggregate milestone payments owed under the Niowave Agreement.

As of December 31, 2022, Niowave had achieved certain milestones under the Niowave Agreement totaling $0.9 million which was paid during the year ended December 31, 2022 and is being recognized as research and development expense over the period of performance by Niowave. During the year ended December 31, 2022, the Company recognized the amortization of $0.9 million as research and development expense under the Niowave Agreement.

13.
Income Taxes

The Company is domiciled in Canada and is primarily subject to taxation in that country. During the years ended December 31, 2022 and 2021, the Company recorded no income tax benefits for the net operating losses incurred or for the research and development tax credits generated in Canada in each period due to its uncertainty of realizing a benefit from those items.

During the year ended December 31, 2022, the Company recorded a tax benefit primarily due to return to provision adjustments arising during the year from the Company’s operating company in the U.S., as well as a change to Internal Revenue Code Section 174 from the Tax Cuts and Jobs Act (the “TCJA”), which was signed into law in the U.S. on December 22, 2017. Under the TCJA provisions, effective for tax years beginning on or after January 1, 2022, taxpayers can no longer immediately expense qualified research and development expenditures. Taxpayers are now required to capitalize and amortize these costs over five years for research conducted within the United States or 15 years for research conducted abroad. As a result, the Company capitalized approximately $10.0 million of research and development expenses for the year ended December 31, 2022. As a result, the new capitalization requirement increased the Company’s deferred tax assets and current tax liabilities, but also decreased its effective tax rate by increasing the foreign-derived intangible income deduction. During the year ended December 31, 2021, the Company recorded a tax benefit primarily due to the change in the Company’s deferred tax assets from U.S. operations, offset by the current income tax obligations of its operating company in the U.S., which generates a profit for tax purposes.

Loss before benefit for income taxes consisted of the following (in thousands):

 

 

Year Ended December 31,

 

 

 

2022

 

 

2021

 

Canada

 

$

(90,965

)

 

$

(82,327

)

Foreign (U.S.)

 

 

1,516

 

 

 

1,162

 

Loss before benefit for income taxes

 

$

(89,449

)

 

$

(81,165

)

 

F-31


 

The Company’s current and deferred income tax benefit (provision) consisted of the following (in thousands):

 

 

Year Ended December 31,

 

 

 

2022

 

 

2021

 

Current income tax (provision):

 

 

 

 

 

 

Canada

 

$

(2

)

 

$

(2

)

Foreign (U.S.)

 

 

(1,323

)

 

 

(871

)

Total current income tax (provision)

 

 

(1,325

)

 

 

(873

)

Deferred income tax benefit:

 

 

 

 

 

 

Canada

 

 

 

 

 

 

Foreign (U.S.)

 

 

3,162

 

 

 

991

 

Total deferred income tax benefit

 

 

3,162

 

 

 

991

 

Total income tax benefit

 

$

1,837

 

 

$

118

 

A reconciliation of the Canadian federal statutory income tax rate to the Company’s effective income tax rate is as follows:

 

 

Year Ended December 31,

 

 

 

2022

 

 

2021

 

Canadian federal statutory income tax rate

 

 

(26.5

)%

 

 

(26.5

)%

Foreign income tax rate differential

 

 

(0.1

)

 

 

(0.1

)

Foreign income taxes

 

 

(0.1

)

 

 

(0.1

)

Foreign-derived intangible income

 

 

(1.4

)

 

 

 

Other permanent differences

 

 

0.5

 

 

 

(0.9

)

Income tax credits

 

 

(3.4

)

 

 

(2.3

)

Share-based compensation

 

 

1.8

 

 

 

1.5

 

Change in valuation allowance

 

 

27.1

 

 

 

28.3

 

Effective income tax rate

 

 

(2.1

)%

 

 

(0.1

)%

Net deferred tax assets consisted of the following (in thousands):

 

 

December 31,

 

 

 

2022

 

 

2021

 

Deferred tax assets:

 

 

 

 

 

 

Canadian net operating loss carryforwards

 

$

45,111

 

 

$

27,196

 

Canadian capitalized research and development expenditure pool

 

 

9,418

 

 

 

5,268

 

Canadian research and development tax credit carryforwards

 

 

5,010

 

 

 

2,964

 

Intangibles

 

 

6,468

 

 

 

5,717

 

Capitalized research and development expenses

 

 

2,137

 

 

 

 

Deferred revenue

 

 

795

 

 

 

1,070

 

Reserves and accruals

 

 

3,385

 

 

 

2,648

 

Operating lease liabilities

 

 

1,463

 

 

 

1,642

 

Other

 

 

173

 

 

 

286

 

Total deferred tax assets

 

 

73,960

 

 

 

46,791

 

Valuation allowance

 

 

(67,770

)

 

 

(43,562

)

Net deferred tax assets

 

$

6,190

 

 

$

3,229

 

 

 

 

 

 

 

 

Deferred tax liabilities:

 

 

 

 

 

 

Operating lease right-of-use assets

 

 

(1,384

)

 

 

(1,584

)

Total deferred tax liabilities

 

 

(1,384

)

 

 

(1,584

)

Net deferred tax assets

 

$

4,806

 

 

$

1,645

 

As of December 31, 2022, the Company had $170.2 million of Canadian net operating loss carryforwards that begin to expire in 2035. In addition, the Company had $6.4 million of Canadian research and development tax credit carryforwards that begin to expire in 2037 as well as a capitalized research and development expenditure pool of $35.5 million that can be carried forward indefinitely.

F-32


 

The Company has evaluated the positive and negative evidence bearing upon its ability to realize its deferred tax assets, which primarily consist of net operating loss carryforwards. The Company has considered its history of cumulative net losses in Canada, estimated future taxable income and prudent and feasible tax planning strategies and has concluded that it is more likely than not that the Company will not realize the benefits of its Canadian deferred tax assets as of December 31, 2022 and 2021. Based on its evaluation, the Company has recorded a full valuation allowance against its net deferred tax assets in Canada as of December 31, 2022 and 2021.

The Company’s valuation allowance increased during the years ended December 31, 2022 and 2021 due primarily to the generation of Canadian net operating loss carryforwards, as follows (in thousands):

 

 

Year Ended December 31,

 

 

 

2022

 

 

2021

 

Valuation allowance as of beginning of year

 

$

43,562

 

 

$

20,598

 

Increases recorded to income tax provision

 

 

24,208

 

 

 

22,964

 

Valuation allowance as of end of year

 

$

67,770

 

 

$

43,562

 

As of December 31, 2022 and 2021, the Company had liabilities for uncertain tax positions of $0.3 million which, if recognized, would impact the Company’s tax provision and effective income tax rate. The Company’s policy is to record interest and penalties related to income taxes as part of its income tax provision. As of each of December 31, 2022 and 2021, the Company had accrued interest or penalties related to uncertain tax position of less than $0.1 million. The Company does not expect its uncertain tax positions to change significantly over the next twelve months.

Changes in the Company’s unrecognized tax benefits from uncertain tax positions consisted of the following (in thousands):

 

 

December 31,

 

 

 

2022

 

 

2021

 

Unrecognized tax benefits as of beginning of year

 

$

254

 

 

$

254

 

Additions for tax positions of prior years

 

 

 

 

 

 

Unrecognized tax benefits as of end of year

 

$

254

 

 

$

254

 

The Company files tax returns in Canada and foreign jurisdictions. With few exceptions, the Company is subject to Canadian federal, provincial and foreign tax examinations by tax authorities for the tax years ended December 31, 2017 and subsequent years.

As of December 31, 2022 and 2021, income taxes on undistributed earnings of the Company’s U.S. subsidiary have not been provided for as the Company plans to indefinitely reinvest these amounts in the United States. The cumulative undistributed foreign earnings were not material as of December 31, 2022 and 2021.

14.
Net Loss per Share

Net Loss per Share Attributable to Common Shareholders

Basic and diluted net loss per share attributable to common shareholders was calculated as follows (in thousands, except share and per share amounts):

 

 

Year Ended December 31,

 

 

 

2022

 

 

2021

 

Numerator:

 

 

 

 

 

 

Net loss

 

$

(87,612

)

 

$

(81,047

)

 

 

 

 

 

 

 

Denominator:

 

 

 

 

 

 

Weighted-average common shares outstanding—basic and diluted

 

 

43,748,549

 

 

 

42,598,843

 

Net loss per share attributable to common shareholders—basic and diluted

 

$

(2.00

)

 

$

(1.90

)

The Company’s potentially dilutive securities, which include stock options, restricted stock units and common share warrants, have been excluded from the computation of diluted net loss per share as the effect would be to reduce the net loss per share. Therefore, the weighted-average number of common shares outstanding used to calculate both basic and diluted net

F-33


 

loss per share attributable to common shareholders is the same. The Company excluded the following potential common shares, presented based on amounts outstanding at each period end, from the computation of diluted net loss per share attributable to common shareholders for the periods indicated because including them would have had an anti-dilutive effect:

 

 

Year Ended December 31,

 

 

 

2022

 

 

2021

 

Options to purchase common shares

 

 

10,531,555

 

 

 

8,045,706

 

Unvested restricted stock units

 

 

65,500

 

 

 

 

Warrants to purchase common shares

 

 

196,120

 

 

 

651,816

 

 

 

 

10,793,175

 

 

 

8,697,522

 

 

15.
Leases

In August 2018, the Company entered into an operating lease for office space in Hamilton, Ontario. This lease was amended in September 2020 (“New Lease Commencement Date”) and expires in August 2030 with a termination option upon twelve months written notice any time after the fifth anniversary of the New Lease Commencement Date. If the termination option is not exercised, the Company may exercise a renewal option to extend the term for an additional five-year period through August 2035. As the Company is not reasonably certain to extend the lease beyond the allowable termination date, the lease term was determined to end in August 2026 for the purposes of measuring this lease.

In October 2019, the Company entered into an operating lease for office space in Boston, Massachusetts, which expires February 2026 and has no renewal options. In connection with entering into the original lease agreement, the Company issued a letter of credit of $1.5 million for the benefit of the landlord, which was reduced to $1.2 million during the year ended December 31, 2022. As of December 31, 2022, $0.2 million and $1.0 million of the underlying cash balance collateralizing this letter of credit was classified as restricted cash, current and non-current, respectively, on the Company’s consolidated balance sheets based on the release date of the restrictions of this cash. As of December 31, 2021, $0.3 million and $1.2 million of the underlying cash balance collateralizing this letter of credit was classified as restricted cash, current and non-current, respectively, on the Company’s consolidated balance sheets based on the release date of the restrictions of this cash.

On March 16, 2021, the Company entered into an amendment to its lease for office space in Boston, Massachusetts to expand the area under lease (“Expansion Premises”) and extend the term of the premises currently under lease (“Original Premises”) to align with the lease end date for the Expansion Premises. The additional rent for the Expansion Premises was determined to be commensurate with the additional right-of-use and is accounted for as a new operating lease that was recognized on the Company’s balance sheet since the Company was able to access the Expansion Premises upon execution of the amendment. The Company has made certain improvements to the Expansion Premises, for which the landlord has provided the Company an allowance of $0.2 million which was recorded as a reduction to operating lease right-of-use assets and operating lease liabilities as of December 31, 2021, and for which reimbursement was received during the year ended December 31, 2022. The rental payments for the Expansion Space commenced on January 1, 2022. The lease end date for the Original Premises and the Expansion Premises is April 30, 2027, with no option to extend the lease term. The lease modification for the extension of the Original Premises and the recognition of the Expansion Premises resulted in increases to the Company’s right-of-use asset balance, which was obtained in exchange for operating lease liabilities, of $0.9 million and $1.2 million, respectively.

On June 1, 2021, the Company entered into a lease for a manufacturing facility in Hamilton, Ontario. The Company currently expects the rent for the manufacturing facility, which is under construction, to commence in June 2023, approximately two months after the anticipated delivery date of the premises. The Company currently expects the lease end date for the manufacturing facility to be in May 2038. The lease has a five-year renewal option, which the Company is not reasonably certain to exercise and therefore was not included in the expected lease term. Upon execution of the lease in June 2021, the Company paid $2.5 million CAD (equivalent to $2.1 million at the time of payment) which represented an initial direct cost paid prior to the lease commencement date. As of December 31, 2022, the $2.1 million payment was recorded to prepaid rent as a component of other non-current assets. On the lease commencement date, the Company will reclassify the prepayment to the right-of-use asset, thereby increasing its initial value, but it will not be included in the measurement of the lease liability. The lease was not recorded on the consolidated balance sheet as a component of the Company’s right-of-use asset and operating lease liabilities as of December 31, 2022 as the facility is under construction and the lease has not commenced. As of December 31, 2022, the estimate of the undiscounted future minimum lease payments due under the lease is $18.9 million which is not included in the future maturities of operating lease liabilities table below. The Company is currently evaluating the lease classification as an operating lease or finance lease for accounting purposes.

F-34


 

On January 12, 2022, the Company entered into an operating lease for office space in Hamilton, Ontario. This lease was amended and commenced in February 2022 and is set to expire in August 2030. The lease has a five-year renewal option upon twelve months written notice prior to the expiration of the original term, which the Company is not reasonably certain to exercise and therefore was not included in the lease term for the purposes of measuring the lease. As a result, the Company recognized an operating lease liability and operating lease right-of-use asset of $0.3 million at lease commencement.

The components of operating lease cost, which are included within operating expenses in the accompanying consolidated statements of operations and comprehensive loss, are as follows (in thousands):

 

 

Year Ended December 31,

 

 

 

2022

 

 

2021

 

Operating lease cost

 

$

1,467

 

 

$

1,393

 

Variable lease cost

 

 

78

 

 

 

25

 

Total lease cost

 

$

1,545

 

 

$

1,418

 

The following table summarizes supplemental information for the Company’s operating leases:

 

 

As of December 31,

 

 

 

2022

 

Weighted-average remaining lease term (in years)

 

 

4.4

 

Weighted average discount rate

 

 

5.1

%

Cash paid for amounts included in the measurement of lease liabilities (in thousands)

 

$

1,466

 

As of December 31, 2022, the future maturities of operating lease liabilities are as follows (in thousands):

Year Ending December 31,

 

 

 

2023

 

$

1,498

 

2024

 

 

1,534

 

2025

 

 

1,570

 

2026

 

 

1,508

 

2027

 

 

476

 

Thereafter

 

 

145

 

Total lease payments

 

$

6,731

 

Less: imputed interest

 

 

(711

)

Total lease liabilities

 

$

6,020

 

 

16.
Commitments and Contingencies

Manufacturing Commitments

In January 2019, and as amended in September 2020, the Company entered into an agreement with CPDC, a related party (see Note 18), to manufacture clinical trial materials. In August 2022, this agreement was assigned and transferred to a third-party CDMO who is not a related party. As of December 31, 2022, the Company had non-cancelable minimum purchase commitments under the agreement totaling $0.4 million over the following twelve months.

In May 2019, the Company entered into an agreement with a third-party CDMO to manufacture clinical trial materials. As of December 31, 2022, the Company had non-cancelable minimum purchase commitments under the agreement totaling $0.6 million over the following twelve months.

On March 31, 2022, the Company entered into an agreement with another third-party CDMO to manufacture clinical trial materials. As of December 31, 2022, the Company had non-cancelable minimum purchase commitments under the agreement totaling $0.2 million over the following twelve months.

License Agreements

The Company has entered into license agreements with various parties under which it is obligated to make contingent and non-contingent payments (see Note 12).

F-35


 

Indemnification Agreements

In the ordinary course of business, the Company may provide indemnification of varying scope and terms to vendors, lessors, business partners and other parties with respect to certain matters including, but not limited to, losses arising out of breach of such agreements or from intellectual property infringement claims made by third parties. In addition, the Company has entered into indemnification agreements with members of its board of directors and certain of its executive officers that will require the Company, among other things, to indemnify them against certain liabilities that may arise by reason of their status or service as directors or officers. The maximum potential amount of future payments the Company could be required to make under these indemnification agreements is, in many cases, unlimited. To date, the Company has not incurred any material costs as a result of such indemnifications. The Company is not currently aware of any indemnification claims and has not accrued any liabilities related to such obligations in its consolidated financial statements as of December 31, 2022 or 2021.

Legal Proceedings

The Company has filed an Inter Partes Review, or IPR, petition with the United States Patent and Trademark Office, or USPTO, to challenge the validity of a certain issued U.S. Patent relating to FPI-2265. The Company cannot predict if the IPR will be instituted by the USPTO or, if instituted, the Company will prevail.

The Company is not a party to any other litigation and does not have contingency reserves established for any litigation liabilities. At each reporting date, the Company evaluates whether or not a potential loss amount or a potential range of loss is probable and reasonably estimable under the provisions of the authoritative guidance that addresses accounting for contingencies. The Company expenses as incurred the costs related to such legal proceedings.

17.
Benefit Plans

The Company has an established defined contribution savings plan under Section 401(k) of the U.S. Internal Revenue Code of 1986, as amended. This plan covers all U.S. employees who meet minimum age and service requirements and allows participants to defer a portion of their annual compensation on a pre-tax basis. Matching contributions to the plan may be made at the discretion of the Company’s board of directors. The Company made contributions of $0.3 million and $0.2 million to the plan during the years ended December 31, 2022 and 2021, respectively.

The Company also has an established group retirement savings plan registered with the Canada Revenue Agency. This plan covers all Canadian employees who meet the eligibility requirements under the Income Tax Act (Canada) and allows members to defer a portion of their annual compensation on a pre-tax basis. Matching contributions to the plan may be made at the discretion of the Company’s board of directors. The Company made contributions of $0.2 million and $0.1 million to the plan during the years ended December 31, 2022 and 2021, respectively.

18.
Related Party Transactions

The Company’s chief executive officer, founder and member of the board of directors, John Valliant, Ph.D., is a member of the board of directors at CPDC.

Besides the license agreements entered into with CPDC (see Note 12), the Company had also entered into a Master Services Agreement and a Supply Agreement with CPDC, under which CPDC provided services to the Company related to preclinical and manufacturing services, administrative support services and access to laboratory facilities. In connection with the Supply Agreement, the Company was obligated to pay CPDC an amount of $0.2 million per quarter, or $0.9 million in the aggregate per year, plus fees for materials, packaging and distribution of products supplied to the Company. The Company recognized expenses in connection with the services performed in the normal course of business under the Master Services Agreement and the Supply Agreement in the consolidated statements of operations and comprehensive loss as follows (in thousands):

 

 

Year Ended December 31,

 

 

 

2022

 

 

2021

 

Research and development expenses

 

$

1,435

 

 

$

1,724

 

General and administrative expenses

 

 

18

 

 

 

44

 

 

 

$

1,453

 

 

$

1,768

 

During the years ended December 31, 2022 and 2021, the Company made payments to CPDC in connection with the services described above of $1.8 million and $1.7 million, respectively. As of December 31, 2022, there were no amounts due

F-36


 

to CPDC by the Company in connection with the services described above. As of December 31, 2021, amounts due to CPDC by the Company in connection with the services described above totaled $0.5 million which was included in accounts payable and accrued expenses and other current liabilities on the consolidated balance sheet.

In addition to costs incurred in connection with the services described above, the Company also reimbursed CPDC for purchases on the Company’s behalf from parties with which the Company did not have an account. During the years ended December 31, 2022 and 2021, the Company made payments to CPDC of $0.1 million and $0.2 million, respectively, for reimbursement of these pass-through costs.

During both years ended December 31, 2022 and 2021, the Company recorded $0.2 million of lab equipment purchased from CPDC which they acquired from third-party vendors on its behalf.

In connection with the Company entering into a lease for a manufacturing facility in Hamilton, Ontario (see Note 15), the Company entered into an agreement with CPDC for services relating to certain aspects of the validation of the manufacturing facility which is currently under construction. During the year ended December 31, 2021, the Company paid $3.0 million CAD (equivalent to $2.5 million at the time of payment) which was recorded as research and development expense.

In August 2022, CPDC transferred and assigned all agreements (including the Master Services Agreement and the Supply Agreement) other than the license agreements (see Note 12) with the Company to a third-party CDMO who is not a related party. All terms and conditions of the agreements that were transferred and assigned will remain in full force and effect. CPDC’s performance obligations under these agreements will be undertaken by this third-party CDMO.

19.
Geographical Information

The Company has operating companies in the United States and Canada. Information about the Company’s long-lived assets, consisting solely of property and equipment, net, by geographic region was as follows (in thousands):

 

 

December 31,

 

 

 

2022

 

 

2021

 

United States

 

$

465

 

 

$

541

 

Canada

 

 

4,166

 

 

 

2,426

 

 

 

$

4,631

 

 

$

2,967

 

 

F-37


 

20.
Subsequent Events

RadioMedix Option and Asset Purchase Agreement

On November 14, 2022, the Company and RadioMedix, Inc. (“RadioMedix”) entered into an option and asset purchase agreement (the “RadioMedix Agreement”), pursuant to which RadioMedix granted to the Company the exclusive right, but not the obligation (the “RadioMedix Option”), to acquire certain of RadioMedix’s assets related to its on-going Phase 2 clinical trial evaluating actinium-225 PSMA I&T (the “TATCIST Study”), a small molecule targeting prostate specific membrane antigens, expressed on prostate tumors. Such assets include, among other things, the investigational new drug application for the TATCIST Study, any third-party license held, or later acquired, by RadioMedix relating to 225Ac PSMA, and clinical and other data for the TATCIST Study (collectively, the “RadioMedix Assets”). The Company paid RadioMedix an option fee of $0.8 million upon the execution of the RadioMedix Agreement, which was recorded as research and development expense in its consolidated statements of operations and comprehensive loss during the year ended December 31, 2022.

On February 10, 2023, the Company notified RadioMedix of its decision to exercise the RadioMedix Option, paid the $1.5 million option exercise fee and closed the acquisition. The alpha-emitting radiopharmaceutical being evaluated in the TATCIST Study is now referred to as FPI-2265.

Pursuant to the terms of the RadioMedix Agreement, the Company will be obligated to pay RadioMedix (i) up to an additional $10.5 million upon the achievement of certain clinical and regulatory milestones, (ii) low single-digit royalties on potential future net sales, subject to specified reductions, and (iii) up to an additional $50.0 million in net sales milestones; in each case, relating to products covered by the RadioMedix Agreement. In addition, in the event RadioMedix or the Company is successful in obtaining certain intellectual property rights from a third party relating to 225Ac PSMA I&T, the amount of the clinical and regulatory milestone payments will be increased by up to an aggregate of $4.0 million and the royalty rates will increase but remain in the low- to mid-single digits.

Pursuant to the RadioMedix Agreement, the Company is prohibited from terminating or deprioritizing the development of 225Ac PSMA I&T, subject to specified exceptions. If the Company terminates or deprioritizes the development of 225-225Ac PSMA I&T, and does not sell, license or otherwise transfer its rights to a third-party within 12 months of such termination, the Company and RadioMedix are required to negotiate the return of 225Ac PSMA I&T and related assets to RadioMedix in return for specified reimbursement costs to the Company.

RadioMedix has agreed, subject to certain exceptions, not to develop or research a molecule that targets PSMA for a certain period of time following the closing date.

Additionally, the Company and RadioMedix have entered into manufacturing agreements under which RadioMedix will supply FPI-2265 to the Company for use in clinical trials. RadioMedix will not be the sole manufacturer to supply FPI-2265 for use in clinical trials.

Securities Purchase Agreement and Registration Rights Agreement

On February 13, 2023, the Company entered into a Securities Purchase Agreement (the “Purchase Agreement”) with the purchasers named therein (the “Investors”).

Pursuant to the Purchase Agreement, the Company agreed to sell an aggregate of 17,648,596 of its common shares (the “Shares”), no par value per share (the “Common Shares”), at a purchase price equal to $3.40 per share, which represents the closing price on the Nasdaq Global Select Market on February 10, 2023, to the Investors for approximately $60.0 million in aggregate gross proceeds (collectively, the “Offering”). The Offering closed on February 16, 2023.

F-38


 

On February 13, 2023, in connection with the Purchase Agreement, the Company entered into a Registration Rights Agreement (the “Registration Rights Agreement”) with the Investors. Pursuant to the Registration Rights Agreement, the Company agreed to prepare and file a registration statement with the Securities and Exchange Commission (the “SEC”) within 45 calendar days after the closing of the Offering for purposes of registering the resale of the Shares and any Common Shares as a dividend or other distribution with respect to the Shares. The Company agreed to use its commercially reasonable efforts to cause this registration statement to be declared effective by the SEC within 60 days after the filing of the registration statement.

The Offering was exempt from registration pursuant to Section 4(a)(2) of the Securities Act and Regulation D promulgated thereunder, as a transaction by an issuer not involving a public offering. The Investors have acquired the securities not with a view to or for sale in connection with any distribution thereof, and appropriate legends have been affixed to the securities issued in this transaction.

F-39